October 31, 2014 1
CAÙCH ÑOÏC PHIM
X QUANG NGÖÏC
BS.NGUYEÃN QUYÙ KHOAÙNG
BS.NGUYEÃN QUANG TROÏNG
KHOA CHAÅN ÑOAÙN HÌNH AÛNH
BEÄNH VIEÄN AN BÌNH -TP.HCM
2October 31, 2014
DAØN BAØI
 Ñaïi cöông.
 Kieåm tra veà kyõ thuaät.
 Phaân tích hình aûnh.
 Toång hôïp caùc daáu chöùng.
 Caùc nguyeân nhaân.
 Chaån ñoaùn.
 Keát luaän.
3October 31, 2014
ÑAÏI CÖÔNG
 Ñoái vôùi moät Baùc só X Quang,thì phim X
Quang ngöïc thöôøng gaëp nhaát (#50%)
 Tuy vaäy,keát quaû ñoïc phim tuøy thuoäc
nhieàu vaøo trình ñoä vaø kinh nghieäm cuûa
BS ñoïc phim:
Tyû leä AÂm tính giaû # 15-30%.
Tyû leä Döông tính giaû # 1-15%.
4October 31, 2014
ÑAÏI CÖÔNG
*Cách dùng từ khác nhau=
Graphie phulmonaire- Chest radiography
*Ñeå traùnh sai soùt,ta caàn ñoïc phim moät
caùch heä thoáng:
Kieåm tra veà kyõ thuaät.
Phaân tích hình aûnh.
Toång hôïp caùc daáu chöùng.
Keát luaän.
Ñeà nghò.
5October 31, 2014
DAØN BAØI
 Ñaïi cöông.
 Kieåm tra veà kyõ thuaät.
 Phaân tích hình aûnh.
 Toång hôïp caùc daáu chöùng.
 Caùc nguyeân nhaân.
 Chaån ñoaùn.
 Keát luaän.
6 February 10, 2004
KYÕ THUAÄT
PHIM NGÖÏC THAÚNG SAU-TRÖÔÙC
7 February 10, 2004
KYÕ THUAÄT
Phim ngöïc thaúng chuaån(standard chest XR):
Theá sau-tröôùc:Tia X ñi töø sau löng ra
tröôùc ngöïc ñeå tim khoâng bò phoùng ñaïi.
Khoaûng caùch töø ñaàu ñeøn ñeán
cassette: 1,8m(6 feet).
Beänh nhaân ñöùng ngay ngaén,ngöïc aùp
saùt cassette,hai tay choáng naïnh vaø
ñöa hai khuyûu tay ra tröôùc ñeå taùch hai
xöông baû vai ra khoûi loàng ngöïc.
8October 31, 2014
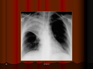
KIEÅM TRA VEÀ KYÕ THUAÄT
 Chuïp ôû thì hít vaøo saâu vaø nín thôû: Thaáy
ñöôïc vòm hoành phải ở từ cung söôøn sau
thứ 9 trở xuống.
 Söû duïng kV cao (Haute tension):100-
120 kV, ñeå ñaùnh giaù toát trung thaát.
 Boùng xöông baû vai phaûi taùch khoûi
tröôøng phoåi.
 Buùi toùc phaûi ñöôïc cuoän cao treân ñaàu.
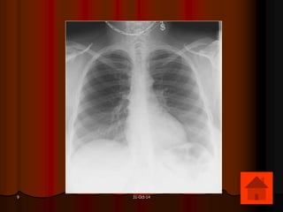
31-Oct-149
10 February 10, 2004
31-Oct-1411
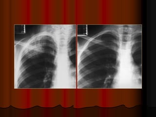
AP view và PA view ở cùng một bệnh nhân: bóng tim bị phóng đại
khi chụp tư thế trước-sau.
12October 31, 2014
KIEÅM TRA VEÀ KYÕ THUAÄT
 Phim phaûi ñöôïc chuïp ôû tö theá thaät ngay
thaúng: Khoaûng caùch töø ñaàu trong xöông
ñoøn hai beân ñeán maáu gai ñoát soáng baèng
nhau (ñoái vôùi treû em thì so saùnh khoaûng
caùch töø ñaàu trong cung söôøn tröôùc ñeán
ñöôøng giöõa).
