bone tumors (malignant)
Prepared by: Nibal Shawabkeh
Supervised by: Dr. Salim Abu Rmeileh
1
Bone Tumors
 Benign
 Malignant
2
Primary
Secondary
PRIMARY BONE TUMORS
 All components of bone are derived from the mesoderm  bone tumors
are
 potentially composed of any of its four stem cell types:
1. Fibroblast.
2. Chondroblast.
3. Osteoblast.
4. Reticulomylogenic cells.
3
Primary bone tumors
 Osteosarcoma
 Chondrosarcoma
 Ewings sarcoma
 Fibrosarcoma
 Multiple myeloma
4
5
Classification Of Primary Tumors Of Bone
Tissue origin Benign neoplasm Malignant neoplasm
Bone Osteoma
Osteochondroma
Osteoid osteoma
osteoblastoma
Osteogenic sarcoma
Parosteal osteosarcoma
Cartilage Enchondroma
Chondroblastoma
Chondromyxoid fibroma
Juxtacortical chondroma
Osteochondroma
Chondrosarcoma
Primary
secondary
Fibrous Nonossifying fibroma
Desmoplastic fibroma
Fibrous dysplasia
Osteofibrous dyspasia
fibrosarcoma
Uncertain Giant cell tumor
Fibrous histiocytoma
Malignant Giant cell tumor
Malignant fibrous histiocytoma
admantanoma
Marrow elements Histiocytosis X Lymphoma
Reticulum cell sarcoma
Lymphosarcoma
leukemia
Fat lipoma liposarcoma
Vascular Hemangioma
Glomus tumor
hemangiopericytoma
Angiosarcoma
Hemangioendothelioma
Malignant hemangiopericytoma
Notochord -- chordoma
undifferentiated -- Mesenchymal sarcoma
6
Osteosarcoma
 Arises from the osteoid tissue .
 Most common primary bone tumor in children .
 Age : 15- 19 years (teenagers) , also occur in the
elderly.
 Boys to girls ratio : 1.4:1.
 Usually occurs in the long bones.
 Most commonly : femur , tibia , humerus.
 Metastasis to lungs.
7
Types of osteosarcoma
 conventional types (osteoblastic, chondroblastic, and fibroblastic).
 Telangiectatic.
 Multifocal.
 Parosteal.
 Periosteal.
8
Etiology
 Rapid bone growth.
 Environmental factors : exposure to radiation.
 Genetics : bone dysplasia , Li-Fraumeni syndrome, Rothmund-Thomson syndrome.
9
Symptoms
 Most common symptom is pain ( usually and night and with activity) .
 Swelling .
 Sometimes pathological fractures.
10
Physical examination
 Depends on the site of the tumor :
 Mass
 Decreased range of motion
 Respiratory findings
11
Diagnosis
 Depends on history and physical examination.
 Lab studies : most importantly ALP , LDH
 Imaging studies.
 Bone biopsy : only definitive method to determine whether a tumor is benign or
malignant .
12
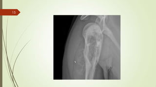
Imaging studies
 X ray : sun-burst" appearance and the apperance of Codman triangle.
 CT scanning
 MRI
 Bone scan
13
sun-burst" appearance14
15
Staging
 Stage I – Low-grade lesions
 Stage II – High-grade lesions
 Stage III – Metastases
 Subtypes : Substage A – Intracompartmental lesion (intramedullary lesion for bone tumors)
 Substage B – Extracompartmental lesion (extramedullary spread for bone tumors)
16
Treatment
 Medical : use of chemotherapy as neoadjuvant.
 Surgical. : tumor resection with an adequate margin.
17
prognosis
 Stage I : It has an excellent prognosis (>90%) with wide resection.
 Stage II : 2-year survival after the metastases of 50%, 5-year of 40% and 10 year of 20%
 Stage III: Overall survival prognosis is about 30%
18
Chondrosarcoma
 This is a rare tumor of the cartilage of the bone
 It is the malignant form of chondroma
 Second most common primary bone tumor
 It grows slowly and rarely spreads. Its most common site is at the base of the
skull.
 range from low-grade tumors with low metastatic potential to high-grade,
aggressive tumors characterized by early metastasis.
 More common among older people ( 30 and 60 years old).
 Males and females are equally affected.
 Usually affects the hips , pelvis and shoulder .
