Mechanisms and pathophysiology of
ischemic stroke
Introduction
• Stroke refers to any damage to the brain or the spinal cord caused
by an abnormality of the blood supply.
• The term stroke is typically used when the symptoms begin
abruptly.
• A blood or cardiovascular abnormality precedes and subsequently
leads to the brain injury.
• Recognition of the cardiac or cerebrovascular lesion or
hematologic disorder before the brain becomes damaged offers
clinicians a window of opportunity during which brain damage
can be prevented.
• Sophisticated neuroimaging techniques have taught clinicians
that such “silent strokes” are common.
• Diagnosis and treatment of stroke patients require a basic
understanding of the anatomy, physiology, and pathology of the
major structures involved.
• clinicians caring for stroke patients must be familiar with
(1) the appearance of the normal brain and its various
lobes and regions.
(2) the appearance of brain tissue damaged by various
vascular disorders.
(3) the usual locations and course of arteries supplying the
brain and spinal cord and veins that drain blood from
these regions
(4) the frequency, location, and appearance of
diseases of the cerebrovascular system.
• This topic was discussed under following headings.
1) Mechanisms of brain damage in stroke.
2) Normal vascular anatomy and distribution
3) Distribution and frequency of these various
mechanisms in the blood vessels and in
the brain
4) stroke pathophysiology
MECHANISMS OF CEREBROVASCULAR DAMAGE
TO BRAIN TISSUE
• Clinician should think of
– “What caused the brain dysfunction?”
– “What pathologic process is active in this patient?
• There are two major categories of brain damage in stroke patients:
(1) Ischemia: which is a lack of blood flow depriving
brain tissue of needed fuel and oxygen.
(2) Hemorrhage: which is the release of blood into the
brain and into extravascular spaces within the
cranium.
Ischemia:
• Further subdivided into three different mechanisms:
– Thrombosis
– Embolism
– decreased systemic perfusion.
• An analogy to a simple plumbing situation illustrates the
differences among the mechanisms.
Mechanisms of ischemic stroke
Thrombosis
• refers to an obstruction of blood flow due to a localized occlusive
process within one or more blood vessels.
• The lumen of the vessel is narrowed or occluded by an alteration
in the vessel wall or by superimposed clot formation.
• The most common type of vascular pathology is atherosclerosis.
• In atherosclerosis
– Fibrous and muscular
tissues overgrow in the
sub intima,
– Fatty materials form
plaques that can
encroach on the lumen.
– Platelets adhere to
plaque crevices and
form clumps that serve
as nidi for the
deposition of fibrin,
thrombin, and clot.
• Atherosclerosis affects
chiefly the larger extra
cranial and intracranial
arteries.
• Occasionally, a clot forms within the lumen because of a primary
hematologic problem, such as polycythemia, thrombocytosis, or a
systemic hyper coagulable state.
• The smaller, penetrating arteries are more often damaged by
hypertension than by atherosclerotic processes.
Lipohyalinosis:
• chronic hypertension leads to
– hypertrophy of the media
– deposition of fibrinoid material into the vessel wall, a process
that gradually encroaches on the already small lumen.
• Atheromatous plaques, often referred to as micro atheromas, can
obstruct the orifices of penetrating arteries.
• Less common vascular pathologies leading to obstruction include
(1) fibro muscular dysplasia:
– an overgrowth of medial and intimal elements that
compromises vessel contractility and luminal size.
(2) arteritis:
– especially of the Takayasu or giant-cell type
(3) dissection of the vessel wall:
– often with a luminal or extra luminal clot temporarily
obstructing the vessel
(4) hemorrhage into a plaque:
• At times, the focal vascular abnormality is a functional change in
the contractility of blood vessels.
• Intense focal vasoconstriction can lead to decreased blood flow
and thrombosis.
Embolism
• Material formed else where within the vascular system lodges in an
artery and blocks blood flow.
• Blockage can be transient or may persist for hours or days.
• The material arises proximally, most commonly from the heart.
• Other sources of emboli are from
– major arteries such as the aorta, carotid, and vertebral arteries.
– systemic veins.
• Cardiac sources of embolism:
– Include from the heart valves and clots or tumors within the
atrial or ventricular cavities.
• Artery-to-artery emboli:
– are composed of clots, platelet clumps, or fragments of
plaques that break off from the proximal vessels.
• paradoxical embolism:
– Clots originating in systemic veins travel to the brain through
cardiac defects such as an atrial septal defect or a patent
foramen ovale.
• Occasionally air, fat, particulate matter from injected drugs,
bacteria, foreign bodies, and tumor cells enter the vascular
system and embolize to brain arteries.
Decreased Systemic Perfusion
• Diminished flow to brain tissue is caused by low systemic perfusion
pressure.
• The most common causes are
– Cardiac pump failure: most often due to myocardial infarction
or arrhythmia
– Systemic hypotension: due to blood loss or hypovolemia.
• Lack of perfusion is more generalized than in localized.
• affects the brain diffusely and bilaterally.
• Poor perfusion is most critical in border zone or so-called
watershed regions.
Damage Caused by Ischemia:
• All 3 mechanisms lead to temporary or permanent tissue injury.
• Permanent injury is termed infarction.
• Capillaries or other vessels within the ischemic tissue may also be
injured.
• reperfusion can lead to leakage of blood into the ischemic tissue,
resulting in a hemorrhagic infarction.
• The extent of brain damage depends on the
– location and duration of the poor perfusion
– ability of collateral vessels to perfuse the tissues at risk.
• The systemic blood pressure, blood volume, and blood viscosity
also affect blood flow to the ischemic areas.
• In acute phase:
– Brain and vascular injuries may lead to brain edema during the
hours and days after stroke.
• In chronic phase:
– macrophages gradually ingest the necrotic tissue debris within
the infarct
– leading to shrinkage of the volume of the infarcted tissue.
– Finally forms glial scars
STROKE MECHANISM GUIDES
TREATMENT
• The problems in these 3 major subtypes of stroke—thrombosis,
embolism, decreased systemic perfusion are quite distinct and
require different treatment strategies.
• Hence the physician must identify the correct mechanism of
stroke.
• Because it is not always possible to be certain of the single true
mechanism, the clinician often must consider the possibility of
more than one mechanism, such as thrombosis and embolism and
must evaluate for each.
• At times, more than one mechanism is operant.
Normal vascular anatomy and distribution
• To localize and repair damage to water pipes, the effective
plumber must be aware of
– exactly where the pipes are,
– what they supply,
– and where they are most likely to be damaged.
