Dr Nivedita Charkrabarty
Dr Aayush
Dr Swetha
Interstitial lung disease
Definition
• Heterogeneous group of diffuse lung diseases occurring without known cause
and associated with varying degrees of interstitial lung inflammation and
fibrosis.
Classification ILDs
Major
Chronic Fibrosing
1. UIP
2. NSIP
Smoking related
3. DIP
4. RB
Acute/Subacute
5. Organising
pneumonia
6. DAD
Rare
7. Lymphoid IP
8. Pleuropulmonary
fibroelastosis
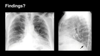
Findings?
USUAL INTERSTITIAL PNEUMONIA AND IDIOPATHIC PULMONARY FIBROSIS
• Most common, 40%
• UIP: histologic pattern, IPF: disease
• Heterogeneous pattern: "spatial" and "temporal“ heterogeneity
• >50 yrs
• progressive dyspnea, cough, weight loss, and finger clubbing
• PFT: restrictive pattern
Clinical associations
• Collagen-vascular disease,
• Asbestosis,
• Drug toxicity,
• Radiation,
• Chronic hypersensitivity pneumonitis, or familial pulmonary fibrosis
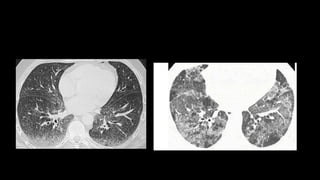
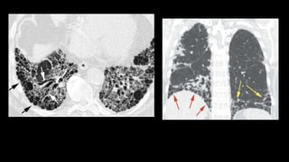
• In early stages, the only HRCT abnormality may be fine reticulation
• Honey combing 3mm to 2 cm, 3 in a row
• reticular opacities
• traction bronchiectasis
• subpleural and lower lobe predominance
• GGOs are rare
Combined pulmonary fibrosis and emphysema
Diagnostic Criteria ATS and ERS
• 1. A UIP pattern on HRCT or histopathology
• 2. The absence of an alternative etiology (e.g., collagen-vascular disease,
asbestos exposure, drug treatment, hypersensitivity pneumonitis) after careful
clinical evaluation (i.e., history, physical examination, pulmonary function
testing, and laboratory assessment)
UIP pattern
• 1. Subpleural and basal predominance
• 2. Reticular abnormality
• 3. Honeycombing with or without traction
bronchiectasis
• 4. Absence of inconsistent features
Possible UIP
• 1. Subpleural and basal predominance
• 2. Reticular abnormality
• 3. Absence of inconsistent features
Inconsistent with UIP
• 1. Upper or midlung predominance
• 2. Peribronchovascular predominance
• 3. Extensive ground-glass abnormality (extent > reticulation)
• 4. Profuse micronodules (bilateral, predominantly upper lobes)
• 5. Discrete cysts (multiple, bilateral, away from areas of honeycombing)
• 6. Diffuse mosaic attenuation/air trapping (bilateral in three or more lobes)
• 7. Segmental or lobar consolidation
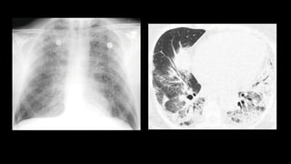
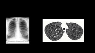
Radiography
• CXR: subtle
increase in
opacity at lung
base
NONSPECIFIC INTERSTITIAL PNEUMONIA
• Less common
• Specific pathological entity
• Alveolar wall thickening or fibrosis on HPE
• Spatial and temporal homogeneity
• Cellular NSIP
• Fibrotic NSIP
Presentation
• Younger age than UIP 40-50 yrs
• 18 to 30 months symptom duration
• Responds to steroids
• Good prognosis
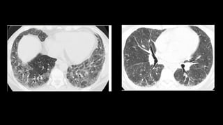
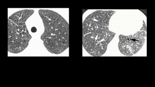
Fibrotic NSIP
• Ground-glass opacity or reticulation
• “without“ honeycombing
• subpleural and basal lung
• subpleural sparing
ORGANIZING PNEUMONIA (CRYPTOGENIC ORGANIZING PNEUMONIA)
• Patchy areas of organizing pneumonia
• mononuclear cells, foamy macrophages, and organizing fibrosis
• peripheral airspaces, including bronchioles, alveolar ducts, and alveoli
• 10 to 20%, common
• BOOP
• Idiopathic OP: COP
• A/w CVD (Myositis syndromes), pulmonary infection, drug reactions, bronchial
