BÃÛNH LYÏ THÆÅÌNG GÀÛP CUÍA
HÃÛ TIÃÚT NIÃÛU
Muûc tiãu:
1. Phán têch âæåüc mäüt säú hçnh aính
bãûnh lyï cuû thãø cuía HTN.
2. Cháøn âoaïn phán biãût âæåüc mäüt
säú bãûnh lyï thæåìng gàûp cuía HTN.
2. Nhiãùm truìng âæåìng tiãøu
2.1. Nhiãùm truìng âæåìng tiãøu cáúp tênh
2.1.1. Nhiãùm truìng âæåìng tiãøu tháúp
Cháøn âoaïn hçnh aính thæåìng khäng coï vai troì
trong cháøn âoaïn viãm baìng quang.
Siãu ám coï thãø tháúy:
- Næåïc tiãøu khäng trong, coï låün cåün phaín häöi
ám.
- Thaình baìng quang daìy.
- Giaím træång læûc kãø caí pháön cao hãû tiãút niãûu.
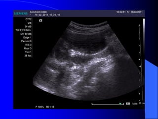
2.1.2. Viãm tháûn bãø tháûn cáúp
- Là quá trình viêm nhiễm trùng do VK ở mô kẽ ống thận
một hoặc hai bên, thường gặp ở nữ và thường do
NTĐT dưới đi lên theo bạch huyết hoặc trào ngược.
- Về mặt mô bệnh lý: phù nề lan tỏa nhu mô thận, trong
đó hiện diện vài ổ viêm, có thể tạo microabces và ổ áp
xe lớn.
- LS: khởi phát với các TC NTĐT dưới như đái rắt, đái
buốt, đái khó.
-
2.1.2. Viãm tháûn bãø tháûn cáúp
- Siãu ám: 30% trhåüp, tháúy caïc triãûu chæïng muäün:
maíng giaím ám do phuì nãö, boïng tháûn håi låïn giaím
ám nheû, máút phán biãût tuyí voí, soíi.
- NÂTM êt nhaûy, 25% trhåüp, coï caïc dáúu hiãûu tháûn
låïn nheû, caïc âaìi tháûn hiãûn hçnh keïm vaì cháûm, niãm
maûc bãø tháûn coï hçnh caïc thåï do phuì nãö, tháúy soíi vaì
triãûu chæïng tàõc.
- CLVT phaït hiãûn khaï nhaûy > 75% trhåüp, våïi âiãöu
kiãûn tiãm TCQ nhanh vaì xoàõn äúc nhiãöu thç (thç voí
tháûn vaì thç baìi tiãút muäün):
+ Tháûn tàng thãø têch do phuì viãm.
+ Vuìng täøn thæång khäng phán biãût tuyí voí (↓ tè
troüng).
Thç baìi tiãút muäün sau vaìi giåì vuìng bãûnh tàng
tè troüng so våïi nhu mä laình do caïc äúng tháûn
bë tàõc ngáúm TCQ cháûm (phán biãût: VTBT äø,
aïp xe tháûn, u tháûn.
+ Cheìn eïp ÂBT trong VTBT cáúp äø.
+ Hçnh aính såüi tàng tè troüng åí måî quanh tháûn
tháúy > 90% trhåüp do thám nhiãùm viãm phuì
nãö caïc vaïch liãn kãút trong täø chæïc måî.
+ Âäi khi coï daìy nheû cán quanh tháûn êt âàûc
hiãûu.
VTBT cÊp:
h×nh tia, tam
gi¸c kh«ng
ngÊm CQ
Gáön âáy, våïi kyî thuáût CLVT xoàõn äúc thç
muäün (thç mä tháûn hoàûc thç baìi tiãút) seî tháúy
hçnh aính daíi hoàûc hçnh chãm khäng âäöng
nháút, tháûn coï hçnh chàõp vaï.
Cháøn âoaïn giaïn biãût chênh trong giai âoaûn
naìy:
+ Nhäöi maïu tháûn
+ Lymphome vaì di càn.
 Echo Doppler
Couleur
- Vùng vô mạch
(ischémie)
- trẻ em +++
- người lớn +
Viêm thận bể thận cấp
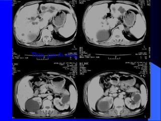
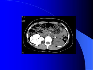
2.1.3. AÏp xe tháûn
Áp xe thận có thể hình thành từ các vi ổ áp xe trong
VTBTC, từ tiến triển của VTBT thùy (có yt nguy
cơ như sỏi thận hay SGMD), hoặc lan truyền theo
đường máu từ da
- NÂTM: êt khi coï dáúu hiãûu.
- Siãu ám: khäúi båì khäng roî, thaình giaìu maûch maïu
vaì coï cáúu truïc ám thay âäøi, bãn trong khäúi räùng
ám.
- CLVT: trung tám khäúi giaím tè troüng vaì khäng
ngáúm TCQ, vaïch bãn trong khäng âãöu. Voí äø aïp xe
ngáúm TCQ.
Khi aïp xe lan ra vuìng quanh tháûn, caìng gåüi yï
thæång täøn nhiãùm khuáøn, våïi phaín æïng cuía
måî vaì daìy caïc cán cuía tháûn. Nãúu coï håi
trong äø aïp xe coï thãø do vi khuáøn kë khê hoàûc
do läø doì våïi taûng räùng.
Aùp xe thaän vaø quanh thaän
- Cháøn âoaïn xaïc âënh dæûa vaìo lám saìng kãút
håüp våïi hçnh aính, âàûc biãût våïi hçnh aính càõt
låïp vi tênh, coï træåìng håüp cáön choüc doì qua
da âãø cháøn âoaïn vaì dáùn læu.
- Cháøn âoaïn giaïn biãût aïp xe tháûn våïi:
+ U tháûn daûng nang hoàûc hoaûi tæí.
+ Caïc nang tháûn nhiãùm khuáøn.
+ Tuïi thæìa caûnh âaìi tháûn nhiãùm khuáøn.
2.1.4. Tháûn æï næåïc nhiãùm khuáøn - æï muí
- Siãu ám: giaîn caïc ÂBT, næåïc tiãøu coï häöi ám, âäi
khi tháúy soíi ÂBT, nhu mä tháûn coï thãø bçnh thæåìng,
moíng hoàûc khäng âäöng nháút vaì khäng tháúy roî.
- CLVT coï thãø tháúy tè troüng næåïc tiãøu cao (15
UH), daìy thaình bãø tháûn, phaín æïng quanh
tháûn, mä tháûn caín quang vaì âaïnh giaï så bäü
chæïc nàng tháûn.
- NÂTM ráút êt låüi êch vç thæåìng tháûn giaím
chæïc nàng.
2.2. Mäüt säú thãø nhiãùm truìng âæåìng tiãøu
âàûc biãût
2.2.1. Viãm bãø tháûn - niãûu quaín daûng khuyãút
NTÂT láu ngaìy dáùn âãún thoaïi hoïa dáön dáön
thaình NQ, biãøu hiãûn trãn NÂTM laì nhæîng
hçnh khuyãút nhoí åí doüc thaình NQ vaì khäng
gáy ngheîn.
2.2.2. Hoaûi tæí gai tháûn
Hoaûi tæí gai tháûn do thiãúu maïu gai tháûn,
thæåìng gàûp: åí ngæåìi bãûnh tiãøu âæåìng
(thæåìng nàûng thãm do nhiãùm
truìng/tàõc ngheîn)
Bãûnh häöng cáöu hçnh liãöm
Uäúng quaï nhiãöu thuäúc giaím
âau (hiãúm gàûp).
Triãûu chæïng thæåìng gàûp: Tiãøu maïu, tiãøu
muí, prätãin niãûu.
Cháøn âoaïn dæûa vaìo hçnh aính trãn NÂTM:
âaìi tháûn bë bãûnh hiãûn hçnh keïm, hçnh läöi åí
trung tám hoàûc toaìn bäü gai tháûn, chæïng toí äø
hoaûi tæí thäng våïi âaìi tháûn.
Trong mäüt säú træåìng håüp trãn CLVT coï
thãø tháúy äø hoaûi tæí chæa thäng vaìo âæåìng dáùn
tiãøu.
Nãúu NÂTM khäng thæûc hiãûn âæåüc thç
chuûp bãø tháûn ngæåüc doìng.