• Abnormal neurologic signs and symptoms depend more on the
localization of the brain injury than on its mechanism.
• All the 3 mechanisms of stroke has their own preferences for
anatomic brain locations.
Arterial Circulation
• Traditionally divided in to 2 parts
• anterior circulation:
– Supply the front of the brain
– Includes the carotid artery territories.
• posterior circulation:
– Include vertebral and basilar arteries and their branches
– they supply the back of the brain.
• Each ICA supplies 2/5th of the brain volume.
• posterior circulation supplies 1/5th of the brain volume.
• Despite its much smaller size, the posterior circulation contains
the brainstem and strategically critical structures.
Anterior circulation
• The common carotid
arteries (CCAs) bifurcate in
the neck, usually opposite
the upper border of the
thyroid cartilage.
• Internal carotid arteries
(ICAs):
– located posteriorly as a
direct extension of the
CCA
• External carotid arteries
(ECAs):
– course more anteriorly
and laterally.
External carotid artery [ECA]:
• supplies the face and major cranial
structures except for the brain.
• The 2 braches of ECAs channels can
act as collateral circulation if the ICAs
occlude
– The facial arteries:
• which course along the cheek
toward the nasal bridge.
– The preauricular arteries,
• which terminate as the
superficial temporal arteries.
• The internal maxillary artery and
ascending pharyngeal branches of the
ECAs also can contribute to collateral
circulation when an ICA occludes.
INTERNAL CAROTID ARTERY:
• arises from the bifurcation of the
common carotid artery, ascends
in the neck and enters carotid
canal of the temporal bone.
ICA – CERVICAL PART
PETROUS PART
CAVERNOUS PART
SUPRA CLINOID PART
• give off no branches in the neck.
BRANCHES:
• OPHTHALMIC ARTERY
• P. COM A.
• ANTERIOR CHOROIDAL A.
• ACA
• MCA (direct continution)
27
ACH. A Supply:
• basal ganglia ( Globus
paaidus)
• posterior limb of the internal
capsule,
• medial temporal lobes
• medial branches supply
portion of the midbrain and
the thalamus.
• ends in the in the choroid
plexus of the lateral ventricles
near the temporal horns.
MIDDLE CEREBRAL ARTERY
• Larger terminal branch of
the internal carotid artery.
Four subdivisions:
M1segment/sphenoid
segment
M2segment/insular
segment
M3 segment/opercular
segment
M4segment-cortical
portions
CENTRAL BRANCHES ( anterolateral group )
• Called as lateral striate or lenticulostriate arteries.
• arise from M1 segment.
• supply the
posterior striatum,
lateral globus pallidus and
anterior limb, genu and posterior limb of
the internal capsule.
• Cortical branches of MCA
– Lateral surface of cerebral hemisphere except for
• Frontal pole
• Superomedial border of frontal, parietal lobes
• Lower temporal convolution
• Occipital pole
31
ANTERIOR CEREBRAL ARTERY
Smaller terminal branch of the internal carotid artery.
Three subdivisions
A1 SEGMENT :
– termination of the ICA to junction ACoA
A2 SEGMENT :
– junction ACoA to origin callosomarginal.A
A3 SEGMENT :
– distal to origin callosomarginal.A
– also known as pericallosal.a
• Anomalies:
25 % of brains ACA was unpaired
Branches to contralateral hemisphere
Medial orbito frontal a.
Frontopolar a.
Callosomarginal a.
Medial
prerolandic a.
Pericallosal a.
Medial
rolandic a.
Post.
parietal a.
Central branches (Antero median group)
• arise from its proximal portion (A1 segment).
• enter the anterior perforated substance.
• supply
Inferior part of ant. Limb of internal capsule,
Anterior part of the putamen,
Head of the caudate nucleus,
Rostrum of the corpus callosum.
Posterior circulation
VERTEBRAL ARTERY:
• The first branch of each subclavian artery is the
vertebral artery (VA).
• 4 segments
V1: origin - C6 transverse foramen
V2 :C6 - C2 transverse foramen
V3 :C2 - Foramen magnum
V4: Intracranial part
• Only 4th segment supplies Brainstem and
cerebellum.
• Branches:
– posterior and anterior spinal arteries,
– penetrating arteries to the medulla,
– posterior inferior cerebellar arteries (PICAs).
Basilar artery
• Formed by union of 2 vertebral arteries at ponto medullary
junction
• Supplies
– Base of Pons
– Superior cerebellum
36
Branches
• Paramedian
– Wedge of pons on either side of midline
• Short circumferential arteries
– Lateral 2/3 of pons, middle and superior cerebellar
peduncles
• Long circumferential arteries
– SCA cerebellar hemispheres
– AICA
• Labyrynthine artery
• PCA
37
POSTERIOR CEREBRAL ARTERY
Terminal branch of the basilar
artery.
Three subdivisions
P1 segment:
from the basilar bifurcation to
junction PCoA
P2 segment:
junction PCoA to peri
mesencephalic cistern
P3 segment:
portion running in the
calcarine fissure
Distribution of Vascular Pathology
Thrombosis:
• Atherosclerotic narrowing most often occurs at the origins of
the ICAs in the neck followed by carotid siphon .
• The remaining nuchal ICAs are seldom affected.
• The supra clinoid ICA’s and the main stem MCAs and ACAs are
the next common sites.
• Sites of predilection in posterior circulation were:
– proximal origins of the VA’s
– the proximal and distal ends of the intracranial VA’s ,
– the basilar artery,
– the origins of the PCA’s
• Lipohyalinosis secondary to chronic hypertension affect
mainly:
– penetrating arteries originating from the MCA, ACA and
AChAs
– thalamo perforating and thalamo geniculate penetrators from
the PCAs
– paramedian perforating vessels to the pons, midbrain, and
thalamus from the basilar artery.
• At times, atheromatous plaques within parent arteries or
microatheromas within the orifices of branches cause blockage of
penetrating arteries.
Dissection:
• Most commonly occurs in
– pharyngeal portion of the carotid arteries
– V1 & V3 segments of vertebral arteries.
• In these regions, the neck arteries are mobile and not anchored to
other arteries or bony structures.
• Tearing of neck arteries is most often due to sudden stretching of
the arteries or direct trauma.
Temporal arteritis:
• characteristically affects the
– ICAs and VAs just before they pierce the dura.
– ophthalmic arteries before they pierce the globe.
Embolism:
• can block any artery depending on the size and nature of the
embolic material.
• In the anterior circulation:
– there is a strong predilection for emboli to go to the MCAs
and their branches.
