Adjuvant Radiotherapy in locally advancedAdjuvant Radiotherapy in locally advanced
Stomach CancersStomach Cancers
Dr. Ashutosh Mukherji
Associate Professor,
Department of Radiotherapy,
Regional Cancer Centre, JIPMER
BACKGROUND…….
• Stomach cancer 5th most common cancer in males and
7th most common cancer in females in India. [V Rao DN,
Ganesh B. Estimate of cancer incidence in India in 1991. Indian J
Cancer, 1998]
• Surgery is standard of treatment; high incidence of
local and distal recurrence seen even after adequate
radical surgery; hence need for adjuvant therapy.
[D’Souza MA, Singh K, Shrikhande SV. J Cancer Res Ther 2009]
2
Primary Treatment of Gastric Cancer is
Surgery
5 Year Survival by Stage
4
Is there a role for radiation in the
treatment of gastric cancer?
Conventional radiation IMRT radiation
High risk of a local relapse
after surgery
Site of a local relapse after
surgery
Post Operative or PreOp
Radiation for Gastric
Cancer
Local relapse (PostOp Trial, British Stomach Cancer Group,
Lancet. 1994 May 28;343(8909):1309-12)
surgery alone (27%)
surgery plus radiation (10%)
surgery plus chemotherapy (19%)
Survival (PreOp Trial by Zhang Int J Radiat Oncol Biol Phys. 1998 Dec
1;42(5):929-34)
surgery alone (20%)
radiation then surgery (30%)
• Post – operative chemo-radiation has been studied in the
INT-0116 Trial (MacDonald’s Trial)
[MacDonald JS et al. Chemoradiotherapy after surgery compared
with surgery alone for adenocarcinoma of the stomach or gastro-
esophageal junction. N Eng J Med 2001]
• There was significant improvement in survival and
decrease in local recurrence. BUT MORE THAN A THIRD
HAD GRADE 3 & 4 TOXICITIES.
9
Updated Analysis of SWOG-Directed Intergroup Study 0116:
A Phase III Trial of Adjuvant Radiochemotherapy Versus
Observation After Curative Gastric Cancer Resection
JCO July 1, 2012 vol. 30 no. 192327-2333
Relapse-free survival of patients treated with adjuvant
chemoradiation as compared with untreated control patients. CRT =
chemoradiotherapy; RFS = relapse free survival.
International Journal of Radiation Oncology * Biology * Physics
Volume 63, Issue 5 , Pages 1279-1285, 1 December 2005
5yr RFS
CRT (+) 54.5%
CRT (-) 47.9%
0 20 40 60 80 100 120
Months
Relapse Free Survival after Surgery for Gastric
Cancer with or without CRT (chemo-radiation)
12
13
Survival after radiotherapy in gastric
cancer: systematic review and meta-
analysis
Radiotherapy had a significant impact on 5-year survival. Using an intent to
treat (ITT) and a Per Protocol (PP) analysis, the overall 5-year RR was
1.26 and 1.31 respectively. (Survival improved by 26 to 31%)
This meta-analysis showed a statistically significant 5-year survival benefit
with the addition of radiotherapy in patients with resectable gastric cancer.
Radiother Oncol. 2009 Aug;92(2):176-83
Impact of adjuvant radiation therapy (RT) on
overall survival (OS)
15
favors radiation favors no radiation
Radiotherapy had a significant impact
on 5-year survival. Using an intent to
treat (ITT) and a Per Protocol (PP)
analysis, the overall 5-year RR was
1.26 and 1.31 respectively. (Survival
improved by 26 to 31%)
Meta-analysis showed a statistically
significant 5-year survival benefit with
the addition of radiotherapy in patients
with resectable gastric cancer.
Radiother Oncol. 2009 Aug; 92(2):176-83
16
17
18
NCCN.org
Surgery or PostOp Chemo or Chemo-
RT then Surgery
Surgery or PostOp Chemo or Chemo-
RT then Surgery
R0 = complete resection with negative margins
Surgery or PostOp Chemo or Chemo-
RT then Surgery
High Risk Features: poor diff or high grade, lymphovascular or perineural
invasion or age <50y
Surgery or PostOp Chemo or Chemo-
RT then Surgery
R1 = resection with + microscopic margins
R2 = resection with macroscopic (visible) cancer left behind
CONTOURING OF TARGET VOLUMES AND
ORGANS AT RISK
24
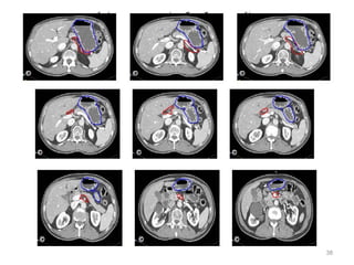
Stomach and Regional Anatomy– for
RT Planning
25
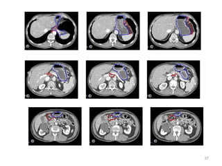
Stomach and Regional Lymph Nodes –
for RT Planning
26
Local
blood
supply
27
28
• Adjuvant chemo-RT to a dose of 45 Gy with fluoro-pyrimidine based
concurrent chemo is indicated in all locally advanced and node positive
disease who have not received pre-operative chemo and / or RT.
