Dr.P.Viswakumar,M.S 
Assistant professor, 
Dept of General Surgery, 
PSGIMSR 
NEOPLASM OF BLADDER
Anatomy of Bladder 
 The bladder is the most anterior element of the pelvic 
viscera. 
 The empty bladder is shaped like a three-sided pyramid . 
 It has an apex, a base, a superior surface, and two 
inferolateral surfaces. 
Apex: The apex of the bladder is directed toward the top of 
the pubic symphysis. 
Base: The base of the bladder is shaped like an inverted 
triangle and faces posteroinferiorly. 
The inferolateral surfaces of the bladder are cradled between 
the levator ani muscles of the pelvic diaphragm and the 
adjacent obturator internus muscles above the attachment of 
the pelvic diaphragm.
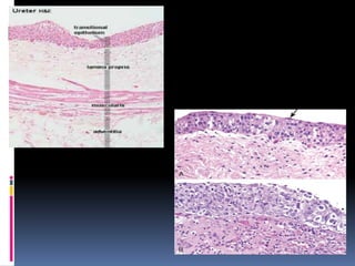
Normal Histology 
 The mucosal surface of the renal pelvis, ureters, 
urinary bladder, and urethra is lined by a 
multilayered epithelium. 
 The most superficial of which consists of 
“umbrella cells”. 
 This epithelial lining has historically been called 
“transitional epithelium,” it is currently 
preferentially referred to as urothelium. 
 The wall of the urinary bladder is formed of four 
layers: (a) epithelium (urothelium), (b) lamina 
propria, (c) muscularis propria, and (d) adventitia 
or serosa.
Urothelial neoplasm 
 The urotheliumof the bladder is traditionally 
considered to be lined by transitional cells, 
can transform into a variety of benign and 
malignant tumors. 
 Therefore the list of bladder tumors is long 
and includes those derived from the 
urotheliumand mesenchyme
Benign Tumors of the Bladder 
 There are numerous benign tumors of Bladder 
Common ones : 
1) Epithelial metaplasia, 
2) Leukoplakia 
3) Inverted papilloma 
4) Nephrogenic adenoma 
5) Leiomyoma 
6) Cystitis cystica 
7) Cystitis glandularis.
Epithelial metaplasia: 
 Focal areas of transformed urotheliumwith 
normal nuclear and cellular architecture. 
 Located in trigone either squamous or glandular 
metaplasia. 
 As white flaky knobby appearance in case of 
Squamous metaplasia and raised red areas in 
case of Glandular ones. 
 Appx 40% of women and 5% of men had 
squamous metaplasia. 
 Usually related to trauma,Infection and surgery. 
 No treatment necessary.
Leukoplakia 
 Similar to squamous metaplasia but addition 
to keratin deposition 
 Appears as a white flaky substance floating in 
the bladder. 
 Benign lesion, and no treatment is necessary
Inverted Papilloma 
 Associated with chronic inflammation or 
bladder outlet obstruction and can be located 
throughout the bladder but most commonly 
on the trigone. 
 Inverted papillomas behave in a benign 
fashion with only a 1% incidence of tumor 
recurrence. 
 FISH to differentiate it from Urothelial 
malignancy. 
 TRUP treatment of choice.
Papilloma 
 Benign proliferative growth in the bladder 
that is composed of delicate stalks lined by 
normal-appearing urothelium. 
 Papillomas had previously been categorized 
as grade 1 Ta tumors of the bladder which 
latter classified as non invasive malignancy of 
bladder. 
 Papillomas may recur, but they do not 
progress or invade.
Nephrogenic Adenoma 
 Rare tumor caused by chronic irritation of the 
urothelium. 
 Trauma, previous surgery, renal transplantation, 
intravesical chemotherapy, stones, catheters, and 
infections predispose to it. 
 The lesion may be vascular, which explains the 
presence of gross hematuria in most cases. 
 The most frequent presenting symptom is gross 
hematuria, often in conjunction with a urinary tract 
infection. 
 Transurethral resection and elimination of the 
chronic irritation.
Cystitis Cystica and 
Glandularis 
 Common finding in normal bladders, usually 
associated with inflammation or chronic obstruction. 
 Represent cystic nests that are lined by columnar or 
cuboidal cells. 
 Cystitis glandularis may develop into or coexist with 
intestinal metaplasia, which are benign tumors 
characterized by goblet cells that are histologically 
similar to colonic epithelium. 
 The most common presenting feature of cystitis 
cystica or glandularis is irritative voiding symptoms 
and hematuria. 
 Treatment is transurethral resection and relief of the 
obstruction or inflammatory condition.
Leiomyoma 
 Most common nonepithelial benign tumor of the 
bladder composed of benign smooth muscle. 
 Most commonly in women of childbearing age and 
are histologically similar to leiomyomas of the 
uterus. 
 Leiomyomas appear as smooth indentations of the 
bladder. 
 Imaging, especially with magnetic resonance 
imaging (MRI), can confirm the diagnosis. 
