Adipose Tissue
"Mohmmadrjab" S. Seder
Faculty of Medicine
Histology
Table of Contents
Introduction
Functions of Adipose tissue
Types of Adipose tissue
White adipose tissue
Brown adipose tissue
2
Introduction
3
 Adipose tissue, or fat, is an
anatomical term for loose or
dense irregular connective
tissue composed of adipocytes.
Its main role is to store energy
in the form of fat, although it
also cushions and insulates the
body.
Adipose tissue = connective tissue made up of adipocytes
4
Adipocytes
 Also known as lipocytes and fat cells.
Adipocytes are the cells that primarily compose
adipose tissue, specialized in storing energy as
fat.
Adipocytes are derived from mesenchymal stem
cells which give rise to adipocytes through
adipogenesis.
5
Adipocyte
6
Adipocytes are active cells metabolically,
responding to both nervous and hormonal stimuli.
They release hormones and various other
important substances and adipose tissue is now
recognized as an endocrine organ at the center of
nutritional homeostasis.
Adipocytes can be found:
- Isolated
- In small groups within the connective tissue.
- But most are found in large aggregates
7
8
 Adipose tissue found in many organs and body
regions, and normally represents 15%-20% of the
body weight in men, 20%-25% of the body weight
in women.
 Besides serving as storage depots for neutral fats,
chiefly triglycerides (long-chain fatty acyl esters of
glycerol), adipocytes function as key regulators of
the body’s overall energy metabolism.
Triglyceride
Insoluble in water
The caloric density of triglycerides (9.3 kcal/g) is
twice that of proteins or carbohydrates, including
glycogen, making these simple lipids the most
efficient means of storing calories.
9
Adipose tissue fills spaces between other tissues,
helping to keep some organs in place.
Subcutaneous layers of adipose tissue help shape
the body surface, and cushion regions subject to
repeated mechanical stress such as the palms,
heels, and toe pads.
10
11
Adipose tissue expands by hypertrophy and
hyperplasia.
12
Hypertrophy is the increase in the volume of an organ or
tissue due to the enlargement of its component cells.
Hperplasia, in which the cells remain approximately the same
size but increase in number.
Functions of Adipose tissue
Is the largest repository of energy in the body
(Triglycerides /9.3 Kcal/g).
Subcutaneous layers help to shape the surface of
the body.
Deposits in the form of pads act as shock
absorbers.
Fills spaces between structures (protects).
Contributes to thermal insulation.
Secretes various types of molecules.
13
14
Types of Adipose tissue
There are two major types of adipose tissue with
different locations, structures, colors, and
functions.
White adipose tissue
Brown adipose tissue
15
White adipose tissue, the more common type
specialized for fat storage, consists of cells each
containing one large cytoplasmic droplet of
whitish-yellow fat.
Brown adipose tissue contains cells with multiple
lipid droplets interspersed among abundant
mitochondria, which helps give this tissue a darker
appearance.
Brown adipocytes release heat and function to
warm the blood.
16
17
18
White adipose tissue
Brown adipose tissue
Both types of adipose tissue have a rich blood
supply and the adipocytes.
Unlike other cells of connective tissue proper, are
individually surrounded by a thin external lamina
containing type IV collagen.
19
20
tissue
White adipose tissue
White adipocytes are also called unilocular.
White adipose tissue is found in many organs
throughout the body, typically forming about
20% of the body weight in adults.
 Adipocytes of white fat are typically very large
cells, ranging in diameter from 50 to 150 μm.
21
White adipose tissue specialized for relatively
long-term energy storage.
Adipocytes of white adipose tissue are spherical
when isolated but are polyhedral when closely
packed in situ.
When completely developed, a white adipocyte
Contains a single huge droplet of lipid filling
almost the entire cell. With the single large
droplets of triglycerides
22
23
Unilocular adipocytes are often empty in standard
light microscopy.
