Head & Neck
Deep Neck Spaces
Mohamed Zaitoun
Assistant Lecturer-Diagnostic Radiology
Department , Zagazig University Hospitals
Egypt
FINR (Fellowship of Interventional
Neuroradiology)-Switzerland
zaitoun82@gmail.com
Knowing as much as
possible about your enemy
precedes successful battle
and learning about the
disease process precedes
successful management
Deep Neck Spaces
1-Anterior Visceral Space
2-Carotid Space
3-Retropharyngeal Space
4-Posterior Cervical Space
5-Perivertebral Space
1-Visceral space :
-Central compartment containing
several viscera like the larynx,
thyroid, hypopharynx and cervical
esophagus
2-Carotid space :
-Paired space just lateral to the visceral
compartment which contains the internal
carotid artery, internal jugular vein and
several neural structures
3-Retropharyngeal space :
-A small virtual space containing only fat
continuous with the suprahyoid space and
the middle mediastinum
4-Posterior Cervical Space :
-Paired space posterolateral to the carotid
space
-It contains fat, lymph nodes and neural
elements
5-Perivertebral space :
-This large space completely
encircles the vertebral body including
the pre- and paravertebral muscles
1-Anterior Visceral Space :
a) Extension :
From the hyoid to the anterior mediastinum
& doesn’t extend into the suprahyoid
space
b) Contents :
1-Larynx (Laryngocele, SCC & Chondrosarcoma)
2-Hypopharynx / Esophagus (Zenker’s
diverticulum & SCC)
3-Trachea (Carcinoma & Benign stenosis)
4-Thyroid Gland
5-Parathyroid
6-Embryonal remnants (Thyroglossal cyst , 3rd
Branchial cyst)
7-Paratracheal lymph nodes (Mets, Lymphoma)
8-Recurrent laryngeal nerve paralysis
Laryngocele Types
Internal External Combined
Glottic SCC, axial contrast CT image shows a glottis mass in the left true cord
reaching the anterior commissure (black asterisk), mild thickening of
posterior commissure is noted (thick black arrow) with sclerosis of left
arytenoid and left lamina of thyroid cartilage
Advanced SCC, axial CT+C shows a left cord mass (thin white arrows)
reaching anterior commissure (asterisk), note the sclerosis of the
left thyroid lamina and left cricoarytenoid joint (thin black arrows)
Zenker’s diverticulum
Cancer esophagus
CXR (a) shows an upper right paratracheal opacity narrowing the tracheal
lumen (arrow) , CT+C (b) confirms the eccentric lobulated soft tissue mass
that origins from the right anterolateral tracheal wall and narrows the lumen
