Embed presentation
Downloaded 323 times






































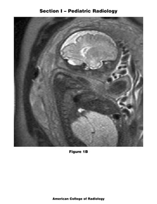
This document contains a multiple choice question and rationales from a pediatric radiology exam. The question shows MRI images of a 22-week fetus and asks for the most likely diagnosis. The rationales eliminate the other answer choices of posterior urethral valves, multicystic dysplastic kidneys, and bilateral ureteropelvic junction obstruction. The correct answer is Autosomal Recessive Polycystic Kidney Disease, as the images show enlarged, fluid-intensity kidneys without urine production, typical of this condition.




































