Acute
Pancreatitis
Resident Conference
October 5, 2004
Rachel Dunagin, MD
Background
• Acute Inflammatory process of pancreatic parenchyma
• A stimulus leads to release of activated digestive
enzymes from acinar cells into interstitium
• Results in autodigestion of pancreas and adjacent tissue
• Activated inflammatory mediators convert a localized
inflammatory response into a systemic inflammatory
process, resulting in increased tissue and vascular
permeability
• End result: hypovolemia, shock, ARDS, multisystem
organ failure
• Majority: mild self-limited course; 15-25% severe,
complicated course; 5% mortality
Pathophysiology
Etiology
• Gallstone (35%)
• Microlithiasis
• Alcoholism (30%)
• Medication
• Trauma/Sphincter of Oddi
Dysfunction
• Infection
• Duodenal Diverticula
• Hypercalcemia
• Vascular Abnormalities
• Post-operative
• Neoplasm
• Pancreas Divisum
• Autoimmune
• Hereditary
• Idiopathic (30%)
• Hypertriglyceridemia
• Cystic Fibrosis
Etiology: Gallstones
• ½ of all cases of acute pancreatitis
• 3-8% patients with symptomatic cholelithiasis
develop pancreatitis
• Older women
• 80% patients previously thought to have
idiopathic etiology are due to microlithiasis, tiny
gallstones, and biliary sludge
• Mechanism unclear – pancreatic ductal
obstruction does not full explain pathogenesis
Etiology: Alcohol
• Interferes with normal process of
pancreatic secretion
• Excessive deposition of GP-2 (protein
involved in maintaining normal pancreatic
secretion) leads to ductal obstruction
• Daily consumption 80g alcohol over 5-15
years before first attack of alcoholic
pancreatitis occurs
• Acute attacks 1-3 days after drinking
Etiology: Hypertriglyceridemia
• >1000mg/dL
• 50% with hyperTG have falsely normal
amylase level due to interference of
lipemic specimen with assay
• Therefore, must dilute serum to get
accurate serum amylase level
Etiology: Medications
• Uncommon cause
• Azathioprine, 6-mercaptopurine and ddI
have 5-10% risk of acute pancreatitis
• >100 meds implicated
Definitely Cause Pancreatitis
• Azathioprine
• Asacol
• Cytosine arabinoside
• Estrogens
• Norethindrone/mestr-
anol
• Isoniazid
• 6-mercaptopurine
• Metronidazole
• Pentamidine
• Tetracycline
• Trimethoprim/sulfame
thoxazole (TMP/SMX)
• Valproic Acid
Implicated Agents
• Industrial chemicals (Parathion)
• Scorpion venom
Viral Infections
• Mumps – most common in adults
• Coxsackie-B
• Epstein-Barr
• Rubella
• Influenza A
• Varicella
• Hepatitis A, B, C, E
AIDS and Pancreatitis
• 10% with AIDS develop acute pancreatitis
• Asymptomatic pancreatic lesions in 30-
50% of autopsy cases
• Common infectious etiologies: CMV, MAC,
Crypto, M. TB, Toxoplasma
• Common medication etiologies:
pentamidine, ddI, ddC and TMP/SMX
Rare Etiologies
• SLE
• Polyarteritis Nodosum
• Autoimmune pancreatitis
• Fungal infections
• Bacterial infections: Legionella, Brucellosis
• Ampullary tumors
• Metastatic tumors (breast, lung)
• Pancreas Divisum
Pancreatic Divisum
• Debatable cause
• Represents 5-7% of population per
autopsy and ERCP studies
• Normal Pancreatic Development:
– Dorsal and ventral pancreatic buds fuse
during 8th week gestation to form main
pancreatic duct; drains through major papilla.
– Small duct often persists between the main
pancreatic duct and the minor papilla
Pancreatic Divisum
• Embryonic dorsal and ventral ducts fail to migrate and
fuse abnormally.
• Two noncommunicating duct systems:
– Inferior portion of head of pancreas drained by rudimentary
ventral duct through the major papilla.
– Remainder of pancreas drained by dorsal duct through the minor
papilla.
Pancreatic Divisum:
Hypothesis of pancreatitis etiology
• First proposed in 1977
• Increased resistance to flow through a small minor
papilla.
• If so, would reason that recurrent pancreatitis would stop
after endoscopic minor papilla sphincterotomy, or
insertion of endoscopic stent across the minor papilla.
• Some disagree on basis that incidence of pancreas
divisum is the same in patient with or without pancreatitis
and 95% with pancreatic divisum do not develop
pancreatitis
• Other arguments against: pancreatitis develops in
adulthood, not childhood in those with pancreatic
divisum
• Still remains controversial.