Siãu ám, CLVT, CHT khäng cho tháúy roî
sæû thay âäøi gai tháûn.
2.2.3. Viãm tháûn bãø tháûn vaì viãm baìng quang
sinh håi
Do caïc VK kë khê (E. Coli, Proteus,
Kleïbsiella, Enterobacter...) sinh håi do lãn
men Glucose. Håi seî khuãúch taïn trong thaình
hoàûc trong loìng âæåìng dáùn tiãøu, håi trong
nhu mä tháûn vaì coï thãø åí khoaíng quanh tháûn.
Håi tháúy âæåüc trãn phim HTNKCB, siãu
ám, phim NÂTM vaì phim CLVT khäng
tiãm TCQ maûch maïu.
Tiãn læåüng xáúu, tæí vong cao, cáön âiãöu trë
kãút håüp näüi ngoaûi khoa såïm.
Viêm thận bể thận cấp vi
khuẩn sinh hơi
2.3. Nhiãùm truìng âæåìng tiãøu maûn tênh
2.3.1. Viãm tháûn bãø tháûn maûn
Do sæû taïi phaït nhiãöu láön VTBT cáúp, sæû traìo ngæåüc
liãn tuûc åí gai tháûn laìm täøn thæång tæì tæì nhu mä
tháûn (voí vaì tuyí) → viãm tháûn keí xå hoïa, khäng
nung muí, våïi caïc maíng xå co keïo giæîa voí tháûn vaì
âaìi tháûn biãún daûng, xen keî vuìng nhu mä laình.
Viªm thËn bÓ thËn m·n
1. §¸y ®µi ph¼ng hoÆc låi
2. ThËn nhá bê cã ngÊn
KÐm ph¸t triÓn khu
tró
1. §µi h×nh chuú
2. Kh«ng cã nhu m«
* SA: tháûn nhoí, nhu mä teo, båì läöi loîm. Nhu mä tháûn håi tàng
ám khäng phán biãût tuíy voí tháûn. ÆÏ âoüng måî xoang tháûn
thæåìng gàûp (Lipomatose).
Viªm thËn bÓ thËn m·n
* NÂTM: tháûn nhoí khäng cán
xæïng bãn âäúi diãûn, båì läöi loîm,
nhu mä moíng khäng âãöu ngang
våïi mæïc âaìi tháûn, âaìi tháûn naìy
coï hçnh chuìy.
Viªm thËn bÓ thËn m·n
* CLVT: tháúy tæång tæû nhæ trãn
NÂTM.
Khi khäng tháúy roî caïc nguyãn
nhán khaïc thç cáön chuûp baìng
quang âãø tçm traìo ngæåüc baìng
quang - niãûu quaín.
2.3.2. Viãm tháûn bãø tháûn haût vaìng
(pyelonephrite xanthogranulomateuse)
Do nhiãùm khuáøn Gr (-) Proteus, E. Coli
tháöm làûng, maûn tênh gáy phaín æïng täø chæïc
baìo loaûi haût vaìng. Täø chæïc baìo thay thãú nhu
mä tháûn, laìm cho tháûn låïn.
- NÂTM: tháúy tam chæïng: tháûn låïn, soíi tháûn
(> 80%), chæïc nàng baìi tiãút giaím/máút.
- Siãu ám: tháûn låïn, cáúu truïc ám nhu mä báút
thæåìng (khäng phán biãût tuyí voí, bë thay
bàòng nhæîng khäúi giaím hoàûc räùng ám, laì
nhæîng äø hoaûi tæí), bao quanh ÂBT coï soíi, æï
muí.
- CLVT tháúy tháûn låïn, bãø tháûn bë co keïo, coï
soíi, måî xoang tháûn âæåüc thay täø chæïc xå.
Nhu mä âæåüc thay båíi caïc khäúi giaím tỷ
trọng laì u haût vaìng (xanthoma) caïc häúc vaì
caïc âaìi tháûn æï næåïc.
Coï thãø tháúy lan räüng khoaíng quanh tháûn vaì
caûnh tháûn, cå âaïy cháûu; coï thãø doì vaìo caïc
taûng lán cáûn, doì ra da.
Hçnh aính soíi åí giæîa vaì caïc häúc xung quanh
laì dáúu hiãûu vãút chán gáúu. Trong säú êt bãûnh
nhán coï dáúu soíi gaîy, do nhu mä tháûn låïn
nhanh hån soíi laìm soíi gaîy vaì di lãûch vë trê.
Cháøn âoaïn gåüi yï khi coï sæû kãút håüp.
- Khäúi coï maûch, coï haût vaìng, âäi khi coï häúc,
xuáút phaït tæì tháûn, nhæng thæåìng thám nhiãøm
vuìng quanh tháûn vaì caûnh tháûn.
- Soíi tháûn, thæåìng soíi san hä.
Cháøn âoaïn giaïn biãût våïi AdeïnoCarcinome
dæûa vaìo sæû hiãûn diãûn cuía soíi.
Viªm thËn bÓ thËn h¹t vµng, ph¶i
(sái bÓ thËn, tØ träng mì nhu m«)
2.3.3. Lao tháûn
- ASP: hçnh väi hoaï cháút baî âáûu caïc cuí lao åí
giai âoaûn ráút muäün (tháûn mastic) - hiãúm.
- NÂTM âuïng kyî thuáût gåüi yï cháøn âoaïn:
+ Hçnh ràng cæa doüc theo âæåìng dáùn tiãøu do
caïc äø loeït nhoí.
+ Heûp cäø âaìi tháûn, âaìi tháûn daîn thaình hçnh ly
ræåüu hoàc hçnh cáöu, hçnh gai åí bãø tháûn do
âaìi tháûn biãún máút.
+ Heûp niãûu quaín nhiãöu nåi.
+ Hçnh läöi åí âaïy caïc âaìi tháûn (caïc hang lao
thäng våïi âaìi tháûn). Cáön giaïn biãût våïi hoaûi
tæí gai tháûn hoàûc tuïi thæìa âaìi tháûn.
+ Baìng quang teo nhoí.
- Siãu ám coï thãø tháúy thay âäøi åí xoang tháûn
vaì nhu mä tháûn êt gåüi yï.
- CLVT coï thãø tháúy caïc dáúu hiãûu khäng âiãøn
hçnh, giaîn âaìi tháûn, caïc äø giaím tè troüng trong
tháûn, hçnh väi hoaï.
Lao thËn bªn tr¸i
HÑp bÓ thËn, hÑp NQ
3. Nang tháûn
3.1. Nang tháûn âiãøn hçnh
Nang âån âäüc laình tênh (hay gàûp nháút åí tháûn).
Tuäøi caìng cao táön suáút caìng tàng (50% âäü tuäøi 50).
Nang xuáút phaït tæì voí tháûn, coï thãø phaït triãøn ra
ngoaìi tháûn hay vaìo nhu mä.
Kêch thæåïc thay âäøi tæì vaìi mm âãún nhiãöu cm.
Nang chæïa dëch tæång tæû huyãút thanh.
Cå chãú bãûnh sinh chæa saïng toí chè biãút nang hçnh
thaình do tàõc caïc äúng tháûn.
Tiãún triãøn cháûm, thæåìng khäng coï triãûu chæïng LS.
Nang coï thãø våî vaìo âaìi tháûn gáy cån âau vuìng
häng vaì tiãøu maïu.
* ASP: Coï thãø tháúy boïng tháûn låïn båì läöi. Nang låïn
coï thãø âáøy håi trong ruäüt, xoïa båì cå TLC. Coï thãø
tháúy väi hoïa daûng âæåìng viãön ngoaûi vi nang.
* UIV: Häüi chæïng khäúi: âeì, âáøy, keïo daìi caïc âaìi bãø
tháûn.
* Siãu ám: Hçnh cáöu, räùng ám, tàng ám sau, båì âãöu
khäng tháúy roî thaình nang. (Nãúu âuí caïc tiãu
chuáøn trãn, âäü chênh xaïc laì 100%.)
* CLVT: Nang coï tè troüng tháúp = dëch (10  
20UH), âäöng nháút, giåïi haûn âãöu roî, khäng tháúy
thaình, khäng ngáúm TCQ. Âäü chênh xaïc cháøn
âoaïn 100%.
