Assiut Interactive Case
Presentation
Moderator:
Professor Gamal Agmy
Panelists:
1-Dr Samiaa Hamdy
2-Dr Mohamed Barkat
3-Dr Ahmed Metwally
4-Dr Hassen Byomy
5-Dr Manal Ahmed
A 36-year-old male presented with a
3-day history of increasing
shortness of breath, cough with
yellowish sputum, haemoptysis,
pleuretic chest pain, nausea,
vomiting and rigors.
The patient was an intravenous
drug user (IVDU) who smoked 20
cigarettes per day and denied
drinking alcohol. His only past
medical history was of mild
asthma, for which salbutamol was
taken as needed.
The patient appeared distressed
and unwell. His temperature was
39.3°C, and he was tachycardic
(120 beats per minute), hypotensive
(BP 85/55 mHg) and hypoxic (O2
saturation 82% on air with a
respiratory rate of 32 breaths per
minute).
*There were needle marks in both groins
and forearms.
*Heart sounds were normal with no
murmurs.
*Chest examination demonstrated
scattered crepitations all over the chest
*Abdominal and neurological
examinations were unremarkable
Initial investigations were as follows:
white blood cells 13.2×109·L-1,
neutrophils 9.7×109·L-1, haemoglobin
11.3 g·dL-1, platelets 71×109·L-1, INR
of 1.5, creatinine 2.3mg/DL, urea 84
mg/DL, alkaline phosphatase 195 IU·L-
1, alanine aminotransferase 63 IU·L-1,
and C-reactive protein 285 mg·L-1.
Initial Arterial blood gases on air
showed : pH 7.60, partial pressure of
O2 50 mmHg, partial pressure of CO2
28 mmHg and bicarbonate 24 mLeq/L.
Depending on clinical picture and
investigations; what is your diagnosis?
1-Pulmonary TB
2-Nosocomial pneumonia.
3- severe Pneumonia in immunocompromised
host
4-Simple Pneumonia in immunocompromised
host
Depending on clinical picture and
investigations; what is your diagnosis?
1-Pulmonary TB
2-Nosocomial pneumonia.
immunocompromisedsevere Pneumonia in-3
host
4-Simple Pneumonia in immunocompromised
host
Can you Interpret the arterial blood gases
(PH 7.60, Pa O2 50 mmHg, Pa CO2 28
mmHg and bicarbonate 24 mLeq/L ) ?
1- Acute type 1 respiratory failure
2- Acute on top of chronic type 1 respiratory
failure
3- Chronic type 1 respiratory failure
4- Type 11 respiratory failure
Can you Interpret the arterial blood gases
(PH 7.60, Pa O2 50 mmHg, Pa CO2 28
mmHg and bicarbonate 24 mLeq/L ) ?
respiratory failure1Acute type-1
2- Acute on top of chronic type 1 respiratory
failure
3- Chronic type 1 respiratory failure
4- Type 11 respiratory failure
The patient was initially treated for
severe pneumonia and a chest
radiography followed by computed
(CT) scan of the chest were obtained .
On the basis of radiological findings, what
is your diagnosis ?
1-Septic pulmonary
embolism.
2- Cavitating pneumonia.
3- Pulmonary TB
4-Cavitating secondaries
On the basis of radiological findings, what
is your diagnosis ?
Septic pulmonary-1
embolism.
2- Cavitating pneumonia.
3- Pulmonary TB
4-Cavitating secondaries
What is best next investigations ?
1-Sputum culture sensitivity.
2-Blood culture.
3-TTE
4- 2&3
5-All of above
What is best next investigations ?
1-Sputum culture sensitivity.
2-Blood culture.
3-TTE
3&2-4
5-All of above
In acute bacterial endocarditis , TTE can be
negative?
1- Yes
2- No
In acute bacterial endocarditis , TTE can be
negative?
Yes-1
2- No
*On TTE, vegetations<4 mm in diameter
may not be seen.
*The sensitivity of TTE compared with TOE
is 40–63% versus 90–100%.
