TRAUMA IN PREGNANCY

Prof. M.C , Bansal.
MBBS. MS. MICOG. FICOG.
Founder Principal & controller.
Jhlawar Medical College And Hospital , Jhalawar.
Ex. Principal & Controller.
Mahatma Gandhi Medical College And Hospital
,Sitapura, Jaipur.
TYPES OF TRAUMA IN PREGNANCY
 Motor

vehicle accidents.
 Falls and slips.
 Burns.
 Domestic Violence.
 Penetrating Injuries.
 Toxic Poisoning.
 Sexual Assault.
 Suicide and homicide
Right Posture and fastened
Seat belt with side lock
system is safe while driving
* most common mechanism of trauma
TRAUMA IN PREGNANCY
Trauma complicates approximately 1 in 12 pregnancies
 It is the leading non-obstetrical cause of maternal death
 Trauma has foetal complications as well, and has been reported
to increase the incidence of
- Spontaneous abortion (SAB)
- Preterm premature rupture of membranes
- Preterm birth (PTB)
- Uterine rupture
- Cesarean delivery
- Placental abruption
- Stillbirth
 Placental abruption is major contributing factor in foetal death
 Usually 1 in 3 pregnant women admitted to the hospital for trauma
will deliver during her hospitalization

UNINTENTIONAL TRAUMA : MOTOR VEHICLE CRASH (MVC)
Most common cause of trauma in pregnancy
Incidence
 207 cases per 100,000 pregnancies
 It is one of the leading causes of both maternal and foetal
mortality, with estimated mortality rates of 1.4 per 100,000 and 3.7
per 100,000 pregnancies, respectively
 The majority of these admissions occur 20 weeks’ gestation
Risk factors
 The major risk factor for adverse Trauma are improper/ No seat
belt use: in both front and rear collisions , Steering ,Dash board
injury.
 The use of intoxicants while driving has also been reported as a
major risk factor
 Driving two wheeler / sitting on back seat of it also responsible for
MVC

UNINTENTIONAL TRAUMA : MOTOR VEHICLE CRASH (MVC)
Obstetrical complications
 The major obstetrical concern with MVC is the strain placed on the
uterus, which may result in placental abruption
Mechanism
Shear force (strain)


Tensile force (―countercoup‖
mechanism)

Pregnant women involved in MVC appear to be at increased risk
for
- Emergency Caesarean delivery
- Preterm Birth
- Perinatal death
SLIPS & FALLS DURING PREGNANCY
It is known that pregnancy increases joint laxity and weight gain;
can affect gait and predispose pregnant women to slips and to falls
 Dynamic postural stability decreases with pregnancy, especially
during the third trimester
 Approximately 1 in 4 pregnant women will fall at least once while
pregnant
Types of Injuries
 The fracture of the lower extremity/ pelvis. spine are the most
commonly associated injuries.
 Blunt injury to abdomen and pregnant uterus.
 The majority of falls occur indoors and 39% involve falling from
stairs.
 Falling on sharp object may lead to penetrating injury also.

SLIPS & FALL DURING PREGNANCY
Risk factors
 Walking on slippery floors
 Hurrying
 Carrying heavy objects
 Enlarged and distended abdomen prevents clear view of next lower
stair while going down—Gown / sari may entangle in steps.
 Ghoonghat in Indian women also predispose falls and slips.
Obstetrical complication
 A 4.4-fold increase in preterm labor
 An 8-fold increase in placental abruption
 A 2.1-fold increase in foetal distress
 A 2.9-fold increase in foetal hypoxia
BURNS IN PREGNANCY
The impact of burns depends greatly on the burn depth and the
total body surface area affected
Risk factors
 When total body surface area involved exceeds 40%, mortality rate
for both mother and foetus approaches 100%
 Sepsis is a major contributor to mortality
 Maternal and foetal mortality are significantly increased in cases
when smoke inhalation has occurred leading to maternal hypoxia
/ Hyper carbon di oxymea / CO Poisoning.
Obstetric complications
 Burns during the first trimester have been associated with
spontaneous abortion; The majority of these losses will occur
within 10 days of sustaining the burn
 Thermal injury also appears to increase the risk of Preterm birth