3.2. Nang tháûn khäng âiãøn hçnh
Nang khäng âiãøn hçnh khäng coï âuí caïc
dáúu hiãûu nang âiãøn hçnh. Như:
- Nang âiãøn hçnh khi bë xuáút huyãút, coï
maïu cuûc tråí nãn khäng âäöng nháút, sau âoï
xuáút hiãûn väi hoïa.
- Nang âiãøn hçnh bë nhiãùm truìng, tråí nãn
khäng âäöng nháút, thaình daìy, ngáúm TCQ
trãn CLVT, coï vaïch trong nang.
Phaíi phán biãût våïi ung thæ daûng nang,
khäúi coï mäüt hay nhiãöu nang, thaình daìy
khäng âãöu laì pháön âàûc cuía u, ngáúm TCQ.
2. Nang
kh«ng ®IÓn
h×nh
XuÊt huyÕt
NhiÓm trïng
thµnh dµy, cã
v¸ch, ngÊm
thuèc c¶n
quang
Ph©n biÖt ung
th d¹ng nang:
thµnh dµy
kh«ng ®Òu,
Nang ®iÓn h×nh vµ kh«ng ®iÓn h×nh
Nang thËn trªn S¢
vµ CLVT
CLVT thì bài tiết
Renal carcinoma
3.3. Nang caûnh bãø tháûn
Täøn thæång laình tênh
Xaøy ra åí moüi læïa tuäøi
Thæåìng khäng coï triãûu chæïng, træì khi
nang låïn cheìn vaìo bãø tháûn gáy âau læng,
cheìn vaìo âäüng maûch tháûn gáy tàng huyãút aïp.
Nang hçnh thaình do âæåìng baûch maûch
giaîn. Nang chæïa dëch coï albumine, lipide vaì
cholesterole.
Nang thæåìng nhiãöu äø khäng thäng våïi
ÂBT, âáøy bãø tháûn vãö mäüt phêa hoàûc bao
quanh caïc ÂBT vaì keïo daìi caïc âaìi tháûn.
Trãn NÂTM coï thãø tháúy ÂBT bë âeì
âáøy.
Trãn siãu ám laì khäúi räùng ám, tàng
ám sau, thaình moíng, åí xoang tháûn.
Phán biãût våïi æï næåïc âaìi bãø tháûn, åí âáy
caïc nang caûnh bãø tháûn khäng thäng
nhau.
Nang cạnh bể thận
3.4. Loaûn saín âa nang
Báút thæåìng xaøy ra trong thåìi kyì baìo thai,
tæì máöm NQ, âàûc træng laì hiãûn diãûn nhiãöu
nang cuìng våïi täø chæïc loaûn saín toaìn thán,
ráút hiãúm khi gàûp hai tháûn hay chè mäüt pháön
tháûn.
Trãn NÂTM coï thãø tháúy väi hoïa daûng
voìng, tháûn cám, tháûn âäúi diãûn låïn do hoaût
âäüng buì.
Trãn siãu ám tháúy nhiãöu nang våïi kêch
thæåïc khäng âãöu nhau, khäng thäng nhau.
Nhu mä tháûn giæîa caïc nang chè laì täø chæïc
loaûn saín, tàng ám. Khäng tháúy bãø tháûn.
3.5. Tháûn âa nang
Tháûn âa nang laì bãûnh di truyãön.
Nang coï nguäön gäúc tæì nephron. Thæåìng
xaøy ra åí hai tháûn, nãúu tháúy tháûn âa nang mäüt
bãn thç bãn kia coï báút thæåìng kên âaïo hån,
nhæîng nang nhoí hån.
Khoaíng 50% træåìng håüp kãút håüp våïi
nhæîng báút thæåìng khaïc nhæ nang gan, nang
tuûy, nang laïch, tuïi phçnh âäüng maûch naîo.
- Trãn phim buûng coï thãø tháúy boïng tháûn
låïn gáy dáúu hiãûu âáøy håi trong ruäüt (häüi
chæïng khäúi), xoïa båì cå thàõt læng cháûu.
- Trãn NÂTM mä tháûn caín quang khäng âäöng
nháút. Khi ÂBT nhuäüm âáöìy TCQ tháúy bãø
tháûn heûp theo chiãöu ngang, tàng theo chiãöu
doüc. Caïc âaìi tháûn bë keïo daìi, maính deí, lãûch
hæåïng do nhiãöu nang âeì vaìo.
- Trãn siãu ám phaït hiãûn tháûn âa nang, ngay
caí åí giai âoaûn såïm, tháûn låïn våïi ráút nhiãöu
nang nhoí. Khi nang bë nhiãùm khuáøn hay
xuáút huyãút seî tháúy cáúu truïc ám cuía caïc nang
khäng âäöng nháút, thaình nang daìy, väi hoïa.
Siãu ám âäöng thåìi coï thãø tháúy nang åí gan
hoàûc tuûy, laïch trong häüi chæïng Von Hippel -
Lindau.
Bệnh thËn ®a nang
APCD/ Autosomal dominant PolyCystic Disease
Bệnh thËn ®a nang
Bệnh thËn ®a nang
Bệnh thËn ®a nang
ThËn, gan ®a nang
Tuỵ đa nang/ung thư thận Bệnh Von Hippel Lindau
Tháûn âa nang åí treí em
Bãûnh di truyãön thæåìng gàûp åí treí < 5
tuäøi, nháút laì < 1 tuäøi. Coï thãø âæåüc cháøn âoaïn
trong thai kyì. Täøn thæång xaøy ra åí caïc äúng
tháûn, mæïc âäü nàûng nheû tuìy thuäücû vaìo tè lãû
äúng tháûn bë täøn thæång, coï thãø tæí vong såïm
åí treí nhoí. Bãûnh biãøu hiãûn caìng såïm caìng
nàûng.
Hçnh aính siãu ám tháúy hai tháûn låïn âãöu,
coï ráút nhiãöu nang nhoí 1-2mm laì nhæîng äúng
tháûn giaîn. Do giaîn äúng tháûn lan toía nãn nhu
mä tháûn tàng ám, máút phán biãût tuíy voí.
4. U hãû tiãút niãûu
Vãö màût tãú baìo, ngæåìi ta xãúp u biãøu mä tháûn vaì u
khäng do biãøu mä tháûn.
- Carrcinome biãøu mä tháûn aïc tênh chiãúm 85% caïc
loaûi u tháûn ngæåìi låïn.
- U biãøu mä tháûn laình tênh ráút hiãúm gàûp, gäöm
adeïnome, oncocytome, nephrome kystique.
- U khäng do biãøu mä tháûn laì u maûch - cå - måî
(angiomyolipome) laình tênh. Caïc loaûi khaïc hiãúm
gàûp: u måî, u maïu, u baûch maûch, sarcome xå,
sarcome måî, sarcome cå...
ÅÍ treí em, u aïc tênh cuía tháûn laì u nguyãn baìo
tháûn (u Wilms), hay gàûp nháút trong caïc u äø
buûng åí treí nhoí 1-8 tuäøi (> 90%), chiãúm 12%
trong säú caïc u aïc tênh cuía tháûn åí moüi læïa
tuäøi noïi chung.
- U thæåìng låïn 3-25cm, coï khi chiãúm 1/3
troüng læåüng treí.
- Thaình pháön bãn trong u gäöm caïc täø
chæïc hoaûi tæí, xuáút huyãút, keïn vaì täø chæïc xå.
- Lám saìng: âaïi maïu (50%), âau læng, såì tháúy khäúi, säút
dai dàóng hoàûc nhæîng dáúu hiãûu do u tháûn âaî di càn.
hoàûc khäúi u tháûn coï thãø âæåüc phaït hiãûn tçnh cåì trãn
siãu ám hoàûc CLVT,
Siãu ám laì phæång tiãûn phaït hiãûn thäng duûng âäúi våïi
nhæîng khäúi åí tháûn. CLVT là KT để xác định
- Âaïnh giaï lan räüng cuía u phaíi cáön CLVT.
- NÂTM chè âãø khaïm xeït âæåìng dáùn niãûu bë xám láún,
nhæng chè cáön chuûp 1-2 phim ngay sau chuûp CLVT
coï tiãm TCQ (uro - scanner).
