Macroscopic Structures of
Gingiva
Presented By โ€“ Abhishek Gakhar
23rd May 2012
Department of Periodontics
ITS Dental College, Hospital & Research Center
Greater Noida
Moderator- Dr. Sachit Anand Arora
Table Of Content
Periodontium & its Morphology
Gingiva & its Anatomy
Marginal Gingiva
Gingival Sulcus
Attached Gingiva
Interdental Gingiva
Clinical features of Healthy Gingiva
Age changes with Gingiva
Oral Mucosa
Masticatory
mucosa
(subjected
to high
compression
& friction as
in gingiva &
hard palate)
Specialized
mucosa
(specifically
in the regions
of the taste
buds on the
dorsum of the
tongue)
Lining
mucosa
(not
subjected to
high levels
of friction)
Periodontal Morphology
Alveolar
Bone
Root
Cementum
Periodontal
Ligament
Gingiva
Anatomy
of
Gingiva
Gingival Sulcus
Marginal Gingiva
Free Gingival Groove
Gingival Margin
Attached Gingiva
Interdental Gingiva
Interdental Papilla
Col
Alveolar Mucosa
Mucogingival Junction
Clinical Anatomy of Gingiva
Parts of Gingiva
Marginal
Gingiva
Attached
Gingiva
Interdental
Gingiva
All types are specifically structured to function against
the mechanical & microbial damage(1).
Histologically the attached gingiva better suited than
non-keratinised mucosa to withstand microbial
irritation (2) .
Marginal
Gingiva
Marginal Gingiva
Unattached Gingiva
Terminal edge or border
of gingiva .
in 50% cases it is
Demarcated by free
gingival groove.(3)
It forms the soft tissue
wall of the Gingival
Sulcus.
Free Gingival Groove
๏‚— A shallow line or depression on the gingival surface at
the junction of the free and attached gingivae.(3)
๏‚— Related Studies :Presence of free Gingival Groove in
different regions (4).
Region % of Free Gingival Groove
Right lower Premolars(44,45) 55%
Right lower Canine (43) 54%
Upper left Molars(26,27) 15%
Gingival Sulcus
The depth is 0-3mm for a
clinically normal gingival
sulcus.
The depth is measured
using a periodontal
probe.
๏‚— Under absolutely normal or ideal conditions the depth
of sulcus is 0mm or close to 0mm(5).
๏‚— Study related depth of sulcus in different aspects of the
tooth in a healthy gingiva.(4)
Location Highest Lowest
Mesio buccal
Aspect
Right upper second
molar (1.96 mm)
lower left canine
(1.14 mm)
Distobuccal
aspect
Left upper first molar
(1.71 mm)
Left lower first premolar
(1.13 mm)
Buccal
aspect
Upper right molars
(1.37 mm)
left lower canine
(0.86 mm).
Lingual &
Palatal aspect
Right upper second
molar (1.31 mm)
right lower incisors
(0.79 mm)
Attached
Gingiva
๏‚— Definition: It is firm & resilient gingiva, tightly bound
to the underlying periosteum of alveolar bone(6).
( Glossary of Periodontal terms, 4th Edition)
๏‚— Demarcation: Attached gingiva extends to the
relatively loose and movable alveolar mucosa, from
which it is demarcated by the mucogingival junction.
Functions and clinical importance
๏‚— Dissipates functional and masticatory stresses(7).
๏‚— Provides a resistant barrier to plaque induced
inflammation(8).
๏‚— Prevents Recession(9).
๏‚— Deepens vestibule to provide better access for tooth
brushing(10).
๏‚— Improves esthetics, patient comfort and ease of hygiene(11).
Width of attached Gingiva?
Definition:
The distance between the mucogingival junction and
the projection on the external surface of the bottom of
gingival sulcus or the periodontal pocket.
๏‚— The width of attached gingiva varies in different
individuals and on different teeth of the same
individual.(12)
Methods of measuring the width of Attached Gingiva
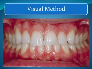
๏ฑVisual Method
๏ฑHistochemical Staining
๏‚— Lugolโ€™s Solution
๏‚— Shillerโ€™s Iodine
๏ฑClinical Method
Visual Method
Clinical Method
Pertinent Question?
How much zone of
keratinized gingiva is
necessary to maintain
the health of
Periodontium?
