PATHOLOGY OF URETER,
BLADDER, AND URETHRA
By
Ali Faris
OBJECTIVES:
 Congenital Anomalies of the ureter :
* Double and bifid ureters
* Ureteropelvic junction (UPJ) obstruction
 non-neoplastic conditions of the bladder : Vesical diverticula, Cystitis, and Metaplastic
lesions of the bladder
 Neoplastic conditions of bladder: Urothelial carcinoma and Adenocarcinomas of the
bladder.
 Urethra: primary carcinoma
The renal pelvis, ureters, bladder, and urethra (except the terminal portion) are lined by "Urothelium".
Beneath the mucosa are the lamina propria and, deeper yet, the muscularis propria (detrusor muscle),
which makes up the bladder wall.
URETER
 The main pathological lesions involving the ureter include:
 Congenital Anomalies:
* Double and bifid ureters
* Ureteropelvic junction (UPJ) obstruction
 Obstructive Lesions: as a result of calculi, tumours, blood clots
 Primary malignant tumours:
 Primary malignant tumours of the ureter follow patterns similar to those arising in the
renal pelvis, calyces, and bladder, and a majority are urothelial carcinomas. Primary
tumors of the ureter are rare.
DOUBLE AND BIFID URETERS
 Double ureters are almost invariably
associated with totally distinct double renal
pelves or with the anomalous development
of a large kidney having a partially bifid
pelvis terminating in separate ureters.
 Double ureters may pursue separate
courses to the bladder but commonly are
joined within the bladder wall and drain
through a single ureteral orifice.
 Most are unilateral and of no clinical
significance.
URETEROPELVIC JUNCTION (UPJ)
OBSTRUCTION
 a congenital disorder, results in
hydronephrosis.
 It usually manifests in infancy or childhood,
much more commonly in boys.
 It is the most frequent cause of
hydronephrosis in infants and children.
 Grossly: the renal pelvis is markedly
dilated, but the ureter is not, indicating
that the point of obstruction is at the
ureteropelvic junction.
URETEROPELVIC JUNCTION (UPJ)
OBSTRUCTION
RETROPERITONEAL FIBROSIS
 It is an uncommon cause of ureteral narrowing or obstruction,
 characterized by a fibrous proliferative inflammatory process encasing the retroperitoneal
structures and causing hydronephrosis.
 The disorder occurs in middle to old age.
 The affected sites include: the pancreas, retroperitoneum, and salivary glands, to mention a
few.
 Causes:
1. The majority of cases have no obvious cause and are considered primary, or idiopathic (Ormond
disease).
2. At least a proportion of these cases are related to the newly described entity in which elevations of
serum IgG4 are associated with fibroinflammatory lesions that are rich in IgG4-secreting plasma cells.
3. Other cases are associated with drug exposures (ergot derivatives, adrenergic blockers), or malignant
disease (lymphomas, urinary tract carcinomas).
2. RETROPERITONEAL FIBROSIS
bladder
Neopla
sms
Adenocarcinomas
Urothelial
carcinoma
Non-
neoplastic
lesions of the
bladder
Metaplastic Cystitis
Vesical
diverticula
BLADDER OR VESICAL DIVERTICULUM
 Consists of a pouchlike evagination of the
bladder wall.
 Diverticula may be congenital but more
commonly are acquired lesions that arise
as a consequence of persistent urethral
obstruction caused, for example, by
benign prostatic hyperplasia.
 Although most diverticula are small and
asymptomatic, they sometimes lead to
urinary stasis and predispose to infection.
CYSTITIS
 Cystitis takes many forms.
 Most cases stem from nonspecific acute or chronic
inflammation of the bladder.
 Etiology:
1. The common etiologic agents of bacterial cystitis are
coliform bacteria.
2. Patients receiving cytotoxic antitumor drugs, such as
cyclophosphamide, sometimes develop hemorrhagic
cystitis.
3. Adenovirus infection also causes a hemorrhagic cystitis.
 Several distinct variants of cystitis are defined by
either morphologic appearance or causation
(Interstitial cystitis, Malakoplakia, Polypoid cystitis).
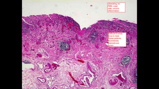
INTERSTITIAL CYSTITIS (I.E., CHRONIC
PELVIC PAIN SYNDROME)
 is a persistent, painful form of chronic cystitis
occurring most frequently in women.
 It is characterized by intermittent, often severe
suprapubic pain, urinary frequency, urgency,
hematuria and dysuria without evidence of
bacterial infection.
 There are cystoscopic findings of fissures and
punctate hemorrhages (glomerulations) in the
bladder mucosa.
 The histologic findings are nonspecific.
 Late in the course, transmural fibrosis may
ensue, leading to a contracted bladder.
