Dr. Ameen Rageh
What is RECIST?
 RECIST (Response Evaluation Criteria In Solid
Tumors) is a set of published rules that define
when cancer patients improve ("respond"), stay
the same ("stable") or worsen ("progression")
during treatments.
 RECIST 1.1, published in January 2009, is an
update to the original criteria.Today, the
majority of clinical trials evaluating cancer
treatments for objective response in solid
tumors are using RECIST.
http://www.irrecist.com/recist/recist-in-practice/01.html
History
Update
Development
Specifications for standard
anatomical radiological imaging.
Measurability of tumour at baseline.
Tumour response evaluation.
Limitations.
Specifications
for standard
anatomical
radiological
imaging
Modalities
Most critical CT image acquisition
parameters
Modalities
Standardization of imaging requirements and image
acquisition parameters.
 X-ray chest- not recommended
 Ultrasound - should not be used
 CT with contrast is ideal
 MRI remains a complex issue: (IF IT USED AS A
BASE LINE IMAGINGTECHNIQUETHE IT MUST
TO BE USED IN FOLLOW UPWITHTHE SAME
TYPE OF SCANNER SHOULD BE USED ANDTHE
IMAGE ACQUISITION PROTOCOL SHOULD BE
FOLLOWEDAS CLOSELYAS POSSIBLETO PRIOR
SCANS)
Most critical
CT image
acquisition
parameters
 Anatomic Coverage.
 Contrast Administration.
 SliceThickness.
 Reconstruction Interval.
Anatomic
Coverage.
 Optimal anatomic coverage for most solid tumours is the
chest, abdomen and pelvis.
 Additionally investigate areas that may be involved based
on signs and symptoms of individual patients.
IV contrast
administration
 Dose and rate as well as timing of scanning should be standardized
 Recommend triphasic CT for hepatocellular and neuroendocrine
tumors
 If contraindication present (think of using non contrst or MRI), should
be guided by the tumour type under investigation and the anatomic
location of the disease.
Slice thickness
and
reconstruction
interval
recommended that CT scans be
performed at 5 mm contiguous slice
thickness.
Variations in slice thickness can have an
impact on lesion measurement and on
detection of new lesions.
If reconstruction is used it should be
Isotropic
INSUMMARY
 Modality Should allow an accurate comparison of size and number
of lesions
 Standardization of protocol.
 CT is the preferred, MRI an alternative.
 ≤ 5 mm slice thickness.
 Use contrast (if there is no contraindication).
 If contraindication present (think of using non contrst or
MRI).
 Follow up with the same modality.
 Use the same imaging protocol.
 Image the same part of body.
??????
Measurability
of tumour at
baseline
At baseline, tumour lesions/lymph nodes will be
categorized measurable or non-measurable
 Definitions:
 Measurable lesions:
 Target and non target lesions
 Non-measurable lesions.
 Special considerations regarding lesion measurability.
 How to measure?
 How/which, what to document?
Measurable
Tumour lesions:
 Must be accurately measured in at least one dimension
(longest diameter in the plane of measurement is to be
recorded) with a minimum size of 10 mm by CT scan.
Malignant lymph nodes:
 To be considered pathologically enlarged and measurable, a
lymph node must be ≥15 mm in short axis when assessed by
CT scan.
(CT scan slice thickness no greater than5 mm)
Target lesions
Any lesions/lymph nodes meet the
measurable criteria
Not more than 5 lesions
Not more than 2 lesion per organ

Non target
lesions
Other measurable lesion that are not
selected are consider non target lesions
Other non-measurable lesions
Lymph node ≥10 -≤14mm (not normal
node that <10 mm)
Non-
measurable
 Small lesions (longest diameter <10 mm)
 Pathological lymph nodes with ≥10 to ≤15 mm (short axis)
 Non-measurable lesions :
leptomeningeal disease, ascites, pleural or pericardial
effusion, inflammatory breast disease, lymphangitic
involvement of skin or lung, abdominal masses/abdominal
organomegaly identified by physical exam that is not
measurable by reproducible imaging techniques. .
Special
considerations
Bone lesions.
Cystic lesions.
Lesions previously treated with local
therapy.
Special
considerations
Bone lesions:
 Bone scan, PET scan or plain films are not considered adequate
imaging techniques to measure bone lesions. But can be used to
confirm the presence or disappearance of bone lesions.
