Embed presentation
Downloaded 343 times




































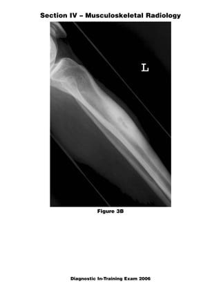
This document contains a radiology case study with 4 images (Figures 1-4) and accompanying questions. Figure 1 shows a lateral cervical spine x-ray. The diagnosis is ankylosing spondylitis based on diffuse bony ankylosis throughout the cervical spine. Figure 2 shows MRI images of the knee with a diagnosis of discoid meniscus due to excessive meniscal tissue. Figure 3 shows x-rays of the leg with a diagnosis of Brodie's abscess, seen as an elongated lytic lesion in the tibia. Figure 4 shows knee images of a 13-year-old boy with a diagnosis of chondroblastoma, seen as a well-defined lesion in the proximal tib


