White adipose tissue
24
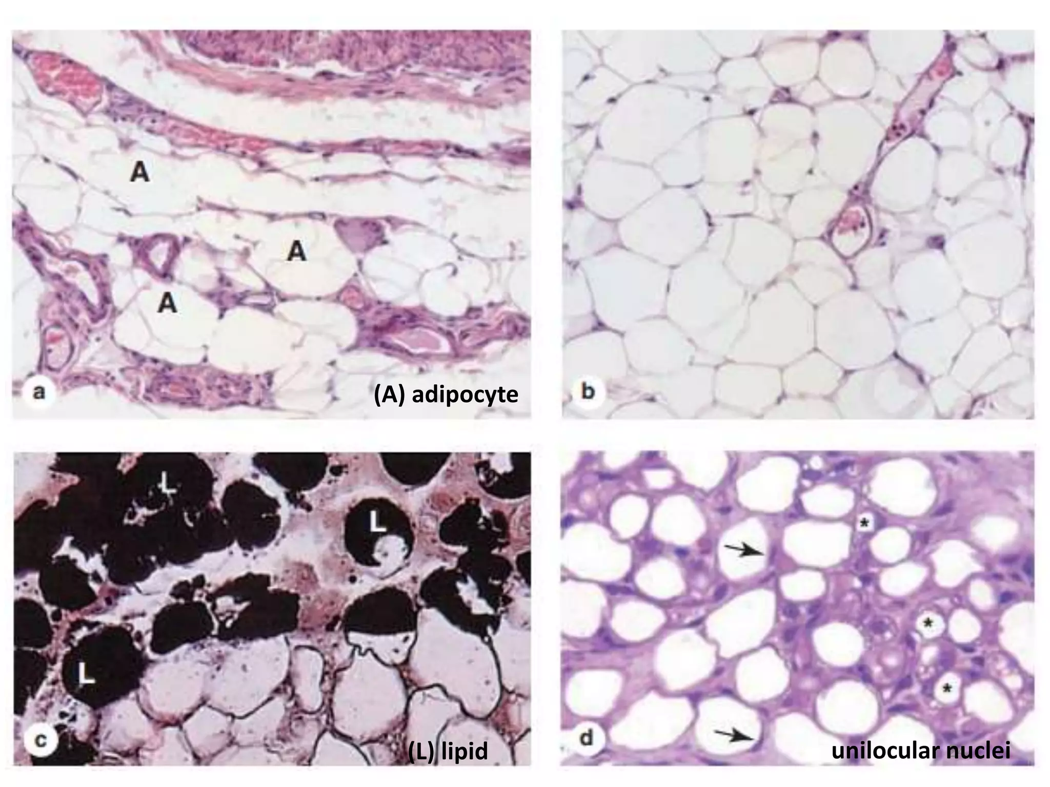
(A) adipocyte
(L) lipid unilocular nuclei
Most cytoplasmic organelles in a white adipocyte
are near the peripheral nucleus, including
mitochondria, a small Golgi apparatus, a few
cisternae of RER, and free polyribosomes. The
thin, submembranous layer of cytoplasm
surrounding the lipid droplet contains cisternae of
smooth ER (SER) and pinocytotic vesicles.
25
26
Storage & Mobilization of Lipids
White adipocytes can store triglycerides derived from
three sources:
Dietary fats brought to the cells via the circulation as
chylomicrons.
Lipids synthesized in the liver and transported in
blood with very low-density lipoproteins (VLDLs).
Free fatty acids and glycerol synthesized by the
adipocytes.
27
Chylomicrons
Chylomicrons are small, microscopic, lipoprotein
(molecule made up of proteins and lipids).
Have variable size, up to 1200 nm in diameter.
Formed from ingested lipids in epithelial cells.
Lining the small intestine and transported in the
blood and lymph.
They consist of a core containing mainly
triglycerides, surrounded by a stabilizing
monolayer of phospholipids, cholesterol, and
several apolipoproteins.
28
29
30
Very low-density lipoproteins (VLDLs)
VLDLs are smaller complexes (30-80 nm,
providing a greater surface-to-volume ratio), of
similar lipid and protein composition to
chylomicrons.
Synthesized from lipids in liver cells and released
into the bloodstream.
The VLDL particles mainly carry triglycerides
(fat), to your tissues
31
VLDL Chylomicrons
Synthesized in liver Synthesized in intestinal
epithelial cells
Smaller Larger
More lipid in their surface
layer
Less lipid in their surface
layer
Contain a higher proportion
of cholestrol ester to
triglycerides
Contain a lowerproportion
of cholestrol ester to
triglycerides
 In adipose tissue both chylomicrons and VLDLs are
hydrolyzed at the luminal surfaces of blood capillaries by
lipoprotein lipase, an enzyme synthesized by the
adipocytes and transferred to the capillary cell membrane.
 Free fatty acids then enter the adipocytes by both active
transport and diffusion.
 Within the adipocytes, the fatty acids combine with
glycerol phosphate, supplied by glucose metabolism, to
again form triglycerides, which are then deposited in the
growing lipid droplet.
 Insulin stimulates glucose uptake by adipocytes and
accelerates its conversion into triglycerides, and the
production of lipoprotein lipase
32
33
Lipid storage and mobilization from adipocytes
34
Histogenesis of White Adipose Tissue
Adipocytes develop from mesenchymal stem cells.
Adipose development first produces preadipocytes,
which look rather like larger fibroblasts with
cytoplasmic lipid droplets.
 Initially, the droplets of white adipocytes are
isolated from one another but soon fuse to form the
single large drople.
