Benign Bone Lesions-I
PRESENTER: DR.SABIR KUMAR KHADKA
JR-II
DEPARTMENT OF ORTHOPAEDICS
REFERENCES
• CAMPBELL’S OPERATIVE ORTHOPAEDICS, 13TH
EDITION
• APLEY & SOLOMON’S SYSTEM OF
ORTHOPAEDICS AND TRAUMA, 10TH EDITION
OBJECTIVES
• INTRODUCTION
• CLASSIFICATION
• COMMON PRESENTATION
• COMMON BENIGN BONE TUMORS
-CLINICAL FEATURES
-RADIOLOGICAL FEATURES
-DIAGNOSIS
-TREATMENT MODALITY
-PROGNOSIS
INTRODUCTION
• Neoplasia literally means the process of "new
growth"
• British oncologist Willis defined “ a neoplasm is an
abnormal mass of tissue, the growth of which
exceeds & is uncoordinated with that of the normal
tissues& persists in the same excessive manner
after cessation of the stimuli which evoked the
change”
Benign Bone Tumors
• Bone tumors are diverse in their gross and
morphologic features and grade
• Most bone tumors are classified according to the
normal cell or tissue of origin
• Lesions that do not have normal tissue
counterparts are grouped according to their
distinct clinicopathologic features
Benign vs. Malignant
Classification
Classification
Presentation
• Clinically, bone tumors present in various ways
• The more common benign lesions are
frequently asymptomatic and are detected as
incidental findings.
• Pain
• Swelling
• Pathological fracture
Staging
Common Benign Bone Tumors
• Most bone tumors are classified according to
the normal cell or tissue of origin.
- Bone forming tumors
- cartilaginous lesions
- Fibrous lesions
- Cystic lesions
- vascular and Others
Osteoid osteoma
• Osteoid osteoma is a benign neoplasm most
often seen in young men 2nd and 3rd decade.
• M:F:: 3:1
• Pain is presenting symptom.
• Size less than 1.5cm
• Predilection for the lower extremity, with half
the cases involving the femur or tibia.
• X-ray : Small (<1.5 cm) central radiolucent nidus
with surrounding bony sclerosis. CT is best for
locating nidus.
• Microscopy : Fibrovascular tissue with immature
bony trabeculae that are rimmed by prominent
osteoblasts.
• Treatment :
Medical
Surgical
Percutaneous Radiofrequency ablation
OSTEOBLASTOMA
• Benign bone tumor of osteoblast producing
osteoid and woven bone.
• Commonly seen in teenagers and children.
• Prediliction for spine in posterior arch but can
occur anywhere.
• Usually presents with pain at site of tumor.
• On X ray: lytic lesion ,typically 2-5 cm in size,
usually central but can be eccentric or
periosteal.
• Histologically: large osteoblast producing
osteoid and woven bone.
• Treatment: extended intralesional curettage
with radiofrequency ablation for small volume
lesion.
Bone Island
• Bone islands, also called enostoses, are benign
lesions of cancellous bone.
• Usually are asymptomatic and are discovered
incidentally.
• Almost any bone can be involved, but the pelvis
and the femur are the most common sites.
• Regardless, most remain quiescent.
X-ray and MRI of BONE ISLAND
• X-ray : Small, round or oval areas of homogeneous
increased density within the cancellous bone.
Radiating spicules on the periphery of the bone
islands merge with the native bone.
• No treatment is required, if pain occur and size
increases then biopsy indicated to rule out
sclerosing osteosarcoma, blastic metastasis, or
sclerotic myeloma.
CHONDROMA
• Chondromas are benign lesions of hyaline cartilage.
They are common, and all age groups are affected.
• The phalanges of the hand are the most common
location.
• Enchondroma and periosteal or juxtacortical
chondroma
• Ollier’s disease
• Maffucci syndrome
• Radiography
– Plain Radiography
• Solitary, metaphyseal lesion
• Intralesional calcification – irregular, termed -
“stippled,” “punctate,” or “popcorn”
• Erosion and expansion of the overlying cortex
– CT
• Evaluates endosteal erosion – presence =
chondrosarcoma
• Treatment
– Solitary enchondromas – observation with serial
radiographs
– Lesion enlarges or becomes symptomatic –
extended curettage
– Low recurrence rates .
