PANCREATITIS & PANCREATIC
PSEUDOCYST
By :- Shweta Achuthan Kutty
•Introduction
•History
•Aetiology
•Pathogenesis
•Clinical Features
•Complications
•Diagnosis
•Grading of severity
•Management
•Differential diagnosis
HEADINGS:
Pancreatitis
Inflammation of the pancreatic parenchyma,
which is a retroperitoneal, endocrine and
exocrine organ.
Clinical Classification
• Acute Pancreatitis**: inflammatory condition of
the pancreas of an acute presentation characterized
clinically by abdominal pain and elevated levels of
pancreatic enzymes in the blood.
• Chronic Pancreatitis: is a continuing inflammatory
disease of the pancreas characterised by irreversible
morphological changes typically causing pain and/or
permanent loss of function. Can also have an acute on
chronic presentation.
Pathological Classification
• Are of two types:
• Interstitial oedematous pancreatitis: vast
majority (90-95%)
• most often referred to simply as "acute
pancreatitis" or "uncomplicated pancreatitis“
• Necrotising pancreatitis: necrosis develops
within the pancreas and/or peripancreatic
tissue
Blast from the Past:
• Alexander the Great
• Reginald Huber Fitz – On Acute Pancreatitis
• Eugene Lindsey Opie – Gallstone lodging
• Chiari - Autodigestion
ACUTE PANCREATITIS
• DEFINITION: A group of reversible lesions due to inflammation of the pancreas
clinically charactersied by abdominal pain and elevated levels of pancreatic
enzymes in the blood. It is medical emergency, and requires to be treated as
soon as possible.
• GENDER PREDILECTION: Generally M>F
In males more often related to alcohol
In females more often related to biliary tract disease
Idiopathic pancreatitis no clear gender predilection
• INCIDENCE: Young men and elderly women
• MORTALITY RATE: Mild pancreatitis >1%, Severe cases - 10-30%
• CAUSE OF DEATH: Multi-organ Dysfunction Syndrome
AETIOLOGY
• Gall stones - 50 to 70% cases
• Alcoholism - 25%
• Post ERCP - ***
• Abdominal trauma
• Post biliary , upper gastrointestinal or cardiothoracic
surgery
• Ampullary tumour
• Drugs like corticosteroids, azathioprine, asparaginase,
valproic acid, thiazides, oestrogens
• Hyperparathyroidism
• Hypercalcaemia
• Pancreas divisum
• Autoimmune pancreatitis
• Hereditary pancreatitis
• Viral Infections – mumps/cockackie B
• Malnutrition
• Scorpion bite
• Idiopathic
PATHOGENESIS : AUTO ACTIVATION AND AUTO DIGESTION
•Two -mild pancreatitis
• -severe pancreatitis,
•Division is based whether the predominant response to cell injury
is inflammation or necrosis, respectively.
•In mild pancreatitis - inflammation and edema of the pancreas
•In severe pancreatitis – also features of necrosis and secondary
injury to extrapancreatic organs.
•Both types share a common mechanism of abnormal inhibition of
secretion of zymogens and inappropriate activation of pancreatic
zymogens inside the pancreas, most notably trypsinogen.
CLINICAL FEATURES
 The most common symptoms and signs include:
Severe epigastric pain (50% cases) radiating to the back, chest,
flanks, and lower abdomen, relieved by leaning forward, that
feels worse after eating
Nausea, vomiting, diarrhea and loss of appetite
Fever/chills
Hemodynamic instability, including shock- cold clammy extremities,
rapid low volume pulse, tachycardia
In severe case may present with tenderness, guarding, rebound
tenderness.
