z
IMAGING OF
URINARY
BLADDER
-Dr. Niranjan Patil
Prof. Department of Radio-diagnosis
DY Patil Medical College and Hospital
Kolhapur
z
z
THE NORMAL BLADDER
z
z
Various imaging modalities available for imaging of urinary bladder
z
Ultrasonography
z
z
z
SPECIFIC DISEASE OF URINARY
BLADDER
 Congenital anomalies
 Bladder wall thickening
 Bladder outlet obstruction
 Urinary bladder cancer
 Bladder fistula
 Urinary bladder trauma
z
z
CONGENITAL
ANOMALIES
z
DISEASE CLINICAL HISTORY IMAGING MODALITY COMPLICATIONS
BLADDER AGENESIS Extremely rare congenital
anomaly
continuous dribbling and
incontinence of urine,
Ectopic ureteric openings Urinary tract infections
BLADDER DUPLICATION Complete duplication of the
bladder and urethra is a
rare anomly
Sagittal bladder duplication:
Coronal bladder duplication:
BLADDER
DIVERTICULAE
Two peaks – one at 10 yrs
and other at 60-70 yrs.
Acquired bladder diverticula due
to bladder outlet obstruction from
an enlarged prostate, urethral
stricture or neurologic disease.
Are often an incidental
findings on imaging
investigations including USG,
CT, MRI and IVU.
1.Intradiverticular
transitional cell
carcinoma 1-10%
2.Bladder stones
3.Bladder rupture
z
BLADDER AGENESIS
z
• Each bladder receives the ureter of the ipsilateral kidney and is drained
by its own urethra.
 Sagittal bladder duplication:
•The most common form
•Two bladders lie side by side and
•are separated by a fold of peritoneum
and loose areolar tissue.
 Coronal bladder
duplication:
•is much more unusual.
•Two bladders lying one in front of
•the other and separated by a
fibromuscular septum
z
z
Bladder Diverticulum
z
URACHAL ANOMALIES
z
Patent Urachus Failure of the entire
course of the urachus to
close.
An open channel
between the bladder and
the umbilicus
Neonate with urine
leaking from the urinary
bladder.
This anomaly is
demonstrated by o
Retrograde injection of
contrast material into the
orifice of the channel at
the umbilical end
o VCUG in the lateral
projection.
Urachal Cyst forms when both the
umbilical and vesical ends
of the urachal lumen close
while an intervening
portion remains patent and
fluid filled.
Collection of simple fluid
Midline deep to the
anterior abdominal wall
Between the umbilicus
and the pubis
Often contiguous with
the bladder dome.
z
Umbilical - Urachal Sinus is a noncommunicating
dilatation of the urachus at the
umbilical end.
Vesico - Urachal Diverticulum a result of the failure of the urachus
to close at the urinary bladder,
forming an out-pouching of variable
length from the anterosuperior
aspect of the urinary bladder,
which does not communicate with
the umbilicus
z
Urachal Infection
z
Urachal Malignant Tumor
z
CLOACAL
EXSTROPHY
Exstrophy of the cloaca is seen in both
boys and girls
Consists of:
 Exstrophy of the bladder
 Omphalocoele
 Lower abdominal wall defect
Serological markers
 Raised maternal alpha fetoprotein
levels
z
z
BLADDER WALL
THICKENING
z
DIESEASE ORGANISM ROUTE OF
INFECTION
PREDISPOSING
FACTORS
ROLE OF IMAGING
Bacterial Cystitis E. coli is the most
commonly
encountered
organism,
Other common
agents include
species of
Staphylococcus,
Streptococcus,
Proteus,
Pseudomonas,
Aerobacter.
Ascending route
from urethra
Bladder mucosa has
been damaged by
trauma, stone, or
tumor
Bladder outlet
obstruction prevents
bacteria from being
completely
washed out;
Bladder
catheterization or
instrumentation
introduces.
Recurrence of
acute cystitis and
cases that are
resistant to antibiotic
therapy suggest an
underlying cause.
In such cases,
imaging of the entire
urinary tract and
cystoscopic
evaluation of the
bladder are indicated
to exclude causes
such as urinary stone
disease, bladder
diverticulum,
colovesical fistula,
and perivesical
abscess.
z
DIESEASE ORGANISM ROUTE OF INFECTION ROLE OF IMAGING
Acute inflammation of
bladder mucosa and
underlying muscle with gas
forming organism.