35
36
(A) adipocyte
(L) lipid unilocular nuclei
Brown adipose tissue
Brown adipose tissue constitutes 2%-5% of the
newborn body weight, located mainly in the
back, neck, and shoulders, but it is greatly
reduced during childhood and adolescence.
In adults it is found only in scattered areas,
especially around the kidneys, adrenal glands,
aorta, and mediastinum.
37
Brown adipose tissue
38
The color of brown fat is due to both the very
abundant mitochondria (containing cytochrome
pigment) scattered among the lipid droplets of the
fat cells and the large number of blood capillaries
in this tissue.
Brown adipocytes contain many small lipid
inclusions and are therefore called multilocular.
The small lipid droplets, abundant mitochondria,
and rich vasculature all help mediate this tissue’s
principal function of heat production and
warming the blood.
39
40
Brown adipose tissue.
BV: Blood vessels
Function of Brown Adipocytes
The main function of these multilocular adipose
cells is to produce heat by nonshivering
thermogenesis.
Thermogenesis is the process of heat production
in organisms.
 As in white fat, this neurotransmitter activates the
hormone-sensitive lipase of adipocytes, promoting
hydrolysis of triglycerides to fatty acids and
glycerol.
41
42
White adipose tissue
Brown adipose tissue
43
44
THANK YOU
THE END
Brown adipose tissue White adipose tissue Beige adipose tissue

Adipose Tissue Histology

  • 1.
    Adipose Tissue "Mohmmadrjab" S.Seder Faculty of Medicine Histology
  • 2.
    Table of Contents Introduction Functionsof Adipose tissue Types of Adipose tissue White adipose tissue Brown adipose tissue 2
  • 3.
    Introduction 3  Adipose tissue,or fat, is an anatomical term for loose or dense irregular connective tissue composed of adipocytes. Its main role is to store energy in the form of fat, although it also cushions and insulates the body.
  • 4.
    Adipose tissue =connective tissue made up of adipocytes 4
  • 5.
    Adipocytes  Also knownas lipocytes and fat cells. Adipocytes are the cells that primarily compose adipose tissue, specialized in storing energy as fat. Adipocytes are derived from mesenchymal stem cells which give rise to adipocytes through adipogenesis. 5
  • 6.
  • 7.
    Adipocytes are activecells metabolically, responding to both nervous and hormonal stimuli. They release hormones and various other important substances and adipose tissue is now recognized as an endocrine organ at the center of nutritional homeostasis. Adipocytes can be found: - Isolated - In small groups within the connective tissue. - But most are found in large aggregates 7
  • 8.
    8  Adipose tissuefound in many organs and body regions, and normally represents 15%-20% of the body weight in men, 20%-25% of the body weight in women.  Besides serving as storage depots for neutral fats, chiefly triglycerides (long-chain fatty acyl esters of glycerol), adipocytes function as key regulators of the body’s overall energy metabolism.
  • 9.
    Triglyceride Insoluble in water Thecaloric density of triglycerides (9.3 kcal/g) is twice that of proteins or carbohydrates, including glycogen, making these simple lipids the most efficient means of storing calories. 9
  • 10.
    Adipose tissue fillsspaces between other tissues, helping to keep some organs in place. Subcutaneous layers of adipose tissue help shape the body surface, and cushion regions subject to repeated mechanical stress such as the palms, heels, and toe pads. 10
  • 11.
  • 12.
    Adipose tissue expandsby hypertrophy and hyperplasia. 12 Hypertrophy is the increase in the volume of an organ or tissue due to the enlargement of its component cells. Hperplasia, in which the cells remain approximately the same size but increase in number.
  • 13.
    Functions of Adiposetissue Is the largest repository of energy in the body (Triglycerides /9.3 Kcal/g). Subcutaneous layers help to shape the surface of the body. Deposits in the form of pads act as shock absorbers. Fills spaces between structures (protects). Contributes to thermal insulation. Secretes various types of molecules. 13
  • 14.
  • 15.
    Types of Adiposetissue There are two major types of adipose tissue with different locations, structures, colors, and functions. White adipose tissue Brown adipose tissue 15
  • 16.
    White adipose tissue,the more common type specialized for fat storage, consists of cells each containing one large cytoplasmic droplet of whitish-yellow fat. Brown adipose tissue contains cells with multiple lipid droplets interspersed among abundant mitochondria, which helps give this tissue a darker appearance. Brown adipocytes release heat and function to warm the blood. 16
  • 17.
  • 18.
  • 19.
    Both types ofadipose tissue have a rich blood supply and the adipocytes. Unlike other cells of connective tissue proper, are individually surrounded by a thin external lamina containing type IV collagen. 19
  • 20.
  • 21.
