PRESENTATION
Thanks to my PG Trainee for the preparation of this presentation
Dr. BabarYasin
PGR II
Histopathology
FMH
SPECIAL STAINS
Histopathology
involves detailed
microscopic study of
diseased tissue after
use of special
techniques for
preparation of the
specimen.
 For us every specimen is a patient, which we
have to make talk and tell about itself.
Routine (H&E) staining
 Corner stone of tissue-based diagnosis.
 Haematoxylin dye stains cell nuclei blue.
 Eosin dye stains other structures pink or red.
 This technique provides exceptional detail of
tissue structure and the makeup of the cells.
 Special stains use a variety of dyes and
techniques to stain particular tissues,
structures or pathogens to assist pathologists
with tissue-based diagnosis.
MORPHOLOGIC DD OF HOMOGENOUS ACELLUAR
GLOMERULAR MATERIAL:
STAIN HYALINOSIS SCLEROSIS AMYLOID FIBROSIS FIBRIN
THROMBUS
H&E +++ +++ ++ ++ +++
PAS +++ +++ + ++ +
MS - +++ - + -
TRICHROM
E
RED/BLUE BLUE BLUE BLUE DARK
RED
CONGO
RED
- - +++ - -
PAS (Periodic Acid-Schiff)
 Stains basement membrane (normal and in
tumors), glycogen, some mucins and
mucopolysaccharides.
 Kidney: recommended for routine evaluation
of renal biopsies due to basement membrane
staining; also useful to diagnose renal cell
carcinoma.
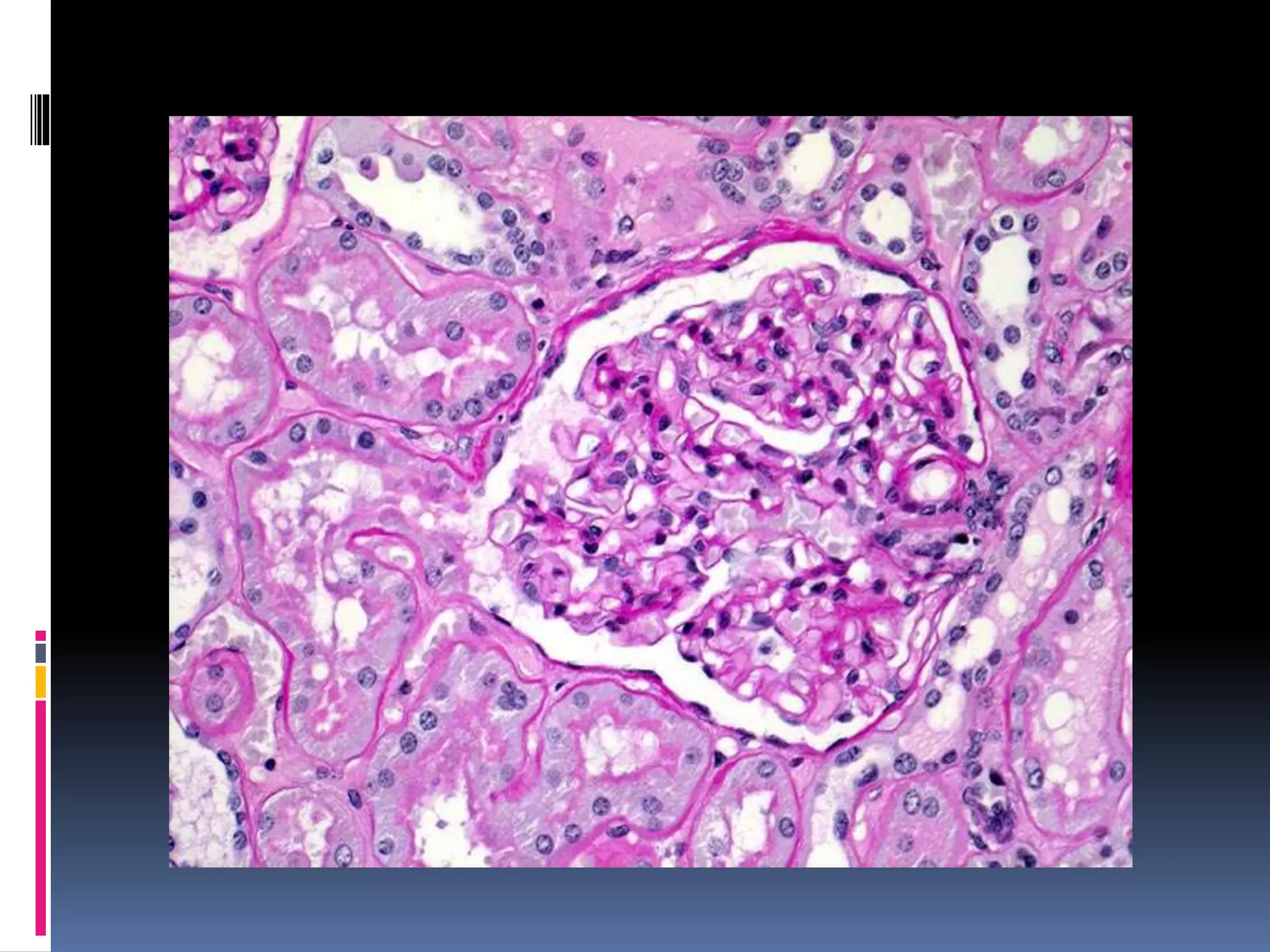
PAS STAINING OF A NORMAL GLOMERULOUS.
PAS highlights basement
membranes of glomerular
capillaries and tubular
epithelium.
Thin capillary
loops with
endothelial cells.
Normal size
mesangium.
Podocytes
forming viseral
epithelium
Bowman space
along with
Parietal
epithelial cells.
PAS STAINING IN MEMBRANOUS GN:
PAS STAINING IN FSGS
PAS STAINING IN NODULAR