• In the posterior circulation:
– emboli preferentially block the intracranial VA, the distal
basilar artery, and the PCAs.
Distribution of Brain Pathology
• The distribution of brain lesions caused by thrombosis is not easily
distinguished from that owing to embolism.
• Usually, the region of ischemia tends to lie in the center of the
supply of the occluded artery.
• In systemic hypoperfusion, the regions most vulnerable to
ischemia are located in the border zones.
• Some border zones are cortical or cortical-subcortical while others
are deep.
• size of the infarct depends on the
– location of the occlusion,
– Rate of occlusion,
– adequacy of collateral circulation.
DWI images of border zone infarcts
PHYSIOLOGY AND PATHOPHYSIOLOGY OF
BRAIN ISCHEMIA
Normal Metabolism and Blood Flow:
• brain uses about one quarter of the body’s energy supply.
• Brain uses glucose as its sole substrate for energy metabolism.
• Glucose metabolism leads to conversion of adenosine
diphosphate (ADP) into adenosine triphosphate (ATP).
• A constant supply of ATP is needed to maintain neuronal integrity
and to keep the major extracellular Ca++ and Na+ outside the
cells and the intracellular K+ within the cells.
• Production of ATP is much more efficient in the presence of
oxygen.
• Although in the absence of oxygen anaerobic glycolysis leads to
formation of ATP and lactate, the energy yield is relatively small,
and lactic acid accumulates within and outside of cells.
• The brain requires 75 to 100 mg of glucose each minute.
• Brain measures only 2% of adult body weight but uses
approximately 20% of the cardiac output.
• Normal CBF = 50 ml /100 g /minute.
• cerebral oxygen consumption, is normally 3.5 mL/100 g /minute.
• By increasing oxygen extraction from the bloodstream,
compensation can be made to maintain until CBF is reduced to a
level of 20 to 25 mL/100 g / minute.
• Brain energy use and blood flow depend on the degree of neuronal
activity.
• In 1890, Roy and Sherrington first demonstrated the ability of the
brain to increase local blood flow in response to regional changes
in neuronal activity.
Autoregulation:
• The capacity of the cerebral circulation to maintain relatively
constant levels of CBF despite changing blood pressure.
• CBF remains relatively constant when mean arterial blood
pressures are between 50 and 150 mm Hg.
• When blood pressure is chronically raised, both the upper and
lower levels of autoregulation are raised.
• Mean blood flow velocities as measured by trans cranial Doppler
(TCD) within the intracranial arteries range from 35 to 75 cm /
second.
• vary considerably with age,
blood pressure,
hematocrit, and
blood vessel location.
• CBF increases or an artery narrows, the velocity in that segment of
artery increases.
Local Brain Effects of Ischemia
• survival of the at-risk tissue depends on
– Intensity and duration of the ischemia
– The availability of collateral blood flow.
• CBF:
– Approx. = 20 mL/100 g /min – EEG activity is affected.
– < 20 mL/100 g /min – cerebreal O2 consumption falls.
– < 10 mL/100 g / min - membranes and functions are affected.
– < 5 mL/100 g / min - neurons cannot survive for long.
• When neurons become ischemic, a number of biochemical
changes potentiate and enhance cell death.
• These biochemical effects are:
• K+ moves out the cell and Ca2+ moves into the cell leads to
failure of membrane function and mitochondrial failure.
• Decreased oxygen availability leads to formation of oxygen-free
radicals.
• These free radicals cause peroxidation of fatty acids in cell
organelles and plasma membranes, causing severe cell
dysfunction.
• Anaerobic glycolysis leads to an accumulation of lactic acid and a
decrease in pH.
• The resulting acidosis also greatly impairs cell metabolic functions.
• excitatory neurotransmitters (glutamate, aspartate, and kainic
acid), is significantly increased in regions of brain ischemia.
• Hypoxia, hypoglycemia, and ischemia all contribute to cause energy
depletion and an increase in glutamate release but a decrease in
glutamate uptake.
• Glutamate entry opens membranes and increases Na+ and Ca+
influx into cells.
• Large influxes of Na are followed by entry of chloride ions and
water, causing cell swelling and edema.
• Glutamate is an agonist at both NMDA and non-NMDA (kainate
and quisqualate) receptor types, but only NMDA receptors are
linked to membrane channels with high calcium permeability.
Interaction within ischemic pathophysiology of the currently most promising candidates for a
multimodal neuroprotective approach.
Marc Fisher et al. Stroke. 2006;37:1129-1136
Copyright © American Heart Association, Inc. All rights reserved.
• All these metabolic changes cause a self-perpetuating cycle
leading to more local biochemical changes, which in turn cause
more neuronal damage.
• At some point, the process of ischemia becomes irreversible,
despite of reperfusion.
• At times, although the severity of ischemia is insufficient to cause
neuronal necrosis, ischemia may cause programmed cell death
referred to as apoptosis.
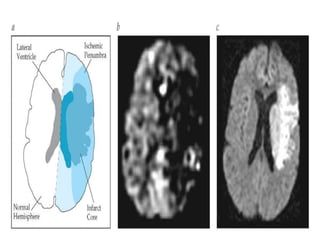
Core of the infarct:
• center of the zone where the blood flow is lowest.
• Neurons undergo necrosis.
• CBF ranges from 0 to 10 mL/100 g/min.
Ischemic penumbra:
• Zone of reduced perfusion in the periphery.
• CBF ranges from 10 to 20 mL/100 g /min.
• electrical failure but not permanent cell damage
• Restoration of blood results in survival.
• If blood flow is not restored cells undergo death by apoptosis.
Arterial Occlusion and Reaction to the Occlusive Process
• Brain ischemia is a dynamic, anatomic-pathologic process.
• At times, brain tissue, in imminent danger of irreversible death,
nevertheless often recovers remarkably well.
• To treat patients optimally, physicians must understand the
various factors that affect outcome.
• Vascular occlusion most often begins with formation of
atherosclerotic plaques.
• These plaques contain a mixture of lipid, smooth muscle, fibrous
and collagen tissues, macrophages, and inflammatory cells.
• When a critical plaque size and significant encroachment on the
lumen develop, the atherosclerotic process often accelerates.
• Platelets often adhere to irregular plaque surfaces.
• Activated platelets release ADP and arachidonic acid.
• arachidonic acid metabolized to thromboxane A2 by COX.
• ADP, epinephrine, and collagen can all increase platelet
aggregation.
• Thromboxane A2 is a potent vasoconstrictor and inducer of
further platelet aggregation and secretion.