of the upper trachea , coronal MPR image at mediastinal window setting (c)
better depicts the entire extent of the lesion
Mediastinal mass arising from the posterolateral wall of the trachea (a
characteristic feature) with invasion of mediastinal fat and
esophagus , Cystic adenoid carcinoma
Multinodular goiter Strap muscles on right side (yellow arrow) and
presumed position of strap muscles on the left (blue arrow)
Multinodular goiter with intrathoracic extension
Medullary thyroid carcinoma in a 32-year-old man, (a) Transverse
sonogram of the right lobe of the thyroid shows a large nodule with
coarse calcification and posterior acoustic shadowing (arrows),
(b) Axial CT shows the nodule with an internal focus of coarse
calcification (arrows)
Anaplastic thyroid carcinoma in an 84-year-old woman, (a) Transverse
sonogram of the left lobe of the thyroid shows an advanced tumor
with infiltrative posterior margins (arrows) and invasion of
prevertebral muscle, (b) Axial CT+C shows a large tumor that has
invaded the prevertebral muscle (arrows)
Axial CT images in noncontrast (A) early post-contrast (B) and delayed post-
contrast (C) phases demonstrate an intrathyroidal lesion with subtle
hypodensity on precontrast imaging and delayed enhancement, this
enhancement pattern is seen less commonly than early enhancement and
washout
A 63-year-old woman with primary hyperparathyroidism, CT demonstrates
avidly enhancing lesions in the orthotopic superior location (arrows)
bilaterally with rapid washout of contrast greater than that of the adjacent
thyroid gland (A and D: noncontrast phase; B and E: initial postcontrast
“arterial” phase; C and F: delayed postcontrast phase), this patient
underwent bilateral exploration, and bilateral superior parathyroid adenomas
were found at surgery
Thyroid ectopia associated with the hyoid bone in three patients, (a) Axial CT+C of a 36-
year-old man shows a thyroglossal duct cyst (arrowhead) intimately involved with the
anterior aspect of the hyoid bone (black arrow); normal fat is preserved in the
preepiglottic space (white arrow), (b, c) Sagittal (b) and axial (c) CT+C of a 49-year-
old man depict a thyroglossal duct cyst that conforms to the embryologic course of
the thyroglossal duct (magenta line in b), both anterior and posterior to the hyoid
bone, and compresses the preepiglottic fat (arrow), (d) Axial CT+C image of a 28-
year-old woman shows ectopic thyroid tissue in the same position as in c, appearing