 Respiratory symptoms: Tachypnoea, respiratory distress
Hiccups
COMPLICATIONS/SEQUELAE
1)LOCAL: usually develop after first week
• Acute fluid collection
• Sterile pancreatic necrosis
• Infected pancreatic necrosis
• Pancreatic abcess
• Pseudocyst
• Pancreatic ascites
• Pancreatic effusion
• Haemorrhage
• Portal/Splenic vein thrombosis
• Pseudoaneurysm
**In the long run, repeated attacks- chronic pancreatitis with irreversible damage
2) SYSTEMIC: more common in the first one week
• Cardiovascular: Shock, arrythmias
• Pulmonary : ARDS
• Renal failure
• Gastrointestinal: Ileus, peritonitis
• Neurological : visual disturbances, confusion, irritability, encephalopathy,
coma
• Miscellaneous: Subcutaneous fat necrosis, arthralgia
Others include :
Haematological: DIC
Metabolic: hyperglycaemia, hypocalcaemia, hyperlipidaemia
DIAGNOSIS
Proper history, clinical examination, confirmation by investigations
According to the American College of Gastroenterology's
guidelines, there are three criteria that must be present to
diagnose acute pancreatitis, including:
•Severe abdominal pain
•Amylase or lipase levels that are three times higher than the
upper limit of normal
•"Characteristic" abdominal imaging results
1. Blood
• CBC - neutrophil leucocytosis, thrombocytopenia (DIC)
• BUN
• Clotting profile- prolonged in DIC
• Glucose - hyperglycaemia in severe cases
• Electrolytes: Calcium levels -decreased, Potassium levels
• ABG – (hypoxemia) , pH (lactic acidosis – shock)
• FDP like D-dimer– raised in DIC
• Triglycerides
• C-reactive protein
• IgG4 – autoimmune pancreatitis
INVESTIGATIONS
2. Urine
-24h urine ouput
-Microscopy: Casts
- Urinary amylase
-Glycosuria (10% cases)
*Trypsin and its precursor trypsinogen-2 in both the urine and the peritoneal fluid have
been evaluated as possible markers for acute pancreatitis (especially post-ERCP
pancreatitis) but are not widely used.
*Although not currently in use clinically, polymorphisms in the chemokine monocyte
chemotactic protein 1 (MCP-1) gene may also predict severity. This is the first gene
identified that plays a role strictly in predicting the severity of disease.
3. Biochemical investigations
- Liver function tests: Increased liver enzymes, ALT,ALP, GGT ( gallstones)
- Direct bilirubin : Increase in CBD block
- Renal function tests: Creatinine, BUN, Urea
- Serum amylase: (amylase P): Increased (3-4 times normal diagnostic but
not specific)
- Serum lipase: Increased- more specific
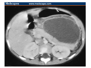
4. Radiological
•X rays :-
-Non specific signs – generalised or local ileus (sentinel loop), a colon
cut off sign, renal halo sign, calcified gallstones/pancreatic
calcifications
USG abdomen:- With in 24 hours- for gallstones, rule out a/c
cholecystitis, CBD dilatation diagnosis of vascular complications, i.e.
thrombosis, hypoechoic lesions may indicate necrotic change
•CT Abdomen with contrast:- phlegmon(inflammatory mass),
pseudocyst or abscess(complications of acute pancreatitis)
CT:
typical findings:
-focal or diffuse parenchymal enlargement
-calcifications may be seen within the parenchyma
-changes in density because of oedema
-indistinct pancreatic margins owing to inflammation
-surrounding retroperitoneal fat stranding
liquefactive necrosis of pancreatic parenchyma: lack of
parenchymal enhancement
infected necrosis
abscess formation : circumscribed fluid collection, little or no
necrotic tissues
haemorrhage: high-attenuation fluid in the retroperitoneum or
peripancreatic tissues
•MRI :- Contrast-enhanced MR is equivalent to CT in the
assessment of pancreatitis.
•ERCP :- Identification and removal of gallstones.
•EUS:- not frequent, used to ultrasonographically visualize
pancreas, bile tree, useful for stones, does not have
complications of ERCP. More sensitive to pick up
microlithiasis and periampullary lesions.
•MRCP:- not frequently used, used for detection of
gallstones.