 Lytic bone lesions or mixed lytic-blastic lesions:
measurable lesions if the soft tissue component PRESENT AND
meets the definition of measurability described above.
 Blastic bone lesions are non-measurable
Special
considerations
Cystic lesions:
 Simple cysts should not be considered as malignant
lesions
(neither measurable nor non-measurable)
 If noncystic lesions (i.e solid )are present in the same
patient, these are preferred for selection as target
lesions.
 Cystic lesions’ thought to represent cystic metastases
can
be considered as measurable lesions, if they meet the
definition of measurability described above.
Lesions with
prior local
treatment.
 Tumour lesions situated in a previously irradiated area.
 In an area subjected to other loco-regional therapy.
 Are usually not considered measurable unless there
has been demonstrated progression in the lesion.
How to measure?
Lesions:
Lesions:
 Longest diameter of selected lesions should be
measured in the plane in which the images
were acquired.
 i.e CT IN AXIAL, MRI ON SELECED PLANE
 In CT other plane can be use if isotropic
reconstructions used.
Target Measurement Rules
 Do not measure lesions across normal, non-tumor tissue
How to measure?
Lesions:
Variable Enhancement
 Include the hypervascular “enhancing rim”, if present, in
the longest diameter measurement. Measure the longest
diameter irrespective of a central necrosis.
How to measure?
Lesions:
Use the proper window/window sitting
How to measure?
Lesions:
Lymph node
First find and measure the long diameter. Draw a line
perpendicular to it (this is the short axis)
How to measure?
Lymph nodes
How to measure?
 Too Small to Measure:
 All target lesions (nodal and non-nodal) recorded at baseline
should have their actual measurements recorded at each
subsequent evaluation, even when very small (e.g. 2 mm)
 However, if target lesions or lymph nodes become so faint on
CT scan that the radiologist may not feel comfortable
assigning an exact measure and may report them as being
‘too small to measure’ and a default value of 5 mm should
be assigned.
Measuring in
follow up.
 Use the same plane of evaluation, however take the larges
diameter even if the orientation has changed
Measuring in
follow up.
 Splitting Lesions:
 If a target lesion separates, measure the longest diameter of each lesion
separately.
The individual longest diameters of all the resulting lesions shall contribute
to the sum of diameters (SOD)
Measuring in
follow up.
 Merging Lesions:
 If target lesions become confluent, calculate the longest diameter
of the resulting lesion
The resulting longest diameter accounts for the contribution of ALL
involved target lesions to the sum of diameters (SOD)
Measuring in
follow up.
Lung Lesion develops cavity
 Continue measuring target lesions in their longest diameter,
even when they develop central cavities or necrosis.
How/which/
and what to
document?
 The date, the protocol/plane of measurement must be
documented.
 Do not necessarily select the largest lesions as targets.
 Lesions should be those that lend themselves to
reproducible repeated measurements
 Sum of the diameters (longest for non-nodal lesions, short
axis for nodal lesions) for all target lesions will be calculated
and reported as the baseline sum diameters.
 All other lesions (or sites of disease) including pathological
lymph nodes should be identified as non-target lesions and
should also be recorded at baseline. Measurements are not
required and these lesions should be followed as ‘present’,
‘absent’, or in rare cases ‘unequivocal progression.
 It is possible to record multiple nontarget lesions involving the
same organ as a single item on the case record form (e.g.
‘multiple enlarged pelvic lymph nodes’ or ‘multiple liver
metastases’).
Reproducible
repeated
measurements
Examples of
how to
report?
Tumour response
evaluation
Response criteria
Evaluation of target lesions
Evaluation of non-target lesions
New lesions
Evaluation of
target lesions
 Complete Response (CR)
 Partial response (PR)
 Stable disease (SD)
 Progressive disease (PD)
RECIST Criteria for Categorizing Response of target
Lesions
Evaluation of
non-target
lesions
Complete response (CR)
Non complete response or non-progressive
disease (non-CR/non- PD)
Progressive disease (PD)
RECIST Criteria for Categorizing Response of Nontarget
Lesions
NEW LESIONS
The appearance of new malignant lesions
denotes disease progression; therefore, some
comments on detection of new lesions are
important.