Paranoma
๏ฑLandmark Study : Lang & Loe(13)
๏ฑA study of width of attached gingiva : Bowers GM (7)
๏ฑLack of width of attached gingiva & deviation of soft
tissue recession : Wennstorm (14)
๏ฑThe width of the attached gingiva--much ado about
nothing : Mehta P, Lim LP(15)
๏ฑAssessment of the Width of Attached Gingiva in
Different Regions of the Mouth in an Indian
Subpopulation : Rajiv Subbaiah, Balaji Manohar(16) .
๏ฑLang & Loe : First controlled Clinical Trial
When the tooth surfaces kept free of clinically detectable
plaque.
๏‚— Surfaces >2mm of keratinized gingiva= Healthy
๏‚— Surfaces < 2mm of keratinized gingiva=Inflammed
๏‚— Which means 1mm or less than 1mm of attached gingiva
remain inflamed .(13)
๏‚— Lang & Loe strongly suggested that 2mm width of
keratinized gingiva is important for maintaining the
health.
๏‚— Bower said that less than 1mm of attached gingiva
may be sufficient(7).
๏‚— According to Wennstorm, the lack of minimum
amount of attached Gingiva does not necessary result
in a soft tissue recession (14).The narrow attached
gingiva apical to localized recession is a result of
recession rather than cause (14) .Proper plaque control
prevents soft tissue recession, even when it is out of
adequate width. (14)
๏‚— A study done by Mehta P, Lin LP. A REVIEW TO
OUTLINE THE SIGNIFICANCE OF ATTACHED
GINGIVA ON TEETH.
๏‚— Concluded: width of attached gingiva is not significant
to maintain periodontal health in the presence of
adequate oral hygiene.
๏‚— Gingival tissue around teeth with restorations or
undergoing labial orthodontic tooth movement may
be more susceptible to recession (15).
๏‚— Functional need for attached gingiva around implant
has not been established but its aesthetic value has
been widely accepted(15).
๏‚— A study done by Rajiv Subbaiah, Balaji Manohar on
Indian population & the average width of the attached
gingiva was found to be (16) :
Table-2 showing the width of attached gingiva in Indian population.
๏‚— Table -1 showing the normal width of attached gingiva
๏‚— Some Studies have also shown that the width of
attached gingiva is not significant to maintain
periodontal health in the presence of adequate oral
hygiene. [8]
Anterior Premolars
Maxillary 3.5-4.5mm 1.9mm
Mandibular 3.3-3.9mm 1.8mm
Mucogingival junction
๏‚— Definition -Junction between masticatory mucosa &
lining mucosa (i.e., attached gingiva & alveolar
mucosa)
๏‚— Location -on all gingival surfaces except the palatal
surface in humans.
๏‚— Clinical Relevance: Important anatomic landmark
for determining the "width" of keratinized gingiva;
flap designs & gingival grafts etc.
Interdental Gingiva
๏‚— DEFINATION : The interdental gingiva occupies the
gingival embrasures, which is the interproximal space
beneath the area of tooth contact.
๏‚— Shape : The interdental can be pyramidal or have a
"col" shape.
Interdental Gingiva
Papilla
๏‚— The tissue that resides in the interproximal embrasure
is called the interproximal papilla.
๏‚— Shape : The shape of this papilla varies from triangular
and knife-edge in the anterior regions due to point
sized contacts of the teeth to broader and more square
shaped tissue in the posterior sextants due to the teeth
having broad contact areas(17).
COL
This is a valley-like structure situated apical to the
contact area.
COL
Clinical Features of Healthy Gingiva
๏‚— Colour: The gingiva is typically coral pink in color, but
may vary due to physiologic pigmentation among
some races.(18)
๏‚— Factors affecting Color of Gingiva
๏‚ง Vascular supply
๏‚ง Thickness of epithelium
๏‚ง Degree of keratinization
๏‚ง Presence of pigment containing cells
Physiologic Pigmentation
Melanin Pigmentation
May appear in gingiva as early as 3 hrs. after the birth &
often is the only evidence of pigmentation (Dummet).