Assessment of Severity
• AIM: to define patients with severe pancreatitis
• Based on history, clinical assessment , investigations - scoring
systems –
Ranson score, Glasgow scale, APACHE II, BISAP, Balthazar
scoring
•Grade severity , provide adequate appropriate
treatment/interventions, ward off/better control of another
attack
This calculator evaluates the following Clinical Criteria:
BUN >25 mg/dL (8.9 mmol/L)
Impairment of mental status with a Glasgow coma score <15
SIRS (systemic inflammatory response syndrome)
Age >60 years old
Pleural effusion
Each determinant is given one point
SIRS is defined as 2 or more of the following variables;
Fever of more than 38°C (100.4°F) or less than 36°C (96.8°F)
Heart rate of more than 90 beats per minute
Respiratory rate of more than 20 breaths per minute or arterial carbon dioxide tension
(PaCO2) of less than 32mm Hg
Abnormal white blood cell count (>12,000/µL or < 4,000/µL or >10% immature [band]
forms)
Bedside index of severity in acute
pancreatitis (BISAP) score
BISAP Score BISAP Score Observed
Mortality
0 0.1%
1 0.4%
2 1.6%
3 3.6%
4 7.4%
5 9.5%
Wu et al, Gut 2008
MANAGEMENT
Early management
Management of risk factors
Management of complications
Early Management: aims to provide immediate care and resuscitation
•Admission to HDU/ICU
•Analgesia
•Aggressive fluid rehydration, electrolyte imbalance correction
•Oxygenation
•Monitoring vitals, CVP, urine output, blood gases
• Frequent monitoring : haematological + biochemical parameters-
RFT, LFT, clotting profile, serum Calcium, blood sugar levels
• NG drainage
•Antibiotic prophylaxis
• CT scan : essential for organ failure, clinical deterioration or signs
or sepsis develops
• ERCP within 72 hours for severe gallstone pancreatitis or signs of
cholangitis
• Supportive therapy for organ failure if it develops – inotropes,
ventilatory support, haemofiltration, etc
• If nutritional support is required consider enteral feeding using NG
tube
SPECIFIC MANAGEMENT OF COMPLICATIONS
1) Acute fluid collection:
•Small sterile collections resolve
•large collections- CT/USG guided percutaneous aspiration
2) Sterile/infectious pancreatic necrosis and pancreatic
abscesses:
A) CT/USG guided wide bore needle aspiration
•Microbiological assessment of pus,
•AB sensitivity- start Abs,
If conservative measures fail especially in very severe cases–
B) NECROSECTOMY- thorough removal of necrotic tissues and
collections
•Based on clinical symptoms and imaging studies via endoscopy/ midline
laparotomy
•Asso high morbidity and mortality
•If tail and body involved – left flank approach
•If gallstones are cause – Cholecystectomy- endoscopic/laparotomy
•After Necrosectomy- more necrotic tissue may form, re-exploration may
be needed
C) Management of Post Necrosectomy necrotic tissue:
Closed continuous lavage of Berger:
Tube drains are left in and the raw areas flushed
Closed drainage: Incision is closed but cavity is packed with
gauze filled Penrose drains and closed suction drains.
The Penrose drains are brought out through the flank and slowly
pulled out and removed after 7 days.
Open packing: Incision is left open and cavity packed with
intention of returning to the OT at regular intervals and repacking
until there is a clean granulation cavity.
Closure and relaparotomy: incision is closed with drains with intention of
performing a series of planned relaparotomies every 48-72 hours until raw area
granulates
3) Pancreatic ascites: Wide bore needle drainage, NG tubing, Octreotide
4) Pancreatic effusion: Imaging guided percutaneous drainage
5) Haemorrhage : Fatal, embolisation and surgery
6) Portal/Splenic vein thrombosis:
If Portal HTN – esophageal banding/sclerosing agents,
In case of thrombocytosis – antiplatelets like aspirin, clopidogrel, systemic anticoagulation
– double edged sword?
DIFFERENTIAL DIAGNOSIS
•Perforated peptic ulcer
•Biliary colic-------------
•Acute cholecystitis----
•Pneumonia----------------
•Pleuritic pain--------------
•Myocardial infarction---
•Oesophageal spasm-----
•Perforated viscus
•Acute mesentric ischaemia
•Acute respiratory distress syndrome
*rule out any cause of acute abdomen
Right upper quadrant pain
Radiation to
chest
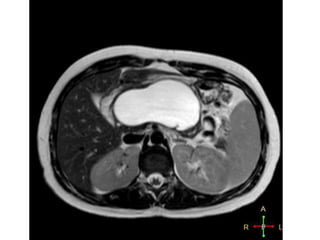
PANCREATIC PSEUDOCYST
Definition: Is a collection of amylase rich fluid enclosed in a wall of fibrous or granulation
tissue.
Aetiology: after an attack of acute pancreatitis**, in chronic pancreatitis, and post
pancreatic trauma
Pathogenesis: Formation >/= 4 weeks from the onset of acute pancreatitis. Thick fibrous
capsule – no true epithelial lining. Due to ductal distruption, strictures, calculi, tumours.
Composition: Similar electrolyte concentrations to plasma
High concentration of amylase, lipase, and trypsin.
