June 19, 2013 1
CAÙCH ÑOÏC PHIM
X QUANG NGÖÏC
BS.NGUYEÃN QUYÙ KHOAÙNG
BS.NGUYEÃN QUANG TROÏNG
KHOA CHAÅN ÑOAÙN HÌNH AÛNH
BEÄNH VIEÄN AN BÌNH -TP.HCM
2June 19, 2013
DAØN BAØI
Ñaïi cöông.
Kieåm tra veà kyõ thuaät.
Phaân tích hình aûnh.
Toång hôïp caùc daáu chöùng.
Caùc nguyeân nhaân.
Chaån ñoaùn.
Keát luaän.
3June 19, 2013
ÑAÏI CÖÔNG
Ñoái vôùi moät Baùc só X Quang,thì phim X
Quang ngöïc thöôøng gaëp nhaát (#50%)
Tuy vaäy,keát quaû ñoïc phim tuøy thuoäc
nhieàu vaøo trình ñoä vaø kinh nghieäm cuûa
BS ñoïc phim:
Tyû leä AÂm tính giaû # 15-30%.
Tyû leä Döông tính giaû # 1-15%.
4June 19, 2013
ÑAÏI CÖÔNG
*Cách dùng từ khác nhau=
Graphie phulmonaire- Chest radiography
*Ñeå traùnh sai soùt,ta caàn ñoïc phim moät
caùch heä thoáng:
Kieåm tra veà kyõ thuaät.
Phaân tích hình aûnh.
Toång hôïp caùc daáu chöùng.
Keát luaän.
Ñeà nghò.
5June 19, 2013
DAØN BAØI
Ñaïi cöông.
Kieåm tra veà kyõ thuaät.
Phaân tích hình aûnh.
Toång hôïp caùc daáu chöùng.
Caùc nguyeân nhaân.
Chaån ñoaùn.
Keát luaän.
6 February 10, 2004
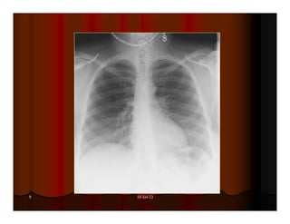
KYÕ THUAÄT
PHIM NGÖÏC THAÚNG SAU-TRÖÔÙC
7 February 10, 2004
KYÕ THUAÄT
Phim ngöïc thaúng chuaån(standard chest XR):
Theá sau-tröôùc:Tia X ñi töø sau löng ra
tröôùc ngöïc ñeå tim khoâng bò phoùng ñaïi.
Khoaûng caùch töø ñaàu ñeøn ñeán
cassette: 1,8m(6 feet).
Beänh nhaân ñöùng ngay ngaén,ngöïc aùp
saùt cassette,hai tay choáng naïnh vaø
ñöa hai khuyûu tay ra tröôùc ñeå taùch hai
xöông baû vai ra khoûi loàng ngöïc.
8June 19, 2013
KIEÅM TRA VEÀ KYÕ THUAÄT
Chuïp ôû thì hít vaøo saâu vaø nín thôû: Thaáy
ñöôïc vòm hoành phải ở từ cung söôøn sau
thứ 9 trở xuống.
Söû duïng kV cao (Haute tension):100-
120 kV, ñeå ñaùnh giaù toát trung thaát.
Boùng xöông baû vai phaûi taùch khoûi
tröôøng phoåi.
Buùi toùc phaûi ñöôïc cuoän cao treân ñaàu.
19-Jun-139
10 February 10, 2004
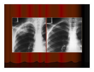
19-Jun-1311
AP view và PA view ở cùng một bệnh nhân: bóng tim bị phóng đại
khi chụp tư thế trước-sau.
12June 19, 2013
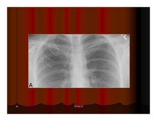
KIEÅM TRA VEÀ KYÕ THUAÄT
Phim phaûi ñöôïc chuïp ôû tö theá thaät ngay
thaúng: Khoaûng caùch töø ñaàu trong xöông
ñoøn hai beân ñeán maáu gai ñoát soáng baèng
nhau (ñoái vôùi treû em thì so saùnh khoaûng
caùch töø ñaàu trong cung söôøn tröôùc ñeán
ñöôøng giöõa).
