ACUTE
PANCREATITIS
D R K T D P R I YA D A R S H A N I
R E G I S T R A R - E M E R G E N C Y M E D I C I N E
SCOPE
• Anatomy & Physiology
• Epidemiology
• Pathophysiology
• Clinical presentation
• Investigation
• Treatment
• Complication
• Disposition
ANATOMY & PHYSIOLOGY
EPIDEMIOLOGY
• Incidence*
– Acute pancreatitis 13-45 per 100,000
• Most have only one episode
• 15-30% at least one recurrence
• 5-25% chronic pancreatitis*
– Chronic pancreatitis 5-12 per 100,000
• Gender
– Acute pancreatitis- both genders equal
– Chronic pancreatitis- More common among men than women
• Age
– Acute- increases with age
– Chronic- primarily affects middle aged patients
• Yadav D, Lowenfels AB. The epidemiology of pancreatitis & pancreatic cancer. Gastroenterology 2013
• Tintinal’s Emergency Medicine 9th edition
• Mortality among all admissions 1%
– 15% in pancreatic necrosis
– 30% in infected pancreatic necrosis
• Up to 15% will develop necrosis
Heckler, M., Hackert, T., Hu, K. et al. Severe acute pancreatitis: surgical indications and treatment. Langenbecks Arch Surg 406, 521–535 (2021)
CAUSES
1. Gall stones (40-50%)
2. Alcohol (20%)
3. Hypertriglyceridemia ( triglycerides >1000 mg/dL/ 11.30 mmol/L)
4. Medication ( over 500 drugs- but <2% cases)
5. Infection
6. Metabolic
7. Autoimmune
8. Iatrogenic (post ERCP- 5% with in 30 days)
9. Hereditary
10. Malignancy
10-25% of acute pancreatitis cases the etiology is unclear despite workup*
Idiopathic pancreatitis, >40yrs or with prolonged or recurrent disease- consider pancreatic malignancy *
*Waller A, Long B, Koyfman A, Gottlieb M. Acute pancreatitis :updates for emergency clinicians. J Emerg Med. 2018
* Tanner S, Baillie J, DeWitt J, Vege SS: American college of Gastroenterology. American college of gastroenterology guideline: Management of acute
pancreatitis- 2014
Medications
• Analgesics
– Acetaminophen
– Codeine (& other opiates)
• CVS drugs
– Amiodarone
– ACEI/ARB
– Diuretics
• Steroids
– Dexamethasone
• Antibiotics
– Erythoromycin
– Metronidazole
– Tetracycline
– TB antibiotics ( dapsone, isoniazid,
rifampin)
• Antiepileptic
– Carbamazepine
– Valporic acid
• Endocrine drugs
– Estrogens
– Methimazole
– Simvastatin
• Cannabis
• Antiretrovirals
– 2-3 dideoxyinosine
• Chemotherapy
• Immune suppressants
PATHOPHYSIOLOGY
• An inflammatory process caused by pancreatic autodigestion
– Cell damage
– Activate trypsinogen & inflammatory mediators
– Potentiate feedback loop
• Chronic pancreatitis-
– progressive inflammatory changes
– Leads to structural damage
– Impaired endocrine & exocrine function
– significant fibrosis- enzymes are not elevated
CLINICAL PRESENTATION
• Persistent epigastric upper abdominal pain
– Often radiates to back, chest or flanks
– Associated with nausea & vomiting (90%)
– Worsen with lying supine & improve with sitting up with the knees flexed.