In septic pulmonary embolism , what is the
commonest organism demonstrated by
blood culture ?
1- Streptococci
2- Gram negative bacteria
3- Staphylococcus aureus
4- Anaerobes
In septic pulmonary embolism , what is the
commonest organism demonstrated by
blood culture ?
1- Streptococci
2- Gram negative bacteria
aureusStaphylococcus-3
4- Anaerobes
S. aureus is the main agent, followed
by various streptococci, aerobic
Gram-negative rods, anaerobic cocci
and bacilli .
On the basis of the CT findings, the
diagnosis of infected pulmonary
emboli was considered and right-
sided infective endocarditis (IE) was
suspected. This was supported by
positive blood culture result. However,
the transthoracic echocardiogram
(TTE) showed no vegetations.
Despite treatment with
appropriate high dose IV
antibiotics, the patient
deteriorated progressively
, becoming confused and
agitated. He remained
febrile, hypotensive and
hypoxic. Approximately,
72 hours post admission,
he developed a rash
The patient's level of consciousness
continued to deteriorate such that the
airway could no longer be protected.
Subsequently, he was transferred to
the intensive care unit (ICU) where he
was sedated and intubated. Inotropic
support was required.
For the next 10 days, despite
appropriate antibiotic and supportive
therapy, the patient failed to improve.
She developed spontaneous
pneumothoraces and several other
complications, including anaemia,
profound hypoalbuminaemia (albumin
0.9 g·L-1), massive oedema of all limbs
and severe lower limb ulceration.
Improvement then
began gradually over the
next 7 days. He required
less ventilatory support
and was weaned off
inotropes. However, he
remained unresponsive
despite cessation of all
sedation; hence, a CT
scan of the brain was
obtained .
Suggest possible mechanisms that could
explain systemic embolisation in right-
sided IE.
1. Concurrent involvement of both left
and right ventricles.
2. Paradoxical embolism.
3. Acquired pulmonary arteriovenous
malformation.
4. Metastatic as part of generalised
septicaemia.
5-All of above
Suggest possible mechanisms that could
explain systemic embolisation in right-
sided IE.
1. Concurrent involvement of both left
and right ventricles.
2. Paradoxical embolism.
3. Acquired pulmonary arteriovenous
malformation.
4. Metastatic as part of generalised
septicaemia.
5-All of above
Over the course of several weeks,
the patient gradually regained
consciousness, intelligent speech,
and motor function on the left
side.
After 8 weeks in hospital, she was
transferred to a rehabilitation facility.
On discharge from this facility, she
was able to communicate intelligently,
mobilise without assistance and was
fully independent.
The main pathophysiologic mechanism of
RF in pulmonary embolism is :
•1-Shunt
•2-Dead space ventilation
•3-Hypoventilation
•4-Diffusion defect
The main pathophysiologic mechanism of
RF in pulmonary embolism is :
•1-Shunt
•2-Dead space ventilation
•3-Hypoventilation
•4-Diffusion defect
Optimal V/Q matching
Shunt
Optimal V/Q matching
Learning points
1. Endocarditis is common in IVDUs
and can cause catastrophic septic
embolisation.
2. Endocarditis may be difficult to be
clearly diagnosed.
3-Endocarditis can be diagnosed in
negative TTE
Learning points
4. Antibiotics use should cover S.
aureus in septic patients known to
abuse intravenous drugs, but
positive microbiology must be
sought as polymicrobial and fungal
infections are common.
Learning points
5-The main pathophysiologic of
respiratory failure in PE is dead
space ventilation
6. Patients can make a full recovery
despite overwhelming sepsis and
neurological damage, and should be
treated aggressively.
Assiut Interactive Case Presentation

Assiut Interactive Case Presentation

  • 2.
  • 3.
    Moderator: Professor Gamal Agmy Panelists: 1-DrSamiaa Hamdy 2-Dr Mohamed Barkat 3-Dr Ahmed Metwally 4-Dr Hassen Byomy 5-Dr Manal Ahmed
  • 4.