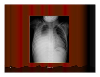
19-Jun-1313
Được xem là cân đối khi khoảng cách từ đầu trong của xương
đòn hai bên đến gai sống bằng nhau.
14June 19, 2013
KIEÅM TRA VEÀ KYÕ THUAÄT
15June 19, 2013
KIEÅM TRA VEÀ KYÕ THUAÄT
19-Jun-1316
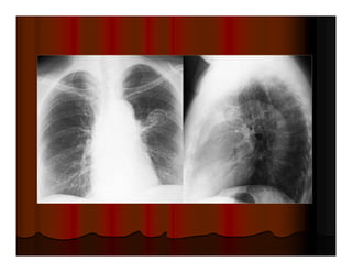
19-Jun-1317
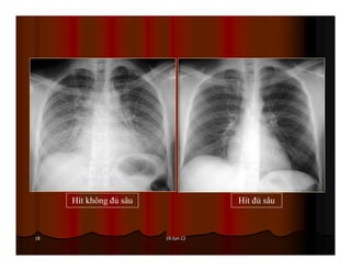
Được xem là hít đủ sâu khi ta thấy được hình chiếu của xương
sườn lên phổi 6 cung sườn trước hoặc 10 cung sườn sau.
19-Jun-1318
Hít không đủ sâu Hít đủ sâu
19June 19, 2013
KIEÅM TRA VEÀ KYÕ THUAÄT
19-Jun-1320
Hít không đủ sâu Hít đủ sâu
21June 19, 2013
KIEÅM TRA VEÀ KYÕ THUAÄT
DẤU HIỆU BĂNG QUA THÀNH NGỰC
(CROSSING CHEST WALL SIGN)
Búi tóc
24June 19, 2013
KIEÅM TRA VEÀ KYÕ THUAÄT
25June 19, 2013
KIEÅM TRA VEÀ KYÕ THUAÄT
BAØN TAY NGÖÔØI CHAÊM SOÙC
BEÄNH NHAÂN
BOÙNG MÔØ PHEÁ NANG PHOÅI (P)?
26June 19, 2013
KIEÅM TRA VEÀ KYÕ THUAÄT
27June 19, 2013
KIEÅM TRA VEÀ KYÕ THUAÄT
28June 19, 2013
KIEÅM TRA VEÀ KYÕ THUAÄT
29June 19, 2013
DAØN BAØI
Ñaïi cöông.
Kieåm tra veà kyõ thuaät.
Phaân tích hình aûnh.
Toång hôïp caùc daáu chöùng.
Caùc nguyeân nhaân.
Chaån ñoaùn.
Keát luaän.
30June 19, 2013
PHAÂN TÍCH HÌNH AÛNH
Moâ meàm thaønh ngöïc.
Khung xöông ngöïc.
Maøng phoåi.
Trung thaát.
Phoåi.
31 June 19, 2013
BAÁT THÖÔØNG HOAËC TOÅN THÖÔNG MOÂ MEÀM
ÑOÙNG VOÂI THAØNH NGÖÏC
HAÏCH VOÂI HOÙA ÔÛ BEÄNH NHAÂN COÙ TIEÀN CAÊN LAO PHOÅI
32 June 19, 2013
BAÁT THÖÔØNG HOAËC TOÅN THÖÔNG MOÂ MEÀM
TRAØN KHÍ DÖÔÙI DA
33 June 19, 2013
BAÁT THÖÔØNG HOAËC TOÅN THÖÔNG KHUNG XÖÔNG
TOÅN THÖÔNG THAØNH NGÖÏC
Imaging of Chest Wall Disorders.Mi-Young Jeung, MD. (Radiographics. 1999;19:617-637.)
CHONDROSARCOMA
19-Jun-1335
A.J.Chandrasekhar,M.D.Chest X-ray Atlas.