19
Chondrosarcoma types
 Conventional chondrosarcoma
 Dedifferentiated chondrosarcoma
 Clear cell chondrosarcoma
 Mesenchymal chondrosarcoma
 Juxtacortical chondrosarcoma
 Secondary chondrosarcoma
20
Chondrosarcoma Grades
 Grade I (low grade) – Cytologically similar to enchondroma[2] ; cellularity is
higher, with occasional plump nuclei with open chromatin structure
 Grade II (intermediate grade) – Characterized by a definite and increased
cellularity; distinct nucleoli are present in most cells, and foci of myxoid
change may be seen
 Grade III (high grade) – Characterized by high cellularity, prominent
nuclear atypia, and the presence of mitosis
21
Clinical Presentation
 Deep, dull, achy pain
 Pain at night
 Nerve dysfunction of the lumbosacral plexus or the sciatic or femoral
nerves, with pelvic lesions near a neurovascular bundle
 Limitation of joint range of motion and disturbance of joint function, with
chondrosarcomas close to a joint
 Pathologic fracture
22
Diagnosis
 History and physical examination.
 Imaging studies.
 biopsy .
23
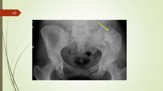
Imaging studies
 X ray : discrete calcification , appear large ,bony contour appears thinned and expanded .
 Periosteum overlying the tumor may be elevated.
 CT scan : detect subtle calcifications
 MRI : investigation of choice for assessing the extent of a chondrosarcoma.
 delineate the extent of soft-tissue involvement.
24
25
Treatment
 Medical : radiotherapy & chemotherapy play limited roles in primary treatment.
 Surgical : Complete, wide surgical excision of the chondrosarcoma .
26
Prognosis
 Conventional :
 Grade I : 90 % survival at 5 years
 Grade II : 81% survival at 5 years
 Grade III : 29% survival at 5 years
27
Ewings sarcoma
 Rare disease in which the cancer cells are found in in the bone or in soft tissue .
 most common areas : pelvis, femur, humerus, ribs and clavicle.
 occurs most frequently in teenagers and young adults.
 a male to female ratio of 1.6:1
 Thirty percent are overtly metastatic at presentation.
28
Etiology
 Genetic exchange: translocation between chromosomes 11 and 22.
29
Symptoms
 Localized pain
 Back pain, which may indicate a paraspinal, retroperitoneal, or deep pelvic tumor.
 Palpable mass
 Systemic symptoms of fever and weight loss, which often indicate metastatic disease
30
Diagnosis
 History and physical examination .
 Imaging studies
 Histology , Cytogenetic and molecular studies
31
Imaging studies
 X ray : permeative lytic lesion with periosteal reaction.
 CT scan : used to define the extraosseous extent of the tumor, especially in the skull, spine,
ribs and pelvis.
 MRI
 Bone scintigraphy : can also be used to follow tumor response to therayp
32
33
34
35
Treatment
 Treatment lasts 6-9 months and consists of alternating courses of 2 chemotherapeutic
regimens.
 Then the remaining tumor is surgically resected, irradiated, or both.
 The surgical resection may involve limb salvage or amputation.
36
Prognosis
 Depends on the staging
 Five-year survival for localized disease is 70% to 80% when treated with chemotherapy.
 Long term survival for metastatic disease may be less than 10%
37
Fibrosarcoma
 tumor of mesenchymal cell origin that is composed of malignant fibroblasts.
 It can occur as a soft-tissue mass or as a primary or secondary bone tumor.
 Fibrosarcoma of bone occurs slightly more commonly in men than in women.
 Usually diagnosed during the 4th decade of life
 usually located in the lower extremities, especially the femur and tibia
38
Etiology
 Genetic mutations .
 Arises from preexisting lesions, such as bone infarcts , chronic osteomyelitis, and Paget
disease .
39
Symptoms
 pain and swelling after a long duration of symptoms.
 Pathological fractures
40
Work up
 Imaging studies.
 Biopsy
41
Imaging studies
 X-ray : osteolytic area of destruction with a permeative or moth-eaten appearance.
 CT scan
 MRI
 Bone scan : useful in evaluation of tumor stage and detection of metastasis
42
43
44
Treatment
 Medical : Adjunctive therapy, such as radiation treatment and chemotherapy.
 Surgical therapy : surgical resection with a cuff of normal tissue (wide margins) and
reconstruction of the subsequent defect are necessary
45
Prognosis
 primary fibrosarcoma of the bone has a worse prognosis than osteosarcoma, with a 5-year
survival rate of 65%.
 In high-grade primary fibrosarcoma, the 10-year survival rate is less than 30%.
 Secondary fibrosarcoma is associated with a very poor outcome, the survival rate at 10
years being less than 10%.
