The Digestive System
Histology
Introduction
• The digestive system consists of a muscular
digestive (tube) tract and accessory organs
- digestive tract: oral cavity (mouth), pharynx, esophagus,
stomach, small intestine, and large intestine
- accessory organs: teeth, tongue, and glandular organs
(salivary glands, lever, pancreas) which secrete into ducts

• Food enters the digestive tract, along the way
secretions of the glandular organs assist in
preparing organic and inorganic nutrients for
absorption
Functions of the
Digestive System
• Ingestion – occurs when foods and liquids enter
the digestive tract via the mouth
• Mechanical processing – squashing with the
tongue, tearing and crushing with the teeth
- swirling, mixing, churning, and propulsive motions
provide mechanical processing after swallowing

• Digestion – chemical and enzymatic breakdown
of carbohydrates, lipids, and proteins
- small organic molecules can be absorbed by the
digestive epithelium
• Secretion – digestion involves the action of acids,
enzymes, and buffers
- produced by the lining but mostly by the accessory organs
(pancreas)

• Absorption – movement of organic molecules,
electrolytes, vitamins, and water across the
digestive epithelium
- into the interstitial fluid of the digestive tract

• Excretion – into the digestive tract, primarily by the
accessory glands (especially the liver)
• Compaction – progressive dehydration of
indigestible materials and organic wastes (feces)
- defecation is the elimination of feces from the body
Lining of the Digestive Tract
• Plays a defensive role by protecting surrounding
tissues against:
1. the corrosive effects of digestive acids and
enzymes
2. mechanical stresses, such as abrasion
3. pathogens that are swallowed with food or
that reside within the digestive tract
Components of the Digestive System

Fig 25.1
Histological Organization
of the Digestive Tract
Major layers of the digestive tract include the:
• Mucosa
• Submucosa
• Muscularis externa
• Serosa
The Mucosa
• A mucous membrane consisting of a layer of loose
CT covered by an epithelium moistened by
glandular secretions
- plicae (folds) increase surface area for absorption
- lamina propria, underlying layer of areolar tissue (BVs,
sensory nerve endings, lymphatic vessels, smooth muscle
fibers
- muscularis mucosae, smooth muscle fibers arranged in 2
thin concentric layers:
- the circular layer, inner layer encircles the lumen and
- the longitudinal layer, outer layer whose muscle fibers lie
parallel to the long axis of the tract
Histology of the Mucosa
Organ
Mouth

Epithelium
Nonkeratinized Stratified
Squamous

Pharynx

Nonkeratinized Stratified
Squamous

Esophagus

Nonkeratinized Stratified
Squamous

Stomach
Small Intestine
Large Intestine
Anus

Simple Columnar
Simple Columnar
Simple Columnar
Nonkeratinized Stratified
Histology of the Mucosa
Organ

Folds of the epithelium

Esophagus

none

Stomach

L: Rugae, S: gastric pits

Small Intestine L: Plicae circulares, Villi S:
Crypts of Lieberkuhn, microvilli
Large Intestine L: Haustra S: Intestinal glands
Figure 25.2a
Copyright © 2009 Pearson Education, Inc., publishing as Pearson Benjamin Cummings
The Submucosa
• A layer of dense, irregular CT – surrounds the
muscularis mucosae
- contains large BVs and lymphatics
- some regions contain exocrine glands that secrete
buffers and enzymes into the lumen
- in the outer margin the submucosal plexus, a network
of nerve fibers and scattered neuron cell bodies
innervates the mucosa
- include the sensory neurons, parasympathetic ganglia,
and sympathetic postganglionic fibers
Histology of the Submucosa
Organ

Specialized structures

Esophagus

Submucosal mucous glands

Stomach

None

Duodenum

Brunner’s glands

Ileum

Peyer’s Patches

Large Intestine None
The Muscularis Externa
• Dominated by smooth muscle fibers – surrounds
the submucosa
- fibers are arranged in circular (inner) and longitudinal
(outer) layers
- essential in mechanical processing and in propulsion of
materials along the digestive tract
- movements coordinated by the myenteric (Auerbach)
plexus, a network of parasympathetic ganglia and
sympathetic postganglionic fibers (sandwiched between
the muscle layers)
- muscularis externa forms sphincters (valves) that help
prevent materials from moving along the tract at the
wrong time or direction
Histology of the Muscularis
Organ

Smooth muscle layers

Esophagus

2, circular and longitudinal

Stomach

3, oblique, circular, and
longitudinal

Small Intestine 2, circular and longitudinal
Large Intestine 2, circular and longitudinal
The Serosa
• A serous membrane – covers the muscularis
externa along most regions of the digestive tract
within the peritoneal cavity
- no serosa surrounds the muscularis externa of the oral
cavity, pharynx, esophagus, and rectum
- instead adventitia, a fibrous sheath of collagen fibers
attaches the digestive tract to adjacent structures

• Serosa or visceral peritoneum is continuous with
the parietal peritoneum that lines the inner
surfaces of the body wall
Histology of the Serosa
Organ

Serosa

Esophagus

Adventitia due to the fact that
the esophagus is not in a cavity

Stomach

Visceral Peritoneum

Small Intestine Visceral Peritoneum
Large Intestine Visceral Peritoneum
Anus

Adventitia
Histology of the Digestive System
Basic Histological Layers
1. Mucosa
a. Epithelium
b. Lamina Propria
c. Muscularis Mucosae
2. Submucosa
a. Submucosal plexus
“Plexus of Meissner”
3. Muscularis
a. Myenteric plexus
“Plexus of Auerbach
4. Serosa
Histological Structure of the Digestive Tract

Figure 25.2b

Copyright © 2009 Pearson Education, Inc., publishing as Pearson Benjamin Cummings
Muscularis Layers and the
Movement of Digestive Materials
• Visceral smooth muscle tissue – digestive tract
– a single smooth muscle cell: 5-10um in diameter and 30200um in length
- surrounded by CT (no tendons or aponeuroses)
- contractile proteins not organized into sacromeres
- muscle cells are nonstriated, involuntary muscle
- contractions are as strong as skeletal or cardiac muscle
- muscle cells are arranged in sheets
- adjacent cells are electrically connected by gap junction
- 1 cell contracts spreads like a wave throughout the tissue
stimulus: activation of a motor neuron, local response to
chemicals, hormones, O2 & CO2 levels, stretching, irritation
• Contractile filaments of smooth muscle cells are
not rigidly organized
- plasticity, tolerate extreme stretching, a stretched cell
adapts to its new length and retains ability to contract on
demand
- pacemaker cells in the muscularis mucosae and
muscularis externa undergo spontaneous depolarization
- which trigger contractions leading to 2 types of
movement: peristalsis and segmentation
Peristalsis
• Muscularis externa via
peristalsis propels materials
from 1 region of the tract to
another
• Waves of contractions
move a bolus of food –
1. circular muscles contract
behind the digestive contents
2. followed by longitudinal
muscle contraction that
shorten adjacent segments
3. wave of contraction in
circular muscle layer forces
bolus forward
Copyright © 2009 Pearson Education, Inc., publishing as Pearson Benjamin Cummings

Fig 25.3a
Segmentation
• Contractions in most areas
of the small intestine and
some regions of the large
intestine churn and fragment
the digestive materials
• The contents are mixed with
intestinal secretions
• No net movement is
produced

Figure 25.3
Copyright © 2009 Pearson Education, Inc., publishing as Pearson Benjamin Cummings
Peristalsis and Segmentation
• May be triggered by pacesetter cells, hormones,
chemicals, and physical stimulation
• Peristaltic waves can also be initiated by afferent
and efferent fibers
- glossopharyngeal, vagus or pelvic nerves

• Afferent fibers synapse within the myenteric
plexus – produce localized myenteric reflexes
- short reflexes do not involve the CNS
- enteric nervous system, neural network that coordinates
short reflexes (as many neurons and NTs as the SC)
- long reflexes, involve interneurons and motor neurons
in the CNS control large-scale peristaltic waves
Mesenteries
• Most regions of the digestive tract are suspended
by sheets of serous membrane
- connect the parietal with the visceral peritoneum

• Mesenteries - fused, double sheets of peritoneal
membrane
- stabilize positions of attached organs
- prevent entanglement of intestines
- areolar CT between the mesothelial surfaces provide a
route for BVs, nerves, and lymphatics, to and from the
digestive tract
- during development, the digestive tract and accessory
organs are suspended by dorsal and ventral mesenteries
• Lesser omentum - remnant of the embryonic
ventral mesentery
- persists only on ventral surface of the stomach, between
the stomach and liver
- and the falciform ligament, that lies between the liver
and the anterior abdominal wall and diaphragm

• Greater omentum - dorsal mesentry becomes
enlarged to form a pouch
- loose CT within the mesentery contains a thick layer of
adipose tissue, the lipids are an important energy reserve
- provides insulation that reduces heat loss
- contains numerous lymph nodes to help protect the body
from pathogens that evaded the defenses of the digestive
tract
Copyright © 2009 Pearson Education, Inc., publishing as Pearson Benjamin Cummings

Figure 25.4c
• Mesentery proper – all but the first 25cm of the
small intestine is suspended by this thick
mesenterial sheet
- provides stability but permits some independent
movement

• Mesocolon – attached to the large intestine
• Transverse mesocolon – suspends the middle
portion of the large intestine (transverse colon)
• Sigmoid mesocolon – suspends the sigmoid
colon that leads to the rectum and anus
Copyright © 2009 Pearson Education, Inc., publishing as Pearson Benjamin Cummings

Figure 25.4d
The Oral Cavity
• Digestive tract – path of food from the mouth to the
anus

• The oral cavity includes:
- the tongue, salivary glands, teeth, mastication

• Functions include:
1) analysis of material before swallowing
2) mechanical processing through the actions of the
teeth, tongue, and palatal surfaces
3) lubrication by mixing with mucous and salivary
secretions
4) limited digestion of carbohydrates by a salivary enzyme
The Oral Cavity
• Oral (buccal) cavity – lined by the oral mucosa
- stratified squamous epithelium protects from abrasion
- mucosa of the cheeks (lateral walls) are formed by buccal
fat pads and the buccinator muscles
- mucosa of the cheeks are continuous with the lips (labia)
- the vestibule, space between the cheeks, lips, and teeth
- gingivae, ridge of oral mucosa or the gums surrounds the
base of each tooth
- roof is formed by the hard and soft palates
- hard separates oral from the nasal cavity; soft separates
the oral from the nasopharynx (closes it off for swallowing)
- uvula helps prevent food from entering the pharynx
prematurely
Figure 25.5

Copyright © 2009 Pearson Education, Inc., publishing as Pearson Benjamin Cummings
• Mylohyoid muscle – gives additional support
• Posterior soft palate supports the uvula and the 2
pairs of muscular pharyngeal arches
- palatoglossal arches extend between the soft palate

and the base of the tone and consist of a mucous
membrane and an underlying palatoglossus muscle
- palatopharyngeal arches extend from the soft palate to
the side of the pharynx; consist of a mucous membrane
and the underlying palatopharyngeus muscle

• Palatine tonsils – lie between the palatoglossal
and palatopharyngeal arches
• Fauces – entrance to the oropharynx
Lips and Cheeks
• Both structures important in mastication and
speech
• Lips (labia): orbicularis oris muscle within
– Keratinized stratified squamous exterior is thin and
color of blood in dermis gives a red/pink color.
– Labial frenula (mucous folds) extend from alveolar
processes of maxilla and mandible to the upper
and lower lips, respectively.
– Many facial muscles act to move lips

• Cheeks: lateral walls of oral cavity
– Buccinator muscle
– Buccal fat pad
Palate and Palatine Tonsils
• Palate
– Hard palate: anterior, supported by palatine
process of maxilla and palatine bone
• Slightly corrugated on either side of midline raphe

– Soft palate: posterior, consists of skeletal muscle
and connective tissue
• Closes off nasopharynx during swallowing
• Uvula: projects from posterior of soft palate

• Palatine tonsils: lateral walls of fauces
– Housed within palatoglossal and palatopharyngeal
arches
The Tongue
• Primary functions include:
1) mechanical processing by compression,
abrasion, and distortion
2) manipulation to assist in chewing and
preparing the material for swallowing
3) sensory analysis by touch, temperature, and
taste receptors
4) secretion of mucins and an enzyme that aids
in fat digestion
• Tongue divisions include:
- an anterior body or oral portion
- posterior root or pharyngeal portion
- superior surface, dorsum of the body, contains
numerous papillae

• Thickened epithelium covering each papilla
provides additional friction
- many have taste buds along the edges

• Secretions of small glands of the tongue’s
epithelium extend into the lamina propria
- contain water mucins and lingual lipase (triglycerides)

• Lingual frenulum (‘small bridle’) connects the
body of the tongue to the mucosa of the oral floor
Tongue
• Functions to moves food in mouth, sensory analysis by
taste buds, participates in speech and swallowing
• Muscular organ with free anterior surface and attached
posterior surface.
– Covered with moist stratified squamous epithelium

– Intrinsic muscles: change shape of the tongue
– Extrinsic muscles: protrude or retract tongue, move
side to side
• Innervated by the hypoglossal nerve

• Lingual frenulum attaches tongue inferiorly to floor of oral
cavity
Tongue

• Terminal sulcus: groove that divides tongue into anterior 2/3 in oral cavity
posterior 1/3 in oropharynx
• Anterior region: in oral cavity; has papillae, some of which have taste buds
• Posterior region: in oropharynx; no papillae; abundant lymphoid tissue
(lingual tonsils)
Salivary Glands
• 3 pairs of salivary glands secrete into the oral
cavity – parotid, sublingual, submandibular
– each covered by a fibrous capsule
- saliva is transported through a network of fine ducts to a
single large drainage duct
- the main duct penetrates the capsule and opens onto the
surface of the oral mucosa

