CLB Nội Khoa Sinh Viên Y Dược Huế
MỤC TIÊU
 Nắm được sơ bộ về nguyên lý, chỉ định, các dấu hiệu cơ bản của X quang
phổi, cách đánh giá X quang phổi chuẩn.
 Nắm được các hội chứng cơ bản của X quang phổi
Các nội dung chính cần nắm
 Nguyên lý Xquang, chỉ định chụp , các đọc phim
XQ
 Một số dấu chứng cơ bản trên Xquang
 Các hội chứng hô hấp trên Xquang
 Một số bẫy thường gặp
Lịch sử x quang
Tính chất tia x
 Tính truyền thẳng và đâm xuyên
 Tính bị hấp thu
 Làm đổi màu phim ảnh
 Tác động sinh học
Các mức đậm độ cơ bản trên phim x quang
KhíVôi Nước Mỡ
4 nấc cơ bản là
 đen của không khí
 xám sẫm của mỡ
 xám nhạt của nước và mô mềm
 trắng của xương.
X- QUANG
Nguyên lý x-quang là gì ?
- Phát một chùm tia x có cường độ tia vừa phải
chiếu lên vật cần chụp, tia tạo ra sự thay đổi trên
phim chắn ( màn chắn kĩ thuật số ) tạo thành
hình ảnh.
Tư thế chụp X quang
Tại sao phải đánh một phim X quang chuẩn
trước khi đọc ?
 Việc đọc một phim X-quang không đúng tiêu
chuẩn có thể gây ra sai lầm khi đánh giá các bất
thường. Vì vậy luôn phải đánh giá trước khi đọc,
đọc X-quang kết hợp với lâm sàng trước khi đưa
ra chẩn đoán. Nếu cần thiết phải chụp lại phim
X quang chuẩn
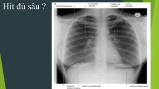
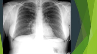
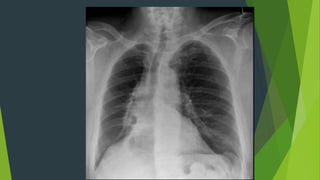
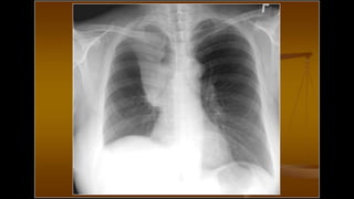
1. Hoàn toàn thẳng: bờ trong xương đòn đối xứng nhau qua
đường giữa Cân xứng : mức hơi dịch ở túi hơi dạ dày, hai
xương bả vai tách ra khỏi lồng ngực.
2. Hít vào đủ sâu: cung trước xương sườn 6 - 7 trên vòm
hoành. Cung sau ở xương sườn 10 trở xuống
3. Độ đối quang tốt : Thấy được 3 - 4 đốt sống ngực
trên,thấy được mạch máu sau tim gan, thấy mạch máu
cách ngoại vi phổi 1-2cm.
Độ thẳng cân xứng
Hít đủ sâu ?
Chỉ định chụp XQ Ngực
Trình tự đọc 1 phim x quang
 Việc đọc X-quang
theo một thứ tự nhất
định sẽ giúp bạn
đánh giá một cách có
hệ thống, tránh bỏ
sót tổn thương
Các dấu hiệu cơ bản
1. Dấu hiệu bóng chồng
2. Dấu hiệu tiếp tuyến
3. S-golden
Dấu hiệu bóng chồng:
 Hai bộ phận cùng đậm độ, nếu cùng một măt phẳng thì không thấy
ranh giới của nhau.
 Hay 2 bộ phận khác đậm độ cùng mặt phẳng hoặc cùng đậm độ
nhưng khác mặt phẳng thì thấy được bờ của nhau.
DẤU HIỆU TIẾP TUYẾN
Bờ của tổn thương thấy được khi bờ của nó có đậm độ khác với môi trường xung
quanh hay bờ của nó tiếp tuyến với tia x
Dấu hiệu S Golden
Những điểm cần nắm
1. X QUANG CHUẨN
2. THỨ TỰ ĐỌC X QUANG
3. DẤU HIỆU BÓNG CHỒNG
Giải phẫu hệ hô hấp
Tác dụng của phim X quang phổi nghiêng?
