MIDDLE MEDIASTINAL
MASSES
The middle mediastinum is bounded
• Anteriorly by the pericardium
• Posteriorly by the pericardium and posterior tracheal wall
• Superiorly by the thoracic inlet
• Inferiorly by the diaphragm.
Its contents include
•the heart and pericardium
•the ascending and transverse aorta
•the superior vena cava (SVC)
•inferior vena cava (IVC)
•the brachiocephalic vessels
•the pulmonary vessels
•the trachea and main bronch;
•lymph nodes
•the phrenic, vagus, and left recurrent laryngeal nerves
Masses in children
• Lymphadenopathy
• Fore gut duplication cysts
• bronchogenic cysts
• oesophageal duplication cysts
• neurenteric cysts
• Cystic hygroma
• Hiatus hernia
• Achalasia
Masses in adults
• Lymph nodes
• Carcinoma of bronchus
• Bronchogenic cyst
• Aneurysm
Bronchogenic cyst
• Round or oval, unilocular water density mass. It may
cause airway obstruction and secondary infection.
Communication with air way resulting in cavity is rare.
Oesophageal duplication cyst
• Less common than bronchogenic cyst.
• Usually larger and to the right of midline.
• May contain ectopic gastric mucosa, which cause
ulceration, haemorrhage or perforation.
ANEURYSM OF THORACIC AORTA
Widening of the mediastinum.
A round or oval soft tissue mass in any part of mediastinum
with a well defined outline.
Sometimes a peripheral rim of calcification
May also involve adjacent bones producing:
1. Pressure erosion of the sternum.
2. Anterior scalloping of one or two vertebral bodies
Presentation:
Chest pain radiating to back (dissecting).
Hoarseness of voice due to traction on recurrent laryngeal
Nerve.
Dysphagia.
CT findings
• Shows a dilated aorta containing a central lumen of blood
of high attenuation (80-100 H.U.) due to enhancement of
the blood pool with water soluble contrast medium (true).
• A peripheral layer of clot of lower attenuation which may
contain calcification (false lumen). The subintimal flap and
false lumen of a dissecting aneurysm can be
demonstrated by CT.
Knowledge of the local anatomy of an interrupted
mediastinal line is much more helpful in identifying a
possible alternative diagnosis.
Aortopulmonary Window
The aortopulmonary (AP) window is a middle mediastinal
space bounded
• Superiorly by the inferior margin of the aortic arch
• Inferiorly by the superior margin of the left pulmonary
artery
• Anteriorly by the posterior wall of the ascending aorta
• Posteriorly by the anterior wall of the descending aorta
• Medially by the trachea, left main bronchus, and
oesophagus
• Laterally by the left lung.
The AP window contains lymph nodes, the left recurrent
laryngeal nerve arising from the vagus nerve, the left
bronchial arteries, the ligamentum arteriosum, and fat.
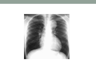
AP window reflection.
On a posteroanterior
chest radiograph, the
AP window reflection
(arrowhead) extends
from the aortic knob to
the left pulmonary
artery and has a
normal concave
appearance
An abnormal convex contour of the AP window
suggests a mediastinal abnormality, most
commonly lymphadenopathy although such a
contour may occasionally represent a normal
variant caused by the accumulation of fat.
Vascular abnormalities such as an aortic arch
aneurysm can also distort the AP window.
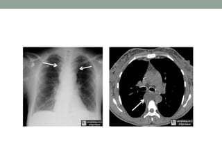
AP window
lymphadenopathy:
Chest radiograph
shows the AP window
with an abnormal
convex border
(arrow).
AP window
lymphadenopathy.
CT scan demonstrates
lymphadenopathy (arrow),
which accounts for the
distortion of the AP
window.
Aneurysm of the
aortic arch.
CT scan reveals an
aneurysm (arrow)
arising laterally from
the aortic arch, a
finding that accounts
for the abnormality.
Right Paratracheal Stripe
The right paratracheal stripe is seen projecting through the
SVC. It is formed by the trachea, mediastinal connective
tissue, and paratracheal pleura and is visible due to the
air–soft tissue interfaces on either side.
