Tên – T - quê quánổTên – T - quê quánổ
N i công tác – thâm niên CĐHAơN i công tác – thâm niên CĐHAơ
1.1. CT là gì?CT là gì?
2.2. Máy CT đ a ph ng b n là lo i máy gì?ở ị ươ ạ ạMáy CT đ a ph ng b n là lo i máy gì?ở ị ươ ạ ạ
3.3. Gi i thích khái ni m “đ m đ ” trên CTả ệ ậ ộGi i thích khái ni m “đ m đ ” trên CTả ệ ậ ộ
4.4. Gi i thích khái ni m “c a s ” trên CTả ệ ử ổGi i thích khái ni m “c a s ” trên CTả ệ ử ổ
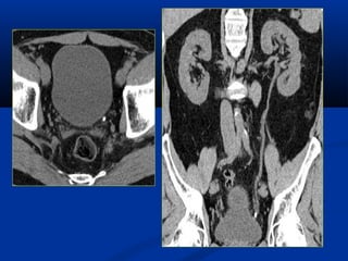
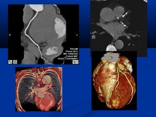
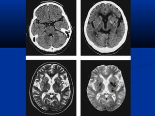
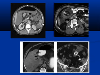
5.5. Li t kê 5 ng d ng/ch đ nh c a CT.ệ ứ ụ ỉ ị ủLi t kê 5 ng d ng/ch đ nh c a CT.ệ ứ ụ ỉ ị ủ
ĐẠI CƯƠNG - ỨNG DỤNGĐẠI CƯƠNG - ỨNG DỤNG
((X QUANG) CẮT LỚP ĐiỆN TOÁNX QUANG) CẮT LỚP ĐiỆN TOÁN
Bs H Hoàng Ph ngồ ươ
B môn CĐHA – ĐH Y D c TP HCMộ ượ
Khoa CĐHA – BV ĐHYD (CS2)
1895
W.C. Roentgen
phaùt hieän tia X
Lòch söû
W.C.Roentgen (1845-
1923)
Tên g i ?ọ
- Ch n Đoán Hình nh?ẩ ả
- Đi n quangệ
- X quang
- Hình nh h c Y khoaả ọ
- Hình nh h cả ọ
- Imagerie médicale
- Imaging
- …
Hình nh h c Y khoaả ọ
X quang
Siêu âm
CT – X quang c t l p đi n toánắ ớ ệ
MRI – C ng h ng tộ ưở ừ
DSA – Ch p m ch máu s hóa xóa n nụ ạ ố ề
Y h c h t nhânọ ạ
4/1972 Hounsfield : Giôùi thieäu
maùy CT ñaàu tieân
1979 Hounsfield +Cormark
Nobel Y hoïc
Lòch söû
Ngày 4/2/1991Ngày 4/2/1991
Máy CT đ u tiên t i VNầ ạMáy CT đ u tiên t i VNầ ạ
Computed tomography (CT)Computed tomography (CT)
Chuïp hình soï nghieângChuïp hình soï nghieâng
X QUANG QUIX QUANG QUI
ÖÔÙCÖÔÙC
Tia
X
CT
CAÙC THEÁ HEÄ
MAÙY CT
THEÁ HEÄ THÖÙ NHAÁT
-Chuøm tia song song vaø ñaàu ñeøn coù
chuyeån ñoäng tònh tieán vaø chuyeån ñoäng
quay.
-Thôøi gian cho moät lôùp caét khoaûng 4 –5
phuùt vaø chæ aùp duïng cho nhöõng vuøng
khoâng di ñoäng nhö ñaàu.
THEÁ HEÄ THÖÙ HAI
-Chuyeån ñoäng tònh tieán vaø
chuyeån ñoäng quay
-Chuøm tia reû quaït (3 – 10 ñoä)
vaø heä caûm bieán coù 6 –60
keânh.
-Thôøi gian cho moät lôùp caét
giaûm xuoáng coøn 10 –20 giaây.