No epithelium and
plenty of ulceration. Not high powered,
therefore can't
see mast cells.
Difficult to treat
due to
unknown
etiology.
Ulcerating, no
PMN, mast
cells, chronic
inflammation.
Difficult to know
how to treat
these patients.
Sometimes
steroids are
given.
MALAKOPLAKIA
 Malakoplakia: from Greek Malako "soft" + Plako "plaque"
 Most commonly occurs in the bladder.
 Results from defects in phagocytic or degradative function of macrophages, such that
phagosomes become overloaded with undigested bacterial products. The macrophages have
abundant granular cytoplasm filled with phagosomes stuffed with particulate and
membranous bacterial debris.
 In addition, laminated mineralized concretions resulting from deposition of calcium in
enlarged lysosomes, known as Michaelis-Gutmann bodies, typically are present within the
macrophages.
POLYPOID CYSTITIS
 Is an inflammatory condition resulting from irritation to the bladder mucosa in which the urothelium is thrown
into broad bulbous polypoid projections as a result of marked submucosal edema.
 Polypoid cystitis may be confused with papillary urothelial carcinoma both clinically and histologically.
METAPLASIA
 Various metaplastic lesions may occur in the bladder:
1. Cystitis glandularis: Nests of urothelium (Brunn nests) may grow downward into the
lamina propria, and their central epithelial cells may variously differentiate into a
cuboidal or columnar epithelium lining.
2. Cystitis cystica: cystic spaces filled with clear fluid lined by flattened urothelium.
 Maybe there are goblet cells resembling intestinal mucosa (intestinal or
colonic metaplasia).
 As a response to injury, the urothelium often undergoes squamous
metaplasia, which must be differentiated from normal glycogenated
squamous epithelium, commonly found at the trigone in women.
METAPLASIA (BRUNN NESTS)
Solid nests of benign urothelial cells often with
regular contour.
Cells have normal cytology and orderly
arrangement.
METAPLASIA (CYSTITIS GLANDULARIS)
similar to cystitis cystica but with luminal cuboidal or columnar cells surrounded by
urothelial cells
METAPLASIA (CYSTITIS CYSTICA)
May appear grossly as pearly or
luminescent cysts with intact surface
urothelium.
Well-defined nests of urothelium with a centrally dilated
lumen (like von Brunn's nests but with a hole in the
middle).
INTESTINAL METAPLASIA
identical to typical cystitis glandularis but with presence of goblet cells
METAPLASIA
Both cystitis cystica and glandularis
NEOPLASMS
 Bladder cancer accounts for approximately 7% of cancers and 3% of cancer deaths in the
United States.
 The vast majority of bladder cancers (90%) are urothelial carcinomas.
 Carcinoma of the bladder is more common in men than in women, in industrialized than
in developing nations, and in urban than in rural dwellers.
 About 80% of patients are between the ages of 50 and 80 years.
 PATHOGENESIS OF BLADDER CANCER
 Bladder cancer, with rare exceptions, is not familial.
 Some of the most common factors implicated in the causation of urothelial carcinoma
include:
1. cigarette smoking
2. various occupational carcinogens
3. Schistosoma haematobium infections in areas where it is endemic, such as Egypt.
PATHOGENESIS OF BLADDER CANCERS
 Genetic Models for bladder carcinogenesis include:
1. A model for bladder carcinogenesis has been proposed in which the tumor is initiated by
deletions of tumor-suppressor genes on 9p and 9q, leading to formation of superficial
papillary tumors, a few of which may then acquire TP53 mutations and progress to
invasion.
2. A second pathway, possibly initiated by TP53 mutations, leads first to carcinoma in situ
and then, with loss of chromosome 9, progresses to invasion.
3. The underlying genetic alterations in superficial tumors include fibroblast growth factor
receptor 3 (FGFR3) mutations and activation of the Ras pathway.
MORPHOLOGY
 Two distinct precursor lesions to invasive urothelial
carcinoma are recognized:
1. Noninvasive papillary neoplasms (maybe low or high
grade)
2. Flat noninvasive carcinoma in situ (uniformly high
grade).
 In about half of the patients with invasive bladder
cancer, no precursor lesion is found; in such cases, it
is presumed that the precursor lesion was
overgrown by the high-grade invasive component.
NON INVASIVE PAPILLARY UROTHELIAL
NEOPLASMS
 The most common precursor lesion to invasive urothelial carcinoma.
 Demonstrate range of atypia and are graded to reflect their biologic behavior
 The most common grading system classifies tumors as follows:
1. Papilloma.
2. Papillary urothelial neoplasm of low malignant potential (PUNLMP).
3. Low grade papillary urothelial carcinoma.
4. High grade papillary urothelial carcinoma
 These exophytic papillary neoplasms are to be distinguished from inverted urothelial
papilloma, which is entirely benign and not associated with an increased risk for subsequent
carcinoma.