- CHT âæåüc daình cho nhæîng bãûnh nhán dë æïng Iode,
xem xeït nang xuáút huyãút, âaïnh giaï xám láún ténh maûch.
Mäüt caïch täøng quaït, pháön låïn nhæîng u nhoí <3
cm (trong âoï 20 % laì laình tênh), caïc kyî
thuáût hçnh aính khäng tháúy roî, cáön chuûp
CLVT coï tiãm TCQ, nháút laì CHT vaì pháùu
thuáût. Træåïc mäüt hçnh khäúi phaït hiãûn, muûc
âêch cháøn âoaïn hçnh aính laì:
- Phán biãût khäúi tháût sæû vaì giaí u.
- Phán biãût khäúi âàûc hay dëch.
- Nãúu laì khäúi âàûc thç coï tênh cháút aïc tênh hay
laình tênh.
- Âaî laì u aïc tênh thç âaïnh giaï tçnh traûng xám
láún cuía u.
4.1. U nhu mä tháûn - Carcinome tãú baìo tháûn
Ung thæ tháûn chiãúm 3% ung thæ caïc loaûi åí
ngæåìi låïn, 95% trãn 50 tuäøi, nam gáúp âäi næî.
Yãúu täú thuáûn låüi laì tháûn âa nang, suy tháûn kãút
håüp âa nang màõc phaíi, tháûn dë daûng hçnh
moïng ngæûa, nghiãûn thuäúc laï.
Caïc loaûi u aïc tênh khaïc åí tháûn nhæ di càn,
lymphome, caïc loaûi sarcome, u nguyãn baìo
tháûn åí ngæåìi låïn.
- Phim NÂTM êt âæåüc chè âënh.
Laì xeït nghiãûm choün loüc trong træåìng håüp âaïi
maïu, kyî thuáût naìy thàm khaïm âæåìng dáùn
niãûu täút nháút.
NÂTM chè cho pheïp cháøn âoaïn ung thæ tháûn
khi coï hçnh aính càõt cuût âaìi tháûn vaì xám láún
ÂBT. Ngoaìi ra biãún daûng båì tháûn, väi hoïa
láúm táúm laì nhæîng dáúu hiãûu chè âiãøm aïc tênh.
Hçnh aính coï thãø bçnh thæåìng khi khäúi u
khäng låïn.
LÖch híng vµ biÕn d¹ng-DÊu Ên ngãn tay-KÐo dµi
Héi chøng u = hiÖu øng khèi cho¸n chç trªn N§TM
Ung th thËn: c¾t côt, nham nhë
Héi chøng u, (c¾t côt NQ: ung th thËn)
Héi chøng u (c¾t côt ®µi thËn: ung th thËn)
- Siãu ám phán biãût âæåüc khäúi âàûc vaì dëch.
Nãúu laì khäúi âàûc seî xem xeït cáúu truïc ám, coï thãø
giaím, âäöng hoàûc tàng ám, xem âäü âäöng nháút ám,
väi hoïa.
Nãúu laì khäúi dëch, seî tçm täø chæïc âàûc hoàûc vaïch
trong nang.
Siãu ám coï thãø tháúy haûch di càn, xám láún ténh
maûch.
Noïi chung khi phaït hiãûn khäúi âàûc trãn siãu ám,
cáön chuûp CLVT âãø âaïnh giaï roî hån baín cháút, sæû
xám láún, di càn.
Ung th thËn, cùc trªn
- CLVT phán biãût khäúi âàûc hay dëch, phaït hiãûn
väi hoïa nhoí, xuáút huyãút trong u, tçnh traûng
tæåïi maïu cuía u.
Pháön låïn træåìng håüp phán biãût âæåüc u laình vaì
u aïc.
Xem xeït âæåìng dáùn niãûu bë giaîn, bë xám láún.
CLVT kiãøm tra di càn haûch xám láún vuìng
xung quanh, xám láún maûch maïu, di càn xa,
cå såí âãø phán giai âoaûn tiãún triãøn u, cáön
thiãút cho phæång phaïp âiãöu trë.
U thËn m¹ch c¬ mì
t¨ng ©m (S¢),
tØ träng mì (CLVT)
Ung th thËn t¨ng ©m,
trªn CLVT kh«ng cã tØ
träng mì
Khèi ®Æc, dÞch ph¸t
hiÖn t×nh cê trªn
siªu ©m
A thËn BT B Khèi cùc trªn, cã nang
C khèi ®ång ©m D Khèi hæn hîp ©m thay cÊu tróc BT
U thËn
U thËn tr¸I tríc
sau tiªm TCQ
X©m lÊn
m¹ch m¸u
U thËn ph¶i
U Wilm ë trÎ em
thËn ph¶i
U thËn m¹ch c¬ mì
t¨ng ©m (S¢),
tØ träng mì (CLVT)
4.2. U bãø tháûn, niãûu quaín vaì baìng quang
* Laì loaûi u biãøu mä âæåìng dáùn niãûu aïc tênh,
chiãúm 6-10% caïc u tháûn aïc tênh. Caïc yãúu täú
nguy cå chênh laì soíi tiãút niãûu, nhiãùm truìng,
nghiãûn thuäúc laï, duìng quaï nhiãöu thuäúc
phenacetin. Hay gàûp > 50tuäøi, nam = 2næî.
* U laình tênh: polyp, hay gàûp âäü tuäøi 20-40.
* U aïc tênh: chuí yãúu Carcinome tãú baìo chuyãøn
tiãúp (85%), ngoaìi ra Carcinome tãú baìo vaíy
(15%). Di càn ung thæ âãún âæåìng dáùn niãûu
hiãúm gàûp.
* U âæåìng dáùn niãûu hay gàûp theo thæï tæû åí baìng
quang, bãø tháûn, niãûu quaín.
- NÂTM
+ Âäúi våïi thãø thám nhiãùm coï hçnh aính heûp, båì
khäng âãöu, thæåìng gáy æï næåïc.
+ Âäúi våïi thãø suìi, coï hçnh khuyãút saïng trong âæåìng
dáùn niãûu, båì coï thãø khäng âãöu, coï thãø gáy æï
næåïc âæåìng dáùn niãûu phêa trãn.
Cáön phán biãût våïi cuûc maïu âäng vaì soíi KCQ.
٠Soíi vaì maïu cuûc di chuyãøn vë trê, coï viãön caín
quang bao quanh.
٠Maïu cuûc thay âäùi hçnh daûng theo thåìi gian.
٠U âæåìng dáùn niãûu (bãø tháûn, niãûu quaín, baìng
quang) coï hçnh aính chán baïm vaìo thaình, nåi
khäng coï viãön TCQ bao quanh u.
U bÓ thËn tr¸i
U bµng quang
U bµng quang
U bµng quang
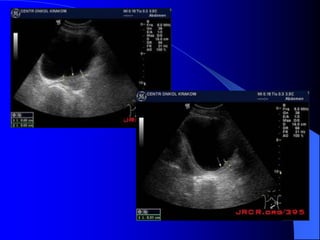
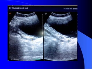
- Siãu ám
Khoï cháøn âoaïn u bãø tháûn, niãûu quaín nãúu
khäng coï æï næåïc âaìi bãø tháûn niãûu quaín.
U baìng quang trãn siãu ám tháúy hçnh tàng
ám trong baìng quang coï næåïc tiãøu räùng ám.
Siãu ám coï thãø tháúy mæïc âäü xám láún thaình
baìng quang vaì ngoaìi thaình baìng quang.
U bµng quang
- Càõt låïp vi tênh
Hçnh aính u giaím tè troüng so våïi nhu mä tháûn vaì
tàng tè troüng sau khi tiãm TCQ.
CLVT coï thãø tháúy: Maïu cuûc vaì soíi trong âæåìng
dáùn niãûu coï tè troüng cao hån u (20-30UH). Soíi
100 - >1000UH tuìy thaình pháön cáúu taûo vaì
maïu cuûc 50-70UH.
U bãø tháûn coï thãø thám nháûp nhu mä laìm thay
âäøi båì tháûn, coï thãø laìm heûp tàõc âæåìng baìi
xuáút, giaîn ÂBT, coï thãø phaït hiãûn âæåüc trãn
NÂTM. CLVT phaït hiãûn u bãø tháûn xám nháûp
nhu mä tháûn dãù hån, âäöng thåìi phán biãût âæåüc
våïi u nhu mä tháûn xám láún bãø tháûn.