• May have anorexia- pain worsen with oral
• Risk factors
– Alcohol
– Past hx of pancreatitis
– Medications
– Positive family history
• Abnormal vital signs
– Tachycardia
– Tachypnea
– Fever
– Hypotension
• Abdominal examination
– Guarding
– Reduced bowel sounds +/-
– Occasionally- jaundice, pale, sweaty
• Grey Turner’s sign (0.96%), Cullen’s sign(0.77%) & erythematous skin nodules from
focal subcutaneous fat necrosis and purtscher retinopathy are rare & occur very late in
the disease*
* Wallwe A, Long B, Koyfman A, Gottlieb M. Acute pancreatitis :updates for emergency clinicians. J Emerg Med. 2018
DIAGNOSIS
• 2/3 Atlanta criteria (1992-2012)
1. Upper abdominal pain consistent with pancreatitis
2. Serum lipase or amylase at more than 3 time ULN
3. Imaging shows pancreatic inflammation on CT with IV contrast, MRI or USS
Severity
• Mild acute- no local or systemic complications
• Moderate acute-
– local or systemic complications or
– transient (<48h) organ failure
• Severe acute-
– persistent organ failure (>48h),
– pancreatic necrosis,
– persistent systemic inflammatory response syndrome
• Pulse >90
• RR >20 or partial pressure of CO2 <32mmHg
• Temperature >38 or <36
• WBC >12,000 or <4000
• Chronic-
– classic pain without laboratory abnormalities,
– accompanied by fibrotic changes or calcification on imaging
INVESTIGATIONS
Laboratory studies
• Amylase (3* ULN) sensitivity 70%- 80% PPV (15%-
72%)
– Rise with in few hours, peak with in 48 hrs,
normalizes in 3-5 days
– 20% (alcohol & Hypertriglyceridemia related
disease)- Normal amylase
– Elevate in multiple non pancreatic related disease
(Mnemonic: AMyLASE)
• Aortic aneurysm, appendicitis
• Macroamylasemia
• LOBE tumors (Lung, Ovary, Breast, Esophagus
cancers)
• Acidosis (DKA), Acute renal failure
• Salivary gland disease
• Ectopic rupture, Esophageal perforation
Test Rise Peak
Return
to
baseline
Lipase
4-6
hours
48
8-14
days
Amylase
2-4
hours
24-48 5-7 days
• Lipase (3* ULN) 100% Sensitive 99% Specific
– Remains elevated for longer
– Elevated in DM, Renal disease- less associated than amylase
– Mnemonic: LIPASE
• Lipasemia (Macrolipasemia)
• Inflammatory bowel disease
• Perforated duodenum
• Acute cholecystitis
• Embolism (Fat), Extrahepatic biliary obstruction
– More sensitive in delayed presentation & pancreatitis associated with alcohol &
hypertriglyceridemia
• Limitations
– Amylase *3ULN & Lipase *2 ULN
– Any elevation above normal is consistent with diagnosis
– Cutoffs for older with co-morbidities
– Amylase or lipase- level does not correlate severity or prognosis
• Urine trypsinogen 2 dipstick (sensitivity 82% & specificity 94%)
– Rapid, non invasive test
– Not widely available
• Alanine aminotransferase >150 U/L within the first 48 hrs
– Predict gallstone pancreatitis (>85% PPV)
• CRP may be useful in predicting disease severity*
• Procalcitonin may be a better marker of pancreatic necrosis than CRP at 24 h
• BUN- a prognostic indicator in acute pancreatitis- initial value & change within 24 hrs
can predict mortality*
• Chemokine monocyte chemotactic protein-1 (MCP-1) polymorphism- predict severity
• Majidi S, Golembioski A, Wilson SL, Thompson EC, Acute pancreatitis; Etiology, pathology, diagnosis & treatment. South Med J 2017
• Wu BU, Hwang JQ, Gardner TH et al; Lactated ringer’s solution reduces syatemic inflammation compared with saline in patients with acute
pancreatitis, Clin Gastroenterol Hepatol 2011
• Assess other organ involvement
– Renal
– Liver
– Electrolytes
– Glucose
– WBC
– Hb/HCT
Imaging-
• TAS
– Look for gallstones
• Endoscopic USS*
– In both acute & chronic pancreatitis
– Useful information regarding
pancreatic function, micro lithiasis
& periampullary lesions
– But needs highly skilled
gastroenterologist
*Tanner S, Baillie J, DeWitt J, Vege SS: American college of Gastroenterology. American college of gastroenterology guideline: Management of acute
pancreatitis- 2014
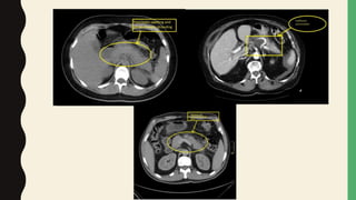
Computed Tomography
• Routine CT with IV/O contrast- not recommended
– Most have uncomplicated disease
– No evidence that early CT improves clinical outcome- probably CT findings are delayed &
may underestimate disease severity
– Early detection of peripancreatic fluid collection or pancreatic necrosis with in first few days-
require no Rx
– Complete extent of local complications is usually not appreciated until at least 3 days after
onset of symptoms (false negative in too early disease)
– IV contrast- allergic reactions, nephrotoxicity & worsening of pancreatitis
• If clinical diagnosis is in doubt- consider further evaluation with IV contrast abdominal
CT
– Pancreatic parenchymal inflammation +/- peripancreatic fat inflammation
– Pancreatic parenchymal necrosis or peripancreatic necrosis
– Peripancreatic fluid collection
– Pancreatic pseudocyst
• Non contrast MRI (MRCP)
– Can identify complications of pancreatitis & choledocholithiasis
– Alternative for renal failure, allergic for IV contrast, pregnancy
SCORING!