ELECTROCUTION DURING PREGNANCY


Among 15 cases of severe electrocution during pregnancy, foetal
mortality May Be as high as 73%

POISONING DURING PREGNANCY
Poisoning relates mostly to intentional poisoning and / or suicide
attempts
 Accidental poisoning is not as widely reported and its actual
incidence unclear

INTENTIONAL TRAUMA DURING PREGNANCY
The most common form of intentional trauma is domestic violence
(DV) or intimate partner violence (IPV)
Incidence
 Frequency during pregnancy ranging from 1- 57 %
 This wide range is due to inclusion of emotional, verbal, and/or
physical violence within the definition of DV/IPV
Risk factors
 Maternal or intimate partner---- substance abuse
 Low maternal educational level & low socioeconomic status
 Unintended pregnancy
 History of DV prior to pregnancy
 Unmarried status

TYPES OF DOMESTIC VIOLENCE
Beating --- hurt on abdomen—with leg. Stick.
 Pushing down from stairs.
 Pushing her out of door
 Torched with burning objects –wood , candle , Hot Iron ,hot
iron rod ,intentional Kerosene stove burn/ cooking gas
stove accident s
 Sharp objects like kitchen knife,
 NO food / drink even water for whole day and night.
 Abusement.
 Electric shock.
 Pushing the head against pillar / wall.

INTENTIONAL TRAUMA DURING PREGNANCY
Adverse pregnancy outcomes associated with DV/IPV
 Increased rate of Spontaneous abortion. APH , Uterine rupture
 Preterm birth
 Low birth weight .
 Admissions of new born in Neonatal intensive care unit
 Maternal Morbidity and mortality increases---- as incidence of
emergency operative delivery also increase.
PENETRATING TRAUMA IN PREGNANCY
In one study, penetrating trauma accounted for 9% of all pregnant
trauma admissions
 Of those, 73% were handgun-, 23% knife-, and 4% shotgun related.
 Fall on sharp object and bull horn injury are common in rural Indian
women
 Penetrating trauma in pregnancy is associated with
- Increased foetal mortality (as high as 73%)
- Increased hospital stay,
- Complications such as intestinal perforation . Haemo peritoneum
due to intra abdominal organs like liver .spleen. Pregnant uterus. Big
vessels etc.

SUICIDE & HOMICIDE IN PREGNANCY
Incidence
 Estimated rates of suicide and homicide in pregnancy were about
2.0/100,000 and 2.9/100,000 live births, respectively
 Suicide are more common in post natal period due to puerperal
psychosis and accounts for approximately 20% of postpartum
maternal deaths.
 Interestingly, pregnancy may be protective in those women who
are otherwise at high risk for suicide or homicide
Risk factor
 Substance abuse appears to be the best identifier for detecting
women at risk for suicide
 Another major risk factor for attempting suicide, especially during
the postpartum period, is foetal or infant death
 Often associated with / precipitated by DV/IPV
SUICIDE & HOMICIDE IN PREGNANCY
Risk factor
 Unsuccessful suicide attempts have also been associated with
adverse pregnancy outcomes
Obstetric outcome
 Women who attempted unsuccessful suicide had increased risk of
- Premature labor
- Cesarean delivery
- Need for Blood transfusion
- Increased respiratory distress syndrome in new born
- Low birthweight
 Suicide attempt by intentional self-poisoning clearly affects both
foetus and mother; maternal death occurs in 1.8% of cases after
suicide attempts by ingestion of medication
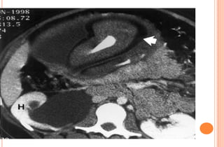
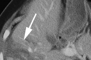
USG PICTURES OF ABDOMEN OF
A PREGNANT WOMEN WITH
BLUNT TRAUMA OF ABDOMEN
USG –M mode of
Fetal heart activity
In awomen who
had blunt Trauna
of abdomen
Chest
Injury In
Road
side
accident
of a
pregnant
woman
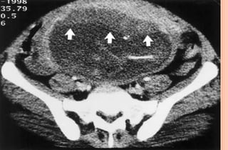
Fracture
Pelvis And
injury to
bladder
Road accident
of pregnant
women in
early weeks of
gestation
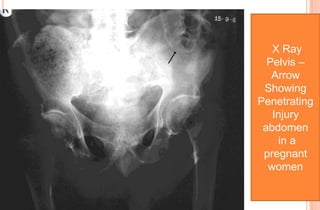
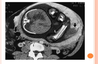
X Ray
Pelvis –
Arrow
Showing
Penetrating
Injury
abdomen
in a
pregnant
women
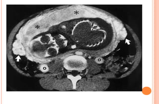
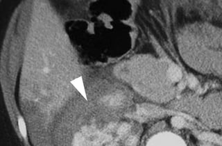
PHOTOS OF CT EVALUATION OF
PREGNANT WOMAN WITH TRAUMA– CT
SCANS DONE AS A PART OF INVESTIGATIONS
DONE IN EMERGENCY --- MATERNAL HEAD

