VIJESH VIJAYAN
2008 MBBS
TB IS CALLED AS “WHITE PLAGUE’’ OR
”CAPTAIN OF ALL MEN OF DEATH”
 SPINE IS THE COMMONST SITE OF BONE AND
JOINT TB
 UPPER THORACIC SPINE – IN CHILDREN
 LOWER THORACIC AND - IN ADULTS
UPPER LUMBAR
EPIDEMIOLOGY
 1/3 RD OF WORLD POPULATION HARBOUR TB
INFECTION
 INDIA IS ONE OF THE WORST AFFECTED
COUNTRIES
 ONE PERSON PER MINUTE DIE OF TB IN INDIA
TB IS AN ANCIENT DISEASE
EVIDENCE OF SPINAL TB HAS BEEN
FOUND IN SOME EGYPTIAN
MUMMIES
 BONES & JOINTS ARE THE 4TH COMMONST SITE
OF EXTRA PULMONARY TB
 CONSTITUTE ~10% OF EXTRA PULMONARY TB
 WEIGHT BEARING JOINTS ARE MOST AFFECTED
SPINE : 40%
HIPS : 13%
KNEES : 10%
PATHOLOGY
 TB SPINE IS ALWAYS SECONDARY
 REACTIVATION OF HEMATOGENOUS FOCI OR
SPREAD FROM PARAVERTEBRAL LYMPH NODE
 HEMATOGENOUS SPREAD VIA PARAVERTEBRAL
VENOUS PLEXUS OF BATESON
 RESPONSE WILL BE EITHER PROLIFERATIVE
OR EXUDATIVE
 PROLIFERATIVE: C/C GRANULOMA WITH FIBROSIS
 EXUDATIVE : NON REACTIVE, WIDE CAESEATION
NECROSIS, IN IMMUNOCOMPROMISED
TB GRANULOMA
TYPES OF VERTEBRAL TB
 1. PARADISCAL - COMMONST , CONTIGOUS AREA
OF TWO ADJACENT VERTEBRA ALONG WITH
INTER VERTEBRAL DISC IS AFFECTED
 2. CENTRAL -BODY OF SINGLE VERTEBRA ,
NEARBY DISC MAY BE NORMAL
 3. ANTERIOR-ANTERIOR PART OF THE BODY
 4. POSTERIOR- POSTERIOR COMPLEX (PEDICLE ,
LAMINA , SPINOUS PROCESS OR TRANSVERSE
PROCESS) AFFECTED
AFTER EFFECT
 PARADISCAL : C/C GRANULOMATOUS
INFLAMMATION -> EROSION OF MARGINS OF
THE VERTEBRAE -> COMPROMISE OF NUTRITION
OF IV DISC-> DISC DEGN-> DESTRUCTION
 CENTRAL : WEAKENING OF TRABECULAE ->
COLLPSE OF VERTEBRAE
 ANTERIOR : INFN SPREAD UP OR DOWN UNDER
ANT. LONGI.LIGAMENT
 POSTERIOR : BONY DESTRUCTION CAN
COMPRESS THE CORD
COLD ABSCESS
 PUS & TRABECULAR DEBRIS OF DISEASED
VERTEBRA
 NOT ASSO. WITH USUAL SIGNS OF
INFLAMMATION - COLD ABSCESS
 NOTE: PUS CAN TRACK IN ANY DIRECTION
1.BACKWARDS : COMPRESS CORD
2. ANTERIORLY: PRE VERTEBRAL ABSCESS
3. SIDES : PARA VERTEBRAL ABSCESS
4.ALONG MUSCULOFASCIAL PLANES :
EX.PSOAS ABSCESS
HEALING
 OCCURS BY FIBROSIS
 IN THE SPINE BONY ANKYLOSIS FOLLOWS MORE