 Xác định vị trí của tổn thương theo thùy và phân thùy
 Chẩn đoán định hướng các khối u trung thất
 Khảo sát các vùng sau tim trái, sau vòm hoành hoặc trước rốn
phổi
 Chẩn đoán TDMP ít mà dịch khu trú ở góc sườn hoành sau không
nhìn rõ trên phim chụp thẳng
Các hội chứng cơ bản trong Xquang ngực
 Hội chứng màng phổi
 Hội chứng phế bào
 Hội chứng kẽ
 Hội chứng phế quản
Hội chứng màng phổi
- ĐN: Sự biểu hiện của khí , dịch hoặc mô bất thường
trong khoang màng phổi hoặc ngay ở màng phổi.
1. Tràn dịch màng phổi
2. Tràn khí màng phổi
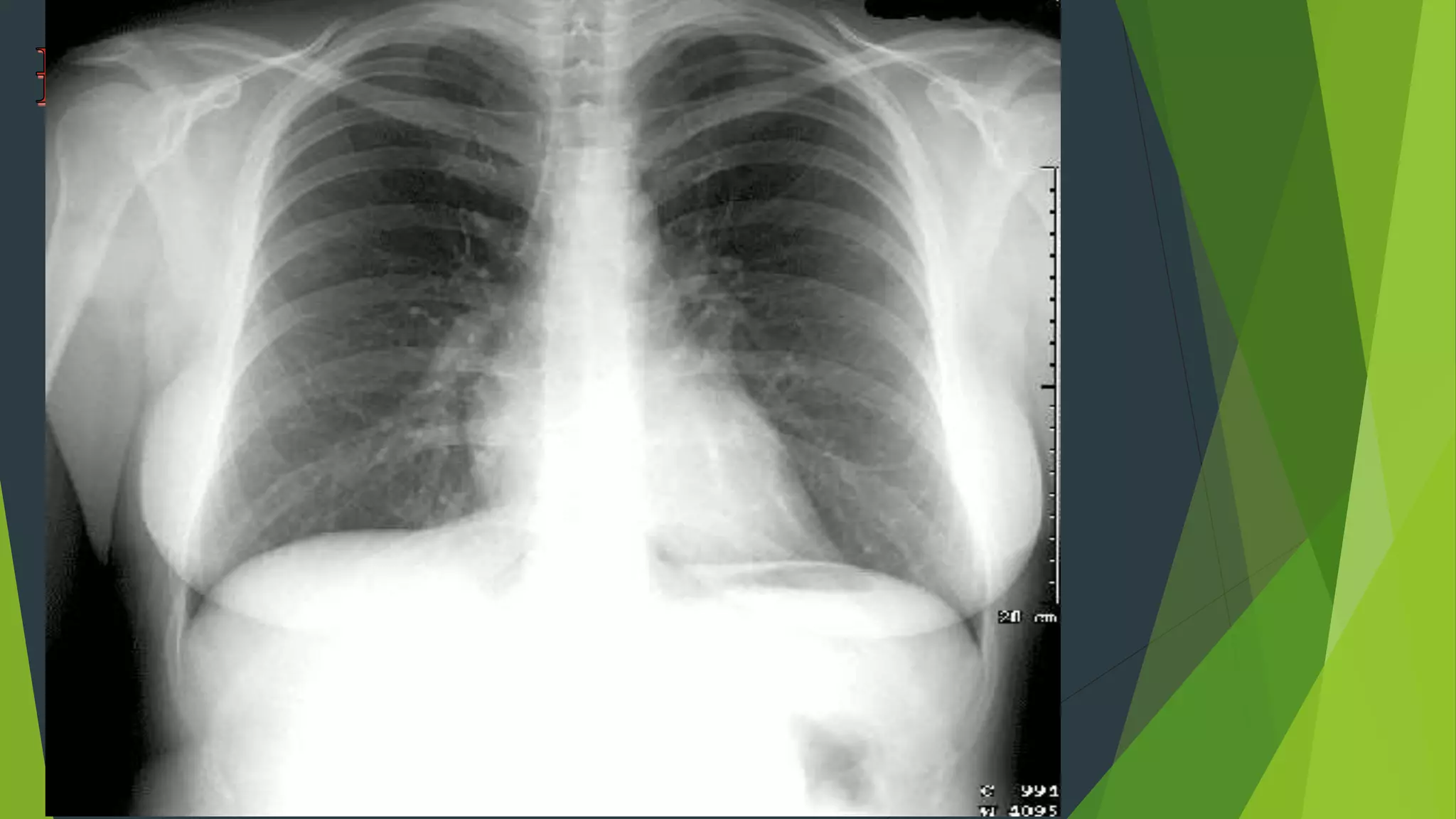
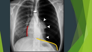
Tràn dịch màng phổi
Tràn dịch màng phổi tự do
Tràn dịch màng phổi khu trú
Tràn dịch màng phổi tự do
 Hình ảnh mờ đậm thuần
nhất , không có hình ảnh
nhu mô phổi.