obstruction, aspiration, and after toxic fume inhalation
Presentation
• Several month h/o non productive cough, low grade fever, malaise, dyspnea
• ~55 years
• Symptom duration shorter, more systemic symptoms
• Steroid responsive
• Good prognosis
Radiography
Patterns
• Patchy consolidation or GGO (60%), subpleural and/or peribronchial
distribution
• Small, ill-defined nodules, peribronchial or peribronchiolar
• Large nodules or masses, which may be irregular in shape
• Focal or lobar consolidation
• reversed halo sign or atoll sign m/c drug reactions
• Perilobular pattern m/c with myositis syndromes
• Overlapping features with CEP
Differentials of Atoll/Reverse halo sign
• Infectious diseases: invasive aspergillosis, histoplasmosis, cryptococcosis,
PCP, TB, Legionella
• Non infectious: COP, Secondary organizing pneumonia
• Vasculitis
• Sarcoidosis
• Lipoid pneumonia
• Lymphomatoid granulomatosis
ACUTE INTERSTITIAL PNEUMONIA
• Fulminant disease of unknown cause
• Histologically DAD
• ~50 yrs, prodrome viral like
• mechanical ventilation within 2 weeks
• Hamman Rich syndrome/ Idiopathic ARDS
• Poor prognosis
DESQUAMATIVE PNEUMONIA, RESPIRATORY BRONCHIOLITIS,
RESPIRATORY BRONCHIOLITIS-INTERSTITIAL LUNG DISEASE
• Different degrees of lung involvement by the same process
• RB mildest, DIP most severe
• Alveolar macrophagic infiltrate: diffuse in DIP, peribronchiolar in RB
• Strong association with smoking, with cessation prognosis is very good
RBILD
Upper lobe predominance
LYMPHOID INTERSTITIAL PNEUMONIA
• histology: dense lymphoid interstitial infiltrate
• Extensive alveolar wall involvement
• Small airways with lymphoid follicles: Follicular bronchiolitis
• A/w CVD, immune deficiency, autoimmune disorder, drug toxicity
Patterns
• Patchy areas of GGO: immune deficiency
• Centrilobular nodules, Ill defined: AIDS, CVD
• Small, well-defined nodules perilymphatic distribution or
septal thickening: AIDS
• Isolated cystic airspaces: smog rents and other cvds
PLEUROPARENCHYMAL FIBROELASTOSIS
• Upper lobe predominant elastotic fibrosis of pleura and adjacent parenchyma
• Temporally homogeneous
• Idiopathic or a/w nonspecific autoantibodies, familial, BMT, lung transplantation with
restrictive allograft syndrome, or infection
• Dry cough, SOB for several yrs
• Progressive
• predominantly upper lung zone pleural thickening
• subpleural reticulation
• upper lobe volume loss
• upward retraction of the hila
LYMPHANGIOLEIOMYOMATOSIS
• progressive proliferation of perivascular epithelioid cells (PECs) in relation to
bronchioles, small pulmonary vessels, and lymphatics in the chest and
abdomen
• low-grade destructive metastasizing malignancy
• Associated with Tuberous sclerosis
• almost exclusively in women of childbearing age
• dyspnea, pneumothorax, or cough
• 60% chylous pleural effusions; 80% pneumothoraces; 30% to 40% blood-
streaked sputum or frank hemoptysis
Summing Up!
Case Profile: 63 year old male, presenting with progressive dyspnea, with
new onset requirement of oxygen aid.
Case Profile: An 33 year old female, known case of ALL, post
BMT, presenting with new onset shortness of breath, fever,
chills and cough.
Diagnosed with Invasive aspergillosis, and
started on Voriconazole.
Known case of pulmonary tuberculosis, with
increasing breathlessness, malaise and one
episode of hemoptysis. Sign?