OFTEN
 LYTIC AREAS ARE REPLACED BY NEW BONE AND
ADJACENT VERTEBRA UNDERGO FUSION
CLINICAL FEATURES
 PRESENTATION VARIES FROM NON SPECIFIC
BACK ACHE TO CATASTROPHIC PARAPLEGIA
 COMPLAINTS:
PAIN
STIFFNESS
COLD ABSCESS ( IF EVIDENT EXTERNALLY)
PARAPLEGIA
DEFORMITY
CONSTITUTIONAL SYMPTOMS
PAIN
 BACKACHE : COMMON PRESENTING COMPLAINT
 INITIALLY DIFFUSE & LATE LOCALISED
 ‘RADICULAR PAIN’
 DEPENDING ON ROOT:
PAIN IN ARM – CERVICAL ROOTS
GIRDLE PAIN – DORSAL ROOTS
GROIN PAIN - LUMBAR ROOTS
COLD ABSCESS
 CERVICAL : RETROPHARYNGEAL / AT POST
BORDER OF STERNO MASTOID IN POST
TRIANGLE OF THE NECK / AT AXILLA
 THORACIC : MEDISTINAL / ANTERIOR CHEST
WALL ALON THE SPINAL NERVES
 LUMBAR : PRE VERTEBRAL SWELLING/ PSOAS
ABSCESS / ABSCESS PRESENTING AT GROIN
 STIFFNESS : EARLY SYMPTOM
PARAVERTEBRAL MUSCLES UNDERGO
SPASM
PARAPLEGIA
DEFORMITY – IN CHILDREN
CONSTITUTIONAL SYMPTOMS : FEVER , WEIGHT
LOSS
EXAMINATION
 SHOULD HAVE A HIGH INDEX OF SUSPICION
 AIMS : LOOK FOR FINDINGS OF TB SPINE
 LOCALISE SITE OF LESION
 DETECT COMPLICATIONS- COLD ABSCESS /
PARAPLEGIA
1. GAIT : SHORT STEPS
 2. ATTITUDE & DEFORMITY
 3. PARAVERTEBRAL SWELLING
 4. TENDERNESS ON THE AFFECTED SPINE
 5. REDUCED MOBILITY
DEFORMITY : GIBBUS
NEUROLOGICAL EXAMINATION
 AIMS: DETECT ANY COMPRESSION
LEVEL OF COMPRESSION
SEVERITY OF COMPRESSION
 LIMBS – UPPER OR LOWER BASED ON SITE
MOTOR , SENSORY , REFLEXES , BOWEL AND
BLADDER FUNCTIONS
GENERAL EXAMINATION
PHYSICAL EXAMINATION
SYSTEMIC ILLNESS : DM , HYPERTENSION
INVESTIGATIONS
 RADIOLOGY :
• X-RAY – SPECIFY THE LEVEL
• 2 VIEWS AP & LATERAL
• CHEST X-RAY
• X-RAY ABDOMEN
• KUB - IF PSOAS ABSCESS SUSPECTED
FINDINGS
 1. REDUCTION OF DISC SPACE- EARLY SIGN
• COMPARE WITH NORMAL
LATERAL X-RAY IS BETTER
IMPORTANCE : SECONDARIES TO
BONES USUALLY PRESERVE THE DISC
2. DESTRUCTION OF VERTEBRAL BODY
EROSIONS AND WEDGING
3. DEFORMITY : DEPEND ON THE NO.
OF VERTEBRA AFFECTED
BONE DESTRUCTION
 DESTRUCTION
OF THE BONE
COLD ABSCESS
 1. PARAVERTEBRAL ABSCESS : A SOFT TISSUE
SHADOW CORRESPONDING TO AFFECTED
VERTEBRA.