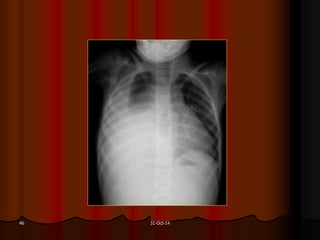
31-Oct-1413
Được xem là cân đối khi khoảng cách từ đầu trong của xương
đòn hai bên đến gai sống bằng nhau.
14October 31, 2014
KIEÅM TRA VEÀ KYÕ THUAÄT
15October 31, 2014
KIEÅM TRA VEÀ KYÕ THUAÄT
31-Oct-1416
31-Oct-1417
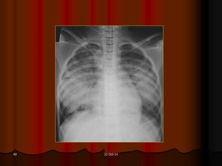
Được xem là hít đủ sâu khi ta thấy được hình chiếu của xương
sườn lên phổi 6 cung sườn trước hoặc 10 cung sườn sau.
31-Oct-1418
Hít không đủ sâu Hít đủ sâu
19October 31, 2014
KIEÅM TRA VEÀ KYÕ THUAÄT
31-Oct-1420
Hít không đủ sâu Hít đủ sâu
21October 31, 2014
KIEÅM TRA VEÀ KYÕ THUAÄT
DẤU HIỆU BĂNG QUA THÀNH NGỰC
(CROSSING CHEST WALL SIGN)
Búi tóc
24October 31, 2014
KIEÅM TRA VEÀ KYÕ THUAÄT
25October 31, 2014
KIEÅM TRA VEÀ KYÕ THUAÄT
BAØN TAY NGÖÔØI CHAÊM SOÙC
BEÄNH NHAÂN
BOÙNG MÔØ PHEÁ NANG PHOÅI (P)?
26October 31, 2014
KIEÅM TRA VEÀ KYÕ THUAÄT
27October 31, 2014
KIEÅM TRA VEÀ KYÕ THUAÄT
28October 31, 2014
KIEÅM TRA VEÀ KYÕ THUAÄT
29October 31, 2014
DAØN BAØI
 Ñaïi cöông.
 Kieåm tra veà kyõ thuaät.
 Phaân tích hình aûnh.
 Toång hôïp caùc daáu chöùng.
 Caùc nguyeân nhaân.
 Chaån ñoaùn.
 Keát luaän.
30October 31, 2014
PHAÂN TÍCH HÌNH AÛNH
 Moâ meàm thaønh ngöïc.
 Khung xöông ngöïc.
 Maøng phoåi.
 Trung thaát.
 Phoåi.
31 October 31, 2014
BAÁT THÖÔØNG HOAËC TOÅN THÖÔNG MOÂ MEÀM
ÑOÙNG VOÂI THAØNH NGÖÏC
HAÏCH VOÂI HOÙA ÔÛ BEÄNH NHAÂN COÙ TIEÀN CAÊN LAO PHOÅI
32 October 31, 2014
BAÁT THÖÔØNG HOAËC TOÅN THÖÔNG MOÂ MEÀM
TRAØN KHÍ DÖÔÙI DA
33 October 31, 2014
BAÁT THÖÔØNG HOAËC TOÅN THÖÔNG KHUNG XÖÔNG
TOÅN THÖÔNG THAØNH NGÖÏC
Imaging of Chest Wall Disorders.Mi-Young Jeung, MD. (Radiographics. 1999;19:617-637.)
CHONDROSARCOMA
31-Oct-1435
A.J.Chandrasekhar,M.D.Chest X-ray Atlas.
HILUM OVERLAY SIGN: TERATOMA
Thymoma
Schwannoma
40October 31, 2014
PHAÂN TÍCH HÌNH AÛNH
 Hình bình thöôøng hay baát thöôøng ?
 Vò trí toån thöông ?
 Maät ñoä toån thöông ?
 Caùc toån thöông keát hôïp ?