 Surgical resection is required if the leiomyoma is 
large or painful.
Cancer of Bladder 
Topic of discussion for any malignancy 
1) Incidence and prevalence. 
2) Etiology/ Risk factors. 
3) Pathology. 
4) Clinical features. 
5) Investigation and diagnosis. 
6) Staging and Management. 
7) Prognosis
Cancer of bladder 
1) Incidence and prevalence. 
2) Etiology/ Risk factors. 
3) Pathology. 
4) Clinical features. 
5) Investigation and diagnosis. 
6) Staging and Management. 
7) Prognosis
Urothelial cancer 
Why urothelial cancer is important ? 
 Urothelial cancer is a cancer of the environment and 
age. 
 The incidence and prevalence rates increase with 
age, peaking in the 8th decade of life. 
 There is a strong association between environmental 
toxins and urothelial cancer formation. 
 Unfortunately, the incidence rate is rising the fastest 
in underdeveloped countries where industrialization 
has led to carcinogenic exposure. 
 7% of all cancers.
 Bladder cancer is the 9th most common 
cancer worldwide, with 357,000 cases 
recorded in 2002. 
 Bladder cancer is the 13th most common 
cause of death, accounting for 145,000 
deaths worldwide. 
 The incidence rate of bladder cancer has been 
rising in Asia and Russia because of an 
increased prevalence of smoking.
Cancer of bladder 
1) Incidence and prevalence. 
2) Etiology/ Risk factors. 
3) Pathology. 
4) Clinical features. 
5) Investigation and diagnosis. 
6) Staging and Management. 
7) Prognosis
Etiology/Risk factors 
Genetic - N-acetyl transferase (NAT) detoxifies 
nitrosamines, a known bladder carcinogen. 
 Specifically, NAT-2 regulates the rate of acetylation of 
compounds such as caffeine, which are related to bladder 
cancer formation. 
 The slow NAT-2 polymorphism is related to bladder 
cancer with an odds ratio of 1.4 compared with the fast 
polymorphism. 
 Glutathione-S-transferase (GSTM1) conjugates several 
reactive chemicals, including arylamines and 
nitrosamines. 
 The null GSTM1 polymorphism is associated with an 
increased bladder risk with a relative risk of 1.5. 
 The null GSTM1 and slow NAT-2 lead to high levels of 3- 
aminobiphenyl and higher risk of bladder cancer.
External risk factors 
 The bladder is the main internal organ affected 
by occupational carcinogens after skin and Lung. 
 The primary culprits are the aromatic amines 
that bind to DNA. 
 Among the first chemical agents implicated in 
the formation of bladder cancer in dye and 
rubber workers were benzidine and β- 
naphthylamine. 
 Other industrial agents implicated in bladder 
cancer formation include polycyclic aromatic 
hydrocarbons (PAH), diesel exhaust, and paint 
substances.
 Smoking - Accounts for 60% and 30% of all 
urothelial cancers in males and females, 
respectively. 
 Nutritional factors - moderately higher in 
coffee and tea drinkers, but this may be 
compounded by smoking or other dietary factors 
associated with people who drink coffee or tea. 
 Less fluid intake. 
 Alcohol : No association has been proved. 
 Acetaminopen : Commonly used analgesic-increased 
risk of renal and bladder cancer.
 Inflammation/ Infection: 
1) Schistosoma hematobium – Squamous cell 
ca of bladder. 
2) HPV. 
3) Bacterial – Chronic infection esp with E.Coli 
and Pseudomonas.
 Radiation exposure : Urothelial cancer 
formation after radiation is not age related, 
but the latency period is 15 to 30 years. 
 Chemotherapy – Only agent 
Cyclophosphamide. 
 Hereditary
Cancer of bladder 
1) Incidence and prevalence. 
2) Etiology/ Risk factors. 
3) Pathology. 
4) Clinical features. 
5) Investigation and diagnosis. 
6) Staging and Management. 
7) Prognosis
Pathology 
 90% of bladder cancers are of urothelial 
origin, 5% are squamous cell carcinomas, and 
less than 2% are adenocarcinoma or other 
variants. 
 At initial presentation, 80% of urothelial 
tumors are non–muscle invasive.
WHO grading of Non invasive 
tumors 
 Hyperplasia (flat and papillary) 
 Reactive atypia 
 Atypia of unknown significance 
 Urothelial dysplasia (low-grade intraurothelial neoplasia) 
 Urothelial carcinoma in situ (high-grade intraurothelial 
neoplasia) 
 Urothelial papilloma 
 Urothelial papilloma, inverted type 
 Papillary urothelial neoplasm of low malignant potential 
 Noninvasive low-grade papillary urothelial carcinoma 
 Noninvasive high-grade papillary urothelial carcinoma
WHO grading of Invasive tumors 
 Lamina propria invasion 
 Muscularis propria (detrusor muscle) invasion
Precusor lesions 
 Hyperplasia (flat and papillary) 
 Reactive atypia 
 Atypia of unknown significance 
 Urothelial dysplasia 
 Urothelial carcinoma in situ 
 Urothelial papilloma 
 Urothelial papilloma, inverted type 
 Papillary urothelial neoplasm of low malignant potential 
 Noninvasive low-grade papillary urothelial carcinoma 
 Noninvasive high-grade papillary urothelial carcinoma
Papilloma Carcinoma in situ
Low grade papillary tumor High grade papillary 
tumor
Cancer of Bladder 
1) Incidence and prevalence. 