AND ABDOMEN AS PER NEED OF INDIVIDUAL
CASE ---WITHOUT FEAR OF X RAYS
EXPOSURE TO FETUS IN UTERO
MANAGEMENT
When caring for the pregnant patient who has suffered trauma, the
primary management goal is to stabilize the condition of the
mother, as foetal outcomes are directly correlated with early and
aggressive maternal resuscitation
 Pregnant women should be immediately transported to a centre
that is:


(1) Capable of undertaking a timely and thorough trauma evaluation
(2) Facilities for management of life-threatening injuries are available’
(3) having ICU for obstetrical emergency an New born

The initial maternal evaluation (primary survey) should follow nonpregnant guidelines and include a full trauma history and vital
signs assessment as well as displacement of the gravid uterus
to one side by tilting the women in left lateral position.
 When possible, joint evaluation of the patient by
Medical
Jurist,
trauma managing
and obstetrical team should be



When fetus is viable, Start fetal monitoring along with management
MANAGEMENT CONSIDERATIONS
Pregnancy should not lead to under diagnosis or under treatment of
trauma due to the fears of adverse foetal effects, e.g.
- Decision to do investigations (CT, X-Ray)
- Decision to undertake surgery etc.
 When possible, uterus should be displaced to left side as it
- Relieves compression on IVC & Aorta
- Improves venous return and foeto placental circulation too
 When foetus is viable, continuous foetal monitoring should be
initiated as soon as possible & foetal monitoring can be
discontinued after 4 hours if uterine contractions occur less
frequently than every 10 minutes, the foetal heart tracing is
reassuring, and there is no maternal abdominal pain or vaginal
bleeding
 Simultaneous evaluation by trauma & obstetrical teams may be
indicated

MANAGEMENT CONSIDERATIONS
Personnel trained in difficult intubation should be readily
available, because
- Difficult airway
- Association with cervical spine injury
 Penetrating injuries are more likely to affect the foetus, especially
those penetrating the pregnant uterus.
 If a thoracostomy tube is indicated, it should be placed 1-2
intercostal spaces above usual fifth intercostal space landmark to
avoid abdominal placement & liver injury as the diaphragm is lifted
up by the pregnant uterus.
 Pelvic fractures do not necessarily preclude vaginal delivery
 If peritoneal lavage is indicated, an open technique is preferred .
 a placement of a Foley catheter and nasogastric tube

MANAGEMENT CONSIDERATIONS


In second- and third-trimester burn victims, delivery should be
considered if affected total affected body surface area is 50%

Focused Assessment with Sonography for Trauma (FAST) is
reliable during pregnancy
 This targeted ultrasound assesses 4 areas for evidence of free
fluid: the subxiphoid; the right upper quadrant; the left upper
quadrant; and the suprapubic area




Perimortem cesarean section may be appropriate in setting of
imminent maternal death or after 4 min of properly performed but
unsuccessful cardiopulmonary resuscitation
Key words
of injury - including ―motor vehicle
accident /crash,‖ ―burns,‖ ―falls,‖ ―slips,‖ ―accidental
overdose,‖ ―domestic violence,‖ ―suicide,‖ ―homicide,‖
―penetrating abdominal wound,‖ and ―intentional
overdose‖