Occurrence: Most common cystic lesions of pancreas, accounting for 75-80% of such
masses
Single *, maybe multiple, or loculated
Location: Lesser peritoneal sac in proximity to the pancreas
Large pseudocysts can extend into the paracolic gutters, pelvis, mediastinum, neck or
scrotum
CLINICAL FEATURES
•Asymptomatic when small
•Symptoms
Abdominal pain > 3 weeks (80 – 90%)
Nausea / vomiting
Early satiety
Bloating, indigestion
•Signs:
Abdominal fullness
Tenderness
Palpable mass in the abdomen
Peritoneal signs suggesting rupture of the cyst or infection
Fever
Scleral icterus
Pleural effusion
COMPLICATIONS/SEQUELAE:
Infection: Abscess, systemic sepsis
Rupture: Into gutGI bleeding, internal fistula
Into peritoneum Peritonitis
Enlargement: Bowel obstruction, biliary compression,
pain
Erosion into vessel: Haemorrhage into the cyst,
haemoperitoneum
DIAGNOSIS
Clinically suspicion in case :
•Episode of pancreatitis fails to resolve
•Amylase levels persistantly high
•Persistent abdominal pain
•Epigastric mass palpated after pancreatitis
INVESTIGATIONS
Labs: Persistently elevated serum amylase
Cyst fluid analysis(EUS+A): Carcinoembryonic antigen (CEA) and CEA-125 (low
in pseudocysts and elevated in tumors); fluid viscosity (low in pseudocysts and
elevated in tumors); amylase (usually high in pseudocysts and low in tumors)CEA
(cystic neoplasm)
Radiological Investigations
•Plain X-ray: Not very useful
•Ultrasound TransAbd: 75 -90% sensitive
•EUS: helps plan therapy, not useful for Dx
•CT : Most accurate (sensitivity 90-100%)
•MRI –detection of solid component of cyst and in differentiating between
organized necrosis and a pseudocyst
NATURAL HISTORY OF PSEUDOCYST:
•~50% resolve spontaneously
•Nearly all <4cm resolve spontaneously
•Those >6cm, >12weeks duration asso c/c
pancreatitis persist, necessitate
intervention
• Multiple cysts – few spontaneously resolve
MANAGEMENT
 If asymptomatic/small – wait for spontaneous resolution
DEFINITIVE TREATMENT DRAINAGE
INDICATIONS :
Complications
Symptoms
Concern about possible malignancy
• 3 approaches to drain a pseudocyst:
 Percutaneous
Endoscopic
Surgical**
A) PERCUTANEOUS DRAINAGE:
1) Percutaneous catheter drainage:
Done under USG/CT guidance, but has several disadvantages.
High recurrence rate, contraindicated In cysts that are communicating with duct lumen-
Pancreticocutaneous fistula- and in neoplastic cysts
Hence not common
2)Percutaneous transgastric cystgastrostomy: radiological guidance
Recurrence <15%
B) ENDOSCOPIC DRAINAGE:
1) Under EUS guidance
2) ERCP and Stenting of Ampulla – communicating cyst
C) SURGICAL DRAINAGE: cystogastrostomy
•most preferred, least recurrence rate ( <5%), best for complicated
pseudocysts
•Open incision laparotomy or laproscopy (also shows similar rates)
DIFFERENTIAL DIAGNOSIS:
•Acute fluid collections
•Organized necrosis
•Pancreatic abscesses
•Cystic neoplasm
“Never in medical history have so
many owed so much to a single
stone”. – Reginald Huber Fitz

The following are the latest terms according to the updated Atlanta
classification to describe fluid collections associated with acute
pancreatitis:
fluid collections in interstitial oedematous pancreatitis
acute peripancreatic fluid collections (APFC): in the first 4
weeks: non-encapsulated peripancreatic fluid collections
pseudocysts: develop after 4 weeks; encapsulated
peripancreatic or remote fluid collections
fluid collections in necrotising pancreatitis
acute necrotic collections (ANCs): in the first 4 weeks; non-
encapsulated heterogeneous non-liquefied material
walled-off necrosis (WON or WOPN): develop after 4 weeks;
encapsulated heterogeneous non-liquefied material
 Peritonitis
Signs that are less common, and indicate severe disease, include:
Pleural effusions:
Grey-Turner's sign (hemorrhagic discoloration of the flanks)
Cullen's sign (hemorrhagic discoloration of the umbilicus)
Grünwald sign
Körte's sign )
Kamenchik's sign
Mayo-Robson's sign )
Mayo-Robson's point - a point on border of inner 2/3 with the external 1/3 of
the line that represents the bisection of the left upper abdominal quadrant,
where tenderness on pressure exists in disease of the pancreas. At this point the
tail of pancreas is projected on the abdominal wall.

