CT NGỰC
Bs Hồ Hoàng Phương
BM CĐHA – ĐHYD TPHCM
CHÆ ÑÒNH CT NGÖÏC
 Ñaùnh giaù caùc baát thöôøng phaùt hieän treân X quang
qui öôùc
 Beänh lyù phoåi, trung thaát, maøng phoåi, thaønh ngöïc
 Ñaùnh giaù giai ñoïan (staging) ung thö, phaùt hieän di
caên sôùm
 Phaân bieät caùc beänh lyù: vieâm, u..
 Ñaùnh giaù beänh lyù maïch maùu
 Höôùng daãn sinh thieát, can thieäp
CHÆ ÑÒNH ROÄNG RAÕI
CAÂY PHEÁ QUAÛN
1. Khôùp öùc-ñoøn
2. Tónh maïch thaân caùnh tay ñaàu (T)
3. Cung ñoäng maïch chuû
4. Cöõa soå pheá chuû
5. Ñoäng maïch phoåi (T)
6. Thaân vaø ñoäng maïch phoåi (P)
7. Nhó (T)
8. Caùc buoàng tim
9. Khoang sau chaân hoøanh
CAÙC MAËT CAÉT CÔ BAÛN TRUNG
THAÁT
Ngang möùc khôùp öùc
ñoøn
•5 maïch maùu : 3 ñoäng maïch phiaù sau (döôùi ñoøn (s) caûnh (c),
thaân caùnh tay ñaàu (b) vaø 2 tónh maïch phiaù tröôùc thaân
caùnh tay ñaàu (P) vaø (T) (bv)
•Löu yù caùc beänh lyù: maïch maùu (phình-daõn maïch..), u, haïch
Ngang möùc tónh
maïch thaân caùnh
tay ñaàu (T)•Tónh maïch caùnh tay ñaàu
(T) (ibv) chaïy ngang – tröôùc,
qua (P) hôïp vôùi nhaùnh (P)
taïo tónh maïch chuû treân.
•Löu yù caùc beänh lyù: u,
haïch
Ngang möùc cung ñoäng maïch
chuû
•Cung ñoäng maïch chuû (ARCH) vaø tónh maïch chuû treân
(S) ngay beân (P). Phiaù tröôùc laø caáu truùc môõ hình tam
giaùc.
Ngang möùc cöõa soå pheá
chuû
•Cöõa soå pheá chuû: giöõa cung ñoäng maïch chuû vaø
ñoäng maïch phoåi (T) . Coù vaøi haïch nhoû vuøng naøy.
Tónh maïch Azygos chaïy sau, ra tröôùc caïnh (P) khí quaûn
vaøo tónh maïch chuû treân.
Av
Ngang möùc ñoäng maïch
phoåi (T)
•Ñoäng maïch phoåi (T) [LPA] taïo bôø (T) trung thaát.
•Löu yù caùc beänh lyù: maïch maùu (phình-thuyeân taéc
maïch ñoäng maïch phoåi..), haïch, u
Ngang möùc ñoäng maïch phoåi (P) vaø thaân
ñoäng maïch phoåi
•Ñoäng maïch phoåi (P) [RPA] töø thaân ñoäng maïch phoåi [MPA],
chaïy sang (P) phiaù sau ñoäng maïch chuû leân [AA]
•Löu yù caùc beänh lyù: maïch maùu (phình-thuyeân taéc maïch
ñoäng maïch phoåi..), haïch, u
Ngang möùc nhó (T)
Ngang möùc 4 buoàng
tim
•Thaáy caùc buoàng tim. Maøng ngoaøi tim taïo ñöôøng môø giöõa hai
lôùp môõ [M]
•Löu yù caùc beänh lyù: tim (huyeát khoái), haïch tröôùc tim, u thöïc
quaûn, coät soáng
M
Ngang möùc khoang sau chaân
hoøanh
CAÂY PHEÁ QUAÛN VAØ PHAÂN
THUØY PHOÅI
+CT cho chi tieát giaûi phaãu toát raát nhieàu so
vôùi X quang qui öôùc
+Phaân tích hình aûnh CT
-Caây pheá quaûn
-Phaân thuøy phoåi
-Raõnh maøng phoåi
Ngang möùc
cung ñoäng
maïch chuû
3
3
2
1/21
6
Möùc Carina
3
3
6
2
6
1/2
Möùc ñoäng
maïch phoåi T
3
3
6
6
1/2
2
Möùc ñoäng
maïch phoåi P
66
5
4
5
4
66
5
4
5
4
Möùc nhó T
10
5
4
8
9
10
4
7/8
9
33
34
35
36
37
WEB
• http://www.med.wayne.edu/diagradiology/
Anatomy_Modules/Mediastinum/Mediastin
um.html
• http://www.imaios.com/en/e-
Anatomy/Thorax-Abdomen-Pelvis/Thorax-
CT
CHẨN ĐOÁN BỆNH LÍ PHỔI
• Nhận ra dạng hình ảnh của tổn thương, phân loại dạng bất
thường dựa trên hình thái
• Xác định vị trí và sự phân bố của tổn thương
• Phân tích kĩ các dữ liệu của bệnh nhân có được tại thời điểm
chụp CT
CÁC DẠNG BẤT THƯỜNG
HÌNH THÁI CỦA PHỔI
• Tăng đậm độ (kính mờ, đông đặc)
• Giảm đậm độ (giảm tưới máu, bẫy khí, kén khí,
khí thũng)
• Dạng nốt
• Dạng dải
• Dạng phối hợp
• CT lát
mỏng và
CT thường
qui trong
viêm phổi:
mảng kính
mờ bảo tồn
các cấu
trúc phế
quản –
mạch máu
• Đông đặc phổi: mảng tăng đậm độ xóa mờ mạch máu
và thành đường dẫn khí, có thể còn thấy lòng một số
nhánh đường dẫn khí (khí ảnh nội phế quản)
• Giảm tưới
máu thùy
dưới (T) và
một phần nhỏ
thùy dưới (P)
gây ra hình
ảnh giảm đậm
độ
• Khí thũng
phá hủy cấu
trúc phổi gây
hình ảnh
giảm đậm độ.
