Sacral Chordoma
• It is basically a rare,slowly growing locally aggressive malignant tumor that
arises from remenants of the notochord.
• Chordomas usually occur in sacrum(Sacrococcygeal region) and
cranium(Base of skull)
• They account for 1-4 percent of all malignancies.
• Sacral Chordoma is the most common primat malignancy of the sacrum.
First described by Virchow in 1857.
• The notochordal hypothesis is supported by the fact that the site of
notochord vestiges correspond closely to the distribution of chordomas
with a morphological similarity between these remnants and the
histopathology exhibited by chordomas.
Etiopathogenesis
• It is a remnant oF the notochord.
• Usually males are affected in the 5th-7th decade.
• Pathology
• Gross: Tumour is large,round,smooth soft bluish white with fibrous septate.Bone destroyed
replaced by Tumour.
• Microscopy:Lobular Architecture is the hallmark with abundant cytoplasm and nuclear atypia
• 3 types are there
• Conventional Chordoma (Most common)
• Chondroid Chordoma(Best prognosis)
• Dedifferentiated chordoma(Poor prognosis)
Clinical features
• Males in 5th-7th decade are affected.
• Patients may have a palpable mass.
• The patient will complain of lower back pain which worsens on sitting
and is not relieved with NSAIDS.
• There may be assoct urinary tract infection and constipation.
Investigations
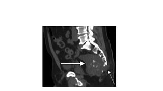
• 1)X-ray-Vertebral destruction
• 2)CT-Centrally located,well circumscribed, destructive lyric lesion with
sclerosis,expansile soft tissue mass
• 3)MRI-Low intensity T1 and high intensity T2
Differential diagnosis
• 1) Chondrosarcoma-Matrix has a typical ring and arcs
appearance.Chondrosarcoma usually affects thoracic spine.Usually
neuralarch is more commonly affected than vertebral body.
• 2)GCT-Females are affected
• Mc site sacrum>Thoracic spine>Cervical spine>Lumbar spine
• 3)Spinal Mets
Treatment
• Complete en bloc surgical resection is the treatment of choice with colostomy bone reconstruction and
stabilization of spine with myocutaneous flaps.
• Drugs-Imatinib,cisplatin, Doxorubicin.
• Radiotherapy is reserved for irresectable cases and palliative therapy as tumour is relatively radioresistant.
• The main complication is Reccurence (5-20 percent)
• 7-14 percent also have metastatic spread which could be to the lungs,brain or abdomen.
• As the tumour is locally aggressive the prognosis is poor With 10 year survival rate of approximately 40
percent.
• Thank you

Sacral chordoma

  • 1.
  • 2.
    • It isbasically a rare,slowly growing locally aggressive malignant tumor that arises from remenants of the notochord. • Chordomas usually occur in sacrum(Sacrococcygeal region) and cranium(Base of skull) • They account for 1-4 percent of all malignancies. • Sacral Chordoma is the most common primat malignancy of the sacrum. First described by Virchow in 1857. • The notochordal hypothesis is supported by the fact that the site of notochord vestiges correspond closely to the distribution of chordomas with a morphological similarity between these remnants and the histopathology exhibited by chordomas.
  • 3.
    Etiopathogenesis • It isa remnant oF the notochord. • Usually males are affected in the 5th-7th decade. • Pathology • Gross: Tumour is large,round,smooth soft bluish white with fibrous septate.Bone destroyed replaced by Tumour. • Microscopy:Lobular Architecture is the hallmark with abundant cytoplasm and nuclear atypia • 3 types are there • Conventional Chordoma (Most common) • Chondroid Chordoma(Best prognosis) • Dedifferentiated chordoma(Poor prognosis)
  • 5.
    Clinical features • Malesin 5th-7th decade are affected. • Patients may have a palpable mass. • The patient will complain of lower back pain which worsens on sitting and is not relieved with NSAIDS. • There may be assoct urinary tract infection and constipation.
  • 6.
    Investigations • 1)X-ray-Vertebral destruction •2)CT-Centrally located,well circumscribed, destructive lyric lesion with sclerosis,expansile soft tissue mass • 3)MRI-Low intensity T1 and high intensity T2
  • 8.
    Differential diagnosis • 1)Chondrosarcoma-Matrix has a typical ring and arcs appearance.Chondrosarcoma usually affects thoracic spine.Usually neuralarch is more commonly affected than vertebral body. • 2)GCT-Females are affected • Mc site sacrum>Thoracic spine>Cervical spine>Lumbar spine • 3)Spinal Mets
  • 9.
    Treatment • Complete enbloc surgical resection is the treatment of choice with colostomy bone reconstruction and stabilization of spine with myocutaneous flaps. • Drugs-Imatinib,cisplatin, Doxorubicin. • Radiotherapy is reserved for irresectable cases and palliative therapy as tumour is relatively radioresistant. • The main complication is Reccurence (5-20 percent) • 7-14 percent also have metastatic spread which could be to the lungs,brain or abdomen. • As the tumour is locally aggressive the prognosis is poor With 10 year survival rate of approximately 40 percent.
  • 10.