THEÁ HEÄ THÖÙ BA
-Chuøm tia reû quaït roäng (30 –60
ñoä)
-Thôøi gian cho moät lôùp caét
khoaûng 1- 4 giaây.
-Ñaàu ñeøn vaø boä caûm bieán
cuøng quay.
-Heä caûm bieán coù 400 –800
THEÁ HEÄ THÖÙ TÖ
Chæ coù ñaàu ñeøn quay coøn
heä thoáng caûm bieán ñöùng
yeân.
Heä caûm bieán coù nhieàu keânh
hôn ( >1000).
Khoâng coù söï khaùc bieät nhieàu
veà tính naêng kyõ thuaät maùy
theá heä 3 vaø 4.
CLÑT XOAÉN OÁC ( HELICAL CT )
-Ñaàu ñeøn quay, phaùt tia lieân tuïc
-Thu döõ lieäu lieân tuïc
-Baøn di chuyeån lieân tuïc
-Spiral CT= Helical CT= Volume Scan
CT xoaén oác (Helical
CT)
CT qui öôùc (Conventional
CT)
Ñaàu ñeøn Ñaàu ñeøn
Boán voøng
quay
Xoaén oác
CLÑT XOAÉN OÁC
 Thôøi gian khaûo saùt raát
ngaén
 Khaû naêng taùi taïo cao
CT ÑA LÔÙP CAÉT (MULTI-SLICE )
-Nhieàu haøng detectors
-Khaûo saùt ñoàng thôøi nhieàu laét
caét
-Thôøi gian queùt nhanh (<0.5
giaây/voøng).
-Khaûo saùt toát trong caùc tröôøng
hôïp caàn thôøi gian nhanh (tim-maïch,
coù bôm caûn quang, boä phaän cöû
CT 1 lôùp caét ( 1 haøng
ñaàu doø/Single row CT)
CT ña lôùp caét (nhieàu haøng
ñaàu doø
TRÒ SOÁ ÑAÄM ÑOÄ
Moãi phaân töû vaät (Voxel) coù trò
soá töông öùng vôùi möùc ñoä haáp
thu tia cuûa moâ vaø ñöôïc bieåu thò
baèng caùc ñoä xaùm khaùc nhau
treân hình ôû töøng phaân töû aûnh
(pixel).
TRÒ SOÁ ÑAÄM ÑOÄ
Ñaäm ñoä cuûa nöôùc : 0 ñôn
vò Hounsfield
(HU)
Ñaäm ñoä cuûa xöông :+ 1000 HU
Ñaäm ñoä cuûa khí :–1000 HU
Ñaäm ñoä môõ :–100 HU
(ROI : Region Of Interest)
Một số mật độ (HU)Một số mật độ (HU)
Loaïi moâ Trò soå chuaån (HU) Trò soá giôùi haïn (HU)
Xöông ñaëc 250
>
 
Gan 65 +/– 5 45 – 75
Cô 45 +/– 5 35 – 50
Laùch 45 +/– 5 40 – 60
Haïch 45 +/– 10 25 – 55
Tuïy taïng 45 +/– 10 20 –40
Thaän 40 +/–10
Môõ - 65 +/–10   - 80 – - 100
ÑAËT CÖÛA SOÅ
TREÂN CT
(WINDOW SETTING)
THAY ÑOÅI HÌNH AÛNH
-Trò soá ñaäm ñoä cuûa caùc moâ cô theå thay
ñoåi töø –1000HU ñeán +1000 HU
-Bieåu hieän treân hình baèng caùc ñoä xaùm
khaùc nhau. -Tuy nhieân maét thöôøng cuûa
chuùng ta chæ phaân bieät ñöôïc töø 15 – 20
ñoä xaùm khaùc nhau.
Do ñoù ñeå coù theå phaân bieät ñöôïc caùc
caáu truùc khaùc nhau ñaët cöûa soå
(Window setting ) taïo töông phaûn giuùp maét
thöôøng ta nhaän bieát ñöôïc.