Khí thũng
trung tâm
tiểu thùy
(đầu mũi tên)
và khí thũng
trung tâm
tiểu thùy hợp
lưu (mũi tên)
• Nhiều nốt nhỏ bờ rõ phổi
(P) của bệnh bụi phổi ở
công nhân than đá
 Nhiều nốt nhỏ bờ mờ, một số đậm
độ mô mềm, một số đậm độ kính
mờ / bệnh nhân viêm phổi
mycoplasma
• Dải/lưới : vách tiểu thùy (mũi
tên đen), dải bên trong tiểu
thùy (đầu mũi tên đen), dày
dưới màng phổi (mũi tên
trắng), dày mô liên kết quanh
phế quản-mạch máu (đầu mũi
tên trắng)
Dạng phân bố của tổn thương phổi
• Khu trú hay lan tỏa
• Ưu thế ngoại vi hay trung tâm
• ảnh hưởng khoảng khí hay mô kẽ
• Có khuynh hướng phân bố dọc theo mạch máu
hay phế quản hay hệ bạch mạch hay ko
8 hội chứng
- Thành ngực
- Màng phổi
- Phế nang
- Mô kẽ
- Phế quản
- Mạch máu
- Nhu mô
- Trung thất
VAØI HÌNH AÛNH BEÄNH LYÙ PHOÅI
BEÄNH LYÙ THAØNH
NGÖÏC
U XÖÔNG &PHAÀN MEÀM
Hình CT
-Huûy, bieán daïng xöông / Toån thöông phaàn
meàm/ Xoùa lôùp môõ ngoøai maøng phoåi (+/-
)
-Caàn khaûo saùt coù caûn quang.
Vai troø CT
-Ñaùnh giaù toát vò trí, möùc ñoä, lieân quan
toån thöông vôùi caùc caáu truùc khaùc ngöïc
(phoåi, maøng phoåi, trung thaát)
K thaäân di caên xs
(Osteochondroma) Beänh Kahler
Epithelioid sarcoma
(Lipoma)
BEÄNH LYÙ MAØNG
PHOÅI
TRAØN DÒCH MAØNG PHOÅI
• Vai Troø CT:
•  Ñaùnh gía möùc ñoä, loaïi, vò trí
•  Gôïi yù nguyeân nhaân
•  Phaân bieät:traøn dòch maøng phoåi ><
Abcess phoåi ngoaïi bieân
• Hình aûnh CT
•  Dòch ôû phía sau khi beänh nhaân
naèmngöõa
•  Ñaäm ñoä dòch: cao trong chaûy maùu,
dòch coù protein cao
•  Maøng phoåi coù theå daøy, baét quang
khi tieâm caûn quang.
TRAØN DÒCH MAØNG PHOÅI TÖÏ DO
Dòch töï do khoang maøng phoåi, gaây xeïp phoåi
thuï ñoïng
TRAØN MUÛ MAØNG PHOÅI KHU
TRUÙ
Dòch khu truù ôû caùc tuùi maøng phoåi dính
nhau, taêng quang thaønh sau tieâm thuoác caûn
TRAØN KHÍ MAØNG PHOÅI
Hình aûnh CT
Hình vuøng traøn khí ñaäm ñoä thaáp (khí),
khoâng coù nhu moâ phoåi, phoåi xeïp bò ñaåy vaøo
trong.
 Vai troø CT:
$.Chaån ñoaùn xaùc ñònh (khí ít), khu truù,
phaân bieät vôùi bulla
$.Toån thöông phoåi keøm theo (blebs, beänh
lyù moâ keû, dính maøng phoåi, traøn dòch maùu
keát hôïp..)
$.Ñaùnh giaù bieán chöùng, theo doõi hieäu
TRAØN KHÍ MAØNG PHOÅI (P )
Ñaäm ñoä thaáp(khí), khoâng coù nhu
moâ phoåi, phoåi xeïp bò ñaåy vaøo
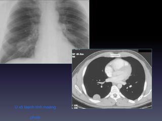
U maøng phoåi
*U xô maøng phoåi :
Thöôøng 80% laønh tính,20% xaâm laán
(chæ 1 oå).
-Khoái ñôn ñoäc ñaùy maøng phoåi, nhieàu
muùi,bôø roõ.
-Xaâm laán ngöïc daïng xaâm laán.
-Coù theå phaùt trieån vaøo raõnh maøng
phoåi.
*U maøng phoåi aùc tính
-Daøy maøng phoåi lan toaû.
-Traøn dòch maøng phoåi.
-Di caên phoåi.
U MAØNG PHOÅI
U aùc tính maøng phoåi
PA,
decubitus
U xô laønh tính maøng
phoåi
Nguyeân nhaân: U, vieâm, nuùt nhaày, vaät laï..
Hình aûnh CT
-Ñaäm ñoä moâ meàm, taêng quang sau tieâm caûn
quang
-Kheùp maïch maùu, keùo raõnh maøng phoåi
-Keùo trung thaát, roán phoåi, cao hoøanh, heïp khoaûng
lieân söôøn
-Taêng thoâng khí buø tröø
-Caùc daïng xeïp caùc thuøy phoåi
Vai troø CT
-Ñaùnh giaù vò trí, möùc ñoä xeïp
-Tìm nguyeân nhaân (xeïp do u?)