Diagnosis
Clinical signs and symptoms, confirmed with lab/radiologic studies
Symptoms:
• Acute abdominal pain
– Location: entire abdomen or localized in midepigastric, RUQ or left flank
– Intensity: maximized within 10 – 20 min of acute attack
– Quality: steady, moderate to severe, little relief with change of position,
unbearable, refractory to narcotics
– Radiation: band-like to the back
• Anorexia, nausea, emesis
• CNS manifestations: disorientation, hallucinations, agitation, or
coma
Diagnosis
Signs:
Mild Pancreatitis – mild abdominal tenderness, no guarding
Severe Pancreatitis - epigastric tenderness and guarding, rebound
tenderness, abdominal distention (due to gastric ileus or
dilatation of transverse colon)
• Decreased or absent bowel sounds
• May be mistaken for acute abdomen
• If severe, extensive peripancreatic fat necrosis with hemorrhagic
fluid within the peritoneum and/or retroperitoneum → Cullen’s sign,
Grey-Turner’s sign
• Palpable epigastric mass = pseudocyst or large inflammatory mass
• Subcutaneous nodular fat necrosis, thrombophlebitis in legs,
polyarthritis
Cullen’s Sign
Grey-Turner’s Sign
Diagnosis
• Due to third-space fluid loss and systemic
toxicity
– Pulse 100-150
– BP hypertensive in beginning, then
hypotensive due to 3rd spacing and
hypovolemia
– Temp: initially normal, then increase to 101-
103 within 1-3d
– Tachypnea and shallow respirations
Nonspecific Lab Findings
• Leukocytosis
• Hyperglycemia
• Hypocalcemia
• LFTs:  AST,  ALT,  AlkPhos,  Bilirubin
• Hypertriglyceridemia
• Hypoxemia
Laboratory Testing
• Serum Amylase
– Most widely accepted
– 2-3x upper limit of normal
– Does not correlate with severity of disease
– 30% of Alcoholics with acute pancreatitis have normal
amylase levels
– ? of using elevated lipase to amylase level to predict
alcoholic acute pancreatitis
– ALT 3x upper limit of normal + elevated amylase is
highly sensitive for gallstone pancreatitis (95% PPV)
Laboratory Tests
• Caution!! -- Other causes of elevated amylase
level
– Can be of pancreatic or salivary origin
– Any inflammatory process of abdomen:
• Perforated peptic ulcer
• Intestinal obstruction
• Cholecystitis
• Generalized peritonitis
• Mesenteric ischemia
• Ruptured AAA/ectopic pregnancy
– Renal failure
– Macroamylasemia: due to benign change in peptide processing
in Golgi (amylase is bound to immunoglobulin or abnormal
serum protein), forms a large complex which is difficult to clear
through the kidneys
Laboratory Testing
• Serum Lipase
– More sensitive and specific than amylase
– Greater than 2-3x upper limit of normal
– Does not correlate with severity of disease
Other Lab Tests
• Pancreatitis associated protein (PAP),
heat shock protein
• Trypsinogen activation peptide (TAP), 5-
amino acid peptide cleaved from
trypsinogen to produce active trypsin
• Non-specific Markers: CRP, neutrophil
elastase, complement, TNF, IL6
• Methemalbumin level
Radiology
• Sonography
• Computer Tomography (CT)
• Magnetic resonance imaging (MRI)
Ultrasound
• Fails to completely to completely image the
pancreas 2/2 overlying bowel gas
• Superior to CT in visualizing gallbladder and
biliary tree for gallstones
• Negative US does not rule out gallstone as
etiology because:
1. Not sensitive for common bile duct stones.
2. Only 50% of those with microlithiasis have + US.
3. View may be obstructed by ileus and underlying
structures obscured by bowel gas.
A
Acute Pancreatitis. A. Transverse scan. B. Longitudinal scan. The
head of the pancreas (H) is enlarged as revealed by the red
arrowheads and decreased in echogenicity because of edema. The
surrounding structures are superior mesenteric vein (v), superior
mesenteric artery (a), abdominal aorta (A), and inferior vena cava
(IVC).
B
Computer Tomography (CT)
• Imaging modality of choice for diagnosis, determining
severity, and identifying complications
• Sensitivity: 90% for diagnosis of acute pancreatitis
• Specificity: 98-100%
• Not necessary for mild acute pancreatitis; however is
useful to rule out other abdominal processes presenting
with abdominal pain.
• Mild disease: no abnormalities, diffuse enlargement of
pancreas, loss of normally sharp border, homogenous
attenuation, inflammatory stranding in peripancreatic fat
and adjacent soft tissue, fluid collections, pseudocysts,
pancreatic necrosis
Computer Tomography (CT)
• Necrotizing pancreatitis:
Non-enhancement of ≥ 1/3 of pancreas or
>3cm of non-enhancement of the
pancreas on dynamic, IV contrast-
enhanced CT.