• At the same time, the vascular endothelium may secrete
prostacyclin, a potent vasodilator and inhibitor of platelet
aggregation.
• Both vascular patency and the formation of platelet fibrin clots
are influenced by the balance between thromboxane A2,
prostacyclin, and other factors.
• Platelets adhesion to endothelium forms a “white clot”
composed of platelets and fibrin.
• Plaques often interrupt the endothelial lining of arteries and
ulcerate.
• Tissue factor, an important stimulator of the body’s coagulation
system, is released.
• The coagulation cascade is activated by this contact and a “red
thrombus” composed of erythrocytes and fibrin forms within the
lumen.
• When white or red thrombi first form, they are poorly organized
and only loosely adherent.
• They often propagate and embolize.
• Within a period of 1 to 2 weeks, thrombi organize and become
more adherent and fragments are less likely to break off and
embolize.
• When a major artery occludes, a crisis ensues.
• Pressure drops distal to the occlusion, and the brain region
supplied by that vessel is acutely deprived of blood.
• Low pressure helps to draw blood from higher pressure regions
hence Collateral circulation increases.
• The severity of the ischemic crisis depends on the rate of vascular
occlusion.
• A vessel that gradually occludes may already have stimulated
abundant collateral circulation so that final occlusion produces
less stress on the system.
Factors Affecting Tissue Survival
• The survival of the brain regions at risk depends on a number of
factors:
(1) the adequacy of collateral circulation
(2) the state of the systemic circulation
(3) serologic factors
(4) changes within the obstructing vascular lesion
(5) resistance within the microcirculatory bed.
1) Adequacy of collateral circulation:
• Congenital deficiencies in the circle of Willis and prior occlusion
of potential collateral vessels decrease the available collateral
supply.
• Hypertension or diabetes diminishes blood flow in smaller
arteries and arterioles.
• this will reduces the potential of the vascular system to supply
blood flow to the needy region.
2) State of the systemic circulation:
• Cardiac pump failure, hypovolemia, and increased blood
viscosity all reduce CBF.
• Blood viscosity:
– The two most important determinants of blood viscosity are
the hematocrit and the fibrinogen levels.
– lowering of the hematocrit by phlebotomy to below 40% can
increase cerebral blood flow by as much as 50%.
Blood pressure:
– Low blood pressure significantly reduces cerebral blood flow.
– Elevation of blood pressure except at malignant ranges
increases CBF.
Hypovolemia:
– Low blood and fluid volume also limit available blood flow in
collateral channels.
3) SEROLOGIC FACTORS:
• The blood functions as a carrier of needed oxygen and other
nutrients.
• Hypoxia is clearly detrimental because each milliliter of blood
delivers a less-than-normal oxygen supply.
• Low blood sugar similarly increases the risk of cell death.
• High blood sugar also can be detrimental to the ischemic brain.
• Elevated serum calcium levels and high blood-alcohol content
are also potential important detrimental variables.
4) CHANGES WITHIN THE OBSTRUCTING VASCULAR LESION:
• Embolic occlusive thrombi do not adhere to the vessel wall of the
recipient artery and frequently move on.
• Movement of embolus:
– can block a more distal intracranial artery, causing added or
new ischemia, or it may fragment and pass through the
vascular bed.
• Activation of thrombolytic system :
– Clot formation activates an endogenous thrombolytic system.
• Vaso spasm:
– Sudden obstruction of a vascular lumen can cause reactive
vasoconstriction (spasm).
• Thrombolysis, passage of clots, and reversal of
vasoconstriction all promote reperfusion of the ischemic zone.
• If reperfusion occurs quickly enough, the stunned, reversibly
ischemic brain may recover quickly.
• The distal end of the thrombus can also break loose and
embolize to an intracranial receptive site.
• Hypercoagulable states promote such extension of thrombi.
5) RESISTANCE WITHIN THE MICROCIRCULATORY BED:
• The vast majority of CBF occurs through microscopic-sized
vessels.
• Hypertension and diabetes → arterio sclerosis → increased
resistance in micro vascular bed.
• Hyperviscosity and diffuse thromboses within the capillaries also
increase the resistance in micro vascular bed
• In general, studies of CBF are sensitive to changes in resistance in
the microcirculatory bed.
• CBF is inversely proportional to resistance in the vascular bed.
BRAIN EDEMA AND INCREASED INTRACRANIAL PRESSURE
• Cerebral edema and ICP also influence survival of brain tissue and
patient recovery after vascular occlusions.
• There are two types of brain edema:
(1) Cytotoxic edema:
– water accumulation inside cells
(2) Vasogenic edema:
– fluid within the extracellular space.
• In any case, severe edema may cause gross swelling of the brain.
• Leads to shifts in position of brain tissue and and herniation of
brain contents from one compartment to another.
(1)Cytotoxic edema:
– water accumulation inside cells.
– also referred to as dry edema.
– caused by energy failure, with movement of ions and water
across the cell membranes into cells.
– Brain swelling caused by cytotoxic edema means a large
volume of dead or dying brain cells, which implies a bad
outcome.
– Usually seen after arterial occlusion d/t energy failure.
(2) Vasogenic edema:
– fluid within the extracellular space.
– Also referred as wet edema because in such cases, the cut
surface of the brain oozes edema fluid.
– influenced by hydrostatic pressure factors and by osmotic
factors.
– breakdown of the blood-brain barrier → proteins and other
macromolecules enter the extracellular space → exert an
osmotic gradient → pulling water into the extracellular space.
– Preferentially involves cerebral white matter [d/t the
difference in compliance between gray and white matter].
Events during the First Three Weeks after Vascular
Occlusion
• Tenuous balance created by occlusion of a major artery is
temporary and usually resolves in 2 to 3 weeks at most.
• During this period, any systemic changes, such as decrease in
fluid volume or drop in blood pressure, can cause worsening of
symptoms.
• By 3 weeks, either the brain tissue has died, causing a brain
infarct, or collateral sources of blood flow develop that
adequately supply the region at risk.
• In the initial 2 weeks the occlusive thrombus, loosely adheres to
the vessel wall, can undergo distal embolisation.
• By 2 to 3 weeks, the clot has become more adherent and has
much less tendency to embolize.
• Most studies show a low frequency of progression of acute
ischemic deficits after 2 weeks.
• During initial few weeks after a vascular occlusion, the question
of death or survival of at-risk brain tissue can be viewed as a clash
between factors.
“good guys” versus “bad guys” response
Stroke patho physiology

Stroke patho physiology

  • 1.
  • 2.