• Salivary glands produce 1.0 – 1.5 L saliva/day
- 70% from the submandibular; 25% from the parotid; 5%
from the sublingual
- 99.4% water + ions, buffers, metabolites, enzymes
- mucins, glycoproteins produce lubricating effects
• Parotid salivary glands - the largest ~20g
- secretions are drained by a parotid (Stensen’s) duct
- salivary amylase breaks down complex carbohydrates

• Sublingual glands - covered by the mucous
membrane of the floor of the mouth
- numerous sublingual ducts (of Rivinus) open along
either side of the lingual frenulum

• Submandibular gands – found in the floor of the
mouth along the medial surfaces of the mandible
inferior to the mylohyoid line
- submandibular (Wharton’s) ducts open into the mouth
on either side of the lingual frenulum, posterior to the teeth
Regulation of the Salivary Glands
• Controlled by the ANS – receives both
parasympathetic and sympathetic innervation
- an object placed within the mouth can stimulate receptors
triggering a salivary reflex
- innervation by CN VII, IX or X

• Parasympathetic stimulation accelerates secretion
by all of the salivary glands
- produce large amounts of watery saliva

• Sympathetic activation results in secretion of a
small volume of viscous saliva
- high enzyme concentration reduced volume produces the
sensation of dry mouth
Copyright © 2009 Pearson Education, Inc., publishing as Pearson Benjamin Cummings

Figure 25.6a
Copyright © 2009 Pearson Education, Inc., publishing as Pearson Benjamin Cummings

Figure 25.6b
The Teeth
• Perform chewing, or mastication of food
- breaks down tough CTs and plant fibers
- saturates material with salivary secretions and enzymes

• Dentine – mineralized matrix similar to bone
- contains no living cells; is the bulk of each tooth
- cytoplasmic processes extend into the dentine from cells in
the central pulp cavity (spongy and highly vascularized)
- root canal, receives the BVs and nerves for the pulp cavity:
dental artery, vein, & nerve enter through the apical foramen

• Root of each tooth is anchored into the alveolus by
collagen fibers of the periodontal ligament
- extends from the dentine of the root to the alveolar bone
- creates a strong articulation, the gomphosis
•

Enamel – covers the
dentine of the crown
- contains densely packed
calcium phosphate crystal

•

Epithelial cells of the
gingival sulcus form tight
attachments to the tooth

•

Cementum covers the
dentine of the root,
providing protection and
anchoring the periodontal
ligament
- similar to bone, less
resistant to erosion than
dentine

Figure 25.7a

Copyright © 2009 Pearson Education, Inc., publishing as Pearson Benjamin Cummings
Figure 25.7d
Copyright © 2009 Pearson Education, Inc., publishing as Pearson Benjamin Cummings
•

Incisors – blade-shaped
teeth useful for clipping or
cutting

•

Cuspids or canines – conical
with a sharp ridgeline and
pointed tip; useful for tearing
or slashing

•

Bicuspids or premolars –
contain 1 or 2 roots, have
flattened crowns with
prominent ridges; used for
crushing, mashing, and
grinding

•

Molars – very large flattened
crowns with prominent ridges,
typical have 3 or more roots;
used for crushing and grinding

Copyright © 2009 Pearson Education, Inc., publishing as Pearson Benjamin Cummings

Fig 25.7c
Figure 25.7b
Copyright © 2009 Pearson Education, Inc., publishing as Pearson Benjamin Cummings
Figure 25.7e
Copyright © 2009 Pearson Education, Inc., publishing as Pearson Benjamin Cummings
Mastication
• Muscles of mastication close the jaws and slide or rock
the lower jaw from side to side
- food is forced back and forth between the vestibule
and the rest of the oral cavity
- movement results in part from the masticatory muscles
but also the buccal, labial, and lingual muscles
- material is shredded and moistened with salivary
secretions
- the tongue compacts the debris into a small oval mass
or bolus, that can be swallowed
The Pharynx
• Serves as a common passageway for food, liquids,
and air – divisions include:
nasopharynx, oropharynx, laryngopharynx

• Deep to the lamina propria of the mucosa is a
dense layer of elastic fibers, bound to underlying
skeletal muscles involved in swallowing
- the pharyngeal constrictors (superior, middle, and inferior)
push the bolus toward the esophagus
- the palatopharyngeus and stylopharyngeus muscles
elevate the larynx
- the palatal muscles raise the soft palate and adjacent
portions of the pharyngeal wall
The Swallowing Process
• Pharyngeal muscles cooperate with muscles of
the oral cavity and esophagus to initiate the
swallowing process or deglutition
- complex process initiates voluntarily but proceeds
involuntarily once initiated
- divided into buccal, pharyngeal, and esophageal
phases
Figure 25.8a, b

Copyright © 2009 Pearson Education, Inc., publishing as Pearson Benjamin Cummings

Begins with compression of the bolus against the hard palate
Subsequent retraction of the tongue forces the bolus into the
pharynx and in elevation of the soft palate by the palatal
muscles, thereby isolating the nasopharynx
Buccal phase – strictly voluntary; however in the oropharynx,
involuntary reflexes are initiated and the bolus is moved toward
the stomach
Figure 25.8c, d

Copyright © 2009 Pearson Education, Inc., publishing as Pearson Benjamin Cummings

Begins when the bolus comes in contact with the palatal arches, the posterior
pharyngeal wall, or both
Elevation of the larynx by the palatopharyngeus and stylopharyngeus
muscles, and folding of the epiglottis direct the bolus past the closed glottis
In less than a second, the pharyngeal constrictor muscles propel the bolus
into the esophagus
During the time it takes for the bolus to travel through the pharynx and into the
esophagus, the respiratory centers are inhibited and breathing ceases
Starts at opening of
upper esophageal
sphincter
After passing
through - bolus is
pushed along the
esophagus by
peristaltic waves

Fig 25.8
Copyright © 2009 Pearson Education, Inc., publishing as Pearson Benjamin Cummings

Approach of the
bolus triggers the
opening of the weak
lower esophageal
sphincter (cardiac
sphincter) and the
bolus continues into
the stomach
The Esophagus
• A hollow muscular tube – transports foods and
liquids to the stomach
- located posterior to the trachea
- enters the peritoneal cavity through the esophageal
hiatus, before emptying into the stomach
- about 25 cm long and 2 cm in diameter
- begins at the level of the cricoid cartilage anterior to
vertebra C6 and ends anterior to vertebra T7
• Receives blood from the esophageal arteries and
branches of the
1) thyrocervical trunk & external carotid arteries of the neck,
2) bronchial arteries and esophageal arteries of the
mediastinum, and the
3) inferior phrenic artery and left gastric artery of the
abdomen

• Venous blood from the esophageal capillaries
collect
- into the esophageal, inferior thyroid, azygos, & gastric veins

• Innervation is by the vagus and sympathetic trunks
via the esophageal plexus
• Sphincter muscles are not well-defined, the
- upper and lower esophageal sphincters (cardiac sphincter),
are similar in function to other sphincters
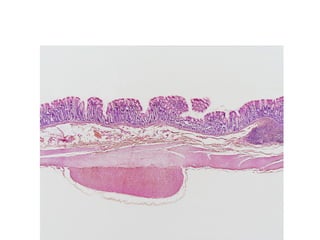
Microscopic View of
the Esophagus
Endoscopic View of
the Esophagus
The Stomach
• Performs 3 major functions:
1) bulk storage of ingested food
2) mechanical breakdown of ingested food, and
3) chemical digestion of ingested food through
disruption of chemical bonds by acids and enzymes
• Mixing of ingested substances with acids and
enzymes secreted by stomach glands produces a
viscous, strongly acidic, soupy mixture or chyme
Figure 25.12

The stomach – intraperitoneal, occupies the left hypochondriac,
epigastric, and portions of the umbilical and left lumbar regions
Anatomy of the Stomach
• J-shaped stomach:
- short lesser curvature (medial surface), long greater
curvature (lateral surface)
- cardia, where esophagus contacts the medial surface
- cardiac orifice, esophageal lumen opens into this orifice
- fundus, contacts inferior & posterior surface of diaphargm
- body, area between the fundus and the curve of the J
- pylorus, the curve of the J, divided into the pyloric antrum
and pyloric canal ; as mixing movements occur during
digestion, the pylorus changes shape
- pyloric sphincter regulates release of chyme from the
pyloric orifice into the duodenum
Figure 25.10a
Copyright © 2009 Pearson Education, Inc., publishing as Pearson Benjamin Cummings
b) radiograph of the
stomach & duodenum,
after swallowing a
barium solution

Figure 25.10b, c

c) the pyloric region,
pyloric valve, & duodenum

Copyright © 2009 Pearson Education, Inc., publishing as Pearson Benjamin Cummings
Copyright © 2009 Pearson Education, Inc., publishing as Pearson Benjamin Cummings

•
•

Figure 25.11a

Stomach volume increases at mealtimes; decreases as chyme enters
the small intestine
Rugae – longitudinal folds permit expansion of the gastric lumen; during
expansion, the epithelial lining, flattens out, and the rugae become less
prominent; in a full stomach rugae almost disappear
Figure 25.11b

•
•

Greater omentum forms a large pouch (hangs like an apron from the
greater curvature – adipose tissue provides padding and insulation,
protects anterior and lateral surfaces, an important energy reserve
Lesser omentum a smaller pouch in the ventral mesentery between the
lesser curvature and liver – provides an access route for BVs and other
structures entering or leaving the liver
Blood Supply to the Stomach
Celiac artery–3 branches supply blood to the stomach
• Left gastric artery supplies blood to the lesser
curvature and cardia
• Splenic artery supplies the fundus and the greater
curvature through the left gastroepiploic artery
• Common hepatic artery supplies blood to the
lesser and greater curvatures of the pylorus
- through the right gastric artery, the right gastroepiploic
artery and the gastroduodenal artery
- gastric and gastroepiploic veins drain blood from the
stomach into the hepatic portal vein
Musculature of the Stomach
• Muscularis mucosae and muscularis externa
contain extra layers of smooth muscle
- extra layers strength the stomach wall
- perform the mixing and churning activites essential to
chyme formation

• Muscularis mucosae contains an additional outer,
circular layer of muscle fibers
• The muscularis externa has an extra inner,
oblique layer of smooth muscle
Histology of the Stomach
• Simple columnar epithelium lines all regions of the
stomach – a secretory sheet
- produces a carpet of mucus that covers the luminal
surfaces and protects the epithelium against the acids and
enzymes in the gastric lumen

• Gastric pits (shallow depressions) open onto the
gastric surface
- mucous cells at the base, or neck, actively divide to
replace superficial cells shed continuously into the chyme
- continual replacement of epithelial cells provides an
additional defense against the gastric contents ( when
stomach acid and enzymes penetrate the mucous layers)
Gastric Secretory Cells
• In the stomach fundus and body, each gastric pit
communicates with several gastric glands
- simple branched tubular glands dominated by 3 types
of secretory cells: parietal cells, chief cells, and
enteroendocrine cells (scattered between the parietal
and chief cells)
- parietal and chief cells work together to secrete about
1500 ml of gastric juice per day
Copyright © 2009 Pearson Education, Inc., publishing as Pearson Benjamin Cummings

Fig 25.13a, c, d
Parietal Cells
• Or oxyntic cells - secrete intrinsic factor and
hydrochloric acid (HCl)
- common along proximal portions of each gastric gland
- intrinsic factor facilitates absorption of vitamin B12
(necessary for normal erythropoiesis) across the
intestinal lining
- HCl lowers pH of the gastric juice, kills microorganisms,
breaks down cell walls and CTs in food, and activates
secretions of the chief cells
Chief Cells
• Or zymogen cells – secretes pepsinogen
- most abundant near the base of a gastric gland
- pepsinogen converted by HCl to pepsin, an active
proteolytic enzyme
- in newborn infants, also produce rennin and gastric
lipase (enzymes important for digestion of milk)
- rennin coagulates milk proteins, and gastric lipase
initiates digestion of milk fats
Enteroendocrine Cells
• Produce at least 7 different secretions
- G cells, enteroendocrine cells most abundant in gastric
pits of the pyloric region secrete the hormone gastrin
- gastrin, released when food enters the stomach,
stimulates the secretory activity of both parietal and chief
cells; also promotes smooth muscle activity in the
stomach wall (enhances mixing and churning activity)
e) parietal and mucous neck cells
– outer portion of a gastric
gland
f) chief and parietal cells –
deepest portions of a gastric
gland

Figure 25.13b, e, f
Copyright © 2009 Pearson Education, Inc., publishing as Pearson Benjamin Cummings
Low power view of the Stomach
Low and High power view of
the Stomach Mucosa
Regulation of the Stomach
• Production of acid and enzymes by the gastric
mucosa can be directly controlled by the CNS
- and indirectly regulated by local hormones

• Parasympathetic innervation via the vagus nerve
- sight or thought of food triggers motor output in the vagus
nerve  postganglionic fiber stimulation of parietal cells,
chief cells, and mucous cells causes an increase in acids,
enzymes, and mucus production  arrival of food stimulates
stretch receptors in the stomach wall and chemoreceptors in
the mucosa  reflexive contractions occur in the muscularis
layers of the stomach wall and gastrin is released by
enteroendocrine cells
• Sympathetic innervation via branches of the
celiac plexus
- activation leads to the inhibition of gastric activity
- in addition, the small intestine release two hormones
that inhibit gastric secretion
- secretin and cholecystokinin stimulate secretion by
both the pancreas and liver; the depression of gastric
activity is a secondary, but complementary effect
Chemical Digestion in the Stomach
• 1. pepsinogen

HCl

pepsin (pH 1 - 3)
proteins

• 2. gastric lipase
• 3. rennin (infant only)

peptides
Mode of Hydrochloric Acid
Secretion
• Pepsid AC
• Zantac
Three Phases of Stomach Control
•
•
•

Cephalic Phase
Gastric Phase
Intestinal Phase
Stomach Regulation-First Phase
•

1. cephalic phase
a. psychic stimuli
b. vagus nerve
c. increased motility and secretion
Stomach Regulation-Cephalic Phase
Cephalic phase
PSYCHIC STIMULI

thought and anticipation of food

sight, taste, smell of food

sound of food preparation

parasympathetic output via the vagus nerve (X)

stimulation of stomach’s enteric nervous system

increased gastric secretion + increased gastric motility
Stomach Regulation-Second Phase
•

2. gastric phase
a. stretch receptors and
chemoreceptors
b. local parasympathetic response
c. gastrin
Stomach Regulation-Gastric Phase
food enters the stomach

increased stretch of stomach
wall

increased pH stimulates chemoreceptors

input to brainstem

direct stimulation of stomach’s
enteric nervous system

parasympathetic output via
the vagus nerve (X)

increased gastrin secretion

increased gastric secretion + increased gastric motility
Positive Feedback Control of
Gastric Secretion
Negative Feedback of the Gastric Phase
CONTROLLED CONDITION
Food entering stomach disrupts
homeostasis by causing an increase in
gastric juice pH AND stretch (distention) of
stomach wall

RETURN TO HOMEOSTASIS

RECEPTOR

In response, there is increased acidity in
stomach chyme and the mixing waves
begin emptying the stomach. An empty
stomach is a return to homeostasis.