If > 30% gland involved, sensitivity
approaches 100%
Indications for CT
• Severe acute pancreatitis (Ranson score
≥3 or APACHE II score ≥8)
• Mild pancreatitis with no response to
conservative management after 48-72
hours (confirm dx, re-assess severity,
identify complications)
• May repeat q7-10 day if no improvement
or if deterioration.
Severity:
Open Drainage due to Pancreatic Necrosis
Severity
• Not predicted by degree of pain, etiology or serum
amylase level.
• CRP: > 120mg/L in pts with acute pancreatitis typically
have necrotizing pancreatitis.
• Phospholipase A2: elevated in severe disease, esp those
who develop necrosis, ARDS, and shock
• Urinary trypsinogen activation peptide: ≥ 10ng/mL has
100% PPV of severe pancreatitis
• Peritoneal Lavage: any volume of peritoneal fluid with a
dark color or recovery of at least 20mL of free
intraperitoneal fluid = 33% mortality
Trypsinogen Activation Pathway
Severity
• Hematocrit ≥ 47% at admission or failure of
admission hematocrit to decrease at 24hrs is
strong predictor of development of pancreatic
necrosis.
• Compromised microcirculation of pancreatic
parenchyma precipitated by fluid sequestration
with intravascular volume depletion and
hemoconcentration leads to development of
necrotizing pancreatitis.
• Therefore, intense hydration is important.
Severity
• Ranson Criteria ≥ 3
• APACHE II score ≥ 8
• Hematocrit ≥ 44
• CT severity index ≥ 6
• 1992 Atlanta Symposium: evidence of
organ failure or local complications
Ranson Criteria
**Can not be applied fully for 48 hours
**Poor predictor later in the disease
**Single snapshot in time
Table 1:
Ranson Criteria
At Admission During Initial 48 Hours
Age > 55 yrs Hematocrit falls by > 10 mg/dl
WBC > 16,000/cc BUN increases by > 5 mg/dl
Glucose > 200 mg/dl Calcium < 8 mg/dl
LDH > 350 IU/L PaO2 < 60 mmHg
AST > 250IU/L Base deficit > 4 mg/dl
Fluid sequestration > 6 L
APACHE II Criteria
• Multivariate scoring system
• 12 measurable variables: temperature, heart
rate, respiratory rate, mean arterial BP,
oxygenation, arterial pH, serum potassium,
sodium and creatinine, hematocrit, WBC, and
Glasgow Coma Scale
• Account for premorbid state and age
• Can be used throughout course of illness, but is
complex and cumbersome
CT Severity Index
A: Normal pancreas
B: Enlargement of pancreas, heterogeneous
enhancement without peripancreatic
disease
C: Pancreatic abnormalities with
peripancreatic disease
D: Small or single fluid collection
E: 2 or > fluid collection or pancreatic
abscess
Atlanta Symposium Criteria
• 40 Internationally renowned experts on
pancreatic disease met to define severity of
pancreatitis
• Defined based on outcome: organ failure and/or
anatomic complications
• Mild acute pancreatitis: minimal or no organ
system dysfunction with complete and
uneventful recovery; interstitial edema of
parenchyma
• Severe acute pancreatitis: evidence of life-
threatening systemic complications or pancreatic
collection.
Severe Acute Pancreatitis
• Systemic Complications:
– Shock: SBP <90mm Hg
– Pulmonary Insufficiency: PaO2 ≤ 60mm Hg
– Renal failure: Cr > 2mg/dL after rehydration
– GI bleeding: > 500ml/24hr
– DIC: platelets < 100,000/mm3, fibrinogen <
1g/L, fibrin degradation products > 80mug/mL
– Hypocalcemia: < 7.5mg/dL
Severe Acute Pancreatitis
• Pancreatic Collections
– Pancreatic Necrosis: diffuse or focal areas of
nonviable pancreatic parenchyma
– Pancreatic Abscess: well-circumscribed
collection of pus containing little or no necrotic
tissue
– Acute Pseudocyst: collection of enzyme-rich,
pancreatic fluid enclosed by a wall of fibrous
tissue
Treatment
• Goals: halt progression of local disease and
prevent remote organ failure
• Nutritional Support:
– Pancreatitis is catabolic state
– Benefit of pancreatic “rest” by limiting oral intake is
unproven, however is widely used
– Evidence that early enteral nutrition is safe
– Nasojejunal feeding limits pancreatic secretion
– Preferable to oral or nasogastric feeding
Treatment
• Fluids
– IV hydration, aggressive (300-500ml.hr) especially in the early phase of illness
with goal hemodilution to Hct 30%
– May need NG tube (if persistent nausea and vomiting or ileus), Foley catheter
and central line or Swan-Ganz catheter to monitor hydration status
• Analgesics
– Adequate pain control is essential
– 50-100mg Meperidine (Demerol) IV q3-4hr
– Hydromorphone (Dilaudid) PCA
– Avoid Morphine b/c it increases sphincter of Oddi tone and increases serum
amylase
• ERCP
– If severe acute gallstone pancreatitits or ascending cholangitis is indicated, then
early ERCP with sphincterotomy and stone extraction is indicated.