 WIDENED MEDIASTINUM
 RETROPHARYNGEAL ABSCESS
 PSOAS ABSCESS
RETROPHARYNGEAL ABSCESS
MEDISTINAL WIDENING
OTHER FINDINGS
 RAREFACTION : ABOVE AND BELOW AFFECTED
VERTEBRA
 OBLIQUE X RAY MAY SHOW POSTERIOR
COMPLEX INVOLVEMENT
 SIGNS OF HEALING : ADJACENT VERTEBRAE
UNDERGO FUSION
OTHERS
 CT : ACCURATE CONFIRMATIONS
 MRI : TO ASSES NEURAL STATUS
 MYELOGRAPHY : SUSPECTED SPINAL TUMOR
SYNDROME
 BIOPSY : CT GUIDED NEEDLE OR OPEN BIOPSY
 RETROPHARYNGEAL
SWELLING
CAN PRESENT AS
DYSPHAGIA
 PSOAS ABSCESS
 PSOAS ABSCESS
GENERAL INVESTIGATIONS
 ESR
 MANTOUX
 ELISA : ANTI TB ANTIBODY
 CHEST X RAY : FOR PULMONARY TB
D/D S
 BACK ACHE : 1. TRAUMATIC
• 2. SECONDARIES OR MYELOMA
• 3. PROLAPSED DISC
• 4.ANKYLOSING SPONDYLITIS
• NEUROLOGICAL
• SPINAL TUMOR
• TRAUMATIC
• SECONDARIES IN THE SPINE
TREATMENT
 PT SHOULD BE GIVEN A HIGH PROTEIN DIET
& GOOD ATMOSPHERE
1. MULTIDRUG THERAPY OF TB
2. REST TO THE SPINE : CHILDREN BODY CAST ,
COLLAR IF CERVICAL
3. MOBILISATION : ADVISED TO AVOID SPORTS
FOR TWO YEARS
RX COLD ABSCESS
 SMALLER ONES SUBSIDE WITH TB THERAPY
 IN SUPERFICIAL ABSCESSES :
 ASPIRATION : USING THICK NEEDLE
 EVACUATION
 PSOAS ABSCESS : EXTRAPERITONEALLY VIA KIDNEY
INCISCION
MRCB CONTROLLED TRIAL
 BED REST NOT NECESSARY
 STREPTOMYCIN NOT NECESSARY
 POP JACKETS PROVIDE NO BENEFIT
 DEBRIDEMENT IS NOT A GOOD OPERATION
COMPLICATIONS
 COLD ABSCESS
 NEUROLOGICAL COMPLICATIONS : PARAPLEGIA
20 % INCIDENCE
COMMON IN DORSAL SPINE TB
 CAUSES :
 INFLAMMATORY EDEMA
 EXTRADURAL PUS & GRANULATION TISSUE –
COMMOMN
 SEQUESTRA
 INTERNAL GIBBUS
 INFARCTION OF SPINAL CORD
 EXTRADURAL GRANULOMA
TYPES
 EARLY ONSET
 LATE ONSET
 C/F :
 EITHER A KNOWN TB OR NEUROLOGICAL
SYMPTOMS PRESENTING FOR THE 1ST TIME
 GRADUAL ONSET
 CLONUS – ANKLE OR PATELLAR – PROMINENT
PARALYSIS : STAGES
 1. MUSCLE WEAKNESS : SPASTICITY AND
INCORDINATION
 2. PARAPLEGIA IN EXTENSION
 3. PARAPLEGIA IN FLEXION
 COMPLETE FLACCID PARALYSIS
GRADES : GOEL (1967)
 BASIS IS EXTENT OF MOTOR INVOLVEMENT
 GRADE ONE : CLINICIAN DETECTS THE DEFECIT
 GRADE TWO : SYMPTOMATIC BUT MANAGES TO WALK
 GRADE THREE: UNABLE TO WALK
PARAPLEGIA IN EXTENSION
PARTIAL SENSORY LOSS
GRADE FOUR : UNABLE TO WALK
PARAPLEGIA IN EXTENSION
NEAR COMPLETE SENSORY LOSS
SPHINCTER DISTURBANCES
TREATMENT
 INVESTIGATIONS : CT & MRI ( INVESTIGATION
OF CHOICE)
 CONSERVATIVE : ANTI TB RX , REST TO SPINE ,
NEUROLOGICAL EXAMINATION TO ASSES Px
 SURGICAL :
 INDICATIONS : PARAPLEGIA IN CONSERVATIVE Rx
 SUDDEN ONSET SEVERE PARAPLEGIA
 SEVERE PARAPLEGIA : IN FLEXION, MOTOR / SENSORY
LOSS > 6 MONTHS OR COMPLETE MOTOR LOSS ONE
MONTH DESPITE CONSERVATIVE Rx
 PARAPLEGIA WITH UNCONTROLLED SPASTICITY
 RELATIVE INDICATIONS :
 RECURRENT PARAPLEGIA
 PARAPLEGIA IN OLD AGE
 PAINFUL PARAPLEGIA
 COMPLICATIONS : UTI / STONES
PROCEDURES
 1. COSTO TRANSVERSECTOMY
 2. ANTEROLATERAL DECOMPRESSION
 3. RADICAL DEBRIDEMENT AND ARTHRODESIS
( HONKONG OPERATION)
 4. LAMINECTOMY
PROGNOSIS
 AGE : CHILDREN HAS BETTER Px
 DURATION OF PARAPLEGIA : LONG STANDING
HAS BAD Px
 SEVERITY : MOTOR ALONE HAS GOOD Px
 ONSET OF PARAPLEGIA : A/C ONSET HAS BETTER
 SUDDEN PROGRESS : BAD Px
Tb spine

Tb spine

  • 1.