Chemoreceptors and stretch receptors
increased pH and stretch of stomach wall,
and generate nerve impulses that pass to
the control centers

EFFECTORS

CONTROL CENTER
Enteric nervous system and medullary
neurons generate parasympathetic
impulses that pass to the effectors

Parietal cells of the gastric mucosa
secrete HCl and the muscularis contracts
more vigorously (increased frequency and
strength of mixing waves)
Stomach Regulation-Third Phase
•

3. intestinal phase
a. stretch receptors and
chemoreceptors
b. enterogastric reflex
c. hormones
(1) gastrin (+)
(2) cholecystokinin (CCK) (-)
(3) secretin (-)
(4) gastric inhibitory peptide
(GIP) (-)
Stomach Regulation-Intestinal Phase
chyme enters the duodenum

increased stretch of duodenal wall

increased enteric endocrine cell activity

enterogastric
reflex

direct stimulation of
duodenum’s enteric
nervous system

secretion of
cholecystokinin
secretin

input to brainstem

decreased parasympathetic
output from the vagus nerve (X)
to stomach

inhibits

inhibits

enteric gastrin

increased sympathetic
output to stomach
inhibits

decreased stomach activity

increased stomach activity

NET EFFECT
gastric inhibition
Gastric Emptying
STIMULATION OF GASTRIC EMPTYING

INHIBITION OF GASTRIC EMPTYING

distention of stomach

partially digested
proteins
alcohol
caffeine

distention of duodenum

increased gastrin secretion

increased vagal activity

enterogastric reflex

partially digested
proteins, fatty acids,
glucose in duodenum

secretion of
cholecystokinin and
secretin

contraction of gastroesophageal sphincter
relaxation of pyloric sphincter
increased rate of mixing waves
increased gastric secretion

contraction of pyloric sphincter
decreased rate of mixing waves
decreased gastric secretion

increased rate of emptying

decreased rate of emptying
Stomach Absorption
•
•
•
•
•

Accomplishments of digestion to this point in the GI tract
starch  maltose by salivary amylase (action stops in stomach)
proteins  partially digested proteins (action of pepsin)
lipids  partially digested fats (action of lingual and gastric lipase)
creation of chyme from food, drink, saliva, and gastric juice

•

Stomach Absorption

•
•
•
•

1.
2.
3.
4.

water
electrolytes
certain drugs (aspirin)
alcohol
The Small Intestine
• Primary role in the digestion and absorption of
nutrients – about 90%
- averages 6 m in length (range 5 -8.3m) with a diameter
ranging from 4 cm at the stomach to 2.5 cm at the junction
with the large intestine
- stabilized by mesenteries attached to the dorsal body wall
- movement during digestion is restricted by the stomach,
large intestine, abdominal wall, and pelvic girdle
- plicae circulares, transverse folds in the intestinal lining
are permanent and do not disappear as intestine fills;
roughly 800 plicae increases surface area for absorption

• 3 subdivisions – the duodenum, jejunum, ileum
The Small Intestine

Fig 25.14
Copyright © 2009 Pearson Education, Inc., publishing as Pearson Benjamin Cummings
The Duodenum
• Shortest and widest segment - about 25 cm long
– a mixing bowl that receives chyme from the stomach and
digestive enzymes from the pancreas and liver
- almost all digestive enzymes enter from the pancreas
- connected to the pylorus of the stomach
- interconnection guarded by the pyloric sphincter
- from its start at the pyloric sphincter, curves in a C that
encloses the pancreas
- contains numerous mucous glands and the duodenal
submucosal (Brunner’s) glands
- bile duct and pancreatic duct come together at a muscular
chamber, the duodenal ampulla or hepatopancreatic
ampulla
The Jejunum
• About 2.5 m long – where the bulk of chemical
digestion and nutrient absorption occurs
- duodenojejunal flexure, marks the boundary between
the duodenum and the jejunum (the small intestine reenters the peritoneal cavity to become intraperitoneal)
- supported by a sheet of mesentery
- plicae and villi are prominent over the proximal half
- small, isolated, individual lymphoid nodules are present
in the lamina propria
The Ileum
• Last segment and the longest, averages 3.5 m
- ends at the ileocecal valve, a sphincter which controls
flow of materials from the ileum into the cecum of the
large intestine
- plicae and villi diminish in size and number
- lymphoid nodules become more numerous and fuse
together to form large masses called aggregated
lymphoid nodules, or Peyer’s patches
- Peyer’s patches are most abundant near the entrance to
the large intestine, which normally contains large numbers
of potentially harmful bacteria
Support of the Small Intestine
• Duodenum has no supporting mesentery
• Jejunum and ileum – supported by an extensive,
fan-shaped mesentery, the mesentery proper
- BVs, lymphatics, nerves pass through the mesentery CT
- BVs involved: intestinal arteries, branches of the superior
mesenteric artery and superior mesenteric vein
- parasympathetic innervation provided by the vagus nerve
- sympathetic innervation involves postganglionic fibers
from the superior mesenteric ganglion
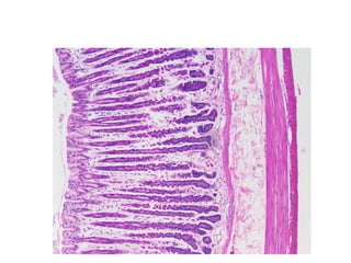
Histology of the Small Intestine
• Intestinal villi – fingerlike projections of the mucosa
- each villus is covered by a simple columnar epithelium
- the apical epithelial surfaces are carpeted with microvilli
(‘brush border’)
- epithelium also contain plicae circularis, each plica
supports a forest of villi; each villus is covered by epithelial
cells whose exposed surfaces contain microvilli
- arrangement increases total area for absorption to more
than 200 m2
- at the base of the villi are the entrances to the intestinal
crypts or crypts of Lieberkuhn where stem cell division
continually renew epithelial cells
- crypts also contain enteroendocrine cells that produce
several horomones, including cholecystokinin and secretin
Fig 25.15

• Lamina propria of each villus contains an
extensive network of capillaries - absorb
and carry nutrients to the hepatic portal
circulation
• Also contain a terminal lymphatic called a
lacteal – transports materials that cannot
enter the capillaries such as large lipidprotein complexes
Copyright © 2009 Pearson Education, Inc., publishing as Pearson Benjamin Cummings
Fig 25.15d,e

Histology of the Intestinal Wall

Copyright © 2009 Pearson Education, Inc., publishing as Pearson Benjamin Cummings
Regions of the Small Intestine

Figure 25.16

Copyright © 2009 Pearson Education, Inc., publishing as Pearson Benjamin Cummings
Scanning view of the Small Intestine
demonstrating Plicae Circularis
High power view of
the duodenal Mucosa
High Power View of Villi
X-sectional view of the
duodenum
Gross view and low-power
view
of the ileum
High-power view of the Ileum
demonstrating Peyer’s patches
Regulation of the Small Intestine
• As absorption occurs, weak peristaltic contractions
slowly move materials along the small intestine
- movements are controlled primarily by neural reflexes
involving the submucosal and myenteric plexuses
- parasympathetic (vagal) stimulation increases sensitivity of
these reflexes, accelerates peristaltic contractions and
segmentation movements
- the ileocecal valve allows passage of material into the large
intestine
- hormonal and CNS controls regulate the secretory output
of intestinal juice
- sympathetic stimulation inhibits secretion
Intestinal Juice and Brush Border
Enzymes
•
•
•
•
•
•

Maltase
Lactase
Peptidases
Dextrinases
Nucleosidases
Phosphatases
Small Intestine-Mechanical
Digestion
• 1. segmentation
• 2. peristalsis
Review of Chemical Digestion of Carbohydrates
STARCH
mouth

SUCROSE

LACTOSE

SUCROSE

LACTOSE

salivary
amylase

stomach

small intestine

pancreatic
amylase

MALTOSE
brush border
maltase

brush border
sucrase

brush border
lactase

glucose + glucose

glucose + fructose

glucose + galactose

(absorbed into blood of villus)

(absorbed into blood of villus)

(absorbed into blood of villus)
Review the Chemical Digestion of Proteins
Review the Chemical Digestion of Lipids
Regulation of small intestinal
secretion and motility
• 1. local reflexes
• 2. parasympathetic reflexes
(vagus nerve)
• 3. gastrin
Regulation of the Small Intestine
GASTRIC PHASE
psychic stimuli

stretch of stomach

chemoreceptors in stomach

stretch of small intestine

gastroileal reflex
increased parasympathetic
impulses via vagus nerve

increased gastrin secretion

increased small intestinal
motility secretion
+
relaxation of ileocecal sphincter

increased enteric nervous
system activity
Small Intestine Absorption
•
•

1. monosaccharides
2. amino acids
hepatic portal blood 
liver  inferior vena cava 
general circulation

monosaccharides
amino acids

thoracic
duct
inferior
vena cava

lacteal
with
chylomicrons

hepatic
portal vein
superior
mesenteric vein

•

3. fats
triglycerides
chylomicrons
lymph  lacteals 
intestinal trunk  thoracic duct
 general circulation

•

4. water

blood
capillary

lymphatic vessel
Water absorption
• GI tract fluids/24 hours
Ingested or secreted
into GI tract

•
•
•
•
•
•
•

saliva = 1 L
ingested liquids = 2L
gastric juice = 2 L
bile = 1L
pancreatic juice = 2 L
intestinal juice = 1L
total = 9 L

Absorbed into blood

small intestine =
8L
large intestine =
0.9 L
Excreted
in feces

0.1 L
The Large Intestine
• Aka the large bowel, shaped like a horse-shoe begins at the end of the ileum, ends at the anus
- average length of ~1.5 m and a width of ~7.5 cm

• Divided into 3 parts:
1) Cecum – first portion, appears as a pouch
2) Colon - largest portion
3) Rectum – last 15 cm and the end of the
digestive tract
• Major functions of the large intestine:
1) reabsorption of water and electrolytes, and
compaction of intestinal contents into feces
2) absorption of important vitamins produced by
bacterial action
3) storage of fecal material before defecation
• Blood supply:
- receives blood from tributaries of the superior
mesenteric and inferior mesenteric arteries
- venous blood is collected by the superior
mesenteric and inferior mesenteric veins
Figure 25.17
Copyright © 2009 Pearson Education, Inc., publishing as Pearson Benjamin Cummings
The Cecum
• The ileum attaches to the medial surface of the
cecum – opens into the cecum at the ileal papilla
• Muscles encircling the opening form the ileocecal
valve – regulates passage of materials
• Cecum collects and stores arriving materials –
begins the process of compaction
• Vermiform appendix – ~9 cm is attached to the
posteromedial surface of the cecum
- the mesoappendix (band of mesentery) connects the
appendix to the ileum and cecum
- mucosa and submucosa dominated by lymphoid nodules,
primarily functions as a lymphoid system organ (tonsils)
The Colon
• Has a larger diameter and a thinner wall than the
small intestine
1) Wall of the colon forms a series of pouches or haustra
(sing., haustrum) – permits distension and elongation;
creases between the haustra extend into the mucosal
lining
2) Taeniae coli – 3 longitudinal ribbons of the smooth
muscles
3) Omental (fatty) appendices – teardrop-shaped sacs
of fat of the serosa
Regions of the Colon
• Colon is subdivided into 4 regions: the ascending
colon, transverse colon, descending colon, and
sigmoid colon
• The ascending colon – begins at the superior
border of the cecum
- ascends to the inferior surface of the liver
- at the right colic flexure, or hepatic flexure
colon turns to the left; marks the end of the
ascending colon and beginning of the transverse
colon
• The transverse colon – curves anteriorly at the
hepatic flexure
- crosses the abdomen from right to left
- initial segment is intraperitoneal, supported by the
transverse mesocolon
- the left side passes inferior to the greater curvature of
the stomach and becomes secondarily retroperitoneal; the
gastrocolic ligament attaches it to the stomach
- near the spleen, at the left colic flexure or splenic
flexure makes a right-angle bend and proceeds caudally
• The descending colon proceeds inferiorly along
the left side of the abdomen
- it is secondarily retroperitoneal and so it is firmly attached
to the abdominal wall
- at the iliac fossa, descending colon enters sigmoid colon

• The sigmoid colon – S-shaped segment
- only ~15 cm begins at the sigmoid flexure and ends at
the rectum
- it curves posterior to the urinary bladder and is suspended
by the sigmoid mesocolon
• The sigmoid colon discharges fecal waste into the
rectum
- the last portion, the anal canal contains small longitudinal
folds called the anal columns
- anal canal ends at the anus, or anal orifice
- epidermis close to the anus becomes keratinized and
identical to the surface of the skin
- veins in the lamina propria and submucosa of the anal
canal can become distended, producing hemorrhoids
- circular muscle layer of the muscularis externa forms the
internal anal sphincter – not under voluntary control
- external anal sphincter, a ring of skeletal muscle
encircles the distal portion of the anal canal – under
voluntary control
Copyright © 2009 Pearson Education, Inc., publishing as Pearson Benjamin Cummings