– Is not to be used in mild acute pancreatitis
Pancreatic Infection:
A Word on Antibiotics
• Antibiotics – there is no role for routine use
– Indicated if severe attack with necrosis of pancreas
– Typical organisms: from gut = E coli, Pseudomonas,
Klebsiella, Enterococcus
– Treatment: selective decontamination of gut with oral
nonabsorbable antibiotics, systemic antibiotics, and
enteral feedings to avoid catheter-related infections.
– Imipenem/cilastin penetrate pancreatic parenchyma
and reduces incidence of intra-abdominal infection.
– Unfortunately, there is a tendency for fungal
superinfection to develop later in clinical course.
– Other options: 3rd gen cephalosporin, piperacillin,
mezlocillin, fluoroquinolones and metronidazole
Treatment
Intensive monitoring All patients
Aggressive hydration All patients
Adequate analgesics All patients
H2 receptor
antagonist/proton
pump inhibitors
Unproven benefits
Antibiotic prophylaxis Patients with sterile necrosis
ERCP Early in patients with severe biliary pancreatitis/bilary sepsis;
Late in patients with acute gallstone pancreatitis when liver
function test are persistently elevated prior to cholecystectomy
Surgery If pancreatic abscess
If sterile necrosis and deteriorate or fail to improve after 4-6 wks of
medical management
If infected necrosis
Cholecystectomy for acute gallstone pancreatitis and recurrent,
idiopathic pancreatitis
TPN Patients with necrotizing pancreatitis
Complications of Acute Pancreatitis
EARLY COMPLICATIONS
• Cardiovascular Collapse
• Respiratory Failure
• Renal Failure
• GI bleeding
• DIC
• Visual Disturbance
• Change in mental status
• Metabolic disturbance
• Acute fluid collections
• Pancreatic Necrosis
LATE COMPLICATIONS
• Pseudocysts
• Pseudoaneurysms
• Perforation
• Obstruction
• Fistulization
• Infection (abscess,
infected necrosis)
Pancreatic Necrosis
Pancreatic Necrosis:
Sterile
• Clinically mild, low mortality rate
• Systemic antibiotics to prevent secondary
pancreatic infection
• Enteral nutrition with advancement to oral
feedings once organ failure subsides.
• If no improvement in 1st 7-10d, ? of severe
sterile or infected necrosis, proceed to CT-
guided percutaneous aspiration to r/o
infection
Pancreatic Necrosis
Pancreatic Necrosis
Pancreatic Necrosis:
Infective
• Infected Necrosis:
– Guided percutaneous aspiration to demonstrate
pancreatic infection
– Common bugs – Klebsiella, E coli, Staph aureus
– Occasional bugs – Candida
– Prompt debridement preceded by appropriate
antibiotic based on Gram stain or culture
– Surgical debridement – gentle blunt finger dissection
followed by closure of abdomen with external
Penrose or JP drain, closure of abdomen with large
soft drain within retroperitoneum for intermittent or
continuous saline lavage or open packing of abdomen
for pancreatic debridement q2-3d
Complications: Pseudocysts
• Fibrous walled peri-pancreatic fluid collection
• Present for > 1 month
• No epithelial lining
• Fluid has high amylase content
• 35% of patients develop peri-pancreatic fluid collections
• > 50% resolve spontaneously over 3 month period
• Complication rate increases over 6 weeks
• Diagnosis may be suggested by persistent elevation of
serum amylase
• Planned intervention at 6 weeks.
Classification of Pseudocysts
• Type 1 – normal duct anatomy; no fistula
between duct and cyst.
• Type 2 – abnormal duct anatomy; no
fistula
• Type 3 – abnormal duct anatomy and
fistula
Investigation of Pseudocysts
• Ultrasound – assess change in size of cyst
• Endoscopic Ultrasound – used
increasingly
• CT – define relationship to adjacent
organs
• ERCP – define duct anatomy
Treatment of Pseudocyst
1. Percutaneous Drainage
- US or CT guided
- 80% successful in Type 1 cyst
- Less successful if fistula to duct is present
- Occasionally associated with pancreatic
abscess or fistula
Treatment of Pseudocysts
2. Endoscopic drainage and insertion of
pigtail catheter
- transpapillary
- transmural
Treatment of Pseudocysts
3. Surgical Drainage
- cystogastrotomy or Roux Loop
Cystojejunostomy
- allows adequate internal drainage
- perform biopsy of cyst wall to exclude
cystadenocarcinoma
- mortality (~5%) = percutanous drainage
- lower recurrence rate (5% vs 20%)

Acute Pancreatitis.ppt

  • 1.