ÑOÄ ROÄNG CÖÛA SOÅ
(WINDOW WIDTH)
-Giôùi haïn treân vaø giôùi haïn
döôùi cuûa trò soá ñaäm ñoä caàn
khaûo saùt .
- Trò soá ñaäm ñoä ngoaøi giôùi
haïn treân seõ coù maøu traéng
treân hình, caùc trò soá ñaäm ñoä
TRUNG TAÂM CÖÛA SOÅ
( WINDOW LEVEL )
Trò soá giöõa cuûa ñoä roäng cöõa
soå
Ñieàu chænh cho phuø hôïp vôùi toå
chöùc moâ caàn khaûo saùt
Cöûa soå trung
thaát
Cöûa soå phoåi
CE
Examination Typical effective dose (mSv) (milli rem)
Chest X-ray 0.1 10
Head CT 1.5 150
Screening mammography 3 300
Abdomen CT 5.3 530
Chest CT 5.8 580
Chest, Abdomen and Pelvis CT 9.9 990
CT colonography (virtual colonoscopy) 3.6 - 8.8 360 - 880
Cardiac CT angiogram 6.7-13 670 - 1300
Barium enema 15 1500
Neonatal abdominal CT 20 2000
U maùu vuøng haømU maùu vuøng haøm
(T)/(T)/ Daõn tónh maïchDaõn tónh maïch
caûnh ngoaøi (T)caûnh ngoaøi (T)
Taùi taïo 3DTaùi taïo 3D
Xaùc ñònh vò
trí xöông
söôøn treân
CT
NOÄI SOI AÛO PHEÁ
QUAÛN
Diffusion Perfusion
Diffusion Tensor MRI
(DTMRI)
Choline vaø lactic acidPHOÅ COÄNG HÖÔÛNG
TÖØ
(SPECTROSCOPY/MRS)
 BS Hồ Hoàng Phương.BS Hồ Hoàng Phương.
 Tel: 0983122377Tel: 0983122377
 Mail & fb: michelphuong@yahoo.comMail & fb: michelphuong@yahoo.com

Ct 2017 ck1

  • 1.
    Tên – T- quê quánổTên – T - quê quánổ N i công tác – thâm niên CĐHAơN i công tác – thâm niên CĐHAơ 1.1. CT là gì?CT là gì? 2.2. Máy CT đ a ph ng b n là lo i máy gì?ở ị ươ ạ ạMáy CT đ a ph ng b n là lo i máy gì?ở ị ươ ạ ạ 3.3. Gi i thích khái ni m “đ m đ ” trên CTả ệ ậ ộGi i thích khái ni m “đ m đ ” trên CTả ệ ậ ộ 4.4. Gi i thích khái ni m “c a s ” trên CTả ệ ử ổGi i thích khái ni m “c a s ” trên CTả ệ ử ổ 5.5. Li t kê 5 ng d ng/ch đ nh c a CT.ệ ứ ụ ỉ ị ủLi t kê 5 ng d ng/ch đ nh c a CT.ệ ứ ụ ỉ ị ủ
  • 2.
    ĐẠI CƯƠNG -ỨNG DỤNGĐẠI CƯƠNG - ỨNG DỤNG ((X QUANG) CẮT LỚP ĐiỆN TOÁNX QUANG) CẮT LỚP ĐiỆN TOÁN Bs H Hoàng Ph ngồ ươ B môn CĐHA – ĐH Y D c TP HCMộ ượ Khoa CĐHA – BV ĐHYD (CS2)
  • 3.
    1895 W.C. Roentgen phaùt hieäntia X Lòch söû W.C.Roentgen (1845- 1923)
  • 4.
    Tên g i?ọ - Ch n Đoán Hình nh?ẩ ả - Đi n quangệ - X quang - Hình nh h c Y khoaả ọ - Hình nh h cả ọ - Imagerie médicale - Imaging - …
  • 5.