  • 3.
    TB IS CALLEDAS “WHITE PLAGUE’’ OR ”CAPTAIN OF ALL MEN OF DEATH”  SPINE IS THE COMMONST SITE OF BONE AND JOINT TB  UPPER THORACIC SPINE – IN CHILDREN  LOWER THORACIC AND - IN ADULTS UPPER LUMBAR
  • 4.
    EPIDEMIOLOGY  1/3 RDOF WORLD POPULATION HARBOUR TB INFECTION  INDIA IS ONE OF THE WORST AFFECTED COUNTRIES  ONE PERSON PER MINUTE DIE OF TB IN INDIA
  • 5.
    TB IS ANANCIENT DISEASE EVIDENCE OF SPINAL TB HAS BEEN FOUND IN SOME EGYPTIAN MUMMIES
  • 6.
     BONES &JOINTS ARE THE 4TH COMMONST SITE OF EXTRA PULMONARY TB  CONSTITUTE ~10% OF EXTRA PULMONARY TB  WEIGHT BEARING JOINTS ARE MOST AFFECTED SPINE : 40% HIPS : 13% KNEES : 10%
  • 7.
    PATHOLOGY  TB SPINEIS ALWAYS SECONDARY  REACTIVATION OF HEMATOGENOUS FOCI OR SPREAD FROM PARAVERTEBRAL LYMPH NODE  HEMATOGENOUS SPREAD VIA PARAVERTEBRAL VENOUS PLEXUS OF BATESON  RESPONSE WILL BE EITHER PROLIFERATIVE OR EXUDATIVE  PROLIFERATIVE: C/C GRANULOMA WITH FIBROSIS  EXUDATIVE : NON REACTIVE, WIDE CAESEATION NECROSIS, IN IMMUNOCOMPROMISED
  • 8.
  • 10.
    TYPES OF VERTEBRALTB  1. PARADISCAL - COMMONST , CONTIGOUS AREA OF TWO ADJACENT VERTEBRA ALONG WITH INTER VERTEBRAL DISC IS AFFECTED  2. CENTRAL -BODY OF SINGLE VERTEBRA , NEARBY DISC MAY BE NORMAL  3. ANTERIOR-ANTERIOR PART OF THE BODY  4. POSTERIOR- POSTERIOR COMPLEX (PEDICLE , LAMINA , SPINOUS PROCESS OR TRANSVERSE PROCESS) AFFECTED
  • 11.
    AFTER EFFECT  PARADISCAL: C/C GRANULOMATOUS INFLAMMATION -> EROSION OF MARGINS OF THE VERTEBRAE -> COMPROMISE OF NUTRITION OF IV DISC-> DISC DEGN-> DESTRUCTION  CENTRAL : WEAKENING OF TRABECULAE -> COLLPSE OF VERTEBRAE  ANTERIOR : INFN SPREAD UP OR DOWN UNDER ANT. LONGI.LIGAMENT  POSTERIOR : BONY DESTRUCTION CAN COMPRESS THE CORD
  • 12.
    COLD ABSCESS  PUS& TRABECULAR DEBRIS OF DISEASED VERTEBRA  NOT ASSO. WITH USUAL SIGNS OF INFLAMMATION - COLD ABSCESS  NOTE: PUS CAN TRACK IN ANY DIRECTION 1.BACKWARDS : COMPRESS CORD 2. ANTERIORLY: PRE VERTEBRAL ABSCESS 3. SIDES : PARA VERTEBRAL ABSCESS 4.ALONG MUSCULOFASCIAL PLANES : EX.PSOAS ABSCESS
  • 13.
    HEALING  OCCURS BYFIBROSIS  IN THE SPINE BONY ANKYLOSIS FOLLOWS MORE OFTEN  LYTIC AREAS ARE REPLACED BY NEW BONE AND ADJACENT VERTEBRA UNDERGO FUSION
  • 14.
    CLINICAL FEATURES  PRESENTATIONVARIES FROM NON SPECIFIC BACK ACHE TO CATASTROPHIC PARAPLEGIA  COMPLAINTS: PAIN STIFFNESS COLD ABSCESS ( IF EVIDENT EXTERNALLY) PARAPLEGIA DEFORMITY CONSTITUTIONAL SYMPTOMS
  • 15.