  • 2.
    Background • Acute Inflammatoryprocess of pancreatic parenchyma • A stimulus leads to release of activated digestive enzymes from acinar cells into interstitium • Results in autodigestion of pancreas and adjacent tissue • Activated inflammatory mediators convert a localized inflammatory response into a systemic inflammatory process, resulting in increased tissue and vascular permeability • End result: hypovolemia, shock, ARDS, multisystem organ failure • Majority: mild self-limited course; 15-25% severe, complicated course; 5% mortality
  • 3.
  • 5.
    Etiology • Gallstone (35%) •Microlithiasis • Alcoholism (30%) • Medication • Trauma/Sphincter of Oddi Dysfunction • Infection • Duodenal Diverticula • Hypercalcemia • Vascular Abnormalities • Post-operative • Neoplasm • Pancreas Divisum • Autoimmune • Hereditary • Idiopathic (30%) • Hypertriglyceridemia • Cystic Fibrosis
  • 6.
    Etiology: Gallstones • ½of all cases of acute pancreatitis • 3-8% patients with symptomatic cholelithiasis develop pancreatitis • Older women • 80% patients previously thought to have idiopathic etiology are due to microlithiasis, tiny gallstones, and biliary sludge • Mechanism unclear – pancreatic ductal obstruction does not full explain pathogenesis
  • 7.
    Etiology: Alcohol • Interfereswith normal process of pancreatic secretion • Excessive deposition of GP-2 (protein involved in maintaining normal pancreatic secretion) leads to ductal obstruction • Daily consumption 80g alcohol over 5-15 years before first attack of alcoholic pancreatitis occurs • Acute attacks 1-3 days after drinking
  • 8.
    Etiology: Hypertriglyceridemia • >1000mg/dL •50% with hyperTG have falsely normal amylase level due to interference of lipemic specimen with assay • Therefore, must dilute serum to get accurate serum amylase level
  • 9.
    Etiology: Medications • Uncommoncause • Azathioprine, 6-mercaptopurine and ddI have 5-10% risk of acute pancreatitis • >100 meds implicated
  • 10.
    Definitely Cause Pancreatitis •Azathioprine • Asacol • Cytosine arabinoside • Estrogens • Norethindrone/mestr- anol • Isoniazid • 6-mercaptopurine • Metronidazole • Pentamidine • Tetracycline • Trimethoprim/sulfame thoxazole (TMP/SMX) • Valproic Acid
  • 11.
    Implicated Agents • Industrialchemicals (Parathion) • Scorpion venom
  • 12.
    Viral Infections • Mumps– most common in adults • Coxsackie-B • Epstein-Barr • Rubella • Influenza A • Varicella • Hepatitis A, B, C, E
  • 13.
    AIDS and Pancreatitis •10% with AIDS develop acute pancreatitis • Asymptomatic pancreatic lesions in 30- 50% of autopsy cases • Common infectious etiologies: CMV, MAC, Crypto, M. TB, Toxoplasma • Common medication etiologies: pentamidine, ddI, ddC and TMP/SMX
  • 14.
    Rare Etiologies • SLE •Polyarteritis Nodosum • Autoimmune pancreatitis • Fungal infections • Bacterial infections: Legionella, Brucellosis • Ampullary tumors • Metastatic tumors (breast, lung) • Pancreas Divisum
  • 15.
    Pancreatic Divisum • Debatablecause • Represents 5-7% of population per autopsy and ERCP studies • Normal Pancreatic Development: – Dorsal and ventral pancreatic buds fuse during 8th week gestation to form main pancreatic duct; drains through major papilla. – Small duct often persists between the main pancreatic duct and the minor papilla
  • 16.
    Pancreatic Divisum • Embryonicdorsal and ventral ducts fail to migrate and fuse abnormally. • Two noncommunicating duct systems: – Inferior portion of head of pancreas drained by rudimentary ventral duct through the major papilla. – Remainder of pancreas drained by dorsal duct through the minor papilla.
  • 17.
    Pancreatic Divisum: Hypothesis ofpancreatitis etiology • First proposed in 1977 • Increased resistance to flow through a small minor papilla. • If so, would reason that recurrent pancreatitis would stop after endoscopic minor papilla sphincterotomy, or insertion of endoscopic stent across the minor papilla. • Some disagree on basis that incidence of pancreas divisum is the same in patient with or without pancreatitis and 95% with pancreatic divisum do not develop pancreatitis • Other arguments against: pancreatitis develops in adulthood, not childhood in those with pancreatic divisum • Still remains controversial.
  • 18.