HILUM OVERLAY SIGN: TERATOMA
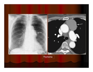
Thymoma
Schwannoma
40June 19, 2013
PHAÂN TÍCH HÌNH AÛNH
Hình bình thöôøng hay baát thöôøng ?
Vò trí toån thöông ?
Maät ñoä toån thöông ?
Caùc toån thöông keát hôïp ?
4 ĐẬM ĐỘ CHÍNH
ĐĐ.KHÍ (AIR DENSITY): đen
ĐĐ MỠ (FAT DENSITY):Xám
ĐĐ NƯỚC (WATER DENSITY):Trắng
ĐĐ VÔI (CALCIUM DENSITY):Trắng nhiều
41June 19, 2013
42June 19, 2013
PHAÂN TÍCH HÌNH AÛNH
ÑAÄM ÑOÄ – X QUANG QUI ÖÔÙC
43June 19, 2013
PHAÂN TÍCH HÌNH AÛNH
ÑAÄM ÑOÄ – X QUANG QUI ÖÔÙC
Dalia Megiddo,M.D et al. Chest X-ray interpretation. Academia Medica,Jerusalem,ISRAEL.
44June 19, 2013
DAØN BAØI
Ñaïi cöông.
Kieåm tra veà kyõ thuaät.
Phaân tích hình aûnh.
Toång hôïp caùc daáu chöùng.
Caùc nguyeân nhaân.
Chaån ñoaùn.
Keát luaän.
45June 19, 2013
TOÅNG HÔÏP CAÙC DAÁU CHÖÙNG
TAÙM HOÄI CHÖÙNG LOÀNG NGÖÏC
Hoäi chöùng thaønh ngöïc.
Hoäi chöùng maøng phoåi.
Hoäi chöùng trung thaát.
Hoäi chöùng pheá nang.
Hoäi chöùng moâ keõ.
Hoäi chöùng pheá quaûn.
Hoäi chöùng maïch maùu.
Hoäi chöùng chuû moâ.
19-Jun-1346
19-Jun-1347
19-Jun-1348
19-Jun-1349
19-Jun-1352
53June 19, 2013
PHAÂN TÍCH HÌNH AÛNH
CAÙC VUØNG HAY BOÛ SOÙT KHI ÑOÏC PHIM
54June 19, 2013
DAØN BAØI
Ñaïi cöông.
Kieåm tra veà kyõ thuaät.
Phaân tích hình aûnh.
Toång hôïp caùc daáu chöùng.
Caùc nguyeân nhaân.
Chaån ñoaùn.
Keát luaän.
55June 19, 2013
CAÙC NGUYEÂN NHAÂN
TITO
T (Trauma):Chaán thöông.
I (Infection):Nhieãm truøng.
T (Tumor):Khoái u.
O (Others):Caùc nguyeân nhaân khaùc.
56June 19, 2013
DAØN BAØI
Ñaïi cöông.
Kieåm tra veà kyõ thuaät.
Phaân tích hình aûnh.
Toång hôïp caùc daáu chöùng.
Caùc nguyeân nhaân.
Chaån ñoaùn.
Keát luaän.
57June 19, 2013
CHAÅN ÑOAÙN
Chaån ñoaùn xaùc ñònh.
Chaån ñoaùn phaân bieät.
Ñeà nghò:
So saùnh vôùi caùc hình tröôùc.
Keát hôïp vôùi laâm saøng.
Laøm theâm caùc khaùm nghieäm khaùc:
Chuïp theâm caùc tö theá khaùc.
Sieâu aâm,CT Scanner,MRI…keát hôïp.
Noäi soi,Xeùt nghieäm…
58June 19, 2013
DAØN BAØI
Ñaïi cöông.
Kieåm tra veà kyõ thuaät.
Phaân tích hình aûnh.
Toång hôïp caùc daáu chöùng.
Caùc nguyeân nhaân.
Chaån ñoaùn.
Keát luaän.
19 June 201359
60June 19, 2013
KEÁT LUAÄN
X quang cuõng nhö caùc phöông tieän
chaån ñoaùn hình aûnh khaùc chæ laø “boùng
cuûa söï thaät”.
