Stages of tooth development
Amjad al.bleahid
Introduction
• The developmental stages are based on
the shape of the epithelial part
(ectodemal component) of the developing
tooth germ
• These stages are called the bud, cap & the
bell stages
A tooth germ consist of three
parts
1-An enamel organ, which is derived from
the oral ectoderm
2- A dental papilla, which is derived from
the ectomesenchyme
3-A dental sac, which is also derived from
ectomesenchyme
A) Enamel organ
1-Outer enamel epithelium
2-Inner enamel epithelium
3-The stellate reticulum
B) Dental papilla
• It is a condensation of the
ectomesenchyme at the epithelial
concavity (Cellular condensation)
c) Dental sac
• There is marginal condensation of the
ectomesenchyme surrounding the enamel
organ & dental papilla (Cellular condensation)
• The enamel organ produces enamel
• Dental papilla produces dentin & pulp
• Dental sac produces cementum, periodontal
ligament & alveolar bone
Stages of tooth development
• 1-Bud stage
• 2-cap stage
• 3-bell stage
1-Bud stage
• At certain points along the dental lamina
• At the site of the future deciduous teeth
• The epithelial cells proliferate
to form little buds called
enamel organ which
grow into the ectomesenchyme
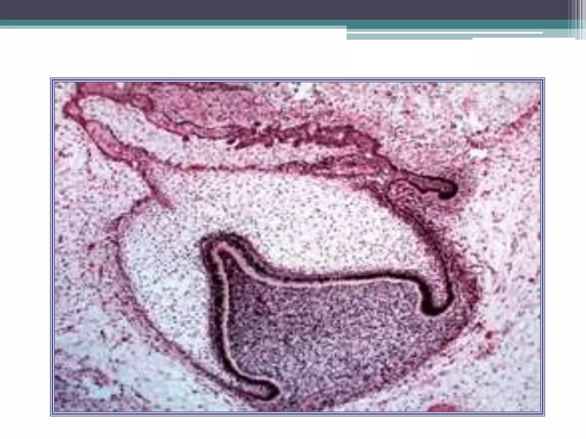
2-Cap stage
• There is uneven growth of the bud, as the
outer margins grow faster than its center
which leads to change in the shape of the
tooth germ to be in a cap form
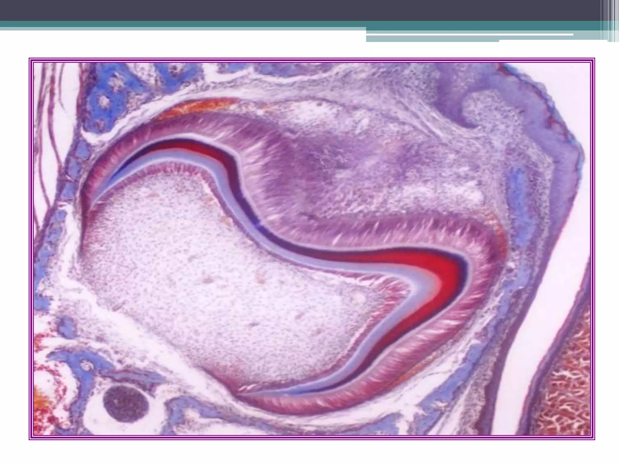
3-Bell stage
• Continued uneven growth of the tooth
germ leads to the next stage of tooth
development, the bell stage give tow
stages :
• 1-Early bell stage
• 2-late bell stage
A) Early bell stage
(Histodifferentiation and morphodifferentiation)
the tooth crown assumes its final shape
B) Late bell stage
• (appositional stage), this stage is
associated with the formation of dental
hard tissues
Review
• The enamel organ produces ……………
• Dental papilla produces ……………. & ……………
• Dental sac produce …………… , ……………… & ………………
References
• Avery, J.K., Daniel, J & Chiego, Jr: Essential of
Oral Histology and Embryology. A clinical
Approach 4th ed 2013
• Avery, J.K. : Oral development and
Histology, 3rd ed New York Thieme 2002
Thank you

Stages of tooth development

  • 1.
    Stages of toothdevelopment Amjad al.bleahid
  • 2.
    Introduction • The developmentalstages are based on the shape of the epithelial part (ectodemal component) of the developing tooth germ • These stages are called the bud, cap & the bell stages
  • 3.
    A tooth germconsist of three parts 1-An enamel organ, which is derived from the oral ectoderm 2- A dental papilla, which is derived from the ectomesenchyme 3-A dental sac, which is also derived from ectomesenchyme
  • 4.
    A) Enamel organ 1-Outerenamel epithelium 2-Inner enamel epithelium 3-The stellate reticulum
  • 5.
    B) Dental papilla •It is a condensation of the ectomesenchyme at the epithelial concavity (Cellular condensation)
  • 6.
    c) Dental sac •There is marginal condensation of the ectomesenchyme surrounding the enamel organ & dental papilla (Cellular condensation)
  • 7.
    • The enamelorgan produces enamel • Dental papilla produces dentin & pulp • Dental sac produces cementum, periodontal ligament & alveolar bone
  • 8.
    Stages of toothdevelopment
  • 9.
    • 1-Bud stage •2-cap stage • 3-bell stage
  • 10.
    1-Bud stage • Atcertain points along the dental lamina • At the site of the future deciduous teeth • The epithelial cells proliferate to form little buds called enamel organ which grow into the ectomesenchyme
  • 11.
    2-Cap stage • Thereis uneven growth of the bud, as the outer margins grow faster than its center which leads to change in the shape of the tooth germ to be in a cap form
  • 12.
    3-Bell stage • Continueduneven growth of the tooth germ leads to the next stage of tooth development, the bell stage give tow stages : • 1-Early bell stage • 2-late bell stage
  • 13.
    A) Early bellstage (Histodifferentiation and morphodifferentiation) the tooth crown assumes its final shape
  • 14.
    B) Late bellstage • (appositional stage), this stage is associated with the formation of dental hard tissues
  • 15.
  • 16.
    • The enamelorgan produces …………… • Dental papilla produces ……………. & …………… • Dental sac produce …………… , ……………… & ………………
  • 21.
    References • Avery, J.K.,Daniel, J & Chiego, Jr: Essential of Oral Histology and Embryology. A clinical Approach 4th ed 2013 • Avery, J.K. : Oral development and Histology, 3rd ed New York Thieme 2002
  • 22.