    Diagnosis Clinical signs andsymptoms, confirmed with lab/radiologic studies Symptoms: • Acute abdominal pain – Location: entire abdomen or localized in midepigastric, RUQ or left flank – Intensity: maximized within 10 – 20 min of acute attack – Quality: steady, moderate to severe, little relief with change of position, unbearable, refractory to narcotics – Radiation: band-like to the back • Anorexia, nausea, emesis • CNS manifestations: disorientation, hallucinations, agitation, or coma
  • 19.
    Diagnosis Signs: Mild Pancreatitis –mild abdominal tenderness, no guarding Severe Pancreatitis - epigastric tenderness and guarding, rebound tenderness, abdominal distention (due to gastric ileus or dilatation of transverse colon) • Decreased or absent bowel sounds • May be mistaken for acute abdomen • If severe, extensive peripancreatic fat necrosis with hemorrhagic fluid within the peritoneum and/or retroperitoneum → Cullen’s sign, Grey-Turner’s sign • Palpable epigastric mass = pseudocyst or large inflammatory mass • Subcutaneous nodular fat necrosis, thrombophlebitis in legs, polyarthritis
  • 20.
  • 21.
  • 22.
    Diagnosis • Due tothird-space fluid loss and systemic toxicity – Pulse 100-150 – BP hypertensive in beginning, then hypotensive due to 3rd spacing and hypovolemia – Temp: initially normal, then increase to 101- 103 within 1-3d – Tachypnea and shallow respirations
  • 23.
    Nonspecific Lab Findings •Leukocytosis • Hyperglycemia • Hypocalcemia • LFTs:  AST,  ALT,  AlkPhos,  Bilirubin • Hypertriglyceridemia • Hypoxemia
  • 24.
    Laboratory Testing • SerumAmylase – Most widely accepted – 2-3x upper limit of normal – Does not correlate with severity of disease – 30% of Alcoholics with acute pancreatitis have normal amylase levels – ? of using elevated lipase to amylase level to predict alcoholic acute pancreatitis – ALT 3x upper limit of normal + elevated amylase is highly sensitive for gallstone pancreatitis (95% PPV)
  • 25.
    Laboratory Tests • Caution!!-- Other causes of elevated amylase level – Can be of pancreatic or salivary origin – Any inflammatory process of abdomen: • Perforated peptic ulcer • Intestinal obstruction • Cholecystitis • Generalized peritonitis • Mesenteric ischemia • Ruptured AAA/ectopic pregnancy – Renal failure – Macroamylasemia: due to benign change in peptide processing in Golgi (amylase is bound to immunoglobulin or abnormal serum protein), forms a large complex which is difficult to clear through the kidneys
  • 26.
    Laboratory Testing • SerumLipase – More sensitive and specific than amylase – Greater than 2-3x upper limit of normal – Does not correlate with severity of disease
  • 27.
    Other Lab Tests •Pancreatitis associated protein (PAP), heat shock protein • Trypsinogen activation peptide (TAP), 5- amino acid peptide cleaved from trypsinogen to produce active trypsin • Non-specific Markers: CRP, neutrophil elastase, complement, TNF, IL6 • Methemalbumin level
  • 28.
    Radiology • Sonography • ComputerTomography (CT) • Magnetic resonance imaging (MRI)
  • 29.
    Ultrasound • Fails tocompletely to completely image the pancreas 2/2 overlying bowel gas • Superior to CT in visualizing gallbladder and biliary tree for gallstones • Negative US does not rule out gallstone as etiology because: 1. Not sensitive for common bile duct stones. 2. Only 50% of those with microlithiasis have + US. 3. View may be obstructed by ileus and underlying structures obscured by bowel gas.
  • 30.
    A Acute Pancreatitis. A.Transverse scan. B. Longitudinal scan. The head of the pancreas (H) is enlarged as revealed by the red arrowheads and decreased in echogenicity because of edema. The surrounding structures are superior mesenteric vein (v), superior mesenteric artery (a), abdominal aorta (A), and inferior vena cava (IVC). B
  • 31.
    Computer Tomography (CT) •Imaging modality of choice for diagnosis, determining severity, and identifying complications • Sensitivity: 90% for diagnosis of acute pancreatitis • Specificity: 98-100% • Not necessary for mild acute pancreatitis; however is useful to rule out other abdominal processes presenting with abdominal pain. • Mild disease: no abnormalities, diffuse enlargement of pancreas, loss of normally sharp border, homogenous attenuation, inflammatory stranding in peripancreatic fat and adjacent soft tissue, fluid collections, pseudocysts, pancreatic necrosis
  • 32.
    Computer Tomography (CT) •Necrotizing pancreatitis: Non-enhancement of ≥ 1/3 of pancreas or >3cm of non-enhancement of the pancreas on dynamic, IV contrast- enhanced CT. If > 30% gland involved, sensitivity approaches 100%
  • 33.