• Scoring systems- all have high false positive rates
1. Ranson’s criteria
2. Acute physiology & chronic health examination –II (APACHE)
3. Modified Glasgow score
4. Bedside index for severity in acute pancreatitis (BISAP)
5. Balthazar CT severity index
RANSON’S CRITERIA
• Require both admission & 48 h data
• >2 at presentation- severe illness require
admission
• Predict severity & mortality
GLASGOW SCORE
• Prognostic score
• >3- severe pancreatitis likely
• Refer to HDU/ICU
• <3- severe pancreatitis
unlikely
BISAP
• More sensitive & specific
than Ranson’s criteria &
APACHE II
• Allows for early
identification of patients at
increased risk for in hospital
mortality
BALTHAZAR SCORE
MANAGEMENT
• Goals
1. Limit the severity of pancreatic inflammation & necrosis
2. Provide supportive treatment
TREATMENT
1. Aggressive crystalloid therapy ( decreases morbidity & mortality)
– Vomiting, third spacing of fluids
– Large volumes of NS- hyperchloremic metabolic acidosis- further activate trypsinogen, AKI
& immune dysfunction*
– RL- reduces SIRS but contains Ca
– 20ml/kg bolus over 30 min, then 1.5-3 ml/kg/h for 12-24 hrs
2. Monitor
– Vital signs
– Pulse oximetry
3. Pain-
– IV Opioids
– Ketorolac may induce or worsen existing pancreatitis*
*de- Madaria E, Herrera- Marante I, Gonzalez- Camacho V et al. fluid resuscitayion with lactated Ringer’s solution vs normal saline in acute pancreatitis: a
triple blind, randomized, controlled trial 2018
*Majidi S, Golembioski A, Wilson SL, Thompson EC, Acute pancreatitis; Etiology, pathology, diagnosis & treatment. South Med J 2017
1. Nausea /Vomiting
– Antiemetics
– NBM
– No benefit to NG tube ( exception ileus)
– Early initiation of a low fat diet is beneficial (24-48 hr) vs TPN
2. Electrolyte imbalance –
– Low Ca, Mg,
– Hyperglycemia
3. Antibiotics
– No prophylaxis
– If known or strongly suspect an infection only
– For septic patients give antibiotics until infected pancreatic necrosis excluded*
• Imipenem/cilastatin 500mg 6h
• Naser JY, Papachiristou GI, Early fluid resuscitation I acute pancreatitis: a lot more than just fluids. Clin Gastroenterol Hepatol 2011
• Waller A, Long B, Koyfman A, Gottlieb M. Acute pancreatitis :updates for emergency clinicians. J Emerg Med. 2018
1. Other organ support
– CVS
– Respi
– Renal
2. Surgical management
1. GE referral if
• Liver dysfunction
• Cholangitis
• Dilated CBD
2. Biliary obstruction/ choledocholithiasis- urgent ERCP + sphincterotomy
3. Gallstone pancreatitis- Cholecystectomy
3. Preventive measures
– Counselling & cessation of alcohol*
*Yadav D, Lowenfels AB. The epidemiology of pancreatitis & pancreatic cancer. Gastroenterology 2013
ERCP
• ERCP + Sphincterotomy and stone extraction
– Reduce length of hospital stay
– Reduce complication rate
– Reduce mortality
• Biliary pancreatitis + dilated obstructed CBD + Elevated plasma bilirubin level
– ERCP is warranted with in first 72 hrs
COMPLICATIONS
Pancreatic Peri pancreatic Extra-pancreatic
• Fluid collection
• Necrosis
• Sterile or infected
• Acute or walled
off
• Abscess
• Ascites
• Fluid collection
• Necrosis
• Intra abdominal or
retroperitoneal
hemorrhage
• Pseudoaneurysm
• Bowel inflammation,
infarction or necrosis
• Biliary obstruction
with jaundice
• Splenic or portal vein
thrombosis
• CVS
• Pulmonary
• Hematologic