4 ĐẬM ĐỘ CHÍNH
 ĐĐ.KHÍ (AIR DENSITY): đen
 ĐĐ MỠ (FAT DENSITY):Xám
 ĐĐ NƯỚC (WATER DENSITY):Trắng
 ĐĐ VÔI (CALCIUM DENSITY):Trắng nhiều
41October 31, 2014
42October 31, 2014
PHAÂN TÍCH HÌNH AÛNH
ÑAÄM ÑOÄ – X QUANG QUI ÖÔÙC
43October 31, 2014
PHAÂN TÍCH HÌNH AÛNH
ÑAÄM ÑOÄ – X QUANG QUI ÖÔÙC
Dalia Megiddo,M.D et al. Chest X-ray interpretation. Academia Medica,Jerusalem,ISRAEL.
44October 31, 2014
DAØN BAØI
 Ñaïi cöông.
 Kieåm tra veà kyõ thuaät.
 Phaân tích hình aûnh.
 Toång hôïp caùc daáu chöùng.
 Caùc nguyeân nhaân.
 Chaån ñoaùn.
 Keát luaän.
45October 31, 2014
TOÅNG HÔÏP CAÙC DAÁU CHÖÙNG
TAÙM HOÄI CHÖÙNG LOÀNG NGÖÏC
 Hoäi chöùng thaønh ngöïc.
 Hoäi chöùng maøng phoåi.
 Hoäi chöùng trung thaát.
 Hoäi chöùng pheá nang.
 Hoäi chöùng moâ keõ.
 Hoäi chöùng pheá quaûn.
 Hoäi chöùng maïch maùu.
 Hoäi chöùng chuû moâ.
31-Oct-1446
31-Oct-1447
31-Oct-1448
31-Oct-1449
31-Oct-1452
53October 31, 2014
PHAÂN TÍCH HÌNH AÛNH
CAÙC VUØNG HAY BOÛ SOÙT KHI ÑOÏC PHIM
54October 31, 2014
DAØN BAØI
 Ñaïi cöông.
 Kieåm tra veà kyõ thuaät.
 Phaân tích hình aûnh.
 Toång hôïp caùc daáu chöùng.
 Caùc nguyeân nhaân.
 Chaån ñoaùn.
 Keát luaän.
55October 31, 2014
CAÙC NGUYEÂN NHAÂN
TITO
 T (Trauma):Chaán thöông.
 I (Infection):Nhieãm truøng.
 T (Tumor):Khoái u.
 O (Others):Caùc nguyeân nhaân khaùc.
56October 31, 2014
DAØN BAØI
 Ñaïi cöông.
 Kieåm tra veà kyõ thuaät.
 Phaân tích hình aûnh.
 Toång hôïp caùc daáu chöùng.
 Caùc nguyeân nhaân.
 Chaån ñoaùn.
 Keát luaän.
57October 31, 2014
CHAÅN ÑOAÙN
 Chaån ñoaùn xaùc ñònh.
 Chaån ñoaùn phaân bieät.
 Ñeà nghò:
 So saùnh vôùi caùc hình tröôùc.
 Keát hôïp vôùi laâm saøng.
 Laøm theâm caùc khaùm nghieäm khaùc:
 Chuïp theâm caùc tö theá khaùc.
 Sieâu aâm,CT Scanner,MRI…keát hôïp.
 Noäi soi,Xeùt nghieäm…
58October 31, 2014
DAØN BAØI
 Ñaïi cöông.
 Kieåm tra veà kyõ thuaät.
 Phaân tích hình aûnh.
 Toång hôïp caùc daáu chöùng.
 Caùc nguyeân nhaân.
 Chaån ñoaùn.
 Keát luaän.
31 October 201459
60October 31, 2014
KEÁT LUAÄN
 X quang cuõng nhö caùc phöông tieän
chaån ñoaùn hình aûnh khaùc chæ laø “boùng
cuûa söï thaät”.
 Phaûi bieát phoái hôïp vôùi caùc phöông tieän
chaån ñoaùn hình aûnh vaø caän laâm saøng
khaùc ñeå cho keát quaû toát nhaát.
 Caàn phaûi lyù giaûi döïa treân boái caûnh laâm
saøng.