U bÓ thËn ph¶i

Benh ly thuong gap htn

  • 1.
    BÃÛNH LYÏ THÆÅÌNGGÀÛP CUÍA HÃÛ TIÃÚT NIÃÛU Muûc tiãu: 1. Phán têch âæåüc mäüt säú hçnh aính bãûnh lyï cuû thãø cuía HTN. 2. Cháøn âoaïn phán biãût âæåüc mäüt säú bãûnh lyï thæåìng gàûp cuía HTN.
  • 2.
    2. Nhiãùm truìngâæåìng tiãøu 2.1. Nhiãùm truìng âæåìng tiãøu cáúp tênh 2.1.1. Nhiãùm truìng âæåìng tiãøu tháúp Cháøn âoaïn hçnh aính thæåìng khäng coï vai troì trong cháøn âoaïn viãm baìng quang. Siãu ám coï thãø tháúy: - Næåïc tiãøu khäng trong, coï låün cåün phaín häöi ám. - Thaình baìng quang daìy. - Giaím træång læûc kãø caí pháön cao hãû tiãút niãûu.
  • 10.
    2.1.2. Viãm tháûnbãø tháûn cáúp - Là quá trình viêm nhiễm trùng do VK ở mô kẽ ống thận một hoặc hai bên, thường gặp ở nữ và thường do NTĐT dưới đi lên theo bạch huyết hoặc trào ngược. - Về mặt mô bệnh lý: phù nề lan tỏa nhu mô thận, trong đó hiện diện vài ổ viêm, có thể tạo microabces và ổ áp xe lớn. - LS: khởi phát với các TC NTĐT dưới như đái rắt, đái buốt, đái khó. -
  • 11.
    2.1.2. Viãm tháûnbãø tháûn cáúp - Siãu ám: 30% trhåüp, tháúy caïc triãûu chæïng muäün: maíng giaím ám do phuì nãö, boïng tháûn håi låïn giaím ám nheû, máút phán biãût tuyí voí, soíi. - NÂTM êt nhaûy, 25% trhåüp, coï caïc dáúu hiãûu tháûn låïn nheû, caïc âaìi tháûn hiãûn hçnh keïm vaì cháûm, niãm maûc bãø tháûn coï hçnh caïc thåï do phuì nãö, tháúy soíi vaì triãûu chæïng tàõc. - CLVT phaït hiãûn khaï nhaûy > 75% trhåüp, våïi âiãöu kiãûn tiãm TCQ nhanh vaì xoàõn äúc nhiãöu thç (thç voí tháûn vaì thç baìi tiãút muäün):
  • 13.
    + Tháûn tàngthãø têch do phuì viãm. + Vuìng täøn thæång khäng phán biãût tuyí voí (↓ tè troüng). Thç baìi tiãút muäün sau vaìi giåì vuìng bãûnh tàng tè troüng so våïi nhu mä laình do caïc äúng tháûn bë tàõc ngáúm TCQ cháûm (phán biãût: VTBT äø, aïp xe tháûn, u tháûn. + Cheìn eïp ÂBT trong VTBT cáúp äø. + Hçnh aính såüi tàng tè troüng åí måî quanh tháûn tháúy > 90% trhåüp do thám nhiãùm viãm phuì nãö caïc vaïch liãn kãút trong täø chæïc måî. + Âäi khi coï daìy nheû cán quanh tháûn êt âàûc hiãûu. VTBT cÊp: h×nh tia, tam gi¸c kh«ng ngÊm CQ
  • 14.
    Gáön âáy, våïikyî thuáût CLVT xoàõn äúc thç muäün (thç mä tháûn hoàûc thç baìi tiãút) seî tháúy hçnh aính daíi hoàûc hçnh chãm khäng âäöng nháút, tháûn coï hçnh chàõp vaï. Cháøn âoaïn giaïn biãût chênh trong giai âoaûn naìy: + Nhäöi maïu tháûn + Lymphome vaì di càn.
  • 15.
     Echo Doppler Couleur -Vùng vô mạch (ischémie) - trẻ em +++ - người lớn + Viêm thận bể thận cấp
  • 16.
    2.1.3. AÏp xetháûn Áp xe thận có thể hình thành từ các vi ổ áp xe trong VTBTC, từ tiến triển của VTBT thùy (có yt nguy cơ như sỏi thận hay SGMD), hoặc lan truyền theo đường máu từ da - NÂTM: êt khi coï dáúu hiãûu. - Siãu ám: khäúi båì khäng roî, thaình giaìu maûch maïu vaì coï cáúu truïc ám thay âäøi, bãn trong khäúi räùng ám. - CLVT: trung tám khäúi giaím tè troüng vaì khäng ngáúm TCQ, vaïch bãn trong khäng âãöu. Voí äø aïp xe ngáúm TCQ.
  • 17.
    Khi aïp xelan ra vuìng quanh tháûn, caìng gåüi yï thæång täøn nhiãùm khuáøn, våïi phaín æïng cuía måî vaì daìy caïc cán cuía tháûn. Nãúu coï håi trong äø aïp xe coï thãø do vi khuáøn kë khê hoàûc do läø doì våïi taûng räùng.
  • 18.
    Aùp xe thaänvaø quanh thaän
  • 24.
    - Cháøn âoaïnxaïc âënh dæûa vaìo lám saìng kãút håüp våïi hçnh aính, âàûc biãût våïi hçnh aính càõt låïp vi tênh, coï træåìng håüp cáön choüc doì qua da âãø cháøn âoaïn vaì dáùn læu. - Cháøn âoaïn giaïn biãût aïp xe tháûn våïi: + U tháûn daûng nang hoàûc hoaûi tæí. + Caïc nang tháûn nhiãùm khuáøn. + Tuïi thæìa caûnh âaìi tháûn nhiãùm khuáøn.
  • 25.
    2.1.4. Tháûn æïnæåïc nhiãùm khuáøn - æï muí - Siãu ám: giaîn caïc ÂBT, næåïc tiãøu coï häöi ám, âäi khi tháúy soíi ÂBT, nhu mä tháûn coï thãø bçnh thæåìng, moíng hoàûc khäng âäöng nháút vaì khäng tháúy roî.
  • 26.
    - CLVT coïthãø tháúy tè troüng næåïc tiãøu cao (15 UH), daìy thaình bãø tháûn, phaín æïng quanh tháûn, mä tháûn caín quang vaì âaïnh giaï så bäü chæïc nàng tháûn. - NÂTM ráút êt låüi êch vç thæåìng tháûn giaím chæïc nàng.
  • 27.
    2.2. Mäüt säúthãø nhiãùm truìng âæåìng tiãøu âàûc biãût 2.2.1. Viãm bãø tháûn - niãûu quaín daûng khuyãút NTÂT láu ngaìy dáùn âãún thoaïi hoïa dáön dáön thaình NQ, biãøu hiãûn trãn NÂTM laì nhæîng hçnh khuyãút nhoí åí doüc thaình NQ vaì khäng gáy ngheîn.
  • 28.
    2.2.2. Hoaûi tæígai tháûn Hoaûi tæí gai tháûn do thiãúu maïu gai tháûn, thæåìng gàûp: åí ngæåìi bãûnh tiãøu âæåìng (thæåìng nàûng thãm do nhiãùm truìng/tàõc ngheîn) Bãûnh häöng cáöu hçnh liãöm Uäúng quaï nhiãöu thuäúc giaím âau (hiãúm gàûp). Triãûu chæïng thæåìng gàûp: Tiãøu maïu, tiãøu muí, prätãin niãûu.
  • 29.
    Cháøn âoaïn dæûavaìo hçnh aính trãn NÂTM: âaìi tháûn bë bãûnh hiãûn hçnh keïm, hçnh läöi åí trung tám hoàûc toaìn bäü gai tháûn, chæïng toí äø hoaûi tæí thäng våïi âaìi tháûn. Trong mäüt säú træåìng håüp trãn CLVT coï thãø tháúy äø hoaûi tæí chæa thäng vaìo âæåìng dáùn tiãøu. Nãúu NÂTM khäng thæûc hiãûn âæåüc thç chuûp bãø tháûn ngæåüc doìng. Siãu ám, CLVT, CHT khäng cho tháúy roî sæû thay âäøi gai tháûn.