– Multiple enchondromatosis – individual lesions –
not treated, deformities – corrective osteotomy
OSTEOCHONDROMA
• Common benign bone tumors
• The lesions consist of a bony mass, often in the
form of a stalk, produced by progressive
endochondral ossification of a growing
cartilaginous cap.
• Common sites- distal femur, the proximal tibia,
and proximal humerus
• Osteochondromas are of two types: pedunculated
and broad based or sessile.
OSTEOCHONDROMA
Osteochondroma
• Solitary Osteochondroma
• Multiple Hereditary Exostoses
• Malignant transformation may occur
• Treatment : osteochondromas may
spontaneously regress. They are usually treated
by simple excision for cosmetic reasons or
when symptoms of pain, limitation of motion,
or impingement on adjacent structures such as
nerves and blood vessels become clinically
manifest.
CHONDROMYXOID FIBROMA
• Benign cartilaginous tumor comprising lobules
of fibromyxoid and chondroid tissue.
• Common sites: long bone metaphyses,
particularly proximal tibia and pelvis.
• Most frequent: teenagers and young adults.
• Presents with insidious mild to moderate pain.
• On X ray: appearsas small, metaphyseal,
eccentric lytic lesion.
• Lie parallel to long axis of bone, can cause
fusiform swelling.
• Histologically:stellate cells on myxoid
background.
• Treatment: intralesional curettage with a low
risk of recurrence.
CHONDROBLASTOMA
• Benign tumor of childhood
• Mostly epiphyses, usually at end of long bones
• Typically presents with pain and ocassionally
cause joint effusion and stiffness.
• On X ray: round or oval lesion ranging from 1
to 7 cm on x ray.
• Histologically: appears as “wet-sawdust” with
areas of chondroid matrix,calcification and
haemorrhage.
• Presence of chicken- wire calcification is
pathognomic.
• Treatment: simple curettage with or without
bonegraft.
• Recurrence: 10% of cases.
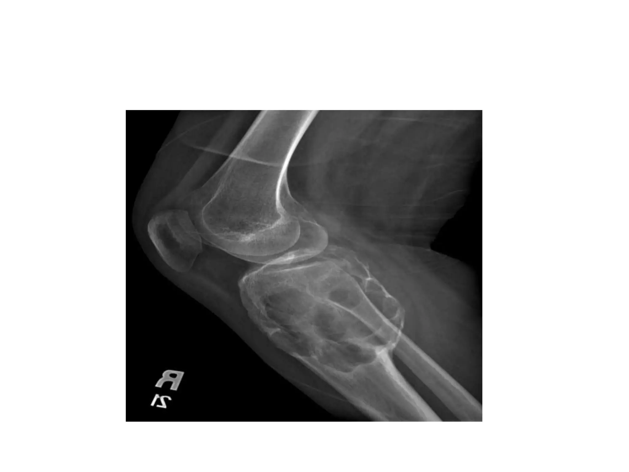
NON OSSIFYING FIBROMA
• This, the commonest benign lesion of bone, is
a developmental defect in which a nest of
fibrous tissue appears within the bone and
persists for some years before ossifying.
• It is asymptomatic and is almost always
encountered in children as an incidental
finding on x-ray. Generally, these lesions occur
in the metaphyseal region of long bones.
• X-ray: oval or lobulated eccentric radiolucent
lesion in metaphysis surrounded by thin
margin of dense bone.
• Histologically, the defect is filled with spindle-
shaped cells distributed in a whorled or
storiform pattern.
• Most nonossifying fibromas are asymptomatic
and regress spontaneously in adulthood.
FIBROUS DYSPLASIA
• Fibrous dysplasia is a developmental anomaly of
bone formation. The hallmark is replacement of
normal bone and marrow by fibrous tissue and
small, woven spicules of bone.