The most common
causative organism is E.
coli
other organisms
including Enterobacter
aerogenes, Klebsiella
pneumonia, Proteus
mirabilis, Staphylococcus
aureus, streptococci,
Clostridium perfringens and
Candida albicans.
Diabetes mellitus:
commonest predisposing
factor
Immunocompromised
state
Neurogenic bladder
Transplant recipients
intramural air: curvilinear or
mottled areas of air,
separate from more
posterior rectal gas.
Intraluminal gas: Air-fluid
level that changes with
patient position, and, when
adjacent to the
nondependent mucosal
surface, may have a
cobblestone or “beaded
necklace” appearance
z
DIESEASE ORGANISM ROUTE OF
INFECTION
PREDISPOSING
FACTORS
ROLE OF IMAGING
Tuberculosis of the
bladder is an
uncommon bladder
disease in Western
countries.
Mycobacterium
tuberculosis
or less often from
Bacillus Calmette-
Guerin (BCG)
treatment for
urothelial carcinoma
Tuberculosis of the
urinary tract almost
always begins in the
upper tracts, with the
bladder being
secondarily involved.
Immunocompromised
patients with acquired
immunodeficiency
syndrome or
recipients of organ
transplants are also at
higher risk
Irregular mucosal
masses due to
coalescing tubercles
with ulceration and
edema, diffuse wall
thickening, and
trabeculation
Irregular mural
thickening
Ureteral strictures
and thickening with
obstruction,
Fixed and patulous
vesicoureteric
junction =>
Vesicoureteric reflux.
In the chronic
phase: thick-walled
contracted bladder
z
DIESEASE ROLE OF IMAGING
Crohn Disease
Bladder involvement in Crohn disease
consists of fistulas from inflamed small and large
bowel.
Crohn disease is the most frequent cause of
ileo-vesical fistula and ileocolo-vesical fistula
The bladder is secondarily involved by the
adjacent bowel inflammatory lesions.
Transmural inflammation and deep fissures
cause fistulas between diseased bowel and
other viscera such as the bladder.
Air within the bladder
Focal irregularity of the wall
Tethering of thickened adjacent bowel
The presence of orally administered contrast material in the
bladder is
diagnostic of a fistula between the bowel and bladder.
Fibrofatty proliferation, infiltration of fat, phlegmon, and
lymphadenopathy
z
DIESEASE ROLE OF IMAGING
Diverticulitis
Colovesical fistulas and cystitis are not uncommon
complications of diverticulitis
Radiation and Chemotherapy Cystitis
Severe hemorrhagic cystitis may develop after
chemotherapy or irradiation of the bladder
Bladder wall thickening with gas in the bladder lumen
Adjacent inflamed colon with diverticula
Pericolonic fat stranding
Diffuse irregular thickening
Hypervascularity in the wall and bleeding vessels
intraluminal clot
z
BLADDER
OUTLET
OBSTRUCTION
(BOO)
z
z
BLADDER CALCULUS
z
Depending on the level of the injury in the nervous system, patients
typically present with increased frequency, nocturia, urinary
incontinence/urgency, urinary tract infection and urinary retention.
The bladder may be hyperreflexic, hyporeflexic or areflexic with
impaired to no sensation .
NEUROGENIC BLADDER
z
Lapides classification for neurogenic bladder includes the following:
 Sensory (afferent) neurogenic bladder: posterior columns of the spinal cord or
afferent tracts leading from the bladder
 Motor (efferent) paralytic bladder: damage to motor neurons of the bladder
 Uninhibited neurogenic bladder: incomplete spinal cord lesions above S2 level
or cerebral cortex or cerebropontine axis lesions
 Reflex neurogenic bladder: complete spinal cord lesions above S2 level - may
lead to pine cone (Christmas tree) bladder
 Autonomous neurogenic bladder: conus medullaris or cauda equina lesions
z
z
z
URINARY BLADDER
CANCER
z
 Sex: M>F by 3-4 times
 Age: 50-70y
 Multicentric bladder tumors occur in up to 30%–40% of cases
Pathologic Features:
 is one of the most common malignancies of the urinary tract,
 4th most common cancer in males
 10th most common cancer in females.