2) Etiology/ Risk factors. 
3) Pathology. 
4) Clinical features. 
5) Investigation and diagnosis. 
6) Staging and Management. 
7) Prognosis
Clinical features 
 Often vague 
 Gross or microscopic hematuria.(Most common). 
 Increased urinary frequency due to irritation of 
bladder. (20-30%) 
 Less commonly UTI or upper urinary tract 
obstruction symptoms in advanced cases. 
 Pelvic or bony pain, lower-extremity edema, or 
flank pain - In patients with advanced disease. 
 Palpable mass on physical examination - Rare in 
superficial bladder cancer.
Cancer of Bladder 
1) Incidence and prevalence. 
2) Etiology/ Risk factors. 
3) Pathology. 
4) Clinical features. 
5) Investigation and diagnosis. 
6) Staging and Management. 
7) Prognosis
Investigation and Diagnosis 
Urine studies include the following: 
 Urinalysis with microscopy 
 Urine culture to rule out infection, if suspected 
 Voided urinary cytology 
 Urinary tumor marker testing 
Urinary cytology: 
 Standard noninvasive diagnostic method 
 Low sensitivity for low-grade and early stage 
cancers 
 Fluorescence in situ hybridization (FISH) may 
improve the accuracy of cytology
Investigation and Diagnosis 
Cystoscopy 
 The primary modality for the diagnosis of bladder 
carcinoma 
 Permits biopsy and resection of papillary tumors 
Upper urinary tract imaging 
 Necessary for the hematuria workup 
 American Urologic Association Best Practice Policy 
recommends computed tomography (CT) scanning of the 
abdomen and pelvis with contrast, with preinfusion and 
postinfusion phases 
 Imaging is ideally performed with CT urography, using 
multidetector CT 
 Ultrasonography is commonly used, but it may miss 
urothelial tumors of the upper tract and small stones
Urinary tumor markers 
 More than 30 urinary biomarkers have been reported 
for use in bladder cancer diagnosis. 
 Only few available for commercial use others still in 
experimental phase. 
 They are 
 urine cytology, 
 fluorescence in-situ hybridization (FISH), 
 nuclear matrix protein (NMP-22), 
 BTA STAT, (Bladder tumor Antigen) 
 BTA TRAK, 
 ImmunoCyt/uCyt+, 
 CertNDx, and 
 CxBladder.( Uses 5 mRNA markers)
Cystoscopy
Interpretation of Results 
The diagnostic strategy for patients with 
negative cystoscopy is as follows: 
 Negative urine cytology and FISH - Routine 
follow-up 
 Negative urine cytology, positive FISH - 
Increased frequency of surveillance 
 Positive urine cytology, positive or negative 
FISH - Cancer until proven otherwise
Cancer of bladder 
1) Incidence and prevalence. 
2) Etiology/ Risk factors. 
3) Pathology. 
4) Clinical features. 
5) Investigation and diagnosis. 
6) Staging and Management. 
7) Prognosis
TNM Staging 
 Primary Tumor (T) 
 TX Primary tumor cannot be assessed 
 T0 No evidence of primary tumor 
 Ta Noninvasive papillary carcinoma 
 Tis Carcinoma in situ: “flat tumor” 
 T1 Tumor invades subepithelial connective tissue 
 T2 Tumor invades muscularis propria 
 pT2a Tumor invades superficial muscularis propria 
 (inner half) 
 pT2b Tumor invades deep muscularis propria (outer half) 
 T3 Tumor invades perivesical tissue 
 pT3a Microscopically 
 pT3b Macroscopically (extravesical mass) 
 T4 Tumor invades any of the following: prostatic 
 stroma, seminal vesicles, uterus, vagina, pelvic wall, 
 abdominal wall 
 T4a Tumor invades prostatic stroma, uterus, vagina 
 T4b Tumor invades pelvic wall, abdominal wall
Regional Lymph Nodes (N) 
 Regional lymph nodes include both primary and secondary 
drainage regions. All other nodes above the aortic 
bifurcation are considered distant lymph nodes. 
 NX Lymph nodes cannot be assessed 
 No lymph node metastasis 
 N1 Single regional lymph node metastasis in the true 
pelvis (hypogastric, obturator, external iliac, or 
presacral lymph node) 
 N2 Multiple regional lymph node metastasis in the 
true pelvis (hypogastric, obturator, external iliac, 
or presacral lymph node metastasis) 
 N3 Lymph node metastasis to the common iliac 
lymph nodes 
Distant Metastasis (M) 
 M0 No distant metastasis 
 M1 Distant metastasis
Treatment Protocol 
 Treatment protocols for bladder cancer 
includes those of 
1) Surgery 
2)Chemotherapy, 
3)Immunotherapy, 
4)Systemic neoadjuvant 
5)Adjuvant therapy.