Air crescent sign/ Monod Sign of fungal ball
Case Profile: Young female patient of Hodgkin’s
lymphoma on ABVD regimen, presenting with
dyspnea, cough and occasional fever.
Condition and likely causative agent?
• Diffuse alveolar Damage
• Bleomycin
ThankYou!u

ILD.pptx

  • 1.
    Dr Nivedita Charkrabarty DrAayush Dr Swetha Interstitial lung disease
  • 2.
    Definition • Heterogeneous groupof diffuse lung diseases occurring without known cause and associated with varying degrees of interstitial lung inflammation and fibrosis.
  • 3.
    Classification ILDs Major Chronic Fibrosing 1.UIP 2. NSIP Smoking related 3. DIP 4. RB Acute/Subacute 5. Organising pneumonia 6. DAD Rare 7. Lymphoid IP 8. Pleuropulmonary fibroelastosis
  • 4.
  • 6.
    USUAL INTERSTITIAL PNEUMONIAAND IDIOPATHIC PULMONARY FIBROSIS • Most common, 40% • UIP: histologic pattern, IPF: disease • Heterogeneous pattern: "spatial" and "temporal“ heterogeneity • >50 yrs • progressive dyspnea, cough, weight loss, and finger clubbing • PFT: restrictive pattern
  • 7.
    Clinical associations • Collagen-vasculardisease, • Asbestosis, • Drug toxicity, • Radiation, • Chronic hypersensitivity pneumonitis, or familial pulmonary fibrosis
  • 8.
    • In earlystages, the only HRCT abnormality may be fine reticulation • Honey combing 3mm to 2 cm, 3 in a row • reticular opacities • traction bronchiectasis • subpleural and lower lobe predominance • GGOs are rare
  • 10.
    Combined pulmonary fibrosisand emphysema Diagnostic Criteria ATS and ERS • 1. A UIP pattern on HRCT or histopathology • 2. The absence of an alternative etiology (e.g., collagen-vascular disease, asbestos exposure, drug treatment, hypersensitivity pneumonitis) after careful clinical evaluation (i.e., history, physical examination, pulmonary function testing, and laboratory assessment)
  • 11.
    UIP pattern • 1.Subpleural and basal predominance • 2. Reticular abnormality • 3. Honeycombing with or without traction bronchiectasis • 4. Absence of inconsistent features
  • 12.
    Possible UIP • 1.Subpleural and basal predominance • 2. Reticular abnormality • 3. Absence of inconsistent features
  • 13.
    Inconsistent with UIP •1. Upper or midlung predominance • 2. Peribronchovascular predominance • 3. Extensive ground-glass abnormality (extent > reticulation) • 4. Profuse micronodules (bilateral, predominantly upper lobes) • 5. Discrete cysts (multiple, bilateral, away from areas of honeycombing) • 6. Diffuse mosaic attenuation/air trapping (bilateral in three or more lobes) • 7. Segmental or lobar consolidation
  • 16.
    Radiography • CXR: subtle increasein opacity at lung base
  • 17.
    NONSPECIFIC INTERSTITIAL PNEUMONIA •Less common • Specific pathological entity • Alveolar wall thickening or fibrosis on HPE • Spatial and temporal homogeneity • Cellular NSIP • Fibrotic NSIP
  • 18.
    Presentation • Younger agethan UIP 40-50 yrs • 18 to 30 months symptom duration • Responds to steroids • Good prognosis
  • 19.
  • 20.
    • Ground-glass opacityor reticulation • “without“ honeycombing • subpleural and basal lung • subpleural sparing
  • 22.
    ORGANIZING PNEUMONIA (CRYPTOGENICORGANIZING PNEUMONIA) • Patchy areas of organizing pneumonia • mononuclear cells, foamy macrophages, and organizing fibrosis • peripheral airspaces, including bronchioles, alveolar ducts, and alveoli • 10 to 20%, common • BOOP • Idiopathic OP: COP • A/w CVD (Myositis syndromes), pulmonary infection, drug reactions, bronchial obstruction, aspiration, and after toxic fume inhalation
  • 23.