• GI
• Renal
• Metabolic
PERI PANCREATIC FLUID
• 30-57% of patient
– Resolve
– Progress to encapsulation of fluid ( pseudocyst) 4 wks
– Necrotic tissue ( walled off necrosis)- 4-6 wks
• Sterile vs infected- clinical challenge
• Intervention
– Infected pancreatic necrosis
– 33%*
– Mortality rate 15%
* Van Dijk SM, Hallenslebn NDL, van Santvoort HC, et al. Acute pancreatitis, recent advances through randomized trials 2017
• Infection can be confirmed by*
– Gas within a necrotic collection on imaging
– Positive result of fine needle aspiration
– Clinical suspicion based on signs of infection or new or persistent organ failure
• Antibiotics
– E coli 26%
– Pseudomonas species 16%
– Staphylococcus species 15%
• Delay intervention until walled off necrosis occurs*
– Follows a step up approach
• Catheter drainage first, then necrosectomy only when indicated
• Minimally invasive techniques are preferred over open surgery
*Van Dijk SM, Hallenslebn NDL, van Santvoort HC, et al. Acute pancreatitis, recent advances through randomized trials 2017
CHRONIC PANCREATITIS
• Classic triad- pancreatic calcifications, steatorrhea, DM
• Not seen until the patient develops very advanced disease*
• Amylase & lipase are often normal
• Home pain control- amitriptyline, pregabalin & chronic opiates
• Symptoms can be controlled by
– Alcohol cessation
– Small- low fat meals
– Smoking cessation
– Enzyme supplements
• Pseudocysts
– (10% ) Of chronic pancreatitis
• Often asymptomatic
• Depend on size & location- pain, duodenal or biliary obstruction, fistula formation, vascular
occlusion
DISPOSITION & FOLLOW-UP
• Discharge- young, non biliary pancreatitis, pain controlled, tolerate oral, no evidence
of gallstones
– Refer for follow-up to prevent recurrence
• Admission
– 1st bout of acute pancreatitis, biliary pancreatitis
– Pain not controlled
– Not tolerating oral
– Persistent abnormal vital signs
– Signs of other organ insufficiency
• Consider ICU if
– Elevated BUN
– >2 SIRS criteria
– Sign of persistent organ insufficiency
– BISAP score >2
– Abnormal vitals
REFERENCES
• Tintinali’s Emergency Medicine 9th
• Yadav D, Lowenfels AB. The epidemiology of pancreatitis & pancreatic cancer. Gastroenterology 2013
• Waller A, Long B, Koyfman A, Gottlieb M. Acute pancreatitis :updates for emergency clinicians. J Emerg Med.
2018
• Tanner S, Baillie J, DeWitt J, Vege SS: American college of Gastroenterology. American college of
gastroenterology guideline: Management of acute pancreatitis- 2014
• Szucs A, Marjai T, Szentesi A et al; chronic pancreatitis: multicenter prospective data collection and analysis
by the Hungarian pancreatic study group. PLoS One 2017
• Majidi S, Golembioski A, Wilson SL, Thompson EC, Acute pancreatitis; Etiology, pathology, diagnosis &
treatment. South Med J 2017
• de- Madaria E, Herrera- Marante I, Gonzalez- Camacho V et al. fluid resuscitayion with lactated Ringer’s
solution vs normal saline in acute pancreatitis: a triple blind, randomized, controlled trial 2018
• Van Dijk SM, Hallenslebn NDL, van Santvoort HC, et al. Acute pancreatitis, recent advances through
randomized trials 2017
Acute Pancreatitis.pptx

Acute Pancreatitis.pptx

  • 1.
    ACUTE PANCREATITIS D R KT D P R I YA D A R S H A N I R E G I S T R A R - E M E R G E N C Y M E D I C I N E
  • 2.