Non-muscle invasive bladder 
cancer (Ta, Tis, T1) 
 Non-muscle invasive bladder cancers are divided 
into 3 groups: Ta, Tis, and T1 
 Ta are noninvasive papillary lesions confined to the 
urotheliumand have not penetrated the basement 
membrane. 
 Standard treatment for non-muscle invasive bladder 
cancer is a complete transurethral resection of the 
bladder tumor (TURBT). 
 Intravesical chemotherapy is generally used as 
prophylactic or adjuvant therapy after complete 
endoscopic resection 
 It is rarely used as therapy to eradicate residual 
disease that could not be completely resected.
Postoperataive adjuvant intravesical chemotherapy 
for non-muscle invasive bladder cancer[1, 2] : 
 One postoperative intravesical dose (within 24h, 
but usually immediately after resection) has 
been shown to reduce recurrence, but not 
progression, of disease 
 Mitomycin 40 mg in 20 mL sterile water or 
 Epirubicin 80 mg in 40 mL sterile water or 
 Thiotepa 30 mg in 15 mL sterile water or 
 Doxorubicin 50 mg in 20 mL sterile water
High grade or T1 disease: 
 Management of T1 tumors with TURBT is generally 
not adequate enough; use of intravesical bacillus 
Calmette-Guerin (BCG) after TURBT is 
recommended 
Intravesical adjuvant immunotherapy for non-muscle 
invasive bladder cancer[1, 3, 2] : 
 BCG 81 mg (TheraCys) or 50 mg (TICE BCG) in 50 
mL sterile saline instilled into the bladder through a 
catheter and held for 2h; it is instilled into the 
bladder weekly for 6wk 
 Maintenance therapy: 81 mg intravesically given on 
Days 1, 8, and 15 of Months 3, 6, 12, 18, 24, and 36 
after initiation
Muscle invasive bladder cancer 
The treatment of muscle-invasive bladder 
cancer is as follows: 
 Radical cystoprostatectomy in men 
 Anterior pelvic exenteration in women 
 Bilateral pelvic lymphadenectomy (PLND), 
standard or extended 
 Creation of a urinary diversion 
 Neoadjuvant chemotherapy - May improve 
cancer-specific survival
Chemotherapeutic regimens for metastatic 
bladder cancer include the following: 
 Methotrexate, vinblastine, doxorubicin 
(Adriamycin), and cisplatin (MVAC) 
 Gemcitabine and cisplatin (GC)
Cancer of bladder 
1) Incidence and prevalence. 
2) Etiology/ Risk factors. 
3) Pathology. 
4) Clinical features. 
5) Investigation and diagnosis. 
6) Staging and Management. 
7) Prognosis
Prognosis 
 The recurrence rate for superficial TCC of the 
bladder is high. As many as 80% of patients 
have at least 1 recurrence. 
 The most significant prognostic factors for 
bladder cancer are grade, depth of invasion, 
and the presence of CIS. 
 In patients undergoing radical cystectomy for 
muscle-invasive bladder cancer, the presence 
of nodal involvement is the most important 
prognostic factor.
Prognosis 
 Non–muscle invasive bladder cancer has a good 
prognosis, with 5-year survival rates of 82-100%. The 
5-year survival rate decreases with increasing stage, 
as follows: 
 Ta, T1, CIS – 82-100% 
 T2 – 63-83% 
 T3a – 67-71% 
 T3b – 17-57% 
 T4 – 0-22% 
 Prognosis for patients with metastatic urothelial 
cancer is poor, with only 5-10% of patients living 2 
years after diagnosis.
Other types of Bladder 
Cancer 
Squamous Cell Ca: 
 The second most common cell type associated with 
bladder cancer in industrialized countries. 
 However, SCC is the most common form of bladder 
cancer, accounting for 75% of cases in developing 
nations. 
 In developing nations, SCC is often associated with 
bladder infection by Schistosoma haematobium. 
 The overall 5-year survival rate was 56% for pT1 and 
68% for pT2 tumors. However, the 5-year survival 
rate for pT3 and pT4 tumors was only 19%
Other types of Bladder 
Cancer 
 Approximately 2% of bladder cancers are 
adenocarcinomas. 
 Nonurothelial primary bladder tumors are 
extremely rare and may include small cell 
carcinoma, carcinosarcoma, primary 
lymphoma, and sarcoma. 
 Small cell carcinoma of the urinary bladder 
accounts for only 0.3-0.7% of all bladder 
tumors.
Conclusion 
 Urinary tract is lined by multilayered epithelium called 
‘Urothelium’ 
 Urothelium can transform into wide variety benign and 
malignant neoplasms. 
 Most common malignancy of bladder is Urothelial carcinoma 
followed by squamous cell carcinoma. 
 It is a common malignancy due to occupation hazard for those 
working in chemical esp., Dyeing industry. 