    PAIN  BACKACHE :COMMON PRESENTING COMPLAINT  INITIALLY DIFFUSE & LATE LOCALISED  ‘RADICULAR PAIN’  DEPENDING ON ROOT: PAIN IN ARM – CERVICAL ROOTS GIRDLE PAIN – DORSAL ROOTS GROIN PAIN - LUMBAR ROOTS
  • 16.
    COLD ABSCESS  CERVICAL: RETROPHARYNGEAL / AT POST BORDER OF STERNO MASTOID IN POST TRIANGLE OF THE NECK / AT AXILLA  THORACIC : MEDISTINAL / ANTERIOR CHEST WALL ALON THE SPINAL NERVES  LUMBAR : PRE VERTEBRAL SWELLING/ PSOAS ABSCESS / ABSCESS PRESENTING AT GROIN
  • 17.
     STIFFNESS :EARLY SYMPTOM PARAVERTEBRAL MUSCLES UNDERGO SPASM PARAPLEGIA DEFORMITY – IN CHILDREN CONSTITUTIONAL SYMPTOMS : FEVER , WEIGHT LOSS
  • 18.
    EXAMINATION  SHOULD HAVEA HIGH INDEX OF SUSPICION  AIMS : LOOK FOR FINDINGS OF TB SPINE  LOCALISE SITE OF LESION  DETECT COMPLICATIONS- COLD ABSCESS / PARAPLEGIA 1. GAIT : SHORT STEPS  2. ATTITUDE & DEFORMITY  3. PARAVERTEBRAL SWELLING  4. TENDERNESS ON THE AFFECTED SPINE  5. REDUCED MOBILITY
  • 19.
  • 21.
    NEUROLOGICAL EXAMINATION  AIMS:DETECT ANY COMPRESSION LEVEL OF COMPRESSION SEVERITY OF COMPRESSION  LIMBS – UPPER OR LOWER BASED ON SITE MOTOR , SENSORY , REFLEXES , BOWEL AND BLADDER FUNCTIONS GENERAL EXAMINATION PHYSICAL EXAMINATION SYSTEMIC ILLNESS : DM , HYPERTENSION
  • 22.
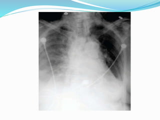
    INVESTIGATIONS  RADIOLOGY : •X-RAY – SPECIFY THE LEVEL • 2 VIEWS AP & LATERAL • CHEST X-RAY • X-RAY ABDOMEN • KUB - IF PSOAS ABSCESS SUSPECTED
  • 23.
    FINDINGS  1. REDUCTIONOF DISC SPACE- EARLY SIGN • COMPARE WITH NORMAL LATERAL X-RAY IS BETTER IMPORTANCE : SECONDARIES TO BONES USUALLY PRESERVE THE DISC 2. DESTRUCTION OF VERTEBRAL BODY EROSIONS AND WEDGING 3. DEFORMITY : DEPEND ON THE NO. OF VERTEBRA AFFECTED
  • 24.
  • 27.
  • 28.
    COLD ABSCESS  1.PARAVERTEBRAL ABSCESS : A SOFT TISSUE SHADOW CORRESPONDING TO AFFECTED VERTEBRA.  WIDENED MEDIASTINUM  RETROPHARYNGEAL ABSCESS  PSOAS ABSCESS
  • 29.
  • 31.
  • 33.
    OTHER FINDINGS  RAREFACTION: ABOVE AND BELOW AFFECTED VERTEBRA  OBLIQUE X RAY MAY SHOW POSTERIOR COMPLEX INVOLVEMENT  SIGNS OF HEALING : ADJACENT VERTEBRAE UNDERGO FUSION
  • 34.
    OTHERS  CT :ACCURATE CONFIRMATIONS  MRI : TO ASSES NEURAL STATUS  MYELOGRAPHY : SUSPECTED SPINAL TUMOR SYNDROME  BIOPSY : CT GUIDED NEEDLE OR OPEN BIOPSY
  • 35.
  • 36.
  • 37.
  • 38.
    GENERAL INVESTIGATIONS  ESR MANTOUX  ELISA : ANTI TB ANTIBODY  CHEST X RAY : FOR PULMONARY TB
  • 39.