• Definitive chemo-RT to a dose of 45-50.4 Gy with fluoro-pyrimidine based
concurrent chemo (level 1 evidence) is indicated in all locally advanced
and node positive disease who are inoperable / medically unfit for
surgery.
• Target volume for all gastric cancers would include body of pancreas, full
stomach bed and all regional nodes. Depending on part of stomach
involved, CTV may include also diaphragm, duodenum or lower
esophagus.
29
As per NCCN guidelines
Organ dose constraints
30
OAR dose constraints
31
OAR dose constraints
32
2D RT Planning Portals Commonly used
33
• Definition of Target
Volumes
Anastomoses
Gastric bed
Lymph nodes
•Definition of OARs
Kidneys, liver,
lungs, heart, sp
cord
Target and OARs
Which lymph nodes have to be included in the CTV?
• individualize for GE-junction/Cardia (proximal), Corpus (middle)
and antrum (distal) tumors
• GE-junction/Cardia/proximal 1/3: para-oesophageal, perigastric,
hepatogastro lig, perigastric, ,celiac (left gastric artery, celiac
axis), splenic hilum, suprapancreatic, porta hepatis,
pancreaticoduodenal [stations 1-4;7,9-13]
• Corpus/middle 1/3: perigastric, suprapyloric, infrapyloric, celiac
(left gastric artery, common hepatic artery and celiac axis),
splenic hilum, suprapancreatic, porta hepatis,
pancreaticoduodenal [stations 3-13]
• Antrum/distal 1/3: perigastric, suprapyloric, infrapyloric, splenic
artery, pancreaticoduodenal, porta hepatis, celiac (left gastric
artery, common hepatic artery and celiac axis), suprapancreatic
[stations 3-9;11-13] 35
36
37
38
39
Realistic for CTV?
• Automatic CTV
expansions may
unrealistically cross
tissue boundaries.
Automatic CTV expansions
Margins for OARs
• ICRU 62 recommendations
suggest the use of margins
for OARs.
• Generate expanded OARs if
it is possible. e.g.;
CordExpand = Cord + 5 mm
BrainstemExpand = Brainstem + 5 mm
• Create “pseudo” structures
to achieve sparing at the
desired areas.
Defining Normal
Tissues
42
• Tissues to be spared need to be explicitly defined; e.g., oral
mucosa when changing from parallel-opposed to IMRT.
Defining OARs for
Optimization
• Create nonPTV OARs for
organs overlapping with
PTVs:
NonPTVSmallBowell,
NonPTVRectum,
NonPTVBladder, etc.
CONVENTIONAL RT OR IMRT
44
3D RECONSTRUCTION OF BEAM’S
EYE VIEW OF ARC IMRT
45
For Target Volumes
• Target volume maximal dose ideally should not be
more than 5-7% of the prescribed dose and minimum
dose to the target volume should not be less than 5%
of prescribed dose.
• Inhomogeneity within target volume kept to ± 10% of
the prescribed dose. ICRU 83 report is used for
describing IMRT has described D98%, D50%, and
D2%. (Dmax, Dmedian and Dmin)
• Dmax are checked in the dose colour wash in each
slice to note its location; whether it is within the PTV.
Dose distribution in treated area
47
For OARs
• In case of serial OARs, their Dmax is checked as
to whether it is limited to within tolerance
doses.
• In parallel OARS Dmean is seen for analysis.
Dmax is also noted to check for any undue hot
spots.
• Check plan sum of all phases of the treatment
plan to ensure once more that all dose
parameters are within prescribed limits.
Check Global Dose Maximum
• what is its value?
– not more than 107% for 3-D CRT
– can be higher for IMRT, but within 115%
• where is it located?
– it should be within CTV
– preferably within GTV
Cumulative DVH
• The computer calculates the volume that receives
at least the given dose and plots this volume (or
percentage volume) versus dose.
• Basically the area under curve is the volume of
tissue getting a dose and the smaller this area,
the better for an OAR.