XEÏP PHOÅI
XEÏP PHOÅI
Xeïp thuyø treân phoåi (T) do u phoåi, u phía trong gaây loài bôø
baát thöôøng, ñaäm ñoä u giaûm so vôùi vuøng phoåi xeïp.
U PHOÅI GAÂY
XEÏP PHOÅI
DAÕN PHEÁ QUAÛN ( Bronchiectasis)
•  Phaân loaïi:
 DPQ daïng oáng(hình truï):Daõn trung bình vaø ñeàu
ñaën
 DPQ daïng chuoåi haït(daïng chuøm):Keát hôïp
nhöõng choå daõn vaø choå heïp noái tieáp
nhau
 DPQ daïng nang(daïng tuùi): Daõn taêng daàn veà
phía ngoaïi vi
•  Vai troø cuûa CT:
 Chaån ñoaùn xaùc ñònh loaïi, vò trí, möùc ñoä
 Toån thöông phoåi keøm theo
 HRCT chaån ñoaùn chính xaùc hôn CT thöôøng.
Daõn pheá quaûn vôùi daáu hieäu ñöôøng ray ( ‘tram line’ sign):
do daõn pheá quaûn daïng truï khi pheá quaûn song song vôùi
maët caét .
Daøy thaønh pheá quaûn: ñöôøng kính trong cuaû pheá quaûn/
Daõn pheá quaûn vôùi daáu hieäu voøng nhaãn (signet ring sign):
pheá quaûn lôùn hôn ñoäng maïch ñi keøm (bình thöôøng khi tæ soá
pheá quaûn/maïch maùu < 1.2)
Daõn PQ
Daøy thaønh
Chaát nhaày trong
PQ
KHÍ PHEÁ THUÕNG PHOÅI (Emphysema)
• Phaân loaïi(American thoraacic society 1962):
•  KPT trung taâm tieåu thuøy:vuøng KPT
> 1cm, quanh ñoäng maïch trung taâm
thuøy phoåi thöù caáp. Hay gaëp ôû
phaàn cao thuøy giöõa.
•  KPT toaøn tieåu thuøy:vuøng KPT lan
toûa, ñoàng nhaát hay gaëp
thuøy döôùi.
•  KPT caän vaùch:vuøng KPT ngoaïi
bieân caïnh maøng phoåi, caïnh
laù taïng maøng phoåi, raõnh lieân
thuøy.
•  KPT caän seïo:lôùn khoaûng khí, huûy
moâ phoåi caän vuøng seïo.
HRCT
-HRCT Toát nhöng khi HRCT bình thöôøng
thì cuõng khoâng loaïi tröø khí pheá thuõng.
-Xem XQ tröôùc khi xem HRCT vì thænh
thoaûng daáu XQ nhieàu hôn treân
HCRT(nhö taêng phoàng theå tích phoåi..)
Congenital Lobar Emphysema
Khí thuõng trung taâm tieåu
thuyø
Khí pheá thuõng caän
vaùch(boùng)
VIEÂM PHOÅI (pneumonia)
• 1/ Ñöôøng vaøo:
 Heä thoáng khí - pheá quaûn
 Ñöôøng maùu
 Tröïc tieáp (thaønh ngöïc , maøng phoåi…)
• 2/ Phaân loaïi:
 Vieâm phoåi thuøy
 Pheá quaûn- pheá vieâm
 Vieâm phoåi moâ keû
VIEÂM PHOÅI DAÏNG ÑAÙM MÔØ
Air-bronchogram(+)
ABSCESS PHOÅI ( Pulmonary Abscess)
•  Nguyeân nhaân:Thöôøng laø haäu quaû
cuûa vieâm phoåi (tuï caàu,
klebsiella)
•  Vai troø CT.scanner:
Xaùc ñònh vò trí, kích thöôùc, soá
löôïng, ñoä daøy thaønh,
toån thöông lieân quan.
 Chaån ñoaùn phaân bieät.