    Hình nh hc Y khoaả ọ X quang Siêu âm CT – X quang c t l p đi n toánắ ớ ệ MRI – C ng h ng tộ ưở ừ DSA – Ch p m ch máu s hóa xóa n nụ ạ ố ề Y h c h t nhânọ ạ
  • 7.
    4/1972 Hounsfield :Giôùi thieäu maùy CT ñaàu tieân 1979 Hounsfield +Cormark Nobel Y hoïc Lòch söû
  • 10.
    Ngày 4/2/1991Ngày 4/2/1991 MáyCT đ u tiên t i VNầ ạMáy CT đ u tiên t i VNầ ạ
  • 11.
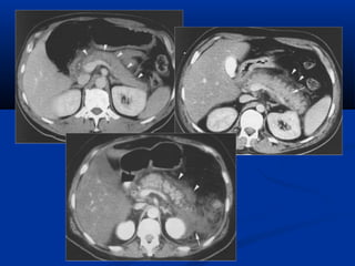
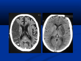
  • 17.
    Chuïp hình soïnghieângChuïp hình soï nghieâng X QUANG QUIX QUANG QUI ÖÔÙCÖÔÙC Tia X
  • 18.
  • 19.
  • 20.
    THEÁ HEÄ THÖÙNHAÁT -Chuøm tia song song vaø ñaàu ñeøn coù chuyeån ñoäng tònh tieán vaø chuyeån ñoäng quay. -Thôøi gian cho moät lôùp caét khoaûng 4 –5 phuùt vaø chæ aùp duïng cho nhöõng vuøng khoâng di ñoäng nhö ñaàu.
  • 22.
    THEÁ HEÄ THÖÙHAI -Chuyeån ñoäng tònh tieán vaø chuyeån ñoäng quay -Chuøm tia reû quaït (3 – 10 ñoä) vaø heä caûm bieán coù 6 –60 keânh. -Thôøi gian cho moät lôùp caét giaûm xuoáng coøn 10 –20 giaây.
  • 24.
    THEÁ HEÄ THÖÙBA -Chuøm tia reû quaït roäng (30 –60 ñoä) -Thôøi gian cho moät lôùp caét khoaûng 1- 4 giaây. -Ñaàu ñeøn vaø boä caûm bieán cuøng quay. -Heä caûm bieán coù 400 –800
  • 26.
    THEÁ HEÄ THÖÙTÖ Chæ coù ñaàu ñeøn quay coøn heä thoáng caûm bieán ñöùng yeân. Heä caûm bieán coù nhieàu keânh hôn ( >1000). Khoâng coù söï khaùc bieät nhieàu veà tính naêng kyõ thuaät maùy theá heä 3 vaø 4.
  • 29.
    CLÑT XOAÉN OÁC( HELICAL CT ) -Ñaàu ñeøn quay, phaùt tia lieân tuïc -Thu döõ lieäu lieân tuïc -Baøn di chuyeån lieân tuïc -Spiral CT= Helical CT= Volume Scan
  • 30.
    CT xoaén oác(Helical CT) CT qui öôùc (Conventional CT) Ñaàu ñeøn Ñaàu ñeøn Boán voøng quay Xoaén oác
  • 32.
    CLÑT XOAÉN OÁC Thôøi gian khaûo saùt raát ngaén  Khaû naêng taùi taïo cao
  • 38.
    CT ÑA LÔÙPCAÉT (MULTI-SLICE ) -Nhieàu haøng detectors -Khaûo saùt ñoàng thôøi nhieàu laét caét -Thôøi gian queùt nhanh (<0.5 giaây/voøng). -Khaûo saùt toát trong caùc tröôøng hôïp caàn thôøi gian nhanh (tim-maïch, coù bôm caûn quang, boä phaän cöû
  • 39.
    CT 1 lôùpcaét ( 1 haøng ñaàu doø/Single row CT) CT ña lôùp caét (nhieàu haøng ñaàu doø
  • 57.