Figure 25.18
Histology of the Large Intestine
• Characteristics that distinguish the large intestine
from the small intestine:
- wall is relatively thin, diameter of the colon is ~3 times
larger than the small intestine
- lacks villi
- goblet cells are much more abundant
- distinctive intestinal crypts with deeper glands dominated
by goblet cells; secretion occurs as local stimuli trigger
reflexes involving the local nerve plexuses
- large lymphoid nodules are scattered throughout the
lamina propria and extend into the submucosa
- longitudinal layer of the muscularis externa reduced to the
muscular bands of the taeniae coli
Figure 25.19
Copyright © 2009 Pearson Education, Inc., publishing as Pearson Benjamin Cummings
High power view of the colon
demonstrating intestinal glands
Large Intestine
Large Intestine
Regulation of the Large Intestine
• Movement of ingested materials:
- from cecum to transverse colon occurs slowly thorugh
peristaltic activity and haustral churning,
- allows fecal material to be converted into a sludgy paste
- powerful peristaltic contractions (mass movements) from
the transverse colon occurs a few times per day
- stimulus: distension of the stomach and duodenum
- commands are relayed over the intestinal nerve plexuses
- contractions force fecal materials into the rectum causes
conscious urge to defecate leads to internal sphincter
relaxation (defecation reflex)
- fecal material moves into the anal canal
- defecation occurs by voluntary relaxation of external anal
sphincter
Chemical digestion in the
large intestine
• 1. bacteria fermentation
• 2. bacteria secrete vitamin K and some
B complex vitamins
Large Intestine Absorption
• 1. simple molecules and vitamins
• 2. most remaining water (~900 ml/day)
• Feces consists of:
1. water (about 100 ml/day)
2. undigested foodstuffs (plant fibers = cellulose)
3. bacteria
4. products of bacterial decomposition
5. sloughed epithelial cells
Defecation Reflex in the Adult
•
•

•

•

1. distention of the rectum
stimulates stretch receptors
2. sacral parasympathetic area output,
causing:
a. contraction of the descending colon,
sigmoid colon, and rectum; and
b. reflex relaxation of the
internal anal sphincter
3. voluntary relaxation of the
external anal sphincter
(in the infant, this is also reflexive)
4. expulsion of feces
Mechanical Digestion in the Large
Intestine
•
•
•

1. haustral churning
2. mass peristalsis
(gastrocolic reflex)
3. peristalsis
Ano-Rectal Junction
Fig 25.24

Inflammation of the Colon – IBD is of unknown origin
- thought to be an autoimmune disorder as an individual develops an
immune reaction to their own intestinal tract (affects ~1 million in the US)
- 2 major forms: ulcerative colitis (develop ulcers of the colon) and Crohn’s
disease (distal segment of the ileum)
Accessory Glandular Digestive Organs
• Include the salivary glands, the liver, the
gallbladder, and the pancreas
- glandular organs produce and store enzymes and
buffers essential to normal digestive function
- in addition salivary glands, liver, and pancreas have
exocrine functions
The Liver
• The largest visceral organ and one of the most
versatile – weighs ~ 1.5 kg
- lies within the right hypochondriac and epigastric
regions

• Provides essential metabolic and synthetic
actions that fall into 3 basic categories:
metabolic regulation, hematological regulation, bile
production
• Metabolic regulation - all blood leaving the
digestive tract enters the hepatic portal system
- circulating levels of carbohydrates, lipids, and amino
acids are regulated by the liver
- hepatocytes extract absorbed nutrients or toxins from
the blood before it enters the hepatic veins
- hepatocytes monitor circulating levels of metabolites and
adjust them as necessary
- excess nutrients are removed and stored, deficiencies
are corrected by mobilizing stored reserves or performing
appropriate synthetic activities
- circulating toxins and metabolic waste are removed for
subsequent inactivation, storage, or excretion
- fat-soluble vitamins (A,D,K,E) are absorbed and stored
• Hematological regulation – the liver is the largest
blood reservoir (receives ~25% of the cardiac output)
- as blood passes through the liver sinusoids:
1) phagocytic cells in the liver remove old or damaged
RBCs, cellular debris, and pathogens from circulation
2) hepatocytes synthesize plasma proteins that contribute
to the osmotic concentration of the blood, transports
nutrients, establishes clotting and complement systems

• Synthesis and secretion of bile - by the liver
- bile is stored in the gallbladder and excreted into the
lumen of the duodenum
- consists mostly of water + minor amounts of ions, bilirubin
(pigment derived from hemoglobin), and bile salts
- water and ions assist in dilution and buffering of acids in
chyme; bile salts associate with lipids in order to facilitate
their breakdown into fatty acids suitable for absorption
Copyright © 2009 Pearson Education, Inc., publishing as Pearson Benjamin Cummings
Anatomy of the Liver
• The largest intraperitoneal organ
- anterior surface, a ventral mesentery, the falciform
ligament, marks division between left and right lobes
- thickening in the inferior margin is the round ligament, or
ligamentum teres, a fibrous band that marks the path of
the degenerated fetal umbilical vein
- coronary ligament suspends the liver from the inferior
surface of the diaphragm
- the superior, anterior, and posterior surfaces are referred
to as the diaphragmatic surfaces
- inferior surface is referred to as the visceral surface
- inferior to the small caudate lobe is the quadrate lobe
Figure 25.20
Blood Supply to the Liver
• Afferent BVs travel within the CT of the lesser
omentum and converge at the porta hepatis
(‘doorway to the liver’)
• Hepatic artery proper and the hepatic portal
vein deliver blood to the liver
- blood returns to the systemic circuit through the hepatic
veins that open into the inferior vena cava
- the arterial supply provides oxygenated blood and the
hepatic portal vein supplies nutrients and other chemicals
absorbed from the liver
Figure 25.20
Copyright © 2009 Pearson Education, Inc., publishing as Pearson Benjamin Cummings
Fig 25.20

The classical description of the 4 lobes was based on the
superficial topography of the liver
New terminology subdivides the lobes into segments based on
the major subdivisions of the hepatic artery, portal vein, and
hepatic ducts
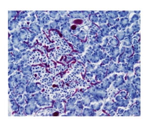
Liver Lobules
• Each lobe is divided by CT into ~100,000 liver
lobules – basic functional units of the liver
- hepatocytes form a series of plates (like spokes around
a wheel), each plate is only 1 cell thick
- exposed heptocyte surfaces are covered with short
microvilli
- sinusoids between adjacent plates empty into the central
vein
- sinusoidal lining includes a large number of Kupffer
(stellate reticuloendothelial) cells, part of the monocytemacrophage system
- Kupffer cells engulf pathogens, cell debris, damaged
blood cells and also any heavy metals (tin and mercury)
• Blood enters liver sinusoids from small branches
- 6 portal areas, or hepatic triads, one at each of the 6
corners of the lobule; contains 3 structures:
1) a branch of the hepatic portal vein
2) a branch of the hepatic artery proper
3) a small branch of the bile duct
- as blood flows through the sinusoids, hepatocytes absorb
and secrete materials into the bloodstream
- blood then leaves the sinusoids and enters the central
vein of the lobule
- central veins merge to form the hepatic veins that empty
into the inferior vena cava
CELL TYPES & ARRANGEMENT OF LIVER
Fenestrated Endothelial cells

with gut endotoxins
& other bad stuff

SINUSOID
Reticular
fiber

Hepatocytes in plates

Tight junctions
Microvilli

Kupffer cell deals

Bile canaliculus

STELLATE CELL
makes collagen
fibrils & ECM
materials

SPACE OF DISSE
has ECM materials,
but no distinct basal
lamina
Liver Histology

Figure 25.21

Copyright © 2009 Pearson Education, Inc., publishing as Pearson Benjamin Cummings
Liver Histology

Figure 25.21

Copyright © 2009 Pearson Education, Inc., publishing as Pearson Benjamin Cummings
Bile Secretion and Transport
• Bile is secreted into a network of narrow channels
called bile canaliculi
- canaliculi eventually connect with fine bile ductules that
carry bile to a bile duct in the nearest portal area

• Right and left hepatic ducts collect bile from all
of the bile ducts of the liver lobes
- ducts unite to form the common hepatic duct that leaves
the liver
- bile within the common hepatic duct may either 1) flow
into the common bile duct that empties into the duodenum
2) enter the cystic duct that leads to the gallbladder
Bile
• 1. is a detergent
• 2. emulsification of fats
• Produced continuously at slow rate
• Secretion increased in response to:
vagus nerve – psychic and gastric phases
secretin – from the duodenum during intestinal
phase
Physiology of the Liver
1. carbohydrate metabolism
a. glycogenesis
b. glycogenolysis
c. gluconeogenesis
2. lipid metabolism

4. detoxification
5. synthesis and
excretion of bile
6. storage
7. phagocytosis of
RBCs
8. activation of vitamin D

3. protein metabolism
a. deamination (-NH2)
b. urea formation
c. plasma protein production
Gallbladder
•
•
•
•
•
•

1.
2.
3.
4.
5.
6.

anatomy
rugae
cystic duct
stores/concentrates bile
sphincter of Oddi
CCK

Biliary Tract
•
•
•
•
•
•

common hepatic duct +
cystic duct =
common bile duct +
main pancreatic duct =
ampulla of Vater
sphincter of Oddi
The Gallbladder
• Hollow pear-shaped muscular sac - stores and
concentrates bile before
- its excretion into the small intestine
- located in a fossa in the visceral surface of the right lobe

• Divided into 3 regions: fundus, body, and neck
- the cystic duct leads from the gallbladder toward the porta
hepatis, where the common hepatic duct and cystic duct
unite to create the common bile duct
- at the duodenum, a muscular hepatopancreatic sphincter
(sphincter of Oddi) surrounds the common bile duct,
contraction seals off the passageway, prevents bile from
entering the small intestine
The Gallbladder and
Associated Bile Ducts

Figure 25.22

Copyright © 2009 Pearson Education, Inc., publishing as Pearson Benjamin Cummings
• The gallbladder has 2 major functions – bile
storage and bile modification
- when the hepatopancreatic sphincter is closed, bile
enters the cystic duct
- in the interim bile enters the cystic duct for storage
- at capacity contains 40-70 ml of bile
- composition gradually changes: water is absorbed, bile
salts and other components become more concentrated
- bile ejection occurs under stimulation of the hormone
cholecystokinin (CCK)
- CCK released into the bloodstream at the duodenum,
when chyme arrives with large amounts of lipid and
partially digested proteins
- CCK causes relaxation of the hepatopancreatic sphincter
and contraction of the gallbladder
Regulation of Bile Secretion
REGULATION OF BILE
SECRETION
acid chyme in
duodenum

enteroendocrine cells
stimulated

cholecystokinin
secretion

gallbladder
contraction

relaxation of
sphincter of Oddi

release of bile into
duodenum
The Pancreas
• Lies posterior to the stomach, extends laterally
from the duodenum toward the spleen
- about 15 cm long, about 80 g (3 oz) and divided into 3
regions: broad head, slender body, short-blunted tail
- thin transparent CT capsule wraps the pancreas

• Primarily an exocrine organ – produces digestive
enzymes and buffers
- large pancreatic duct (duct of Wirsung) delivers
secretions to the duodenal ampulla
- small accessory pancreatic duct (duct of Santorini)
empties into the duodenum at the lesser duodenal papilla
Pancreas
•
•
•
•
•
•

1.
2.
3.
4.
5.
6.

gross anatomy
main pancreatic duct
hepatopancreatic ampulla
accessory pancreatic duct
99% exocrine
1% endocrine
Pancreatic Juice
•
•
•
•
•

1.
2.
3.
4.
5.

sodium bicarbonate (NaHCO3)
pancreatic amylase
pancreatic lipase and cholesterol esterase
nucleases -- DNAse and RNAse
protein-digesting enzymes
a. trypsinogen (inactive)
b. chymotrypsinogen (inactive)
c. procarboxypeptidase (inactive)
Pancreatic Regulation-Neural
Control and Endocrine Control
• 1. vagus nerve
• 2. CCK = enzymes
• 3. secretin = NaHCO3
Pancreatic Regulation
NEURAL CONTROL
psychic stimuli

stretch of stomach

increased parasympathetic
impulses via vagus nerve

increased pancreatic secretion

ENDOCRINE CONTROL
acid chyme in duodenum

enteroendocrine cells
stimulated

increased secretin

increased cholecystokinin

increased secretion
of bicarbonate ions

increased secretion
of enzymes
Figure 25.23

• Arterial blood reaches the
pancreas through branches of the
splenic, superior mesenteric
and common hepatic arteries.