ĐỐ VUI ĐỂ HỌC
61October 31, 2014
31-Oct-1462
63October 31, 2014
NHÖÕNG BOÙNG DAÏNG HANG
October 31, 2014
AÙP-XE THUØY TREÂN PHOÅI (P)
October 31, 2014
AÙP-XE THUØY TREÂN PHOÅI (T)
October 31, 2014
AÙP-XE THUØY LÖÔÕI PHOÅI (T)
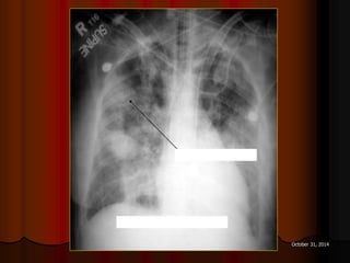
67 October 31, 2014
AÙP-XE PHOÅI
October 31, 2014
HANG LAO
October 31, 2014
HANG LAO
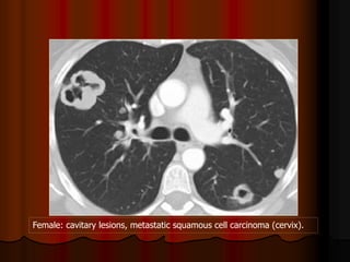
Cavitating squamous cell carcinoma: hang lệch tâm, thành hang dày
Female: cavitary lesions, metastatic squamous cell carcinoma (cervix).
Mỗi hang thường có một banh nấm
Mukesh G. Harisinghani, MD et al. Tuberculosis from Head to Toe. Radiographics.
2000;20:449-470.
75 October 31, 2014
October 31, 2014
77 October 31, 2014
ASPERGILLOME
78 October 31, 2014
ASPERGILLOME
DẤU HIỆU LỤC LẠC
(SIGN OF TINTINNABULUM)
 Sign of tintinnabulum = Signe de grelot.
 Nấm Aspergillus có thể gây bệnh ở người với 2 thể chính:
 Thể xâm lấn mạch máu (Angioinvasive Aspergillosis): tổn
thương lan toả, gặp ở người có cơ địa suy giảm miễn dịch. Ở
thể này ta có dấu hiệu vầng hào quang (halo sign) trên CT.
 Thể banh nấm (Saprophytic Aspergillosis = Aspergilloma):
hình thành banh nấm (fungus ball) trong lòng các tổn thương
hang ở phổi, thường gặp ở BN có hang lao. Thể này cho dấu
hiệu lục lạc (Tintinnabulum sign) hay dấu hiệu liềm khí (Air
crescent sign) tuỳ theo tác giả.
31 October 201480
XIN CẢM ƠN SỰ CHÚ Ý THEO DÕI CỦA QUÝ BÁC SĨ

cach doc phim xq nguc

  • 1.
    October 31, 20141 CAÙCH ÑOÏC PHIM X QUANG NGÖÏC BS.NGUYEÃN QUYÙ KHOAÙNG BS.NGUYEÃN QUANG TROÏNG KHOA CHAÅN ÑOAÙN HÌNH AÛNH BEÄNH VIEÄN AN BÌNH -TP.HCM
  • 2.
    2October 31, 2014 DAØNBAØI  Ñaïi cöông.  Kieåm tra veà kyõ thuaät.  Phaân tích hình aûnh.  Toång hôïp caùc daáu chöùng.  Caùc nguyeân nhaân.  Chaån ñoaùn.  Keát luaän.
  • 3.
    3October 31, 2014 ÑAÏICÖÔNG  Ñoái vôùi moät Baùc só X Quang,thì phim X Quang ngöïc thöôøng gaëp nhaát (#50%)  Tuy vaäy,keát quaû ñoïc phim tuøy thuoäc nhieàu vaøo trình ñoä vaø kinh nghieäm cuûa BS ñoïc phim: Tyû leä AÂm tính giaû # 15-30%. Tyû leä Döông tính giaû # 1-15%.
  • 4.
    4October 31, 2014 ÑAÏICÖÔNG *Cách dùng từ khác nhau= Graphie phulmonaire- Chest radiography *Ñeå traùnh sai soùt,ta caàn ñoïc phim moät caùch heä thoáng: Kieåm tra veà kyõ thuaät. Phaân tích hình aûnh. Toång hôïp caùc daáu chöùng. Keát luaän. Ñeà nghò.