    SCOPE • Anatomy &Physiology • Epidemiology • Pathophysiology • Clinical presentation • Investigation • Treatment • Complication • Disposition
  • 3.
  • 5.
    EPIDEMIOLOGY • Incidence* – Acutepancreatitis 13-45 per 100,000 • Most have only one episode • 15-30% at least one recurrence • 5-25% chronic pancreatitis* – Chronic pancreatitis 5-12 per 100,000 • Gender – Acute pancreatitis- both genders equal – Chronic pancreatitis- More common among men than women • Age – Acute- increases with age – Chronic- primarily affects middle aged patients • Yadav D, Lowenfels AB. The epidemiology of pancreatitis & pancreatic cancer. Gastroenterology 2013 • Tintinal’s Emergency Medicine 9th edition
  • 6.
    • Mortality amongall admissions 1% – 15% in pancreatic necrosis – 30% in infected pancreatic necrosis • Up to 15% will develop necrosis Heckler, M., Hackert, T., Hu, K. et al. Severe acute pancreatitis: surgical indications and treatment. Langenbecks Arch Surg 406, 521–535 (2021)
  • 7.
    CAUSES 1. Gall stones(40-50%) 2. Alcohol (20%) 3. Hypertriglyceridemia ( triglycerides >1000 mg/dL/ 11.30 mmol/L) 4. Medication ( over 500 drugs- but <2% cases) 5. Infection 6. Metabolic 7. Autoimmune 8. Iatrogenic (post ERCP- 5% with in 30 days) 9. Hereditary 10. Malignancy 10-25% of acute pancreatitis cases the etiology is unclear despite workup* Idiopathic pancreatitis, >40yrs or with prolonged or recurrent disease- consider pancreatic malignancy * *Waller A, Long B, Koyfman A, Gottlieb M. Acute pancreatitis :updates for emergency clinicians. J Emerg Med. 2018 * Tanner S, Baillie J, DeWitt J, Vege SS: American college of Gastroenterology. American college of gastroenterology guideline: Management of acute pancreatitis- 2014
  • 8.
    Medications • Analgesics – Acetaminophen –Codeine (& other opiates) • CVS drugs – Amiodarone – ACEI/ARB – Diuretics • Steroids – Dexamethasone • Antibiotics – Erythoromycin – Metronidazole – Tetracycline – TB antibiotics ( dapsone, isoniazid, rifampin) • Antiepileptic – Carbamazepine – Valporic acid • Endocrine drugs – Estrogens – Methimazole – Simvastatin • Cannabis • Antiretrovirals – 2-3 dideoxyinosine • Chemotherapy • Immune suppressants
  • 9.
    PATHOPHYSIOLOGY • An inflammatoryprocess caused by pancreatic autodigestion – Cell damage – Activate trypsinogen & inflammatory mediators – Potentiate feedback loop • Chronic pancreatitis- – progressive inflammatory changes – Leads to structural damage – Impaired endocrine & exocrine function – significant fibrosis- enzymes are not elevated
  • 10.
    CLINICAL PRESENTATION • Persistentepigastric upper abdominal pain – Often radiates to back, chest or flanks – Associated with nausea & vomiting (90%) – Worsen with lying supine & improve with sitting up with the knees flexed. • May have anorexia- pain worsen with oral • Risk factors – Alcohol – Past hx of pancreatitis – Medications – Positive family history
  • 11.
    • Abnormal vitalsigns – Tachycardia – Tachypnea – Fever – Hypotension • Abdominal examination – Guarding – Reduced bowel sounds +/- – Occasionally- jaundice, pale, sweaty • Grey Turner’s sign (0.96%), Cullen’s sign(0.77%) & erythematous skin nodules from focal subcutaneous fat necrosis and purtscher retinopathy are rare & occur very late in the disease* * Wallwe A, Long B, Koyfman A, Gottlieb M. Acute pancreatitis :updates for emergency clinicians. J Emerg Med. 2018
  • 13.
    DIAGNOSIS • 2/3 Atlantacriteria (1992-2012) 1. Upper abdominal pain consistent with pancreatitis 2. Serum lipase or amylase at more than 3 time ULN 3. Imaging shows pancreatic inflammation on CT with IV contrast, MRI or USS
  • 14.
