   Case presentation
               Dr. Yaser Mufti
                  MD Cardiology Trainee




                                          1/1
7/18/2012
CASE STUDY
             A 25 years old young female presented to emergency
              complaining of Severe shortness of breath that
              began abruptly when went for toilet.
             Associated symptoms included diaphoresis,
              palpitation

             One weak back, prior to this event, Patient had
             NVD at Home. After 3 days of NVD she has mild
             SOB, unnoticed.



7/18/2012                                                          2/66
Past history
            She has no significant past medical history except NVD at home
            wk back
            Treatment history
            No specific medication usage history

            Family history
            No family history could be elicited regarding DVT or phelbitits
            Personal history
            No history of any addiction /drug allergy




7/18/2012                                                                     3
General examination
         Her BP at was 80/60mmHg , temp N
         HR 147 BPM
         RR 40 PM ,oxygen saturation of 90 %
         She was pale , diaphoretic, and unable to speak full
          sentence
         Her JVP was not recorded




7/18/2012                                                        4
Systemic examination
  Cardiac exam shows tachy cardia, a fixed wide split of
     the second heart sound
    Pulmonary exam non specific, NBVB
    Abd: soft, no liver or spleen palpable
    Her extremities were cold with Weak peripheral
     pulses.
     Rest of examination normal




7/18/2012                                                   5
Differential Diagnosis
             Pulmonary Embolism
             Congestive heart failure Post Partum
              Cardiomyopathy
             Myocarditis
             ATN due to PPH




7/18/2012                                            6
 sinus tachycardia at a rate of 147 BPM,
ECG  Right Axis deviation 90+
             ST , T wave changes




7/18/2012                                               7
 Her ABG’s
 Ph: 7.2, PCO: 30 , PO2 : 171 , K : 3.3 , BE: -13
  Her CBC , Hb 8.9 g/dl, ESR , 56mm/hr, TLC 10200, and
   platelet count 208000, other is in normal range
  D dimer report is send but not collected




7/18/2012                                                 8
7/18/2012   9
Echo Findings
  Emergency Short Echo: (images not available)
     Dilated RV(49 MM) with moderately severe Systolic
      dysfunction with good kinesis at RV apex
     Normal LV function
     TR ++, TVPG 14mmHg
     Normal Mitral and AV.
     IAS appears intact




7/18/2012                                                 10
Management
  Oxygen
  Heparin 5000 iu bolus iv, 1000 iu /hr
  Inotropic suppor (Dobutamine/Dopamine)
  Plan.
   Ct angio /V/Q scan / Lityic therarpy/ Doppler
  Outcomes
 Unluckily she couldn’t survive and died after few hours
   of admissions


7/18/2012                                                  11
Short comings and Analysis

  •We don’t have above mentioned tests availabilities to
  make confirm diagnosis
  •Can we use Lytic therapy in this patient, without
  confirming PE is debatable.
  • She should be managed in Full ICU facilities, rather to
  mange in only emergency ward.




7/18/2012                                                     12
7/18/2012   13
7/18/2012   14
Virchow triad
             Intimal vessel injury
             Stasis
             hypercoagulability




7/18/2012                             15
PE: A Clinical Challenge
  Common: 250,000 cases/year
  Mimics many other illnesses
  Potentially fatal (15%)
  Treatment potentially dangerous
  No single reliable diagnostic test
  Under- and over-diagnosed




7/18/2012                               16
Acquired Risk Factors
 Advancing age
 Arterial disease, including carotid and coronary disease
 Personal or family history of VTE
 Recent surgery, trauma, or immobility, including stroke
 CCF/COPD
 Acute infection
 Long- air travel
 Pregnancy, OCP, HRT
 Pacemaker, implantable cardiac defibrillator leads, or
 indwelling central venous catheter thromboembolism
 Obesity, Metabolic syndrome
 Cigarette smoking
 Hypertension, Abnormal lipid profile

7/18/2012                                                    17
INHERITED RISK FACTORS
   Hypercoagulable states        Factor V Leiden resulting in
        activated protein C resistance
        Prothrombin gene mutation 20210
        Antithrombin III deficiency
        Protein C deficiency
        Protein S deficiency
        Antiphospholipid antibody syndrome(Acquired)
        Hyperhomocystenimia