  • 5.
    5October 31, 2014 DAØNBAØI  Ñaïi cöông.  Kieåm tra veà kyõ thuaät.  Phaân tích hình aûnh.  Toång hôïp caùc daáu chöùng.  Caùc nguyeân nhaân.  Chaån ñoaùn.  Keát luaän.
  • 6.
    6 February 10,2004 KYÕ THUAÄT PHIM NGÖÏC THAÚNG SAU-TRÖÔÙC
  • 7.
    7 February 10,2004 KYÕ THUAÄT Phim ngöïc thaúng chuaån(standard chest XR): Theá sau-tröôùc:Tia X ñi töø sau löng ra tröôùc ngöïc ñeå tim khoâng bò phoùng ñaïi. Khoaûng caùch töø ñaàu ñeøn ñeán cassette: 1,8m(6 feet). Beänh nhaân ñöùng ngay ngaén,ngöïc aùp saùt cassette,hai tay choáng naïnh vaø ñöa hai khuyûu tay ra tröôùc ñeå taùch hai xöông baû vai ra khoûi loàng ngöïc.
  • 8.
    8October 31, 2014 KIEÅMTRA VEÀ KYÕ THUAÄT  Chuïp ôû thì hít vaøo saâu vaø nín thôû: Thaáy ñöôïc vòm hoành phải ở từ cung söôøn sau thứ 9 trở xuống.  Söû duïng kV cao (Haute tension):100- 120 kV, ñeå ñaùnh giaù toát trung thaát.  Boùng xöông baû vai phaûi taùch khoûi tröôøng phoåi.  Buùi toùc phaûi ñöôïc cuoän cao treân ñaàu.
  • 9.
  • 10.
  • 11.
    31-Oct-1411 AP view vàPA view ở cùng một bệnh nhân: bóng tim bị phóng đại khi chụp tư thế trước-sau.
  • 12.
    12October 31, 2014 KIEÅMTRA VEÀ KYÕ THUAÄT  Phim phaûi ñöôïc chuïp ôû tö theá thaät ngay thaúng: Khoaûng caùch töø ñaàu trong xöông ñoøn hai beân ñeán maáu gai ñoát soáng baèng nhau (ñoái vôùi treû em thì so saùnh khoaûng caùch töø ñaàu trong cung söôøn tröôùc ñeán ñöôøng giöõa).
  • 13.
    31-Oct-1413 Được xem làcân đối khi khoảng cách từ đầu trong của xương đòn hai bên đến gai sống bằng nhau.
  • 14.
    14October 31, 2014 KIEÅMTRA VEÀ KYÕ THUAÄT
  • 15.
    15October 31, 2014 KIEÅMTRA VEÀ KYÕ THUAÄT
  • 16.
  • 17.
    31-Oct-1417 Được xem làhít đủ sâu khi ta thấy được hình chiếu của xương sườn lên phổi 6 cung sườn trước hoặc 10 cung sườn sau.
  • 18.
    31-Oct-1418 Hít không đủsâu Hít đủ sâu
  • 19.
    19October 31, 2014 KIEÅMTRA VEÀ KYÕ THUAÄT
  • 20.
    31-Oct-1420 Hít không đủsâu Hít đủ sâu
  • 21.
    21October 31, 2014 KIEÅMTRA VEÀ KYÕ THUAÄT
  • 23.
    DẤU HIỆU BĂNGQUA THÀNH NGỰC (CROSSING CHEST WALL SIGN) Búi tóc
  • 24.
    24October 31, 2014 KIEÅMTRA VEÀ KYÕ THUAÄT
  • 25.
    25October 31, 2014 KIEÅMTRA VEÀ KYÕ THUAÄT BAØN TAY NGÖÔØI CHAÊM SOÙC BEÄNH NHAÂN BOÙNG MÔØ PHEÁ NANG PHOÅI (P)?
  • 26.
    26October 31, 2014 KIEÅMTRA VEÀ KYÕ THUAÄT
  • 27.
    27October 31, 2014 KIEÅMTRA VEÀ KYÕ THUAÄT
  • 28.