NON INVASIVE PAPILLARY UROTHELIAL
NEOPLASMS
CARCINOMA IN SITU (CIS)
 CIS is defined by the presence of cytologically
malignant cells within a flat urothelium (Fig. 17–18).
 Like high-grade papillary urothelial carcinoma, CIS
tumor cells lack cohesiveness. This leads to the
shedding of malignant cells into the urine, where
they can be detected by cytology.
 CIS commonly is multifocal and sometimes involves
most of the bladder surface or extends into the
ureters and urethra.
 On cystoscopic examination it may appear only as a
flat area of erythema or granularity. It is often
multifocal
 CIS is often asymptomatic.
 Without treatment, 50% to 75% of CIS cases
progress to muscle-invasive cancer
A urothelial CIS is shown. The atypical cells form a
disorganized epithelial layer that occupies the full
thickness of the urothelium but does not invade
through the basement membrane .
For the urothelium, any malignant cells above the
basement membrane qualify as CIS.
CARCINOMA IN SITU (CIS)
INVASIVE UROTHELIAL CANCER
 Invasive urothelial cancer associated with papillary urothelial cancer (usually of high grade) or
CIS may superficially invade the lamina propria or extend more deeply into underlying muscle.
 Underestimation of the extent of invasion in biopsy specimens is a significant problem.
 The extent of invasion and spread (staging) at the time of initial diagnosis is the most
important prognostic factor.
 Almost all infiltrating urothelial carcinomas are of high grade.
JUST KIDDING
OTHER EPITHELIAL BLADDER TUMORS
 Squamous cell carcinomas:
 resembling squamous cancers occurring at other sites
 Make up about 3% to 7% of bladder cancers in the United
States but are much more common in countries where urinary
schistosomiasis is endemic.
 Pure squamous cell carcinomas are nearly always associated
with chronic bladder irritation and infection.
 Mixed urothelial carcinomas with areas of squamous
carcinoma are more frequent than pure squamous cell
carcinomas.
 Most are invasive, fungating tumors or are infiltrative and
ulcerative
 The level of cellular differentiation varies widely, from well
differentiated lesions producing abundant keratin to
anaplastic tumors with only focal evidence of squamous
differentiation.
Squamous cell carcinoma : showing area of keratinization
(sample taken from Al kindy college of medicine pathology
lab)
SQUAMOUS CELL CARCINOMAS:
Gross: large necrotic mass that is typically invasive Keratin production
OTHER EPITHELIAL BLADDER TUMORS
 Adenocarcinomas of the bladder are rare and are histologically identical to adenocarcinomas
seen in the gastrointestinal tract.
 Some arise from urachal remnants in the dome of the bladder or in association with extensive
intestinal metaplasia.
STAGING OF BLADDER CANCERS
 Grading: tumor grade is the description of a tumor based on how abnormal the tumor cells
and the tumor tissue look under a microscope.
 Staging: cancer stage refers to the size and/or extent (reach) of the original (primary) tumor
and whether or not cancer cells have spread in the body.
 According to the TNM staging system (Tumor, Lymph node, Metastasis),The majority of
bladder cancers fall into one of the following categories:
STAGING OF BLADDER CANCERS (TNM)
CLINICAL FEATURES
 Bladder tumors most commonly present with painless hematuria.
 Patients with urothelial tumors, whatever their grade, have a tendency to develop new tumors after
excision, and recurrences may exhibit a higher grade.
 The risk of recurrence is related to several factors, including tumor size, stage, grade, multifocality,
mitotic index, and associated dysplasia and/or CIS in the surrounding mucosa.
 Most recurrent tumors arise at sites different than that of the original lesion, yet share the same
clonal abnormalities as those of the initial tumor, thus, these are true recurrences that stem from
shedding and implantation of the original tumor cells at new sites.
 Whereas high-grade papillary urothelial carcinomas frequently are associated with either concurrent
or subsequent invasive urothelial carcinoma.
 lower-grade papillary urothelial neoplasms often recur but infrequently invade
TREATMENT
 The treatment for bladder cancer depends on tumor grade and stage and on whether the lesion is
flat or papillary.
 For small localized papillary tumors that are not high grade, the initial transurethral resection is
both diagnostic and therapeutically sufficient.
 Patients with tumors that are at high risk for recurrence or progression typically receive topical
immunotherapy consisting of intravesical instillation of an attenuated strain of the tuberculosis
bacillus called Bacille Calmette-Guérin (BCG).
 BCG elicits a typical granulomatous reaction, and in doing so also triggers an effective local
antitumor immune response.
 Patients are closely monitored for tumor recurrence with periodic cystoscopy and urine cytologic
studies for the rest of their lives.