Benign Neoplasms:
Papilloma
PUNLMP = Papillary urothelial neoplasm of low malignant potential
Malignant Neoplasms:
90%: Urothelial carcinoma (ie, transitional cell carcinomas).
6-8%: Squamous cell carcinomas
<2%: Adenocarcinomas are rare and typically represent urachal cancer. <5%:
Mesenchymal tumors
z
Role of MRI In Evaluation of Bladder
Cancer
 allow more accurate staging of bladder carcinomas than CT because of its high
soft-tissue contrast resolution, which allows clear differentiation between bladder
wall layers
 allows differentiation between muscle-invasive and non-muscle-invasive disease.
Role of T1:
 The tumor typically has a low-to-intermediate signal intensity that is similar to
that of the bladder wall, higher than the dark urine and lower than the bright
perivesical fat.
 Evaluate perivesical fat planes for extravesical tumor infiltration.
 Pelvic lymphadenopathy.
 Bone metastases.
Role of T2:
 The tumor has intermediate signal that is mildly brighter than the dark bladder
wall muscle and lower than the high-signal urine.
 Evaluate the detrusor muscle for tumor depth (T2)
 Extravesical disease spread (T3)
 Invasion of the surrounding organs (T4)
z
Role of Dynamic Contrast Enhancement:
 In the early phase (20 sec) Tumor demonstrates earlier, and more avid
enhancement than normal bladder wall and postbiopsy changes.
 Determine the depth of tumor penetration into the bladder wall.
 Differentiate perivesical tumor invasion from post-biopsy change.
 Define invasion into adjacent organs
z
 Stage Ta or T1: An intact, low T2 signal intensity muscle layer at
the base of the tumor is indicative of nonmuscle invasive bladder
tumor.
 Stage T2: Muscle invasive tumor is suggested when the normal
low T2 signal of bladder wall muscle is interrupted by intermediate
T2 tumor signal.
 Stage T3a (microscopic perivesical invasion) diagnosis is
difficult.
 Stage T3b: A bladder wall lesion with an irregular, shaggy outer
border and streaky areas of the same signal intensity as the tumor
in perivesical fat.
Stage Ta or T1
Stage T2
Stage T3b
Stage T4
z
z
BLADDER FISTULA
z
COMMON CAUSES OF BLADDER FISTULAE
Enterovesical
 Crohn disease
Colovesical
 Diverticulitis
 Colon carcinoma
Vesicovaginal
 Cervical cancer treated with radiation  Post-hysterectomy
z
z
URINARY
BLADDER TRAUMA
z
5 TYPES OF BLADDER INJURY:
Type 1: Contusion
Type 2: Intraperitoneal Rupture
Type 3: Interstitial Injury
Type 4: Extraperitoneal Rupture
Type 5: Combined Rupture
z
z
z
z
TAKE HOME MESSAGE
 Congenital anomalies – MR imaging
 Bladder wall thickening – USG
 Bladder outlet obstruction – plain radiographs and
USG
 Urinary bladder cancer – MR imaging
 Bladder fistula – CT
 Urinary bladder trauma –CT
z
z
THANK YOU

Urinary Bladder imaging

  • 1.
    z IMAGING OF URINARY BLADDER -Dr. NiranjanPatil Prof. Department of Radio-diagnosis DY Patil Medical College and Hospital Kolhapur
  • 2.
  • 3.
  • 4.
    z Various imaging modalitiesavailable for imaging of urinary bladder
  • 5.
  • 6.
  • 7.
    z z SPECIFIC DISEASE OFURINARY BLADDER  Congenital anomalies  Bladder wall thickening  Bladder outlet obstruction  Urinary bladder cancer  Bladder fistula  Urinary bladder trauma
  • 8.
  • 9.
    z DISEASE CLINICAL HISTORYIMAGING MODALITY COMPLICATIONS BLADDER AGENESIS Extremely rare congenital anomaly continuous dribbling and incontinence of urine, Ectopic ureteric openings Urinary tract infections BLADDER DUPLICATION Complete duplication of the bladder and urethra is a rare anomly Sagittal bladder duplication: Coronal bladder duplication: BLADDER DIVERTICULAE Two peaks – one at 10 yrs and other at 60-70 yrs. Acquired bladder diverticula due to bladder outlet obstruction from an enlarged prostate, urethral stricture or neurologic disease. Are often an incidental findings on imaging investigations including USG, CT, MRI and IVU. 1.Intradiverticular transitional cell carcinoma 1-10% 2.Bladder stones 3.Bladder rupture
  • 10.