    Severity • Mild acute-no local or systemic complications • Moderate acute- – local or systemic complications or – transient (<48h) organ failure • Severe acute- – persistent organ failure (>48h), – pancreatic necrosis, – persistent systemic inflammatory response syndrome • Pulse >90 • RR >20 or partial pressure of CO2 <32mmHg • Temperature >38 or <36 • WBC >12,000 or <4000 • Chronic- – classic pain without laboratory abnormalities, – accompanied by fibrotic changes or calcification on imaging
  • 15.
    INVESTIGATIONS Laboratory studies • Amylase(3* ULN) sensitivity 70%- 80% PPV (15%- 72%) – Rise with in few hours, peak with in 48 hrs, normalizes in 3-5 days – 20% (alcohol & Hypertriglyceridemia related disease)- Normal amylase – Elevate in multiple non pancreatic related disease (Mnemonic: AMyLASE) • Aortic aneurysm, appendicitis • Macroamylasemia • LOBE tumors (Lung, Ovary, Breast, Esophagus cancers) • Acidosis (DKA), Acute renal failure • Salivary gland disease • Ectopic rupture, Esophageal perforation Test Rise Peak Return to baseline Lipase 4-6 hours 48 8-14 days Amylase 2-4 hours 24-48 5-7 days
  • 16.
    • Lipase (3*ULN) 100% Sensitive 99% Specific – Remains elevated for longer – Elevated in DM, Renal disease- less associated than amylase – Mnemonic: LIPASE • Lipasemia (Macrolipasemia) • Inflammatory bowel disease • Perforated duodenum • Acute cholecystitis • Embolism (Fat), Extrahepatic biliary obstruction – More sensitive in delayed presentation & pancreatitis associated with alcohol & hypertriglyceridemia • Limitations – Amylase *3ULN & Lipase *2 ULN – Any elevation above normal is consistent with diagnosis – Cutoffs for older with co-morbidities – Amylase or lipase- level does not correlate severity or prognosis
  • 17.
    • Urine trypsinogen2 dipstick (sensitivity 82% & specificity 94%) – Rapid, non invasive test – Not widely available • Alanine aminotransferase >150 U/L within the first 48 hrs – Predict gallstone pancreatitis (>85% PPV) • CRP may be useful in predicting disease severity* • Procalcitonin may be a better marker of pancreatic necrosis than CRP at 24 h • BUN- a prognostic indicator in acute pancreatitis- initial value & change within 24 hrs can predict mortality* • Chemokine monocyte chemotactic protein-1 (MCP-1) polymorphism- predict severity • Majidi S, Golembioski A, Wilson SL, Thompson EC, Acute pancreatitis; Etiology, pathology, diagnosis & treatment. South Med J 2017 • Wu BU, Hwang JQ, Gardner TH et al; Lactated ringer’s solution reduces syatemic inflammation compared with saline in patients with acute pancreatitis, Clin Gastroenterol Hepatol 2011
  • 18.
    • Assess otherorgan involvement – Renal – Liver – Electrolytes – Glucose – WBC – Hb/HCT
  • 19.
    Imaging- • TAS – Lookfor gallstones • Endoscopic USS* – In both acute & chronic pancreatitis – Useful information regarding pancreatic function, micro lithiasis & periampullary lesions – But needs highly skilled gastroenterologist *Tanner S, Baillie J, DeWitt J, Vege SS: American college of Gastroenterology. American college of gastroenterology guideline: Management of acute pancreatitis- 2014
  • 20.
    Computed Tomography • RoutineCT with IV/O contrast- not recommended – Most have uncomplicated disease – No evidence that early CT improves clinical outcome- probably CT findings are delayed & may underestimate disease severity – Early detection of peripancreatic fluid collection or pancreatic necrosis with in first few days- require no Rx – Complete extent of local complications is usually not appreciated until at least 3 days after onset of symptoms (false negative in too early disease) – IV contrast- allergic reactions, nephrotoxicity & worsening of pancreatitis • If clinical diagnosis is in doubt- consider further evaluation with IV contrast abdominal CT – Pancreatic parenchymal inflammation +/- peripancreatic fat inflammation – Pancreatic parenchymal necrosis or peripancreatic necrosis – Peripancreatic fluid collection – Pancreatic pseudocyst
  • 22.