 Radical cystectomy typically is reserved for (1) tumor invading the muscularis propria; (2) CIS or
high-grade papillary cancer refractory to BCG; and (3) CIS extending into the prostatic urethra and
down the prostatic ducts, where BCG cannot contact the neoplastic cells.
 Advanced bladder cancer is treated using chemotherapy, which can palliate but is not curatives
TUMORS OF THE URETHRA
 Primary carcinoma of the urethra is an uncommon
lesion
 Tumors arising within the proximal urethra tend to
show urothelial differentiation and are analogous to
those occurring within the bladder,
 whereas lesions found within the distal urethra are
more often squamous cell carcinomas.
 Adeno carcinomas are infrequent in the urethra and
generally occur in women.
 Some neoplastic lesions of the urethra are similar to
those described in the bladder, arising through
metaplasia or, less commonly, from periurethral
glands.
 Cancers arising within the prostatic urethra are dealt
with in the section on the prostate.
REFERENCES
 Kumar, V., & Robbins, S. L. 1. (2013). Robbins basic pathology 9th ed.).
Philadelphia, PA: Saunders/Elsevier, 668-671.
 Klatt, Edward C., 1951- author. (2015). Robbins and Cotran atlas of pathology.
Philadelphia, PA :Elsevier/Saunders, 343-349
 Husain A. Sattar., (2011). Fundamentals of pathology. 1st ed.). 135
 Kumar, V., Abbas, A. K., & Aster, J. C. (2015). Robbins and Cotran pathologic
basis of disease (Ninth edition.). Philadelphia, PA: Elsevier/Saunders. 959-969
 Harsh Mohan, (2015). Textbook of PATHOLOGY 7th ed.). Philadelphia, PA 19106,
USA. 685
Bladder
Bladder

Bladder

  • 1.
    PATHOLOGY OF URETER, BLADDER,AND URETHRA By Ali Faris
  • 2.
    OBJECTIVES:  Congenital Anomaliesof the ureter : * Double and bifid ureters * Ureteropelvic junction (UPJ) obstruction  non-neoplastic conditions of the bladder : Vesical diverticula, Cystitis, and Metaplastic lesions of the bladder  Neoplastic conditions of bladder: Urothelial carcinoma and Adenocarcinomas of the bladder.  Urethra: primary carcinoma
  • 3.
    The renal pelvis,ureters, bladder, and urethra (except the terminal portion) are lined by "Urothelium". Beneath the mucosa are the lamina propria and, deeper yet, the muscularis propria (detrusor muscle), which makes up the bladder wall.
  • 4.
    URETER  The mainpathological lesions involving the ureter include:  Congenital Anomalies: * Double and bifid ureters * Ureteropelvic junction (UPJ) obstruction  Obstructive Lesions: as a result of calculi, tumours, blood clots  Primary malignant tumours:  Primary malignant tumours of the ureter follow patterns similar to those arising in the renal pelvis, calyces, and bladder, and a majority are urothelial carcinomas. Primary tumors of the ureter are rare.
  • 5.
    DOUBLE AND BIFIDURETERS  Double ureters are almost invariably associated with totally distinct double renal pelves or with the anomalous development of a large kidney having a partially bifid pelvis terminating in separate ureters.  Double ureters may pursue separate courses to the bladder but commonly are joined within the bladder wall and drain through a single ureteral orifice.  Most are unilateral and of no clinical significance.
  • 6.
    URETEROPELVIC JUNCTION (UPJ) OBSTRUCTION a congenital disorder, results in hydronephrosis.  It usually manifests in infancy or childhood, much more commonly in boys.  It is the most frequent cause of hydronephrosis in infants and children.  Grossly: the renal pelvis is markedly dilated, but the ureter is not, indicating that the point of obstruction is at the ureteropelvic junction.
  • 7.
  • 8.
    RETROPERITONEAL FIBROSIS  Itis an uncommon cause of ureteral narrowing or obstruction,  characterized by a fibrous proliferative inflammatory process encasing the retroperitoneal structures and causing hydronephrosis.  The disorder occurs in middle to old age.  The affected sites include: the pancreas, retroperitoneum, and salivary glands, to mention a few.  Causes: 1. The majority of cases have no obvious cause and are considered primary, or idiopathic (Ormond disease). 2. At least a proportion of these cases are related to the newly described entity in which elevations of serum IgG4 are associated with fibroinflammatory lesions that are rich in IgG4-secreting plasma cells. 3. Other cases are associated with drug exposures (ergot derivatives, adrenergic blockers), or malignant disease (lymphomas, urinary tract carcinomas).
  • 9.
  • 10.
  • 11.