 Genetic factors such NAT and Glutathione deficiency states and 
smokers are more prone for urothelial cancer. 
 Schistasomiasis leading cause of SCC in developing world. 
 80% cases at presentation are non muscle invasive 
 Hematuria is the most common presenting complaint
Conclusion 
 Cystoscopy, urine tumor markers,USG and CT 
abdomen are the investigations used in diagnosis 
and staging of the tumor. 
 Muscle non invasive cancers include Ta,Tis and T1 
stage tumors. 
 Such cases treated with TURBT and intravesicle 
chemotherapy depending on grade 
 Others are treated with radical surgery and follow up 
adjuvant chemotherapy. 
 Prognosis of superfiscial bladder cancer is good 
touching 80-100% 5 yr survival rate and prognosis 
worsens with increasing depth of invasion.
Neoplasm of bladder

Neoplasm of bladder

  • 1.
    Dr.P.Viswakumar,M.S Assistant professor, Dept of General Surgery, PSGIMSR NEOPLASM OF BLADDER
  • 2.
    Anatomy of Bladder  The bladder is the most anterior element of the pelvic viscera.  The empty bladder is shaped like a three-sided pyramid .  It has an apex, a base, a superior surface, and two inferolateral surfaces. Apex: The apex of the bladder is directed toward the top of the pubic symphysis. Base: The base of the bladder is shaped like an inverted triangle and faces posteroinferiorly. The inferolateral surfaces of the bladder are cradled between the levator ani muscles of the pelvic diaphragm and the adjacent obturator internus muscles above the attachment of the pelvic diaphragm.
  • 4.
    Normal Histology The mucosal surface of the renal pelvis, ureters, urinary bladder, and urethra is lined by a multilayered epithelium.  The most superficial of which consists of “umbrella cells”.  This epithelial lining has historically been called “transitional epithelium,” it is currently preferentially referred to as urothelium.  The wall of the urinary bladder is formed of four layers: (a) epithelium (urothelium), (b) lamina propria, (c) muscularis propria, and (d) adventitia or serosa.
  • 6.
    Urothelial neoplasm The urotheliumof the bladder is traditionally considered to be lined by transitional cells, can transform into a variety of benign and malignant tumors.  Therefore the list of bladder tumors is long and includes those derived from the urotheliumand mesenchyme
  • 7.
    Benign Tumors ofthe Bladder  There are numerous benign tumors of Bladder Common ones : 1) Epithelial metaplasia, 2) Leukoplakia 3) Inverted papilloma 4) Nephrogenic adenoma 5) Leiomyoma 6) Cystitis cystica 7) Cystitis glandularis.
  • 8.
    Epithelial metaplasia: Focal areas of transformed urotheliumwith normal nuclear and cellular architecture.  Located in trigone either squamous or glandular metaplasia.  As white flaky knobby appearance in case of Squamous metaplasia and raised red areas in case of Glandular ones.  Appx 40% of women and 5% of men had squamous metaplasia.  Usually related to trauma,Infection and surgery.  No treatment necessary.
  • 9.
    Leukoplakia  Similarto squamous metaplasia but addition to keratin deposition  Appears as a white flaky substance floating in the bladder.  Benign lesion, and no treatment is necessary
  • 10.
    Inverted Papilloma Associated with chronic inflammation or bladder outlet obstruction and can be located throughout the bladder but most commonly on the trigone.  Inverted papillomas behave in a benign fashion with only a 1% incidence of tumor recurrence.  FISH to differentiate it from Urothelial malignancy.  TRUP treatment of choice.
  • 11.
    Papilloma  Benignproliferative growth in the bladder that is composed of delicate stalks lined by normal-appearing urothelium.  Papillomas had previously been categorized as grade 1 Ta tumors of the bladder which latter classified as non invasive malignancy of bladder.  Papillomas may recur, but they do not progress or invade.
  • 12.
    Nephrogenic Adenoma Rare tumor caused by chronic irritation of the urothelium.  Trauma, previous surgery, renal transplantation, intravesical chemotherapy, stones, catheters, and infections predispose to it.  The lesion may be vascular, which explains the presence of gross hematuria in most cases.  The most frequent presenting symptom is gross hematuria, often in conjunction with a urinary tract infection.  Transurethral resection and elimination of the chronic irritation.
  • 13.
    Cystitis Cystica and Glandularis  Common finding in normal bladders, usually associated with inflammation or chronic obstruction.  Represent cystic nests that are lined by columnar or cuboidal cells.  Cystitis glandularis may develop into or coexist with intestinal metaplasia, which are benign tumors characterized by goblet cells that are histologically similar to colonic epithelium.  The most common presenting feature of cystitis cystica or glandularis is irritative voiding symptoms and hematuria.  Treatment is transurethral resection and relief of the obstruction or inflammatory condition.
  • 14.