both anterior and posterior to the hyoid bone
Paramedian thyroglossal duct cyst
Third branchial cleft cyst, CT+C at the level of the thyroid cartilage
reveals a large, well-defined, nonenhancing, water attenuation mass
(m) deep to the right sternocleidomastoid muscle (s), medially
displacing the common carotid artery and internal jugular vein
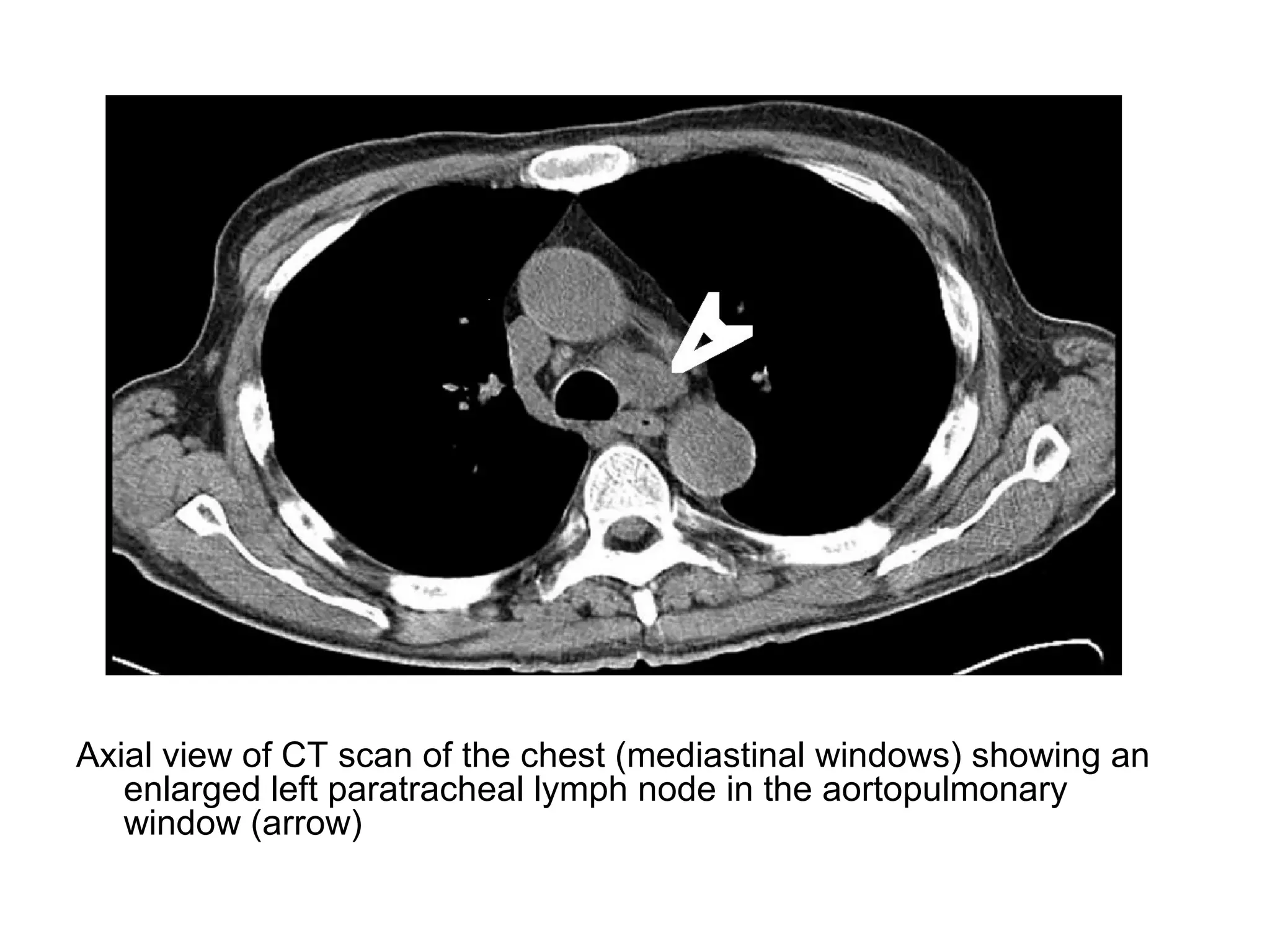
Axial view of CT scan of the chest (mediastinal windows) showing an
enlarged left paratracheal lymph node in the aortopulmonary
window (arrow)
Specific imaging characteristics of vocal cord paralysis (right side),
a Widening of the right laryngeal ventricle (arrow), b Medial
deviation and thickening of the right aryepiglottic fold (arrow),
c Dilatation of the right piriform sinus (arrow)
Left RLN palsy, axial CT scan obtained at the level of the hypopharynx
during quiet respiration shows left RLN palsy, note the distention of
the ipsilateral piriform fossa with air (*) and the medially rotated,
thickened ipsilateral aryepiglottic fold (arrow)
2-Carotid Space :
a) Extension :
-From skull base to the aortic arch
-It traverses the suprahyoid & infrahyoid
b) Contents :
1-Carotid artery (Aneurysm, Thrombosis, Dissection)
2-IJV (Thrombosis)
3-Cranial Nerves (9-12), schwannoma & neurofibroma
4-Lymph nodes (IJV chain of nodes), mets & lymphoma
5-Embryologic remnants : 2nd
Branchial cleft cyst
6-Sympathetic Plexus : Paraganglioma (Carotid body
tumor)
Carotid aneurysm, (a) Non-contrast-enhanced axial CT shows a round
soft tissue density mass in the right carotid space is seen, (b) CT+C
shows a round mass showing homogeneous enhancement is seen
in the right carotid space, (c) CT+C, coronal multiplanar reformation
(MPR) shows the right internal carotid fusiform aneurysm and its top
and bottom continuity with the internal carotid artery are shown
Thrombosis of IJV
Thrombosis of jugular vein
Thrombosis of the left internal jugular vein
Paraganglioma : T1+C at the level of the supraglottic larynx
Paraganglioma, (a) T1-weighted non-contrast MR, (b)
CT+C
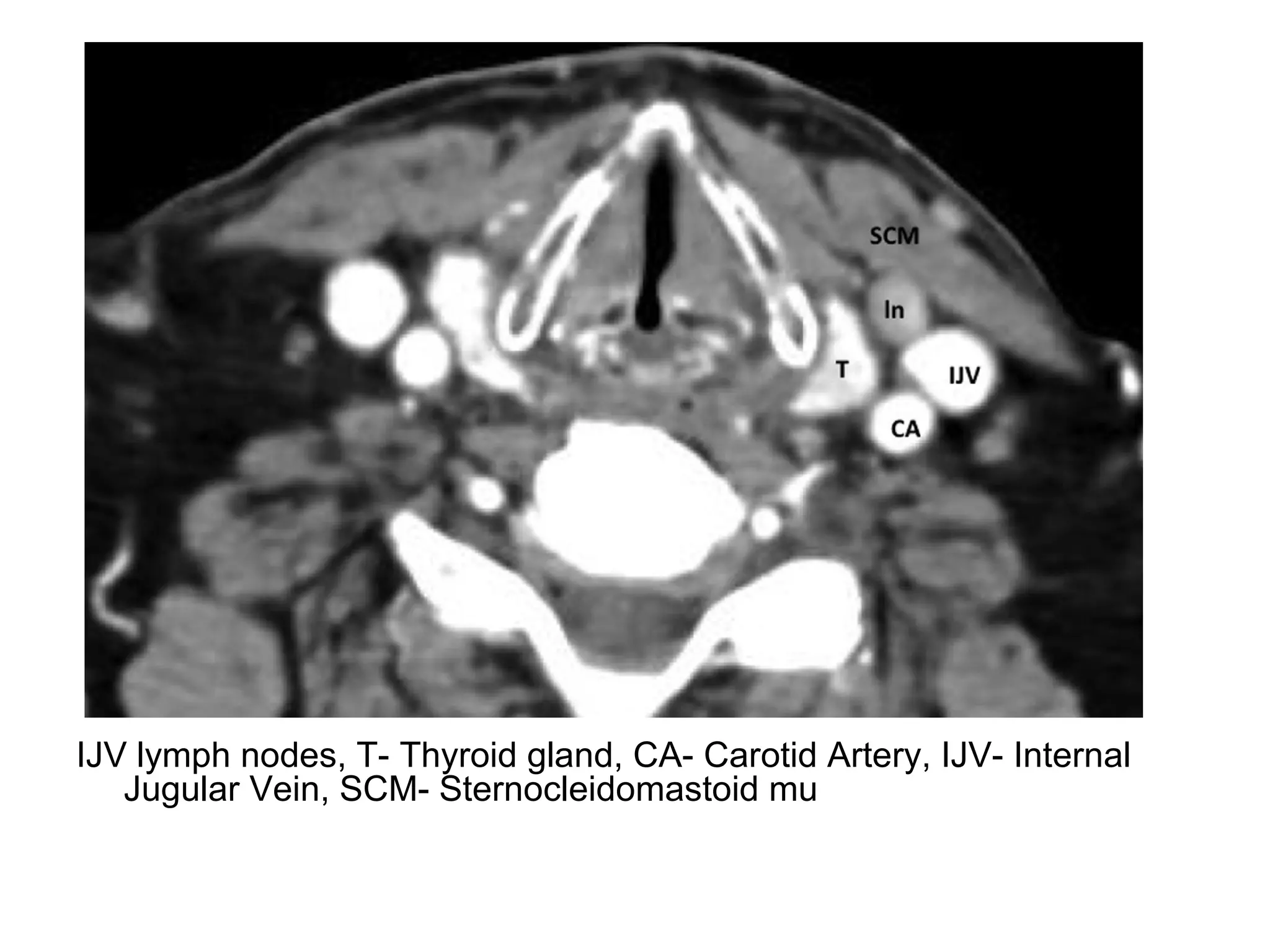
IJV lymph nodes, T- Thyroid gland, CA- Carotid Artery, IJV- Internal
Jugular Vein, SCM- Sternocleidomastoid mu
2nd
branchial cleft cyst
Carotid body tumor
3-Retropharyngeal Space :
a) Extension :
-Posterior potential midline space extends
superiorly to the base of the skull & inferiorly to
the posterior mediastinum at the level of the