  • 11.
    z • Each bladderreceives the ureter of the ipsilateral kidney and is drained by its own urethra.  Sagittal bladder duplication: •The most common form •Two bladders lie side by side and •are separated by a fold of peritoneum and loose areolar tissue.  Coronal bladder duplication: •is much more unusual. •Two bladders lying one in front of •the other and separated by a fibromuscular septum
  • 12.
  • 13.
  • 14.
    z Patent Urachus Failureof the entire course of the urachus to close. An open channel between the bladder and the umbilicus Neonate with urine leaking from the urinary bladder. This anomaly is demonstrated by o Retrograde injection of contrast material into the orifice of the channel at the umbilical end o VCUG in the lateral projection. Urachal Cyst forms when both the umbilical and vesical ends of the urachal lumen close while an intervening portion remains patent and fluid filled. Collection of simple fluid Midline deep to the anterior abdominal wall Between the umbilicus and the pubis Often contiguous with the bladder dome.
  • 15.
    z Umbilical - UrachalSinus is a noncommunicating dilatation of the urachus at the umbilical end. Vesico - Urachal Diverticulum a result of the failure of the urachus to close at the urinary bladder, forming an out-pouching of variable length from the anterosuperior aspect of the urinary bladder, which does not communicate with the umbilicus
  • 16.
  • 17.
  • 18.
    z CLOACAL EXSTROPHY Exstrophy of thecloaca is seen in both boys and girls Consists of:  Exstrophy of the bladder  Omphalocoele  Lower abdominal wall defect Serological markers  Raised maternal alpha fetoprotein levels
  • 19.
  • 20.
    z DIESEASE ORGANISM ROUTEOF INFECTION PREDISPOSING FACTORS ROLE OF IMAGING Bacterial Cystitis E. coli is the most commonly encountered organism, Other common agents include species of Staphylococcus, Streptococcus, Proteus, Pseudomonas, Aerobacter. Ascending route from urethra Bladder mucosa has been damaged by trauma, stone, or tumor Bladder outlet obstruction prevents bacteria from being completely washed out; Bladder catheterization or instrumentation introduces. Recurrence of acute cystitis and cases that are resistant to antibiotic therapy suggest an underlying cause. In such cases, imaging of the entire urinary tract and cystoscopic evaluation of the bladder are indicated to exclude causes such as urinary stone disease, bladder diverticulum, colovesical fistula, and perivesical abscess.
  • 21.
    z DIESEASE ORGANISM ROUTEOF INFECTION ROLE OF IMAGING Acute inflammation of bladder mucosa and underlying muscle with gas forming organism. The most common causative organism is E. coli other organisms including Enterobacter aerogenes, Klebsiella pneumonia, Proteus mirabilis, Staphylococcus aureus, streptococci, Clostridium perfringens and Candida albicans. Diabetes mellitus: commonest predisposing factor Immunocompromised state Neurogenic bladder Transplant recipients intramural air: curvilinear or mottled areas of air, separate from more posterior rectal gas. Intraluminal gas: Air-fluid level that changes with patient position, and, when adjacent to the nondependent mucosal surface, may have a cobblestone or “beaded necklace” appearance
  • 22.
    z DIESEASE ORGANISM ROUTEOF INFECTION PREDISPOSING FACTORS ROLE OF IMAGING Tuberculosis of the bladder is an uncommon bladder disease in Western countries. Mycobacterium tuberculosis or less often from Bacillus Calmette- Guerin (BCG) treatment for urothelial carcinoma Tuberculosis of the urinary tract almost always begins in the upper tracts, with the bladder being secondarily involved. Immunocompromised patients with acquired immunodeficiency syndrome or recipients of organ transplants are also at higher risk Irregular mucosal masses due to coalescing tubercles with ulceration and edema, diffuse wall thickening, and trabeculation Irregular mural thickening Ureteral strictures and thickening with obstruction, Fixed and patulous vesicoureteric junction => Vesicoureteric reflux. In the chronic phase: thick-walled contracted bladder
  • 23.