    Introduction • Stroke refersto any damage to the brain or the spinal cord caused by an abnormality of the blood supply. • The term stroke is typically used when the symptoms begin abruptly. • A blood or cardiovascular abnormality precedes and subsequently leads to the brain injury. • Recognition of the cardiac or cerebrovascular lesion or hematologic disorder before the brain becomes damaged offers clinicians a window of opportunity during which brain damage can be prevented. • Sophisticated neuroimaging techniques have taught clinicians that such “silent strokes” are common.
  • 3.
    • Diagnosis andtreatment of stroke patients require a basic understanding of the anatomy, physiology, and pathology of the major structures involved. • clinicians caring for stroke patients must be familiar with (1) the appearance of the normal brain and its various lobes and regions. (2) the appearance of brain tissue damaged by various vascular disorders. (3) the usual locations and course of arteries supplying the brain and spinal cord and veins that drain blood from these regions (4) the frequency, location, and appearance of diseases of the cerebrovascular system.
  • 4.
    • This topicwas discussed under following headings. 1) Mechanisms of brain damage in stroke. 2) Normal vascular anatomy and distribution 3) Distribution and frequency of these various mechanisms in the blood vessels and in the brain 4) stroke pathophysiology
  • 5.
    MECHANISMS OF CEREBROVASCULARDAMAGE TO BRAIN TISSUE • Clinician should think of – “What caused the brain dysfunction?” – “What pathologic process is active in this patient? • There are two major categories of brain damage in stroke patients: (1) Ischemia: which is a lack of blood flow depriving brain tissue of needed fuel and oxygen. (2) Hemorrhage: which is the release of blood into the brain and into extravascular spaces within the cranium.
  • 6.
    Ischemia: • Further subdividedinto three different mechanisms: – Thrombosis – Embolism – decreased systemic perfusion. • An analogy to a simple plumbing situation illustrates the differences among the mechanisms.
  • 7.
  • 8.
    Thrombosis • refers toan obstruction of blood flow due to a localized occlusive process within one or more blood vessels. • The lumen of the vessel is narrowed or occluded by an alteration in the vessel wall or by superimposed clot formation. • The most common type of vascular pathology is atherosclerosis.
  • 10.
    • In atherosclerosis –Fibrous and muscular tissues overgrow in the sub intima, – Fatty materials form plaques that can encroach on the lumen. – Platelets adhere to plaque crevices and form clumps that serve as nidi for the deposition of fibrin, thrombin, and clot. • Atherosclerosis affects chiefly the larger extra cranial and intracranial arteries.
  • 11.
    • Occasionally, aclot forms within the lumen because of a primary hematologic problem, such as polycythemia, thrombocytosis, or a systemic hyper coagulable state. • The smaller, penetrating arteries are more often damaged by hypertension than by atherosclerotic processes. Lipohyalinosis: • chronic hypertension leads to – hypertrophy of the media – deposition of fibrinoid material into the vessel wall, a process that gradually encroaches on the already small lumen. • Atheromatous plaques, often referred to as micro atheromas, can obstruct the orifices of penetrating arteries.
  • 12.
    • Less commonvascular pathologies leading to obstruction include (1) fibro muscular dysplasia: – an overgrowth of medial and intimal elements that compromises vessel contractility and luminal size. (2) arteritis: – especially of the Takayasu or giant-cell type (3) dissection of the vessel wall: – often with a luminal or extra luminal clot temporarily obstructing the vessel (4) hemorrhage into a plaque: • At times, the focal vascular abnormality is a functional change in the contractility of blood vessels. • Intense focal vasoconstriction can lead to decreased blood flow and thrombosis.
  • 13.
    Embolism • Material formedelse where within the vascular system lodges in an artery and blocks blood flow. • Blockage can be transient or may persist for hours or days. • The material arises proximally, most commonly from the heart. • Other sources of emboli are from – major arteries such as the aorta, carotid, and vertebral arteries. – systemic veins.
  • 15.
    • Cardiac sourcesof embolism: – Include from the heart valves and clots or tumors within the atrial or ventricular cavities. • Artery-to-artery emboli: – are composed of clots, platelet clumps, or fragments of plaques that break off from the proximal vessels. • paradoxical embolism: – Clots originating in systemic veins travel to the brain through cardiac defects such as an atrial septal defect or a patent foramen ovale. • Occasionally air, fat, particulate matter from injected drugs, bacteria, foreign bodies, and tumor cells enter the vascular system and embolize to brain arteries.
  • 16.
    Decreased Systemic Perfusion •Diminished flow to brain tissue is caused by low systemic perfusion pressure. • The most common causes are – Cardiac pump failure: most often due to myocardial infarction or arrhythmia – Systemic hypotension: due to blood loss or hypovolemia. • Lack of perfusion is more generalized than in localized. • affects the brain diffusely and bilaterally. • Poor perfusion is most critical in border zone or so-called watershed regions.
  • 19.
    Damage Caused byIschemia: • All 3 mechanisms lead to temporary or permanent tissue injury. • Permanent injury is termed infarction. • Capillaries or other vessels within the ischemic tissue may also be injured. • reperfusion can lead to leakage of blood into the ischemic tissue, resulting in a hemorrhagic infarction. • The extent of brain damage depends on the – location and duration of the poor perfusion – ability of collateral vessels to perfuse the tissues at risk.
  • 20.
    • The systemicblood pressure, blood volume, and blood viscosity also affect blood flow to the ischemic areas. • In acute phase: – Brain and vascular injuries may lead to brain edema during the hours and days after stroke. • In chronic phase: – macrophages gradually ingest the necrotic tissue debris within the infarct – leading to shrinkage of the volume of the infarcted tissue. – Finally forms glial scars
  • 21.
    STROKE MECHANISM GUIDES TREATMENT •The problems in these 3 major subtypes of stroke—thrombosis, embolism, decreased systemic perfusion are quite distinct and require different treatment strategies. • Hence the physician must identify the correct mechanism of stroke. • Because it is not always possible to be certain of the single true mechanism, the clinician often must consider the possibility of more than one mechanism, such as thrombosis and embolism and must evaluate for each. • At times, more than one mechanism is operant.
  • 22.
    Normal vascular anatomyand distribution • To localize and repair damage to water pipes, the effective plumber must be aware of – exactly where the pipes are, – what they supply, – and where they are most likely to be damaged. • Abnormal neurologic signs and symptoms depend more on the localization of the brain injury than on its mechanism. • All the 3 mechanisms of stroke has their own preferences for anatomic brain locations.
  • 23.