The right paratracheal stripe should be uniform in width,
with a normal width ranging from 1 to 4 mm, a right
paratracheal stripe 5 mm or more in width is considered
widened.
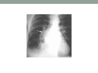
Posteroanterior chest
radiograph shows the right
paratracheal stripe (arrow).
CT scan shows the right
wall of the trachea with
medial and lateral air–soft
tissue interfaces caused
by air within the tracheal
lumen and right lung
(arrow). These interfaces
create the right
paratracheal stripe
On the PA film there is a
lobulated paratracheal
stripe on the right.
On the lateral radiograph
there is a density overlying
the ascending aorta and
filling the retrosternal
space.
These findings indicate a
mass in the anterior as
well as in the middle
mediastinum.
The CT confirms the presence of lymphomas in both the
anterior and the middle mediastinum.
Pitfalls in Assessing the Middle
Mediastinum
A variety of normal vascular variants may be mistaken for
middle mediastinal disease at chest radiography.
• A right-sided aortic arch, seen in 0.5% of the general
population , may mimic paratracheal lymphadenopathy
because it obliterates the right paratracheal stripe;
however, the absence of the aortic knuckle on the left
should help correctly identify this variant.
Right-sided aortic arch.
Posteroanterior chest
radiograph demonstrates an
abnormality in the right
paratracheal region (arrow) with
loss of the paratracheal stripe.
Note, however, the absence of
the aortic knuckle on the left.
CT scan shows a right-
sided aortic arch (arrow)
A left-sided SVC may create an additional mediastinal line
lateral to the aortic arch at radiography . This variant
courses anterior to the left hilum and drains into the
coronary sinus.
Left-sided SVC.
Posteroanterior chest
radiograph shows an
additional line (arrow)
lateral to the aortic arch.
Venogram
demonstrates a left-
sided SVC, which
explains the finding
CT scans obtained at
the levels of the aortic
arch.
CT scan at the level of
pulmonary trunk
show the left-sided
SVC (arrow), which
drains into the
coronary sinus.
Thanks

Middle mediastinal masses

  • 1.
  • 2.
    The middle mediastinumis bounded • Anteriorly by the pericardium • Posteriorly by the pericardium and posterior tracheal wall • Superiorly by the thoracic inlet • Inferiorly by the diaphragm.
  • 4.
    Its contents include •theheart and pericardium •the ascending and transverse aorta •the superior vena cava (SVC) •inferior vena cava (IVC) •the brachiocephalic vessels •the pulmonary vessels •the trachea and main bronch; •lymph nodes •the phrenic, vagus, and left recurrent laryngeal nerves
  • 5.
    Masses in children •Lymphadenopathy • Fore gut duplication cysts • bronchogenic cysts • oesophageal duplication cysts • neurenteric cysts • Cystic hygroma • Hiatus hernia • Achalasia
  • 6.
    Masses in adults •Lymph nodes • Carcinoma of bronchus • Bronchogenic cyst • Aneurysm
  • 7.
    Bronchogenic cyst • Roundor oval, unilocular water density mass. It may cause airway obstruction and secondary infection. Communication with air way resulting in cavity is rare.
  • 10.
    Oesophageal duplication cyst •Less common than bronchogenic cyst. • Usually larger and to the right of midline. • May contain ectopic gastric mucosa, which cause ulceration, haemorrhage or perforation.
  • 12.
    ANEURYSM OF THORACICAORTA Widening of the mediastinum. A round or oval soft tissue mass in any part of mediastinum with a well defined outline. Sometimes a peripheral rim of calcification May also involve adjacent bones producing: 1. Pressure erosion of the sternum. 2. Anterior scalloping of one or two vertebral bodies
  • 13.
    Presentation: Chest pain radiatingto back (dissecting). Hoarseness of voice due to traction on recurrent laryngeal Nerve. Dysphagia.
  • 14.
    CT findings • Showsa dilated aorta containing a central lumen of blood of high attenuation (80-100 H.U.) due to enhancement of the blood pool with water soluble contrast medium (true). • A peripheral layer of clot of lower attenuation which may contain calcification (false lumen). The subintimal flap and false lumen of a dissecting aneurysm can be demonstrated by CT.