    z DIESEASE ROLE OFIMAGING Crohn Disease Bladder involvement in Crohn disease consists of fistulas from inflamed small and large bowel. Crohn disease is the most frequent cause of ileo-vesical fistula and ileocolo-vesical fistula The bladder is secondarily involved by the adjacent bowel inflammatory lesions. Transmural inflammation and deep fissures cause fistulas between diseased bowel and other viscera such as the bladder. Air within the bladder Focal irregularity of the wall Tethering of thickened adjacent bowel The presence of orally administered contrast material in the bladder is diagnostic of a fistula between the bowel and bladder. Fibrofatty proliferation, infiltration of fat, phlegmon, and lymphadenopathy
  • 24.
    z DIESEASE ROLE OFIMAGING Diverticulitis Colovesical fistulas and cystitis are not uncommon complications of diverticulitis Radiation and Chemotherapy Cystitis Severe hemorrhagic cystitis may develop after chemotherapy or irradiation of the bladder Bladder wall thickening with gas in the bladder lumen Adjacent inflamed colon with diverticula Pericolonic fat stranding Diffuse irregular thickening Hypervascularity in the wall and bleeding vessels intraluminal clot
  • 25.
  • 26.
  • 27.
    z Depending on thelevel of the injury in the nervous system, patients typically present with increased frequency, nocturia, urinary incontinence/urgency, urinary tract infection and urinary retention. The bladder may be hyperreflexic, hyporeflexic or areflexic with impaired to no sensation . NEUROGENIC BLADDER
  • 28.
    z Lapides classification forneurogenic bladder includes the following:  Sensory (afferent) neurogenic bladder: posterior columns of the spinal cord or afferent tracts leading from the bladder  Motor (efferent) paralytic bladder: damage to motor neurons of the bladder  Uninhibited neurogenic bladder: incomplete spinal cord lesions above S2 level or cerebral cortex or cerebropontine axis lesions  Reflex neurogenic bladder: complete spinal cord lesions above S2 level - may lead to pine cone (Christmas tree) bladder  Autonomous neurogenic bladder: conus medullaris or cauda equina lesions
  • 29.
  • 30.
  • 31.
    z  Sex: M>Fby 3-4 times  Age: 50-70y  Multicentric bladder tumors occur in up to 30%–40% of cases Pathologic Features:  is one of the most common malignancies of the urinary tract,  4th most common cancer in males  10th most common cancer in females. Benign Neoplasms: Papilloma PUNLMP = Papillary urothelial neoplasm of low malignant potential Malignant Neoplasms: 90%: Urothelial carcinoma (ie, transitional cell carcinomas). 6-8%: Squamous cell carcinomas <2%: Adenocarcinomas are rare and typically represent urachal cancer. <5%: Mesenchymal tumors
  • 32.
    z Role of MRIIn Evaluation of Bladder Cancer  allow more accurate staging of bladder carcinomas than CT because of its high soft-tissue contrast resolution, which allows clear differentiation between bladder wall layers  allows differentiation between muscle-invasive and non-muscle-invasive disease. Role of T1:  The tumor typically has a low-to-intermediate signal intensity that is similar to that of the bladder wall, higher than the dark urine and lower than the bright perivesical fat.  Evaluate perivesical fat planes for extravesical tumor infiltration.  Pelvic lymphadenopathy.  Bone metastases. Role of T2:  The tumor has intermediate signal that is mildly brighter than the dark bladder wall muscle and lower than the high-signal urine.  Evaluate the detrusor muscle for tumor depth (T2)  Extravesical disease spread (T3)  Invasion of the surrounding organs (T4)
  • 33.
    z Role of DynamicContrast Enhancement:  In the early phase (20 sec) Tumor demonstrates earlier, and more avid enhancement than normal bladder wall and postbiopsy changes.  Determine the depth of tumor penetration into the bladder wall.  Differentiate perivesical tumor invasion from post-biopsy change.  Define invasion into adjacent organs
  • 34.
    z  Stage Taor T1: An intact, low T2 signal intensity muscle layer at the base of the tumor is indicative of nonmuscle invasive bladder tumor.  Stage T2: Muscle invasive tumor is suggested when the normal low T2 signal of bladder wall muscle is interrupted by intermediate T2 tumor signal.  Stage T3a (microscopic perivesical invasion) diagnosis is difficult.  Stage T3b: A bladder wall lesion with an irregular, shaggy outer border and streaky areas of the same signal intensity as the tumor in perivesical fat.