 Mất góc sườn hoành
 Có đường cong Damoiseau
Bước 1: Thủ tục
Bước 2: Phần mềm
Bước 3: Cơ hoành
Bước 4: Xương
Bước 5: Màng phổi
Bước 6: Nhu mô và rốn phổi
Bước 7: Trung thất
TDMP lượng vừa ( Đường
cong Damoiseau
TDMP tự do lượng nhiều
Tràn dịch màng phổi khu trú
 Có thể khu trú trên vòm
hoành,
 Góc tâm hoành
 Rãnh liên thuỳ
 Trung thất hoặc thành ngực
 Vùng nách
TDMP rãnh liên thùy bé
Tràn khí màng phổi
 Phổi bên tràn khí sáng hơn bình
thường, bên trong vùng sáng
không có hình ảnh nhu mô phổi
 Nhu mô phổi bị ép xẹp về phía
rốn phổi
 Cơ hoành bị đẩy xuống thấp
 Tim và khí quản bị đẩy về phía
đối diện
Tràn dịch kết
hợp tràn khí
màng phổi
Hội chứng phế bào
Định nghĩa:
Gồm các dấu hiệu hình ảnh thể
hiện có dịch hoặc tế bào lành hay
ác tính trong lòng phế nang
Các dạng tổn thương cơ bản
Nốt mờ phế nang (nốt mờ phế bào)
Đám mờ phế bào
Chẩn đoán HCPB khi có 2 trong 7 triệu
chứng điển hình
7 triệu chứng điển hình
1. Nốt mờ phế nang
2. Bờ tổn thương mờ (nếu tựa lên rãnh liên thùy thì bờ rõ)
3. Có xu hướng tập trung
4. Đám mờ hình tam giác, dạng thùy hay phân thùy, không
đồng nhất
5. Có thể có mờ hình cánh bướm
6. Hình nhánh phế quản khí
7. Lan rộng và biến mất nhanh (dưới 48h)
Khối mờ hình tam
giác thùy trên phổi
P, mờ đậm không
thuần nhất, đáy
hương về ngoại vi ,
đỉnh hướng về rốn
phổi, có hình ảnh
phế quản khí
ÁP XE PHỔI
Hội chứng kẽ
 Tổ chức kẽ là tổ chức liên
kết quanh phế quản mạch
máu, vách liểu thùy, dưới lá
tạng màng phổi, thành phế
bào
 Các khoang của tổ chức kẽ
thông với nhau và không
nhìn thấy được trên phim X
quang trạng thái thường.
-
Các dạng tổn thương
- Hình ảnh kính mờ (verre dépoli)
- Nốt mờ nhỏ (hạt kê)
- Hình ảnh mờ dạng lưới
- Hình ảnh lưới_nốt (réticulo_nodulaire)
- Hình ảnh nốt mờ lớn và khối mờ
- Hình mờ tổ ong
Nốt mờ nhỏ: 3-7
mm
Nốt mờ lớn : 7-
20mm
Khối mờ: >20mm
Đặc điểm tổn thương
Mờ rõ nét
Không tập trung
Không có dạng thùy, phân thùy
Không có hình ảnh phế quản khí
Tiến triển chậm
Nốt mờ nhỏ: 3-7
mm
Nốt mờ lớn : 7-
20mm
Khối mờ: >20mm
Hình ảnh thả bóng
Tổn thương dạng kê
Phân biệt hội chứng kẽ và hội chứng phế bào
Tính chất HC phế bào HC kẽ
Bờ Mờ Rõ nét
Hợp lưu, hệ thống (+) (-)
Cây phế quản khí (+) (-)
Hình cánh bướm (+) (-)
Tiến triển Nhanh Chậm
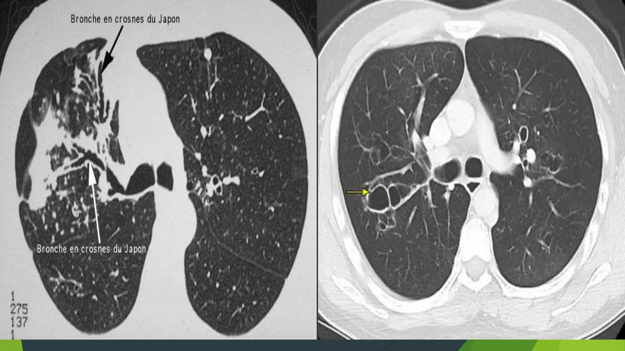
Hội chứng phế quản
 Dấu hiệu trực tiếp
- Dày thành phế quản (đường ray xe lửa, súng 2 nòng, phổi bẩn)
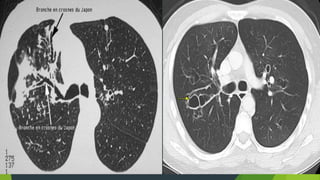
- Giãn phế quản (đường ray xe lửa, súng 2 nòng, giả tổ ong,...)