7/18/2012                                                        18

            Pathyphysiology




7/18/2012                     19
Clinical Classification of PE
  Massive PE          Systolic BP< 90 mmHg,or         Thrombolysis
                          poor tissue Perfusion Or     Or embolectomy
                          Mulitsystem organ failure    Or IVC filter
                       Plus, Rt.or Lt main             Plus anticoagulant
                          Pulmonary Art.
                          Thrombus or high clot
                          burden
                       Hemodyn. Stable,but mod.        Addition of Thrombolysis
  Submassive PE          To severe RV dysfunction     Emblectomy or filters
                          or enlargement                remiain controversial


  Small to moderate PE Normal hemodyn              Anticoagulation
                       And normal RV Size and
                         function

7/18/2012                                                                    20
Pulmonary Infarction
  Often characterized by pleuritic chest pain and
   hemoptysis
  The embolus usually lodges in the peripheral
   pulmonary arterial tree, near the pleura.
  Tissue infarction usually occurs 3 to 7 days after
   embolism.
  Sysmptom often includes fever, leukocytosis, elevated
   erythrocyte sedimentation rate, and radiologic
   evidence of infarction.

7/18/2012                                                  21
Nonthrombotic PE
 They include fat, tumor, air, and amniotic fluid
 Fat embolism ,Usually after bone fractures.
 Air embolus during CV catheter central venous catheter.
 Amniotic fluid embolism , is characterized by
  respiratory failure, cardiogenic shock, and DIC
 IVDU sometimes self-inject hair, talc, and cotton that
  contaminate the drug they have acquired. These patients
  also have susceptibility to septic PE, which can cause
  endocarditis of the TV or PV.



7/18/2012                                               22
Clinical Presentation
 The PIOPED study reported the following
  incidence of common symptoms of pulmonary
  embolism[30] :

 • Dyspnea (73%)
 • Pleuritic chest pain (66%)
 • Cough (37%)
 • Hemoptysis (13%) Symptoms


7/18/2012                                     23
Clinical Signs
• Tachypnea (respiratory rate >16/min) - 96%
• Rales - 58%
• Accentuated second heart sound - 53%
• Tachycardia (heart rate >100/min) - 44%
• Fever (temperature >37.8°C) - 43%
• Diaphoresis - 36%
• S3 or S4 gallop - 34%
• Clinical signs and symptoms suggesting
       thrombophlebitis - 32%
• Lower extremity edema - 24%
• Cardiac murmur - 23%
• Cyanosis - 19%

7/18/2012                                      24
Differential Diagnosis of Pulmonary Embolism

     Anxiety, pleurisy, costochondritis
     Pneumonia, bronchitis
     Myocardial infarction
     Pericarditis
     Congestive heart failure
     Idiopathic pulmonary hypertension




7/18/2012                                           25
7/18/2012   26
INVESTIGATIONS
 WELL’s SCORING /GENEVA SCORING
 •CBC,
 •ABG’S,
 •D-DIMER
 •TROPONIN
                    •ECG
 •BNP
                    •CHEST RADIOGRAPH
                    •ECHOCARDIOGRAPHY
                    •V/Q SCANNING
                    •CT ANGIOGRAPHY



7/18/2012                               27
7/18/2012   28
Clinical probability of Risk A
  Determine probability of PE
        Low
        Moderate
        High
  Overall clinical impression
  Models/scoring systems




7/18/2012                        29
7/18/2012   30
Blood tests
  Troponin levels
   Correlation with ECG and Echo
   Increase mortality if positive with Acute P.E
  BNP
   In Absence of Renal function Marker of RV
   dystfunction , Predictor of adverse outcome




7/18/2012                                          31
ABG;s
  PE significant Hypoxemia
  PIOPED, only 26 % of proven PE had Pao>80mmhg
  Therefore normal PaO2 can not rule out PE
  However Hypoxia in absence of cardiopulmonary
     disease should raise suspicion of PE