    Arterial Circulation • Traditionallydivided in to 2 parts • anterior circulation: – Supply the front of the brain – Includes the carotid artery territories. • posterior circulation: – Include vertebral and basilar arteries and their branches – they supply the back of the brain. • Each ICA supplies 2/5th of the brain volume. • posterior circulation supplies 1/5th of the brain volume. • Despite its much smaller size, the posterior circulation contains the brainstem and strategically critical structures.
  • 24.
    Anterior circulation • Thecommon carotid arteries (CCAs) bifurcate in the neck, usually opposite the upper border of the thyroid cartilage. • Internal carotid arteries (ICAs): – located posteriorly as a direct extension of the CCA • External carotid arteries (ECAs): – course more anteriorly and laterally.
  • 25.
    External carotid artery[ECA]: • supplies the face and major cranial structures except for the brain. • The 2 braches of ECAs channels can act as collateral circulation if the ICAs occlude – The facial arteries: • which course along the cheek toward the nasal bridge. – The preauricular arteries, • which terminate as the superficial temporal arteries. • The internal maxillary artery and ascending pharyngeal branches of the ECAs also can contribute to collateral circulation when an ICA occludes.
  • 26.
    INTERNAL CAROTID ARTERY: •arises from the bifurcation of the common carotid artery, ascends in the neck and enters carotid canal of the temporal bone. ICA – CERVICAL PART PETROUS PART CAVERNOUS PART SUPRA CLINOID PART • give off no branches in the neck.
  • 27.
    BRANCHES: • OPHTHALMIC ARTERY •P. COM A. • ANTERIOR CHOROIDAL A. • ACA • MCA (direct continution) 27
  • 28.
    ACH. A Supply: •basal ganglia ( Globus paaidus) • posterior limb of the internal capsule, • medial temporal lobes • medial branches supply portion of the midbrain and the thalamus. • ends in the in the choroid plexus of the lateral ventricles near the temporal horns.
  • 29.
    MIDDLE CEREBRAL ARTERY •Larger terminal branch of the internal carotid artery. Four subdivisions: M1segment/sphenoid segment M2segment/insular segment M3 segment/opercular segment M4segment-cortical portions
  • 30.
    CENTRAL BRANCHES (anterolateral group ) • Called as lateral striate or lenticulostriate arteries. • arise from M1 segment. • supply the posterior striatum, lateral globus pallidus and anterior limb, genu and posterior limb of the internal capsule.
  • 31.
    • Cortical branchesof MCA – Lateral surface of cerebral hemisphere except for • Frontal pole • Superomedial border of frontal, parietal lobes • Lower temporal convolution • Occipital pole 31
  • 32.
    ANTERIOR CEREBRAL ARTERY Smallerterminal branch of the internal carotid artery. Three subdivisions A1 SEGMENT : – termination of the ICA to junction ACoA A2 SEGMENT : – junction ACoA to origin callosomarginal.A A3 SEGMENT : – distal to origin callosomarginal.A – also known as pericallosal.a • Anomalies: 25 % of brains ACA was unpaired Branches to contralateral hemisphere
  • 33.
    Medial orbito frontala. Frontopolar a. Callosomarginal a. Medial prerolandic a. Pericallosal a. Medial rolandic a. Post. parietal a.
  • 34.
    Central branches (Anteromedian group) • arise from its proximal portion (A1 segment). • enter the anterior perforated substance. • supply Inferior part of ant. Limb of internal capsule, Anterior part of the putamen, Head of the caudate nucleus, Rostrum of the corpus callosum.
  • 35.
    Posterior circulation VERTEBRAL ARTERY: •The first branch of each subclavian artery is the vertebral artery (VA). • 4 segments V1: origin - C6 transverse foramen V2 :C6 - C2 transverse foramen V3 :C2 - Foramen magnum V4: Intracranial part • Only 4th segment supplies Brainstem and cerebellum. • Branches: – posterior and anterior spinal arteries, – penetrating arteries to the medulla, – posterior inferior cerebellar arteries (PICAs).
  • 36.
    Basilar artery • Formedby union of 2 vertebral arteries at ponto medullary junction • Supplies – Base of Pons – Superior cerebellum 36
  • 37.
    Branches • Paramedian – Wedgeof pons on either side of midline • Short circumferential arteries – Lateral 2/3 of pons, middle and superior cerebellar peduncles • Long circumferential arteries – SCA cerebellar hemispheres – AICA • Labyrynthine artery • PCA 37
  • 38.
    POSTERIOR CEREBRAL ARTERY Terminalbranch of the basilar artery. Three subdivisions P1 segment: from the basilar bifurcation to junction PCoA P2 segment: junction PCoA to peri mesencephalic cistern P3 segment: portion running in the calcarine fissure
  • 40.
    Distribution of VascularPathology Thrombosis: • Atherosclerotic narrowing most often occurs at the origins of the ICAs in the neck followed by carotid siphon . • The remaining nuchal ICAs are seldom affected. • The supra clinoid ICA’s and the main stem MCAs and ACAs are the next common sites. • Sites of predilection in posterior circulation were: – proximal origins of the VA’s – the proximal and distal ends of the intracranial VA’s , – the basilar artery, – the origins of the PCA’s
  • 42.
    • Lipohyalinosis secondaryto chronic hypertension affect mainly: – penetrating arteries originating from the MCA, ACA and AChAs – thalamo perforating and thalamo geniculate penetrators from the PCAs – paramedian perforating vessels to the pons, midbrain, and thalamus from the basilar artery. • At times, atheromatous plaques within parent arteries or microatheromas within the orifices of branches cause blockage of penetrating arteries.
  • 43.
    Dissection: • Most commonlyoccurs in – pharyngeal portion of the carotid arteries – V1 & V3 segments of vertebral arteries. • In these regions, the neck arteries are mobile and not anchored to other arteries or bony structures. • Tearing of neck arteries is most often due to sudden stretching of the arteries or direct trauma. Temporal arteritis: • characteristically affects the – ICAs and VAs just before they pierce the dura. – ophthalmic arteries before they pierce the globe.
  • 44.
    Embolism: • can blockany artery depending on the size and nature of the embolic material. • In the anterior circulation: – there is a strong predilection for emboli to go to the MCAs and their branches. • In the posterior circulation: – emboli preferentially block the intracranial VA, the distal basilar artery, and the PCAs.
  • 45.
    Distribution of BrainPathology • The distribution of brain lesions caused by thrombosis is not easily distinguished from that owing to embolism. • Usually, the region of ischemia tends to lie in the center of the supply of the occluded artery. • In systemic hypoperfusion, the regions most vulnerable to ischemia are located in the border zones. • Some border zones are cortical or cortical-subcortical while others are deep. • size of the infarct depends on the – location of the occlusion, – Rate of occlusion, – adequacy of collateral circulation.