๏‚—Shape: The shape varies from triangular and knife-
edge in the anterior regions due to point sized contacts
of the teeth to broader and more square shaped tissue
in the posterior sextants due to the teeth having broad
contact areas.(18)
๏‚— Factors affecting the shape :
๏ƒ˜Contour of proximal tooth surface
๏ƒ˜Location & shape of Embrasures
๏‚—Size: The size of gingiva corresponds with sum total
of the bulk of cellular & intercellular elements.(18)
๏‚—Contours: The marginal gingiva envelopes the
teeth in a collar like fashion & follow a scalloped
outline on facial & lingual surfaces.(18)
๏‚— Contours depends on โ€“
๏ƒผShape of the tooth.
๏ƒผAlignment of teeth in arch.
๏ƒผLocation & size of the area of proximal contact.
๏ƒผDimension of facial & lingual embrasure.
๏‚— Variation in contour of Marginal Gingiva
๏ƒผScalloped outline on the facial & Lingual surfaces.
๏ƒผTeeth with relative flat surfaces : straight line.
๏ƒผTeeth with pronounced mesio-distal concavity of lingual
version :Normal Contour is accentuated .
๏ƒผTeeth in lingual version : Horizontal & thickened Contours.
๏ƒผIn Inflammed conditions : Still manโ€™s & McCallโ€™s Festoons.
๏‚—Consistency: The gingiva is firm & resilient with
exception of the movable free margin, tightly bound to
underlying bone.
๏‚— The collagenous nature of lamina propria & its
contiguity with mucoperiosteum of alveolar bone
determines the firmness of attached gingiva.
๏‚— Resilient is due to gingival fibers.
๏‚—Surface Texture: Stippled texture
The presence of minute pits & lobulated surface on
gingiva.
A texture similar to the orange peel appearance is refered
as stippled.
Varies with age:
๏ƒผAbsent in Infancy.
๏ƒผAppears at about 5 yrs. of age.
๏ƒผIncreases until adulthood.
๏ƒผFrequently disappear in old age.
๏‚— Position: The position of gingiva refers to the level at
which the gingival margin is attached to the tooth.
๏‚— It is 0-3 mm coronal to CEJ.(12)
๏‚— Position continues to change with age as eruption
continues throughout life (Gottlieb & Orban)
Effects of Aging on
Gingival Epithelium
โ€ข As the age increases the width of the band of
anatomical attached gingiva continues to increase
due to continuous compensatory eruption of
tooth/teeth. As a result the width of attached gingiva
will continue to increase unless there is a concurrent
reduction in height of gingival tissue due to
Periodontal breakdown(1,9) .
๏‚— Active Eruption- movement of teeth in the
direction of occlusal plane.
๏‚— Passive Eruption- Exposure of teeth by apical
migration of gingiva.
๏ถGottlieb believed that Active & Passive eruption
proceed together.
๏ฑActive eruption is coordinated with attrition ,
preserving the vertical dimension of dentition.
๏ถReduces clinical crown & prevents it from becoming
too long in relation to clinical root.
๏ถTooth substance lost by attrition is replaced by
lengthening of root by cementum deposition.
Appears to be healthy gingiva
References
๏‚— 1)Ainamo J & Tallari A: The increase with age of width
of attached gingiva, J Periodontal Res ;11:82, 1976
๏‚— 2)Lozdan J, Squier CA. The histology of Mucogingival
Junction. J Periodontal Res 1969; 4(2):83-93
๏‚— 3) Ainamo J, LoeH: Anatomical characteristics of
gingiva: a clinical & microscopic study of the free &
attached gingiva, J Periodontal Res; 37:5, 1966
๏‚— 4) Adileh Shirmohammadi, Masoumeh Faramarzie
,Ardeshir Lafzi ;A Clinical Evaluation of Anatomic Features
of Gingiva in Dental Students in Tabriz, Iran. JODDD;Vol.
2(3) :90-95
๏‚— 5)Gottlieb B, Orban B: Active & passive continuous
eruption of teeth. J Dent Res; 13:214, 1933
๏‚— 6) Glossary of Periodontal terms, 4th Edition
๏‚— 7) Bowers GM: A study of width of attached gingiva , J
Periodontol;34:210, 1963
๏‚— 8)Maynard J, Oschenbein C. Mucogingival problems,
prevalence & therapy in children. J Periodontol 1975;
46(9):543-552
๏‚— 9)Sullivan HC, Akkains JH. Free autogenous gingival
grafts; Periodontics 1962; 6(4):15-160
๏‚— 10) Nabers JM. Extension of the vestibular fornix
utilising a gingival graft- Case history. Periodontics
1966; 4(2):77-79
๏‚— 11)Chang H, Odman PA, Wannstorn JL, Anderson B.