- Ứ đọng phế quản (dài mờ hình chữ V, Y, ngón tay đeo găng,...)
 Dấu hiệu gián tiếp
- Xẹp phổi (do tắc PQ hoàn toàn)
- Căng giãn phổi do hẹp không hoàn toàn
Dấu hiệu trực tiếp: Dày thành phế quản
 Bình thường các phế quản có
vách mỏng, không thấy trên X
quang qui ước, khẩu kính giảm
dần từ trung tâm ra ngoại vi.
 Khi phế quản bị dãn, vách dày
lên, trở nên song song với
nhau, cho ta hình ảnh đường
rầy xe lửa, hình ảnh này thấy
rõ hơn trên phim chụp cản
quang phế quản, hoặc phim CT
Dãn phế quản
 Dạng ống
 Dạng tràng
hạt
 Dạng kén
hoặc túi
X-Quang
-Biểu hiện các đám mờ hình ống do phế quản bị lấp đầy
chất nhầy
-Thành phế quản dày không đều , đường ray xe lửa, hình
súng hai nòng
- Có các ổ sáng nhỏ giống hình giả tổ ong, ổ sáng với
mức dịch
- 7- 30% giãn phế quản chụp phim phổi không thấy bất
thường
- CT là tiêu chuẩn vàng để chuẩn đoán giãn phế quản
Lâm sàng: ho ra máu
khạc đàm lượng nhiều
4 lớp
