Embed presentation
Downloaded 238 times

















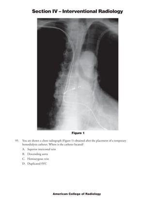
This document provides rationales for questions on the 2005 American College of Radiology Diagnostic In-Training Examination for interventional radiology residents. It includes the questions, images associated with some questions, findings for each image, and rationales for the correct answers. The questions cover topics such as locations of dialysis catheters, diagnoses for angiograms, standards for uterine artery embolization, and indications for percutaneous nephrostomy.