    Indications for CT •Severe acute pancreatitis (Ranson score ≥3 or APACHE II score ≥8) • Mild pancreatitis with no response to conservative management after 48-72 hours (confirm dx, re-assess severity, identify complications) • May repeat q7-10 day if no improvement or if deterioration.
  • 36.
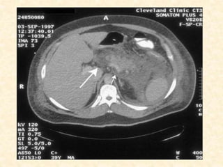
    Severity: Open Drainage dueto Pancreatic Necrosis
  • 37.
    Severity • Not predictedby degree of pain, etiology or serum amylase level. • CRP: > 120mg/L in pts with acute pancreatitis typically have necrotizing pancreatitis. • Phospholipase A2: elevated in severe disease, esp those who develop necrosis, ARDS, and shock • Urinary trypsinogen activation peptide: ≥ 10ng/mL has 100% PPV of severe pancreatitis • Peritoneal Lavage: any volume of peritoneal fluid with a dark color or recovery of at least 20mL of free intraperitoneal fluid = 33% mortality
  • 38.
  • 39.
    Severity • Hematocrit ≥47% at admission or failure of admission hematocrit to decrease at 24hrs is strong predictor of development of pancreatic necrosis. • Compromised microcirculation of pancreatic parenchyma precipitated by fluid sequestration with intravascular volume depletion and hemoconcentration leads to development of necrotizing pancreatitis. • Therefore, intense hydration is important.
  • 40.
    Severity • Ranson Criteria≥ 3 • APACHE II score ≥ 8 • Hematocrit ≥ 44 • CT severity index ≥ 6 • 1992 Atlanta Symposium: evidence of organ failure or local complications
  • 41.
    Ranson Criteria **Can notbe applied fully for 48 hours **Poor predictor later in the disease **Single snapshot in time Table 1: Ranson Criteria At Admission During Initial 48 Hours Age > 55 yrs Hematocrit falls by > 10 mg/dl WBC > 16,000/cc BUN increases by > 5 mg/dl Glucose > 200 mg/dl Calcium < 8 mg/dl LDH > 350 IU/L PaO2 < 60 mmHg AST > 250IU/L Base deficit > 4 mg/dl Fluid sequestration > 6 L
  • 42.
    APACHE II Criteria •Multivariate scoring system • 12 measurable variables: temperature, heart rate, respiratory rate, mean arterial BP, oxygenation, arterial pH, serum potassium, sodium and creatinine, hematocrit, WBC, and Glasgow Coma Scale • Account for premorbid state and age • Can be used throughout course of illness, but is complex and cumbersome
  • 43.
    CT Severity Index A:Normal pancreas B: Enlargement of pancreas, heterogeneous enhancement without peripancreatic disease C: Pancreatic abnormalities with peripancreatic disease D: Small or single fluid collection E: 2 or > fluid collection or pancreatic abscess
  • 44.
    Atlanta Symposium Criteria •40 Internationally renowned experts on pancreatic disease met to define severity of pancreatitis • Defined based on outcome: organ failure and/or anatomic complications • Mild acute pancreatitis: minimal or no organ system dysfunction with complete and uneventful recovery; interstitial edema of parenchyma • Severe acute pancreatitis: evidence of life- threatening systemic complications or pancreatic collection.
  • 45.
    Severe Acute Pancreatitis •Systemic Complications: – Shock: SBP <90mm Hg – Pulmonary Insufficiency: PaO2 ≤ 60mm Hg – Renal failure: Cr > 2mg/dL after rehydration – GI bleeding: > 500ml/24hr – DIC: platelets < 100,000/mm3, fibrinogen < 1g/L, fibrin degradation products > 80mug/mL – Hypocalcemia: < 7.5mg/dL
  • 46.
    Severe Acute Pancreatitis •Pancreatic Collections – Pancreatic Necrosis: diffuse or focal areas of nonviable pancreatic parenchyma – Pancreatic Abscess: well-circumscribed collection of pus containing little or no necrotic tissue – Acute Pseudocyst: collection of enzyme-rich, pancreatic fluid enclosed by a wall of fibrous tissue
  • 47.
    Treatment • Goals: haltprogression of local disease and prevent remote organ failure • Nutritional Support: – Pancreatitis is catabolic state – Benefit of pancreatic “rest” by limiting oral intake is unproven, however is widely used – Evidence that early enteral nutrition is safe – Nasojejunal feeding limits pancreatic secretion – Preferable to oral or nasogastric feeding
  • 48.