  • 35.
  • 36.
  • 37.
  • 38.
  • 40.
  • 41.
    z COMMON CAUSES OFBLADDER FISTULAE Enterovesical  Crohn disease Colovesical  Diverticulitis  Colon carcinoma Vesicovaginal  Cervical cancer treated with radiation  Post-hysterectomy
  • 43.
  • 44.
    z 5 TYPES OFBLADDER INJURY: Type 1: Contusion Type 2: Intraperitoneal Rupture Type 3: Interstitial Injury Type 4: Extraperitoneal Rupture Type 5: Combined Rupture
  • 45.
  • 46.
  • 47.
    z z TAKE HOME MESSAGE Congenital anomalies – MR imaging  Bladder wall thickening – USG  Bladder outlet obstruction – plain radiographs and USG  Urinary bladder cancer – MR imaging  Bladder fistula – CT  Urinary bladder trauma –CT
  • 48.

Editor's Notes

  • #3 The normal urinary bladder serves as a reservoir for urine. It consists of a muscular sac, lined by mucosa (which includes urothelial cells), submucosa/lamina propria, a muscular layer (the muscularis propria, which is made up of superficial and deep muscles), and a serosal/adventitial layer. The parts of urinary bladder The bladder is bordered by the extraperitoneal spaces along its anterior and lateral aspects and by the peritoneal space at the dome.
  • #4 Neuroanatomy of voiding. A: Upper tract neuroanatomy. Centers in the cortex inhibit micturition and also provide conscious control of the external sphincter. The pontine micturition center integrates these central control functions. Pathways for control of the bladder and external sphincter travel through the spinal cord from the pontine micturition center to the sacral micturition center. B: Lower tract neuroanatomy. A pelvic nerve connects the parasympathetic nucleus in the sacral micturition center to the bladder detrusor. The pudendal nerve connects the pudendal nucleus in the sacral micturition center to the external sphincter.
  • #5 Plain film Cystography Retrograde urethrography (RGU) Voiding cystourethrography (VCUG)
  • #6 Bladder wall anatomy Thicekning of the wall and focal abnormalities Presence of trabeculation Diverticulae 2 capacity of the bladder and post micturition residual volume Distal ureteric anatomy Intravesical filling defects and extraluminal masses causing bladder compression
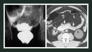
  • #11 CLINICAL HISTORY A 5-year-old Indian girl of lower socio-economic strata presented with continuous dribbling of urine and incontinence since birth. On separating the labia majora, a single opening with continuous urine leak was seen. Cystoscopy through the solitary opening revealed a blind-ending tubular structure and it proved impossible to pass the scope further. IMAGING FINDINGS Initial ultrasound assessment showed a hydronephrotic right kidney that was small for the patient's age and an atrophic left kidney. The ureters were dilated and tortuous bilaterally. The urinary bladder was not identified with only dilated distal ureters being visible in the pelvis. CT pyelography and MR urogram confirmed the ultrasound findings. In addition, ectopic insertion of the right ureter into the vaginal vestibule and of the left ureter into the vagina was demonstrated. The urinary bladder was not seen. On diuretic renogram, both kidneys showed suboptimal tracer uptake with a nearly flat renogram curve and lack of definite excretory phase. The split renal function was 24% on left and 76% on right side. In order to preserve renal function, urinary diversion was planned. Intra-operatively the patient was found to have no bladder with dilated and tortuous ureters bilaterally draining into vagina/introitus. DISCUSSION Our patient presents with bilateral hydroureteronephrosis and ectopic ureters draining into the vagina; the variations allow preservation of her renal function. In children presenting with continuous dribbling and incontinence of urine, although it is an extremely rare condition, urinary bladder agenesis has to be ruled out using imaging techniques. The ectopic ureters can be diagnosed by excretory urography. Additional imaging modalities like MR urography may be used, which will provide exquisite anatomic details and is helpful in characterizing the genitourinary anomaly. The management of bladder agenesis is relief of obstruction, so renal function can be preserved by ureterosigmoidostomy or external stoma. As an initial 1st stage the patient underwent diversion by creating an ileal conduit with stoma. Definitive continent urinary diversion is planned for the patient once she reaches 15-16 years of age as second stage of the procedure. DIFFERENTIAL DIAGNOSIS LIST Urinary bladder and urethral agenesis with bilateral ectopic ureters. Hypoplasia of the urinary bladder Bladder exstrophy FINAL DIAGNOSIS Urinary bladder and urethral agenesis with bilateral ectopic ureters.