Pancreatitis & pancreatic pseudocyst

  • 1.
  • 2.
  • 4.
    Pancreatitis Inflammation of thepancreatic parenchyma, which is a retroperitoneal, endocrine and exocrine organ.
  • 5.
  • 6.
    • Acute Pancreatitis**:inflammatory condition of the pancreas of an acute presentation characterized clinically by abdominal pain and elevated levels of pancreatic enzymes in the blood. • Chronic Pancreatitis: is a continuing inflammatory disease of the pancreas characterised by irreversible morphological changes typically causing pain and/or permanent loss of function. Can also have an acute on chronic presentation.
  • 7.
    Pathological Classification • Areof two types: • Interstitial oedematous pancreatitis: vast majority (90-95%) • most often referred to simply as "acute pancreatitis" or "uncomplicated pancreatitis“ • Necrotising pancreatitis: necrosis develops within the pancreas and/or peripancreatic tissue
  • 8.
    Blast from thePast: • Alexander the Great • Reginald Huber Fitz – On Acute Pancreatitis • Eugene Lindsey Opie – Gallstone lodging • Chiari - Autodigestion
  • 9.
    ACUTE PANCREATITIS • DEFINITION:A group of reversible lesions due to inflammation of the pancreas clinically charactersied by abdominal pain and elevated levels of pancreatic enzymes in the blood. It is medical emergency, and requires to be treated as soon as possible. • GENDER PREDILECTION: Generally M>F In males more often related to alcohol In females more often related to biliary tract disease Idiopathic pancreatitis no clear gender predilection • INCIDENCE: Young men and elderly women • MORTALITY RATE: Mild pancreatitis >1%, Severe cases - 10-30% • CAUSE OF DEATH: Multi-organ Dysfunction Syndrome
  • 10.
    AETIOLOGY • Gall stones- 50 to 70% cases • Alcoholism - 25% • Post ERCP - *** • Abdominal trauma • Post biliary , upper gastrointestinal or cardiothoracic surgery • Ampullary tumour • Drugs like corticosteroids, azathioprine, asparaginase, valproic acid, thiazides, oestrogens
  • 11.
    • Hyperparathyroidism • Hypercalcaemia •Pancreas divisum • Autoimmune pancreatitis • Hereditary pancreatitis • Viral Infections – mumps/cockackie B • Malnutrition • Scorpion bite • Idiopathic
  • 12.
    PATHOGENESIS : AUTOACTIVATION AND AUTO DIGESTION •Two -mild pancreatitis • -severe pancreatitis, •Division is based whether the predominant response to cell injury is inflammation or necrosis, respectively. •In mild pancreatitis - inflammation and edema of the pancreas •In severe pancreatitis – also features of necrosis and secondary injury to extrapancreatic organs. •Both types share a common mechanism of abnormal inhibition of secretion of zymogens and inappropriate activation of pancreatic zymogens inside the pancreas, most notably trypsinogen.
  • 14.
    CLINICAL FEATURES  Themost common symptoms and signs include: Severe epigastric pain (50% cases) radiating to the back, chest, flanks, and lower abdomen, relieved by leaning forward, that feels worse after eating Nausea, vomiting, diarrhea and loss of appetite Fever/chills Hemodynamic instability, including shock- cold clammy extremities, rapid low volume pulse, tachycardia In severe case may present with tenderness, guarding, rebound tenderness.  Respiratory symptoms: Tachypnoea, respiratory distress Hiccups
  • 16.
    COMPLICATIONS/SEQUELAE 1)LOCAL: usually developafter first week • Acute fluid collection • Sterile pancreatic necrosis • Infected pancreatic necrosis • Pancreatic abcess • Pseudocyst • Pancreatic ascites • Pancreatic effusion • Haemorrhage • Portal/Splenic vein thrombosis • Pseudoaneurysm **In the long run, repeated attacks- chronic pancreatitis with irreversible damage
  • 19.