46
Multiple Myeloma
 Definition
 Neoplastic proliferation of a single clone of plasma cells that produces a
monoclonal immunoglobin
 Proliferation often results in osteolytic lesions, osteopenia, and/or pathologic
fractures
47
Etiology
 Not definitively known
 Relation to radiation, benzene, organic solvents, herbicides, and
insecticides has been proposed
 Chronic inflammatory diseases
 Kaposi’s sarcoma (HHV 8)
 Genetic?
48
Epidemiology
 1% of all malignant disease
 10% of hematologic malignancies
 More frequent in men
 2X as common in AA
 Median: 66 years
49
Manifestations
 Bone pain (60%)- back or chest
 Reduction in height
 Weakness and fatigue (32%)
 Weight loss (24%)
 Pallor
 Radiculopathy- thoracic or lumbosacral area
 Infection- 45% of deaths w/i 60 days of diagnosis
50
Infection
 Impaired lymphocyte function
 Suppression of plasma cell function with hypogammaglobulinemia
 Neutropenia and corticosteroid treatment during chemotherapy
51
Organisms
 S. pneumoniae
 H. influenzae
 E. coli
52
Bone Pain
 Radiographic abnormalities in 80%
 Increased osteoclastic activity and decreased osteoblastic activity through
release of cytokines
53
Imaging
 Skeletal survey: punched out lytic lesions, osteopenia, pathologic fractures.
 Skull, vertebral bodies, thoracic cage, pelvis, proximal humeri and femora
 MRI/CT: commonly used in patients with no explanation for bone pain after
survey
 Bone scanning: not often used (detects osteoblastic activity)
 PET scanning: possible in the future
54
Renal Disease
 Renal failure common, d/t hypercalcemia or cast nephropathy
55
Lab Findings
Anemia
Rouleaux
Plasmacytosis
Leukopenia and thrombocytopenia
Monoclonal proteins:
IgG (52%)
IgA (21%)
Bence Jones (16%)
IgD (2%)
56
Bone Marrow Biopsy
 More than 10% plasma cells
57
Treatment
 Autologous hematopoietic cell transplantation (HCT)
 Chemotherapy including corticosteroids
 Local radiation of bone lesions
58
Secondary bone tumors
 2dry bone tumor most frequently occur in patient over 40 year old
 Common site of origin are lung ,prostate, breast & liver
 Common site of deposit are vertebrae, pelvis, femur &ribs
 Clinical presentation is extensive and non specific
 Most lesion present with oateolytic pattern
 2dry of unknown origin account for 24 ./.
59
origin of bone secondary tumors60
1
LUNG
PROSTATE
BREAST
LIVER
G I T
UNKNOWN
0
5
10
15
20
25
1./.
6
origin of bone 2dry
Common site of deposit61
0
10
20
30
40
50
./.
1
ferquency
common site of deposit
spine
plvis
femur
ribs
multi site
Spine 47.7./.
Pelvis 18.2./.
Femur 15.4./.
Ribs 12.6./.
Multi 20.5./.
Main symptom :-62
1
pain
fructure
dysfunction
paraplegia
0
10
20
30
40
50
60
main symptom
pain
fructure
dysfunction
paraplegia
Pain 53.3./.
Fracture 10.3./.
Dysfunction 4.9./.
Paraplegia 2.1./.
How it reach the bone
 Direct spread from adjacent structure
 Heamatogenous
 Lymphatic
63
Characteristic of bone 2dry:-
 May be lytic
 May be plastic
 May be mixed
this depend on complex factor the most important of the them :-
 site of primary
 Nature and histology of the tumor
 Local bone environment
the final mechanism is activation of osteoblast or osteoclast
64
End of Lecture
March 2014
65

Bone tumors

  • 1.
    bone tumors (malignant) Preparedby: Nibal Shawabkeh Supervised by: Dr. Salim Abu Rmeileh 1
  • 2.
    Bone Tumors  Benign Malignant 2 Primary Secondary
  • 3.
    PRIMARY BONE TUMORS All components of bone are derived from the mesoderm  bone tumors are  potentially composed of any of its four stem cell types: 1. Fibroblast. 2. Chondroblast. 3. Osteoblast. 4. Reticulomylogenic cells. 3
  • 4.
    Primary bone tumors Osteosarcoma  Chondrosarcoma  Ewings sarcoma  Fibrosarcoma  Multiple myeloma 4
  • 5.