Finding of a new lesion should be unequivocal:
i.e. not attributable to differences in scanning
technique, change in imaging modality or
findings thought to represent something other
than tumor.This is particularly important when
patient’s baseline lesions show PR or CR
When in doubt, subsequent timepoint should be
evaluated
Lesion seen in anatomical region which was not
imaged at baseline = new lesion
IMPORTAT
POINTS
Repapering of Disappearing lesions:
 It should continue to be measured
 Response depend on other lesions
 If patient reached a CR status and the lesion reappeared,
then the patient would be considered PD at the time of
reappearance.
 If the patient status was a PR or SD and one lesion which
had disappeared then reappears, its maximal diameter
should be added to the sum of the remaining lesions for a
calculated response (i.e. IS NOT CONSEDER PD BY IT SELF)
it requires the sum of all lesions to meet the PD criteria).
IMPORTAT
POINTS
Unequivocal progression of existing non-target lesions
defined as:
 Overall level of substantial worsening in non-target disease
 Such that, even in presence of SD or PR in target disease, the
overall tumor burden has increased sufficiently to merit
discontinuation of therapy.
 In the absence of measurable disease, change in non-
measurable disease comparable in magnitude to the increase
that would be required to declare PD for measurable disease.
 Examples include an increase in a pleural effusion from ‘trace’
to ‘large’, an increase in lymphangitic disease from localized to
widespread.
Evaluation of
response
Time point response
Missing assessments and invaluable
designation
Time point
response
 That at each protocol specified time point, a response
assessment occurs
Time point
response
Missing
assessments
and invaluable
designation
 When no imaging/measurement is done at all at a
particular time point, the patient is not evaluable (NE)
at that time point
 Only a subset of lesion measurements are made at an
assessment
Limitations
RECIST 1.1 Not used for:
HCC (use mRECIST response criteria).
GIST (use Choi response criteria).
Lymphoma (use Cheson Response
Criteria).
Mesothelioma.
RECIST is simple. Using RECIST is not.

New response evaluation criteria in solid tumours

  • 1.
  • 2.
    What is RECIST? RECIST (Response Evaluation Criteria In Solid Tumors) is a set of published rules that define when cancer patients improve ("respond"), stay the same ("stable") or worsen ("progression") during treatments.  RECIST 1.1, published in January 2009, is an update to the original criteria.Today, the majority of clinical trials evaluating cancer treatments for objective response in solid tumors are using RECIST.
  • 3.
  • 4.
  • 7.
    Specifications for standard anatomicalradiological imaging. Measurability of tumour at baseline. Tumour response evaluation. Limitations.
  • 8.
  • 9.
    Modalities Standardization of imagingrequirements and image acquisition parameters.  X-ray chest- not recommended  Ultrasound - should not be used  CT with contrast is ideal  MRI remains a complex issue: (IF IT USED AS A BASE LINE IMAGINGTECHNIQUETHE IT MUST TO BE USED IN FOLLOW UPWITHTHE SAME TYPE OF SCANNER SHOULD BE USED ANDTHE IMAGE ACQUISITION PROTOCOL SHOULD BE FOLLOWEDAS CLOSELYAS POSSIBLETO PRIOR SCANS)
  • 10.
    Most critical CT image acquisition parameters Anatomic Coverage.  Contrast Administration.  SliceThickness.  Reconstruction Interval.
  • 11.
    Anatomic Coverage.  Optimal anatomiccoverage for most solid tumours is the chest, abdomen and pelvis.  Additionally investigate areas that may be involved based on signs and symptoms of individual patients.
  • 12.
    IV contrast administration  Doseand rate as well as timing of scanning should be standardized  Recommend triphasic CT for hepatocellular and neuroendocrine tumors  If contraindication present (think of using non contrst or MRI), should be guided by the tumour type under investigation and the anatomic location of the disease.
  • 14.
    Slice thickness and reconstruction interval recommended thatCT scans be performed at 5 mm contiguous slice thickness. Variations in slice thickness can have an impact on lesion measurement and on detection of new lesions. If reconstruction is used it should be Isotropic
  • 16.