Phaûi bieát phoái hôïp vôùi caùc phöông tieän
chaån ñoaùn hình aûnh vaø caän laâm saøng
khaùc ñeå cho keát quaû toát nhaát.
Caàn phaûi lyù giaûi döïa treân boái caûnh laâm
saøng.
19-Jun-1361
ĐỐ VUI ĐỂ HỌC
62June 19, 2013
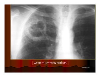
NHÖÕNG BOÙNG DAÏNG HANG
June 19, 2013
AÙP-XE THUØY TREÂN PHOÅI (P)
June 19, 2013
AÙP-XE THUØY TREÂN PHOÅI (T)
June 19, 2013
AÙP-XE THUØY LÖÔÕI PHOÅI (T)
66 June 19, 2013
AÙP-XE PHOÅI
June 19, 2013
HANG LAO
June 19, 2013
HANG LAO
Cavitating squamous cell carcinoma: hang lệch tâm, thành hang dày
Female: cavitary lesions, metastatic squamous cell carcinoma (cervix).
Mỗi hang thường có một banh nấm
Mukesh G. Harisinghani, MD et al. Tuberculosis from Head to Toe. Radiographics.
2000;20:449-470.
74 June 19, 2013
June 19, 2013
76 June 19, 2013
ASPERGILLOME
77 June 19, 2013
ASPERGILLOME
DẤU HIỆU LỤC LẠC
(SIGN OF TINTINNABULUM)
Sign of tintinnabulum = Signe de grelot.
Nấm Aspergillus có thể gây bệnh ở người với 2 thể chính:
Thể xâm lấn mạch máu (Angioinvasive Aspergillosis): tổn
thương lan toả, gặp ở người có cơ địa suy giảm miễn dịch. Ở
thể này ta có dấu hiệu vầng hào quang (halo sign) trên CT.
Thể banh nấm (Saprophytic Aspergillosis = Aspergilloma):
hình thành banh nấm (fungus ball) trong lòng các tổn thương
hang ở phổi, thường gặp ở BN có hang lao. Thể này cho dấu
hiệu lục lạc (Tintinnabulum sign) hay dấu hiệu liềm khí (Air
crescent sign) tuỳ theo tác giả.
19 June 201379
XIN CẢM ƠN SỰ CHÚ Ý THEO DÕI CỦA QUÝ BÁC SĨ

2.reading radiograph

  • 1.
    June 19, 20131 CAÙCH ÑOÏC PHIM X QUANG NGÖÏC BS.NGUYEÃN QUYÙ KHOAÙNG BS.NGUYEÃN QUANG TROÏNG KHOA CHAÅN ÑOAÙN HÌNH AÛNH BEÄNH VIEÄN AN BÌNH -TP.HCM
  • 2.
    2June 19, 2013 DAØNBAØI Ñaïi cöông. Kieåm tra veà kyõ thuaät. Phaân tích hình aûnh. Toång hôïp caùc daáu chöùng. Caùc nguyeân nhaân. Chaån ñoaùn. Keát luaän.
  • 3.
    3June 19, 2013 ÑAÏICÖÔNG Ñoái vôùi moät Baùc só X Quang,thì phim X Quang ngöïc thöôøng gaëp nhaát (#50%) Tuy vaäy,keát quaû ñoïc phim tuøy thuoäc nhieàu vaøo trình ñoä vaø kinh nghieäm cuûa BS ñoïc phim: Tyû leä AÂm tính giaû # 15-30%. Tyû leä Döông tính giaû # 1-15%.
  • 4.
    4June 19, 2013 ÑAÏICÖÔNG *Cách dùng từ khác nhau= Graphie phulmonaire- Chest radiography *Ñeå traùnh sai soùt,ta caàn ñoïc phim moät caùch heä thoáng: Kieåm tra veà kyõ thuaät. Phaân tích hình aûnh. Toång hôïp caùc daáu chöùng. Keát luaän. Ñeà nghò.