    2) SYSTEMIC: morecommon in the first one week • Cardiovascular: Shock, arrythmias • Pulmonary : ARDS • Renal failure • Gastrointestinal: Ileus, peritonitis • Neurological : visual disturbances, confusion, irritability, encephalopathy, coma • Miscellaneous: Subcutaneous fat necrosis, arthralgia Others include : Haematological: DIC Metabolic: hyperglycaemia, hypocalcaemia, hyperlipidaemia
  • 21.
    DIAGNOSIS Proper history, clinicalexamination, confirmation by investigations According to the American College of Gastroenterology's guidelines, there are three criteria that must be present to diagnose acute pancreatitis, including: •Severe abdominal pain •Amylase or lipase levels that are three times higher than the upper limit of normal •"Characteristic" abdominal imaging results
  • 22.
    1. Blood • CBC- neutrophil leucocytosis, thrombocytopenia (DIC) • BUN • Clotting profile- prolonged in DIC • Glucose - hyperglycaemia in severe cases • Electrolytes: Calcium levels -decreased, Potassium levels • ABG – (hypoxemia) , pH (lactic acidosis – shock) • FDP like D-dimer– raised in DIC • Triglycerides • C-reactive protein • IgG4 – autoimmune pancreatitis INVESTIGATIONS
  • 23.
    2. Urine -24h urineouput -Microscopy: Casts - Urinary amylase -Glycosuria (10% cases) *Trypsin and its precursor trypsinogen-2 in both the urine and the peritoneal fluid have been evaluated as possible markers for acute pancreatitis (especially post-ERCP pancreatitis) but are not widely used. *Although not currently in use clinically, polymorphisms in the chemokine monocyte chemotactic protein 1 (MCP-1) gene may also predict severity. This is the first gene identified that plays a role strictly in predicting the severity of disease. 3. Biochemical investigations - Liver function tests: Increased liver enzymes, ALT,ALP, GGT ( gallstones) - Direct bilirubin : Increase in CBD block - Renal function tests: Creatinine, BUN, Urea - Serum amylase: (amylase P): Increased (3-4 times normal diagnostic but not specific) - Serum lipase: Increased- more specific
  • 24.
    4. Radiological •X rays:- -Non specific signs – generalised or local ileus (sentinel loop), a colon cut off sign, renal halo sign, calcified gallstones/pancreatic calcifications USG abdomen:- With in 24 hours- for gallstones, rule out a/c cholecystitis, CBD dilatation diagnosis of vascular complications, i.e. thrombosis, hypoechoic lesions may indicate necrotic change •CT Abdomen with contrast:- phlegmon(inflammatory mass), pseudocyst or abscess(complications of acute pancreatitis)
  • 25.
    CT: typical findings: -focal ordiffuse parenchymal enlargement -calcifications may be seen within the parenchyma -changes in density because of oedema -indistinct pancreatic margins owing to inflammation -surrounding retroperitoneal fat stranding liquefactive necrosis of pancreatic parenchyma: lack of parenchymal enhancement infected necrosis abscess formation : circumscribed fluid collection, little or no necrotic tissues haemorrhage: high-attenuation fluid in the retroperitoneum or peripancreatic tissues
  • 26.
    •MRI :- Contrast-enhancedMR is equivalent to CT in the assessment of pancreatitis. •ERCP :- Identification and removal of gallstones. •EUS:- not frequent, used to ultrasonographically visualize pancreas, bile tree, useful for stones, does not have complications of ERCP. More sensitive to pick up microlithiasis and periampullary lesions. •MRCP:- not frequently used, used for detection of gallstones.
  • 27.
    Assessment of Severity •AIM: to define patients with severe pancreatitis • Based on history, clinical assessment , investigations - scoring systems – Ranson score, Glasgow scale, APACHE II, BISAP, Balthazar scoring •Grade severity , provide adequate appropriate treatment/interventions, ward off/better control of another attack
  • 30.
    This calculator evaluatesthe following Clinical Criteria: BUN >25 mg/dL (8.9 mmol/L) Impairment of mental status with a Glasgow coma score <15 SIRS (systemic inflammatory response syndrome) Age >60 years old Pleural effusion Each determinant is given one point SIRS is defined as 2 or more of the following variables; Fever of more than 38°C (100.4°F) or less than 36°C (96.8°F) Heart rate of more than 90 beats per minute Respiratory rate of more than 20 breaths per minute or arterial carbon dioxide tension (PaCO2) of less than 32mm Hg Abnormal white blood cell count (>12,000/µL or < 4,000/µL or >10% immature [band] forms) Bedside index of severity in acute pancreatitis (BISAP) score
  • 31.