 Mechanism



Management strategies – Immediate and thorough clinical evaluation
by team of medical jurist General surgeon, orthopaedician and
obstetrician, Monitoring and management of Vital signs, essential
investigations to exactly know the severity of trauma – Xray ,CT , MRI ,
ultrasound, foetal monitoring, and individualized obstetrical
management including perimortem caesarean section.
trauma and pregnancy

trauma and pregnancy

  • 1.
    TRAUMA IN PREGNANCY Prof.M.C , Bansal. MBBS. MS. MICOG. FICOG. Founder Principal & controller. Jhlawar Medical College And Hospital , Jhalawar. Ex. Principal & Controller. Mahatma Gandhi Medical College And Hospital ,Sitapura, Jaipur.
  • 2.
    TYPES OF TRAUMAIN PREGNANCY  Motor vehicle accidents.  Falls and slips.  Burns.  Domestic Violence.  Penetrating Injuries.  Toxic Poisoning.  Sexual Assault.  Suicide and homicide
  • 4.
    Right Posture andfastened Seat belt with side lock system is safe while driving
  • 8.
    * most commonmechanism of trauma
  • 9.
    TRAUMA IN PREGNANCY Traumacomplicates approximately 1 in 12 pregnancies  It is the leading non-obstetrical cause of maternal death  Trauma has foetal complications as well, and has been reported to increase the incidence of - Spontaneous abortion (SAB) - Preterm premature rupture of membranes - Preterm birth (PTB) - Uterine rupture - Cesarean delivery - Placental abruption - Stillbirth  Placental abruption is major contributing factor in foetal death  Usually 1 in 3 pregnant women admitted to the hospital for trauma will deliver during her hospitalization 
  • 10.
    UNINTENTIONAL TRAUMA :MOTOR VEHICLE CRASH (MVC) Most common cause of trauma in pregnancy Incidence  207 cases per 100,000 pregnancies  It is one of the leading causes of both maternal and foetal mortality, with estimated mortality rates of 1.4 per 100,000 and 3.7 per 100,000 pregnancies, respectively  The majority of these admissions occur 20 weeks’ gestation Risk factors  The major risk factor for adverse Trauma are improper/ No seat belt use: in both front and rear collisions , Steering ,Dash board injury.  The use of intoxicants while driving has also been reported as a major risk factor  Driving two wheeler / sitting on back seat of it also responsible for MVC 
  • 11.
    UNINTENTIONAL TRAUMA :MOTOR VEHICLE CRASH (MVC) Obstetrical complications  The major obstetrical concern with MVC is the strain placed on the uterus, which may result in placental abruption Mechanism Shear force (strain)  Tensile force (―countercoup‖ mechanism) Pregnant women involved in MVC appear to be at increased risk for - Emergency Caesarean delivery - Preterm Birth - Perinatal death
  • 12.
    SLIPS & FALLSDURING PREGNANCY It is known that pregnancy increases joint laxity and weight gain; can affect gait and predispose pregnant women to slips and to falls  Dynamic postural stability decreases with pregnancy, especially during the third trimester  Approximately 1 in 4 pregnant women will fall at least once while pregnant Types of Injuries  The fracture of the lower extremity/ pelvis. spine are the most commonly associated injuries.  Blunt injury to abdomen and pregnant uterus.  The majority of falls occur indoors and 39% involve falling from stairs.  Falling on sharp object may lead to penetrating injury also. 
  • 13.
    SLIPS & FALLDURING PREGNANCY Risk factors  Walking on slippery floors  Hurrying  Carrying heavy objects  Enlarged and distended abdomen prevents clear view of next lower stair while going down—Gown / sari may entangle in steps.  Ghoonghat in Indian women also predispose falls and slips. Obstetrical complication  A 4.4-fold increase in preterm labor  An 8-fold increase in placental abruption  A 2.1-fold increase in foetal distress  A 2.9-fold increase in foetal hypoxia
  • 14.