  • 31.
    2.2.3. Viãm tháûnbãø tháûn vaì viãm baìng quang sinh håi Do caïc VK kë khê (E. Coli, Proteus, Kleïbsiella, Enterobacter...) sinh håi do lãn men Glucose. Håi seî khuãúch taïn trong thaình hoàûc trong loìng âæåìng dáùn tiãøu, håi trong nhu mä tháûn vaì coï thãø åí khoaíng quanh tháûn. Håi tháúy âæåüc trãn phim HTNKCB, siãu ám, phim NÂTM vaì phim CLVT khäng tiãm TCQ maûch maïu. Tiãn læåüng xáúu, tæí vong cao, cáön âiãöu trë kãút håüp näüi ngoaûi khoa såïm.
  • 32.
    Viêm thận bểthận cấp vi khuẩn sinh hơi
  • 34.
    2.3. Nhiãùm truìngâæåìng tiãøu maûn tênh 2.3.1. Viãm tháûn bãø tháûn maûn Do sæû taïi phaït nhiãöu láön VTBT cáúp, sæû traìo ngæåüc liãn tuûc åí gai tháûn laìm täøn thæång tæì tæì nhu mä tháûn (voí vaì tuyí) → viãm tháûn keí xå hoïa, khäng nung muí, våïi caïc maíng xå co keïo giæîa voí tháûn vaì âaìi tháûn biãún daûng, xen keî vuìng nhu mä laình. Viªm thËn bÓ thËn m·n 1. §¸y ®µi ph¼ng hoÆc låi 2. ThËn nhá bê cã ngÊn KÐm ph¸t triÓn khu tró 1. §µi h×nh chuú 2. Kh«ng cã nhu m«
  • 36.
    * SA: tháûnnhoí, nhu mä teo, båì läöi loîm. Nhu mä tháûn håi tàng ám khäng phán biãût tuíy voí tháûn. ÆÏ âoüng måî xoang tháûn thæåìng gàûp (Lipomatose).
  • 37.
    Viªm thËn bÓthËn m·n * NÂTM: tháûn nhoí khäng cán xæïng bãn âäúi diãûn, båì läöi loîm, nhu mä moíng khäng âãöu ngang våïi mæïc âaìi tháûn, âaìi tháûn naìy coï hçnh chuìy.
  • 38.
    Viªm thËn bÓthËn m·n
  • 39.
    * CLVT: tháúytæång tæû nhæ trãn NÂTM. Khi khäng tháúy roî caïc nguyãn nhán khaïc thç cáön chuûp baìng quang âãø tçm traìo ngæåüc baìng quang - niãûu quaín.
  • 40.
    2.3.2. Viãm tháûnbãø tháûn haût vaìng (pyelonephrite xanthogranulomateuse) Do nhiãùm khuáøn Gr (-) Proteus, E. Coli tháöm làûng, maûn tênh gáy phaín æïng täø chæïc baìo loaûi haût vaìng. Täø chæïc baìo thay thãú nhu mä tháûn, laìm cho tháûn låïn. - NÂTM: tháúy tam chæïng: tháûn låïn, soíi tháûn (> 80%), chæïc nàng baìi tiãút giaím/máút. - Siãu ám: tháûn låïn, cáúu truïc ám nhu mä báút thæåìng (khäng phán biãût tuyí voí, bë thay bàòng nhæîng khäúi giaím hoàûc räùng ám, laì nhæîng äø hoaûi tæí), bao quanh ÂBT coï soíi, æï muí.
  • 41.
    - CLVT tháúytháûn låïn, bãø tháûn bë co keïo, coï soíi, måî xoang tháûn âæåüc thay täø chæïc xå. Nhu mä âæåüc thay båíi caïc khäúi giaím tỷ trọng laì u haût vaìng (xanthoma) caïc häúc vaì caïc âaìi tháûn æï næåïc. Coï thãø tháúy lan räüng khoaíng quanh tháûn vaì caûnh tháûn, cå âaïy cháûu; coï thãø doì vaìo caïc taûng lán cáûn, doì ra da. Hçnh aính soíi åí giæîa vaì caïc häúc xung quanh laì dáúu hiãûu vãút chán gáúu. Trong säú êt bãûnh nhán coï dáúu soíi gaîy, do nhu mä tháûn låïn nhanh hån soíi laìm soíi gaîy vaì di lãûch vë trê.
  • 42.
    Cháøn âoaïn gåüiyï khi coï sæû kãút håüp. - Khäúi coï maûch, coï haût vaìng, âäi khi coï häúc, xuáút phaït tæì tháûn, nhæng thæåìng thám nhiãøm vuìng quanh tháûn vaì caûnh tháûn. - Soíi tháûn, thæåìng soíi san hä. Cháøn âoaïn giaïn biãût våïi AdeïnoCarcinome dæûa vaìo sæû hiãûn diãûn cuía soíi.
  • 45.
    Viªm thËn bÓthËn h¹t vµng, ph¶i (sái bÓ thËn, tØ träng mì nhu m«)
  • 46.
    2.3.3. Lao tháûn -ASP: hçnh väi hoaï cháút baî âáûu caïc cuí lao åí giai âoaûn ráút muäün (tháûn mastic) - hiãúm. - NÂTM âuïng kyî thuáût gåüi yï cháøn âoaïn: + Hçnh ràng cæa doüc theo âæåìng dáùn tiãøu do caïc äø loeït nhoí. + Heûp cäø âaìi tháûn, âaìi tháûn daîn thaình hçnh ly ræåüu hoàc hçnh cáöu, hçnh gai åí bãø tháûn do âaìi tháûn biãún máút. + Heûp niãûu quaín nhiãöu nåi.
  • 47.
    + Hçnh läöiåí âaïy caïc âaìi tháûn (caïc hang lao thäng våïi âaìi tháûn). Cáön giaïn biãût våïi hoaûi tæí gai tháûn hoàûc tuïi thæìa âaìi tháûn. + Baìng quang teo nhoí. - Siãu ám coï thãø tháúy thay âäøi åí xoang tháûn vaì nhu mä tháûn êt gåüi yï. - CLVT coï thãø tháúy caïc dáúu hiãûu khäng âiãøn hçnh, giaîn âaìi tháûn, caïc äø giaím tè troüng trong tháûn, hçnh väi hoaï.
  • 49.
    Lao thËn bªntr¸i HÑp bÓ thËn, hÑp NQ
  • 53.
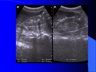
    3. Nang tháûn 3.1.Nang tháûn âiãøn hçnh Nang âån âäüc laình tênh (hay gàûp nháút åí tháûn). Tuäøi caìng cao táön suáút caìng tàng (50% âäü tuäøi 50). Nang xuáút phaït tæì voí tháûn, coï thãø phaït triãøn ra ngoaìi tháûn hay vaìo nhu mä. Kêch thæåïc thay âäøi tæì vaìi mm âãún nhiãöu cm. Nang chæïa dëch tæång tæû huyãút thanh. Cå chãú bãûnh sinh chæa saïng toí chè biãút nang hçnh thaình do tàõc caïc äúng tháûn. Tiãún triãøn cháûm, thæåìng khäng coï triãûu chæïng LS. Nang coï thãø våî vaìo âaìi tháûn gáy cån âau vuìng häng vaì tiãøu maïu.
  • 54.
    * ASP: Coïthãø tháúy boïng tháûn låïn båì läöi. Nang låïn coï thãø âáøy håi trong ruäüt, xoïa båì cå TLC. Coï thãø tháúy väi hoïa daûng âæåìng viãön ngoaûi vi nang. * UIV: Häüi chæïng khäúi: âeì, âáøy, keïo daìi caïc âaìi bãø tháûn. * Siãu ám: Hçnh cáöu, räùng ám, tàng ám sau, båì âãöu khäng tháúy roî thaình nang. (Nãúu âuí caïc tiãu chuáøn trãn, âäü chênh xaïc laì 100%.) * CLVT: Nang coï tè troüng tháúp = dëch (10   20UH), âäöng nháút, giåïi haûn âãöu roî, khäng tháúy thaình, khäng ngáúm TCQ. Âäü chênh xaïc cháøn âoaïn 100%.