  • 46.
    DWI images ofborder zone infarcts
  • 47.
    PHYSIOLOGY AND PATHOPHYSIOLOGYOF BRAIN ISCHEMIA Normal Metabolism and Blood Flow: • brain uses about one quarter of the body’s energy supply. • Brain uses glucose as its sole substrate for energy metabolism. • Glucose metabolism leads to conversion of adenosine diphosphate (ADP) into adenosine triphosphate (ATP). • A constant supply of ATP is needed to maintain neuronal integrity and to keep the major extracellular Ca++ and Na+ outside the cells and the intracellular K+ within the cells. • Production of ATP is much more efficient in the presence of oxygen.
  • 48.
    • Although inthe absence of oxygen anaerobic glycolysis leads to formation of ATP and lactate, the energy yield is relatively small, and lactic acid accumulates within and outside of cells. • The brain requires 75 to 100 mg of glucose each minute. • Brain measures only 2% of adult body weight but uses approximately 20% of the cardiac output. • Normal CBF = 50 ml /100 g /minute. • cerebral oxygen consumption, is normally 3.5 mL/100 g /minute. • By increasing oxygen extraction from the bloodstream, compensation can be made to maintain until CBF is reduced to a level of 20 to 25 mL/100 g / minute.
  • 49.
    • Brain energyuse and blood flow depend on the degree of neuronal activity. • In 1890, Roy and Sherrington first demonstrated the ability of the brain to increase local blood flow in response to regional changes in neuronal activity. Autoregulation: • The capacity of the cerebral circulation to maintain relatively constant levels of CBF despite changing blood pressure. • CBF remains relatively constant when mean arterial blood pressures are between 50 and 150 mm Hg. • When blood pressure is chronically raised, both the upper and lower levels of autoregulation are raised.
  • 50.
    • Mean bloodflow velocities as measured by trans cranial Doppler (TCD) within the intracranial arteries range from 35 to 75 cm / second. • vary considerably with age, blood pressure, hematocrit, and blood vessel location. • CBF increases or an artery narrows, the velocity in that segment of artery increases.
  • 51.
    Local Brain Effectsof Ischemia • survival of the at-risk tissue depends on – Intensity and duration of the ischemia – The availability of collateral blood flow. • CBF: – Approx. = 20 mL/100 g /min – EEG activity is affected. – < 20 mL/100 g /min – cerebreal O2 consumption falls. – < 10 mL/100 g / min - membranes and functions are affected. – < 5 mL/100 g / min - neurons cannot survive for long. • When neurons become ischemic, a number of biochemical changes potentiate and enhance cell death.
  • 52.
    • These biochemicaleffects are: • K+ moves out the cell and Ca2+ moves into the cell leads to failure of membrane function and mitochondrial failure. • Decreased oxygen availability leads to formation of oxygen-free radicals. • These free radicals cause peroxidation of fatty acids in cell organelles and plasma membranes, causing severe cell dysfunction. • Anaerobic glycolysis leads to an accumulation of lactic acid and a decrease in pH. • The resulting acidosis also greatly impairs cell metabolic functions.
  • 54.
    • excitatory neurotransmitters(glutamate, aspartate, and kainic acid), is significantly increased in regions of brain ischemia. • Hypoxia, hypoglycemia, and ischemia all contribute to cause energy depletion and an increase in glutamate release but a decrease in glutamate uptake. • Glutamate entry opens membranes and increases Na+ and Ca+ influx into cells. • Large influxes of Na are followed by entry of chloride ions and water, causing cell swelling and edema. • Glutamate is an agonist at both NMDA and non-NMDA (kainate and quisqualate) receptor types, but only NMDA receptors are linked to membrane channels with high calcium permeability.
  • 55.
    Interaction within ischemicpathophysiology of the currently most promising candidates for a multimodal neuroprotective approach. Marc Fisher et al. Stroke. 2006;37:1129-1136 Copyright © American Heart Association, Inc. All rights reserved.
  • 56.
    • All thesemetabolic changes cause a self-perpetuating cycle leading to more local biochemical changes, which in turn cause more neuronal damage. • At some point, the process of ischemia becomes irreversible, despite of reperfusion. • At times, although the severity of ischemia is insufficient to cause neuronal necrosis, ischemia may cause programmed cell death referred to as apoptosis.
  • 58.
    Core of theinfarct: • center of the zone where the blood flow is lowest. • Neurons undergo necrosis. • CBF ranges from 0 to 10 mL/100 g/min. Ischemic penumbra: • Zone of reduced perfusion in the periphery. • CBF ranges from 10 to 20 mL/100 g /min. • electrical failure but not permanent cell damage • Restoration of blood results in survival. • If blood flow is not restored cells undergo death by apoptosis.
  • 61.
    Arterial Occlusion andReaction to the Occlusive Process • Brain ischemia is a dynamic, anatomic-pathologic process. • At times, brain tissue, in imminent danger of irreversible death, nevertheless often recovers remarkably well. • To treat patients optimally, physicians must understand the various factors that affect outcome. • Vascular occlusion most often begins with formation of atherosclerotic plaques. • These plaques contain a mixture of lipid, smooth muscle, fibrous and collagen tissues, macrophages, and inflammatory cells.
  • 62.
    • When acritical plaque size and significant encroachment on the lumen develop, the atherosclerotic process often accelerates. • Platelets often adhere to irregular plaque surfaces. • Activated platelets release ADP and arachidonic acid. • arachidonic acid metabolized to thromboxane A2 by COX. • ADP, epinephrine, and collagen can all increase platelet aggregation. • Thromboxane A2 is a potent vasoconstrictor and inducer of further platelet aggregation and secretion.
  • 63.
    • At thesame time, the vascular endothelium may secrete prostacyclin, a potent vasodilator and inhibitor of platelet aggregation. • Both vascular patency and the formation of platelet fibrin clots are influenced by the balance between thromboxane A2, prostacyclin, and other factors. • Platelets adhesion to endothelium forms a “white clot” composed of platelets and fibrin. • Plaques often interrupt the endothelial lining of arteries and ulcerate.
  • 64.
    • Tissue factor,an important stimulator of the body’s coagulation system, is released. • The coagulation cascade is activated by this contact and a “red thrombus” composed of erythrocytes and fibrin forms within the lumen. • When white or red thrombi first form, they are poorly organized and only loosely adherent. • They often propagate and embolize. • Within a period of 1 to 2 weeks, thrombi organize and become more adherent and fragments are less likely to break off and embolize.