7/18/2012                                          32
D-Dimers
 It is a fibrin degradation fragment Occurs
   Through fibrinolysis
 Valuable screening test
        High sensitivity; low specificity
          Helpful only if Negative
          Strong Negative Predictive Value-- Rules out PE
           when low probability
        Safe, noninvasive
        Rapid, inexpensive




7/18/2012                                                    33
Electrocardiographic Signs of PE
   Sinus tachycardia
   Incomplete or complete right bundle branch block
    Right-axis deviation
    S wave >1.5 mm in I and aVL
   T wave inversions in leads III and aVF or in leads V1-V4
   S wave in lead I and a Q wave and T wave inversion in
  lead III (S1Q3T3)
  QRS axis greater than 90 degrees or an indeterminate axis
  Atrial fibrillation or atrial flutter


7/18/2012                                                  34
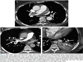
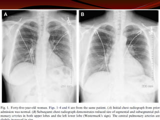
Chest Radiography
 Useful to R/o other causes
 Non specific findings; pleural Effusion, atelectasis,
  consolidation
  Classic sign
 Focal oligemia (Westermark sign) indicates massive
  central embolic occlusion.
 A peripheral wedge-shaped density above the diaphragm
  (Hampton hump) usually indicates pulmonary
  infarction.
 Subtle abnormalities suggestive of PE include
  enlargement of the descending right pulmonary artery.
7/18/2012                                                 35
7/18/2012   36
V/Q Lung Scan
    2nd line investigation method
    Beneficial if having normal xray
    Who are dye allergic in CT
    Renal failure
    Pregnancy
    Normal V/Q Sensitivity 99%
        Rules out PE
  High Prob V/Q Specificity 96%
     Rules in PE
  But, >60% nondiagnostic
  Takes >2 hr to perform
  Not available at all times
7/18/2012                               37
Ultrasound and PE
  US +DVT in 30-50% with PE
  Positive US—confirms PE
  Negative ultrasound
     PE less likely, but not excluded
  Sequential ultrasound
     Persistently negative ultrasound at 1-2 wks
            <2% DVT/PE at 6mos
                   Hull et al. J. Thromb 1996; 3:5-8.




7/18/2012                                               38
Echocardiographic Signs of P.E
           Right ventricular enlargement or hypokinesis, especially
            free wall hypokinesis, with sparing of the apex (the
            McConnell sign)
           Interventricular septal flattening and paradoxical
            motion toward the left ventricle, resulting in a D-shaped
             left ventricle in cross section
           Tricuspid regurgitation
           Pulmonary hypertension with a tricuspid regurgitant jet
            velocity >2.6 m/sec
            Loss of respiratory-phasic collapse of the inferior vena
            cava with inspiration
           Direct visualization of thrombus (more likely with
            transesophageal echocardiography)
    7/18/2012                                                    39
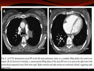
CT Angiogram
  Benefits                  Limitations
        Available             IV contrast
        Direct image          Expensive
        Alternative Dx        Patient
        Pelvic/leg veins       cooperation
                               Uncertain
                                sens/spec


7/18/2012                                     40
CT Angiogram
  “CT should not be used alone for
   suspected PE, but combining tests
   improves accuracy and reduces need for
   angiography”
 ”




7/18/2012                                   41
7/18/2012   42
7/18/2012   43
Pulmonary Angiography
 Gold standard but these days not in practice due to
    availability of CT




7/18/2012                                               44
MRI/MRA
  No radiation or contrast exposure
  Expensive
  Not uniformly available
  Limited data
  Role not established




7/18/2012                              45
Hypercoagulable states




7/18/2012                            46
Thrombophilia evaluation
 Why test for hypercoagulability?
        May affect intensity/duration of treatment
        Family counseling about risks
        Identify need for prophylaxis in higher risk
            situations




7/18/2012                                               47
Thrombophilia evaluation
 Tests performed acutely
        Leiden Factor V (APC resistance)
        Prothrombin G20210A mutation
        Increased homocysteine
        Anti-cardiolipin antibodies




7/18/2012                                   48
Thrombophilia evaluation
 Consider testing later
        Lupus anticoagulant
        Decreased Proteins C & S
        Decreased Anti-thrombin III
        Increased Factor VIII