  • 55.
    3.2. Nang tháûnkhäng âiãøn hçnh Nang khäng âiãøn hçnh khäng coï âuí caïc dáúu hiãûu nang âiãøn hçnh. Như: - Nang âiãøn hçnh khi bë xuáút huyãút, coï maïu cuûc tråí nãn khäng âäöng nháút, sau âoï xuáút hiãûn väi hoïa. - Nang âiãøn hçnh bë nhiãùm truìng, tråí nãn khäng âäöng nháút, thaình daìy, ngáúm TCQ trãn CLVT, coï vaïch trong nang. Phaíi phán biãût våïi ung thæ daûng nang, khäúi coï mäüt hay nhiãöu nang, thaình daìy khäng âãöu laì pháön âàûc cuía u, ngáúm TCQ.
  • 56.
    2. Nang kh«ng ®IÓn h×nh XuÊthuyÕt NhiÓm trïng thµnh dµy, cã v¸ch, ngÊm thuèc c¶n quang Ph©n biÖt ung th d¹ng nang: thµnh dµy kh«ng ®Òu, Nang ®iÓn h×nh vµ kh«ng ®iÓn h×nh
  • 57.
    Nang thËn trªnS¢ vµ CLVT
  • 58.
  • 60.
  • 61.
    3.3. Nang caûnhbãø tháûn Täøn thæång laình tênh Xaøy ra åí moüi læïa tuäøi Thæåìng khäng coï triãûu chæïng, træì khi nang låïn cheìn vaìo bãø tháûn gáy âau læng, cheìn vaìo âäüng maûch tháûn gáy tàng huyãút aïp. Nang hçnh thaình do âæåìng baûch maûch giaîn. Nang chæïa dëch coï albumine, lipide vaì cholesterole. Nang thæåìng nhiãöu äø khäng thäng våïi ÂBT, âáøy bãø tháûn vãö mäüt phêa hoàûc bao quanh caïc ÂBT vaì keïo daìi caïc âaìi tháûn.
  • 62.
    Trãn NÂTM coïthãø tháúy ÂBT bë âeì âáøy. Trãn siãu ám laì khäúi räùng ám, tàng ám sau, thaình moíng, åí xoang tháûn. Phán biãût våïi æï næåïc âaìi bãø tháûn, åí âáy caïc nang caûnh bãø tháûn khäng thäng nhau.
  • 63.
  • 64.
    3.4. Loaûn saínâa nang Báút thæåìng xaøy ra trong thåìi kyì baìo thai, tæì máöm NQ, âàûc træng laì hiãûn diãûn nhiãöu nang cuìng våïi täø chæïc loaûn saín toaìn thán, ráút hiãúm khi gàûp hai tháûn hay chè mäüt pháön tháûn. Trãn NÂTM coï thãø tháúy väi hoïa daûng voìng, tháûn cám, tháûn âäúi diãûn låïn do hoaût âäüng buì. Trãn siãu ám tháúy nhiãöu nang våïi kêch thæåïc khäng âãöu nhau, khäng thäng nhau. Nhu mä tháûn giæîa caïc nang chè laì täø chæïc loaûn saín, tàng ám. Khäng tháúy bãø tháûn.
  • 65.
    3.5. Tháûn âanang Tháûn âa nang laì bãûnh di truyãön. Nang coï nguäön gäúc tæì nephron. Thæåìng xaøy ra åí hai tháûn, nãúu tháúy tháûn âa nang mäüt bãn thç bãn kia coï báút thæåìng kên âaïo hån, nhæîng nang nhoí hån. Khoaíng 50% træåìng håüp kãút håüp våïi nhæîng báút thæåìng khaïc nhæ nang gan, nang tuûy, nang laïch, tuïi phçnh âäüng maûch naîo. - Trãn phim buûng coï thãø tháúy boïng tháûn låïn gáy dáúu hiãûu âáøy håi trong ruäüt (häüi chæïng khäúi), xoïa båì cå thàõt læng cháûu.
  • 66.
    - Trãn NÂTMmä tháûn caín quang khäng âäöng nháút. Khi ÂBT nhuäüm âáöìy TCQ tháúy bãø tháûn heûp theo chiãöu ngang, tàng theo chiãöu doüc. Caïc âaìi tháûn bë keïo daìi, maính deí, lãûch hæåïng do nhiãöu nang âeì vaìo. - Trãn siãu ám phaït hiãûn tháûn âa nang, ngay caí åí giai âoaûn såïm, tháûn låïn våïi ráút nhiãöu nang nhoí. Khi nang bë nhiãùm khuáøn hay xuáút huyãút seî tháúy cáúu truïc ám cuía caïc nang khäng âäöng nháút, thaình nang daìy, väi hoïa. Siãu ám âäöng thåìi coï thãø tháúy nang åí gan hoàûc tuûy, laïch trong häüi chæïng Von Hippel - Lindau.
  • 68.
  • 69.
    APCD/ Autosomal dominantPolyCystic Disease Bệnh thËn ®a nang
  • 70.
  • 71.
  • 72.
  • 73.
    Tuỵ đa nang/ungthư thận Bệnh Von Hippel Lindau
  • 74.
    Tháûn âa nangåí treí em Bãûnh di truyãön thæåìng gàûp åí treí < 5 tuäøi, nháút laì < 1 tuäøi. Coï thãø âæåüc cháøn âoaïn trong thai kyì. Täøn thæång xaøy ra åí caïc äúng tháûn, mæïc âäü nàûng nheû tuìy thuäücû vaìo tè lãû äúng tháûn bë täøn thæång, coï thãø tæí vong såïm åí treí nhoí. Bãûnh biãøu hiãûn caìng såïm caìng nàûng. Hçnh aính siãu ám tháúy hai tháûn låïn âãöu, coï ráút nhiãöu nang nhoí 1-2mm laì nhæîng äúng tháûn giaîn. Do giaîn äúng tháûn lan toía nãn nhu mä tháûn tàng ám, máút phán biãût tuíy voí.
  • 75.
    4. U hãûtiãút niãûu Vãö màût tãú baìo, ngæåìi ta xãúp u biãøu mä tháûn vaì u khäng do biãøu mä tháûn. - Carrcinome biãøu mä tháûn aïc tênh chiãúm 85% caïc loaûi u tháûn ngæåìi låïn. - U biãøu mä tháûn laình tênh ráút hiãúm gàûp, gäöm adeïnome, oncocytome, nephrome kystique. - U khäng do biãøu mä tháûn laì u maûch - cå - måî (angiomyolipome) laình tênh. Caïc loaûi khaïc hiãúm gàûp: u måî, u maïu, u baûch maûch, sarcome xå, sarcome måî, sarcome cå...
  • 76.
    ÅÍ treí em,u aïc tênh cuía tháûn laì u nguyãn baìo tháûn (u Wilms), hay gàûp nháút trong caïc u äø buûng åí treí nhoí 1-8 tuäøi (> 90%), chiãúm 12% trong säú caïc u aïc tênh cuía tháûn åí moüi læïa tuäøi noïi chung. - U thæåìng låïn 3-25cm, coï khi chiãúm 1/3 troüng læåüng treí. - Thaình pháön bãn trong u gäöm caïc täø chæïc hoaûi tæí, xuáút huyãút, keïn vaì täø chæïc xå.
  • 77.
    - Lám saìng:âaïi maïu (50%), âau læng, såì tháúy khäúi, säút dai dàóng hoàûc nhæîng dáúu hiãûu do u tháûn âaî di càn. hoàûc khäúi u tháûn coï thãø âæåüc phaït hiãûn tçnh cåì trãn siãu ám hoàûc CLVT, Siãu ám laì phæång tiãûn phaït hiãûn thäng duûng âäúi våïi nhæîng khäúi åí tháûn. CLVT là KT để xác định - Âaïnh giaï lan räüng cuía u phaíi cáön CLVT. - NÂTM chè âãø khaïm xeït âæåìng dáùn niãûu bë xám láún, nhæng chè cáön chuûp 1-2 phim ngay sau chuûp CLVT coï tiãm TCQ (uro - scanner). - CHT âæåüc daình cho nhæîng bãûnh nhán dë æïng Iode, xem xeït nang xuáút huyãút, âaïnh giaï xám láún ténh maûch.