    BISAP Score BISAPScore Observed Mortality 0 0.1% 1 0.4% 2 1.6% 3 3.6% 4 7.4% 5 9.5% Wu et al, Gut 2008
  • 33.
    MANAGEMENT Early management Management ofrisk factors Management of complications Early Management: aims to provide immediate care and resuscitation •Admission to HDU/ICU •Analgesia •Aggressive fluid rehydration, electrolyte imbalance correction •Oxygenation •Monitoring vitals, CVP, urine output, blood gases
  • 34.
    • Frequent monitoring: haematological + biochemical parameters- RFT, LFT, clotting profile, serum Calcium, blood sugar levels • NG drainage •Antibiotic prophylaxis • CT scan : essential for organ failure, clinical deterioration or signs or sepsis develops • ERCP within 72 hours for severe gallstone pancreatitis or signs of cholangitis • Supportive therapy for organ failure if it develops – inotropes, ventilatory support, haemofiltration, etc • If nutritional support is required consider enteral feeding using NG tube
  • 35.
    SPECIFIC MANAGEMENT OFCOMPLICATIONS 1) Acute fluid collection: •Small sterile collections resolve •large collections- CT/USG guided percutaneous aspiration 2) Sterile/infectious pancreatic necrosis and pancreatic abscesses: A) CT/USG guided wide bore needle aspiration •Microbiological assessment of pus, •AB sensitivity- start Abs,
  • 36.
    If conservative measuresfail especially in very severe cases– B) NECROSECTOMY- thorough removal of necrotic tissues and collections •Based on clinical symptoms and imaging studies via endoscopy/ midline laparotomy •Asso high morbidity and mortality •If tail and body involved – left flank approach •If gallstones are cause – Cholecystectomy- endoscopic/laparotomy •After Necrosectomy- more necrotic tissue may form, re-exploration may be needed
  • 37.
    C) Management ofPost Necrosectomy necrotic tissue: Closed continuous lavage of Berger: Tube drains are left in and the raw areas flushed Closed drainage: Incision is closed but cavity is packed with gauze filled Penrose drains and closed suction drains. The Penrose drains are brought out through the flank and slowly pulled out and removed after 7 days. Open packing: Incision is left open and cavity packed with intention of returning to the OT at regular intervals and repacking until there is a clean granulation cavity.
  • 38.
    Closure and relaparotomy:incision is closed with drains with intention of performing a series of planned relaparotomies every 48-72 hours until raw area granulates 3) Pancreatic ascites: Wide bore needle drainage, NG tubing, Octreotide 4) Pancreatic effusion: Imaging guided percutaneous drainage 5) Haemorrhage : Fatal, embolisation and surgery 6) Portal/Splenic vein thrombosis: If Portal HTN – esophageal banding/sclerosing agents, In case of thrombocytosis – antiplatelets like aspirin, clopidogrel, systemic anticoagulation – double edged sword?
  • 39.
    DIFFERENTIAL DIAGNOSIS •Perforated pepticulcer •Biliary colic------------- •Acute cholecystitis---- •Pneumonia---------------- •Pleuritic pain-------------- •Myocardial infarction--- •Oesophageal spasm----- •Perforated viscus •Acute mesentric ischaemia •Acute respiratory distress syndrome *rule out any cause of acute abdomen Right upper quadrant pain Radiation to chest
  • 40.
    PANCREATIC PSEUDOCYST Definition: Isa collection of amylase rich fluid enclosed in a wall of fibrous or granulation tissue. Aetiology: after an attack of acute pancreatitis**, in chronic pancreatitis, and post pancreatic trauma Pathogenesis: Formation >/= 4 weeks from the onset of acute pancreatitis. Thick fibrous capsule – no true epithelial lining. Due to ductal distruption, strictures, calculi, tumours. Composition: Similar electrolyte concentrations to plasma High concentration of amylase, lipase, and trypsin. Occurrence: Most common cystic lesions of pancreas, accounting for 75-80% of such masses Single *, maybe multiple, or loculated Location: Lesser peritoneal sac in proximity to the pancreas Large pseudocysts can extend into the paracolic gutters, pelvis, mediastinum, neck or scrotum
  • 42.