Esthetic outcome of implant- supported single-tooth
replacement assessed by the patient & by
Prosthodontists. Int J Prosthodont. 1999; 12(4):335-341
๏‚— 15) Mehta P, Lim LP. The width of the attached gingiva--
much ado about nothing?. JDent2010;38(7):517-25
๏‚— 13)Lang & Loe. Importance of keratinised Gingiva. J
Periodontol Res 1972,7(2):133-139
๏‚— 16)Rajiv Subbaiah, Balaji Manohar. Assessment of the
Width of Attached Gingiva in Different Regions of the
Mouth in an Indian Subpopulation; JIDA, Vol. 6, No. 2,;96-
98
๏‚— 12)(Ainamo A, Aainamo J, Poikkeus R. Continuous
widening of the band of attached gingiva from 23-65years
of age. J Periodontal Res1981; 16(6): 595-99
๏‚— 12)(Ainamo A, Aainamo J, Poikkeus R. Continuous
widening of the band of attached gingiva from 23-
65years of age. J Periodontal Res1981; 16(6): 595-99
๏‚— 13)Lang & Loe. Importance of keratinised Gingiva. J
Periodontol Res 1972,7(2):133-139
๏‚— 14) Wennstorm JL: Lack of width of attached gingiva &
deviation of soft tissue recession. A 5year long study. J
Clin Periodontol 1987;14(3): 181-84.
๏‚— 15) Mehta P, Lim LP. The width of the attached
gingiva--much ado about nothing?.
JDent2010;38(7):517-25
๏‚— 16)Rajiv Subbaiah, Balaji Manohar. Assessment of the
Width of Attached Gingiva in Different Regions of the
Mouth in an Indian Subpopulation; JIDA, Vol. 6, No.
2,;96-98
๏‚— 17)Cohen B: Morphological factors in pathogenesis of
periodontal disease, Br Dent J 107:31,1959
๏‚— 18) The Anatomy and Physiology of the Healthy
Periodontium ,Anthony Palumbo ,Stony Brook
University, USA
Gingiva Macroscopic Features
Gingiva Macroscopic Features

Gingiva Macroscopic Features

  • 1.
    Macroscopic Structures of Gingiva PresentedBy โ€“ Abhishek Gakhar 23rd May 2012 Department of Periodontics ITS Dental College, Hospital & Research Center Greater Noida Moderator- Dr. Sachit Anand Arora
  • 2.
    Table Of Content Periodontium& its Morphology Gingiva & its Anatomy Marginal Gingiva Gingival Sulcus Attached Gingiva Interdental Gingiva Clinical features of Healthy Gingiva Age changes with Gingiva
  • 3.
    Oral Mucosa Masticatory mucosa (subjected to high compression &friction as in gingiva & hard palate) Specialized mucosa (specifically in the regions of the taste buds on the dorsum of the tongue) Lining mucosa (not subjected to high levels of friction)
  • 4.
  • 6.
  • 7.
    Gingival Sulcus Marginal Gingiva FreeGingival Groove Gingival Margin Attached Gingiva Interdental Gingiva Interdental Papilla Col Alveolar Mucosa Mucogingival Junction Clinical Anatomy of Gingiva
  • 8.
    Parts of Gingiva Marginal Gingiva Attached Gingiva Interdental Gingiva Alltypes are specifically structured to function against the mechanical & microbial damage(1). Histologically the attached gingiva better suited than non-keratinised mucosa to withstand microbial irritation (2) .
  • 9.
  • 10.
    Marginal Gingiva Unattached Gingiva Terminaledge or border of gingiva . in 50% cases it is Demarcated by free gingival groove.(3) It forms the soft tissue wall of the Gingival Sulcus.
  • 11.
    Free Gingival Groove ๏‚—A shallow line or depression on the gingival surface at the junction of the free and attached gingivae.(3) ๏‚— Related Studies :Presence of free Gingival Groove in different regions (4). Region % of Free Gingival Groove Right lower Premolars(44,45) 55% Right lower Canine (43) 54% Upper left Molars(26,27) 15%
  • 12.
  • 13.
    The depth is0-3mm for a clinically normal gingival sulcus. The depth is measured using a periodontal probe.
  • 14.