  • #13 Are often an incidental findings on imaging investigations including USG, CT, MRI and IVU. Hutch diverticulum · A diverticulum that occurs at the ureterovesicular junction is usually called periureteric diverticulum and is often associated with VUR. Differential Diagnosis: Bladder ears: ·  Protrusion of the urinary bladder anteriorly through inguinal ring ·  More often seen in children than adults ·  Seen most often when bladder is maximally distended Will empty when bladder is emptied (diverticula tend to fill when bladder is emptied) ·  Transient and usually disappear with age. Bladder diverticulum are bulging pouches from the bladder wall. They can be both congenital or acquired.  Acquired bladder diverticula are often due to bladder outlet obstruction from an enlarged prostate, urethral stricture or neurologic disease.  They are common in older men and frequently are associated with benign prostatic hyperplasia (BPH)
  • #14 The development of bladder is initiated by division of the cloaca into the urogenital sinus and rectum by the urorectal septum at 5 weeks of gestation. Bladder agenesis can be the result of secondary atrophy of the urogenital sinus, probably due to a lack of distention with urine caused by failure of incorporation of the mesonephric ducts and ureters into the trigone. In female patients with absence of bladder and trigone and with normally-developed muellerian duct structures, the ureteral orifices will end in the uterus, anterior vaginal wall, or vestibule, or the ureters may remain separate or form a common channel . Hence in female patients, drainage of urine results and enables some preservation of renal function. In male patients, the only means to achieve adequate urinary drainage would be by the ureters opening into the rectum, or via a patent urachus  The urachus develops from the superior portion of the urogenital sinus and connects the dome of the bladder to the allantoic duct during fetal life.  The urachus is located behind the abdominal wall and anterior to the peritoneum in the space of Retzius.  Before birth, the urachus is obliterated and becomes a vestigial structure known as the medial umbilical ligament.
  • #17 • Clinical features: Pain, fever, urinary symptoms Infected urachal sinus Infected urachal diverticulum Imaging findings:   Midline cystic mass with internal echoes and thickened wall   Inflammatory thickening of urachal cyst/diverticulum   Peripheral inflammatory stranding
  • #18  Clinical features: Supra pubic mass, hematuria, dysuria Incidence: 0.01% of all adult malignancies 0.17 to 0.34% of bladder carcinoma  Adeno-carcinoma is most common urachal carcinoma. Imaging findings:   Complex solid/cystic mass   Asymmetric midline thickening/mass of bladder dome   60% Focal regions of low attenuation-mucin content   50-70% Punctate, stippled, curvilinear or peripheral calcification   95% Muscle invasion or metastasis at the time of presentation
  • #19 Associations General   Extension of the bladder defect into the urethra   cryptorchidism   bilateral inguinal herniation   OEIS complex   Epispadia   Vertebral anomalies   Limb anomalies   Myelomeningocoele In females   vaginal duplication   clitoral cleft Imaging findings:   Absence of a normal urinary bladder   Low-lying umbilical cord insertion   soft-tissue mass extending from a large infra-umbilical anterior wall defect   Failure of the pubic bones to meet in the midline (widened pubic symphysis).
  • #27 Bladder calculi, commonly referred to as bladder stones, are urinary stones that are found primarily in the urinary bladder and comprise only 5% of all urinary tract stones. They can be divided into primary, secondary, and migratory stones: primary: bladder stones form in the absence of other urinary tract abnormality, typically seen in children in endemic areas secondary: stones form in an abnormal bladder or from concretions on foreign material (e.g. urinary catheters) migratory: usually renal calculi which have migrated down into the bladder; uncommon Plain radiograph Usually densely radiopaque, calculi may be single or multiple and are often large. Frequently lamination is observed internally, like the skin of an onion. Ultrasound Sonographically they are mobile, echogenic, and shadow posteriorly. They may be associated with bladder wall thickening due to inflammation.