    Treatment • Fluids – IVhydration, aggressive (300-500ml.hr) especially in the early phase of illness with goal hemodilution to Hct 30% – May need NG tube (if persistent nausea and vomiting or ileus), Foley catheter and central line or Swan-Ganz catheter to monitor hydration status • Analgesics – Adequate pain control is essential – 50-100mg Meperidine (Demerol) IV q3-4hr – Hydromorphone (Dilaudid) PCA – Avoid Morphine b/c it increases sphincter of Oddi tone and increases serum amylase • ERCP – If severe acute gallstone pancreatitits or ascending cholangitis is indicated, then early ERCP with sphincterotomy and stone extraction is indicated. – Is not to be used in mild acute pancreatitis
  • 49.
    Pancreatic Infection: A Wordon Antibiotics • Antibiotics – there is no role for routine use – Indicated if severe attack with necrosis of pancreas – Typical organisms: from gut = E coli, Pseudomonas, Klebsiella, Enterococcus – Treatment: selective decontamination of gut with oral nonabsorbable antibiotics, systemic antibiotics, and enteral feedings to avoid catheter-related infections. – Imipenem/cilastin penetrate pancreatic parenchyma and reduces incidence of intra-abdominal infection. – Unfortunately, there is a tendency for fungal superinfection to develop later in clinical course. – Other options: 3rd gen cephalosporin, piperacillin, mezlocillin, fluoroquinolones and metronidazole
  • 50.
    Treatment Intensive monitoring Allpatients Aggressive hydration All patients Adequate analgesics All patients H2 receptor antagonist/proton pump inhibitors Unproven benefits Antibiotic prophylaxis Patients with sterile necrosis ERCP Early in patients with severe biliary pancreatitis/bilary sepsis; Late in patients with acute gallstone pancreatitis when liver function test are persistently elevated prior to cholecystectomy Surgery If pancreatic abscess If sterile necrosis and deteriorate or fail to improve after 4-6 wks of medical management If infected necrosis Cholecystectomy for acute gallstone pancreatitis and recurrent, idiopathic pancreatitis TPN Patients with necrotizing pancreatitis
  • 51.
    Complications of AcutePancreatitis EARLY COMPLICATIONS • Cardiovascular Collapse • Respiratory Failure • Renal Failure • GI bleeding • DIC • Visual Disturbance • Change in mental status • Metabolic disturbance • Acute fluid collections • Pancreatic Necrosis LATE COMPLICATIONS • Pseudocysts • Pseudoaneurysms • Perforation • Obstruction • Fistulization • Infection (abscess, infected necrosis)
  • 53.
  • 54.
    Pancreatic Necrosis: Sterile • Clinicallymild, low mortality rate • Systemic antibiotics to prevent secondary pancreatic infection • Enteral nutrition with advancement to oral feedings once organ failure subsides. • If no improvement in 1st 7-10d, ? of severe sterile or infected necrosis, proceed to CT- guided percutaneous aspiration to r/o infection
  • 55.
  • 56.
  • 57.
    Pancreatic Necrosis: Infective • InfectedNecrosis: – Guided percutaneous aspiration to demonstrate pancreatic infection – Common bugs – Klebsiella, E coli, Staph aureus – Occasional bugs – Candida – Prompt debridement preceded by appropriate antibiotic based on Gram stain or culture – Surgical debridement – gentle blunt finger dissection followed by closure of abdomen with external Penrose or JP drain, closure of abdomen with large soft drain within retroperitoneum for intermittent or continuous saline lavage or open packing of abdomen for pancreatic debridement q2-3d
  • 59.
    Complications: Pseudocysts • Fibrouswalled peri-pancreatic fluid collection • Present for > 1 month • No epithelial lining • Fluid has high amylase content • 35% of patients develop peri-pancreatic fluid collections • > 50% resolve spontaneously over 3 month period • Complication rate increases over 6 weeks • Diagnosis may be suggested by persistent elevation of serum amylase • Planned intervention at 6 weeks.
  • 60.
    Classification of Pseudocysts •Type 1 – normal duct anatomy; no fistula between duct and cyst. • Type 2 – abnormal duct anatomy; no fistula • Type 3 – abnormal duct anatomy and fistula
  • 61.
    Investigation of Pseudocysts •Ultrasound – assess change in size of cyst • Endoscopic Ultrasound – used increasingly • CT – define relationship to adjacent organs • ERCP – define duct anatomy
  • 62.
    Treatment of Pseudocyst 1.Percutaneous Drainage - US or CT guided - 80% successful in Type 1 cyst - Less successful if fistula to duct is present - Occasionally associated with pancreatic abscess or fistula
  • 63.
    Treatment of Pseudocysts 2.Endoscopic drainage and insertion of pigtail catheter - transpapillary - transmural
  • 64.
    Treatment of Pseudocysts 3.Surgical Drainage - cystogastrotomy or Roux Loop Cystojejunostomy - allows adequate internal drainage - perform biopsy of cyst wall to exclude cystadenocarcinoma - mortality (~5%) = percutanous drainage - lower recurrence rate (5% vs 20%)