    ๏‚— Under absolutelynormal or ideal conditions the depth of sulcus is 0mm or close to 0mm(5). ๏‚— Study related depth of sulcus in different aspects of the tooth in a healthy gingiva.(4) Location Highest Lowest Mesio buccal Aspect Right upper second molar (1.96 mm) lower left canine (1.14 mm) Distobuccal aspect Left upper first molar (1.71 mm) Left lower first premolar (1.13 mm) Buccal aspect Upper right molars (1.37 mm) left lower canine (0.86 mm). Lingual & Palatal aspect Right upper second molar (1.31 mm) right lower incisors (0.79 mm)
  • 15.
  • 16.
    ๏‚— Definition: Itis firm & resilient gingiva, tightly bound to the underlying periosteum of alveolar bone(6). ( Glossary of Periodontal terms, 4th Edition) ๏‚— Demarcation: Attached gingiva extends to the relatively loose and movable alveolar mucosa, from which it is demarcated by the mucogingival junction.
  • 17.
    Functions and clinicalimportance ๏‚— Dissipates functional and masticatory stresses(7). ๏‚— Provides a resistant barrier to plaque induced inflammation(8). ๏‚— Prevents Recession(9). ๏‚— Deepens vestibule to provide better access for tooth brushing(10). ๏‚— Improves esthetics, patient comfort and ease of hygiene(11).
  • 18.
    Width of attachedGingiva? Definition: The distance between the mucogingival junction and the projection on the external surface of the bottom of gingival sulcus or the periodontal pocket. ๏‚— The width of attached gingiva varies in different individuals and on different teeth of the same individual.(12)
  • 19.
    Methods of measuringthe width of Attached Gingiva ๏ฑVisual Method ๏ฑHistochemical Staining ๏‚— Lugolโ€™s Solution ๏‚— Shillerโ€™s Iodine ๏ฑClinical Method
  • 20.
  • 21.
  • 22.
    Pertinent Question? How muchzone of keratinized gingiva is necessary to maintain the health of Periodontium?
  • 23.
    Paranoma ๏ฑLandmark Study :Lang & Loe(13) ๏ฑA study of width of attached gingiva : Bowers GM (7) ๏ฑLack of width of attached gingiva & deviation of soft tissue recession : Wennstorm (14) ๏ฑThe width of the attached gingiva--much ado about nothing : Mehta P, Lim LP(15) ๏ฑAssessment of the Width of Attached Gingiva in Different Regions of the Mouth in an Indian Subpopulation : Rajiv Subbaiah, Balaji Manohar(16) .
  • 24.
    ๏ฑLang & Loe: First controlled Clinical Trial When the tooth surfaces kept free of clinically detectable plaque. ๏‚— Surfaces >2mm of keratinized gingiva= Healthy ๏‚— Surfaces < 2mm of keratinized gingiva=Inflammed ๏‚— Which means 1mm or less than 1mm of attached gingiva remain inflamed .(13) ๏‚— Lang & Loe strongly suggested that 2mm width of keratinized gingiva is important for maintaining the health.
  • 25.
    ๏‚— Bower saidthat less than 1mm of attached gingiva may be sufficient(7). ๏‚— According to Wennstorm, the lack of minimum amount of attached Gingiva does not necessary result in a soft tissue recession (14).The narrow attached gingiva apical to localized recession is a result of recession rather than cause (14) .Proper plaque control prevents soft tissue recession, even when it is out of adequate width. (14)
  • 26.
    ๏‚— A studydone by Mehta P, Lin LP. A REVIEW TO OUTLINE THE SIGNIFICANCE OF ATTACHED GINGIVA ON TEETH. ๏‚— Concluded: width of attached gingiva is not significant to maintain periodontal health in the presence of adequate oral hygiene. ๏‚— Gingival tissue around teeth with restorations or undergoing labial orthodontic tooth movement may be more susceptible to recession (15). ๏‚— Functional need for attached gingiva around implant has not been established but its aesthetic value has been widely accepted(15).
  • 27.
    ๏‚— A studydone by Rajiv Subbaiah, Balaji Manohar on Indian population & the average width of the attached gingiva was found to be (16) : Table-2 showing the width of attached gingiva in Indian population.
  • 28.
    ๏‚— Table -1showing the normal width of attached gingiva ๏‚— Some Studies have also shown that the width of attached gingiva is not significant to maintain periodontal health in the presence of adequate oral hygiene. [8] Anterior Premolars Maxillary 3.5-4.5mm 1.9mm Mandibular 3.3-3.9mm 1.8mm
  • 29.