•  Hình aûnh CT.scanner:
 PL:Möùc khí dòch
 CE:
+Taêng quang ngoaïi bieân(thaønh oå
abcess)
• +Khoâng taêng quang trung
taâm(hoaïi töû)
abscess phoåi möùc khí dòch, taêng quang
vieàn sau tieâm thuoác caûn quang
BEÄNH PHOÅI MOÂ KEÛ
(Interstitial Lung Diseases)
Daøy vaùch lieân tieåu thuøy, trôn
laùn,hình kính môø trong suy tim
Caùc daïng toån thöông moâ keû
treân HRCT
THUYEÂN TAÉC PHOÅI
• Khuyeát trong loøng maïch do cuïc maùu ñoâng
•  Vuøng taêng ñaäm ñoä, hình cheâm, neàn döïa
vaøo maøng phoåi (nhoài maùu phoåi)
•  Taêng quang ngoaïi vi
•  Roái loaïn thoâng khí
THUYEÂN TAÉC PHOÅI
Hình khuyeát thuoác(maùu ñoâng) ngoaïi bieân cuûa ñm
THUYEÂN TAÉC ÑOÄNG MAÏCH PHOÅI KEØM NHOÀI
MAÙU PHOÅI
Vuøng nhoài maùu hình tam giaùc, vôùi ñaùy roäng
U PHOÅI AÙC TÍNH
• Nguyeân nhaân:
 Nguyeân phaùt: k pheá quaûn,Lymphoma, sarcoma…
 Thöù phaùt:
• @Thaän , ñaïi traøng, buoàng tröùng, töû cung
@Böôùu Wilm, u xöông
 Vai troø CT.scanner:
 Ñaùnh gía:soá löôïng, vò trí, kích thöôùc, tính chaát u
Lieân quan: maøng phoåi, trung thaát , thaønh
ngöïc, haïch, maïch maùu…
 Toån thöông khaùc keøm theo
U PHOÅI AÙC TÍNH
K phoåi xaâm laán trung thaát, tónh maïch
chuû treân(s)
s
NOÁT PHOÅI LAØNH TÍNH
•  Bôø ñeàu
•  Ñaäm ñoä môõ
•  Ñoùng voâi
•  Sang thöông veä tinh
•  Thôøi gian nhaân ñoâi
NOÁT PHOÅI LAØNH TÍNH
Toån thöông veä tinh
Ñoùng voâi trong u haït
laønh tính
NOÁT PHOÅI AÙC TÍNH
•  Bôø khoâng ñeàu, tuûa gai
•  Co keùo maøng phoåi
•  Hoäi tuï maïch maùu
•  Hoaïi töû
•  Ñoùng voâi
•  Lieân quan loøng pheá quaûn
•  Thôøi gian nhaân ñoâi
NOÁT PHOÅI AÙC TÍNH
Ung thö phoåi ngoaïi vi: co keùo
maøng phoåi, bôø khoâng ñeàu
NOÁT PHOÅI AÙC TÍNH
U hoaïi töû ñaäm
ñoä khoâng
ñoàng nhaát
U lieân quan loøng pheá
quaûn
BEÄNH LYÙ TRUNG THAÁT
PHAÂN TAÀNG TRUNG THAÁT
B C
CC
A
PHAÂN TAÀNG TRUNG THAÁT
A.Trung thaát tröôùc
•  B.Trung thaát giöõa
•  C.Trung thaát sau
KHOÁI CHOAÙN CHOÅ TRUNG THAÁT TRÖÔÙC
(ANTERIOR MEDIASTINUM)
• 1/ U:Thymoma, Teratoma, Thyroid,
Lymphoma.
• 2/ Toån thöông khaùc: Di caên, U trung
moâ, Phình maïch.
• 3/ Goùc taâm hoaønh: Keùn maøng phoåi
– tim, Thoaùt vò hoaønh, Tuùi
môõ ngoaøi tim.
KHOÁI CHOAÙN CHOÅ TRUNG THAÁT TRÖÔÙC( THYMOMA
)
KHOÁI CHOAÙN CHOÅ TRUNG THAÁT
TRÖÔÙC
(TERATOMA LAØNH TÍNH)
KHOÁI CHOAÙN CHOÅ TRUNG THAÁT SAU
(POSTERIOR MEDIASTINUM)
•  1.U nguoàn goùc thaàn kinh
•  2.Coät soáng: di caên , vieâm
•  3.Caïnh soáng: tuï maùu, abcess, toå
chöc taïo maùu ngoaøi tuûy
•  4.Phình maïch, thoaùt vò hoaønh,u
môõ
KHOÁI CHOAÙN CHOÅ TRUNG THAÁT SAU
(POSTERIOR MEDIASTINUM)
U bao daây thaàn kinh
KHOÁI CHOAÙN CHOÅ TRUNG THAÁT GIÖÕA
(MIDDLE MEDIASTINUM)
 U: Lymphoma, Di caên
 Khaùc: Phình maïch, keùn khí pheá quaûn
 Thöïc quaûn: Ung thö, thoùat vò
KHOÁI CHOAÙN CHOÅ TRUNG THAÁT GIÖÕA
(MIDDLE MEDIASTINUM)
K phoåi di caên cöõa soå pheá
CHAÁN THÖÔNG VAØ U TRUNG THAÁT
 X quang qui öôùc: Baát thöôøng trung thaát
 Chaån ñoaùn phaân bieät U vôùi: phình maïch ,
daõn thöïc quaûn, meningocele..
 Ñaùnh giaù U: vò trí, kích thöôùc, xaâm laám
maïch maùu, khí-pheá quaûn, thaønh ngöïc (coät
soáng..), baûn chaát moâ hoïc [lipoma, cyst..]
 Caùc toån thöông keøm theo (phoåi..)
 Khaû naêng phaãu thuaät u
PHÌNH ÑOÄNG MAÏCH CHUÛ NGÖÏC
(AORTIC ANEURYSM)
• 1.Nguyeân nhaân:
• Baåm sinh, Xô vöõa ñoäng maïch, chaán
thöông , vieâm nhieåm , taêng aùp ñoäng
maïch.
• -Phình vaø giaû phình
• 2.Kích thöôùc:
Cung chuû leân # 3.5 – 4.0 cm.
Quai ñoäng maïch chuû # 4.0 cm.
Cung chuû xuoáng # 2.5 – 3.0 cm.
PHÌNH ÑOÄNG MAÏCH CHUÛ NGÖÏC
(AORTIC ANEURYSM)
• Hình aûnh CTscanner
•  Xaùc ñònh vò trí
•  Ñöôøng kính choå phình
•  Boùc taùch hay khoâng boùc taùch
•  Huyeát khoái loøng maïch
•  Ñoùng voâi thaønh maïch
PHÌNH ÑOÄNG MAÏCH CHUÛ NGÖÏC
(AORTIC ANEURYSM)
BOÙC TAÙCH ÑOÄNG MAÏCH CHUÛ
(AORTIC DISSECTION)
• Hình aûnh Ctscanner
•  Ñoùng voâi noäi maïc
•  Maùu ñoâng caáp
•  Laù noäi maïc
•  Loøng thaät- loøng gæa
•  Bieán chöùng
BOÙC TAÙCH ÑOÄNG MAÏCH CHUÛ
(AORTIC DISSECTION)
KEÁT LUAÄN
 CT laø khaûo saùt hình aûnh giaù
trò
 Chæ ñònh roäng raõi ôû caùc
beänh lyù ngöïc
 Caàn keát hôïp caùc phöông tieän
chaån ñoaùn hình aûnh khaùc - laâm
saøng- caän laâm saøng

Ct nguc lop he

  • 1.