GLOMERULOSCLEROSIS.
Kimmelstiel-Wilson Nodules highlight with PAS
stain
PAS STAINING IN LIGHT CHAIN DISEASE
DISEASE:
AMYLOIDOSIS:
MPGN: GLOBAL CRESENTS
THROMBOTIC MICROANGIOPATHY:
SILVER STAIN:
 Special stain for detecting fungi.
 Stains Basement membranes.
 There are several silver stains, including:
1) Grocott's methenamine silver stain, used
widely as a screen for fungal organisms.
2) Jones' stain, a methenamine silver-Periodic
acid-Schiff that stains for basement
membrane.
SILVER STAINING IN MEMBRANOUS GN:
Highlights the membrane in black.The spikes of basement membrane are
easily seen.
Black material completely surrounds the immune
deposits forming rings.
SILVER STAINING IN MPGN:
Double contour or the “tram tracking” of the membranes because
of reduplication.
SILVER STAINING IN DIABETIC
GLOMERULOPATHY
CRESENT FPRMATION:
COLLASPING GLOMERULOPATHY
TRICHROME STAINING:
 Trichrome is a three colour staining protocol
used in histology.
 The following staining is achieved:
1) Nuclei - blue/black.
2) Muscle, erythrocytes, cytoplasm – red
3) Connective tissue, in particular collagen -
blue/green.
TRICHROME STAINING IN FSGS:
Demonstrate blue
collagen deposition
TRICHROME STAINING IN MEMBRANOUS
GN:
The immune deposits with a
characteristic red color.
In stage 1,
deposits are
not
accompanied
by spikes.
In stage II,
the reaction
in outer
GBM
produces
spikes.
In stage III,
the GBM
has
completely
surrounded
the
deposits.
Stage IV,
GBM is
thickened.
Deposits are
disappearing
BRAIN STORMING
Arteriolar
Hyalinosis
Capsular
Drops
Micro-
Aneurisms
TRICHROME STAINING IN AYMLOIDOSIS:
TUBULO-INTERSTITIAL DISEASE:
CONCLUSION:
Special stains

Special stains