    • Non contrastMRI (MRCP) – Can identify complications of pancreatitis & choledocholithiasis – Alternative for renal failure, allergic for IV contrast, pregnancy
  • 23.
    SCORING! • Scoring systems-all have high false positive rates 1. Ranson’s criteria 2. Acute physiology & chronic health examination –II (APACHE) 3. Modified Glasgow score 4. Bedside index for severity in acute pancreatitis (BISAP) 5. Balthazar CT severity index
  • 24.
    RANSON’S CRITERIA • Requireboth admission & 48 h data • >2 at presentation- severe illness require admission • Predict severity & mortality
  • 25.
    GLASGOW SCORE • Prognosticscore • >3- severe pancreatitis likely • Refer to HDU/ICU • <3- severe pancreatitis unlikely
  • 26.
    BISAP • More sensitive& specific than Ranson’s criteria & APACHE II • Allows for early identification of patients at increased risk for in hospital mortality
  • 27.
  • 28.
    MANAGEMENT • Goals 1. Limitthe severity of pancreatic inflammation & necrosis 2. Provide supportive treatment
  • 29.
    TREATMENT 1. Aggressive crystalloidtherapy ( decreases morbidity & mortality) – Vomiting, third spacing of fluids – Large volumes of NS- hyperchloremic metabolic acidosis- further activate trypsinogen, AKI & immune dysfunction* – RL- reduces SIRS but contains Ca – 20ml/kg bolus over 30 min, then 1.5-3 ml/kg/h for 12-24 hrs 2. Monitor – Vital signs – Pulse oximetry 3. Pain- – IV Opioids – Ketorolac may induce or worsen existing pancreatitis* *de- Madaria E, Herrera- Marante I, Gonzalez- Camacho V et al. fluid resuscitayion with lactated Ringer’s solution vs normal saline in acute pancreatitis: a triple blind, randomized, controlled trial 2018 *Majidi S, Golembioski A, Wilson SL, Thompson EC, Acute pancreatitis; Etiology, pathology, diagnosis & treatment. South Med J 2017
  • 30.
    1. Nausea /Vomiting –Antiemetics – NBM – No benefit to NG tube ( exception ileus) – Early initiation of a low fat diet is beneficial (24-48 hr) vs TPN 2. Electrolyte imbalance – – Low Ca, Mg, – Hyperglycemia 3. Antibiotics – No prophylaxis – If known or strongly suspect an infection only – For septic patients give antibiotics until infected pancreatic necrosis excluded* • Imipenem/cilastatin 500mg 6h • Naser JY, Papachiristou GI, Early fluid resuscitation I acute pancreatitis: a lot more than just fluids. Clin Gastroenterol Hepatol 2011 • Waller A, Long B, Koyfman A, Gottlieb M. Acute pancreatitis :updates for emergency clinicians. J Emerg Med. 2018
  • 31.
    1. Other organsupport – CVS – Respi – Renal 2. Surgical management 1. GE referral if • Liver dysfunction • Cholangitis • Dilated CBD 2. Biliary obstruction/ choledocholithiasis- urgent ERCP + sphincterotomy 3. Gallstone pancreatitis- Cholecystectomy 3. Preventive measures – Counselling & cessation of alcohol* *Yadav D, Lowenfels AB. The epidemiology of pancreatitis & pancreatic cancer. Gastroenterology 2013
  • 32.
    ERCP • ERCP +Sphincterotomy and stone extraction – Reduce length of hospital stay – Reduce complication rate – Reduce mortality • Biliary pancreatitis + dilated obstructed CBD + Elevated plasma bilirubin level – ERCP is warranted with in first 72 hrs
  • 33.
    COMPLICATIONS Pancreatic Peri pancreaticExtra-pancreatic • Fluid collection • Necrosis • Sterile or infected • Acute or walled off • Abscess • Ascites • Fluid collection • Necrosis • Intra abdominal or retroperitoneal hemorrhage • Pseudoaneurysm • Bowel inflammation, infarction or necrosis • Biliary obstruction with jaundice • Splenic or portal vein thrombosis • CVS • Pulmonary • Hematologic • GI • Renal • Metabolic
  • 34.