    CLINICAL FEATURES •Asymptomatic whensmall •Symptoms Abdominal pain > 3 weeks (80 – 90%) Nausea / vomiting Early satiety Bloating, indigestion •Signs: Abdominal fullness Tenderness Palpable mass in the abdomen Peritoneal signs suggesting rupture of the cyst or infection Fever Scleral icterus Pleural effusion
  • 43.
    COMPLICATIONS/SEQUELAE: Infection: Abscess, systemicsepsis Rupture: Into gutGI bleeding, internal fistula Into peritoneum Peritonitis Enlargement: Bowel obstruction, biliary compression, pain Erosion into vessel: Haemorrhage into the cyst, haemoperitoneum
  • 44.
    DIAGNOSIS Clinically suspicion incase : •Episode of pancreatitis fails to resolve •Amylase levels persistantly high •Persistent abdominal pain •Epigastric mass palpated after pancreatitis
  • 45.
    INVESTIGATIONS Labs: Persistently elevatedserum amylase Cyst fluid analysis(EUS+A): Carcinoembryonic antigen (CEA) and CEA-125 (low in pseudocysts and elevated in tumors); fluid viscosity (low in pseudocysts and elevated in tumors); amylase (usually high in pseudocysts and low in tumors)CEA (cystic neoplasm) Radiological Investigations •Plain X-ray: Not very useful •Ultrasound TransAbd: 75 -90% sensitive •EUS: helps plan therapy, not useful for Dx •CT : Most accurate (sensitivity 90-100%) •MRI –detection of solid component of cyst and in differentiating between organized necrosis and a pseudocyst
  • 50.
    NATURAL HISTORY OFPSEUDOCYST: •~50% resolve spontaneously •Nearly all <4cm resolve spontaneously •Those >6cm, >12weeks duration asso c/c pancreatitis persist, necessitate intervention • Multiple cysts – few spontaneously resolve
  • 51.
    MANAGEMENT  If asymptomatic/small– wait for spontaneous resolution DEFINITIVE TREATMENT DRAINAGE INDICATIONS : Complications Symptoms Concern about possible malignancy • 3 approaches to drain a pseudocyst:  Percutaneous Endoscopic Surgical**
  • 52.
    A) PERCUTANEOUS DRAINAGE: 1)Percutaneous catheter drainage: Done under USG/CT guidance, but has several disadvantages. High recurrence rate, contraindicated In cysts that are communicating with duct lumen- Pancreticocutaneous fistula- and in neoplastic cysts Hence not common 2)Percutaneous transgastric cystgastrostomy: radiological guidance Recurrence <15% B) ENDOSCOPIC DRAINAGE: 1) Under EUS guidance 2) ERCP and Stenting of Ampulla – communicating cyst
  • 53.
    C) SURGICAL DRAINAGE:cystogastrostomy •most preferred, least recurrence rate ( <5%), best for complicated pseudocysts •Open incision laparotomy or laproscopy (also shows similar rates)
  • 57.
    DIFFERENTIAL DIAGNOSIS: •Acute fluidcollections •Organized necrosis •Pancreatic abscesses •Cystic neoplasm
  • 58.
    “Never in medicalhistory have so many owed so much to a single stone”. – Reginald Huber Fitz 
  • 67.
    The following arethe latest terms according to the updated Atlanta classification to describe fluid collections associated with acute pancreatitis: fluid collections in interstitial oedematous pancreatitis acute peripancreatic fluid collections (APFC): in the first 4 weeks: non-encapsulated peripancreatic fluid collections pseudocysts: develop after 4 weeks; encapsulated peripancreatic or remote fluid collections fluid collections in necrotising pancreatitis acute necrotic collections (ANCs): in the first 4 weeks; non- encapsulated heterogeneous non-liquefied material walled-off necrosis (WON or WOPN): develop after 4 weeks; encapsulated heterogeneous non-liquefied material
  • 68.
     Peritonitis Signs thatare less common, and indicate severe disease, include: Pleural effusions: Grey-Turner's sign (hemorrhagic discoloration of the flanks) Cullen's sign (hemorrhagic discoloration of the umbilicus) Grünwald sign Körte's sign ) Kamenchik's sign Mayo-Robson's sign ) Mayo-Robson's point - a point on border of inner 2/3 with the external 1/3 of the line that represents the bisection of the left upper abdominal quadrant, where tenderness on pressure exists in disease of the pancreas. At this point the tail of pancreas is projected on the abdominal wall.