• Fibrous dysplasia can occur in the epiphysis,
metaphysis, or diaphysis.
• Mazabraud syndrome
• McCune-Albright syndrome
• The disease usually manifests during the first
three decades of life (approximately 70% of
cases).
• The radiographic appearance is characteristic,
with the lucent area having a granular,
ground-glass appearance with a well-defined
sclerotic rim
• Characteristic deformity in proximal femoral
fibrous dysplasia is the shepherds crook
deformity.
• Histology: Demonstrates mixture of benign
proliferating fibroblastic cells within islands of
woven bone which characteristically appear in
a chinese letter formation.
Fibrous dysplasia
• Malignant transformation 0.5 to 5 percent.
• Small lesion require no treatment.
• Surgical treatment is indicated when
significant deformity or pathological fracture
occurs or when significant pain exists.
• Deformities corrected by osteotomy with
internal fixation.
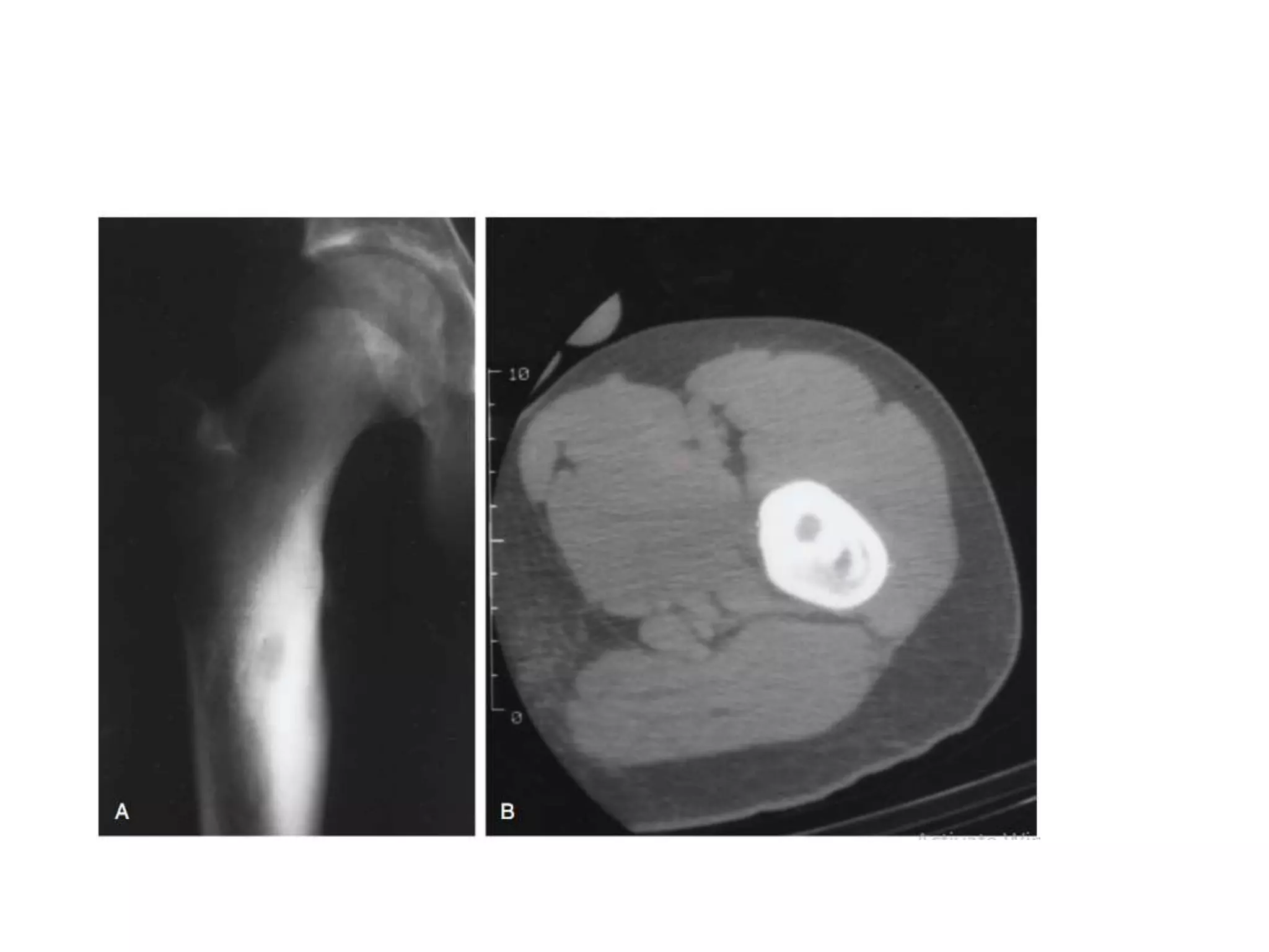
Other Fibrous tumor
• CORTICAL DESMOID:A cortical desmoid is an
irregularity in the posteromedial aspect of the
distal femoral metaphysis and usually is seen in
boys 10 to 15 years old. It may be a reaction to
muscle stress exerted by the adductor magnus.