    Mucogingival junction ๏‚— Definition-Junction between masticatory mucosa & lining mucosa (i.e., attached gingiva & alveolar mucosa) ๏‚— Location -on all gingival surfaces except the palatal surface in humans. ๏‚— Clinical Relevance: Important anatomic landmark for determining the "width" of keratinized gingiva; flap designs & gingival grafts etc.
  • 31.
    Interdental Gingiva ๏‚— DEFINATION: The interdental gingiva occupies the gingival embrasures, which is the interproximal space beneath the area of tooth contact. ๏‚— Shape : The interdental can be pyramidal or have a "col" shape.
  • 32.
  • 33.
    Papilla ๏‚— The tissuethat resides in the interproximal embrasure is called the interproximal papilla. ๏‚— Shape : The shape of this papilla varies from triangular and knife-edge in the anterior regions due to point sized contacts of the teeth to broader and more square shaped tissue in the posterior sextants due to the teeth having broad contact areas(17).
  • 35.
    COL This is avalley-like structure situated apical to the contact area. COL
  • 37.
    Clinical Features ofHealthy Gingiva ๏‚— Colour: The gingiva is typically coral pink in color, but may vary due to physiologic pigmentation among some races.(18) ๏‚— Factors affecting Color of Gingiva ๏‚ง Vascular supply ๏‚ง Thickness of epithelium ๏‚ง Degree of keratinization ๏‚ง Presence of pigment containing cells
  • 38.
    Physiologic Pigmentation Melanin Pigmentation Mayappear in gingiva as early as 3 hrs. after the birth & often is the only evidence of pigmentation (Dummet).
  • 39.
    ๏‚—Shape: The shapevaries from triangular and knife- edge in the anterior regions due to point sized contacts of the teeth to broader and more square shaped tissue in the posterior sextants due to the teeth having broad contact areas.(18) ๏‚— Factors affecting the shape : ๏ƒ˜Contour of proximal tooth surface ๏ƒ˜Location & shape of Embrasures
  • 40.
    ๏‚—Size: The sizeof gingiva corresponds with sum total of the bulk of cellular & intercellular elements.(18) ๏‚—Contours: The marginal gingiva envelopes the teeth in a collar like fashion & follow a scalloped outline on facial & lingual surfaces.(18)
  • 41.
    ๏‚— Contours dependson โ€“ ๏ƒผShape of the tooth. ๏ƒผAlignment of teeth in arch. ๏ƒผLocation & size of the area of proximal contact. ๏ƒผDimension of facial & lingual embrasure.
  • 42.
    ๏‚— Variation incontour of Marginal Gingiva ๏ƒผScalloped outline on the facial & Lingual surfaces. ๏ƒผTeeth with relative flat surfaces : straight line. ๏ƒผTeeth with pronounced mesio-distal concavity of lingual version :Normal Contour is accentuated . ๏ƒผTeeth in lingual version : Horizontal & thickened Contours. ๏ƒผIn Inflammed conditions : Still manโ€™s & McCallโ€™s Festoons.
  • 43.
    ๏‚—Consistency: The gingivais firm & resilient with exception of the movable free margin, tightly bound to underlying bone. ๏‚— The collagenous nature of lamina propria & its contiguity with mucoperiosteum of alveolar bone determines the firmness of attached gingiva. ๏‚— Resilient is due to gingival fibers.
  • 44.
    ๏‚—Surface Texture: Stippledtexture The presence of minute pits & lobulated surface on gingiva. A texture similar to the orange peel appearance is refered as stippled. Varies with age: ๏ƒผAbsent in Infancy. ๏ƒผAppears at about 5 yrs. of age. ๏ƒผIncreases until adulthood. ๏ƒผFrequently disappear in old age.
  • 45.
    ๏‚— Position: Theposition of gingiva refers to the level at which the gingival margin is attached to the tooth. ๏‚— It is 0-3 mm coronal to CEJ.(12) ๏‚— Position continues to change with age as eruption continues throughout life (Gottlieb & Orban)
  • 46.
    Effects of Agingon Gingival Epithelium โ€ข As the age increases the width of the band of anatomical attached gingiva continues to increase due to continuous compensatory eruption of tooth/teeth. As a result the width of attached gingiva will continue to increase unless there is a concurrent reduction in height of gingival tissue due to Periodontal breakdown(1,9) .