Dấu hiệu gián tiếp
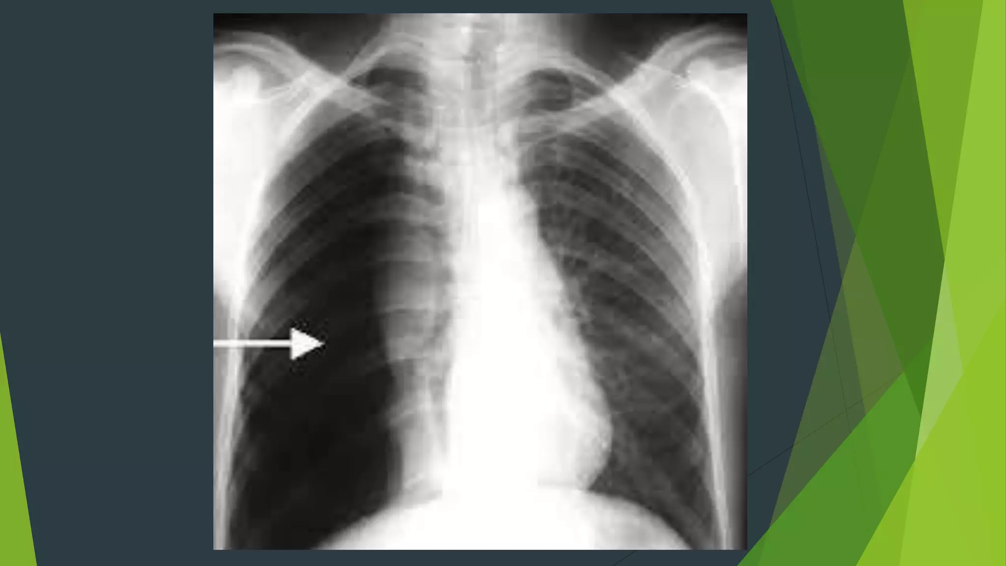
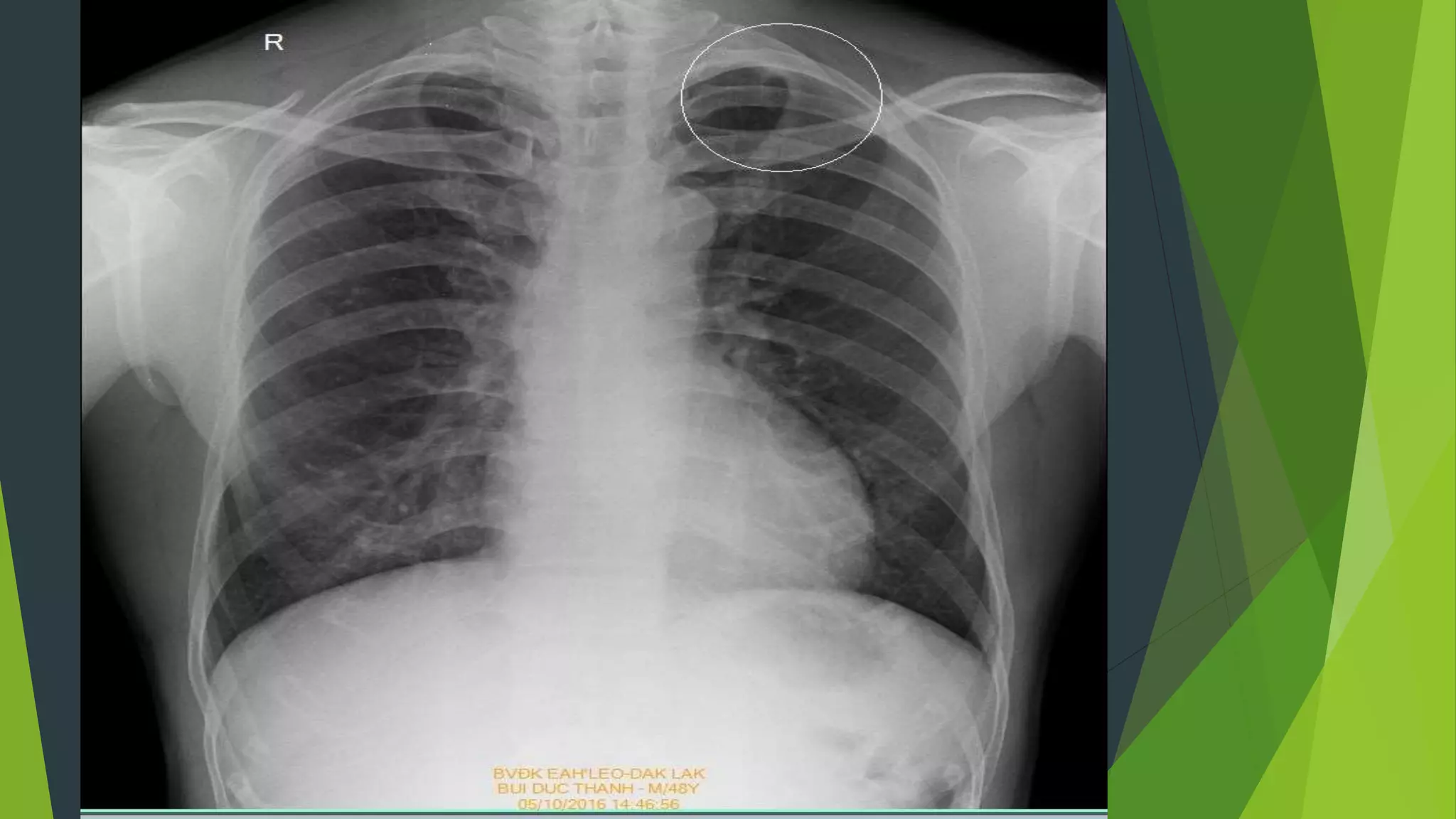
Xẹp phổi do tắc phế quản hoàn toàn
 Bóng mờ rõ có kích thước nhỏ
hơn vùng phổi bình thường
 Các dấu hiệu gián tiếp của xẹp
phổi: co kéo rãnh liên thùy,
rốn phổi, trung thất, cơ hoành
; hẹp khoảng liên sườn , phổi
lành thở bù
 S golden
Tổng kết
2. Hội chứng phế bào
- Khối mờ không đồng nhất, bờ không rõ, có dạng thùy hoặc phân
thùy, khí phế quản khí, hình cánh bướm
3. Hội chứng kẽ
- Mờ rõ nét, không tập trung, không có hình ảnh phế quản khí
3. Hội chứng phế quản
- Dày thành phế quản: hình ảnh đường ray xe lửa, súng 2 nòng.
- Giãn phế quản: thành phế quản dày, giả tổ ong – CT là tiêu chuẩn
vàng chẩn đoán giãn phế quản.
- Xẹp phổi do tắc phế quản: S golden , dấu co kéo.
1. Hội chứng màng phổi:
- Tràn dịch: mờ ĐỒNG NHẤT , không có hình ảnh nhu mô
- Tràn khí: Phổi sáng hơn BT, không thấy nhu mô phổi.