• The tail of the curve should not ideally taper too
much to the right as this will mean a smaller
volume getting a higher dose.
THANK YOUTHANK YOU
51

Stomach adjuvant rt

  • 1.
    Adjuvant Radiotherapy inlocally advancedAdjuvant Radiotherapy in locally advanced Stomach CancersStomach Cancers Dr. Ashutosh Mukherji Associate Professor, Department of Radiotherapy, Regional Cancer Centre, JIPMER
  • 2.
    BACKGROUND……. • Stomach cancer5th most common cancer in males and 7th most common cancer in females in India. [V Rao DN, Ganesh B. Estimate of cancer incidence in India in 1991. Indian J Cancer, 1998] • Surgery is standard of treatment; high incidence of local and distal recurrence seen even after adequate radical surgery; hence need for adjuvant therapy. [D’Souza MA, Singh K, Shrikhande SV. J Cancer Res Ther 2009] 2
  • 3.
    Primary Treatment ofGastric Cancer is Surgery
  • 4.
    5 Year Survivalby Stage 4
  • 5.
    Is there arole for radiation in the treatment of gastric cancer? Conventional radiation IMRT radiation
  • 6.
    High risk ofa local relapse after surgery
  • 7.
    Site of alocal relapse after surgery
  • 8.
    Post Operative orPreOp Radiation for Gastric Cancer Local relapse (PostOp Trial, British Stomach Cancer Group, Lancet. 1994 May 28;343(8909):1309-12) surgery alone (27%) surgery plus radiation (10%) surgery plus chemotherapy (19%) Survival (PreOp Trial by Zhang Int J Radiat Oncol Biol Phys. 1998 Dec 1;42(5):929-34) surgery alone (20%) radiation then surgery (30%)
  • 9.
    • Post –operative chemo-radiation has been studied in the INT-0116 Trial (MacDonald’s Trial) [MacDonald JS et al. Chemoradiotherapy after surgery compared with surgery alone for adenocarcinoma of the stomach or gastro- esophageal junction. N Eng J Med 2001] • There was significant improvement in survival and decrease in local recurrence. BUT MORE THAN A THIRD HAD GRADE 3 & 4 TOXICITIES. 9
  • 10.
    Updated Analysis ofSWOG-Directed Intergroup Study 0116: A Phase III Trial of Adjuvant Radiochemotherapy Versus Observation After Curative Gastric Cancer Resection JCO July 1, 2012 vol. 30 no. 192327-2333
  • 11.
    Relapse-free survival ofpatients treated with adjuvant chemoradiation as compared with untreated control patients. CRT = chemoradiotherapy; RFS = relapse free survival. International Journal of Radiation Oncology * Biology * Physics Volume 63, Issue 5 , Pages 1279-1285, 1 December 2005 5yr RFS CRT (+) 54.5% CRT (-) 47.9% 0 20 40 60 80 100 120 Months
  • 12.
    Relapse Free Survivalafter Surgery for Gastric Cancer with or without CRT (chemo-radiation) 12
  • 13.
  • 14.
    Survival after radiotherapyin gastric cancer: systematic review and meta- analysis Radiotherapy had a significant impact on 5-year survival. Using an intent to treat (ITT) and a Per Protocol (PP) analysis, the overall 5-year RR was 1.26 and 1.31 respectively. (Survival improved by 26 to 31%) This meta-analysis showed a statistically significant 5-year survival benefit with the addition of radiotherapy in patients with resectable gastric cancer. Radiother Oncol. 2009 Aug;92(2):176-83
  • 15.
    Impact of adjuvantradiation therapy (RT) on overall survival (OS) 15 favors radiation favors no radiation Radiotherapy had a significant impact on 5-year survival. Using an intent to treat (ITT) and a Per Protocol (PP) analysis, the overall 5-year RR was 1.26 and 1.31 respectively. (Survival improved by 26 to 31%) Meta-analysis showed a statistically significant 5-year survival benefit with the addition of radiotherapy in patients with resectable gastric cancer. Radiother Oncol. 2009 Aug; 92(2):176-83
  • 16.
  • 17.
  • 18.
  • 19.
  • 20.
    Surgery or PostOpChemo or Chemo- RT then Surgery
  • 21.
    Surgery or PostOpChemo or Chemo- RT then Surgery R0 = complete resection with negative margins
  • 22.
    Surgery or PostOpChemo or Chemo- RT then Surgery High Risk Features: poor diff or high grade, lymphovascular or perineural invasion or age <50y
  • 23.
    Surgery or PostOpChemo or Chemo- RT then Surgery R1 = resection with + microscopic margins R2 = resection with macroscopic (visible) cancer left behind
  • 24.