    BURNS IN PREGNANCY Theimpact of burns depends greatly on the burn depth and the total body surface area affected Risk factors  When total body surface area involved exceeds 40%, mortality rate for both mother and foetus approaches 100%  Sepsis is a major contributor to mortality  Maternal and foetal mortality are significantly increased in cases when smoke inhalation has occurred leading to maternal hypoxia / Hyper carbon di oxymea / CO Poisoning. Obstetric complications  Burns during the first trimester have been associated with spontaneous abortion; The majority of these losses will occur within 10 days of sustaining the burn  Thermal injury also appears to increase the risk of Preterm birth 
  • 15.
    ELECTROCUTION DURING PREGNANCY  Among15 cases of severe electrocution during pregnancy, foetal mortality May Be as high as 73% POISONING DURING PREGNANCY Poisoning relates mostly to intentional poisoning and / or suicide attempts  Accidental poisoning is not as widely reported and its actual incidence unclear 
  • 16.
    INTENTIONAL TRAUMA DURINGPREGNANCY The most common form of intentional trauma is domestic violence (DV) or intimate partner violence (IPV) Incidence  Frequency during pregnancy ranging from 1- 57 %  This wide range is due to inclusion of emotional, verbal, and/or physical violence within the definition of DV/IPV Risk factors  Maternal or intimate partner---- substance abuse  Low maternal educational level & low socioeconomic status  Unintended pregnancy  History of DV prior to pregnancy  Unmarried status 
  • 17.
    TYPES OF DOMESTICVIOLENCE Beating --- hurt on abdomen—with leg. Stick.  Pushing down from stairs.  Pushing her out of door  Torched with burning objects –wood , candle , Hot Iron ,hot iron rod ,intentional Kerosene stove burn/ cooking gas stove accident s  Sharp objects like kitchen knife,  NO food / drink even water for whole day and night.  Abusement.  Electric shock.  Pushing the head against pillar / wall. 
  • 18.
    INTENTIONAL TRAUMA DURINGPREGNANCY Adverse pregnancy outcomes associated with DV/IPV  Increased rate of Spontaneous abortion. APH , Uterine rupture  Preterm birth  Low birth weight .  Admissions of new born in Neonatal intensive care unit  Maternal Morbidity and mortality increases---- as incidence of emergency operative delivery also increase.
  • 19.
    PENETRATING TRAUMA INPREGNANCY In one study, penetrating trauma accounted for 9% of all pregnant trauma admissions  Of those, 73% were handgun-, 23% knife-, and 4% shotgun related.  Fall on sharp object and bull horn injury are common in rural Indian women  Penetrating trauma in pregnancy is associated with - Increased foetal mortality (as high as 73%) - Increased hospital stay, - Complications such as intestinal perforation . Haemo peritoneum due to intra abdominal organs like liver .spleen. Pregnant uterus. Big vessels etc. 
  • 20.
    SUICIDE & HOMICIDEIN PREGNANCY Incidence  Estimated rates of suicide and homicide in pregnancy were about 2.0/100,000 and 2.9/100,000 live births, respectively  Suicide are more common in post natal period due to puerperal psychosis and accounts for approximately 20% of postpartum maternal deaths.  Interestingly, pregnancy may be protective in those women who are otherwise at high risk for suicide or homicide Risk factor  Substance abuse appears to be the best identifier for detecting women at risk for suicide  Another major risk factor for attempting suicide, especially during the postpartum period, is foetal or infant death  Often associated with / precipitated by DV/IPV
  • 21.
    SUICIDE & HOMICIDEIN PREGNANCY Risk factor  Unsuccessful suicide attempts have also been associated with adverse pregnancy outcomes Obstetric outcome  Women who attempted unsuccessful suicide had increased risk of - Premature labor - Cesarean delivery - Need for Blood transfusion - Increased respiratory distress syndrome in new born - Low birthweight  Suicide attempt by intentional self-poisoning clearly affects both foetus and mother; maternal death occurs in 1.8% of cases after suicide attempts by ingestion of medication
  • 22.
    USG PICTURES OFABDOMEN OF A PREGNANT WOMEN WITH BLUNT TRAUMA OF ABDOMEN
  • 24.
    USG –M modeof Fetal heart activity In awomen who had blunt Trauna of abdomen