  • 78.
    Mäüt caïch täøngquaït, pháön låïn nhæîng u nhoí <3 cm (trong âoï 20 % laì laình tênh), caïc kyî thuáût hçnh aính khäng tháúy roî, cáön chuûp CLVT coï tiãm TCQ, nháút laì CHT vaì pháùu thuáût. Træåïc mäüt hçnh khäúi phaït hiãûn, muûc âêch cháøn âoaïn hçnh aính laì: - Phán biãût khäúi tháût sæû vaì giaí u. - Phán biãût khäúi âàûc hay dëch. - Nãúu laì khäúi âàûc thç coï tênh cháút aïc tênh hay laình tênh. - Âaî laì u aïc tênh thç âaïnh giaï tçnh traûng xám láún cuía u.
  • 79.
    4.1. U nhumä tháûn - Carcinome tãú baìo tháûn Ung thæ tháûn chiãúm 3% ung thæ caïc loaûi åí ngæåìi låïn, 95% trãn 50 tuäøi, nam gáúp âäi næî. Yãúu täú thuáûn låüi laì tháûn âa nang, suy tháûn kãút håüp âa nang màõc phaíi, tháûn dë daûng hçnh moïng ngæûa, nghiãûn thuäúc laï. Caïc loaûi u aïc tênh khaïc åí tháûn nhæ di càn, lymphome, caïc loaûi sarcome, u nguyãn baìo tháûn åí ngæåìi låïn.
  • 80.
    - Phim NÂTMêt âæåüc chè âënh. Laì xeït nghiãûm choün loüc trong træåìng håüp âaïi maïu, kyî thuáût naìy thàm khaïm âæåìng dáùn niãûu täút nháút. NÂTM chè cho pheïp cháøn âoaïn ung thæ tháûn khi coï hçnh aính càõt cuût âaìi tháûn vaì xám láún ÂBT. Ngoaìi ra biãún daûng båì tháûn, väi hoïa láúm táúm laì nhæîng dáúu hiãûu chè âiãøm aïc tênh. Hçnh aính coï thãø bçnh thæåìng khi khäúi u khäng låïn.
  • 81.
    LÖch híng vµbiÕn d¹ng-DÊu Ên ngãn tay-KÐo dµi Héi chøng u = hiÖu øng khèi cho¸n chç trªn N§TM
  • 83.
    Ung th thËn:c¾t côt, nham nhë
  • 84.
    Héi chøng u,(c¾t côt NQ: ung th thËn)
  • 85.
    Héi chøng u(c¾t côt ®µi thËn: ung th thËn)
  • 86.
    - Siãu ámphán biãût âæåüc khäúi âàûc vaì dëch. Nãúu laì khäúi âàûc seî xem xeït cáúu truïc ám, coï thãø giaím, âäöng hoàûc tàng ám, xem âäü âäöng nháút ám, väi hoïa. Nãúu laì khäúi dëch, seî tçm täø chæïc âàûc hoàûc vaïch trong nang. Siãu ám coï thãø tháúy haûch di càn, xám láún ténh maûch. Noïi chung khi phaït hiãûn khäúi âàûc trãn siãu ám, cáön chuûp CLVT âãø âaïnh giaï roî hån baín cháút, sæû xám láún, di càn.
  • 87.
    Ung th thËn,cùc trªn
  • 88.
    - CLVT phánbiãût khäúi âàûc hay dëch, phaït hiãûn väi hoïa nhoí, xuáút huyãút trong u, tçnh traûng tæåïi maïu cuía u. Pháön låïn træåìng håüp phán biãût âæåüc u laình vaì u aïc. Xem xeït âæåìng dáùn niãûu bë giaîn, bë xám láún. CLVT kiãøm tra di càn haûch xám láún vuìng xung quanh, xám láún maûch maïu, di càn xa, cå såí âãø phán giai âoaûn tiãún triãøn u, cáön thiãút cho phæång phaïp âiãöu trë.
  • 89.
    U thËn m¹chc¬ mì t¨ng ©m (S¢), tØ träng mì (CLVT)
  • 90.
    Ung th thËnt¨ng ©m, trªn CLVT kh«ng cã tØ träng mì
  • 91.
    Khèi ®Æc, dÞchph¸t hiÖn t×nh cê trªn siªu ©m
  • 92.
    A thËn BTB Khèi cùc trªn, cã nang C khèi ®ång ©m D Khèi hæn hîp ©m thay cÊu tróc BT
  • 93.
  • 94.
    U thËn tr¸Itríc sau tiªm TCQ X©m lÊn m¹ch m¸u
  • 95.
  • 96.
    U Wilm ëtrÎ em thËn ph¶i
  • 97.
    U thËn m¹chc¬ mì t¨ng ©m (S¢), tØ träng mì (CLVT)
  • 98.
    4.2. U bãøtháûn, niãûu quaín vaì baìng quang * Laì loaûi u biãøu mä âæåìng dáùn niãûu aïc tênh, chiãúm 6-10% caïc u tháûn aïc tênh. Caïc yãúu täú nguy cå chênh laì soíi tiãút niãûu, nhiãùm truìng, nghiãûn thuäúc laï, duìng quaï nhiãöu thuäúc phenacetin. Hay gàûp > 50tuäøi, nam = 2næî. * U laình tênh: polyp, hay gàûp âäü tuäøi 20-40. * U aïc tênh: chuí yãúu Carcinome tãú baìo chuyãøn tiãúp (85%), ngoaìi ra Carcinome tãú baìo vaíy (15%). Di càn ung thæ âãún âæåìng dáùn niãûu hiãúm gàûp. * U âæåìng dáùn niãûu hay gàûp theo thæï tæû åí baìng quang, bãø tháûn, niãûu quaín.
  • 99.
    - NÂTM + Âäúivåïi thãø thám nhiãùm coï hçnh aính heûp, båì khäng âãöu, thæåìng gáy æï næåïc. + Âäúi våïi thãø suìi, coï hçnh khuyãút saïng trong âæåìng dáùn niãûu, båì coï thãø khäng âãöu, coï thãø gáy æï næåïc âæåìng dáùn niãûu phêa trãn. Cáön phán biãût våïi cuûc maïu âäng vaì soíi KCQ. ٠Soíi vaì maïu cuûc di chuyãøn vë trê, coï viãön caín quang bao quanh. ٠Maïu cuûc thay âäùi hçnh daûng theo thåìi gian. ٠U âæåìng dáùn niãûu (bãø tháûn, niãûu quaín, baìng quang) coï hçnh aính chán baïm vaìo thaình, nåi khäng coï viãön TCQ bao quanh u.
  • 102.
  • 103.
  • 104.
  • 105.
  • 106.
    - Siãu ám Khoïcháøn âoaïn u bãø tháûn, niãûu quaín nãúu khäng coï æï næåïc âaìi bãø tháûn niãûu quaín. U baìng quang trãn siãu ám tháúy hçnh tàng ám trong baìng quang coï næåïc tiãøu räùng ám. Siãu ám coï thãø tháúy mæïc âäü xám láún thaình baìng quang vaì ngoaìi thaình baìng quang.
  • 108.
  • 109.
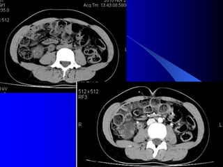
    - Càõt låïpvi tênh Hçnh aính u giaím tè troüng so våïi nhu mä tháûn vaì tàng tè troüng sau khi tiãm TCQ. CLVT coï thãø tháúy: Maïu cuûc vaì soíi trong âæåìng dáùn niãûu coï tè troüng cao hån u (20-30UH). Soíi 100 - >1000UH tuìy thaình pháön cáúu taûo vaì maïu cuûc 50-70UH. U bãø tháûn coï thãø thám nháûp nhu mä laìm thay âäøi båì tháûn, coï thãø laìm heûp tàõc âæåìng baìi xuáút, giaîn ÂBT, coï thãø phaït hiãûn âæåüc trãn NÂTM. CLVT phaït hiãûn u bãø tháûn xám nháûp nhu mä tháûn dãù hån, âäöng thåìi phán biãût âæåüc våïi u nhu mä tháûn xám láún bãø tháûn.
  • 110.