    CONTOURING OF TARGETVOLUMES AND ORGANS AT RISK 24
  • 25.
    Stomach and RegionalAnatomy– for RT Planning 25
  • 26.
    Stomach and RegionalLymph Nodes – for RT Planning 26
  • 27.
  • 28.
  • 29.
    • Adjuvant chemo-RTto a dose of 45 Gy with fluoro-pyrimidine based concurrent chemo is indicated in all locally advanced and node positive disease who have not received pre-operative chemo and / or RT. • Definitive chemo-RT to a dose of 45-50.4 Gy with fluoro-pyrimidine based concurrent chemo (level 1 evidence) is indicated in all locally advanced and node positive disease who are inoperable / medically unfit for surgery. • Target volume for all gastric cancers would include body of pancreas, full stomach bed and all regional nodes. Depending on part of stomach involved, CTV may include also diaphragm, duodenum or lower esophagus. 29 As per NCCN guidelines
  • 30.
  • 31.
  • 32.
  • 33.
    2D RT PlanningPortals Commonly used 33
  • 34.
    • Definition ofTarget Volumes Anastomoses Gastric bed Lymph nodes •Definition of OARs Kidneys, liver, lungs, heart, sp cord Target and OARs
  • 35.
    Which lymph nodeshave to be included in the CTV? • individualize for GE-junction/Cardia (proximal), Corpus (middle) and antrum (distal) tumors • GE-junction/Cardia/proximal 1/3: para-oesophageal, perigastric, hepatogastro lig, perigastric, ,celiac (left gastric artery, celiac axis), splenic hilum, suprapancreatic, porta hepatis, pancreaticoduodenal [stations 1-4;7,9-13] • Corpus/middle 1/3: perigastric, suprapyloric, infrapyloric, celiac (left gastric artery, common hepatic artery and celiac axis), splenic hilum, suprapancreatic, porta hepatis, pancreaticoduodenal [stations 3-13] • Antrum/distal 1/3: perigastric, suprapyloric, infrapyloric, splenic artery, pancreaticoduodenal, porta hepatis, celiac (left gastric artery, common hepatic artery and celiac axis), suprapancreatic [stations 3-9;11-13] 35
  • 36.
  • 37.
  • 38.
  • 39.
  • 40.
    Realistic for CTV? •Automatic CTV expansions may unrealistically cross tissue boundaries. Automatic CTV expansions
  • 41.
    Margins for OARs •ICRU 62 recommendations suggest the use of margins for OARs. • Generate expanded OARs if it is possible. e.g.; CordExpand = Cord + 5 mm BrainstemExpand = Brainstem + 5 mm • Create “pseudo” structures to achieve sparing at the desired areas.
  • 42.
    Defining Normal Tissues 42 • Tissuesto be spared need to be explicitly defined; e.g., oral mucosa when changing from parallel-opposed to IMRT.
  • 43.
    Defining OARs for Optimization •Create nonPTV OARs for organs overlapping with PTVs: NonPTVSmallBowell, NonPTVRectum, NonPTVBladder, etc.
  • 44.
  • 45.
    3D RECONSTRUCTION OFBEAM’S EYE VIEW OF ARC IMRT 45
  • 46.
    For Target Volumes •Target volume maximal dose ideally should not be more than 5-7% of the prescribed dose and minimum dose to the target volume should not be less than 5% of prescribed dose. • Inhomogeneity within target volume kept to ± 10% of the prescribed dose. ICRU 83 report is used for describing IMRT has described D98%, D50%, and D2%. (Dmax, Dmedian and Dmin) • Dmax are checked in the dose colour wash in each slice to note its location; whether it is within the PTV.
  • 47.
    Dose distribution intreated area 47
  • 48.
    For OARs • Incase of serial OARs, their Dmax is checked as to whether it is limited to within tolerance doses. • In parallel OARS Dmean is seen for analysis. Dmax is also noted to check for any undue hot spots. • Check plan sum of all phases of the treatment plan to ensure once more that all dose parameters are within prescribed limits.
  • 49.
    Check Global DoseMaximum • what is its value? – not more than 107% for 3-D CRT – can be higher for IMRT, but within 115% • where is it located? – it should be within CTV – preferably within GTV
  • 50.
    Cumulative DVH • Thecomputer calculates the volume that receives at least the given dose and plots this volume (or percentage volume) versus dose. • Basically the area under curve is the volume of tissue getting a dose and the smaller this area, the better for an OAR. • The tail of the curve should not ideally taper too much to the right as this will mean a smaller volume getting a higher dose.
  • 51.