• Major branches include the pancreatic arteries and the
pancreaticoduodenal arteries ( superior and inferior)
• Splenic vein and its branches drain the pancreas
Histology of the Pancreas
• Partitions of CT divide pancreatic tissue into lobules
- BVs and tributaries of the pancreatic ducts are found within
these CT septa

• Pancreas is a compound tubuloacinar gland
- within each lobule, ducts branch repeatedly before ending
in pancreatic acini
- a pancreatic acinus is lined by simple cuboidal epithelium,
secretes a mixture of water, ions, and digestive enzymes
(pancreatic juice) into the duodenum
- pancreatic ducts secrete buffers (1° sodium bicarbonate)
important in neutralizing the acid in chyme and stabilizing pH
- pancreatic islets are scattered between the acini, account
for only ~1% of the cellular population
Pancreatic enzymes classified
according to their intended
targets
• Lipases digest lipids
• Carbodhydrases such as
pancreatic amylase digest
sugars and starches
• Nucleases attack nucleic
acids
• Proteolytic enzymes break
proteins apart such as
proteinases (large protein
complexes) and peptidases
(small peptide chains)

Figure 25.23
Copyright © 2009 Pearson Education, Inc., publishing as Pearson Benjamin Cummings
Regulation of Pancreatic Secretion
• Occurs primarily in response to hormonal
instructions from the duodenum
- the hormone secretin is released when acidic chyme
arrives in the small intestine
- secretin triggers the production of watery pancreatic
juice containing buffers especially sodium bicarbonate
- a duodenal hormone, cholecystokinin, stimulates the
production and secretion of pancreatic enzymes
Aging and the Digestive System
• Rate of epithelial stem cell division declines
• Smooth muscle tone decreases
• The effects of cumulative damage become
apparent
• Cancer rates increase
• Changes in other systems have direct of indirect
effects on the digestive system