tracheal bifurcation (T3 level)
b) Contents :
1-Retropharyngeal abscess
2-Fat (Lipoma & Liposarcoma)
3-Lymph Nodes (Mets ,infection & Lymphoma)
Retropharyngeal abscess in a 3-year-old girl with fever and throat pain,
(a) Lateral neck radiograph shows diffuse prevertebral soft tissue
swelling (arrows), (b) CT+C demonstrates a mildly enhancing, thick-
walled retropharyngeal fluid collection (arrow), these findings are
indicative of an abscess
Retropharyngeal abscess, CT+C shows a large retropharyngeal fluid
collection (arrows) with peripheral rimlike enhancement
Retropharyngeal lipoma
Axial CT+C of the skull base at the level of the hard palate shows an
enhancing right lateral retropharyngeal lymph node (asterisk) and 2
enhancing left superficial parotid masses
4-Posterior Cervical Space :
-Contents :
1-Fat
2-Cranial nerve XI (schwannoma, neurofibroma)
3-Brachial plexus :
-Schwannoma, neurofibroma
-Direct invasion of apical lung (Pancoast tumor), breast
carcinoma & lymphoma
4-Primitive Embryonic Lymph sacs (Cystic hygroma)
5-Lymph nodes (Lymphoma, metastases, TB)
Lipoma, The mass has the signal intensity of fat on a T1 (a) and the
signal is completely suppressed with fat suppression (b)
Cystic hygroma, axial CT+C show low-attenuation insinuating cystic
mass (arrows) in the posterior triangle of left side of neck in a 3
month old child
Lymphangioma
Lymphoma, CT image at the level of the hyoid bone shows multiple
rounded lesions medial to the sternocleidomastoid muscles and
dorsal to the internal jugular veins, these bilateral multiple lesions
are located in the posterior cervical space
5-Perivertebral Space :
-Contents :
1-Spine (OM, Tumors)
2-Paraspinous muscles (Myositis, abscess ,
sarcoma, fibromatosis)
3-Brachial plexus
4-Vertebral artery
Sarcoma, large soft tissue mass adjacent to the vertebral
body centered in the perivertebral space
Benign fibrous tumor, T1+C
Vertebral artery dissection, high signal in the location of the right
vertebral artery (click image for arrow), consistent with dissection
Vertebral artery dissection, T1 fat-saturated axial images show a dissection of
the right vertebral artery between C1 and the foramen magnum, (A) T1
signal hyperintensity surrounding the right vertebral artery (upper arrow) as
the artery courses between the posterior arch of C1 and the foramen
magnum, the lower arrow points to hyperintensity in a different portion of the