7/18/2012                              49
Summary
  Have index of suspicion for PE
  Develop clinical probability
  Interpret all tests in context of pre-test
   probability
  Selectively for thrombophilia
  Choose therapy based on clinical status




7/18/2012                                       50
7/18/2012   51
7/18/2012   52
Pulmonary Embolism

            TREATMENT OF
              SYMPTOMS:

  Bedrest
  Analgesics
  Supplemental O2 Therapy



7/18/2012                        53
MEDICAL MANAGEMENT:

  Anticoagulant Therapy
  Thrombolytic Therapy
  Surgical Embolectomy




7/18/2012                         54
7/18/2012   55
Duration of anticoagulation
  Identified precipitant     3 mos
  First idiopathic episode   6 mos
  Prolonged/indefinite:
       2 thrombotic episodes
     1 spont. life-threatening episode
     Anti-phospholipid antibody    syndrome, ATIII
      deficiency




7/18/2012                                             56
Un fractionated Heparin




             Continue 4-5d and therapeutic on
             Warfarin for 2d (INR>2.0)
7/18/2012                                        57
Thrombolysis
  Massive PE
        Acute pulmonary hypertension
        RV dysfunction
        Systemic hypotension
  All age groups benefit
  Addition to Heparin therapy
  Various agents appear equivalent



7/18/2012                               58
7/18/2012   59
Thrombectomy
  Surgical or transvenous (catheter)
  When thrombolytic unsuccessful or
   contraindicated, or
  Massive PE




7/18/2012                               60
Vena Cava Filters
  Indications:
        Contraindication to anticoagulation
        Recurrent PE on anticoagulation
        Complications from anticoagulation
        Massive PE with poor reserve
  Problems with filter thrombosis




7/18/2012                                      61
Predictors of Increased Mortality
     Hemodynamic instability
     Right ventricular hypokinesis on echocardiogram
     Right ventricular enlargement on echocardiogram or
     chest CT scan
     Right ventricular strain on electrocardiogram
     Elevated cardiac biomarkers




7/18/2012                                                  62
Take home message
 Pe common but overlook
 High suspicion to make diagnosis
 ABG, d-dimer, CT imp diagnostic tools
 Prevention is much more important than treatment
 Take home message: for DVT Diagnosis
      Combine clinical probability, d-dimer, and
      ultrasonography
 Take home message: for PE diagnosis
       Combine clinical score, d-dimer, and CT
       pulmonary angiography