    28October 31, 2014 KIEÅMTRA VEÀ KYÕ THUAÄT
  • 29.
    29October 31, 2014 DAØNBAØI  Ñaïi cöông.  Kieåm tra veà kyõ thuaät.  Phaân tích hình aûnh.  Toång hôïp caùc daáu chöùng.  Caùc nguyeân nhaân.  Chaån ñoaùn.  Keát luaän.
  • 30.
    30October 31, 2014 PHAÂNTÍCH HÌNH AÛNH  Moâ meàm thaønh ngöïc.  Khung xöông ngöïc.  Maøng phoåi.  Trung thaát.  Phoåi.
  • 31.
    31 October 31,2014 BAÁT THÖÔØNG HOAËC TOÅN THÖÔNG MOÂ MEÀM ÑOÙNG VOÂI THAØNH NGÖÏC HAÏCH VOÂI HOÙA ÔÛ BEÄNH NHAÂN COÙ TIEÀN CAÊN LAO PHOÅI
  • 32.
    32 October 31,2014 BAÁT THÖÔØNG HOAËC TOÅN THÖÔNG MOÂ MEÀM TRAØN KHÍ DÖÔÙI DA
  • 33.
    33 October 31,2014 BAÁT THÖÔØNG HOAËC TOÅN THÖÔNG KHUNG XÖÔNG TOÅN THÖÔNG THAØNH NGÖÏC Imaging of Chest Wall Disorders.Mi-Young Jeung, MD. (Radiographics. 1999;19:617-637.) CHONDROSARCOMA
  • 35.
  • 36.
  • 37.
  • 39.
  • 40.
    40October 31, 2014 PHAÂNTÍCH HÌNH AÛNH  Hình bình thöôøng hay baát thöôøng ?  Vò trí toån thöông ?  Maät ñoä toån thöông ?  Caùc toån thöông keát hôïp ?
  • 41.
    4 ĐẬM ĐỘCHÍNH  ĐĐ.KHÍ (AIR DENSITY): đen  ĐĐ MỠ (FAT DENSITY):Xám  ĐĐ NƯỚC (WATER DENSITY):Trắng  ĐĐ VÔI (CALCIUM DENSITY):Trắng nhiều 41October 31, 2014
  • 42.
    42October 31, 2014 PHAÂNTÍCH HÌNH AÛNH ÑAÄM ÑOÄ – X QUANG QUI ÖÔÙC
  • 43.
    43October 31, 2014 PHAÂNTÍCH HÌNH AÛNH ÑAÄM ÑOÄ – X QUANG QUI ÖÔÙC Dalia Megiddo,M.D et al. Chest X-ray interpretation. Academia Medica,Jerusalem,ISRAEL.
  • 44.
    44October 31, 2014 DAØNBAØI  Ñaïi cöông.  Kieåm tra veà kyõ thuaät.  Phaân tích hình aûnh.  Toång hôïp caùc daáu chöùng.  Caùc nguyeân nhaân.  Chaån ñoaùn.  Keát luaän.
  • 45.
    45October 31, 2014 TOÅNGHÔÏP CAÙC DAÁU CHÖÙNG TAÙM HOÄI CHÖÙNG LOÀNG NGÖÏC  Hoäi chöùng thaønh ngöïc.  Hoäi chöùng maøng phoåi.  Hoäi chöùng trung thaát.  Hoäi chöùng pheá nang.  Hoäi chöùng moâ keõ.  Hoäi chöùng pheá quaûn.  Hoäi chöùng maïch maùu.  Hoäi chöùng chuû moâ.
  • 46.
  • 47.
  • 48.
  • 49.
  • 52.
  • 53.
    53October 31, 2014 PHAÂNTÍCH HÌNH AÛNH CAÙC VUØNG HAY BOÛ SOÙT KHI ÑOÏC PHIM
  • 54.
    54October 31, 2014 DAØNBAØI  Ñaïi cöông.  Kieåm tra veà kyõ thuaät.  Phaân tích hình aûnh.  Toång hôïp caùc daáu chöùng.  Caùc nguyeân nhaân.  Chaån ñoaùn.  Keát luaän.