artery, indicating slow flow or occlusion, (B) The arrow points to a right
vertebral artery hyperintensity, indicating slow flow or occlusion
Diagnostic Imaging of Deep Neck Spaces

Diagnostic Imaging of Deep Neck Spaces

  • 1.
    Head & Neck DeepNeck Spaces
  • 2.
    Mohamed Zaitoun Assistant Lecturer-DiagnosticRadiology Department , Zagazig University Hospitals Egypt FINR (Fellowship of Interventional Neuroradiology)-Switzerland zaitoun82@gmail.com
  • 5.
    Knowing as muchas possible about your enemy precedes successful battle and learning about the disease process precedes successful management
  • 6.
    Deep Neck Spaces 1-AnteriorVisceral Space 2-Carotid Space 3-Retropharyngeal Space 4-Posterior Cervical Space 5-Perivertebral Space
  • 7.
    1-Visceral space : -Centralcompartment containing several viscera like the larynx, thyroid, hypopharynx and cervical esophagus 2-Carotid space : -Paired space just lateral to the visceral compartment which contains the internal carotid artery, internal jugular vein and several neural structures 3-Retropharyngeal space : -A small virtual space containing only fat continuous with the suprahyoid space and the middle mediastinum 4-Posterior Cervical Space : -Paired space posterolateral to the carotid space -It contains fat, lymph nodes and neural elements 5-Perivertebral space : -This large space completely encircles the vertebral body including the pre- and paravertebral muscles
  • 8.
    1-Anterior Visceral Space: a) Extension : From the hyoid to the anterior mediastinum & doesn’t extend into the suprahyoid space
  • 9.
    b) Contents : 1-Larynx(Laryngocele, SCC & Chondrosarcoma) 2-Hypopharynx / Esophagus (Zenker’s diverticulum & SCC) 3-Trachea (Carcinoma & Benign stenosis) 4-Thyroid Gland 5-Parathyroid 6-Embryonal remnants (Thyroglossal cyst , 3rd Branchial cyst) 7-Paratracheal lymph nodes (Mets, Lymphoma) 8-Recurrent laryngeal nerve paralysis
  • 11.
  • 12.
    Glottic SCC, axialcontrast CT image shows a glottis mass in the left true cord reaching the anterior commissure (black asterisk), mild thickening of posterior commissure is noted (thick black arrow) with sclerosis of left arytenoid and left lamina of thyroid cartilage
  • 13.
    Advanced SCC, axialCT+C shows a left cord mass (thin white arrows) reaching anterior commissure (asterisk), note the sclerosis of the left thyroid lamina and left cricoarytenoid joint (thin black arrows)
  • 14.