Một số bẫy trên x quang
.Người ta chỉ gặp cái người ta đi tìm và chỉ tìm
những cái người ta đã biết
“On ne trouve que ce qu’on cherche et on ne
cherche que ce qu’on connait” -
X QUANG phải dựa vào lâm sàng để đi tìm các dấu hiệu tuy nhiên
những tổn thương trên x quang mà không kèm với lâm sàng đều phải
được tìm hiểu theo dõi thêm. Trước hết cần phân biệt được các trường
hợp bình thường hay được xem nhầm là bất thường mà người ta gọi đó là
bẫy.
Lâm sàng: BN hơi tức ngực phải
Cách khắc phục các sai lầm
 Luôn nhớ: hình ảnh Xquang chỉ là bóng của sự thật.
 Xquang ngực trong đa số trường hợp bệnh lý vùng
ngực cần khai thác triệt để trước khi dùng CT
 Phải biết đọc phim X-quang đúng cách.
 Nắm vững các hình ảnh cơ bản, các hội chứng trên
Xquang cũng như các bẫy vừa nêu.
Cảm ơn sự theo dõi của các bạn

Cls hô hấp

  • 1.
    CLB Nội KhoaSinh Viên Y Dược Huế
  • 2.
    MỤC TIÊU  Nắmđược sơ bộ về nguyên lý, chỉ định, các dấu hiệu cơ bản của X quang phổi, cách đánh giá X quang phổi chuẩn.  Nắm được các hội chứng cơ bản của X quang phổi
  • 3.
    Các nội dungchính cần nắm  Nguyên lý Xquang, chỉ định chụp , các đọc phim XQ  Một số dấu chứng cơ bản trên Xquang  Các hội chứng hô hấp trên Xquang  Một số bẫy thường gặp
  • 4.
  • 5.
    Tính chất tiax  Tính truyền thẳng và đâm xuyên  Tính bị hấp thu  Làm đổi màu phim ảnh  Tác động sinh học
  • 6.
    Các mức đậmđộ cơ bản trên phim x quang KhíVôi Nước Mỡ 4 nấc cơ bản là  đen của không khí  xám sẫm của mỡ  xám nhạt của nước và mô mềm  trắng của xương.
  • 7.
    X- QUANG Nguyên lýx-quang là gì ? - Phát một chùm tia x có cường độ tia vừa phải chiếu lên vật cần chụp, tia tạo ra sự thay đổi trên phim chắn ( màn chắn kĩ thuật số ) tạo thành hình ảnh.
  • 8.
  • 10.
    Tại sao phảiđánh một phim X quang chuẩn trước khi đọc ?  Việc đọc một phim X-quang không đúng tiêu chuẩn có thể gây ra sai lầm khi đánh giá các bất thường. Vì vậy luôn phải đánh giá trước khi đọc, đọc X-quang kết hợp với lâm sàng trước khi đưa ra chẩn đoán. Nếu cần thiết phải chụp lại phim
  • 11.
    X quang chuẩn 1.Hoàn toàn thẳng: bờ trong xương đòn đối xứng nhau qua đường giữa Cân xứng : mức hơi dịch ở túi hơi dạ dày, hai xương bả vai tách ra khỏi lồng ngực. 2. Hít vào đủ sâu: cung trước xương sườn 6 - 7 trên vòm hoành. Cung sau ở xương sườn 10 trở xuống 3. Độ đối quang tốt : Thấy được 3 - 4 đốt sống ngực trên,thấy được mạch máu sau tim gan, thấy mạch máu cách ngoại vi phổi 1-2cm.
  • 12.
  • 13.
  • 15.
  • 16.
    Trình tự đọc1 phim x quang  Việc đọc X-quang theo một thứ tự nhất định sẽ giúp bạn đánh giá một cách có hệ thống, tránh bỏ sót tổn thương
  • 17.
    Các dấu hiệucơ bản 1. Dấu hiệu bóng chồng 2. Dấu hiệu tiếp tuyến 3. S-golden
  • 18.
    Dấu hiệu bóngchồng:  Hai bộ phận cùng đậm độ, nếu cùng một măt phẳng thì không thấy ranh giới của nhau.  Hay 2 bộ phận khác đậm độ cùng mặt phẳng hoặc cùng đậm độ nhưng khác mặt phẳng thì thấy được bờ của nhau.
  • 20.
    DẤU HIỆU TIẾPTUYẾN Bờ của tổn thương thấy được khi bờ của nó có đậm độ khác với môi trường xung quanh hay bờ của nó tiếp tuyến với tia x
  • 21.
  • 23.
    Những điểm cầnnắm 1. X QUANG CHUẨN 2. THỨ TỰ ĐỌC X QUANG 3. DẤU HIỆU BÓNG CHỒNG
  • 24.