    CT NGỰC Bs HồHoàng Phương BM CĐHA – ĐHYD TPHCM
  • 2.
    CHÆ ÑÒNH CTNGÖÏC  Ñaùnh giaù caùc baát thöôøng phaùt hieän treân X quang qui öôùc  Beänh lyù phoåi, trung thaát, maøng phoåi, thaønh ngöïc  Ñaùnh giaù giai ñoïan (staging) ung thö, phaùt hieän di caên sôùm  Phaân bieät caùc beänh lyù: vieâm, u..  Ñaùnh giaù beänh lyù maïch maùu  Höôùng daãn sinh thieát, can thieäp CHÆ ÑÒNH ROÄNG RAÕI
  • 8.
  • 16.
    1. Khôùp öùc-ñoøn 2.Tónh maïch thaân caùnh tay ñaàu (T) 3. Cung ñoäng maïch chuû 4. Cöõa soå pheá chuû 5. Ñoäng maïch phoåi (T) 6. Thaân vaø ñoäng maïch phoåi (P) 7. Nhó (T) 8. Caùc buoàng tim 9. Khoang sau chaân hoøanh CAÙC MAËT CAÉT CÔ BAÛN TRUNG THAÁT
  • 17.
    Ngang möùc khôùpöùc ñoøn •5 maïch maùu : 3 ñoäng maïch phiaù sau (döôùi ñoøn (s) caûnh (c), thaân caùnh tay ñaàu (b) vaø 2 tónh maïch phiaù tröôùc thaân caùnh tay ñaàu (P) vaø (T) (bv) •Löu yù caùc beänh lyù: maïch maùu (phình-daõn maïch..), u, haïch
  • 18.
    Ngang möùc tónh maïchthaân caùnh tay ñaàu (T)•Tónh maïch caùnh tay ñaàu (T) (ibv) chaïy ngang – tröôùc, qua (P) hôïp vôùi nhaùnh (P) taïo tónh maïch chuû treân. •Löu yù caùc beänh lyù: u, haïch
  • 19.
    Ngang möùc cungñoäng maïch chuû •Cung ñoäng maïch chuû (ARCH) vaø tónh maïch chuû treân (S) ngay beân (P). Phiaù tröôùc laø caáu truùc môõ hình tam giaùc.
  • 20.
    Ngang möùc cöõasoå pheá chuû •Cöõa soå pheá chuû: giöõa cung ñoäng maïch chuû vaø ñoäng maïch phoåi (T) . Coù vaøi haïch nhoû vuøng naøy. Tónh maïch Azygos chaïy sau, ra tröôùc caïnh (P) khí quaûn vaøo tónh maïch chuû treân. Av
  • 21.
    Ngang möùc ñoängmaïch phoåi (T) •Ñoäng maïch phoåi (T) [LPA] taïo bôø (T) trung thaát. •Löu yù caùc beänh lyù: maïch maùu (phình-thuyeân taéc maïch ñoäng maïch phoåi..), haïch, u
  • 22.
    Ngang möùc ñoängmaïch phoåi (P) vaø thaân ñoäng maïch phoåi •Ñoäng maïch phoåi (P) [RPA] töø thaân ñoäng maïch phoåi [MPA], chaïy sang (P) phiaù sau ñoäng maïch chuû leân [AA] •Löu yù caùc beänh lyù: maïch maùu (phình-thuyeân taéc maïch ñoäng maïch phoåi..), haïch, u
  • 23.
  • 24.
    Ngang möùc 4buoàng tim •Thaáy caùc buoàng tim. Maøng ngoaøi tim taïo ñöôøng môø giöõa hai lôùp môõ [M] •Löu yù caùc beänh lyù: tim (huyeát khoái), haïch tröôùc tim, u thöïc quaûn, coät soáng M
  • 25.
    Ngang möùc khoangsau chaân hoøanh
  • 26.
    CAÂY PHEÁ QUAÛNVAØ PHAÂN THUØY PHOÅI +CT cho chi tieát giaûi phaãu toát raát nhieàu so vôùi X quang qui öôùc +Phaân tích hình aûnh CT -Caây pheá quaûn -Phaân thuøy phoåi -Raõnh maøng phoåi
  • 27.
  • 28.
  • 29.
  • 30.
  • 31.
  • 32.
  • 33.
  • 34.
  • 35.
  • 36.
  • 37.
  • 38.
  • 39.
    CHẨN ĐOÁN BỆNHLÍ PHỔI • Nhận ra dạng hình ảnh của tổn thương, phân loại dạng bất thường dựa trên hình thái • Xác định vị trí và sự phân bố của tổn thương • Phân tích kĩ các dữ liệu của bệnh nhân có được tại thời điểm chụp CT
  • 40.
    CÁC DẠNG BẤTTHƯỜNG HÌNH THÁI CỦA PHỔI • Tăng đậm độ (kính mờ, đông đặc) • Giảm đậm độ (giảm tưới máu, bẫy khí, kén khí, khí thũng) • Dạng nốt • Dạng dải • Dạng phối hợp
  • 41.
    • CT lát mỏngvà CT thường qui trong viêm phổi: mảng kính mờ bảo tồn các cấu trúc phế quản – mạch máu
  • 42.
    • Đông đặcphổi: mảng tăng đậm độ xóa mờ mạch máu và thành đường dẫn khí, có thể còn thấy lòng một số nhánh đường dẫn khí (khí ảnh nội phế quản)
  • 43.