  • 15.
  • 16.
    CXR (a) showsan upper right paratracheal opacity narrowing the tracheal lumen (arrow) , CT+C (b) confirms the eccentric lobulated soft tissue mass that origins from the right anterolateral tracheal wall and narrows the lumen of the upper trachea , coronal MPR image at mediastinal window setting (c) better depicts the entire extent of the lesion
  • 17.
    Mediastinal mass arisingfrom the posterolateral wall of the trachea (a characteristic feature) with invasion of mediastinal fat and esophagus , Cystic adenoid carcinoma
  • 18.
    Multinodular goiter Strapmuscles on right side (yellow arrow) and presumed position of strap muscles on the left (blue arrow)
  • 19.
    Multinodular goiter withintrathoracic extension
  • 20.
    Medullary thyroid carcinomain a 32-year-old man, (a) Transverse sonogram of the right lobe of the thyroid shows a large nodule with coarse calcification and posterior acoustic shadowing (arrows), (b) Axial CT shows the nodule with an internal focus of coarse calcification (arrows)
  • 21.
    Anaplastic thyroid carcinomain an 84-year-old woman, (a) Transverse sonogram of the left lobe of the thyroid shows an advanced tumor with infiltrative posterior margins (arrows) and invasion of prevertebral muscle, (b) Axial CT+C shows a large tumor that has invaded the prevertebral muscle (arrows)
  • 23.
    Axial CT imagesin noncontrast (A) early post-contrast (B) and delayed post- contrast (C) phases demonstrate an intrathyroidal lesion with subtle hypodensity on precontrast imaging and delayed enhancement, this enhancement pattern is seen less commonly than early enhancement and washout
  • 24.
    A 63-year-old womanwith primary hyperparathyroidism, CT demonstrates avidly enhancing lesions in the orthotopic superior location (arrows) bilaterally with rapid washout of contrast greater than that of the adjacent thyroid gland (A and D: noncontrast phase; B and E: initial postcontrast “arterial” phase; C and F: delayed postcontrast phase), this patient underwent bilateral exploration, and bilateral superior parathyroid adenomas were found at surgery
  • 25.
    Thyroid ectopia associatedwith the hyoid bone in three patients, (a) Axial CT+C of a 36- year-old man shows a thyroglossal duct cyst (arrowhead) intimately involved with the anterior aspect of the hyoid bone (black arrow); normal fat is preserved in the preepiglottic space (white arrow), (b, c) Sagittal (b) and axial (c) CT+C of a 49-year- old man depict a thyroglossal duct cyst that conforms to the embryologic course of the thyroglossal duct (magenta line in b), both anterior and posterior to the hyoid bone, and compresses the preepiglottic fat (arrow), (d) Axial CT+C image of a 28- year-old woman shows ectopic thyroid tissue in the same position as in c, appearing both anterior and posterior to the hyoid bone
  • 26.
  • 27.
    Third branchial cleftcyst, CT+C at the level of the thyroid cartilage reveals a large, well-defined, nonenhancing, water attenuation mass (m) deep to the right sternocleidomastoid muscle (s), medially displacing the common carotid artery and internal jugular vein
  • 28.
    Axial view ofCT scan of the chest (mediastinal windows) showing an enlarged left paratracheal lymph node in the aortopulmonary window (arrow)
  • 29.
    Specific imaging characteristicsof vocal cord paralysis (right side), a Widening of the right laryngeal ventricle (arrow), b Medial deviation and thickening of the right aryepiglottic fold (arrow), c Dilatation of the right piriform sinus (arrow)
  • 30.
    Left RLN palsy,axial CT scan obtained at the level of the hypopharynx during quiet respiration shows left RLN palsy, note the distention of the ipsilateral piriform fossa with air (*) and the medially rotated, thickened ipsilateral aryepiglottic fold (arrow)
  • 31.
    2-Carotid Space : a)Extension : -From skull base to the aortic arch -It traverses the suprahyoid & infrahyoid b) Contents : 1-Carotid artery (Aneurysm, Thrombosis, Dissection) 2-IJV (Thrombosis) 3-Cranial Nerves (9-12), schwannoma & neurofibroma 4-Lymph nodes (IJV chain of nodes), mets & lymphoma 5-Embryologic remnants : 2nd Branchial cleft cyst 6-Sympathetic Plexus : Paraganglioma (Carotid body tumor)
  • 33.