  • 27.
    Tác dụng củaphim X quang phổi nghiêng?  Xác định vị trí của tổn thương theo thùy và phân thùy  Chẩn đoán định hướng các khối u trung thất  Khảo sát các vùng sau tim trái, sau vòm hoành hoặc trước rốn phổi  Chẩn đoán TDMP ít mà dịch khu trú ở góc sườn hoành sau không nhìn rõ trên phim chụp thẳng
  • 28.
    Các hội chứngcơ bản trong Xquang ngực  Hội chứng màng phổi  Hội chứng phế bào  Hội chứng kẽ  Hội chứng phế quản
  • 29.
    Hội chứng màngphổi - ĐN: Sự biểu hiện của khí , dịch hoặc mô bất thường trong khoang màng phổi hoặc ngay ở màng phổi. 1. Tràn dịch màng phổi 2. Tràn khí màng phổi
  • 30.
    Tràn dịch màngphổi Tràn dịch màng phổi tự do Tràn dịch màng phổi khu trú
  • 31.
    Tràn dịch màngphổi tự do  Hình ảnh mờ đậm thuần nhất , không có hình ảnh nhu mô phổi.  Mất góc sườn hoành  Có đường cong Damoiseau
  • 32.
    Bước 1: Thủtục Bước 2: Phần mềm Bước 3: Cơ hoành Bước 4: Xương Bước 5: Màng phổi Bước 6: Nhu mô và rốn phổi Bước 7: Trung thất
  • 33.
    TDMP lượng vừa( Đường cong Damoiseau
  • 34.
    TDMP tự dolượng nhiều
  • 35.
    Tràn dịch màngphổi khu trú  Có thể khu trú trên vòm hoành,  Góc tâm hoành  Rãnh liên thuỳ  Trung thất hoặc thành ngực  Vùng nách
  • 36.
  • 37.
    Tràn khí màngphổi  Phổi bên tràn khí sáng hơn bình thường, bên trong vùng sáng không có hình ảnh nhu mô phổi  Nhu mô phổi bị ép xẹp về phía rốn phổi  Cơ hoành bị đẩy xuống thấp  Tim và khí quản bị đẩy về phía đối diện
  • 40.
    Tràn dịch kết hợptràn khí màng phổi
  • 41.
    Hội chứng phếbào Định nghĩa: Gồm các dấu hiệu hình ảnh thể hiện có dịch hoặc tế bào lành hay ác tính trong lòng phế nang
  • 42.
    Các dạng tổnthương cơ bản Nốt mờ phế nang (nốt mờ phế bào) Đám mờ phế bào Chẩn đoán HCPB khi có 2 trong 7 triệu chứng điển hình
  • 43.
    7 triệu chứngđiển hình 1. Nốt mờ phế nang 2. Bờ tổn thương mờ (nếu tựa lên rãnh liên thùy thì bờ rõ) 3. Có xu hướng tập trung 4. Đám mờ hình tam giác, dạng thùy hay phân thùy, không đồng nhất 5. Có thể có mờ hình cánh bướm 6. Hình nhánh phế quản khí 7. Lan rộng và biến mất nhanh (dưới 48h)
  • 44.
    Khối mờ hìnhtam giác thùy trên phổi P, mờ đậm không thuần nhất, đáy hương về ngoại vi , đỉnh hướng về rốn phổi, có hình ảnh phế quản khí
  • 47.
  • 48.
    Hội chứng kẽ Tổ chức kẽ là tổ chức liên kết quanh phế quản mạch máu, vách liểu thùy, dưới lá tạng màng phổi, thành phế bào  Các khoang của tổ chức kẽ thông với nhau và không nhìn thấy được trên phim X quang trạng thái thường. -
  • 49.
    Các dạng tổnthương - Hình ảnh kính mờ (verre dépoli) - Nốt mờ nhỏ (hạt kê) - Hình ảnh mờ dạng lưới - Hình ảnh lưới_nốt (réticulo_nodulaire) - Hình ảnh nốt mờ lớn và khối mờ - Hình mờ tổ ong Nốt mờ nhỏ: 3-7 mm Nốt mờ lớn : 7- 20mm Khối mờ: >20mm
  • 50.
    Đặc điểm tổnthương Mờ rõ nét Không tập trung Không có dạng thùy, phân thùy Không có hình ảnh phế quản khí Tiến triển chậm Nốt mờ nhỏ: 3-7 mm Nốt mờ lớn : 7- 20mm Khối mờ: >20mm
  • 53.
  • 54.
  • 55.