    Leiomyoma  Mostcommon nonepithelial benign tumor of the bladder composed of benign smooth muscle.  Most commonly in women of childbearing age and are histologically similar to leiomyomas of the uterus.  Leiomyomas appear as smooth indentations of the bladder.  Imaging, especially with magnetic resonance imaging (MRI), can confirm the diagnosis.  Surgical resection is required if the leiomyoma is large or painful.
  • 16.
    Cancer of Bladder Topic of discussion for any malignancy 1) Incidence and prevalence. 2) Etiology/ Risk factors. 3) Pathology. 4) Clinical features. 5) Investigation and diagnosis. 6) Staging and Management. 7) Prognosis
  • 17.
    Cancer of bladder 1) Incidence and prevalence. 2) Etiology/ Risk factors. 3) Pathology. 4) Clinical features. 5) Investigation and diagnosis. 6) Staging and Management. 7) Prognosis
  • 18.
    Urothelial cancer Whyurothelial cancer is important ?  Urothelial cancer is a cancer of the environment and age.  The incidence and prevalence rates increase with age, peaking in the 8th decade of life.  There is a strong association between environmental toxins and urothelial cancer formation.  Unfortunately, the incidence rate is rising the fastest in underdeveloped countries where industrialization has led to carcinogenic exposure.  7% of all cancers.
  • 19.
     Bladder canceris the 9th most common cancer worldwide, with 357,000 cases recorded in 2002.  Bladder cancer is the 13th most common cause of death, accounting for 145,000 deaths worldwide.  The incidence rate of bladder cancer has been rising in Asia and Russia because of an increased prevalence of smoking.
  • 20.
    Cancer of bladder 1) Incidence and prevalence. 2) Etiology/ Risk factors. 3) Pathology. 4) Clinical features. 5) Investigation and diagnosis. 6) Staging and Management. 7) Prognosis
  • 21.
    Etiology/Risk factors Genetic- N-acetyl transferase (NAT) detoxifies nitrosamines, a known bladder carcinogen.  Specifically, NAT-2 regulates the rate of acetylation of compounds such as caffeine, which are related to bladder cancer formation.  The slow NAT-2 polymorphism is related to bladder cancer with an odds ratio of 1.4 compared with the fast polymorphism.  Glutathione-S-transferase (GSTM1) conjugates several reactive chemicals, including arylamines and nitrosamines.  The null GSTM1 polymorphism is associated with an increased bladder risk with a relative risk of 1.5.  The null GSTM1 and slow NAT-2 lead to high levels of 3- aminobiphenyl and higher risk of bladder cancer.
  • 22.
    External risk factors  The bladder is the main internal organ affected by occupational carcinogens after skin and Lung.  The primary culprits are the aromatic amines that bind to DNA.  Among the first chemical agents implicated in the formation of bladder cancer in dye and rubber workers were benzidine and β- naphthylamine.  Other industrial agents implicated in bladder cancer formation include polycyclic aromatic hydrocarbons (PAH), diesel exhaust, and paint substances.
  • 23.
     Smoking -Accounts for 60% and 30% of all urothelial cancers in males and females, respectively.  Nutritional factors - moderately higher in coffee and tea drinkers, but this may be compounded by smoking or other dietary factors associated with people who drink coffee or tea.  Less fluid intake.  Alcohol : No association has been proved.  Acetaminopen : Commonly used analgesic-increased risk of renal and bladder cancer.
  • 24.
     Inflammation/ Infection: 1) Schistosoma hematobium – Squamous cell ca of bladder. 2) HPV. 3) Bacterial – Chronic infection esp with E.Coli and Pseudomonas.
  • 25.
     Radiation exposure: Urothelial cancer formation after radiation is not age related, but the latency period is 15 to 30 years.  Chemotherapy – Only agent Cyclophosphamide.  Hereditary
  • 26.
    Cancer of bladder 1) Incidence and prevalence. 2) Etiology/ Risk factors. 3) Pathology. 4) Clinical features. 5) Investigation and diagnosis. 6) Staging and Management. 7) Prognosis
  • 27.
    Pathology  90%of bladder cancers are of urothelial origin, 5% are squamous cell carcinomas, and less than 2% are adenocarcinoma or other variants.  At initial presentation, 80% of urothelial tumors are non–muscle invasive.
  • 28.
    WHO grading ofNon invasive tumors  Hyperplasia (flat and papillary)  Reactive atypia  Atypia of unknown significance  Urothelial dysplasia (low-grade intraurothelial neoplasia)  Urothelial carcinoma in situ (high-grade intraurothelial neoplasia)  Urothelial papilloma  Urothelial papilloma, inverted type  Papillary urothelial neoplasm of low malignant potential  Noninvasive low-grade papillary urothelial carcinoma  Noninvasive high-grade papillary urothelial carcinoma
  • 29.
    WHO grading ofInvasive tumors  Lamina propria invasion  Muscularis propria (detrusor muscle) invasion
  • 30.
    Precusor lesions Hyperplasia (flat and papillary)  Reactive atypia  Atypia of unknown significance  Urothelial dysplasia  Urothelial carcinoma in situ  Urothelial papilloma  Urothelial papilloma, inverted type  Papillary urothelial neoplasm of low malignant potential  Noninvasive low-grade papillary urothelial carcinoma  Noninvasive high-grade papillary urothelial carcinoma
  • 31.