    INSUMMARY  Modality Shouldallow an accurate comparison of size and number of lesions  Standardization of protocol.  CT is the preferred, MRI an alternative.  ≤ 5 mm slice thickness.  Use contrast (if there is no contraindication).  If contraindication present (think of using non contrst or MRI).  Follow up with the same modality.  Use the same imaging protocol.  Image the same part of body.
  • 17.
  • 19.
    Measurability of tumour at baseline Atbaseline, tumour lesions/lymph nodes will be categorized measurable or non-measurable  Definitions:  Measurable lesions:  Target and non target lesions  Non-measurable lesions.  Special considerations regarding lesion measurability.  How to measure?  How/which, what to document?
  • 20.
    Measurable Tumour lesions:  Mustbe accurately measured in at least one dimension (longest diameter in the plane of measurement is to be recorded) with a minimum size of 10 mm by CT scan. Malignant lymph nodes:  To be considered pathologically enlarged and measurable, a lymph node must be ≥15 mm in short axis when assessed by CT scan. (CT scan slice thickness no greater than5 mm)
  • 21.
    Target lesions Any lesions/lymphnodes meet the measurable criteria Not more than 5 lesions Not more than 2 lesion per organ 
  • 22.
    Non target lesions Other measurablelesion that are not selected are consider non target lesions Other non-measurable lesions Lymph node ≥10 -≤14mm (not normal node that <10 mm)
  • 23.
    Non- measurable  Small lesions(longest diameter <10 mm)  Pathological lymph nodes with ≥10 to ≤15 mm (short axis)  Non-measurable lesions : leptomeningeal disease, ascites, pleural or pericardial effusion, inflammatory breast disease, lymphangitic involvement of skin or lung, abdominal masses/abdominal organomegaly identified by physical exam that is not measurable by reproducible imaging techniques. .
  • 25.
  • 26.
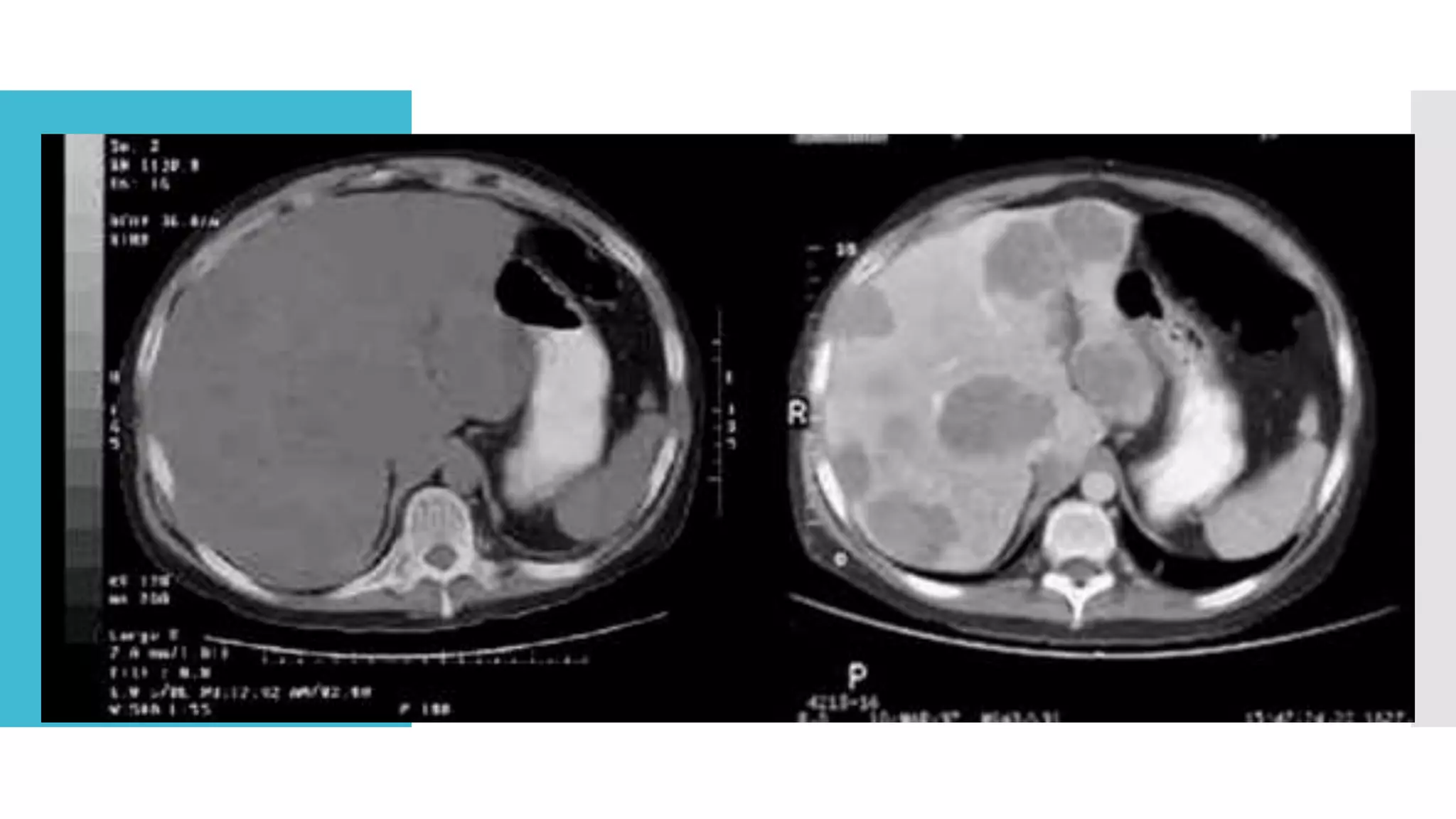
    Special considerations Bone lesions:  Bonescan, PET scan or plain films are not considered adequate imaging techniques to measure bone lesions. But can be used to confirm the presence or disappearance of bone lesions.  Lytic bone lesions or mixed lytic-blastic lesions: measurable lesions if the soft tissue component PRESENT AND meets the definition of measurability described above.  Blastic bone lesions are non-measurable