    BLADDER OR VESICALDIVERTICULUM  Consists of a pouchlike evagination of the bladder wall.  Diverticula may be congenital but more commonly are acquired lesions that arise as a consequence of persistent urethral obstruction caused, for example, by benign prostatic hyperplasia.  Although most diverticula are small and asymptomatic, they sometimes lead to urinary stasis and predispose to infection.
  • 12.
    CYSTITIS  Cystitis takesmany forms.  Most cases stem from nonspecific acute or chronic inflammation of the bladder.  Etiology: 1. The common etiologic agents of bacterial cystitis are coliform bacteria. 2. Patients receiving cytotoxic antitumor drugs, such as cyclophosphamide, sometimes develop hemorrhagic cystitis. 3. Adenovirus infection also causes a hemorrhagic cystitis.  Several distinct variants of cystitis are defined by either morphologic appearance or causation (Interstitial cystitis, Malakoplakia, Polypoid cystitis).
  • 13.
    INTERSTITIAL CYSTITIS (I.E.,CHRONIC PELVIC PAIN SYNDROME)  is a persistent, painful form of chronic cystitis occurring most frequently in women.  It is characterized by intermittent, often severe suprapubic pain, urinary frequency, urgency, hematuria and dysuria without evidence of bacterial infection.  There are cystoscopic findings of fissures and punctate hemorrhages (glomerulations) in the bladder mucosa.  The histologic findings are nonspecific.  Late in the course, transmural fibrosis may ensue, leading to a contracted bladder.
  • 14.
    No epithelium and plentyof ulceration. Not high powered, therefore can't see mast cells. Difficult to treat due to unknown etiology.
  • 15.
    Ulcerating, no PMN, mast cells,chronic inflammation. Difficult to know how to treat these patients. Sometimes steroids are given.
  • 16.
    MALAKOPLAKIA  Malakoplakia: fromGreek Malako "soft" + Plako "plaque"  Most commonly occurs in the bladder.  Results from defects in phagocytic or degradative function of macrophages, such that phagosomes become overloaded with undigested bacterial products. The macrophages have abundant granular cytoplasm filled with phagosomes stuffed with particulate and membranous bacterial debris.  In addition, laminated mineralized concretions resulting from deposition of calcium in enlarged lysosomes, known as Michaelis-Gutmann bodies, typically are present within the macrophages.
  • 17.
    POLYPOID CYSTITIS  Isan inflammatory condition resulting from irritation to the bladder mucosa in which the urothelium is thrown into broad bulbous polypoid projections as a result of marked submucosal edema.  Polypoid cystitis may be confused with papillary urothelial carcinoma both clinically and histologically.
  • 18.
    METAPLASIA  Various metaplasticlesions may occur in the bladder: 1. Cystitis glandularis: Nests of urothelium (Brunn nests) may grow downward into the lamina propria, and their central epithelial cells may variously differentiate into a cuboidal or columnar epithelium lining. 2. Cystitis cystica: cystic spaces filled with clear fluid lined by flattened urothelium.  Maybe there are goblet cells resembling intestinal mucosa (intestinal or colonic metaplasia).  As a response to injury, the urothelium often undergoes squamous metaplasia, which must be differentiated from normal glycogenated squamous epithelium, commonly found at the trigone in women.
  • 19.
    METAPLASIA (BRUNN NESTS) Solidnests of benign urothelial cells often with regular contour. Cells have normal cytology and orderly arrangement.
  • 20.
    METAPLASIA (CYSTITIS GLANDULARIS) similarto cystitis cystica but with luminal cuboidal or columnar cells surrounded by urothelial cells
  • 21.
    METAPLASIA (CYSTITIS CYSTICA) Mayappear grossly as pearly or luminescent cysts with intact surface urothelium. Well-defined nests of urothelium with a centrally dilated lumen (like von Brunn's nests but with a hole in the middle).
  • 22.
    INTESTINAL METAPLASIA identical totypical cystitis glandularis but with presence of goblet cells
  • 23.
  • 25.
    NEOPLASMS  Bladder canceraccounts for approximately 7% of cancers and 3% of cancer deaths in the United States.  The vast majority of bladder cancers (90%) are urothelial carcinomas.  Carcinoma of the bladder is more common in men than in women, in industrialized than in developing nations, and in urban than in rural dwellers.  About 80% of patients are between the ages of 50 and 80 years.  PATHOGENESIS OF BLADDER CANCER  Bladder cancer, with rare exceptions, is not familial.  Some of the most common factors implicated in the causation of urothelial carcinoma include: 1. cigarette smoking 2. various occupational carcinogens 3. Schistosoma haematobium infections in areas where it is endemic, such as Egypt.
  • 26.