  • 32.
    Low grade papillarytumor High grade papillary tumor
  • 33.
    Cancer of Bladder 1) Incidence and prevalence. 2) Etiology/ Risk factors. 3) Pathology. 4) Clinical features. 5) Investigation and diagnosis. 6) Staging and Management. 7) Prognosis
  • 34.
    Clinical features Often vague  Gross or microscopic hematuria.(Most common).  Increased urinary frequency due to irritation of bladder. (20-30%)  Less commonly UTI or upper urinary tract obstruction symptoms in advanced cases.  Pelvic or bony pain, lower-extremity edema, or flank pain - In patients with advanced disease.  Palpable mass on physical examination - Rare in superficial bladder cancer.
  • 35.
    Cancer of Bladder 1) Incidence and prevalence. 2) Etiology/ Risk factors. 3) Pathology. 4) Clinical features. 5) Investigation and diagnosis. 6) Staging and Management. 7) Prognosis
  • 36.
    Investigation and Diagnosis Urine studies include the following:  Urinalysis with microscopy  Urine culture to rule out infection, if suspected  Voided urinary cytology  Urinary tumor marker testing Urinary cytology:  Standard noninvasive diagnostic method  Low sensitivity for low-grade and early stage cancers  Fluorescence in situ hybridization (FISH) may improve the accuracy of cytology
  • 37.
    Investigation and Diagnosis Cystoscopy  The primary modality for the diagnosis of bladder carcinoma  Permits biopsy and resection of papillary tumors Upper urinary tract imaging  Necessary for the hematuria workup  American Urologic Association Best Practice Policy recommends computed tomography (CT) scanning of the abdomen and pelvis with contrast, with preinfusion and postinfusion phases  Imaging is ideally performed with CT urography, using multidetector CT  Ultrasonography is commonly used, but it may miss urothelial tumors of the upper tract and small stones
  • 38.
    Urinary tumor markers  More than 30 urinary biomarkers have been reported for use in bladder cancer diagnosis.  Only few available for commercial use others still in experimental phase.  They are  urine cytology,  fluorescence in-situ hybridization (FISH),  nuclear matrix protein (NMP-22),  BTA STAT, (Bladder tumor Antigen)  BTA TRAK,  ImmunoCyt/uCyt+,  CertNDx, and  CxBladder.( Uses 5 mRNA markers)
  • 39.
  • 40.
    Interpretation of Results The diagnostic strategy for patients with negative cystoscopy is as follows:  Negative urine cytology and FISH - Routine follow-up  Negative urine cytology, positive FISH - Increased frequency of surveillance  Positive urine cytology, positive or negative FISH - Cancer until proven otherwise
  • 41.
    Cancer of bladder 1) Incidence and prevalence. 2) Etiology/ Risk factors. 3) Pathology. 4) Clinical features. 5) Investigation and diagnosis. 6) Staging and Management. 7) Prognosis
  • 42.
    TNM Staging Primary Tumor (T)  TX Primary tumor cannot be assessed  T0 No evidence of primary tumor  Ta Noninvasive papillary carcinoma  Tis Carcinoma in situ: “flat tumor”  T1 Tumor invades subepithelial connective tissue  T2 Tumor invades muscularis propria  pT2a Tumor invades superficial muscularis propria  (inner half)  pT2b Tumor invades deep muscularis propria (outer half)  T3 Tumor invades perivesical tissue  pT3a Microscopically  pT3b Macroscopically (extravesical mass)  T4 Tumor invades any of the following: prostatic  stroma, seminal vesicles, uterus, vagina, pelvic wall,  abdominal wall  T4a Tumor invades prostatic stroma, uterus, vagina  T4b Tumor invades pelvic wall, abdominal wall
  • 43.
    Regional Lymph Nodes(N)  Regional lymph nodes include both primary and secondary drainage regions. All other nodes above the aortic bifurcation are considered distant lymph nodes.  NX Lymph nodes cannot be assessed  No lymph node metastasis  N1 Single regional lymph node metastasis in the true pelvis (hypogastric, obturator, external iliac, or presacral lymph node)  N2 Multiple regional lymph node metastasis in the true pelvis (hypogastric, obturator, external iliac, or presacral lymph node metastasis)  N3 Lymph node metastasis to the common iliac lymph nodes Distant Metastasis (M)  M0 No distant metastasis  M1 Distant metastasis
  • 45.
    Treatment Protocol Treatment protocols for bladder cancer includes those of 1) Surgery 2)Chemotherapy, 3)Immunotherapy, 4)Systemic neoadjuvant 5)Adjuvant therapy.
  • 46.