14. digestive system

  • 1.
  • 2.
    Introduction • The digestivesystem consists of a muscular digestive (tube) tract and accessory organs - digestive tract: oral cavity (mouth), pharynx, esophagus, stomach, small intestine, and large intestine - accessory organs: teeth, tongue, and glandular organs (salivary glands, lever, pancreas) which secrete into ducts • Food enters the digestive tract, along the way secretions of the glandular organs assist in preparing organic and inorganic nutrients for absorption
  • 3.
    Functions of the DigestiveSystem • Ingestion – occurs when foods and liquids enter the digestive tract via the mouth • Mechanical processing – squashing with the tongue, tearing and crushing with the teeth - swirling, mixing, churning, and propulsive motions provide mechanical processing after swallowing • Digestion – chemical and enzymatic breakdown of carbohydrates, lipids, and proteins - small organic molecules can be absorbed by the digestive epithelium
  • 4.
    • Secretion –digestion involves the action of acids, enzymes, and buffers - produced by the lining but mostly by the accessory organs (pancreas) • Absorption – movement of organic molecules, electrolytes, vitamins, and water across the digestive epithelium - into the interstitial fluid of the digestive tract • Excretion – into the digestive tract, primarily by the accessory glands (especially the liver) • Compaction – progressive dehydration of indigestible materials and organic wastes (feces) - defecation is the elimination of feces from the body
  • 5.
    Lining of theDigestive Tract • Plays a defensive role by protecting surrounding tissues against: 1. the corrosive effects of digestive acids and enzymes 2. mechanical stresses, such as abrasion 3. pathogens that are swallowed with food or that reside within the digestive tract
  • 6.
    Components of theDigestive System Fig 25.1
  • 7.
    Histological Organization of theDigestive Tract Major layers of the digestive tract include the: • Mucosa • Submucosa • Muscularis externa • Serosa
  • 8.
    The Mucosa • Amucous membrane consisting of a layer of loose CT covered by an epithelium moistened by glandular secretions - plicae (folds) increase surface area for absorption - lamina propria, underlying layer of areolar tissue (BVs, sensory nerve endings, lymphatic vessels, smooth muscle fibers - muscularis mucosae, smooth muscle fibers arranged in 2 thin concentric layers: - the circular layer, inner layer encircles the lumen and - the longitudinal layer, outer layer whose muscle fibers lie parallel to the long axis of the tract
  • 9.
    Histology of theMucosa Organ Mouth Epithelium Nonkeratinized Stratified Squamous Pharynx Nonkeratinized Stratified Squamous Esophagus Nonkeratinized Stratified Squamous Stomach Small Intestine Large Intestine Anus Simple Columnar Simple Columnar Simple Columnar Nonkeratinized Stratified
  • 10.
    Histology of theMucosa Organ Folds of the epithelium Esophagus none Stomach L: Rugae, S: gastric pits Small Intestine L: Plicae circulares, Villi S: Crypts of Lieberkuhn, microvilli Large Intestine L: Haustra S: Intestinal glands
  • 11.
    Figure 25.2a Copyright ©2009 Pearson Education, Inc., publishing as Pearson Benjamin Cummings
  • 12.
    The Submucosa • Alayer of dense, irregular CT – surrounds the muscularis mucosae - contains large BVs and lymphatics - some regions contain exocrine glands that secrete buffers and enzymes into the lumen - in the outer margin the submucosal plexus, a network of nerve fibers and scattered neuron cell bodies innervates the mucosa - include the sensory neurons, parasympathetic ganglia, and sympathetic postganglionic fibers
  • 13.
    Histology of theSubmucosa Organ Specialized structures Esophagus Submucosal mucous glands Stomach None Duodenum Brunner’s glands Ileum Peyer’s Patches Large Intestine None
  • 14.
    The Muscularis Externa •Dominated by smooth muscle fibers – surrounds the submucosa - fibers are arranged in circular (inner) and longitudinal (outer) layers - essential in mechanical processing and in propulsion of materials along the digestive tract - movements coordinated by the myenteric (Auerbach) plexus, a network of parasympathetic ganglia and sympathetic postganglionic fibers (sandwiched between the muscle layers) - muscularis externa forms sphincters (valves) that help prevent materials from moving along the tract at the wrong time or direction
  • 15.
    Histology of theMuscularis Organ Smooth muscle layers Esophagus 2, circular and longitudinal Stomach 3, oblique, circular, and longitudinal Small Intestine 2, circular and longitudinal Large Intestine 2, circular and longitudinal
  • 16.
    The Serosa • Aserous membrane – covers the muscularis externa along most regions of the digestive tract within the peritoneal cavity - no serosa surrounds the muscularis externa of the oral cavity, pharynx, esophagus, and rectum - instead adventitia, a fibrous sheath of collagen fibers attaches the digestive tract to adjacent structures • Serosa or visceral peritoneum is continuous with the parietal peritoneum that lines the inner surfaces of the body wall
  • 17.
    Histology of theSerosa Organ Serosa Esophagus Adventitia due to the fact that the esophagus is not in a cavity Stomach Visceral Peritoneum Small Intestine Visceral Peritoneum Large Intestine Visceral Peritoneum Anus Adventitia
  • 18.
    Histology of theDigestive System Basic Histological Layers 1. Mucosa a. Epithelium b. Lamina Propria c. Muscularis Mucosae 2. Submucosa a. Submucosal plexus “Plexus of Meissner” 3. Muscularis a. Myenteric plexus “Plexus of Auerbach 4. Serosa
  • 19.
    Histological Structure ofthe Digestive Tract Figure 25.2b Copyright © 2009 Pearson Education, Inc., publishing as Pearson Benjamin Cummings
  • 20.
    Muscularis Layers andthe Movement of Digestive Materials • Visceral smooth muscle tissue – digestive tract – a single smooth muscle cell: 5-10um in diameter and 30200um in length - surrounded by CT (no tendons or aponeuroses) - contractile proteins not organized into sacromeres - muscle cells are nonstriated, involuntary muscle - contractions are as strong as skeletal or cardiac muscle - muscle cells are arranged in sheets - adjacent cells are electrically connected by gap junction - 1 cell contracts spreads like a wave throughout the tissue stimulus: activation of a motor neuron, local response to chemicals, hormones, O2 & CO2 levels, stretching, irritation
  • 21.
    • Contractile filamentsof smooth muscle cells are not rigidly organized - plasticity, tolerate extreme stretching, a stretched cell adapts to its new length and retains ability to contract on demand - pacemaker cells in the muscularis mucosae and muscularis externa undergo spontaneous depolarization - which trigger contractions leading to 2 types of movement: peristalsis and segmentation
  • 22.
    Peristalsis • Muscularis externavia peristalsis propels materials from 1 region of the tract to another • Waves of contractions move a bolus of food – 1. circular muscles contract behind the digestive contents 2. followed by longitudinal muscle contraction that shorten adjacent segments 3. wave of contraction in circular muscle layer forces bolus forward Copyright © 2009 Pearson Education, Inc., publishing as Pearson Benjamin Cummings Fig 25.3a
  • 23.
    Segmentation • Contractions inmost areas of the small intestine and some regions of the large intestine churn and fragment the digestive materials • The contents are mixed with intestinal secretions • No net movement is produced Figure 25.3 Copyright © 2009 Pearson Education, Inc., publishing as Pearson Benjamin Cummings
  • 24.
    Peristalsis and Segmentation •May be triggered by pacesetter cells, hormones, chemicals, and physical stimulation • Peristaltic waves can also be initiated by afferent and efferent fibers - glossopharyngeal, vagus or pelvic nerves • Afferent fibers synapse within the myenteric plexus – produce localized myenteric reflexes - short reflexes do not involve the CNS - enteric nervous system, neural network that coordinates short reflexes (as many neurons and NTs as the SC) - long reflexes, involve interneurons and motor neurons in the CNS control large-scale peristaltic waves
  • 25.
    Mesenteries • Most regionsof the digestive tract are suspended by sheets of serous membrane - connect the parietal with the visceral peritoneum • Mesenteries - fused, double sheets of peritoneal membrane - stabilize positions of attached organs - prevent entanglement of intestines - areolar CT between the mesothelial surfaces provide a route for BVs, nerves, and lymphatics, to and from the digestive tract - during development, the digestive tract and accessory organs are suspended by dorsal and ventral mesenteries
  • 26.
    • Lesser omentum- remnant of the embryonic ventral mesentery - persists only on ventral surface of the stomach, between the stomach and liver - and the falciform ligament, that lies between the liver and the anterior abdominal wall and diaphragm • Greater omentum - dorsal mesentry becomes enlarged to form a pouch - loose CT within the mesentery contains a thick layer of adipose tissue, the lipids are an important energy reserve - provides insulation that reduces heat loss - contains numerous lymph nodes to help protect the body from pathogens that evaded the defenses of the digestive tract
  • 27.
    Copyright © 2009Pearson Education, Inc., publishing as Pearson Benjamin Cummings Figure 25.4c
  • 28.
    • Mesentery proper– all but the first 25cm of the small intestine is suspended by this thick mesenterial sheet - provides stability but permits some independent movement • Mesocolon – attached to the large intestine • Transverse mesocolon – suspends the middle portion of the large intestine (transverse colon) • Sigmoid mesocolon – suspends the sigmoid colon that leads to the rectum and anus
  • 29.
    Copyright © 2009Pearson Education, Inc., publishing as Pearson Benjamin Cummings Figure 25.4d
  • 30.
    The Oral Cavity •Digestive tract – path of food from the mouth to the anus • The oral cavity includes: - the tongue, salivary glands, teeth, mastication • Functions include: 1) analysis of material before swallowing 2) mechanical processing through the actions of the teeth, tongue, and palatal surfaces 3) lubrication by mixing with mucous and salivary secretions 4) limited digestion of carbohydrates by a salivary enzyme
  • 31.
    The Oral Cavity •Oral (buccal) cavity – lined by the oral mucosa - stratified squamous epithelium protects from abrasion - mucosa of the cheeks (lateral walls) are formed by buccal fat pads and the buccinator muscles - mucosa of the cheeks are continuous with the lips (labia) - the vestibule, space between the cheeks, lips, and teeth - gingivae, ridge of oral mucosa or the gums surrounds the base of each tooth - roof is formed by the hard and soft palates - hard separates oral from the nasal cavity; soft separates the oral from the nasopharynx (closes it off for swallowing) - uvula helps prevent food from entering the pharynx prematurely
  • 32.
    Figure 25.5 Copyright ©2009 Pearson Education, Inc., publishing as Pearson Benjamin Cummings
  • 33.
    • Mylohyoid muscle– gives additional support • Posterior soft palate supports the uvula and the 2 pairs of muscular pharyngeal arches - palatoglossal arches extend between the soft palate and the base of the tone and consist of a mucous membrane and an underlying palatoglossus muscle - palatopharyngeal arches extend from the soft palate to the side of the pharynx; consist of a mucous membrane and the underlying palatopharyngeus muscle • Palatine tonsils – lie between the palatoglossal and palatopharyngeal arches • Fauces – entrance to the oropharynx
  • 34.
    Lips and Cheeks •Both structures important in mastication and speech • Lips (labia): orbicularis oris muscle within – Keratinized stratified squamous exterior is thin and color of blood in dermis gives a red/pink color. – Labial frenula (mucous folds) extend from alveolar processes of maxilla and mandible to the upper and lower lips, respectively. – Many facial muscles act to move lips • Cheeks: lateral walls of oral cavity – Buccinator muscle – Buccal fat pad
  • 35.
    Palate and PalatineTonsils • Palate – Hard palate: anterior, supported by palatine process of maxilla and palatine bone • Slightly corrugated on either side of midline raphe – Soft palate: posterior, consists of skeletal muscle and connective tissue • Closes off nasopharynx during swallowing • Uvula: projects from posterior of soft palate • Palatine tonsils: lateral walls of fauces – Housed within palatoglossal and palatopharyngeal arches
  • 37.
    The Tongue • Primaryfunctions include: 1) mechanical processing by compression, abrasion, and distortion 2) manipulation to assist in chewing and preparing the material for swallowing 3) sensory analysis by touch, temperature, and taste receptors 4) secretion of mucins and an enzyme that aids in fat digestion
  • 38.
    • Tongue divisionsinclude: - an anterior body or oral portion - posterior root or pharyngeal portion - superior surface, dorsum of the body, contains numerous papillae • Thickened epithelium covering each papilla provides additional friction - many have taste buds along the edges • Secretions of small glands of the tongue’s epithelium extend into the lamina propria - contain water mucins and lingual lipase (triglycerides) • Lingual frenulum (‘small bridle’) connects the body of the tongue to the mucosa of the oral floor
  • 39.
    Tongue • Functions tomoves food in mouth, sensory analysis by taste buds, participates in speech and swallowing • Muscular organ with free anterior surface and attached posterior surface. – Covered with moist stratified squamous epithelium – Intrinsic muscles: change shape of the tongue – Extrinsic muscles: protrude or retract tongue, move side to side • Innervated by the hypoglossal nerve • Lingual frenulum attaches tongue inferiorly to floor of oral cavity
  • 40.
    Tongue • Terminal sulcus:groove that divides tongue into anterior 2/3 in oral cavity posterior 1/3 in oropharynx • Anterior region: in oral cavity; has papillae, some of which have taste buds • Posterior region: in oropharynx; no papillae; abundant lymphoid tissue (lingual tonsils)
  • 41.
    Salivary Glands • 3pairs of salivary glands secrete into the oral cavity – parotid, sublingual, submandibular – each covered by a fibrous capsule - saliva is transported through a network of fine ducts to a single large drainage duct - the main duct penetrates the capsule and opens onto the surface of the oral mucosa • Salivary glands produce 1.0 – 1.5 L saliva/day - 70% from the submandibular; 25% from the parotid; 5% from the sublingual - 99.4% water + ions, buffers, metabolites, enzymes - mucins, glycoproteins produce lubricating effects
  • 42.
    • Parotid salivaryglands - the largest ~20g - secretions are drained by a parotid (Stensen’s) duct - salivary amylase breaks down complex carbohydrates • Sublingual glands - covered by the mucous membrane of the floor of the mouth - numerous sublingual ducts (of Rivinus) open along either side of the lingual frenulum • Submandibular gands – found in the floor of the mouth along the medial surfaces of the mandible inferior to the mylohyoid line - submandibular (Wharton’s) ducts open into the mouth on either side of the lingual frenulum, posterior to the teeth
  • 43.
    Regulation of theSalivary Glands • Controlled by the ANS – receives both parasympathetic and sympathetic innervation - an object placed within the mouth can stimulate receptors triggering a salivary reflex - innervation by CN VII, IX or X • Parasympathetic stimulation accelerates secretion by all of the salivary glands - produce large amounts of watery saliva • Sympathetic activation results in secretion of a small volume of viscous saliva - high enzyme concentration reduced volume produces the sensation of dry mouth
  • 44.
    Copyright © 2009Pearson Education, Inc., publishing as Pearson Benjamin Cummings Figure 25.6a
  • 45.
    Copyright © 2009Pearson Education, Inc., publishing as Pearson Benjamin Cummings Figure 25.6b
  • 46.
    The Teeth • Performchewing, or mastication of food - breaks down tough CTs and plant fibers - saturates material with salivary secretions and enzymes • Dentine – mineralized matrix similar to bone - contains no living cells; is the bulk of each tooth - cytoplasmic processes extend into the dentine from cells in the central pulp cavity (spongy and highly vascularized) - root canal, receives the BVs and nerves for the pulp cavity: dental artery, vein, & nerve enter through the apical foramen • Root of each tooth is anchored into the alveolus by collagen fibers of the periodontal ligament - extends from the dentine of the root to the alveolar bone - creates a strong articulation, the gomphosis
  • 47.
    • Enamel – coversthe dentine of the crown - contains densely packed calcium phosphate crystal • Epithelial cells of the gingival sulcus form tight attachments to the tooth • Cementum covers the dentine of the root, providing protection and anchoring the periodontal ligament - similar to bone, less resistant to erosion than dentine Figure 25.7a Copyright © 2009 Pearson Education, Inc., publishing as Pearson Benjamin Cummings
  • 48.
    Figure 25.7d Copyright ©2009 Pearson Education, Inc., publishing as Pearson Benjamin Cummings
  • 49.
    • Incisors – blade-shaped teethuseful for clipping or cutting • Cuspids or canines – conical with a sharp ridgeline and pointed tip; useful for tearing or slashing • Bicuspids or premolars – contain 1 or 2 roots, have flattened crowns with prominent ridges; used for crushing, mashing, and grinding • Molars – very large flattened crowns with prominent ridges, typical have 3 or more roots; used for crushing and grinding Copyright © 2009 Pearson Education, Inc., publishing as Pearson Benjamin Cummings Fig 25.7c
  • 50.
    Figure 25.7b Copyright ©2009 Pearson Education, Inc., publishing as Pearson Benjamin Cummings
  • 51.
    Figure 25.7e Copyright ©2009 Pearson Education, Inc., publishing as Pearson Benjamin Cummings
  • 52.
    Mastication • Muscles ofmastication close the jaws and slide or rock the lower jaw from side to side - food is forced back and forth between the vestibule and the rest of the oral cavity - movement results in part from the masticatory muscles but also the buccal, labial, and lingual muscles - material is shredded and moistened with salivary secretions - the tongue compacts the debris into a small oval mass or bolus, that can be swallowed
  • 53.
    The Pharynx • Servesas a common passageway for food, liquids, and air – divisions include: nasopharynx, oropharynx, laryngopharynx • Deep to the lamina propria of the mucosa is a dense layer of elastic fibers, bound to underlying skeletal muscles involved in swallowing - the pharyngeal constrictors (superior, middle, and inferior) push the bolus toward the esophagus - the palatopharyngeus and stylopharyngeus muscles elevate the larynx - the palatal muscles raise the soft palate and adjacent portions of the pharyngeal wall
  • 54.
    The Swallowing Process •Pharyngeal muscles cooperate with muscles of the oral cavity and esophagus to initiate the swallowing process or deglutition - complex process initiates voluntarily but proceeds involuntarily once initiated - divided into buccal, pharyngeal, and esophageal phases
  • 55.