    PATHOGENESIS OF BLADDERCANCERS  Genetic Models for bladder carcinogenesis include: 1. A model for bladder carcinogenesis has been proposed in which the tumor is initiated by deletions of tumor-suppressor genes on 9p and 9q, leading to formation of superficial papillary tumors, a few of which may then acquire TP53 mutations and progress to invasion. 2. A second pathway, possibly initiated by TP53 mutations, leads first to carcinoma in situ and then, with loss of chromosome 9, progresses to invasion. 3. The underlying genetic alterations in superficial tumors include fibroblast growth factor receptor 3 (FGFR3) mutations and activation of the Ras pathway.
  • 27.
    MORPHOLOGY  Two distinctprecursor lesions to invasive urothelial carcinoma are recognized: 1. Noninvasive papillary neoplasms (maybe low or high grade) 2. Flat noninvasive carcinoma in situ (uniformly high grade).  In about half of the patients with invasive bladder cancer, no precursor lesion is found; in such cases, it is presumed that the precursor lesion was overgrown by the high-grade invasive component.
  • 28.
    NON INVASIVE PAPILLARYUROTHELIAL NEOPLASMS  The most common precursor lesion to invasive urothelial carcinoma.  Demonstrate range of atypia and are graded to reflect their biologic behavior  The most common grading system classifies tumors as follows: 1. Papilloma. 2. Papillary urothelial neoplasm of low malignant potential (PUNLMP). 3. Low grade papillary urothelial carcinoma. 4. High grade papillary urothelial carcinoma  These exophytic papillary neoplasms are to be distinguished from inverted urothelial papilloma, which is entirely benign and not associated with an increased risk for subsequent carcinoma.
  • 29.
    NON INVASIVE PAPILLARYUROTHELIAL NEOPLASMS
  • 30.
    CARCINOMA IN SITU(CIS)  CIS is defined by the presence of cytologically malignant cells within a flat urothelium (Fig. 17–18).  Like high-grade papillary urothelial carcinoma, CIS tumor cells lack cohesiveness. This leads to the shedding of malignant cells into the urine, where they can be detected by cytology.  CIS commonly is multifocal and sometimes involves most of the bladder surface or extends into the ureters and urethra.  On cystoscopic examination it may appear only as a flat area of erythema or granularity. It is often multifocal  CIS is often asymptomatic.  Without treatment, 50% to 75% of CIS cases progress to muscle-invasive cancer
  • 31.
    A urothelial CISis shown. The atypical cells form a disorganized epithelial layer that occupies the full thickness of the urothelium but does not invade through the basement membrane . For the urothelium, any malignant cells above the basement membrane qualify as CIS. CARCINOMA IN SITU (CIS)
  • 32.
    INVASIVE UROTHELIAL CANCER Invasive urothelial cancer associated with papillary urothelial cancer (usually of high grade) or CIS may superficially invade the lamina propria or extend more deeply into underlying muscle.  Underestimation of the extent of invasion in biopsy specimens is a significant problem.  The extent of invasion and spread (staging) at the time of initial diagnosis is the most important prognostic factor.  Almost all infiltrating urothelial carcinomas are of high grade.
  • 34.
  • 35.
    OTHER EPITHELIAL BLADDERTUMORS  Squamous cell carcinomas:  resembling squamous cancers occurring at other sites  Make up about 3% to 7% of bladder cancers in the United States but are much more common in countries where urinary schistosomiasis is endemic.  Pure squamous cell carcinomas are nearly always associated with chronic bladder irritation and infection.  Mixed urothelial carcinomas with areas of squamous carcinoma are more frequent than pure squamous cell carcinomas.  Most are invasive, fungating tumors or are infiltrative and ulcerative  The level of cellular differentiation varies widely, from well differentiated lesions producing abundant keratin to anaplastic tumors with only focal evidence of squamous differentiation. Squamous cell carcinoma : showing area of keratinization (sample taken from Al kindy college of medicine pathology lab)
  • 36.
    SQUAMOUS CELL CARCINOMAS: Gross:large necrotic mass that is typically invasive Keratin production
  • 37.
    OTHER EPITHELIAL BLADDERTUMORS  Adenocarcinomas of the bladder are rare and are histologically identical to adenocarcinomas seen in the gastrointestinal tract.  Some arise from urachal remnants in the dome of the bladder or in association with extensive intestinal metaplasia.
  • 38.
    STAGING OF BLADDERCANCERS  Grading: tumor grade is the description of a tumor based on how abnormal the tumor cells and the tumor tissue look under a microscope.  Staging: cancer stage refers to the size and/or extent (reach) of the original (primary) tumor and whether or not cancer cells have spread in the body.  According to the TNM staging system (Tumor, Lymph node, Metastasis),The majority of bladder cancers fall into one of the following categories:
  • 39.
    STAGING OF BLADDERCANCERS (TNM)
  • 40.