    • Giảm tưới máuthùy dưới (T) và một phần nhỏ thùy dưới (P) gây ra hình ảnh giảm đậm độ
  • 44.
    • Khí thũng pháhủy cấu trúc phổi gây hình ảnh giảm đậm độ. Khí thũng trung tâm tiểu thùy (đầu mũi tên) và khí thũng trung tâm tiểu thùy hợp lưu (mũi tên)
  • 45.
    • Nhiều nốtnhỏ bờ rõ phổi (P) của bệnh bụi phổi ở công nhân than đá  Nhiều nốt nhỏ bờ mờ, một số đậm độ mô mềm, một số đậm độ kính mờ / bệnh nhân viêm phổi mycoplasma
  • 46.
    • Dải/lưới :vách tiểu thùy (mũi tên đen), dải bên trong tiểu thùy (đầu mũi tên đen), dày dưới màng phổi (mũi tên trắng), dày mô liên kết quanh phế quản-mạch máu (đầu mũi tên trắng)
  • 47.
    Dạng phân bốcủa tổn thương phổi • Khu trú hay lan tỏa • Ưu thế ngoại vi hay trung tâm • ảnh hưởng khoảng khí hay mô kẽ • Có khuynh hướng phân bố dọc theo mạch máu hay phế quản hay hệ bạch mạch hay ko
  • 48.
    8 hội chứng -Thành ngực - Màng phổi - Phế nang - Mô kẽ - Phế quản - Mạch máu - Nhu mô - Trung thất VAØI HÌNH AÛNH BEÄNH LYÙ PHOÅI
  • 49.
  • 50.
    U XÖÔNG &PHAÀNMEÀM Hình CT -Huûy, bieán daïng xöông / Toån thöông phaàn meàm/ Xoùa lôùp môõ ngoøai maøng phoåi (+/- ) -Caàn khaûo saùt coù caûn quang. Vai troø CT -Ñaùnh giaù toát vò trí, möùc ñoä, lieân quan toån thöông vôùi caùc caáu truùc khaùc ngöïc (phoåi, maøng phoåi, trung thaát)
  • 51.
    K thaäân dicaên xs
  • 52.
  • 53.
  • 54.
  • 55.
  • 56.
    TRAØN DÒCH MAØNGPHOÅI • Vai Troø CT: •  Ñaùnh gía möùc ñoä, loaïi, vò trí •  Gôïi yù nguyeân nhaân •  Phaân bieät:traøn dòch maøng phoåi >< Abcess phoåi ngoaïi bieân • Hình aûnh CT •  Dòch ôû phía sau khi beänh nhaân naèmngöõa •  Ñaäm ñoä dòch: cao trong chaûy maùu, dòch coù protein cao •  Maøng phoåi coù theå daøy, baét quang khi tieâm caûn quang.
  • 57.
    TRAØN DÒCH MAØNGPHOÅI TÖÏ DO Dòch töï do khoang maøng phoåi, gaây xeïp phoåi thuï ñoïng
  • 58.
    TRAØN MUÛ MAØNGPHOÅI KHU TRUÙ Dòch khu truù ôû caùc tuùi maøng phoåi dính nhau, taêng quang thaønh sau tieâm thuoác caûn
  • 59.
    TRAØN KHÍ MAØNGPHOÅI Hình aûnh CT Hình vuøng traøn khí ñaäm ñoä thaáp (khí), khoâng coù nhu moâ phoåi, phoåi xeïp bò ñaåy vaøo trong.  Vai troø CT: $.Chaån ñoaùn xaùc ñònh (khí ít), khu truù, phaân bieät vôùi bulla $.Toån thöông phoåi keøm theo (blebs, beänh lyù moâ keû, dính maøng phoåi, traøn dòch maùu keát hôïp..) $.Ñaùnh giaù bieán chöùng, theo doõi hieäu
  • 60.
    TRAØN KHÍ MAØNGPHOÅI (P ) Ñaäm ñoä thaáp(khí), khoâng coù nhu moâ phoåi, phoåi xeïp bò ñaåy vaøo
  • 61.
    U maøng phoåi *Uxô maøng phoåi : Thöôøng 80% laønh tính,20% xaâm laán (chæ 1 oå). -Khoái ñôn ñoäc ñaùy maøng phoåi, nhieàu muùi,bôø roõ. -Xaâm laán ngöïc daïng xaâm laán. -Coù theå phaùt trieån vaøo raõnh maøng phoåi. *U maøng phoåi aùc tính -Daøy maøng phoåi lan toaû. -Traøn dòch maøng phoåi. -Di caên phoåi.
  • 63.
  • 64.
    U aùc tínhmaøng phoåi PA, decubitus
  • 65.
    U xô laønhtính maøng phoåi
  • 66.
    Nguyeân nhaân: U,vieâm, nuùt nhaày, vaät laï.. Hình aûnh CT -Ñaäm ñoä moâ meàm, taêng quang sau tieâm caûn quang -Kheùp maïch maùu, keùo raõnh maøng phoåi -Keùo trung thaát, roán phoåi, cao hoøanh, heïp khoaûng lieân söôøn -Taêng thoâng khí buø tröø -Caùc daïng xeïp caùc thuøy phoåi Vai troø CT -Ñaùnh giaù vò trí, möùc ñoä xeïp -Tìm nguyeân nhaân (xeïp do u?) XEÏP PHOÅI
  • 67.
    XEÏP PHOÅI Xeïp thuyøtreân phoåi (T) do u phoåi, u phía trong gaây loài bôø baát thöôøng, ñaäm ñoä u giaûm so vôùi vuøng phoåi xeïp.