    Figure 25.8a, b Copyright© 2009 Pearson Education, Inc., publishing as Pearson Benjamin Cummings Begins with compression of the bolus against the hard palate Subsequent retraction of the tongue forces the bolus into the pharynx and in elevation of the soft palate by the palatal muscles, thereby isolating the nasopharynx Buccal phase – strictly voluntary; however in the oropharynx, involuntary reflexes are initiated and the bolus is moved toward the stomach
  • 56.
    Figure 25.8c, d Copyright© 2009 Pearson Education, Inc., publishing as Pearson Benjamin Cummings Begins when the bolus comes in contact with the palatal arches, the posterior pharyngeal wall, or both Elevation of the larynx by the palatopharyngeus and stylopharyngeus muscles, and folding of the epiglottis direct the bolus past the closed glottis In less than a second, the pharyngeal constrictor muscles propel the bolus into the esophagus During the time it takes for the bolus to travel through the pharynx and into the esophagus, the respiratory centers are inhibited and breathing ceases
  • 57.
    Starts at openingof upper esophageal sphincter After passing through - bolus is pushed along the esophagus by peristaltic waves Fig 25.8 Copyright © 2009 Pearson Education, Inc., publishing as Pearson Benjamin Cummings Approach of the bolus triggers the opening of the weak lower esophageal sphincter (cardiac sphincter) and the bolus continues into the stomach
  • 58.
    The Esophagus • Ahollow muscular tube – transports foods and liquids to the stomach - located posterior to the trachea - enters the peritoneal cavity through the esophageal hiatus, before emptying into the stomach - about 25 cm long and 2 cm in diameter - begins at the level of the cricoid cartilage anterior to vertebra C6 and ends anterior to vertebra T7
  • 59.
    • Receives bloodfrom the esophageal arteries and branches of the 1) thyrocervical trunk & external carotid arteries of the neck, 2) bronchial arteries and esophageal arteries of the mediastinum, and the 3) inferior phrenic artery and left gastric artery of the abdomen • Venous blood from the esophageal capillaries collect - into the esophageal, inferior thyroid, azygos, & gastric veins • Innervation is by the vagus and sympathetic trunks via the esophageal plexus • Sphincter muscles are not well-defined, the - upper and lower esophageal sphincters (cardiac sphincter), are similar in function to other sphincters
  • 60.
  • 61.
  • 62.
    The Stomach • Performs3 major functions: 1) bulk storage of ingested food 2) mechanical breakdown of ingested food, and 3) chemical digestion of ingested food through disruption of chemical bonds by acids and enzymes • Mixing of ingested substances with acids and enzymes secreted by stomach glands produces a viscous, strongly acidic, soupy mixture or chyme
  • 63.
    Figure 25.12 The stomach– intraperitoneal, occupies the left hypochondriac, epigastric, and portions of the umbilical and left lumbar regions
  • 64.
    Anatomy of theStomach • J-shaped stomach: - short lesser curvature (medial surface), long greater curvature (lateral surface) - cardia, where esophagus contacts the medial surface - cardiac orifice, esophageal lumen opens into this orifice - fundus, contacts inferior & posterior surface of diaphargm - body, area between the fundus and the curve of the J - pylorus, the curve of the J, divided into the pyloric antrum and pyloric canal ; as mixing movements occur during digestion, the pylorus changes shape - pyloric sphincter regulates release of chyme from the pyloric orifice into the duodenum
  • 65.
    Figure 25.10a Copyright ©2009 Pearson Education, Inc., publishing as Pearson Benjamin Cummings
  • 66.
    b) radiograph ofthe stomach & duodenum, after swallowing a barium solution Figure 25.10b, c c) the pyloric region, pyloric valve, & duodenum Copyright © 2009 Pearson Education, Inc., publishing as Pearson Benjamin Cummings
  • 67.
    Copyright © 2009Pearson Education, Inc., publishing as Pearson Benjamin Cummings • • Figure 25.11a Stomach volume increases at mealtimes; decreases as chyme enters the small intestine Rugae – longitudinal folds permit expansion of the gastric lumen; during expansion, the epithelial lining, flattens out, and the rugae become less prominent; in a full stomach rugae almost disappear
  • 68.
    Figure 25.11b • • Greater omentumforms a large pouch (hangs like an apron from the greater curvature – adipose tissue provides padding and insulation, protects anterior and lateral surfaces, an important energy reserve Lesser omentum a smaller pouch in the ventral mesentery between the lesser curvature and liver – provides an access route for BVs and other structures entering or leaving the liver
  • 69.
    Blood Supply tothe Stomach Celiac artery–3 branches supply blood to the stomach • Left gastric artery supplies blood to the lesser curvature and cardia • Splenic artery supplies the fundus and the greater curvature through the left gastroepiploic artery • Common hepatic artery supplies blood to the lesser and greater curvatures of the pylorus - through the right gastric artery, the right gastroepiploic artery and the gastroduodenal artery - gastric and gastroepiploic veins drain blood from the stomach into the hepatic portal vein
  • 70.
    Musculature of theStomach • Muscularis mucosae and muscularis externa contain extra layers of smooth muscle - extra layers strength the stomach wall - perform the mixing and churning activites essential to chyme formation • Muscularis mucosae contains an additional outer, circular layer of muscle fibers • The muscularis externa has an extra inner, oblique layer of smooth muscle
  • 71.
    Histology of theStomach • Simple columnar epithelium lines all regions of the stomach – a secretory sheet - produces a carpet of mucus that covers the luminal surfaces and protects the epithelium against the acids and enzymes in the gastric lumen • Gastric pits (shallow depressions) open onto the gastric surface - mucous cells at the base, or neck, actively divide to replace superficial cells shed continuously into the chyme - continual replacement of epithelial cells provides an additional defense against the gastric contents ( when stomach acid and enzymes penetrate the mucous layers)
  • 72.
    Gastric Secretory Cells •In the stomach fundus and body, each gastric pit communicates with several gastric glands - simple branched tubular glands dominated by 3 types of secretory cells: parietal cells, chief cells, and enteroendocrine cells (scattered between the parietal and chief cells) - parietal and chief cells work together to secrete about 1500 ml of gastric juice per day
  • 73.
    Copyright © 2009Pearson Education, Inc., publishing as Pearson Benjamin Cummings Fig 25.13a, c, d
  • 74.
    Parietal Cells • Oroxyntic cells - secrete intrinsic factor and hydrochloric acid (HCl) - common along proximal portions of each gastric gland - intrinsic factor facilitates absorption of vitamin B12 (necessary for normal erythropoiesis) across the intestinal lining - HCl lowers pH of the gastric juice, kills microorganisms, breaks down cell walls and CTs in food, and activates secretions of the chief cells
  • 75.
    Chief Cells • Orzymogen cells – secretes pepsinogen - most abundant near the base of a gastric gland - pepsinogen converted by HCl to pepsin, an active proteolytic enzyme - in newborn infants, also produce rennin and gastric lipase (enzymes important for digestion of milk) - rennin coagulates milk proteins, and gastric lipase initiates digestion of milk fats
  • 76.
    Enteroendocrine Cells • Produceat least 7 different secretions - G cells, enteroendocrine cells most abundant in gastric pits of the pyloric region secrete the hormone gastrin - gastrin, released when food enters the stomach, stimulates the secretory activity of both parietal and chief cells; also promotes smooth muscle activity in the stomach wall (enhances mixing and churning activity)
  • 77.
    e) parietal andmucous neck cells – outer portion of a gastric gland f) chief and parietal cells – deepest portions of a gastric gland Figure 25.13b, e, f Copyright © 2009 Pearson Education, Inc., publishing as Pearson Benjamin Cummings
  • 78.
    Low power viewof the Stomach
  • 79.
    Low and Highpower view of the Stomach Mucosa
  • 80.
    Regulation of theStomach • Production of acid and enzymes by the gastric mucosa can be directly controlled by the CNS - and indirectly regulated by local hormones • Parasympathetic innervation via the vagus nerve - sight or thought of food triggers motor output in the vagus nerve  postganglionic fiber stimulation of parietal cells, chief cells, and mucous cells causes an increase in acids, enzymes, and mucus production  arrival of food stimulates stretch receptors in the stomach wall and chemoreceptors in the mucosa  reflexive contractions occur in the muscularis layers of the stomach wall and gastrin is released by enteroendocrine cells
  • 81.
    • Sympathetic innervationvia branches of the celiac plexus - activation leads to the inhibition of gastric activity - in addition, the small intestine release two hormones that inhibit gastric secretion - secretin and cholecystokinin stimulate secretion by both the pancreas and liver; the depression of gastric activity is a secondary, but complementary effect
  • 82.
    Chemical Digestion inthe Stomach • 1. pepsinogen HCl pepsin (pH 1 - 3) proteins • 2. gastric lipase • 3. rennin (infant only) peptides
  • 83.
    Mode of HydrochloricAcid Secretion • Pepsid AC • Zantac
  • 84.
    Three Phases ofStomach Control • • • Cephalic Phase Gastric Phase Intestinal Phase
  • 85.
    Stomach Regulation-First Phase • 1.cephalic phase a. psychic stimuli b. vagus nerve c. increased motility and secretion
  • 86.
    Stomach Regulation-Cephalic Phase Cephalicphase PSYCHIC STIMULI thought and anticipation of food sight, taste, smell of food sound of food preparation parasympathetic output via the vagus nerve (X) stimulation of stomach’s enteric nervous system increased gastric secretion + increased gastric motility
  • 87.
    Stomach Regulation-Second Phase • 2.gastric phase a. stretch receptors and chemoreceptors b. local parasympathetic response c. gastrin
  • 88.
    Stomach Regulation-Gastric Phase foodenters the stomach increased stretch of stomach wall increased pH stimulates chemoreceptors input to brainstem direct stimulation of stomach’s enteric nervous system parasympathetic output via the vagus nerve (X) increased gastrin secretion increased gastric secretion + increased gastric motility
  • 89.
    Positive Feedback Controlof Gastric Secretion
  • 90.
    Negative Feedback ofthe Gastric Phase CONTROLLED CONDITION Food entering stomach disrupts homeostasis by causing an increase in gastric juice pH AND stretch (distention) of stomach wall RETURN TO HOMEOSTASIS RECEPTOR In response, there is increased acidity in stomach chyme and the mixing waves begin emptying the stomach. An empty stomach is a return to homeostasis. Chemoreceptors and stretch receptors increased pH and stretch of stomach wall, and generate nerve impulses that pass to the control centers EFFECTORS CONTROL CENTER Enteric nervous system and medullary neurons generate parasympathetic impulses that pass to the effectors Parietal cells of the gastric mucosa secrete HCl and the muscularis contracts more vigorously (increased frequency and strength of mixing waves)
  • 91.
    Stomach Regulation-Third Phase • 3.intestinal phase a. stretch receptors and chemoreceptors b. enterogastric reflex c. hormones (1) gastrin (+) (2) cholecystokinin (CCK) (-) (3) secretin (-) (4) gastric inhibitory peptide (GIP) (-)
  • 92.
    Stomach Regulation-Intestinal Phase chymeenters the duodenum increased stretch of duodenal wall increased enteric endocrine cell activity enterogastric reflex direct stimulation of duodenum’s enteric nervous system secretion of cholecystokinin secretin input to brainstem decreased parasympathetic output from the vagus nerve (X) to stomach inhibits inhibits enteric gastrin increased sympathetic output to stomach inhibits decreased stomach activity increased stomach activity NET EFFECT gastric inhibition
  • 93.
    Gastric Emptying STIMULATION OFGASTRIC EMPTYING INHIBITION OF GASTRIC EMPTYING distention of stomach partially digested proteins alcohol caffeine distention of duodenum increased gastrin secretion increased vagal activity enterogastric reflex partially digested proteins, fatty acids, glucose in duodenum secretion of cholecystokinin and secretin contraction of gastroesophageal sphincter relaxation of pyloric sphincter increased rate of mixing waves increased gastric secretion contraction of pyloric sphincter decreased rate of mixing waves decreased gastric secretion increased rate of emptying decreased rate of emptying
  • 94.
    Stomach Absorption • • • • • Accomplishments ofdigestion to this point in the GI tract starch  maltose by salivary amylase (action stops in stomach) proteins  partially digested proteins (action of pepsin) lipids  partially digested fats (action of lingual and gastric lipase) creation of chyme from food, drink, saliva, and gastric juice • Stomach Absorption • • • • 1. 2. 3. 4. water electrolytes certain drugs (aspirin) alcohol
  • 95.
    The Small Intestine •Primary role in the digestion and absorption of nutrients – about 90% - averages 6 m in length (range 5 -8.3m) with a diameter ranging from 4 cm at the stomach to 2.5 cm at the junction with the large intestine - stabilized by mesenteries attached to the dorsal body wall - movement during digestion is restricted by the stomach, large intestine, abdominal wall, and pelvic girdle - plicae circulares, transverse folds in the intestinal lining are permanent and do not disappear as intestine fills; roughly 800 plicae increases surface area for absorption • 3 subdivisions – the duodenum, jejunum, ileum
  • 96.
    The Small Intestine Fig25.14 Copyright © 2009 Pearson Education, Inc., publishing as Pearson Benjamin Cummings
  • 97.
    The Duodenum • Shortestand widest segment - about 25 cm long – a mixing bowl that receives chyme from the stomach and digestive enzymes from the pancreas and liver - almost all digestive enzymes enter from the pancreas - connected to the pylorus of the stomach - interconnection guarded by the pyloric sphincter - from its start at the pyloric sphincter, curves in a C that encloses the pancreas - contains numerous mucous glands and the duodenal submucosal (Brunner’s) glands - bile duct and pancreatic duct come together at a muscular chamber, the duodenal ampulla or hepatopancreatic ampulla
  • 98.
    The Jejunum • About2.5 m long – where the bulk of chemical digestion and nutrient absorption occurs - duodenojejunal flexure, marks the boundary between the duodenum and the jejunum (the small intestine reenters the peritoneal cavity to become intraperitoneal) - supported by a sheet of mesentery - plicae and villi are prominent over the proximal half - small, isolated, individual lymphoid nodules are present in the lamina propria
  • 99.
    The Ileum • Lastsegment and the longest, averages 3.5 m - ends at the ileocecal valve, a sphincter which controls flow of materials from the ileum into the cecum of the large intestine - plicae and villi diminish in size and number - lymphoid nodules become more numerous and fuse together to form large masses called aggregated lymphoid nodules, or Peyer’s patches - Peyer’s patches are most abundant near the entrance to the large intestine, which normally contains large numbers of potentially harmful bacteria
  • 100.
    Support of theSmall Intestine • Duodenum has no supporting mesentery • Jejunum and ileum – supported by an extensive, fan-shaped mesentery, the mesentery proper - BVs, lymphatics, nerves pass through the mesentery CT - BVs involved: intestinal arteries, branches of the superior mesenteric artery and superior mesenteric vein - parasympathetic innervation provided by the vagus nerve - sympathetic innervation involves postganglionic fibers from the superior mesenteric ganglion
  • 101.
    Histology of theSmall Intestine • Intestinal villi – fingerlike projections of the mucosa - each villus is covered by a simple columnar epithelium - the apical epithelial surfaces are carpeted with microvilli (‘brush border’) - epithelium also contain plicae circularis, each plica supports a forest of villi; each villus is covered by epithelial cells whose exposed surfaces contain microvilli - arrangement increases total area for absorption to more than 200 m2 - at the base of the villi are the entrances to the intestinal crypts or crypts of Lieberkuhn where stem cell division continually renew epithelial cells - crypts also contain enteroendocrine cells that produce several horomones, including cholecystokinin and secretin
  • 102.
    Fig 25.15 • Laminapropria of each villus contains an extensive network of capillaries - absorb and carry nutrients to the hepatic portal circulation • Also contain a terminal lymphatic called a lacteal – transports materials that cannot enter the capillaries such as large lipidprotein complexes Copyright © 2009 Pearson Education, Inc., publishing as Pearson Benjamin Cummings
  • 103.
    Fig 25.15d,e Histology ofthe Intestinal Wall Copyright © 2009 Pearson Education, Inc., publishing as Pearson Benjamin Cummings
  • 104.
    Regions of theSmall Intestine Figure 25.16 Copyright © 2009 Pearson Education, Inc., publishing as Pearson Benjamin Cummings
  • 105.
    Scanning view ofthe Small Intestine demonstrating Plicae Circularis
  • 106.
    High power viewof the duodenal Mucosa
  • 107.
  • 108.
    X-sectional view ofthe duodenum
  • 109.
    Gross view andlow-power view of the ileum
  • 110.
    High-power view ofthe Ileum demonstrating Peyer’s patches
  • 111.
    Regulation of theSmall Intestine • As absorption occurs, weak peristaltic contractions slowly move materials along the small intestine - movements are controlled primarily by neural reflexes involving the submucosal and myenteric plexuses - parasympathetic (vagal) stimulation increases sensitivity of these reflexes, accelerates peristaltic contractions and segmentation movements - the ileocecal valve allows passage of material into the large intestine - hormonal and CNS controls regulate the secretory output of intestinal juice - sympathetic stimulation inhibits secretion
  • 112.
    Intestinal Juice andBrush Border Enzymes • • • • • • Maltase Lactase Peptidases Dextrinases Nucleosidases Phosphatases
  • 113.
    Small Intestine-Mechanical Digestion • 1.segmentation • 2. peristalsis
  • 114.
    Review of ChemicalDigestion of Carbohydrates STARCH mouth SUCROSE LACTOSE SUCROSE LACTOSE salivary amylase stomach small intestine pancreatic amylase MALTOSE brush border maltase brush border sucrase brush border lactase glucose + glucose glucose + fructose glucose + galactose (absorbed into blood of villus) (absorbed into blood of villus) (absorbed into blood of villus)
  • 115.
    Review the ChemicalDigestion of Proteins
  • 116.
    Review the ChemicalDigestion of Lipids
  • 117.
    Regulation of smallintestinal secretion and motility • 1. local reflexes • 2. parasympathetic reflexes (vagus nerve) • 3. gastrin
  • 118.
    Regulation of theSmall Intestine GASTRIC PHASE psychic stimuli stretch of stomach chemoreceptors in stomach stretch of small intestine gastroileal reflex increased parasympathetic impulses via vagus nerve increased gastrin secretion increased small intestinal motility secretion + relaxation of ileocecal sphincter increased enteric nervous system activity
  • 119.
