Prof. M.C.Bansal. 
Founder Principal & Controller; 
Jhalawar Medical College And Hospital, Jhalawar. 
Ex . Founder Principal & Controller; 
Mahatma Gandhi Medical College And Hospital, 
Sitapura , jaipur.
 MRI is one of the great , clinically very useful 
modern advances in the field of imaging in 
medical science. 
 Radio frequency pulses are directed at living 
body tissue/ Organ in magnetic field , the tissue 
emits back(reflected )the modulated 
radiofrequency signals which are used to 
construct the image of emitting tissue or organ. 
 By varying the time of application of 
radiofrequency pulses and sampling the emitted 
signals,T1 &T2- weighted images are obtained.
 Different tissues appear with different 
intensity and brightness in T1 and T2 images. 
 Depending upon their molecular morphology 
different tissue emit variable radiofrequency 
signals—hence different intensity and 
brightness. 
 Paramagnetic contrast agents like 
Gadolinium- DTPA are used for better 
delineation ( demarcation ) of adjoining 
tissue / organs.
 Study of normal uterus and adnexa – with 
aim to have clear image of normal 
myometrium, endometrium , ovary and 
follicles within the ovary. 
 Myoma—to differentiate myoma from 
adenomyoma.localization of myoma—sub 
serous/ intra mural or sub mucous. 
 Adenomyosis---accurate diagnosis. 
 Congenital uterovaginal anomalies— 
bicornuate, septate,subseptate , 
unicornuate, didelphys ,rudimentary horn 
and vaginal atrasia etc
 Gynaecological cancers--- 
1. Cervical cancer –extent of parametrium 
and pelvic organs , pelvic L.N., Endocervical. 
2.Endometrial cancer –Myometrial 
invasion, downward extension to cervix. 
3. ovarian cancer—malignant versus 
benign mass, ascites , retroperitoneal node > 
1cm , Bowel bladder , ano rectal . Parietal 
peritoneum , liver and or omental 
metastasis. 
4. Pregnancy --- complicated by genital 
cancers
 MRI is most sensitive for diagnosis of Adenomyosis. 
 MRI Is more accurate and informative in diagnosis of 
congenital malformation of genito-urinary tract. 
 Retroparitoneal lymph node > 1cm can be identified 
so also such small deposits on bowel / bladder liver 
can be identified in cases of cancers. 
 It is more sensitive and accurate tool to assess 
infiltration of myometrial/ cervical wall, adjoining 
organs and parametrium --thus helps in pre 
operative staging of genital carcinomas. 
 As it is safe in pregnancy –it is useful in diagnosis of 
obstetrical conditions as well s differentiation of 
tumors (benign / malignant ) complicating pregnancy.
Uterus 
Cervix 
Vagina 
Rectum 
Sacrum
Normal- Uterus
A 
B
UTERUS ----DIDELPHYS
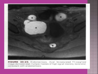
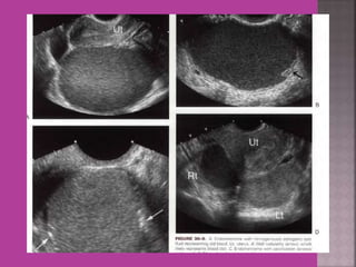
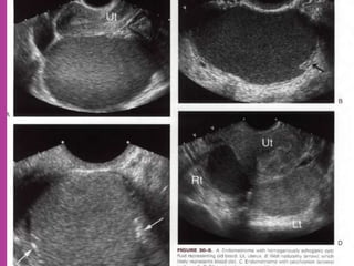
Ovarian Endometriomaa
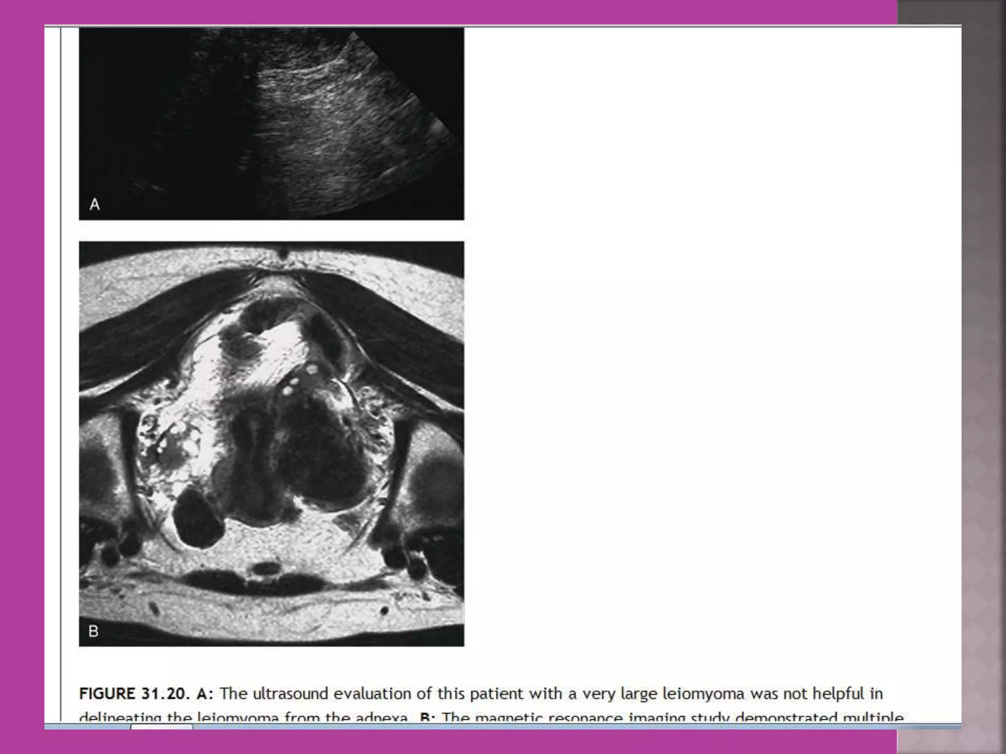
Degeneration Of Fibroid
Cystic Degeneration of 
Fibroid
Endometrial 
Ca 
Endo-ca— 
extending in 
cervical canal 
Pelvic Nodes
Ca CX – 
Extending to 
Bladder Uterus
MRI-----Bilateral ovaries with PCOD changes
Ovarian Tumor
Dermoid Cyst
MRI---Pituitary adenoma (A) MRI– Pituitary fosa after surgery of 
macroadenoma 
empty 
Fosa
MRI Normal Fetal Brain at Term
-MRI—Ft Fetus 
Wth 
Diaphragmatic 