    A 36-year-old malepresented with a 3-day history of increasing shortness of breath, cough with yellowish sputum, haemoptysis, pleuretic chest pain, nausea, vomiting and rigors.
  • 5.
    The patient wasan intravenous drug user (IVDU) who smoked 20 cigarettes per day and denied drinking alcohol. His only past medical history was of mild asthma, for which salbutamol was taken as needed.
  • 6.
    The patient appeareddistressed and unwell. His temperature was 39.3°C, and he was tachycardic (120 beats per minute), hypotensive (BP 85/55 mHg) and hypoxic (O2 saturation 82% on air with a respiratory rate of 32 breaths per minute).
  • 7.
    *There were needlemarks in both groins and forearms. *Heart sounds were normal with no murmurs. *Chest examination demonstrated scattered crepitations all over the chest *Abdominal and neurological examinations were unremarkable
  • 8.
    Initial investigations wereas follows: white blood cells 13.2×109·L-1, neutrophils 9.7×109·L-1, haemoglobin 11.3 g·dL-1, platelets 71×109·L-1, INR of 1.5, creatinine 2.3mg/DL, urea 84 mg/DL, alkaline phosphatase 195 IU·L- 1, alanine aminotransferase 63 IU·L-1, and C-reactive protein 285 mg·L-1.
  • 9.
    Initial Arterial bloodgases on air showed : pH 7.60, partial pressure of O2 50 mmHg, partial pressure of CO2 28 mmHg and bicarbonate 24 mLeq/L.
  • 10.
    Depending on clinicalpicture and investigations; what is your diagnosis? 1-Pulmonary TB 2-Nosocomial pneumonia. 3- severe Pneumonia in immunocompromised host 4-Simple Pneumonia in immunocompromised host
  • 11.
    Depending on clinicalpicture and investigations; what is your diagnosis? 1-Pulmonary TB 2-Nosocomial pneumonia. immunocompromisedsevere Pneumonia in-3 host 4-Simple Pneumonia in immunocompromised host
  • 12.
    Can you Interpretthe arterial blood gases (PH 7.60, Pa O2 50 mmHg, Pa CO2 28 mmHg and bicarbonate 24 mLeq/L ) ? 1- Acute type 1 respiratory failure 2- Acute on top of chronic type 1 respiratory failure 3- Chronic type 1 respiratory failure 4- Type 11 respiratory failure
  • 13.
    Can you Interpretthe arterial blood gases (PH 7.60, Pa O2 50 mmHg, Pa CO2 28 mmHg and bicarbonate 24 mLeq/L ) ? respiratory failure1Acute type-1 2- Acute on top of chronic type 1 respiratory failure 3- Chronic type 1 respiratory failure 4- Type 11 respiratory failure
  • 14.
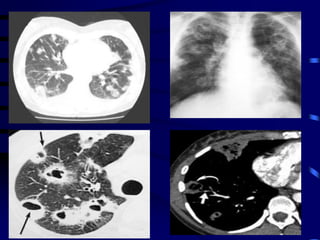
    The patient wasinitially treated for severe pneumonia and a chest radiography followed by computed (CT) scan of the chest were obtained .
  • 16.
    On the basisof radiological findings, what is your diagnosis ? 1-Septic pulmonary embolism. 2- Cavitating pneumonia. 3- Pulmonary TB 4-Cavitating secondaries
  • 17.
    On the basisof radiological findings, what is your diagnosis ? Septic pulmonary-1 embolism. 2- Cavitating pneumonia. 3- Pulmonary TB 4-Cavitating secondaries
  • 18.
    What is bestnext investigations ? 1-Sputum culture sensitivity. 2-Blood culture. 3-TTE 4- 2&3 5-All of above
  • 19.
    What is bestnext investigations ? 1-Sputum culture sensitivity. 2-Blood culture. 3-TTE 3&2-4 5-All of above
  • 20.
    In acute bacterialendocarditis , TTE can be negative? 1- Yes 2- No
  • 21.