7/18/2012                                            63
7/18/2012   64

Pulmonary emoblism by dr yaser

  • 1.
    Case presentation Dr. Yaser Mufti MD Cardiology Trainee 1/1 7/18/2012
  • 2.
    CASE STUDY  A 25 years old young female presented to emergency complaining of Severe shortness of breath that began abruptly when went for toilet.  Associated symptoms included diaphoresis, palpitation  One weak back, prior to this event, Patient had NVD at Home. After 3 days of NVD she has mild SOB, unnoticed. 7/18/2012 2/66
  • 3.
    Past history She has no significant past medical history except NVD at home wk back Treatment history No specific medication usage history Family history No family history could be elicited regarding DVT or phelbitits Personal history No history of any addiction /drug allergy 7/18/2012 3
  • 4.
    General examination  Her BP at was 80/60mmHg , temp N  HR 147 BPM  RR 40 PM ,oxygen saturation of 90 %  She was pale , diaphoretic, and unable to speak full sentence  Her JVP was not recorded 7/18/2012 4
  • 5.
    Systemic examination Cardiac exam shows tachy cardia, a fixed wide split of the second heart sound  Pulmonary exam non specific, NBVB  Abd: soft, no liver or spleen palpable  Her extremities were cold with Weak peripheral pulses.  Rest of examination normal 7/18/2012 5
  • 6.
    Differential Diagnosis  Pulmonary Embolism  Congestive heart failure Post Partum Cardiomyopathy  Myocarditis  ATN due to PPH 7/18/2012 6
  • 7.
     sinus tachycardiaat a rate of 147 BPM, ECG  Right Axis deviation 90+  ST , T wave changes 7/18/2012 7
  • 8.
     Her ABG’s Ph: 7.2, PCO: 30 , PO2 : 171 , K : 3.3 , BE: -13  Her CBC , Hb 8.9 g/dl, ESR , 56mm/hr, TLC 10200, and platelet count 208000, other is in normal range  D dimer report is send but not collected 7/18/2012 8
  • 9.
  • 10.
    Echo Findings Emergency Short Echo: (images not available)  Dilated RV(49 MM) with moderately severe Systolic dysfunction with good kinesis at RV apex  Normal LV function  TR ++, TVPG 14mmHg  Normal Mitral and AV.  IAS appears intact 7/18/2012 10
  • 11.
    Management  Oxygen  Heparin 5000 iu bolus iv, 1000 iu /hr  Inotropic suppor (Dobutamine/Dopamine)  Plan. Ct angio /V/Q scan / Lityic therarpy/ Doppler  Outcomes Unluckily she couldn’t survive and died after few hours of admissions 7/18/2012 11
  • 12.
    Short comings andAnalysis •We don’t have above mentioned tests availabilities to make confirm diagnosis •Can we use Lytic therapy in this patient, without confirming PE is debatable. • She should be managed in Full ICU facilities, rather to mange in only emergency ward. 7/18/2012 12
  • 13.
  • 14.
  • 15.
    Virchow triad  Intimal vessel injury  Stasis  hypercoagulability 7/18/2012 15
  • 16.
    PE: A ClinicalChallenge  Common: 250,000 cases/year  Mimics many other illnesses  Potentially fatal (15%)  Treatment potentially dangerous  No single reliable diagnostic test  Under- and over-diagnosed 7/18/2012 16
  • 17.
    Acquired Risk Factors Advancing age  Arterial disease, including carotid and coronary disease  Personal or family history of VTE  Recent surgery, trauma, or immobility, including stroke  CCF/COPD  Acute infection  Long- air travel  Pregnancy, OCP, HRT  Pacemaker, implantable cardiac defibrillator leads, or indwelling central venous catheter thromboembolism  Obesity, Metabolic syndrome  Cigarette smoking  Hypertension, Abnormal lipid profile 7/18/2012 17
  • 18.
    INHERITED RISK FACTORS  Hypercoagulable states Factor V Leiden resulting in activated protein C resistance  Prothrombin gene mutation 20210  Antithrombin III deficiency  Protein C deficiency  Protein S deficiency  Antiphospholipid antibody syndrome(Acquired)  Hyperhomocystenimia 7/18/2012 18
  • 19.
    Pathyphysiology 7/18/2012 19
  • 20.
    Clinical Classification ofPE  Massive PE Systolic BP< 90 mmHg,or  Thrombolysis poor tissue Perfusion Or  Or embolectomy Mulitsystem organ failure  Or IVC filter Plus, Rt.or Lt main  Plus anticoagulant Pulmonary Art. Thrombus or high clot burden Hemodyn. Stable,but mod.  Addition of Thrombolysis  Submassive PE To severe RV dysfunction  Emblectomy or filters or enlargement remiain controversial  Small to moderate PE Normal hemodyn  Anticoagulation And normal RV Size and function 7/18/2012 20