  • 27.
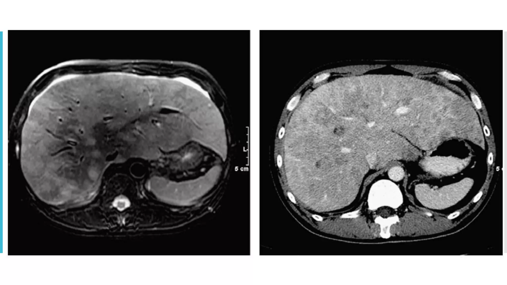
    Special considerations Cystic lesions:  Simplecysts should not be considered as malignant lesions (neither measurable nor non-measurable)  If noncystic lesions (i.e solid )are present in the same patient, these are preferred for selection as target lesions.  Cystic lesions’ thought to represent cystic metastases can be considered as measurable lesions, if they meet the definition of measurability described above.
  • 28.
    Lesions with prior local treatment. Tumour lesions situated in a previously irradiated area.  In an area subjected to other loco-regional therapy.  Are usually not considered measurable unless there has been demonstrated progression in the lesion.
  • 29.
    How to measure? Lesions: Lesions: Longest diameter of selected lesions should be measured in the plane in which the images were acquired.  i.e CT IN AXIAL, MRI ON SELECED PLANE  In CT other plane can be use if isotropic reconstructions used.
  • 30.
    Target Measurement Rules Do not measure lesions across normal, non-tumor tissue How to measure? Lesions:
  • 31.
    Variable Enhancement  Includethe hypervascular “enhancing rim”, if present, in the longest diameter measurement. Measure the longest diameter irrespective of a central necrosis. How to measure? Lesions:
  • 32.
    Use the properwindow/window sitting How to measure? Lesions:
  • 34.
    Lymph node First findand measure the long diameter. Draw a line perpendicular to it (this is the short axis) How to measure? Lymph nodes
  • 35.
    How to measure? Too Small to Measure:  All target lesions (nodal and non-nodal) recorded at baseline should have their actual measurements recorded at each subsequent evaluation, even when very small (e.g. 2 mm)  However, if target lesions or lymph nodes become so faint on CT scan that the radiologist may not feel comfortable assigning an exact measure and may report them as being ‘too small to measure’ and a default value of 5 mm should be assigned.
  • 36.
    Measuring in follow up. Use the same plane of evaluation, however take the larges diameter even if the orientation has changed
  • 37.