  • 55.
    55October 31, 2014 CAÙCNGUYEÂN NHAÂN TITO  T (Trauma):Chaán thöông.  I (Infection):Nhieãm truøng.  T (Tumor):Khoái u.  O (Others):Caùc nguyeân nhaân khaùc.
  • 56.
    56October 31, 2014 DAØNBAØI  Ñaïi cöông.  Kieåm tra veà kyõ thuaät.  Phaân tích hình aûnh.  Toång hôïp caùc daáu chöùng.  Caùc nguyeân nhaân.  Chaån ñoaùn.  Keát luaän.
  • 57.
    57October 31, 2014 CHAÅNÑOAÙN  Chaån ñoaùn xaùc ñònh.  Chaån ñoaùn phaân bieät.  Ñeà nghò:  So saùnh vôùi caùc hình tröôùc.  Keát hôïp vôùi laâm saøng.  Laøm theâm caùc khaùm nghieäm khaùc:  Chuïp theâm caùc tö theá khaùc.  Sieâu aâm,CT Scanner,MRI…keát hôïp.  Noäi soi,Xeùt nghieäm…
  • 58.
    58October 31, 2014 DAØNBAØI  Ñaïi cöông.  Kieåm tra veà kyõ thuaät.  Phaân tích hình aûnh.  Toång hôïp caùc daáu chöùng.  Caùc nguyeân nhaân.  Chaån ñoaùn.  Keát luaän.
  • 59.
  • 60.
    60October 31, 2014 KEÁTLUAÄN  X quang cuõng nhö caùc phöông tieän chaån ñoaùn hình aûnh khaùc chæ laø “boùng cuûa söï thaät”.  Phaûi bieát phoái hôïp vôùi caùc phöông tieän chaån ñoaùn hình aûnh vaø caän laâm saøng khaùc ñeå cho keát quaû toát nhaát.  Caàn phaûi lyù giaûi döïa treân boái caûnh laâm saøng.
  • 61.
    ĐỐ VUI ĐỂHỌC 61October 31, 2014
  • 62.
  • 63.
    63October 31, 2014 NHÖÕNGBOÙNG DAÏNG HANG
  • 64.
    October 31, 2014 AÙP-XETHUØY TREÂN PHOÅI (P)
  • 65.
    October 31, 2014 AÙP-XETHUØY TREÂN PHOÅI (T)
  • 66.
    October 31, 2014 AÙP-XETHUØY LÖÔÕI PHOÅI (T)
  • 67.
    67 October 31,2014 AÙP-XE PHOÅI
  • 68.
  • 69.
  • 70.
    Cavitating squamous cellcarcinoma: hang lệch tâm, thành hang dày
  • 71.
    Female: cavitary lesions,metastatic squamous cell carcinoma (cervix).
  • 73.
    Mỗi hang thườngcó một banh nấm
  • 74.
    Mukesh G. Harisinghani,MD et al. Tuberculosis from Head to Toe. Radiographics. 2000;20:449-470.
  • 75.
  • 76.
  • 77.
    77 October 31,2014 ASPERGILLOME
  • 78.
    78 October 31,2014 ASPERGILLOME
  • 79.
    DẤU HIỆU LỤCLẠC (SIGN OF TINTINNABULUM)  Sign of tintinnabulum = Signe de grelot.  Nấm Aspergillus có thể gây bệnh ở người với 2 thể chính:  Thể xâm lấn mạch máu (Angioinvasive Aspergillosis): tổn thương lan toả, gặp ở người có cơ địa suy giảm miễn dịch. Ở thể này ta có dấu hiệu vầng hào quang (halo sign) trên CT.  Thể banh nấm (Saprophytic Aspergillosis = Aspergilloma): hình thành banh nấm (fungus ball) trong lòng các tổn thương hang ở phổi, thường gặp ở BN có hang lao. Thể này cho dấu hiệu lục lạc (Tintinnabulum sign) hay dấu hiệu liềm khí (Air crescent sign) tuỳ theo tác giả.
  • 80.
    31 October 201480 XINCẢM ƠN SỰ CHÚ Ý THEO DÕI CỦA QUÝ BÁC SĨ