Hrenia(arrows)
Mri in ob  gy practice
Mri in ob  gy practice
Mri in ob  gy practice
Mri in ob  gy practice
Mri in ob  gy practice
Mri in ob  gy practice

Mri in ob gy practice

  • 1.
    Prof. M.C.Bansal. FounderPrincipal & Controller; Jhalawar Medical College And Hospital, Jhalawar. Ex . Founder Principal & Controller; Mahatma Gandhi Medical College And Hospital, Sitapura , jaipur.
  • 2.
     MRI isone of the great , clinically very useful modern advances in the field of imaging in medical science.  Radio frequency pulses are directed at living body tissue/ Organ in magnetic field , the tissue emits back(reflected )the modulated radiofrequency signals which are used to construct the image of emitting tissue or organ.  By varying the time of application of radiofrequency pulses and sampling the emitted signals,T1 &T2- weighted images are obtained.
  • 3.
     Different tissuesappear with different intensity and brightness in T1 and T2 images.  Depending upon their molecular morphology different tissue emit variable radiofrequency signals—hence different intensity and brightness.  Paramagnetic contrast agents like Gadolinium- DTPA are used for better delineation ( demarcation ) of adjoining tissue / organs.
  • 4.
     Study ofnormal uterus and adnexa – with aim to have clear image of normal myometrium, endometrium , ovary and follicles within the ovary.  Myoma—to differentiate myoma from adenomyoma.localization of myoma—sub serous/ intra mural or sub mucous.  Adenomyosis---accurate diagnosis.  Congenital uterovaginal anomalies— bicornuate, septate,subseptate , unicornuate, didelphys ,rudimentary horn and vaginal atrasia etc
  • 5.
     Gynaecological cancers--- 1. Cervical cancer –extent of parametrium and pelvic organs , pelvic L.N., Endocervical. 2.Endometrial cancer –Myometrial invasion, downward extension to cervix. 3. ovarian cancer—malignant versus benign mass, ascites , retroperitoneal node > 1cm , Bowel bladder , ano rectal . Parietal peritoneum , liver and or omental metastasis. 4. Pregnancy --- complicated by genital cancers
  • 6.
     MRI ismost sensitive for diagnosis of Adenomyosis.  MRI Is more accurate and informative in diagnosis of congenital malformation of genito-urinary tract.  Retroparitoneal lymph node > 1cm can be identified so also such small deposits on bowel / bladder liver can be identified in cases of cancers.  It is more sensitive and accurate tool to assess infiltration of myometrial/ cervical wall, adjoining organs and parametrium --thus helps in pre operative staging of genital carcinomas.  As it is safe in pregnancy –it is useful in diagnosis of obstetrical conditions as well s differentiation of tumors (benign / malignant ) complicating pregnancy.
  • 7.
    Uterus Cervix Vagina Rectum Sacrum
  • 8.
  • 13.
  • 16.
  • 24.
  • 36.
  • 38.
  • 42.
    Endometrial Ca Endo-ca— extending in cervical canal Pelvic Nodes
  • 48.
    Ca CX – Extending to Bladder Uterus
  • 51.
  • 57.
  • 60.
  • 68.
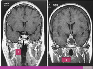
    MRI---Pituitary adenoma (A)MRI– Pituitary fosa after surgery of macroadenoma empty Fosa
  • 71.
    MRI Normal FetalBrain at Term
  • 73.
    -MRI—Ft Fetus Wth Diaphragmatic Hrenia(arrows)