• Radiographs and MRI reveal erosion of the cortex
with a sclerotic base.
• A biopsy is not warranted. Treatment usually
consists of observation.
BENIGN FIBROUS HISTIOCYTOMA
• Rare tumor, occurs most frequently in the soft
tissues and is less common in bone.
• Benign fibrous histiocytoma may occur in the
diaphysis or epiphysis of long bones or in the
pelvis. Common at 3rd or 4th decade.
• Radiographically, is a well-defined, lytic,
expanding lesion with little periosteal reaction.
• Because of its tendency for local recurrence,
extended curettage or wide resection is
recommended.
CYSTIC LESIONS
UNICAMERAL BONE CYST:
• Common – Childhood, 85% - first 2 decades
• M:F = 2 : 1
• Common sites – children - proximal humerus and
femur, adults - Ilium and calcaneous
• Clinical features - often asymptomatic, pain,
swelling, stiffness – joint, pathological fracture
• Active during bone growth and may regress
spontaneously at maturity.
• Two thirds of patients present with pathological
fractures, which can stimulate the cyst to heal.
Pathogenesis
• A focal defect in metaphyseal remodelling
blocks interstitial fluid drainage.
• This leads to increased pressure which leads
to focal bone necrosis and accumulation of
fluid.
• Lining ofunicameral bone cyst is composed of
fibroblast.
X-ray
• X-ray : centrally located, purely lytic lesion with a
well-marginated outline.
• Treatment :
- Small, asymptomatic lesions in the upper
extremities can be treated with observation
-Larger lesions, symptomatic lesions, and lesions in
the lower extremities)- curettage (with or without
bone grafting or internal fixation)
- Aspiration and injection (corticosteroids, bone
marrow aspirate, demineralized bone matrix, or
other materials)
ANEURYSMAL BONE CYST
• Locally destructive, blood-filled reactive lesions of bone
• Slight female predominance
• Common sites – proximal humerus, distal femur, proximal
tibia, and spine
• Clinical features
– mild to moderate pain
– rapid growth – mimics malignancy
– spinal lesions – neurological deficits or radicular pain
• Plain Radiography
– Expansile, eccentrically located lytic lesion -
metaphyses, elevated periosteum +/- periosteal
reaction, lined by thin shell of cortical bone
• Bone scan
– diffuse or peripheral tracer uptake with central area
of decreased uptake
Treatment
Extended curettage and grafting with a bone graft
substitute under tourniquet control
Marginal resection – rarely
Spine or pelvis lesions – preoperative embolization
Arterial embolization – difficult locations
Low-dose irradiation - effective method, not used
routinely – risked malignant transformation
Vascular lesion
• HEMANGIOMA:
-Hemangioma is a common benign bone
lesion.
- Hemangiomas also are common in vertebral
bodies and the skull.