    5 Classification Of PrimaryTumors Of Bone Tissue origin Benign neoplasm Malignant neoplasm Bone Osteoma Osteochondroma Osteoid osteoma osteoblastoma Osteogenic sarcoma Parosteal osteosarcoma Cartilage Enchondroma Chondroblastoma Chondromyxoid fibroma Juxtacortical chondroma Osteochondroma Chondrosarcoma Primary secondary Fibrous Nonossifying fibroma Desmoplastic fibroma Fibrous dysplasia Osteofibrous dyspasia fibrosarcoma Uncertain Giant cell tumor Fibrous histiocytoma Malignant Giant cell tumor Malignant fibrous histiocytoma admantanoma Marrow elements Histiocytosis X Lymphoma Reticulum cell sarcoma Lymphosarcoma leukemia Fat lipoma liposarcoma Vascular Hemangioma Glomus tumor hemangiopericytoma Angiosarcoma Hemangioendothelioma Malignant hemangiopericytoma Notochord -- chordoma undifferentiated -- Mesenchymal sarcoma
  • 6.
  • 7.
    Osteosarcoma  Arises fromthe osteoid tissue .  Most common primary bone tumor in children .  Age : 15- 19 years (teenagers) , also occur in the elderly.  Boys to girls ratio : 1.4:1.  Usually occurs in the long bones.  Most commonly : femur , tibia , humerus.  Metastasis to lungs. 7
  • 8.
    Types of osteosarcoma conventional types (osteoblastic, chondroblastic, and fibroblastic).  Telangiectatic.  Multifocal.  Parosteal.  Periosteal. 8
  • 9.
    Etiology  Rapid bonegrowth.  Environmental factors : exposure to radiation.  Genetics : bone dysplasia , Li-Fraumeni syndrome, Rothmund-Thomson syndrome. 9
  • 10.
    Symptoms  Most commonsymptom is pain ( usually and night and with activity) .  Swelling .  Sometimes pathological fractures. 10
  • 11.
    Physical examination  Dependson the site of the tumor :  Mass  Decreased range of motion  Respiratory findings 11
  • 12.
    Diagnosis  Depends onhistory and physical examination.  Lab studies : most importantly ALP , LDH  Imaging studies.  Bone biopsy : only definitive method to determine whether a tumor is benign or malignant . 12
  • 13.
    Imaging studies  Xray : sun-burst" appearance and the apperance of Codman triangle.  CT scanning  MRI  Bone scan 13
  • 14.
  • 15.
  • 16.
    Staging  Stage I– Low-grade lesions  Stage II – High-grade lesions  Stage III – Metastases  Subtypes : Substage A – Intracompartmental lesion (intramedullary lesion for bone tumors)  Substage B – Extracompartmental lesion (extramedullary spread for bone tumors) 16
  • 17.
    Treatment  Medical :use of chemotherapy as neoadjuvant.  Surgical. : tumor resection with an adequate margin. 17
  • 18.
    prognosis  Stage I: It has an excellent prognosis (>90%) with wide resection.  Stage II : 2-year survival after the metastases of 50%, 5-year of 40% and 10 year of 20%  Stage III: Overall survival prognosis is about 30% 18
  • 19.
    Chondrosarcoma  This isa rare tumor of the cartilage of the bone  It is the malignant form of chondroma  Second most common primary bone tumor  It grows slowly and rarely spreads. Its most common site is at the base of the skull.  range from low-grade tumors with low metastatic potential to high-grade, aggressive tumors characterized by early metastasis.  More common among older people ( 30 and 60 years old).  Males and females are equally affected.  Usually affects the hips , pelvis and shoulder . 19
  • 20.
    Chondrosarcoma types  Conventionalchondrosarcoma  Dedifferentiated chondrosarcoma  Clear cell chondrosarcoma  Mesenchymal chondrosarcoma  Juxtacortical chondrosarcoma  Secondary chondrosarcoma 20
  • 21.
    Chondrosarcoma Grades  GradeI (low grade) – Cytologically similar to enchondroma[2] ; cellularity is higher, with occasional plump nuclei with open chromatin structure  Grade II (intermediate grade) – Characterized by a definite and increased cellularity; distinct nucleoli are present in most cells, and foci of myxoid change may be seen  Grade III (high grade) – Characterized by high cellularity, prominent nuclear atypia, and the presence of mitosis 21
  • 22.
    Clinical Presentation  Deep,dull, achy pain  Pain at night  Nerve dysfunction of the lumbosacral plexus or the sciatic or femoral nerves, with pelvic lesions near a neurovascular bundle  Limitation of joint range of motion and disturbance of joint function, with chondrosarcomas close to a joint  Pathologic fracture 22
  • 23.