  • 16.
    Knowledge of thelocal anatomy of an interrupted mediastinal line is much more helpful in identifying a possible alternative diagnosis.
  • 17.
    Aortopulmonary Window The aortopulmonary(AP) window is a middle mediastinal space bounded • Superiorly by the inferior margin of the aortic arch • Inferiorly by the superior margin of the left pulmonary artery • Anteriorly by the posterior wall of the ascending aorta • Posteriorly by the anterior wall of the descending aorta • Medially by the trachea, left main bronchus, and oesophagus • Laterally by the left lung.
  • 18.
    The AP windowcontains lymph nodes, the left recurrent laryngeal nerve arising from the vagus nerve, the left bronchial arteries, the ligamentum arteriosum, and fat.
  • 19.
    AP window reflection. Ona posteroanterior chest radiograph, the AP window reflection (arrowhead) extends from the aortic knob to the left pulmonary artery and has a normal concave appearance
  • 20.
    An abnormal convexcontour of the AP window suggests a mediastinal abnormality, most commonly lymphadenopathy although such a contour may occasionally represent a normal variant caused by the accumulation of fat. Vascular abnormalities such as an aortic arch aneurysm can also distort the AP window.
  • 21.
    AP window lymphadenopathy: Chest radiograph showsthe AP window with an abnormal convex border (arrow).
  • 22.
    AP window lymphadenopathy. CT scandemonstrates lymphadenopathy (arrow), which accounts for the distortion of the AP window.
  • 23.
    Aneurysm of the aorticarch. CT scan reveals an aneurysm (arrow) arising laterally from the aortic arch, a finding that accounts for the abnormality.
  • 24.
    Right Paratracheal Stripe Theright paratracheal stripe is seen projecting through the SVC. It is formed by the trachea, mediastinal connective tissue, and paratracheal pleura and is visible due to the air–soft tissue interfaces on either side.
  • 25.
    The right paratrachealstripe should be uniform in width, with a normal width ranging from 1 to 4 mm, a right paratracheal stripe 5 mm or more in width is considered widened.
  • 26.
    Posteroanterior chest radiograph showsthe right paratracheal stripe (arrow).
  • 27.
    CT scan showsthe right wall of the trachea with medial and lateral air–soft tissue interfaces caused by air within the tracheal lumen and right lung (arrow). These interfaces create the right paratracheal stripe
  • 28.
    On the PAfilm there is a lobulated paratracheal stripe on the right. On the lateral radiograph there is a density overlying the ascending aorta and filling the retrosternal space. These findings indicate a mass in the anterior as well as in the middle mediastinum.
  • 29.
    The CT confirmsthe presence of lymphomas in both the anterior and the middle mediastinum.
  • 30.
    Pitfalls in Assessingthe Middle Mediastinum A variety of normal vascular variants may be mistaken for middle mediastinal disease at chest radiography.
  • 31.
    • A right-sidedaortic arch, seen in 0.5% of the general population , may mimic paratracheal lymphadenopathy because it obliterates the right paratracheal stripe; however, the absence of the aortic knuckle on the left should help correctly identify this variant.
  • 32.
    Right-sided aortic arch. Posteroanteriorchest radiograph demonstrates an abnormality in the right paratracheal region (arrow) with loss of the paratracheal stripe. Note, however, the absence of the aortic knuckle on the left.
  • 33.
    CT scan showsa right- sided aortic arch (arrow)
  • 34.
    A left-sided SVCmay create an additional mediastinal line lateral to the aortic arch at radiography . This variant courses anterior to the left hilum and drains into the coronary sinus.
  • 35.
    Left-sided SVC. Posteroanterior chest radiographshows an additional line (arrow) lateral to the aortic arch.
  • 36.
    Venogram demonstrates a left- sidedSVC, which explains the finding
  • 37.
    CT scans obtainedat the levels of the aortic arch.
  • 38.
    CT scan atthe level of pulmonary trunk show the left-sided SVC (arrow), which drains into the coronary sinus.
  • 39.