The radiographic appearance in the spine
usually is characteristic, with thickened,
vertically oriented trabeculae giving the classic
“jailhouse” appearance.
Hemangioma
Treatment
 Usually not necessary
 Nerve root or cord decompression with spinal stabilization -
vertebral collapse with neurological compromise
 Long bones lesions - extended curettage
 Selective arterial embolization - surgically inaccessible locations
 Low-dose radiation
 Preoperative embolization - minimizes intraoperative blood loss
THANK YOU

Benign bone lesion 1

  • 1.
    Benign Bone Lesions-I PRESENTER:DR.SABIR KUMAR KHADKA JR-II DEPARTMENT OF ORTHOPAEDICS
  • 2.
    REFERENCES • CAMPBELL’S OPERATIVEORTHOPAEDICS, 13TH EDITION • APLEY & SOLOMON’S SYSTEM OF ORTHOPAEDICS AND TRAUMA, 10TH EDITION
  • 3.
    OBJECTIVES • INTRODUCTION • CLASSIFICATION •COMMON PRESENTATION • COMMON BENIGN BONE TUMORS -CLINICAL FEATURES -RADIOLOGICAL FEATURES -DIAGNOSIS -TREATMENT MODALITY -PROGNOSIS
  • 4.
    INTRODUCTION • Neoplasia literallymeans the process of "new growth" • British oncologist Willis defined “ a neoplasm is an abnormal mass of tissue, the growth of which exceeds & is uncoordinated with that of the normal tissues& persists in the same excessive manner after cessation of the stimuli which evoked the change”
  • 5.
    Benign Bone Tumors •Bone tumors are diverse in their gross and morphologic features and grade • Most bone tumors are classified according to the normal cell or tissue of origin • Lesions that do not have normal tissue counterparts are grouped according to their distinct clinicopathologic features
  • 6.
  • 7.
  • 8.
  • 9.
    Presentation • Clinically, bonetumors present in various ways • The more common benign lesions are frequently asymptomatic and are detected as incidental findings. • Pain • Swelling • Pathological fracture
  • 10.
  • 13.
    Common Benign BoneTumors • Most bone tumors are classified according to the normal cell or tissue of origin. - Bone forming tumors - cartilaginous lesions - Fibrous lesions - Cystic lesions - vascular and Others
  • 14.
    Osteoid osteoma • Osteoidosteoma is a benign neoplasm most often seen in young men 2nd and 3rd decade. • M:F:: 3:1 • Pain is presenting symptom. • Size less than 1.5cm • Predilection for the lower extremity, with half the cases involving the femur or tibia.
  • 16.
    • X-ray :Small (<1.5 cm) central radiolucent nidus with surrounding bony sclerosis. CT is best for locating nidus. • Microscopy : Fibrovascular tissue with immature bony trabeculae that are rimmed by prominent osteoblasts. • Treatment : Medical Surgical Percutaneous Radiofrequency ablation
  • 17.
    OSTEOBLASTOMA • Benign bonetumor of osteoblast producing osteoid and woven bone. • Commonly seen in teenagers and children. • Prediliction for spine in posterior arch but can occur anywhere. • Usually presents with pain at site of tumor.
  • 19.
    • On Xray: lytic lesion ,typically 2-5 cm in size, usually central but can be eccentric or periosteal. • Histologically: large osteoblast producing osteoid and woven bone. • Treatment: extended intralesional curettage with radiofrequency ablation for small volume lesion.
  • 20.
    Bone Island • Boneislands, also called enostoses, are benign lesions of cancellous bone. • Usually are asymptomatic and are discovered incidentally. • Almost any bone can be involved, but the pelvis and the femur are the most common sites. • Regardless, most remain quiescent.
  • 21.
    X-ray and MRIof BONE ISLAND
  • 22.
    • X-ray :Small, round or oval areas of homogeneous increased density within the cancellous bone. Radiating spicules on the periphery of the bone islands merge with the native bone. • No treatment is required, if pain occur and size increases then biopsy indicated to rule out sclerosing osteosarcoma, blastic metastasis, or sclerotic myeloma.