  • 5.
    5June 19, 2013 DAØNBAØI Ñaïi cöông. Kieåm tra veà kyõ thuaät. Phaân tích hình aûnh. Toång hôïp caùc daáu chöùng. Caùc nguyeân nhaân. Chaån ñoaùn. Keát luaän.
  • 6.
    6 February 10,2004 KYÕ THUAÄT PHIM NGÖÏC THAÚNG SAU-TRÖÔÙC
  • 7.
    7 February 10,2004 KYÕ THUAÄT Phim ngöïc thaúng chuaån(standard chest XR): Theá sau-tröôùc:Tia X ñi töø sau löng ra tröôùc ngöïc ñeå tim khoâng bò phoùng ñaïi. Khoaûng caùch töø ñaàu ñeøn ñeán cassette: 1,8m(6 feet). Beänh nhaân ñöùng ngay ngaén,ngöïc aùp saùt cassette,hai tay choáng naïnh vaø ñöa hai khuyûu tay ra tröôùc ñeå taùch hai xöông baû vai ra khoûi loàng ngöïc.
  • 8.
    8June 19, 2013 KIEÅMTRA VEÀ KYÕ THUAÄT Chuïp ôû thì hít vaøo saâu vaø nín thôû: Thaáy ñöôïc vòm hoành phải ở từ cung söôøn sau thứ 9 trở xuống. Söû duïng kV cao (Haute tension):100- 120 kV, ñeå ñaùnh giaù toát trung thaát. Boùng xöông baû vai phaûi taùch khoûi tröôøng phoåi. Buùi toùc phaûi ñöôïc cuoän cao treân ñaàu.
  • 9.
  • 10.
  • 11.
    19-Jun-1311 AP view vàPA view ở cùng một bệnh nhân: bóng tim bị phóng đại khi chụp tư thế trước-sau.
  • 12.
    12June 19, 2013 KIEÅMTRA VEÀ KYÕ THUAÄT Phim phaûi ñöôïc chuïp ôû tö theá thaät ngay thaúng: Khoaûng caùch töø ñaàu trong xöông ñoøn hai beân ñeán maáu gai ñoát soáng baèng nhau (ñoái vôùi treû em thì so saùnh khoaûng caùch töø ñaàu trong cung söôøn tröôùc ñeán ñöôøng giöõa).
  • 13.
    19-Jun-1313 Được xem làcân đối khi khoảng cách từ đầu trong của xương đòn hai bên đến gai sống bằng nhau.
  • 14.
    14June 19, 2013 KIEÅMTRA VEÀ KYÕ THUAÄT
  • 15.
    15June 19, 2013 KIEÅMTRA VEÀ KYÕ THUAÄT
  • 16.
  • 17.
    19-Jun-1317 Được xem làhít đủ sâu khi ta thấy được hình chiếu của xương sườn lên phổi 6 cung sườn trước hoặc 10 cung sườn sau.
  • 18.
    19-Jun-1318 Hít không đủsâu Hít đủ sâu
  • 19.
    19June 19, 2013 KIEÅMTRA VEÀ KYÕ THUAÄT
  • 20.
    19-Jun-1320 Hít không đủsâu Hít đủ sâu
  • 21.
    21June 19, 2013 KIEÅMTRA VEÀ KYÕ THUAÄT
  • 23.
    DẤU HIỆU BĂNGQUA THÀNH NGỰC (CROSSING CHEST WALL SIGN) Búi tóc
  • 24.
    24June 19, 2013 KIEÅMTRA VEÀ KYÕ THUAÄT
  • 25.
    25June 19, 2013 KIEÅMTRA VEÀ KYÕ THUAÄT BAØN TAY NGÖÔØI CHAÊM SOÙC BEÄNH NHAÂN BOÙNG MÔØ PHEÁ NANG PHOÅI (P)?
  • 26.
    26June 19, 2013 KIEÅMTRA VEÀ KYÕ THUAÄT
  • 27.
    27June 19, 2013 KIEÅMTRA VEÀ KYÕ THUAÄT
  • 28.