    CLINICAL FEATURES  Bladdertumors most commonly present with painless hematuria.  Patients with urothelial tumors, whatever their grade, have a tendency to develop new tumors after excision, and recurrences may exhibit a higher grade.  The risk of recurrence is related to several factors, including tumor size, stage, grade, multifocality, mitotic index, and associated dysplasia and/or CIS in the surrounding mucosa.  Most recurrent tumors arise at sites different than that of the original lesion, yet share the same clonal abnormalities as those of the initial tumor, thus, these are true recurrences that stem from shedding and implantation of the original tumor cells at new sites.  Whereas high-grade papillary urothelial carcinomas frequently are associated with either concurrent or subsequent invasive urothelial carcinoma.  lower-grade papillary urothelial neoplasms often recur but infrequently invade
  • 41.
    TREATMENT  The treatmentfor bladder cancer depends on tumor grade and stage and on whether the lesion is flat or papillary.  For small localized papillary tumors that are not high grade, the initial transurethral resection is both diagnostic and therapeutically sufficient.  Patients with tumors that are at high risk for recurrence or progression typically receive topical immunotherapy consisting of intravesical instillation of an attenuated strain of the tuberculosis bacillus called Bacille Calmette-Guérin (BCG).  BCG elicits a typical granulomatous reaction, and in doing so also triggers an effective local antitumor immune response.  Patients are closely monitored for tumor recurrence with periodic cystoscopy and urine cytologic studies for the rest of their lives.  Radical cystectomy typically is reserved for (1) tumor invading the muscularis propria; (2) CIS or high-grade papillary cancer refractory to BCG; and (3) CIS extending into the prostatic urethra and down the prostatic ducts, where BCG cannot contact the neoplastic cells.  Advanced bladder cancer is treated using chemotherapy, which can palliate but is not curatives
  • 42.
    TUMORS OF THEURETHRA  Primary carcinoma of the urethra is an uncommon lesion  Tumors arising within the proximal urethra tend to show urothelial differentiation and are analogous to those occurring within the bladder,  whereas lesions found within the distal urethra are more often squamous cell carcinomas.  Adeno carcinomas are infrequent in the urethra and generally occur in women.  Some neoplastic lesions of the urethra are similar to those described in the bladder, arising through metaplasia or, less commonly, from periurethral glands.  Cancers arising within the prostatic urethra are dealt with in the section on the prostate.
  • 43.
    REFERENCES  Kumar, V.,& Robbins, S. L. 1. (2013). Robbins basic pathology 9th ed.). Philadelphia, PA: Saunders/Elsevier, 668-671.  Klatt, Edward C., 1951- author. (2015). Robbins and Cotran atlas of pathology. Philadelphia, PA :Elsevier/Saunders, 343-349  Husain A. Sattar., (2011). Fundamentals of pathology. 1st ed.). 135  Kumar, V., Abbas, A. K., & Aster, J. C. (2015). Robbins and Cotran pathologic basis of disease (Ninth edition.). Philadelphia, PA: Elsevier/Saunders. 959-969  Harsh Mohan, (2015). Textbook of PATHOLOGY 7th ed.). Philadelphia, PA 19106, USA. 685

Editor's Notes

  • #4 U = urothelium S = submucosa LP = lamina propria Inner, middle, outer layers of smooth muscle (IL , ML, OL) A = adventitia
  • #5 Congenital anomalies of the ureters are found in about 2% or 3% of all autopsies. Although most have little clinical significance, certain anomalies may contribute to obstruction of the flow of urine and thus cause clinical disease.
  • #6 Double ureters, gross Complete ureteral duplication is shown, with two ureters (◀ ) exiting from each kidney and extending to the bladder, opened anteriorly. A segment of aorta lies between the normal kidneys. A partial or complete duplication of one or both ureters occurs in 1 in 150 people. There is a potential for urinary obstruction because of abnormal flow of urine and the entrance of two ureters into the bladder in close proximity, but most of the time this condition is an incidental finding.
  • #7 Ureteropelvic junction stenosis, gross There is irregular scarring over the cortical surface of this kidney as a consequence of chronic obstruction and development of acute and chronic pyelonephritis. The renal pelvis (*) is markedly dilated, but the ureter ( ♦) is not, indicating that the point of obstruction is at the ureteropelvic junction (▲ ). This condition usually manifests in childhood and most often affects boys. This is the most common cause of hydronephrosis in infants and children. Hydronephrosis is the swelling of a kidney due to a build-up of urine. It happens when urine cannot drain out from the kidney to the bladder from a blockage or obstruction. Hydronephrosis can occur in one or both kidneys. Causes of hydronephrosis include, risk factors :Kidney stone , Congenital blockage (a defect that is present at birth) , Blood clot , Scarring of tissue (from injury or previous surgery)Tumor or cancer (examples include bladder, cervical, colon, or prostate) , Enlarged prostate (noncancerous) , Pregnancy , Urinary tract infection (or other diseases that cause inflammation of the urinary tract). How is Hydronephrosis Diagnosed ? An ultrasound is typically used to confirm a diagnosis.