  • 23.
    CHONDROMA • Chondromas arebenign lesions of hyaline cartilage. They are common, and all age groups are affected. • The phalanges of the hand are the most common location. • Enchondroma and periosteal or juxtacortical chondroma • Ollier’s disease • Maffucci syndrome
  • 25.
    • Radiography – PlainRadiography • Solitary, metaphyseal lesion • Intralesional calcification – irregular, termed - “stippled,” “punctate,” or “popcorn” • Erosion and expansion of the overlying cortex – CT • Evaluates endosteal erosion – presence = chondrosarcoma
  • 26.
    • Treatment – Solitaryenchondromas – observation with serial radiographs – Lesion enlarges or becomes symptomatic – extended curettage – Low recurrence rates . – Multiple enchondromatosis – individual lesions – not treated, deformities – corrective osteotomy
  • 27.
    OSTEOCHONDROMA • Common benignbone tumors • The lesions consist of a bony mass, often in the form of a stalk, produced by progressive endochondral ossification of a growing cartilaginous cap. • Common sites- distal femur, the proximal tibia, and proximal humerus • Osteochondromas are of two types: pedunculated and broad based or sessile.
  • 28.
  • 29.
  • 30.
    • Solitary Osteochondroma •Multiple Hereditary Exostoses • Malignant transformation may occur • Treatment : osteochondromas may spontaneously regress. They are usually treated by simple excision for cosmetic reasons or when symptoms of pain, limitation of motion, or impingement on adjacent structures such as nerves and blood vessels become clinically manifest.
  • 31.
    CHONDROMYXOID FIBROMA • Benigncartilaginous tumor comprising lobules of fibromyxoid and chondroid tissue. • Common sites: long bone metaphyses, particularly proximal tibia and pelvis. • Most frequent: teenagers and young adults. • Presents with insidious mild to moderate pain.
  • 33.
    • On Xray: appearsas small, metaphyseal, eccentric lytic lesion. • Lie parallel to long axis of bone, can cause fusiform swelling. • Histologically:stellate cells on myxoid background. • Treatment: intralesional curettage with a low risk of recurrence.
  • 34.
    CHONDROBLASTOMA • Benign tumorof childhood • Mostly epiphyses, usually at end of long bones • Typically presents with pain and ocassionally cause joint effusion and stiffness. • On X ray: round or oval lesion ranging from 1 to 7 cm on x ray.
  • 36.
    • Histologically: appearsas “wet-sawdust” with areas of chondroid matrix,calcification and haemorrhage. • Presence of chicken- wire calcification is pathognomic. • Treatment: simple curettage with or without bonegraft. • Recurrence: 10% of cases.
  • 37.
    NON OSSIFYING FIBROMA •This, the commonest benign lesion of bone, is a developmental defect in which a nest of fibrous tissue appears within the bone and persists for some years before ossifying. • It is asymptomatic and is almost always encountered in children as an incidental finding on x-ray. Generally, these lesions occur in the metaphyseal region of long bones.
  • 39.
    • X-ray: ovalor lobulated eccentric radiolucent lesion in metaphysis surrounded by thin margin of dense bone. • Histologically, the defect is filled with spindle- shaped cells distributed in a whorled or storiform pattern. • Most nonossifying fibromas are asymptomatic and regress spontaneously in adulthood.
  • 40.
    FIBROUS DYSPLASIA • Fibrousdysplasia is a developmental anomaly of bone formation. The hallmark is replacement of normal bone and marrow by fibrous tissue and small, woven spicules of bone. • Fibrous dysplasia can occur in the epiphysis, metaphysis, or diaphysis. • Mazabraud syndrome • McCune-Albright syndrome
  • 41.
    • The diseaseusually manifests during the first three decades of life (approximately 70% of cases). • The radiographic appearance is characteristic, with the lucent area having a granular, ground-glass appearance with a well-defined sclerotic rim
  • 42.