  • 68.
  • 69.
    DAÕN PHEÁ QUAÛN( Bronchiectasis) •  Phaân loaïi:  DPQ daïng oáng(hình truï):Daõn trung bình vaø ñeàu ñaën  DPQ daïng chuoåi haït(daïng chuøm):Keát hôïp nhöõng choå daõn vaø choå heïp noái tieáp nhau  DPQ daïng nang(daïng tuùi): Daõn taêng daàn veà phía ngoaïi vi •  Vai troø cuûa CT:  Chaån ñoaùn xaùc ñònh loaïi, vò trí, möùc ñoä  Toån thöông phoåi keøm theo  HRCT chaån ñoaùn chính xaùc hôn CT thöôøng.
  • 70.
    Daõn pheá quaûnvôùi daáu hieäu ñöôøng ray ( ‘tram line’ sign): do daõn pheá quaûn daïng truï khi pheá quaûn song song vôùi maët caét . Daøy thaønh pheá quaûn: ñöôøng kính trong cuaû pheá quaûn/
  • 71.
    Daõn pheá quaûnvôùi daáu hieäu voøng nhaãn (signet ring sign): pheá quaûn lôùn hôn ñoäng maïch ñi keøm (bình thöôøng khi tæ soá pheá quaûn/maïch maùu < 1.2)
  • 72.
  • 73.
    KHÍ PHEÁ THUÕNGPHOÅI (Emphysema) • Phaân loaïi(American thoraacic society 1962): •  KPT trung taâm tieåu thuøy:vuøng KPT > 1cm, quanh ñoäng maïch trung taâm thuøy phoåi thöù caáp. Hay gaëp ôû phaàn cao thuøy giöõa. •  KPT toaøn tieåu thuøy:vuøng KPT lan toûa, ñoàng nhaát hay gaëp thuøy döôùi. •  KPT caän vaùch:vuøng KPT ngoaïi bieân caïnh maøng phoåi, caïnh laù taïng maøng phoåi, raõnh lieân thuøy. •  KPT caän seïo:lôùn khoaûng khí, huûy moâ phoåi caän vuøng seïo.
  • 74.
    HRCT -HRCT Toát nhöngkhi HRCT bình thöôøng thì cuõng khoâng loaïi tröø khí pheá thuõng. -Xem XQ tröôùc khi xem HRCT vì thænh thoaûng daáu XQ nhieàu hôn treân HCRT(nhö taêng phoàng theå tích phoåi..)
  • 75.
  • 76.
    Khí thuõng trungtaâm tieåu thuyø
  • 77.
    Khí pheá thuõngcaän vaùch(boùng)
  • 78.
    VIEÂM PHOÅI (pneumonia) •1/ Ñöôøng vaøo:  Heä thoáng khí - pheá quaûn  Ñöôøng maùu  Tröïc tieáp (thaønh ngöïc , maøng phoåi…) • 2/ Phaân loaïi:  Vieâm phoåi thuøy  Pheá quaûn- pheá vieâm  Vieâm phoåi moâ keû
  • 79.
    VIEÂM PHOÅI DAÏNGÑAÙM MÔØ Air-bronchogram(+)
  • 80.
    ABSCESS PHOÅI (Pulmonary Abscess) •  Nguyeân nhaân:Thöôøng laø haäu quaû cuûa vieâm phoåi (tuï caàu, klebsiella) •  Vai troø CT.scanner: Xaùc ñònh vò trí, kích thöôùc, soá löôïng, ñoä daøy thaønh, toån thöông lieân quan.  Chaån ñoaùn phaân bieät. •  Hình aûnh CT.scanner:  PL:Möùc khí dòch  CE: +Taêng quang ngoaïi bieân(thaønh oå abcess) • +Khoâng taêng quang trung taâm(hoaïi töû)
  • 81.
    abscess phoåi möùckhí dòch, taêng quang vieàn sau tieâm thuoác caûn quang
  • 82.
    BEÄNH PHOÅI MOÂKEÛ (Interstitial Lung Diseases) Daøy vaùch lieân tieåu thuøy, trôn laùn,hình kính môø trong suy tim Caùc daïng toån thöông moâ keû treân HRCT
  • 83.
    THUYEÂN TAÉC PHOÅI •Khuyeát trong loøng maïch do cuïc maùu ñoâng •  Vuøng taêng ñaäm ñoä, hình cheâm, neàn döïa vaøo maøng phoåi (nhoài maùu phoåi) •  Taêng quang ngoaïi vi •  Roái loaïn thoâng khí
  • 84.
    THUYEÂN TAÉC PHOÅI Hìnhkhuyeát thuoác(maùu ñoâng) ngoaïi bieân cuûa ñm
  • 85.
    THUYEÂN TAÉC ÑOÄNGMAÏCH PHOÅI KEØM NHOÀI MAÙU PHOÅI Vuøng nhoài maùu hình tam giaùc, vôùi ñaùy roäng
  • 86.
    U PHOÅI AÙCTÍNH • Nguyeân nhaân:  Nguyeân phaùt: k pheá quaûn,Lymphoma, sarcoma…  Thöù phaùt: • @Thaän , ñaïi traøng, buoàng tröùng, töû cung @Böôùu Wilm, u xöông  Vai troø CT.scanner:  Ñaùnh gía:soá löôïng, vò trí, kích thöôùc, tính chaát u Lieân quan: maøng phoåi, trung thaát , thaønh ngöïc, haïch, maïch maùu…  Toån thöông khaùc keøm theo
  • 87.
    U PHOÅI AÙCTÍNH K phoåi xaâm laán trung thaát, tónh maïch chuû treân(s) s
  • 90.