    28June 19, 2013 KIEÅMTRA VEÀ KYÕ THUAÄT
  • 29.
    29June 19, 2013 DAØNBAØI Ñaïi cöông. Kieåm tra veà kyõ thuaät. Phaân tích hình aûnh. Toång hôïp caùc daáu chöùng. Caùc nguyeân nhaân. Chaån ñoaùn. Keát luaän.
  • 30.
    30June 19, 2013 PHAÂNTÍCH HÌNH AÛNH Moâ meàm thaønh ngöïc. Khung xöông ngöïc. Maøng phoåi. Trung thaát. Phoåi.
  • 31.
    31 June 19,2013 BAÁT THÖÔØNG HOAËC TOÅN THÖÔNG MOÂ MEÀM ÑOÙNG VOÂI THAØNH NGÖÏC HAÏCH VOÂI HOÙA ÔÛ BEÄNH NHAÂN COÙ TIEÀN CAÊN LAO PHOÅI
  • 32.
    32 June 19,2013 BAÁT THÖÔØNG HOAËC TOÅN THÖÔNG MOÂ MEÀM TRAØN KHÍ DÖÔÙI DA
  • 33.
    33 June 19,2013 BAÁT THÖÔØNG HOAËC TOÅN THÖÔNG KHUNG XÖÔNG TOÅN THÖÔNG THAØNH NGÖÏC Imaging of Chest Wall Disorders.Mi-Young Jeung, MD. (Radiographics. 1999;19:617-637.) CHONDROSARCOMA
  • 35.
  • 36.
  • 37.
  • 39.
  • 40.
    40June 19, 2013 PHAÂNTÍCH HÌNH AÛNH Hình bình thöôøng hay baát thöôøng ? Vò trí toån thöông ? Maät ñoä toån thöông ? Caùc toån thöông keát hôïp ?
  • 41.
    4 ĐẬM ĐỘCHÍNH ĐĐ.KHÍ (AIR DENSITY): đen ĐĐ MỠ (FAT DENSITY):Xám ĐĐ NƯỚC (WATER DENSITY):Trắng ĐĐ VÔI (CALCIUM DENSITY):Trắng nhiều 41June 19, 2013
  • 42.
    42June 19, 2013 PHAÂNTÍCH HÌNH AÛNH ÑAÄM ÑOÄ – X QUANG QUI ÖÔÙC
  • 43.
    43June 19, 2013 PHAÂNTÍCH HÌNH AÛNH ÑAÄM ÑOÄ – X QUANG QUI ÖÔÙC Dalia Megiddo,M.D et al. Chest X-ray interpretation. Academia Medica,Jerusalem,ISRAEL.
  • 44.
    44June 19, 2013 DAØNBAØI Ñaïi cöông. Kieåm tra veà kyõ thuaät. Phaân tích hình aûnh. Toång hôïp caùc daáu chöùng. Caùc nguyeân nhaân. Chaån ñoaùn. Keát luaän.
  • 45.
    45June 19, 2013 TOÅNGHÔÏP CAÙC DAÁU CHÖÙNG TAÙM HOÄI CHÖÙNG LOÀNG NGÖÏC Hoäi chöùng thaønh ngöïc. Hoäi chöùng maøng phoåi. Hoäi chöùng trung thaát. Hoäi chöùng pheá nang. Hoäi chöùng moâ keõ. Hoäi chöùng pheá quaûn. Hoäi chöùng maïch maùu. Hoäi chöùng chuû moâ.
  • 46.
  • 47.
  • 48.
  • 49.
  • 52.
  • 53.
    53June 19, 2013 PHAÂNTÍCH HÌNH AÛNH CAÙC VUØNG HAY BOÛ SOÙT KHI ÑOÏC PHIM
  • 54.
    54June 19, 2013 DAØNBAØI Ñaïi cöông. Kieåm tra veà kyõ thuaät. Phaân tích hình aûnh. Toång hôïp caùc daáu chöùng. Caùc nguyeân nhaân. Chaån ñoaùn. Keát luaän.