    White adipose tissue Whiteadipocytes are also called unilocular. White adipose tissue is found in many organs throughout the body, typically forming about 20% of the body weight in adults.  Adipocytes of white fat are typically very large cells, ranging in diameter from 50 to 150 μm. 21
  • 22.
    White adipose tissuespecialized for relatively long-term energy storage. Adipocytes of white adipose tissue are spherical when isolated but are polyhedral when closely packed in situ. When completely developed, a white adipocyte Contains a single huge droplet of lipid filling almost the entire cell. With the single large droplets of triglycerides 22
  • 23.
    23 Unilocular adipocytes areoften empty in standard light microscopy. White adipose tissue
  • 24.
    24 (A) adipocyte (L) lipidunilocular nuclei
  • 25.
    Most cytoplasmic organellesin a white adipocyte are near the peripheral nucleus, including mitochondria, a small Golgi apparatus, a few cisternae of RER, and free polyribosomes. The thin, submembranous layer of cytoplasm surrounding the lipid droplet contains cisternae of smooth ER (SER) and pinocytotic vesicles. 25
  • 26.
    26 Storage & Mobilizationof Lipids White adipocytes can store triglycerides derived from three sources: Dietary fats brought to the cells via the circulation as chylomicrons. Lipids synthesized in the liver and transported in blood with very low-density lipoproteins (VLDLs). Free fatty acids and glycerol synthesized by the adipocytes.
  • 27.
    27 Chylomicrons Chylomicrons are small,microscopic, lipoprotein (molecule made up of proteins and lipids). Have variable size, up to 1200 nm in diameter. Formed from ingested lipids in epithelial cells. Lining the small intestine and transported in the blood and lymph. They consist of a core containing mainly triglycerides, surrounded by a stabilizing monolayer of phospholipids, cholesterol, and several apolipoproteins.
  • 28.
  • 29.
  • 30.
    30 Very low-density lipoproteins(VLDLs) VLDLs are smaller complexes (30-80 nm, providing a greater surface-to-volume ratio), of similar lipid and protein composition to chylomicrons. Synthesized from lipids in liver cells and released into the bloodstream. The VLDL particles mainly carry triglycerides (fat), to your tissues
  • 31.
    31 VLDL Chylomicrons Synthesized inliver Synthesized in intestinal epithelial cells Smaller Larger More lipid in their surface layer Less lipid in their surface layer Contain a higher proportion of cholestrol ester to triglycerides Contain a lowerproportion of cholestrol ester to triglycerides
  • 32.
     In adiposetissue both chylomicrons and VLDLs are hydrolyzed at the luminal surfaces of blood capillaries by lipoprotein lipase, an enzyme synthesized by the adipocytes and transferred to the capillary cell membrane.  Free fatty acids then enter the adipocytes by both active transport and diffusion.  Within the adipocytes, the fatty acids combine with glycerol phosphate, supplied by glucose metabolism, to again form triglycerides, which are then deposited in the growing lipid droplet.  Insulin stimulates glucose uptake by adipocytes and accelerates its conversion into triglycerides, and the production of lipoprotein lipase 32
  • 33.
    33 Lipid storage andmobilization from adipocytes
  • 34.
    34 Histogenesis of WhiteAdipose Tissue Adipocytes develop from mesenchymal stem cells. Adipose development first produces preadipocytes, which look rather like larger fibroblasts with cytoplasmic lipid droplets.  Initially, the droplets of white adipocytes are isolated from one another but soon fuse to form the single large drople.
  • 35.
  • 36.
    36 (A) adipocyte (L) lipidunilocular nuclei
  • 37.
    Brown adipose tissue Brownadipose tissue constitutes 2%-5% of the newborn body weight, located mainly in the back, neck, and shoulders, but it is greatly reduced during childhood and adolescence. In adults it is found only in scattered areas, especially around the kidneys, adrenal glands, aorta, and mediastinum. 37
  • 38.
  • 39.
    The color ofbrown fat is due to both the very abundant mitochondria (containing cytochrome pigment) scattered among the lipid droplets of the fat cells and the large number of blood capillaries in this tissue. Brown adipocytes contain many small lipid inclusions and are therefore called multilocular. The small lipid droplets, abundant mitochondria, and rich vasculature all help mediate this tissue’s principal function of heat production and warming the blood. 39
  • 40.
  • 41.
    Function of BrownAdipocytes The main function of these multilocular adipose cells is to produce heat by nonshivering thermogenesis. Thermogenesis is the process of heat production in organisms.  As in white fat, this neurotransmitter activates the hormone-sensitive lipase of adipocytes, promoting hydrolysis of triglycerides to fatty acids and glycerol. 41
  • 42.
  • 43.
  • 44.
    44 THANK YOU THE END Brownadipose tissue White adipose tissue Beige adipose tissue