  • 21.
    Pulmonary Infarction Often characterized by pleuritic chest pain and hemoptysis  The embolus usually lodges in the peripheral pulmonary arterial tree, near the pleura.  Tissue infarction usually occurs 3 to 7 days after embolism.  Sysmptom often includes fever, leukocytosis, elevated erythrocyte sedimentation rate, and radiologic evidence of infarction. 7/18/2012 21
  • 22.
    Nonthrombotic PE  Theyinclude fat, tumor, air, and amniotic fluid  Fat embolism ,Usually after bone fractures.  Air embolus during CV catheter central venous catheter.  Amniotic fluid embolism , is characterized by respiratory failure, cardiogenic shock, and DIC  IVDU sometimes self-inject hair, talc, and cotton that contaminate the drug they have acquired. These patients also have susceptibility to septic PE, which can cause endocarditis of the TV or PV. 7/18/2012 22
  • 23.
    Clinical Presentation ThePIOPED study reported the following incidence of common symptoms of pulmonary embolism[30] : • Dyspnea (73%) • Pleuritic chest pain (66%) • Cough (37%) • Hemoptysis (13%) Symptoms 7/18/2012 23
  • 24.
    Clinical Signs • Tachypnea(respiratory rate >16/min) - 96% • Rales - 58% • Accentuated second heart sound - 53% • Tachycardia (heart rate >100/min) - 44% • Fever (temperature >37.8°C) - 43% • Diaphoresis - 36% • S3 or S4 gallop - 34% • Clinical signs and symptoms suggesting thrombophlebitis - 32% • Lower extremity edema - 24% • Cardiac murmur - 23% • Cyanosis - 19% 7/18/2012 24
  • 25.
    Differential Diagnosis ofPulmonary Embolism  Anxiety, pleurisy, costochondritis  Pneumonia, bronchitis  Myocardial infarction  Pericarditis  Congestive heart failure  Idiopathic pulmonary hypertension 7/18/2012 25
  • 26.
  • 27.
    INVESTIGATIONS WELL’s SCORING/GENEVA SCORING •CBC, •ABG’S, •D-DIMER •TROPONIN •ECG •BNP •CHEST RADIOGRAPH •ECHOCARDIOGRAPHY •V/Q SCANNING •CT ANGIOGRAPHY 7/18/2012 27
  • 28.
  • 29.
    Clinical probability ofRisk A  Determine probability of PE  Low  Moderate  High  Overall clinical impression  Models/scoring systems 7/18/2012 29
  • 30.
  • 31.
    Blood tests Troponin levels Correlation with ECG and Echo Increase mortality if positive with Acute P.E  BNP In Absence of Renal function Marker of RV dystfunction , Predictor of adverse outcome 7/18/2012 31
  • 32.
    ABG;s  PEsignificant Hypoxemia  PIOPED, only 26 % of proven PE had Pao>80mmhg  Therefore normal PaO2 can not rule out PE  However Hypoxia in absence of cardiopulmonary disease should raise suspicion of PE 7/18/2012 32
  • 33.
    D-Dimers It isa fibrin degradation fragment Occurs Through fibrinolysis Valuable screening test  High sensitivity; low specificity  Helpful only if Negative  Strong Negative Predictive Value-- Rules out PE when low probability  Safe, noninvasive  Rapid, inexpensive 7/18/2012 33
  • 34.
    Electrocardiographic Signs ofPE  Sinus tachycardia  Incomplete or complete right bundle branch block  Right-axis deviation  S wave >1.5 mm in I and aVL  T wave inversions in leads III and aVF or in leads V1-V4  S wave in lead I and a Q wave and T wave inversion in lead III (S1Q3T3)  QRS axis greater than 90 degrees or an indeterminate axis  Atrial fibrillation or atrial flutter 7/18/2012 34
  • 35.
    Chest Radiography  Usefulto R/o other causes  Non specific findings; pleural Effusion, atelectasis, consolidation Classic sign  Focal oligemia (Westermark sign) indicates massive central embolic occlusion.  A peripheral wedge-shaped density above the diaphragm (Hampton hump) usually indicates pulmonary infarction.  Subtle abnormalities suggestive of PE include enlargement of the descending right pulmonary artery. 7/18/2012 35
  • 36.
  • 37.
    V/Q Lung Scan  2nd line investigation method  Beneficial if having normal xray  Who are dye allergic in CT  Renal failure  Pregnancy  Normal V/Q Sensitivity 99%  Rules out PE  High Prob V/Q Specificity 96%  Rules in PE  But, >60% nondiagnostic  Takes >2 hr to perform  Not available at all times 7/18/2012 37