    Non-muscle invasive bladder cancer (Ta, Tis, T1)  Non-muscle invasive bladder cancers are divided into 3 groups: Ta, Tis, and T1  Ta are noninvasive papillary lesions confined to the urotheliumand have not penetrated the basement membrane.  Standard treatment for non-muscle invasive bladder cancer is a complete transurethral resection of the bladder tumor (TURBT).  Intravesical chemotherapy is generally used as prophylactic or adjuvant therapy after complete endoscopic resection  It is rarely used as therapy to eradicate residual disease that could not be completely resected.
  • 47.
    Postoperataive adjuvant intravesicalchemotherapy for non-muscle invasive bladder cancer[1, 2] :  One postoperative intravesical dose (within 24h, but usually immediately after resection) has been shown to reduce recurrence, but not progression, of disease  Mitomycin 40 mg in 20 mL sterile water or  Epirubicin 80 mg in 40 mL sterile water or  Thiotepa 30 mg in 15 mL sterile water or  Doxorubicin 50 mg in 20 mL sterile water
  • 48.
    High grade orT1 disease:  Management of T1 tumors with TURBT is generally not adequate enough; use of intravesical bacillus Calmette-Guerin (BCG) after TURBT is recommended Intravesical adjuvant immunotherapy for non-muscle invasive bladder cancer[1, 3, 2] :  BCG 81 mg (TheraCys) or 50 mg (TICE BCG) in 50 mL sterile saline instilled into the bladder through a catheter and held for 2h; it is instilled into the bladder weekly for 6wk  Maintenance therapy: 81 mg intravesically given on Days 1, 8, and 15 of Months 3, 6, 12, 18, 24, and 36 after initiation
  • 49.
    Muscle invasive bladdercancer The treatment of muscle-invasive bladder cancer is as follows:  Radical cystoprostatectomy in men  Anterior pelvic exenteration in women  Bilateral pelvic lymphadenectomy (PLND), standard or extended  Creation of a urinary diversion  Neoadjuvant chemotherapy - May improve cancer-specific survival
  • 50.
    Chemotherapeutic regimens formetastatic bladder cancer include the following:  Methotrexate, vinblastine, doxorubicin (Adriamycin), and cisplatin (MVAC)  Gemcitabine and cisplatin (GC)
  • 51.
    Cancer of bladder 1) Incidence and prevalence. 2) Etiology/ Risk factors. 3) Pathology. 4) Clinical features. 5) Investigation and diagnosis. 6) Staging and Management. 7) Prognosis
  • 52.
    Prognosis  Therecurrence rate for superficial TCC of the bladder is high. As many as 80% of patients have at least 1 recurrence.  The most significant prognostic factors for bladder cancer are grade, depth of invasion, and the presence of CIS.  In patients undergoing radical cystectomy for muscle-invasive bladder cancer, the presence of nodal involvement is the most important prognostic factor.
  • 53.
    Prognosis  Non–muscleinvasive bladder cancer has a good prognosis, with 5-year survival rates of 82-100%. The 5-year survival rate decreases with increasing stage, as follows:  Ta, T1, CIS – 82-100%  T2 – 63-83%  T3a – 67-71%  T3b – 17-57%  T4 – 0-22%  Prognosis for patients with metastatic urothelial cancer is poor, with only 5-10% of patients living 2 years after diagnosis.
  • 54.
    Other types ofBladder Cancer Squamous Cell Ca:  The second most common cell type associated with bladder cancer in industrialized countries.  However, SCC is the most common form of bladder cancer, accounting for 75% of cases in developing nations.  In developing nations, SCC is often associated with bladder infection by Schistosoma haematobium.  The overall 5-year survival rate was 56% for pT1 and 68% for pT2 tumors. However, the 5-year survival rate for pT3 and pT4 tumors was only 19%
  • 55.
    Other types ofBladder Cancer  Approximately 2% of bladder cancers are adenocarcinomas.  Nonurothelial primary bladder tumors are extremely rare and may include small cell carcinoma, carcinosarcoma, primary lymphoma, and sarcoma.  Small cell carcinoma of the urinary bladder accounts for only 0.3-0.7% of all bladder tumors.
  • 56.
    Conclusion  Urinarytract is lined by multilayered epithelium called ‘Urothelium’  Urothelium can transform into wide variety benign and malignant neoplasms.  Most common malignancy of bladder is Urothelial carcinoma followed by squamous cell carcinoma.  It is a common malignancy due to occupation hazard for those working in chemical esp., Dyeing industry.  Genetic factors such NAT and Glutathione deficiency states and smokers are more prone for urothelial cancer.  Schistasomiasis leading cause of SCC in developing world.  80% cases at presentation are non muscle invasive  Hematuria is the most common presenting complaint
  • 57.
    Conclusion  Cystoscopy,urine tumor markers,USG and CT abdomen are the investigations used in diagnosis and staging of the tumor.  Muscle non invasive cancers include Ta,Tis and T1 stage tumors.  Such cases treated with TURBT and intravesicle chemotherapy depending on grade  Others are treated with radical surgery and follow up adjuvant chemotherapy.  Prognosis of superfiscial bladder cancer is good touching 80-100% 5 yr survival rate and prognosis worsens with increasing depth of invasion.