    Carotid aneurysm, (a)Non-contrast-enhanced axial CT shows a round soft tissue density mass in the right carotid space is seen, (b) CT+C shows a round mass showing homogeneous enhancement is seen in the right carotid space, (c) CT+C, coronal multiplanar reformation (MPR) shows the right internal carotid fusiform aneurysm and its top and bottom continuity with the internal carotid artery are shown
  • 34.
  • 35.
  • 36.
    Thrombosis of theleft internal jugular vein
  • 37.
    Paraganglioma : T1+Cat the level of the supraglottic larynx
  • 38.
    Paraganglioma, (a) T1-weightednon-contrast MR, (b) CT+C
  • 39.
    IJV lymph nodes,T- Thyroid gland, CA- Carotid Artery, IJV- Internal Jugular Vein, SCM- Sternocleidomastoid mu
  • 40.
  • 41.
  • 42.
    3-Retropharyngeal Space : a)Extension : -Posterior potential midline space extends superiorly to the base of the skull & inferiorly to the posterior mediastinum at the level of the tracheal bifurcation (T3 level) b) Contents : 1-Retropharyngeal abscess 2-Fat (Lipoma & Liposarcoma) 3-Lymph Nodes (Mets ,infection & Lymphoma)
  • 44.
    Retropharyngeal abscess ina 3-year-old girl with fever and throat pain, (a) Lateral neck radiograph shows diffuse prevertebral soft tissue swelling (arrows), (b) CT+C demonstrates a mildly enhancing, thick- walled retropharyngeal fluid collection (arrow), these findings are indicative of an abscess
  • 45.
    Retropharyngeal abscess, CT+Cshows a large retropharyngeal fluid collection (arrows) with peripheral rimlike enhancement
  • 46.
  • 47.
    Axial CT+C ofthe skull base at the level of the hard palate shows an enhancing right lateral retropharyngeal lymph node (asterisk) and 2 enhancing left superficial parotid masses
  • 48.
    4-Posterior Cervical Space: -Contents : 1-Fat 2-Cranial nerve XI (schwannoma, neurofibroma) 3-Brachial plexus : -Schwannoma, neurofibroma -Direct invasion of apical lung (Pancoast tumor), breast carcinoma & lymphoma 4-Primitive Embryonic Lymph sacs (Cystic hygroma) 5-Lymph nodes (Lymphoma, metastases, TB)
  • 50.
    Lipoma, The masshas the signal intensity of fat on a T1 (a) and the signal is completely suppressed with fat suppression (b)
  • 51.
    Cystic hygroma, axialCT+C show low-attenuation insinuating cystic mass (arrows) in the posterior triangle of left side of neck in a 3 month old child
  • 52.
  • 53.
    Lymphoma, CT imageat the level of the hyoid bone shows multiple rounded lesions medial to the sternocleidomastoid muscles and dorsal to the internal jugular veins, these bilateral multiple lesions are located in the posterior cervical space
  • 54.
    5-Perivertebral Space : -Contents: 1-Spine (OM, Tumors) 2-Paraspinous muscles (Myositis, abscess , sarcoma, fibromatosis) 3-Brachial plexus 4-Vertebral artery
  • 56.
    Sarcoma, large softtissue mass adjacent to the vertebral body centered in the perivertebral space
  • 57.
  • 58.
    Vertebral artery dissection,high signal in the location of the right vertebral artery (click image for arrow), consistent with dissection
  • 59.
    Vertebral artery dissection,T1 fat-saturated axial images show a dissection of the right vertebral artery between C1 and the foramen magnum, (A) T1 signal hyperintensity surrounding the right vertebral artery (upper arrow) as the artery courses between the posterior arch of C1 and the foramen magnum, the lower arrow points to hyperintensity in a different portion of the artery, indicating slow flow or occlusion, (B) The arrow points to a right vertebral artery hyperintensity, indicating slow flow or occlusion