  • #28  Neurogenic bladder is a term applied to a dysfunctional urinary bladder that results from any lack of coordination between the central nervous system and the somatic nervous system, 5 including injuries to the central or peripheral nerves that control and regulate urination. Injury to the brain, brainstem, spinal cord or peripheral nerves from various causes such as infection, trauma, malignancy or vascular insult can also lead to dysfunctional bladder 3 Clinical presentation Depending on the level of the injury in the nervous system, patients typically present with increased frequency, nocturia, urinary incontinence/urgency, urinary tract infection and urinary retention. The bladder may be hyperreflexic, hyporeflexic or areflexic with impaired to no sensation 
  • #30 Neurogenic bladder typically occurs in those with sacral abnormalities at birth.  The appearances have been described as a Christmas tree of pine cone bladder. The shape of the bladder is highly abnormality with an elongated appearance, with the dome-like top of a Christmas tree. The associated bladder wall hypertrophy gives an outline, which mimics the decorations that adorn a Christmas tree
  • #32 Risk Factors For Urothelial Carcinoma   Occupational exposure to chemical carcinogens such as aniline dyes   Cigarette smoking is thought to be the causative factor in 50%–60% of men and 30% of women who develop bladder cancer   Iatrogenic risk factors are therapeutic irradiation of neighboring organs and the use of alkylating agents.   Bladder diverticula have an increased risk (2%–10%) of developing cancer because of stasis.   Genetic predisposition to the development of urothelial tumors in some families Risk Factors For Squamous Cell Cancer   Long-term catheterization   Nonfunctioning bladder   Urinary tract calculi   Chronic infection by Schistosoma hematobium.
  • #36 Stage Ta Stage T1: Multifocal bladder tumors show intermediate T2 signal Low signal muscle layer at the base of the tumor Axial T1+C FS (20sec) Axial T1+C FS (20sec) Multifocal bladder tumors show early intense enhancement. Non-enhancing muscle layer
  • #37  Axial T2 Axial T1 + C FS (60sec) *= intermediate signal of the tumor Arrow = normal low-signal-intensity detrusor muscle Arrowhead = interruption of the detrusor muscle by the tumor tumor (*), which has enhanced earlier than the muscle layer.
  • #38 Axial T2 Arrow = extravesical mass of intermediate signal Arrowhead = normal low signal of detrusor muscle. Axial T1 + C FS (60sec) the extravesical enhancing mass (arrow).
  • #39 Axial T2 Axial T1+C FS An extravesical mass (arrows) involving the pelvic wall and cervix
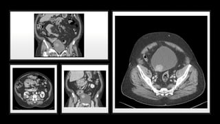
  • #40 85 year old man complains with hematuria CT IVP shows Solid enhancing mass arising from the right posterior bladder wall above the level of the right vesicoureteral junction and, although it has a bulging of the external bladder contour, does not extend into the surrounding fat planes. No enlarged lymph nodes seen, only a single 7.0 mm lymph node adjacent to the right common iliac vessels. The kidneys are normal in appearance, with no calculi, or hydronephrosis. There is a 4.0 cm cortical cyst in the right middle third that shows a few thin septations and calcifications (Bosniak II). The collecting systems are unremarkable, with no filling defects or strictures are identified. The remainder imaged solid and hollow abdominal viscera are normal in appearances. Imaging features are consistent with a bladder tumor, most likely a transitional cell carcinoma.  The patient was submitted to a transurethral resection of the bladder tumor (TURBT). 
  • #43 Vesicovaginal fistula. CT urogram, demonstrates excreted contrast material in the posterior aspect of the bladder. A linear collection of contrast material continues posterior to the bladder to opacify the vagina, confirming the presence of a fistula (arrow).
  • #46 EXTRA PERITONEAL Mechanism of injury Shearing or direct laceration CT Cystography Flame shaped Extravasation of contrast into perivesical soft tissues Treatment Conservative: bladder catheter drainage (superpubic and transurethral)
  • #47 INTRA PERITONEAL Mechanism of injury Blunt trauma CT Cystography Extravasation of contrast around bowel loops and in paracolic gutters Treatment Aggressive: Prompt open surgical exploration (because risk of urinary peritonitis)