    TRÒ SOÁ ÑAÄMÑOÄ Moãi phaân töû vaät (Voxel) coù trò soá töông öùng vôùi möùc ñoä haáp thu tia cuûa moâ vaø ñöôïc bieåu thò baèng caùc ñoä xaùm khaùc nhau treân hình ôû töøng phaân töû aûnh (pixel).
  • 58.
    TRÒ SOÁ ÑAÄMÑOÄ Ñaäm ñoä cuûa nöôùc : 0 ñôn vò Hounsfield (HU) Ñaäm ñoä cuûa xöông :+ 1000 HU Ñaäm ñoä cuûa khí :–1000 HU Ñaäm ñoä môõ :–100 HU (ROI : Region Of Interest)
  • 59.
    Một số mậtđộ (HU)Một số mật độ (HU)
  • 60.
    Loaïi moâ Tròsoå chuaån (HU) Trò soá giôùi haïn (HU) Xöông ñaëc 250 >   Gan 65 +/– 5 45 – 75 Cô 45 +/– 5 35 – 50 Laùch 45 +/– 5 40 – 60 Haïch 45 +/– 10 25 – 55 Tuïy taïng 45 +/– 10 20 –40 Thaän 40 +/–10 Môõ - 65 +/–10   - 80 – - 100
  • 64.
    ÑAËT CÖÛA SOÅ TREÂNCT (WINDOW SETTING)
  • 65.
    THAY ÑOÅI HÌNHAÛNH -Trò soá ñaäm ñoä cuûa caùc moâ cô theå thay ñoåi töø –1000HU ñeán +1000 HU -Bieåu hieän treân hình baèng caùc ñoä xaùm khaùc nhau. -Tuy nhieân maét thöôøng cuûa chuùng ta chæ phaân bieät ñöôïc töø 15 – 20 ñoä xaùm khaùc nhau. Do ñoù ñeå coù theå phaân bieät ñöôïc caùc caáu truùc khaùc nhau ñaët cöûa soå (Window setting ) taïo töông phaûn giuùp maét thöôøng ta nhaän bieát ñöôïc.
  • 67.
    ÑOÄ ROÄNG CÖÛASOÅ (WINDOW WIDTH) -Giôùi haïn treân vaø giôùi haïn döôùi cuûa trò soá ñaäm ñoä caàn khaûo saùt . - Trò soá ñaäm ñoä ngoaøi giôùi haïn treân seõ coù maøu traéng treân hình, caùc trò soá ñaäm ñoä
  • 68.
    TRUNG TAÂM CÖÛASOÅ ( WINDOW LEVEL ) Trò soá giöõa cuûa ñoä roäng cöõa soå Ñieàu chænh cho phuø hôïp vôùi toå chöùc moâ caàn khaûo saùt
  • 69.
  • 72.
  • 78.
    Examination Typical effectivedose (mSv) (milli rem) Chest X-ray 0.1 10 Head CT 1.5 150 Screening mammography 3 300 Abdomen CT 5.3 530 Chest CT 5.8 580 Chest, Abdomen and Pelvis CT 9.9 990 CT colonography (virtual colonoscopy) 3.6 - 8.8 360 - 880 Cardiac CT angiogram 6.7-13 670 - 1300 Barium enema 15 1500 Neonatal abdominal CT 20 2000
  • 95.
    U maùu vuønghaømU maùu vuøng haøm (T)/(T)/ Daõn tónh maïchDaõn tónh maïch caûnh ngoaøi (T)caûnh ngoaøi (T)
  • 99.
  • 103.
    Xaùc ñònh vò tríxöông söôøn treân CT
  • 105.
    NOÄI SOI AÛOPHEÁ QUAÛN
  • 135.
  • 136.
  • 137.
    Choline vaø lacticacidPHOÅ COÄNG HÖÔÛNG TÖØ (SPECTROSCOPY/MRS)
  • 141.
     BS HồHoàng Phương.BS Hồ Hoàng Phương.  Tel: 0983122377Tel: 0983122377  Mail & fb: michelphuong@yahoo.comMail & fb: michelphuong@yahoo.com