    D/D S  BACKACHE : 1. TRAUMATIC • 2. SECONDARIES OR MYELOMA • 3. PROLAPSED DISC • 4.ANKYLOSING SPONDYLITIS • NEUROLOGICAL • SPINAL TUMOR • TRAUMATIC • SECONDARIES IN THE SPINE
  • 40.
    TREATMENT  PT SHOULDBE GIVEN A HIGH PROTEIN DIET & GOOD ATMOSPHERE 1. MULTIDRUG THERAPY OF TB 2. REST TO THE SPINE : CHILDREN BODY CAST , COLLAR IF CERVICAL 3. MOBILISATION : ADVISED TO AVOID SPORTS FOR TWO YEARS
  • 41.
    RX COLD ABSCESS SMALLER ONES SUBSIDE WITH TB THERAPY  IN SUPERFICIAL ABSCESSES :  ASPIRATION : USING THICK NEEDLE  EVACUATION  PSOAS ABSCESS : EXTRAPERITONEALLY VIA KIDNEY INCISCION
  • 42.
    MRCB CONTROLLED TRIAL BED REST NOT NECESSARY  STREPTOMYCIN NOT NECESSARY  POP JACKETS PROVIDE NO BENEFIT  DEBRIDEMENT IS NOT A GOOD OPERATION COMPLICATIONS  COLD ABSCESS  NEUROLOGICAL COMPLICATIONS : PARAPLEGIA
  • 44.
    20 % INCIDENCE COMMONIN DORSAL SPINE TB  CAUSES :  INFLAMMATORY EDEMA  EXTRADURAL PUS & GRANULATION TISSUE – COMMOMN  SEQUESTRA  INTERNAL GIBBUS  INFARCTION OF SPINAL CORD  EXTRADURAL GRANULOMA
  • 45.
    TYPES  EARLY ONSET LATE ONSET  C/F :  EITHER A KNOWN TB OR NEUROLOGICAL SYMPTOMS PRESENTING FOR THE 1ST TIME  GRADUAL ONSET  CLONUS – ANKLE OR PATELLAR – PROMINENT
  • 46.
    PARALYSIS : STAGES 1. MUSCLE WEAKNESS : SPASTICITY AND INCORDINATION  2. PARAPLEGIA IN EXTENSION  3. PARAPLEGIA IN FLEXION  COMPLETE FLACCID PARALYSIS
  • 47.
    GRADES : GOEL(1967)  BASIS IS EXTENT OF MOTOR INVOLVEMENT  GRADE ONE : CLINICIAN DETECTS THE DEFECIT  GRADE TWO : SYMPTOMATIC BUT MANAGES TO WALK  GRADE THREE: UNABLE TO WALK PARAPLEGIA IN EXTENSION PARTIAL SENSORY LOSS GRADE FOUR : UNABLE TO WALK PARAPLEGIA IN EXTENSION NEAR COMPLETE SENSORY LOSS SPHINCTER DISTURBANCES
  • 48.
    TREATMENT  INVESTIGATIONS :CT & MRI ( INVESTIGATION OF CHOICE)  CONSERVATIVE : ANTI TB RX , REST TO SPINE , NEUROLOGICAL EXAMINATION TO ASSES Px  SURGICAL :  INDICATIONS : PARAPLEGIA IN CONSERVATIVE Rx  SUDDEN ONSET SEVERE PARAPLEGIA  SEVERE PARAPLEGIA : IN FLEXION, MOTOR / SENSORY LOSS > 6 MONTHS OR COMPLETE MOTOR LOSS ONE MONTH DESPITE CONSERVATIVE Rx  PARAPLEGIA WITH UNCONTROLLED SPASTICITY
  • 49.
     RELATIVE INDICATIONS:  RECURRENT PARAPLEGIA  PARAPLEGIA IN OLD AGE  PAINFUL PARAPLEGIA  COMPLICATIONS : UTI / STONES
  • 50.
    PROCEDURES  1. COSTOTRANSVERSECTOMY  2. ANTEROLATERAL DECOMPRESSION  3. RADICAL DEBRIDEMENT AND ARTHRODESIS ( HONKONG OPERATION)  4. LAMINECTOMY
  • 51.
    PROGNOSIS  AGE :CHILDREN HAS BETTER Px  DURATION OF PARAPLEGIA : LONG STANDING HAS BAD Px  SEVERITY : MOTOR ALONE HAS GOOD Px  ONSET OF PARAPLEGIA : A/C ONSET HAS BETTER  SUDDEN PROGRESS : BAD Px