  • 65.
    • When amajor artery occludes, a crisis ensues. • Pressure drops distal to the occlusion, and the brain region supplied by that vessel is acutely deprived of blood. • Low pressure helps to draw blood from higher pressure regions hence Collateral circulation increases. • The severity of the ischemic crisis depends on the rate of vascular occlusion. • A vessel that gradually occludes may already have stimulated abundant collateral circulation so that final occlusion produces less stress on the system.
  • 66.
    Factors Affecting TissueSurvival • The survival of the brain regions at risk depends on a number of factors: (1) the adequacy of collateral circulation (2) the state of the systemic circulation (3) serologic factors (4) changes within the obstructing vascular lesion (5) resistance within the microcirculatory bed.
  • 67.
    1) Adequacy ofcollateral circulation: • Congenital deficiencies in the circle of Willis and prior occlusion of potential collateral vessels decrease the available collateral supply. • Hypertension or diabetes diminishes blood flow in smaller arteries and arterioles. • this will reduces the potential of the vascular system to supply blood flow to the needy region.
  • 68.
    2) State ofthe systemic circulation: • Cardiac pump failure, hypovolemia, and increased blood viscosity all reduce CBF. • Blood viscosity: – The two most important determinants of blood viscosity are the hematocrit and the fibrinogen levels. – lowering of the hematocrit by phlebotomy to below 40% can increase cerebral blood flow by as much as 50%.
  • 69.
    Blood pressure: – Lowblood pressure significantly reduces cerebral blood flow. – Elevation of blood pressure except at malignant ranges increases CBF. Hypovolemia: – Low blood and fluid volume also limit available blood flow in collateral channels.
  • 70.
    3) SEROLOGIC FACTORS: •The blood functions as a carrier of needed oxygen and other nutrients. • Hypoxia is clearly detrimental because each milliliter of blood delivers a less-than-normal oxygen supply. • Low blood sugar similarly increases the risk of cell death. • High blood sugar also can be detrimental to the ischemic brain. • Elevated serum calcium levels and high blood-alcohol content are also potential important detrimental variables.
  • 71.
    4) CHANGES WITHINTHE OBSTRUCTING VASCULAR LESION: • Embolic occlusive thrombi do not adhere to the vessel wall of the recipient artery and frequently move on. • Movement of embolus: – can block a more distal intracranial artery, causing added or new ischemia, or it may fragment and pass through the vascular bed. • Activation of thrombolytic system : – Clot formation activates an endogenous thrombolytic system. • Vaso spasm: – Sudden obstruction of a vascular lumen can cause reactive vasoconstriction (spasm).
  • 72.
    • Thrombolysis, passageof clots, and reversal of vasoconstriction all promote reperfusion of the ischemic zone. • If reperfusion occurs quickly enough, the stunned, reversibly ischemic brain may recover quickly. • The distal end of the thrombus can also break loose and embolize to an intracranial receptive site. • Hypercoagulable states promote such extension of thrombi.
  • 73.
    5) RESISTANCE WITHINTHE MICROCIRCULATORY BED: • The vast majority of CBF occurs through microscopic-sized vessels. • Hypertension and diabetes → arterio sclerosis → increased resistance in micro vascular bed. • Hyperviscosity and diffuse thromboses within the capillaries also increase the resistance in micro vascular bed • In general, studies of CBF are sensitive to changes in resistance in the microcirculatory bed. • CBF is inversely proportional to resistance in the vascular bed.
  • 74.
    BRAIN EDEMA ANDINCREASED INTRACRANIAL PRESSURE • Cerebral edema and ICP also influence survival of brain tissue and patient recovery after vascular occlusions. • There are two types of brain edema: (1) Cytotoxic edema: – water accumulation inside cells (2) Vasogenic edema: – fluid within the extracellular space. • In any case, severe edema may cause gross swelling of the brain. • Leads to shifts in position of brain tissue and and herniation of brain contents from one compartment to another.
  • 75.
    (1)Cytotoxic edema: – wateraccumulation inside cells. – also referred to as dry edema. – caused by energy failure, with movement of ions and water across the cell membranes into cells. – Brain swelling caused by cytotoxic edema means a large volume of dead or dying brain cells, which implies a bad outcome. – Usually seen after arterial occlusion d/t energy failure.
  • 76.
    (2) Vasogenic edema: –fluid within the extracellular space. – Also referred as wet edema because in such cases, the cut surface of the brain oozes edema fluid. – influenced by hydrostatic pressure factors and by osmotic factors. – breakdown of the blood-brain barrier → proteins and other macromolecules enter the extracellular space → exert an osmotic gradient → pulling water into the extracellular space. – Preferentially involves cerebral white matter [d/t the difference in compliance between gray and white matter].
  • 77.
    Events during theFirst Three Weeks after Vascular Occlusion • Tenuous balance created by occlusion of a major artery is temporary and usually resolves in 2 to 3 weeks at most. • During this period, any systemic changes, such as decrease in fluid volume or drop in blood pressure, can cause worsening of symptoms. • By 3 weeks, either the brain tissue has died, causing a brain infarct, or collateral sources of blood flow develop that adequately supply the region at risk.
  • 78.
    • In theinitial 2 weeks the occlusive thrombus, loosely adheres to the vessel wall, can undergo distal embolisation. • By 2 to 3 weeks, the clot has become more adherent and has much less tendency to embolize. • Most studies show a low frequency of progression of acute ischemic deficits after 2 weeks. • During initial few weeks after a vascular occlusion, the question of death or survival of at-risk brain tissue can be viewed as a clash between factors.
  • 79.
    “good guys” versus“bad guys” response

Editor's Notes

  • #56 Interaction within ischemic pathophysiology of the currently most promising candidates for a multimodal neuroprotective approach. Stroke onset triggers an array of mechanisms, including depolarization of presynaptic neurons, glutamate release, activation of postsynaptic glutamate receptors, and subsequent intracellular calcium increase with subsequent activation of apoptosis and toxic radical release. The ischemia-induced inflammation then further maintains these processes. Particularly, hypothermia (blue bar) and G-CSF treatment (yellow bar) interact with multiple mechanisms of the ischemic cascade. The green bar within the cell membrane indicates the membrane-stabilizing function of citicoline. After passing through the acute phase of the stroke, reorganization processes such as neurogenesis, axogenesis, and synaptogenesis are induced by recovery-inducing and enhancing factors such as G-CSF (yellow arrow).