    NOÁT PHOÅI LAØNHTÍNH •  Bôø ñeàu •  Ñaäm ñoä môõ •  Ñoùng voâi •  Sang thöông veä tinh •  Thôøi gian nhaân ñoâi
  • 91.
    NOÁT PHOÅI LAØNHTÍNH Toån thöông veä tinh Ñoùng voâi trong u haït laønh tính
  • 92.
    NOÁT PHOÅI AÙCTÍNH •  Bôø khoâng ñeàu, tuûa gai •  Co keùo maøng phoåi •  Hoäi tuï maïch maùu •  Hoaïi töû •  Ñoùng voâi •  Lieân quan loøng pheá quaûn •  Thôøi gian nhaân ñoâi
  • 93.
    NOÁT PHOÅI AÙCTÍNH Ung thö phoåi ngoaïi vi: co keùo maøng phoåi, bôø khoâng ñeàu
  • 94.
    NOÁT PHOÅI AÙCTÍNH U hoaïi töû ñaäm ñoä khoâng ñoàng nhaát U lieân quan loøng pheá quaûn
  • 95.
  • 96.
    PHAÂN TAÀNG TRUNGTHAÁT B C CC A
  • 97.
    PHAÂN TAÀNG TRUNGTHAÁT A.Trung thaát tröôùc •  B.Trung thaát giöõa •  C.Trung thaát sau
  • 98.
    KHOÁI CHOAÙN CHOÅTRUNG THAÁT TRÖÔÙC (ANTERIOR MEDIASTINUM) • 1/ U:Thymoma, Teratoma, Thyroid, Lymphoma. • 2/ Toån thöông khaùc: Di caên, U trung moâ, Phình maïch. • 3/ Goùc taâm hoaønh: Keùn maøng phoåi – tim, Thoaùt vò hoaønh, Tuùi môõ ngoaøi tim.
  • 99.
    KHOÁI CHOAÙN CHOÅTRUNG THAÁT TRÖÔÙC( THYMOMA )
  • 100.
    KHOÁI CHOAÙN CHOÅTRUNG THAÁT TRÖÔÙC (TERATOMA LAØNH TÍNH)
  • 101.
    KHOÁI CHOAÙN CHOÅTRUNG THAÁT SAU (POSTERIOR MEDIASTINUM) •  1.U nguoàn goùc thaàn kinh •  2.Coät soáng: di caên , vieâm •  3.Caïnh soáng: tuï maùu, abcess, toå chöc taïo maùu ngoaøi tuûy •  4.Phình maïch, thoaùt vò hoaønh,u môõ
  • 102.
    KHOÁI CHOAÙN CHOÅTRUNG THAÁT SAU (POSTERIOR MEDIASTINUM) U bao daây thaàn kinh
  • 103.
    KHOÁI CHOAÙN CHOÅTRUNG THAÁT GIÖÕA (MIDDLE MEDIASTINUM)  U: Lymphoma, Di caên  Khaùc: Phình maïch, keùn khí pheá quaûn  Thöïc quaûn: Ung thö, thoùat vò
  • 104.
    KHOÁI CHOAÙN CHOÅTRUNG THAÁT GIÖÕA (MIDDLE MEDIASTINUM) K phoåi di caên cöõa soå pheá
  • 105.
    CHAÁN THÖÔNG VAØU TRUNG THAÁT  X quang qui öôùc: Baát thöôøng trung thaát  Chaån ñoaùn phaân bieät U vôùi: phình maïch , daõn thöïc quaûn, meningocele..  Ñaùnh giaù U: vò trí, kích thöôùc, xaâm laám maïch maùu, khí-pheá quaûn, thaønh ngöïc (coät soáng..), baûn chaát moâ hoïc [lipoma, cyst..]  Caùc toån thöông keøm theo (phoåi..)  Khaû naêng phaãu thuaät u
  • 106.
    PHÌNH ÑOÄNG MAÏCHCHUÛ NGÖÏC (AORTIC ANEURYSM) • 1.Nguyeân nhaân: • Baåm sinh, Xô vöõa ñoäng maïch, chaán thöông , vieâm nhieåm , taêng aùp ñoäng maïch. • -Phình vaø giaû phình • 2.Kích thöôùc: Cung chuû leân # 3.5 – 4.0 cm. Quai ñoäng maïch chuû # 4.0 cm. Cung chuû xuoáng # 2.5 – 3.0 cm.
  • 107.
    PHÌNH ÑOÄNG MAÏCHCHUÛ NGÖÏC (AORTIC ANEURYSM) • Hình aûnh CTscanner •  Xaùc ñònh vò trí •  Ñöôøng kính choå phình •  Boùc taùch hay khoâng boùc taùch •  Huyeát khoái loøng maïch •  Ñoùng voâi thaønh maïch
  • 108.
    PHÌNH ÑOÄNG MAÏCHCHUÛ NGÖÏC (AORTIC ANEURYSM)
  • 109.
    BOÙC TAÙCH ÑOÄNGMAÏCH CHUÛ (AORTIC DISSECTION) • Hình aûnh Ctscanner •  Ñoùng voâi noäi maïc •  Maùu ñoâng caáp •  Laù noäi maïc •  Loøng thaät- loøng gæa •  Bieán chöùng
  • 110.
    BOÙC TAÙCH ÑOÄNGMAÏCH CHUÛ (AORTIC DISSECTION)
  • 111.
    KEÁT LUAÄN  CTlaø khaûo saùt hình aûnh giaù trò  Chæ ñònh roäng raõi ôû caùc beänh lyù ngöïc  Caàn keát hôïp caùc phöông tieän chaån ñoaùn hình aûnh khaùc - laâm saøng- caän laâm saøng