    Phân biệt hộichứng kẽ và hội chứng phế bào Tính chất HC phế bào HC kẽ Bờ Mờ Rõ nét Hợp lưu, hệ thống (+) (-) Cây phế quản khí (+) (-) Hình cánh bướm (+) (-) Tiến triển Nhanh Chậm
  • 56.
    Hội chứng phếquản  Dấu hiệu trực tiếp - Dày thành phế quản (đường ray xe lửa, súng 2 nòng, phổi bẩn) - Giãn phế quản (đường ray xe lửa, súng 2 nòng, giả tổ ong,...) - Ứ đọng phế quản (dài mờ hình chữ V, Y, ngón tay đeo găng,...)  Dấu hiệu gián tiếp - Xẹp phổi (do tắc PQ hoàn toàn) - Căng giãn phổi do hẹp không hoàn toàn
  • 57.
    Dấu hiệu trựctiếp: Dày thành phế quản  Bình thường các phế quản có vách mỏng, không thấy trên X quang qui ước, khẩu kính giảm dần từ trung tâm ra ngoại vi.  Khi phế quản bị dãn, vách dày lên, trở nên song song với nhau, cho ta hình ảnh đường rầy xe lửa, hình ảnh này thấy rõ hơn trên phim chụp cản quang phế quản, hoặc phim CT
  • 59.
    Dãn phế quản Dạng ống  Dạng tràng hạt  Dạng kén hoặc túi
  • 60.
    X-Quang -Biểu hiện cácđám mờ hình ống do phế quản bị lấp đầy chất nhầy -Thành phế quản dày không đều , đường ray xe lửa, hình súng hai nòng - Có các ổ sáng nhỏ giống hình giả tổ ong, ổ sáng với mức dịch - 7- 30% giãn phế quản chụp phim phổi không thấy bất thường - CT là tiêu chuẩn vàng để chuẩn đoán giãn phế quản
  • 61.
    Lâm sàng: hora máu khạc đàm lượng nhiều 4 lớp
  • 63.
    Dấu hiệu giántiếp Xẹp phổi do tắc phế quản hoàn toàn  Bóng mờ rõ có kích thước nhỏ hơn vùng phổi bình thường  Các dấu hiệu gián tiếp của xẹp phổi: co kéo rãnh liên thùy, rốn phổi, trung thất, cơ hoành ; hẹp khoảng liên sườn , phổi lành thở bù  S golden
  • 66.
    Tổng kết 2. Hộichứng phế bào - Khối mờ không đồng nhất, bờ không rõ, có dạng thùy hoặc phân thùy, khí phế quản khí, hình cánh bướm 3. Hội chứng kẽ - Mờ rõ nét, không tập trung, không có hình ảnh phế quản khí 3. Hội chứng phế quản - Dày thành phế quản: hình ảnh đường ray xe lửa, súng 2 nòng. - Giãn phế quản: thành phế quản dày, giả tổ ong – CT là tiêu chuẩn vàng chẩn đoán giãn phế quản. - Xẹp phổi do tắc phế quản: S golden , dấu co kéo. 1. Hội chứng màng phổi: - Tràn dịch: mờ ĐỒNG NHẤT , không có hình ảnh nhu mô - Tràn khí: Phổi sáng hơn BT, không thấy nhu mô phổi.
  • 67.
    Một số bẫytrên x quang
  • 68.
    .Người ta chỉgặp cái người ta đi tìm và chỉ tìm những cái người ta đã biết “On ne trouve que ce qu’on cherche et on ne cherche que ce qu’on connait” - X QUANG phải dựa vào lâm sàng để đi tìm các dấu hiệu tuy nhiên những tổn thương trên x quang mà không kèm với lâm sàng đều phải được tìm hiểu theo dõi thêm. Trước hết cần phân biệt được các trường hợp bình thường hay được xem nhầm là bất thường mà người ta gọi đó là bẫy.
  • 72.
    Lâm sàng: BNhơi tức ngực phải
  • 74.
    Cách khắc phụccác sai lầm  Luôn nhớ: hình ảnh Xquang chỉ là bóng của sự thật.  Xquang ngực trong đa số trường hợp bệnh lý vùng ngực cần khai thác triệt để trước khi dùng CT  Phải biết đọc phim X-quang đúng cách.  Nắm vững các hình ảnh cơ bản, các hội chứng trên Xquang cũng như các bẫy vừa nêu.
  • 75.
    Cảm ơn sựtheo dõi của các bạn

Editor's Notes

  • #18 Cho hình vuông đến bao lấy 1. 2. 3. mục đích chỉ nhấn mạnh 3 dấu hiệu đầu