    Measuring in follow up. Splitting Lesions:  If a target lesion separates, measure the longest diameter of each lesion separately. The individual longest diameters of all the resulting lesions shall contribute to the sum of diameters (SOD)
  • 38.
    Measuring in follow up. Merging Lesions:  If target lesions become confluent, calculate the longest diameter of the resulting lesion The resulting longest diameter accounts for the contribution of ALL involved target lesions to the sum of diameters (SOD)
  • 40.
    Measuring in follow up. LungLesion develops cavity  Continue measuring target lesions in their longest diameter, even when they develop central cavities or necrosis.
  • 41.
    How/which/ and what to document? The date, the protocol/plane of measurement must be documented.  Do not necessarily select the largest lesions as targets.  Lesions should be those that lend themselves to reproducible repeated measurements  Sum of the diameters (longest for non-nodal lesions, short axis for nodal lesions) for all target lesions will be calculated and reported as the baseline sum diameters.  All other lesions (or sites of disease) including pathological lymph nodes should be identified as non-target lesions and should also be recorded at baseline. Measurements are not required and these lesions should be followed as ‘present’, ‘absent’, or in rare cases ‘unequivocal progression.  It is possible to record multiple nontarget lesions involving the same organ as a single item on the case record form (e.g. ‘multiple enlarged pelvic lymph nodes’ or ‘multiple liver metastases’).
  • 42.
  • 45.
  • 46.
    Tumour response evaluation Response criteria Evaluationof target lesions Evaluation of non-target lesions New lesions
  • 47.
    Evaluation of target lesions Complete Response (CR)  Partial response (PR)  Stable disease (SD)  Progressive disease (PD)
  • 48.
    RECIST Criteria forCategorizing Response of target Lesions
  • 49.
    Evaluation of non-target lesions Complete response(CR) Non complete response or non-progressive disease (non-CR/non- PD) Progressive disease (PD)
  • 50.
    RECIST Criteria forCategorizing Response of Nontarget Lesions
  • 52.
    NEW LESIONS The appearanceof new malignant lesions denotes disease progression; therefore, some comments on detection of new lesions are important. Finding of a new lesion should be unequivocal: i.e. not attributable to differences in scanning technique, change in imaging modality or findings thought to represent something other than tumor.This is particularly important when patient’s baseline lesions show PR or CR When in doubt, subsequent timepoint should be evaluated Lesion seen in anatomical region which was not imaged at baseline = new lesion
  • 53.
    IMPORTAT POINTS Repapering of Disappearinglesions:  It should continue to be measured  Response depend on other lesions  If patient reached a CR status and the lesion reappeared, then the patient would be considered PD at the time of reappearance.  If the patient status was a PR or SD and one lesion which had disappeared then reappears, its maximal diameter should be added to the sum of the remaining lesions for a calculated response (i.e. IS NOT CONSEDER PD BY IT SELF) it requires the sum of all lesions to meet the PD criteria).
  • 54.
    IMPORTAT POINTS Unequivocal progression ofexisting non-target lesions defined as:  Overall level of substantial worsening in non-target disease  Such that, even in presence of SD or PR in target disease, the overall tumor burden has increased sufficiently to merit discontinuation of therapy.  In the absence of measurable disease, change in non- measurable disease comparable in magnitude to the increase that would be required to declare PD for measurable disease.  Examples include an increase in a pleural effusion from ‘trace’ to ‘large’, an increase in lymphangitic disease from localized to widespread.
  • 58.
    Evaluation of response Time pointresponse Missing assessments and invaluable designation
  • 59.
    Time point response  Thatat each protocol specified time point, a response assessment occurs
  • 60.
  • 61.
    Missing assessments and invaluable designation  Whenno imaging/measurement is done at all at a particular time point, the patient is not evaluable (NE) at that time point  Only a subset of lesion measurements are made at an assessment
  • 62.
    Limitations RECIST 1.1 Notused for: HCC (use mRECIST response criteria). GIST (use Choi response criteria). Lymphoma (use Cheson Response Criteria). Mesothelioma.
  • 63.
    RECIST is simple.Using RECIST is not.

Editor's Notes

  • #53 An example of this is the patient who has visceral disease at baseline and while on study has a CTor MRI brain ordered which reveals metastases. The patient’s brain metastases are considered to be evidence of PD even if he/she did not have brain imaging at baseline.