    • Characteristic deformityin proximal femoral fibrous dysplasia is the shepherds crook deformity. • Histology: Demonstrates mixture of benign proliferating fibroblastic cells within islands of woven bone which characteristically appear in a chinese letter formation.
  • 43.
  • 44.
    • Malignant transformation0.5 to 5 percent. • Small lesion require no treatment. • Surgical treatment is indicated when significant deformity or pathological fracture occurs or when significant pain exists. • Deformities corrected by osteotomy with internal fixation.
  • 45.
    Other Fibrous tumor •CORTICAL DESMOID:A cortical desmoid is an irregularity in the posteromedial aspect of the distal femoral metaphysis and usually is seen in boys 10 to 15 years old. It may be a reaction to muscle stress exerted by the adductor magnus. • Radiographs and MRI reveal erosion of the cortex with a sclerotic base. • A biopsy is not warranted. Treatment usually consists of observation.
  • 47.
    BENIGN FIBROUS HISTIOCYTOMA •Rare tumor, occurs most frequently in the soft tissues and is less common in bone. • Benign fibrous histiocytoma may occur in the diaphysis or epiphysis of long bones or in the pelvis. Common at 3rd or 4th decade. • Radiographically, is a well-defined, lytic, expanding lesion with little periosteal reaction. • Because of its tendency for local recurrence, extended curettage or wide resection is recommended.
  • 48.
    CYSTIC LESIONS UNICAMERAL BONECYST: • Common – Childhood, 85% - first 2 decades • M:F = 2 : 1 • Common sites – children - proximal humerus and femur, adults - Ilium and calcaneous • Clinical features - often asymptomatic, pain, swelling, stiffness – joint, pathological fracture • Active during bone growth and may regress spontaneously at maturity. • Two thirds of patients present with pathological fractures, which can stimulate the cyst to heal.
  • 49.
    Pathogenesis • A focaldefect in metaphyseal remodelling blocks interstitial fluid drainage. • This leads to increased pressure which leads to focal bone necrosis and accumulation of fluid. • Lining ofunicameral bone cyst is composed of fibroblast.
  • 50.
  • 51.
    • X-ray :centrally located, purely lytic lesion with a well-marginated outline. • Treatment : - Small, asymptomatic lesions in the upper extremities can be treated with observation -Larger lesions, symptomatic lesions, and lesions in the lower extremities)- curettage (with or without bone grafting or internal fixation) - Aspiration and injection (corticosteroids, bone marrow aspirate, demineralized bone matrix, or other materials)
  • 52.
    ANEURYSMAL BONE CYST •Locally destructive, blood-filled reactive lesions of bone • Slight female predominance • Common sites – proximal humerus, distal femur, proximal tibia, and spine • Clinical features – mild to moderate pain – rapid growth – mimics malignancy – spinal lesions – neurological deficits or radicular pain
  • 54.
    • Plain Radiography –Expansile, eccentrically located lytic lesion - metaphyses, elevated periosteum +/- periosteal reaction, lined by thin shell of cortical bone • Bone scan – diffuse or peripheral tracer uptake with central area of decreased uptake
  • 55.
    Treatment Extended curettage andgrafting with a bone graft substitute under tourniquet control Marginal resection – rarely Spine or pelvis lesions – preoperative embolization Arterial embolization – difficult locations Low-dose irradiation - effective method, not used routinely – risked malignant transformation
  • 56.
    Vascular lesion • HEMANGIOMA: -Hemangiomais a common benign bone lesion. - Hemangiomas also are common in vertebral bodies and the skull. The radiographic appearance in the spine usually is characteristic, with thickened, vertically oriented trabeculae giving the classic “jailhouse” appearance.
  • 57.
  • 58.
    Treatment  Usually notnecessary  Nerve root or cord decompression with spinal stabilization - vertebral collapse with neurological compromise  Long bones lesions - extended curettage  Selective arterial embolization - surgically inaccessible locations  Low-dose radiation  Preoperative embolization - minimizes intraoperative blood loss
  • 59.