    Presentation • Several monthh/o non productive cough, low grade fever, malaise, dyspnea • ~55 years • Symptom duration shorter, more systemic symptoms • Steroid responsive • Good prognosis
  • 24.
  • 25.
    Patterns • Patchy consolidationor GGO (60%), subpleural and/or peribronchial distribution • Small, ill-defined nodules, peribronchial or peribronchiolar • Large nodules or masses, which may be irregular in shape • Focal or lobar consolidation • reversed halo sign or atoll sign m/c drug reactions • Perilobular pattern m/c with myositis syndromes • Overlapping features with CEP
  • 26.
    Differentials of Atoll/Reversehalo sign • Infectious diseases: invasive aspergillosis, histoplasmosis, cryptococcosis, PCP, TB, Legionella • Non infectious: COP, Secondary organizing pneumonia • Vasculitis • Sarcoidosis • Lipoid pneumonia • Lymphomatoid granulomatosis
  • 27.
    ACUTE INTERSTITIAL PNEUMONIA •Fulminant disease of unknown cause • Histologically DAD • ~50 yrs, prodrome viral like • mechanical ventilation within 2 weeks • Hamman Rich syndrome/ Idiopathic ARDS • Poor prognosis
  • 29.
    DESQUAMATIVE PNEUMONIA, RESPIRATORYBRONCHIOLITIS, RESPIRATORY BRONCHIOLITIS-INTERSTITIAL LUNG DISEASE • Different degrees of lung involvement by the same process • RB mildest, DIP most severe • Alveolar macrophagic infiltrate: diffuse in DIP, peribronchiolar in RB • Strong association with smoking, with cessation prognosis is very good
  • 31.
  • 32.
    LYMPHOID INTERSTITIAL PNEUMONIA •histology: dense lymphoid interstitial infiltrate • Extensive alveolar wall involvement • Small airways with lymphoid follicles: Follicular bronchiolitis • A/w CVD, immune deficiency, autoimmune disorder, drug toxicity
  • 33.
    Patterns • Patchy areasof GGO: immune deficiency • Centrilobular nodules, Ill defined: AIDS, CVD • Small, well-defined nodules perilymphatic distribution or septal thickening: AIDS • Isolated cystic airspaces: smog rents and other cvds
  • 36.
    PLEUROPARENCHYMAL FIBROELASTOSIS • Upperlobe predominant elastotic fibrosis of pleura and adjacent parenchyma • Temporally homogeneous • Idiopathic or a/w nonspecific autoantibodies, familial, BMT, lung transplantation with restrictive allograft syndrome, or infection • Dry cough, SOB for several yrs • Progressive • predominantly upper lung zone pleural thickening • subpleural reticulation • upper lobe volume loss • upward retraction of the hila
  • 38.
    LYMPHANGIOLEIOMYOMATOSIS • progressive proliferationof perivascular epithelioid cells (PECs) in relation to bronchioles, small pulmonary vessels, and lymphatics in the chest and abdomen • low-grade destructive metastasizing malignancy • Associated with Tuberous sclerosis • almost exclusively in women of childbearing age • dyspnea, pneumothorax, or cough • 60% chylous pleural effusions; 80% pneumothoraces; 30% to 40% blood- streaked sputum or frank hemoptysis
  • 41.
  • 42.
    Case Profile: 63year old male, presenting with progressive dyspnea, with new onset requirement of oxygen aid.
  • 43.
    Case Profile: An33 year old female, known case of ALL, post BMT, presenting with new onset shortness of breath, fever, chills and cough.
  • 44.
    Diagnosed with Invasiveaspergillosis, and started on Voriconazole.
  • 45.
    Known case ofpulmonary tuberculosis, with increasing breathlessness, malaise and one episode of hemoptysis. Sign?
  • 46.
    Air crescent sign/Monod Sign of fungal ball
  • 47.
    Case Profile: Youngfemale patient of Hodgkin’s lymphoma on ABVD regimen, presenting with dyspnea, cough and occasional fever. Condition and likely causative agent?
  • 48.
    • Diffuse alveolarDamage • Bleomycin
  • 49.