    Small Intestine Absorption • • 1.monosaccharides 2. amino acids hepatic portal blood  liver  inferior vena cava  general circulation monosaccharides amino acids thoracic duct inferior vena cava lacteal with chylomicrons hepatic portal vein superior mesenteric vein • 3. fats triglycerides chylomicrons lymph  lacteals  intestinal trunk  thoracic duct  general circulation • 4. water blood capillary lymphatic vessel
  • 120.
    Water absorption • GItract fluids/24 hours Ingested or secreted into GI tract • • • • • • • saliva = 1 L ingested liquids = 2L gastric juice = 2 L bile = 1L pancreatic juice = 2 L intestinal juice = 1L total = 9 L Absorbed into blood small intestine = 8L large intestine = 0.9 L Excreted in feces 0.1 L
  • 121.
    The Large Intestine •Aka the large bowel, shaped like a horse-shoe begins at the end of the ileum, ends at the anus - average length of ~1.5 m and a width of ~7.5 cm • Divided into 3 parts: 1) Cecum – first portion, appears as a pouch 2) Colon - largest portion 3) Rectum – last 15 cm and the end of the digestive tract
  • 122.
    • Major functionsof the large intestine: 1) reabsorption of water and electrolytes, and compaction of intestinal contents into feces 2) absorption of important vitamins produced by bacterial action 3) storage of fecal material before defecation • Blood supply: - receives blood from tributaries of the superior mesenteric and inferior mesenteric arteries - venous blood is collected by the superior mesenteric and inferior mesenteric veins
  • 123.
    Figure 25.17 Copyright ©2009 Pearson Education, Inc., publishing as Pearson Benjamin Cummings
  • 124.
    The Cecum • Theileum attaches to the medial surface of the cecum – opens into the cecum at the ileal papilla • Muscles encircling the opening form the ileocecal valve – regulates passage of materials • Cecum collects and stores arriving materials – begins the process of compaction • Vermiform appendix – ~9 cm is attached to the posteromedial surface of the cecum - the mesoappendix (band of mesentery) connects the appendix to the ileum and cecum - mucosa and submucosa dominated by lymphoid nodules, primarily functions as a lymphoid system organ (tonsils)
  • 125.
    The Colon • Hasa larger diameter and a thinner wall than the small intestine 1) Wall of the colon forms a series of pouches or haustra (sing., haustrum) – permits distension and elongation; creases between the haustra extend into the mucosal lining 2) Taeniae coli – 3 longitudinal ribbons of the smooth muscles 3) Omental (fatty) appendices – teardrop-shaped sacs of fat of the serosa
  • 126.
    Regions of theColon • Colon is subdivided into 4 regions: the ascending colon, transverse colon, descending colon, and sigmoid colon • The ascending colon – begins at the superior border of the cecum - ascends to the inferior surface of the liver - at the right colic flexure, or hepatic flexure colon turns to the left; marks the end of the ascending colon and beginning of the transverse colon
  • 127.
    • The transversecolon – curves anteriorly at the hepatic flexure - crosses the abdomen from right to left - initial segment is intraperitoneal, supported by the transverse mesocolon - the left side passes inferior to the greater curvature of the stomach and becomes secondarily retroperitoneal; the gastrocolic ligament attaches it to the stomach - near the spleen, at the left colic flexure or splenic flexure makes a right-angle bend and proceeds caudally
  • 128.
    • The descendingcolon proceeds inferiorly along the left side of the abdomen - it is secondarily retroperitoneal and so it is firmly attached to the abdominal wall - at the iliac fossa, descending colon enters sigmoid colon • The sigmoid colon – S-shaped segment - only ~15 cm begins at the sigmoid flexure and ends at the rectum - it curves posterior to the urinary bladder and is suspended by the sigmoid mesocolon
  • 129.
    • The sigmoidcolon discharges fecal waste into the rectum - the last portion, the anal canal contains small longitudinal folds called the anal columns - anal canal ends at the anus, or anal orifice - epidermis close to the anus becomes keratinized and identical to the surface of the skin - veins in the lamina propria and submucosa of the anal canal can become distended, producing hemorrhoids - circular muscle layer of the muscularis externa forms the internal anal sphincter – not under voluntary control - external anal sphincter, a ring of skeletal muscle encircles the distal portion of the anal canal – under voluntary control
  • 130.
    Copyright © 2009Pearson Education, Inc., publishing as Pearson Benjamin Cummings Figure 25.18
  • 131.
    Histology of theLarge Intestine • Characteristics that distinguish the large intestine from the small intestine: - wall is relatively thin, diameter of the colon is ~3 times larger than the small intestine - lacks villi - goblet cells are much more abundant - distinctive intestinal crypts with deeper glands dominated by goblet cells; secretion occurs as local stimuli trigger reflexes involving the local nerve plexuses - large lymphoid nodules are scattered throughout the lamina propria and extend into the submucosa - longitudinal layer of the muscularis externa reduced to the muscular bands of the taeniae coli
  • 132.
    Figure 25.19 Copyright ©2009 Pearson Education, Inc., publishing as Pearson Benjamin Cummings
  • 133.
    High power viewof the colon demonstrating intestinal glands
  • 134.
  • 135.
  • 138.
    Regulation of theLarge Intestine • Movement of ingested materials: - from cecum to transverse colon occurs slowly thorugh peristaltic activity and haustral churning, - allows fecal material to be converted into a sludgy paste - powerful peristaltic contractions (mass movements) from the transverse colon occurs a few times per day - stimulus: distension of the stomach and duodenum - commands are relayed over the intestinal nerve plexuses - contractions force fecal materials into the rectum causes conscious urge to defecate leads to internal sphincter relaxation (defecation reflex) - fecal material moves into the anal canal - defecation occurs by voluntary relaxation of external anal sphincter
  • 139.
    Chemical digestion inthe large intestine • 1. bacteria fermentation • 2. bacteria secrete vitamin K and some B complex vitamins
  • 140.
    Large Intestine Absorption •1. simple molecules and vitamins • 2. most remaining water (~900 ml/day) • Feces consists of: 1. water (about 100 ml/day) 2. undigested foodstuffs (plant fibers = cellulose) 3. bacteria 4. products of bacterial decomposition 5. sloughed epithelial cells
  • 141.
    Defecation Reflex inthe Adult • • • • 1. distention of the rectum stimulates stretch receptors 2. sacral parasympathetic area output, causing: a. contraction of the descending colon, sigmoid colon, and rectum; and b. reflex relaxation of the internal anal sphincter 3. voluntary relaxation of the external anal sphincter (in the infant, this is also reflexive) 4. expulsion of feces
  • 142.
    Mechanical Digestion inthe Large Intestine • • • 1. haustral churning 2. mass peristalsis (gastrocolic reflex) 3. peristalsis
  • 143.
  • 144.
    Fig 25.24 Inflammation ofthe Colon – IBD is of unknown origin - thought to be an autoimmune disorder as an individual develops an immune reaction to their own intestinal tract (affects ~1 million in the US) - 2 major forms: ulcerative colitis (develop ulcers of the colon) and Crohn’s disease (distal segment of the ileum)
  • 145.
    Accessory Glandular DigestiveOrgans • Include the salivary glands, the liver, the gallbladder, and the pancreas - glandular organs produce and store enzymes and buffers essential to normal digestive function - in addition salivary glands, liver, and pancreas have exocrine functions
  • 146.
    The Liver • Thelargest visceral organ and one of the most versatile – weighs ~ 1.5 kg - lies within the right hypochondriac and epigastric regions • Provides essential metabolic and synthetic actions that fall into 3 basic categories: metabolic regulation, hematological regulation, bile production
  • 147.
    • Metabolic regulation- all blood leaving the digestive tract enters the hepatic portal system - circulating levels of carbohydrates, lipids, and amino acids are regulated by the liver - hepatocytes extract absorbed nutrients or toxins from the blood before it enters the hepatic veins - hepatocytes monitor circulating levels of metabolites and adjust them as necessary - excess nutrients are removed and stored, deficiencies are corrected by mobilizing stored reserves or performing appropriate synthetic activities - circulating toxins and metabolic waste are removed for subsequent inactivation, storage, or excretion - fat-soluble vitamins (A,D,K,E) are absorbed and stored
  • 148.
    • Hematological regulation– the liver is the largest blood reservoir (receives ~25% of the cardiac output) - as blood passes through the liver sinusoids: 1) phagocytic cells in the liver remove old or damaged RBCs, cellular debris, and pathogens from circulation 2) hepatocytes synthesize plasma proteins that contribute to the osmotic concentration of the blood, transports nutrients, establishes clotting and complement systems • Synthesis and secretion of bile - by the liver - bile is stored in the gallbladder and excreted into the lumen of the duodenum - consists mostly of water + minor amounts of ions, bilirubin (pigment derived from hemoglobin), and bile salts - water and ions assist in dilution and buffering of acids in chyme; bile salts associate with lipids in order to facilitate their breakdown into fatty acids suitable for absorption
  • 149.
    Copyright © 2009Pearson Education, Inc., publishing as Pearson Benjamin Cummings
  • 150.
    Anatomy of theLiver • The largest intraperitoneal organ - anterior surface, a ventral mesentery, the falciform ligament, marks division between left and right lobes - thickening in the inferior margin is the round ligament, or ligamentum teres, a fibrous band that marks the path of the degenerated fetal umbilical vein - coronary ligament suspends the liver from the inferior surface of the diaphragm - the superior, anterior, and posterior surfaces are referred to as the diaphragmatic surfaces - inferior surface is referred to as the visceral surface - inferior to the small caudate lobe is the quadrate lobe
  • 151.
  • 152.
    Blood Supply tothe Liver • Afferent BVs travel within the CT of the lesser omentum and converge at the porta hepatis (‘doorway to the liver’) • Hepatic artery proper and the hepatic portal vein deliver blood to the liver - blood returns to the systemic circuit through the hepatic veins that open into the inferior vena cava - the arterial supply provides oxygenated blood and the hepatic portal vein supplies nutrients and other chemicals absorbed from the liver
  • 153.
    Figure 25.20 Copyright ©2009 Pearson Education, Inc., publishing as Pearson Benjamin Cummings
  • 154.
    Fig 25.20 The classicaldescription of the 4 lobes was based on the superficial topography of the liver New terminology subdivides the lobes into segments based on the major subdivisions of the hepatic artery, portal vein, and hepatic ducts
  • 155.
    Liver Lobules • Eachlobe is divided by CT into ~100,000 liver lobules – basic functional units of the liver - hepatocytes form a series of plates (like spokes around a wheel), each plate is only 1 cell thick - exposed heptocyte surfaces are covered with short microvilli - sinusoids between adjacent plates empty into the central vein - sinusoidal lining includes a large number of Kupffer (stellate reticuloendothelial) cells, part of the monocytemacrophage system - Kupffer cells engulf pathogens, cell debris, damaged blood cells and also any heavy metals (tin and mercury)
  • 156.
    • Blood entersliver sinusoids from small branches - 6 portal areas, or hepatic triads, one at each of the 6 corners of the lobule; contains 3 structures: 1) a branch of the hepatic portal vein 2) a branch of the hepatic artery proper 3) a small branch of the bile duct - as blood flows through the sinusoids, hepatocytes absorb and secrete materials into the bloodstream - blood then leaves the sinusoids and enters the central vein of the lobule - central veins merge to form the hepatic veins that empty into the inferior vena cava
  • 157.
    CELL TYPES &ARRANGEMENT OF LIVER Fenestrated Endothelial cells with gut endotoxins & other bad stuff SINUSOID Reticular fiber Hepatocytes in plates Tight junctions Microvilli Kupffer cell deals Bile canaliculus STELLATE CELL makes collagen fibrils & ECM materials SPACE OF DISSE has ECM materials, but no distinct basal lamina
  • 158.
    Liver Histology Figure 25.21 Copyright© 2009 Pearson Education, Inc., publishing as Pearson Benjamin Cummings
  • 159.
    Liver Histology Figure 25.21 Copyright© 2009 Pearson Education, Inc., publishing as Pearson Benjamin Cummings
  • 162.
    Bile Secretion andTransport • Bile is secreted into a network of narrow channels called bile canaliculi - canaliculi eventually connect with fine bile ductules that carry bile to a bile duct in the nearest portal area • Right and left hepatic ducts collect bile from all of the bile ducts of the liver lobes - ducts unite to form the common hepatic duct that leaves the liver - bile within the common hepatic duct may either 1) flow into the common bile duct that empties into the duodenum 2) enter the cystic duct that leads to the gallbladder
  • 163.
    Bile • 1. isa detergent • 2. emulsification of fats • Produced continuously at slow rate • Secretion increased in response to: vagus nerve – psychic and gastric phases secretin – from the duodenum during intestinal phase
  • 164.
    Physiology of theLiver 1. carbohydrate metabolism a. glycogenesis b. glycogenolysis c. gluconeogenesis 2. lipid metabolism 4. detoxification 5. synthesis and excretion of bile 6. storage 7. phagocytosis of RBCs 8. activation of vitamin D 3. protein metabolism a. deamination (-NH2) b. urea formation c. plasma protein production
  • 165.
    Gallbladder • • • • • • 1. 2. 3. 4. 5. 6. anatomy rugae cystic duct stores/concentrates bile sphincterof Oddi CCK Biliary Tract • • • • • • common hepatic duct + cystic duct = common bile duct + main pancreatic duct = ampulla of Vater sphincter of Oddi
  • 166.
    The Gallbladder • Hollowpear-shaped muscular sac - stores and concentrates bile before - its excretion into the small intestine - located in a fossa in the visceral surface of the right lobe • Divided into 3 regions: fundus, body, and neck - the cystic duct leads from the gallbladder toward the porta hepatis, where the common hepatic duct and cystic duct unite to create the common bile duct - at the duodenum, a muscular hepatopancreatic sphincter (sphincter of Oddi) surrounds the common bile duct, contraction seals off the passageway, prevents bile from entering the small intestine
  • 167.
    The Gallbladder and AssociatedBile Ducts Figure 25.22 Copyright © 2009 Pearson Education, Inc., publishing as Pearson Benjamin Cummings
  • 168.
    • The gallbladderhas 2 major functions – bile storage and bile modification - when the hepatopancreatic sphincter is closed, bile enters the cystic duct - in the interim bile enters the cystic duct for storage - at capacity contains 40-70 ml of bile - composition gradually changes: water is absorbed, bile salts and other components become more concentrated - bile ejection occurs under stimulation of the hormone cholecystokinin (CCK) - CCK released into the bloodstream at the duodenum, when chyme arrives with large amounts of lipid and partially digested proteins - CCK causes relaxation of the hepatopancreatic sphincter and contraction of the gallbladder
  • 169.
    Regulation of BileSecretion REGULATION OF BILE SECRETION acid chyme in duodenum enteroendocrine cells stimulated cholecystokinin secretion gallbladder contraction relaxation of sphincter of Oddi release of bile into duodenum
  • 170.
    The Pancreas • Liesposterior to the stomach, extends laterally from the duodenum toward the spleen - about 15 cm long, about 80 g (3 oz) and divided into 3 regions: broad head, slender body, short-blunted tail - thin transparent CT capsule wraps the pancreas • Primarily an exocrine organ – produces digestive enzymes and buffers - large pancreatic duct (duct of Wirsung) delivers secretions to the duodenal ampulla - small accessory pancreatic duct (duct of Santorini) empties into the duodenum at the lesser duodenal papilla
  • 171.
    Pancreas • • • • • • 1. 2. 3. 4. 5. 6. gross anatomy main pancreaticduct hepatopancreatic ampulla accessory pancreatic duct 99% exocrine 1% endocrine
  • 172.
    Pancreatic Juice • • • • • 1. 2. 3. 4. 5. sodium bicarbonate(NaHCO3) pancreatic amylase pancreatic lipase and cholesterol esterase nucleases -- DNAse and RNAse protein-digesting enzymes a. trypsinogen (inactive) b. chymotrypsinogen (inactive) c. procarboxypeptidase (inactive)
  • 173.
    Pancreatic Regulation-Neural Control andEndocrine Control • 1. vagus nerve • 2. CCK = enzymes • 3. secretin = NaHCO3
  • 174.
    Pancreatic Regulation NEURAL CONTROL psychicstimuli stretch of stomach increased parasympathetic impulses via vagus nerve increased pancreatic secretion ENDOCRINE CONTROL acid chyme in duodenum enteroendocrine cells stimulated increased secretin increased cholecystokinin increased secretion of bicarbonate ions increased secretion of enzymes
  • 175.
    Figure 25.23 • Arterialblood reaches the pancreas through branches of the splenic, superior mesenteric and common hepatic arteries. • Major branches include the pancreatic arteries and the pancreaticoduodenal arteries ( superior and inferior) • Splenic vein and its branches drain the pancreas
  • 176.
    Histology of thePancreas • Partitions of CT divide pancreatic tissue into lobules - BVs and tributaries of the pancreatic ducts are found within these CT septa • Pancreas is a compound tubuloacinar gland - within each lobule, ducts branch repeatedly before ending in pancreatic acini - a pancreatic acinus is lined by simple cuboidal epithelium, secretes a mixture of water, ions, and digestive enzymes (pancreatic juice) into the duodenum - pancreatic ducts secrete buffers (1° sodium bicarbonate) important in neutralizing the acid in chyme and stabilizing pH - pancreatic islets are scattered between the acini, account for only ~1% of the cellular population
  • 177.
    Pancreatic enzymes classified accordingto their intended targets • Lipases digest lipids • Carbodhydrases such as pancreatic amylase digest sugars and starches • Nucleases attack nucleic acids • Proteolytic enzymes break proteins apart such as proteinases (large protein complexes) and peptidases (small peptide chains) Figure 25.23 Copyright © 2009 Pearson Education, Inc., publishing as Pearson Benjamin Cummings
  • 178.
    Regulation of PancreaticSecretion • Occurs primarily in response to hormonal instructions from the duodenum - the hormone secretin is released when acidic chyme arrives in the small intestine - secretin triggers the production of watery pancreatic juice containing buffers especially sodium bicarbonate - a duodenal hormone, cholecystokinin, stimulates the production and secretion of pancreatic enzymes
  • 182.
    Aging and theDigestive System • Rate of epithelial stem cell division declines • Smooth muscle tone decreases • The effects of cumulative damage become apparent • Cancer rates increase • Changes in other systems have direct of indirect effects on the digestive system