  • 55.
    55June 19, 2013 CAÙCNGUYEÂN NHAÂN TITO T (Trauma):Chaán thöông. I (Infection):Nhieãm truøng. T (Tumor):Khoái u. O (Others):Caùc nguyeân nhaân khaùc.
  • 56.
    56June 19, 2013 DAØNBAØI Ñaïi cöông. Kieåm tra veà kyõ thuaät. Phaân tích hình aûnh. Toång hôïp caùc daáu chöùng. Caùc nguyeân nhaân. Chaån ñoaùn. Keát luaän.
  • 57.
    57June 19, 2013 CHAÅNÑOAÙN Chaån ñoaùn xaùc ñònh. Chaån ñoaùn phaân bieät. Ñeà nghò: So saùnh vôùi caùc hình tröôùc. Keát hôïp vôùi laâm saøng. Laøm theâm caùc khaùm nghieäm khaùc: Chuïp theâm caùc tö theá khaùc. Sieâu aâm,CT Scanner,MRI…keát hôïp. Noäi soi,Xeùt nghieäm…
  • 58.
    58June 19, 2013 DAØNBAØI Ñaïi cöông. Kieåm tra veà kyõ thuaät. Phaân tích hình aûnh. Toång hôïp caùc daáu chöùng. Caùc nguyeân nhaân. Chaån ñoaùn. Keát luaän.
  • 59.
  • 60.
    60June 19, 2013 KEÁTLUAÄN X quang cuõng nhö caùc phöông tieän chaån ñoaùn hình aûnh khaùc chæ laø “boùng cuûa söï thaät”. Phaûi bieát phoái hôïp vôùi caùc phöông tieän chaån ñoaùn hình aûnh vaø caän laâm saøng khaùc ñeå cho keát quaû toát nhaát. Caàn phaûi lyù giaûi döïa treân boái caûnh laâm saøng.
  • 61.
  • 62.
    62June 19, 2013 NHÖÕNGBOÙNG DAÏNG HANG
  • 63.
    June 19, 2013 AÙP-XETHUØY TREÂN PHOÅI (P)
  • 64.
    June 19, 2013 AÙP-XETHUØY TREÂN PHOÅI (T)
  • 65.
    June 19, 2013 AÙP-XETHUØY LÖÔÕI PHOÅI (T)
  • 66.
    66 June 19,2013 AÙP-XE PHOÅI
  • 67.
  • 68.
  • 69.
    Cavitating squamous cellcarcinoma: hang lệch tâm, thành hang dày
  • 70.
    Female: cavitary lesions,metastatic squamous cell carcinoma (cervix).
  • 72.
    Mỗi hang thườngcó một banh nấm
  • 73.
    Mukesh G. Harisinghani,MD et al. Tuberculosis from Head to Toe. Radiographics. 2000;20:449-470.
  • 74.
  • 75.
  • 76.
    76 June 19,2013 ASPERGILLOME
  • 77.
    77 June 19,2013 ASPERGILLOME
  • 78.
    DẤU HIỆU LỤCLẠC (SIGN OF TINTINNABULUM) Sign of tintinnabulum = Signe de grelot. Nấm Aspergillus có thể gây bệnh ở người với 2 thể chính: Thể xâm lấn mạch máu (Angioinvasive Aspergillosis): tổn thương lan toả, gặp ở người có cơ địa suy giảm miễn dịch. Ở thể này ta có dấu hiệu vầng hào quang (halo sign) trên CT. Thể banh nấm (Saprophytic Aspergillosis = Aspergilloma): hình thành banh nấm (fungus ball) trong lòng các tổn thương hang ở phổi, thường gặp ở BN có hang lao. Thể này cho dấu hiệu lục lạc (Tintinnabulum sign) hay dấu hiệu liềm khí (Air crescent sign) tuỳ theo tác giả.
  • 79.
    19 June 201379 XINCẢM ƠN SỰ CHÚ Ý THEO DÕI CỦA QUÝ BÁC SĨ