  • 47.
    ๏‚— Active Eruption-movement of teeth in the direction of occlusal plane. ๏‚— Passive Eruption- Exposure of teeth by apical migration of gingiva. ๏ถGottlieb believed that Active & Passive eruption proceed together.
  • 48.
    ๏ฑActive eruption iscoordinated with attrition , preserving the vertical dimension of dentition. ๏ถReduces clinical crown & prevents it from becoming too long in relation to clinical root. ๏ถTooth substance lost by attrition is replaced by lengthening of root by cementum deposition.
  • 49.
    Appears to behealthy gingiva
  • 50.
    References ๏‚— 1)Ainamo J& Tallari A: The increase with age of width of attached gingiva, J Periodontal Res ;11:82, 1976 ๏‚— 2)Lozdan J, Squier CA. The histology of Mucogingival Junction. J Periodontal Res 1969; 4(2):83-93 ๏‚— 3) Ainamo J, LoeH: Anatomical characteristics of gingiva: a clinical & microscopic study of the free & attached gingiva, J Periodontal Res; 37:5, 1966
  • 51.
    ๏‚— 4) AdilehShirmohammadi, Masoumeh Faramarzie ,Ardeshir Lafzi ;A Clinical Evaluation of Anatomic Features of Gingiva in Dental Students in Tabriz, Iran. JODDD;Vol. 2(3) :90-95 ๏‚— 5)Gottlieb B, Orban B: Active & passive continuous eruption of teeth. J Dent Res; 13:214, 1933 ๏‚— 6) Glossary of Periodontal terms, 4th Edition ๏‚— 7) Bowers GM: A study of width of attached gingiva , J Periodontol;34:210, 1963
  • 52.
    ๏‚— 8)Maynard J,Oschenbein C. Mucogingival problems, prevalence & therapy in children. J Periodontol 1975; 46(9):543-552 ๏‚— 9)Sullivan HC, Akkains JH. Free autogenous gingival grafts; Periodontics 1962; 6(4):15-160 ๏‚— 10) Nabers JM. Extension of the vestibular fornix utilising a gingival graft- Case history. Periodontics 1966; 4(2):77-79 ๏‚— 11)Chang H, Odman PA, Wannstorn JL, Anderson B. Esthetic outcome of implant- supported single-tooth replacement assessed by the patient & by Prosthodontists. Int J Prosthodont. 1999; 12(4):335-341
  • 53.
    ๏‚— 15) MehtaP, Lim LP. The width of the attached gingiva-- much ado about nothing?. JDent2010;38(7):517-25 ๏‚— 13)Lang & Loe. Importance of keratinised Gingiva. J Periodontol Res 1972,7(2):133-139 ๏‚— 16)Rajiv Subbaiah, Balaji Manohar. Assessment of the Width of Attached Gingiva in Different Regions of the Mouth in an Indian Subpopulation; JIDA, Vol. 6, No. 2,;96- 98 ๏‚— 12)(Ainamo A, Aainamo J, Poikkeus R. Continuous widening of the band of attached gingiva from 23-65years of age. J Periodontal Res1981; 16(6): 595-99
  • 54.
    ๏‚— 12)(Ainamo A,Aainamo J, Poikkeus R. Continuous widening of the band of attached gingiva from 23- 65years of age. J Periodontal Res1981; 16(6): 595-99 ๏‚— 13)Lang & Loe. Importance of keratinised Gingiva. J Periodontol Res 1972,7(2):133-139 ๏‚— 14) Wennstorm JL: Lack of width of attached gingiva & deviation of soft tissue recession. A 5year long study. J Clin Periodontol 1987;14(3): 181-84.
  • 55.
    ๏‚— 15) MehtaP, Lim LP. The width of the attached gingiva--much ado about nothing?. JDent2010;38(7):517-25 ๏‚— 16)Rajiv Subbaiah, Balaji Manohar. Assessment of the Width of Attached Gingiva in Different Regions of the Mouth in an Indian Subpopulation; JIDA, Vol. 6, No. 2,;96-98 ๏‚— 17)Cohen B: Morphological factors in pathogenesis of periodontal disease, Br Dent J 107:31,1959 ๏‚— 18) The Anatomy and Physiology of the Healthy Periodontium ,Anthony Palumbo ,Stony Brook University, USA