  • 38.
    Ultrasound and PE  US +DVT in 30-50% with PE  Positive US—confirms PE  Negative ultrasound  PE less likely, but not excluded  Sequential ultrasound  Persistently negative ultrasound at 1-2 wks <2% DVT/PE at 6mos Hull et al. J. Thromb 1996; 3:5-8. 7/18/2012 38
  • 39.
    Echocardiographic Signs ofP.E  Right ventricular enlargement or hypokinesis, especially free wall hypokinesis, with sparing of the apex (the McConnell sign)  Interventricular septal flattening and paradoxical motion toward the left ventricle, resulting in a D-shaped left ventricle in cross section  Tricuspid regurgitation  Pulmonary hypertension with a tricuspid regurgitant jet velocity >2.6 m/sec  Loss of respiratory-phasic collapse of the inferior vena cava with inspiration  Direct visualization of thrombus (more likely with transesophageal echocardiography) 7/18/2012 39
  • 40.
    CT Angiogram Benefits  Limitations  Available  IV contrast  Direct image  Expensive  Alternative Dx  Patient  Pelvic/leg veins cooperation  Uncertain sens/spec 7/18/2012 40
  • 41.
    CT Angiogram “CT should not be used alone for suspected PE, but combining tests improves accuracy and reduces need for angiography” ” 7/18/2012 41
  • 42.
  • 43.
  • 44.
    Pulmonary Angiography  Goldstandard but these days not in practice due to availability of CT 7/18/2012 44
  • 45.
    MRI/MRA  Noradiation or contrast exposure  Expensive  Not uniformly available  Limited data  Role not established 7/18/2012 45
  • 46.
  • 47.
    Thrombophilia evaluation Whytest for hypercoagulability?  May affect intensity/duration of treatment  Family counseling about risks  Identify need for prophylaxis in higher risk situations 7/18/2012 47
  • 48.
    Thrombophilia evaluation Testsperformed acutely  Leiden Factor V (APC resistance)  Prothrombin G20210A mutation  Increased homocysteine  Anti-cardiolipin antibodies 7/18/2012 48
  • 49.
    Thrombophilia evaluation Considertesting later  Lupus anticoagulant  Decreased Proteins C & S  Decreased Anti-thrombin III  Increased Factor VIII 7/18/2012 49
  • 50.
    Summary  Haveindex of suspicion for PE  Develop clinical probability  Interpret all tests in context of pre-test probability  Selectively for thrombophilia  Choose therapy based on clinical status 7/18/2012 50
  • 51.
  • 52.
  • 53.
    Pulmonary Embolism TREATMENT OF SYMPTOMS:  Bedrest  Analgesics  Supplemental O2 Therapy 7/18/2012 53
  • 54.
    MEDICAL MANAGEMENT: Anticoagulant Therapy  Thrombolytic Therapy  Surgical Embolectomy 7/18/2012 54
  • 55.
  • 56.
    Duration of anticoagulation  Identified precipitant 3 mos  First idiopathic episode 6 mos  Prolonged/indefinite:  2 thrombotic episodes  1 spont. life-threatening episode  Anti-phospholipid antibody syndrome, ATIII deficiency 7/18/2012 56
  • 57.
    Un fractionated Heparin  Continue 4-5d and therapeutic on Warfarin for 2d (INR>2.0) 7/18/2012 57
  • 58.
    Thrombolysis  MassivePE  Acute pulmonary hypertension  RV dysfunction  Systemic hypotension  All age groups benefit  Addition to Heparin therapy  Various agents appear equivalent 7/18/2012 58
  • 59.
  • 60.
    Thrombectomy  Surgicalor transvenous (catheter)  When thrombolytic unsuccessful or contraindicated, or  Massive PE 7/18/2012 60
  • 61.
    Vena Cava Filters  Indications:  Contraindication to anticoagulation  Recurrent PE on anticoagulation  Complications from anticoagulation  Massive PE with poor reserve  Problems with filter thrombosis 7/18/2012 61
  • 62.
    Predictors of IncreasedMortality  Hemodynamic instability  Right ventricular hypokinesis on echocardiogram  Right ventricular enlargement on echocardiogram or chest CT scan  Right ventricular strain on electrocardiogram  Elevated cardiac biomarkers 7/18/2012 62
  • 63.
    Take home message Pe common but overlook  High suspicion to make diagnosis  ABG, d-dimer, CT imp diagnostic tools  Prevention is much more important than treatment  Take home message: for DVT Diagnosis Combine clinical probability, d-dimer, and ultrasonography  Take home message: for PE diagnosis Combine clinical score, d-dimer, and CT pulmonary angiography 7/18/2012 63
  • 64.