  • 25.
  • 26.
    Fracture Pelvis And injury to bladder Roadaccident of pregnant women in early weeks of gestation
  • 27.
  • 28.
    PHOTOS OF CTEVALUATION OF PREGNANT WOMAN WITH TRAUMA– CT SCANS DONE AS A PART OF INVESTIGATIONS DONE IN EMERGENCY --- MATERNAL HEAD AND ABDOMEN AS PER NEED OF INDIVIDUAL CASE ---WITHOUT FEAR OF X RAYS EXPOSURE TO FETUS IN UTERO
  • 36.
    MANAGEMENT When caring forthe pregnant patient who has suffered trauma, the primary management goal is to stabilize the condition of the mother, as foetal outcomes are directly correlated with early and aggressive maternal resuscitation  Pregnant women should be immediately transported to a centre that is:  (1) Capable of undertaking a timely and thorough trauma evaluation (2) Facilities for management of life-threatening injuries are available’ (3) having ICU for obstetrical emergency an New born The initial maternal evaluation (primary survey) should follow nonpregnant guidelines and include a full trauma history and vital signs assessment as well as displacement of the gravid uterus to one side by tilting the women in left lateral position.  When possible, joint evaluation of the patient by Medical Jurist, trauma managing and obstetrical team should be 
  • 38.
     When fetus isviable, Start fetal monitoring along with management
  • 40.
    MANAGEMENT CONSIDERATIONS Pregnancy shouldnot lead to under diagnosis or under treatment of trauma due to the fears of adverse foetal effects, e.g. - Decision to do investigations (CT, X-Ray) - Decision to undertake surgery etc.  When possible, uterus should be displaced to left side as it - Relieves compression on IVC & Aorta - Improves venous return and foeto placental circulation too  When foetus is viable, continuous foetal monitoring should be initiated as soon as possible & foetal monitoring can be discontinued after 4 hours if uterine contractions occur less frequently than every 10 minutes, the foetal heart tracing is reassuring, and there is no maternal abdominal pain or vaginal bleeding  Simultaneous evaluation by trauma & obstetrical teams may be indicated 
  • 41.
    MANAGEMENT CONSIDERATIONS Personnel trainedin difficult intubation should be readily available, because - Difficult airway - Association with cervical spine injury  Penetrating injuries are more likely to affect the foetus, especially those penetrating the pregnant uterus.  If a thoracostomy tube is indicated, it should be placed 1-2 intercostal spaces above usual fifth intercostal space landmark to avoid abdominal placement & liver injury as the diaphragm is lifted up by the pregnant uterus.  Pelvic fractures do not necessarily preclude vaginal delivery  If peritoneal lavage is indicated, an open technique is preferred .  a placement of a Foley catheter and nasogastric tube 
  • 42.
    MANAGEMENT CONSIDERATIONS  In second-and third-trimester burn victims, delivery should be considered if affected total affected body surface area is 50% Focused Assessment with Sonography for Trauma (FAST) is reliable during pregnancy  This targeted ultrasound assesses 4 areas for evidence of free fluid: the subxiphoid; the right upper quadrant; the left upper quadrant; and the suprapubic area   Perimortem cesarean section may be appropriate in setting of imminent maternal death or after 4 min of properly performed but unsuccessful cardiopulmonary resuscitation
  • 43.
    Key words of injury- including ―motor vehicle accident /crash,‖ ―burns,‖ ―falls,‖ ―slips,‖ ―accidental overdose,‖ ―domestic violence,‖ ―suicide,‖ ―homicide,‖ ―penetrating abdominal wound,‖ and ―intentional overdose‖  Mechanism  Management strategies – Immediate and thorough clinical evaluation by team of medical jurist General surgeon, orthopaedician and obstetrician, Monitoring and management of Vital signs, essential investigations to exactly know the severity of trauma – Xray ,CT , MRI , ultrasound, foetal monitoring, and individualized obstetrical management including perimortem caesarean section.