    In acute bacterialendocarditis , TTE can be negative? Yes-1 2- No
  • 22.
    *On TTE, vegetations<4mm in diameter may not be seen. *The sensitivity of TTE compared with TOE is 40–63% versus 90–100%.
  • 23.
    In septic pulmonaryembolism , what is the commonest organism demonstrated by blood culture ? 1- Streptococci 2- Gram negative bacteria 3- Staphylococcus aureus 4- Anaerobes
  • 24.
    In septic pulmonaryembolism , what is the commonest organism demonstrated by blood culture ? 1- Streptococci 2- Gram negative bacteria aureusStaphylococcus-3 4- Anaerobes
  • 25.
    S. aureus isthe main agent, followed by various streptococci, aerobic Gram-negative rods, anaerobic cocci and bacilli .
  • 26.
    On the basisof the CT findings, the diagnosis of infected pulmonary emboli was considered and right- sided infective endocarditis (IE) was suspected. This was supported by positive blood culture result. However, the transthoracic echocardiogram (TTE) showed no vegetations.
  • 27.
    Despite treatment with appropriatehigh dose IV antibiotics, the patient deteriorated progressively , becoming confused and agitated. He remained febrile, hypotensive and hypoxic. Approximately, 72 hours post admission, he developed a rash
  • 28.
    The patient's levelof consciousness continued to deteriorate such that the airway could no longer be protected. Subsequently, he was transferred to the intensive care unit (ICU) where he was sedated and intubated. Inotropic support was required.
  • 29.
    For the next10 days, despite appropriate antibiotic and supportive therapy, the patient failed to improve. She developed spontaneous pneumothoraces and several other complications, including anaemia, profound hypoalbuminaemia (albumin 0.9 g·L-1), massive oedema of all limbs and severe lower limb ulceration.
  • 30.
    Improvement then began graduallyover the next 7 days. He required less ventilatory support and was weaned off inotropes. However, he remained unresponsive despite cessation of all sedation; hence, a CT scan of the brain was obtained .
  • 31.
    Suggest possible mechanismsthat could explain systemic embolisation in right- sided IE. 1. Concurrent involvement of both left and right ventricles. 2. Paradoxical embolism. 3. Acquired pulmonary arteriovenous malformation. 4. Metastatic as part of generalised septicaemia. 5-All of above
  • 32.
    Suggest possible mechanismsthat could explain systemic embolisation in right- sided IE. 1. Concurrent involvement of both left and right ventricles. 2. Paradoxical embolism. 3. Acquired pulmonary arteriovenous malformation. 4. Metastatic as part of generalised septicaemia. 5-All of above
  • 33.
    Over the courseof several weeks, the patient gradually regained consciousness, intelligent speech, and motor function on the left side.
  • 34.
    After 8 weeksin hospital, she was transferred to a rehabilitation facility. On discharge from this facility, she was able to communicate intelligently, mobilise without assistance and was fully independent.
  • 35.
    The main pathophysiologicmechanism of RF in pulmonary embolism is : •1-Shunt •2-Dead space ventilation •3-Hypoventilation •4-Diffusion defect
  • 36.
    The main pathophysiologicmechanism of RF in pulmonary embolism is : •1-Shunt •2-Dead space ventilation •3-Hypoventilation •4-Diffusion defect
  • 37.
  • 38.
  • 39.
  • 40.
    Learning points 1. Endocarditisis common in IVDUs and can cause catastrophic septic embolisation. 2. Endocarditis may be difficult to be clearly diagnosed. 3-Endocarditis can be diagnosed in negative TTE
  • 41.
    Learning points 4. Antibioticsuse should cover S. aureus in septic patients known to abuse intravenous drugs, but positive microbiology must be sought as polymicrobial and fungal infections are common.
  • 42.
    Learning points 5-The mainpathophysiologic of respiratory failure in PE is dead space ventilation 6. Patients can make a full recovery despite overwhelming sepsis and neurological damage, and should be treated aggressively.