    PERI PANCREATIC FLUID •30-57% of patient – Resolve – Progress to encapsulation of fluid ( pseudocyst) 4 wks – Necrotic tissue ( walled off necrosis)- 4-6 wks • Sterile vs infected- clinical challenge • Intervention – Infected pancreatic necrosis – 33%* – Mortality rate 15% * Van Dijk SM, Hallenslebn NDL, van Santvoort HC, et al. Acute pancreatitis, recent advances through randomized trials 2017
  • 35.
    • Infection canbe confirmed by* – Gas within a necrotic collection on imaging – Positive result of fine needle aspiration – Clinical suspicion based on signs of infection or new or persistent organ failure • Antibiotics – E coli 26% – Pseudomonas species 16% – Staphylococcus species 15% • Delay intervention until walled off necrosis occurs* – Follows a step up approach • Catheter drainage first, then necrosectomy only when indicated • Minimally invasive techniques are preferred over open surgery *Van Dijk SM, Hallenslebn NDL, van Santvoort HC, et al. Acute pancreatitis, recent advances through randomized trials 2017
  • 36.
    CHRONIC PANCREATITIS • Classictriad- pancreatic calcifications, steatorrhea, DM • Not seen until the patient develops very advanced disease* • Amylase & lipase are often normal • Home pain control- amitriptyline, pregabalin & chronic opiates • Symptoms can be controlled by – Alcohol cessation – Small- low fat meals – Smoking cessation – Enzyme supplements
  • 37.
    • Pseudocysts – (10%) Of chronic pancreatitis • Often asymptomatic • Depend on size & location- pain, duodenal or biliary obstruction, fistula formation, vascular occlusion
  • 38.
    DISPOSITION & FOLLOW-UP •Discharge- young, non biliary pancreatitis, pain controlled, tolerate oral, no evidence of gallstones – Refer for follow-up to prevent recurrence • Admission – 1st bout of acute pancreatitis, biliary pancreatitis – Pain not controlled – Not tolerating oral – Persistent abnormal vital signs – Signs of other organ insufficiency
  • 39.
    • Consider ICUif – Elevated BUN – >2 SIRS criteria – Sign of persistent organ insufficiency – BISAP score >2 – Abnormal vitals
  • 40.
    REFERENCES • Tintinali’s EmergencyMedicine 9th • Yadav D, Lowenfels AB. The epidemiology of pancreatitis & pancreatic cancer. Gastroenterology 2013 • Waller A, Long B, Koyfman A, Gottlieb M. Acute pancreatitis :updates for emergency clinicians. J Emerg Med. 2018 • Tanner S, Baillie J, DeWitt J, Vege SS: American college of Gastroenterology. American college of gastroenterology guideline: Management of acute pancreatitis- 2014 • Szucs A, Marjai T, Szentesi A et al; chronic pancreatitis: multicenter prospective data collection and analysis by the Hungarian pancreatic study group. PLoS One 2017 • Majidi S, Golembioski A, Wilson SL, Thompson EC, Acute pancreatitis; Etiology, pathology, diagnosis & treatment. South Med J 2017 • de- Madaria E, Herrera- Marante I, Gonzalez- Camacho V et al. fluid resuscitayion with lactated Ringer’s solution vs normal saline in acute pancreatitis: a triple blind, randomized, controlled trial 2018 • Van Dijk SM, Hallenslebn NDL, van Santvoort HC, et al. Acute pancreatitis, recent advances through randomized trials 2017

Editor's Notes

  • #8 Gallstones- increase intrapancreatic duct pressure & acid reflux in to pancreas, activate trypsin Alcohol- sensitizes pancreatic cells to cholecystokinin- increase trypsin production Free fatty acids when lipase act on triglyceride & initiate inflammatory cascade
  • #12 Grey turner- reddish brown discoloration along the flanks- retroperitoneal blood or extravasation of pancreatic exudate Cullen’s sign- bluish discoloration around the umbilicus signifying hemoperitoneum
  • #20 Imaging- look for cause & complications
  • #21 Magnitude of morphologic change on imaging studies does not necessariy correlate with disease severity
  • #30 Supportive & symptom based Fluid resuscitation- increased macro & micro circulatory support of the pancreas
  • #31 Antibiotics if cholangitis, UTI, Pneumonia or infected pancreatic necrosis only