  • #9 Ergot is a fungus that grows on rye and less commonly on other grasses such as wheat. Ergot contains chemicals that can help reduce bleeding by causing a narrowing of the blood vessels.
  • #12 There are two diverticula ( ) in this urinary bladder, opened anteriorly at autopsy. The urethral outlet is on the left, and the dome of the bladder is on the right
  • #13 Cystitis, gross This bladder has been opened anteriorly to reveal extensive mucosal hyperemia with an acute cystitis. Cystitis, microscopic Increased numbers of inflammatory cells can be seen within the submucosa. Urinary tract infections tend to be recurrent, and so episodes of acute cystitis become chronic cystitis with acute and chronic inflammatory components along with fibrous thickening of the muscularis. The typical clinical findings include increased urinary frequency, suprapubic pain, and dysuria marked by burning or pain on urination. More extensive cases may be marked by fever and malaise. Urinary tract infections are common, particularly in women, in whom the urethra is shorter than in men. Urinary tract obstruction increases the risk for infection.
  • #14 Urgency : حاجة للتبول
  • #17  Note the rounded Michaelis-Gutmann bodies ( ▶), which are calcium-containing concretions, within macrophages, shown with H&E stain in the left panel and with PAS stain in the right panel. Malacoplakia produces grossly visible mucosal plaques on cystoscopy, which must be distinguished from carcinoma on biopsy. Malacoplakia is a peculiar inflammatory response to chronic infection, usually with Escherichia coli or Proteus species. The increased numbers of macrophages suggest phagocytic defects with accumulation of bacterial products.
  • #18 Cystoscopy shows friable edematous irregular mucosa with multiple small polypoid (<5 mm) nodules (image A). Early lesion consists of broad based edematous papillae with tapered end lined by normal urothelium (polypoid cystitis) (image B)
  • #27 (indeed, bladder cancer was one of the first human neoplasms found to have activating mutations in the Ras oncogene), The TP53 gene provides instructions for making a protein called tumor protein p53 (or p53). This protein acts as a tumor suppressor, which means that it regulates cell division by keeping cells from growing and dividing (proliferating) too fast or in an uncontrolled way. Ras is a family of related proteins. When Ras is 'switched on' by incoming signals, it subsequently switches on other proteins, which ultimately turn on genes involved in cell growth, differentiation and survival. Mutations in ras genes can lead to the production of permanently activated Ras proteins. As a result, this can cause unintended and overactive signaling inside the cell, even in the absence of incoming signals.Because these signals result in cell growth and division, overactive Ras signaling can ultimately lead to cancer.[1]
  • #29 *Rare cases of progression have occurred in immunocompromised patients.
  • #30 *Rare cases of progression have occurred in immunocompromised patients.
  • #31 Erythema = منطقة احمرار Cohesiveness = التماسك
  • #33 High-grade cancer cells tend to grow and spread more quickly than low-grade cancer cells
  • #36 Pure = نقي
  • #37 Squamous cell carcinoma may occur at multiple areas in the bladder, but the lateral wall and trigone are the most common sites. [30, 31] On cystoscopy, the tumor appears nodular and has a plaquelike, irregular surface. There is deep invasion into the muscularis and often involvement of the extravesical organs (see image below). Most of the tumors are large, exophytic, and necrotic and bulge into the bladder cavity. Microscopically, the tumors arise in epithelium and infiltrate in sheets, nests, and islands (see images below); they resemble epidermal tumors, with some combination of individual cell keratinization, keratin pearls, and intercellular bridges. Transurethral resection of bladder tumor (TURBT) biopsies may contain only keratinous debris. Keratinization of cells at the stromal interface is a sign of invasion
  • #38 The urachus is a fibrous remnant of the allantois, a canal that drains the urinary bladder of the fetus that joins and runs within the umbilical cord. Several morphologic patterns such as enteric (looks like colorectal adenocarcinoma!) (image B), (image C), & (image D), adenocarcinoma not otherwise specified, mucinous, signet ring cell, hepatoid or mixed (2 or >patterns). Urachal: More often the tumor has the appearance of a mucinous ("colloid") carcinoma (tumor cells floating in a sea of mucin) May also have enteric morphology (looks like colorectal adenocarcinoma). Other morphologies include signet ring cell, which can diffusely spread into the bladder, and adenocarcinoma, not otherwise classifiable, or a mixed of these different patterns.
  • #43 Figure : Carcinoma of urethra with typical fungating growth.