    Diagnosis  History andphysical examination.  Imaging studies.  biopsy . 23
  • 24.
    Imaging studies  Xray : discrete calcification , appear large ,bony contour appears thinned and expanded .  Periosteum overlying the tumor may be elevated.  CT scan : detect subtle calcifications  MRI : investigation of choice for assessing the extent of a chondrosarcoma.  delineate the extent of soft-tissue involvement. 24
  • 25.
  • 26.
    Treatment  Medical :radiotherapy & chemotherapy play limited roles in primary treatment.  Surgical : Complete, wide surgical excision of the chondrosarcoma . 26
  • 27.
    Prognosis  Conventional : Grade I : 90 % survival at 5 years  Grade II : 81% survival at 5 years  Grade III : 29% survival at 5 years 27
  • 28.
    Ewings sarcoma  Raredisease in which the cancer cells are found in in the bone or in soft tissue .  most common areas : pelvis, femur, humerus, ribs and clavicle.  occurs most frequently in teenagers and young adults.  a male to female ratio of 1.6:1  Thirty percent are overtly metastatic at presentation. 28
  • 29.
    Etiology  Genetic exchange:translocation between chromosomes 11 and 22. 29
  • 30.
    Symptoms  Localized pain Back pain, which may indicate a paraspinal, retroperitoneal, or deep pelvic tumor.  Palpable mass  Systemic symptoms of fever and weight loss, which often indicate metastatic disease 30
  • 31.
    Diagnosis  History andphysical examination .  Imaging studies  Histology , Cytogenetic and molecular studies 31
  • 32.
    Imaging studies  Xray : permeative lytic lesion with periosteal reaction.  CT scan : used to define the extraosseous extent of the tumor, especially in the skull, spine, ribs and pelvis.  MRI  Bone scintigraphy : can also be used to follow tumor response to therayp 32
  • 33.
  • 34.
  • 35.
  • 36.
    Treatment  Treatment lasts6-9 months and consists of alternating courses of 2 chemotherapeutic regimens.  Then the remaining tumor is surgically resected, irradiated, or both.  The surgical resection may involve limb salvage or amputation. 36
  • 37.
    Prognosis  Depends onthe staging  Five-year survival for localized disease is 70% to 80% when treated with chemotherapy.  Long term survival for metastatic disease may be less than 10% 37
  • 38.
    Fibrosarcoma  tumor ofmesenchymal cell origin that is composed of malignant fibroblasts.  It can occur as a soft-tissue mass or as a primary or secondary bone tumor.  Fibrosarcoma of bone occurs slightly more commonly in men than in women.  Usually diagnosed during the 4th decade of life  usually located in the lower extremities, especially the femur and tibia 38
  • 39.
    Etiology  Genetic mutations.  Arises from preexisting lesions, such as bone infarcts , chronic osteomyelitis, and Paget disease . 39
  • 40.
    Symptoms  pain andswelling after a long duration of symptoms.  Pathological fractures 40
  • 41.
    Work up  Imagingstudies.  Biopsy 41
  • 42.
    Imaging studies  X-ray: osteolytic area of destruction with a permeative or moth-eaten appearance.  CT scan  MRI  Bone scan : useful in evaluation of tumor stage and detection of metastasis 42
  • 43.
  • 44.
  • 45.
    Treatment  Medical :Adjunctive therapy, such as radiation treatment and chemotherapy.  Surgical therapy : surgical resection with a cuff of normal tissue (wide margins) and reconstruction of the subsequent defect are necessary 45
  • 46.
    Prognosis  primary fibrosarcomaof the bone has a worse prognosis than osteosarcoma, with a 5-year survival rate of 65%.  In high-grade primary fibrosarcoma, the 10-year survival rate is less than 30%.  Secondary fibrosarcoma is associated with a very poor outcome, the survival rate at 10 years being less than 10%. 46
  • 47.
    Multiple Myeloma  Definition Neoplastic proliferation of a single clone of plasma cells that produces a monoclonal immunoglobin  Proliferation often results in osteolytic lesions, osteopenia, and/or pathologic fractures 47
  • 48.
    Etiology  Not definitivelyknown  Relation to radiation, benzene, organic solvents, herbicides, and insecticides has been proposed  Chronic inflammatory diseases  Kaposi’s sarcoma (HHV 8)  Genetic? 48
  • 49.
    Epidemiology  1% ofall malignant disease  10% of hematologic malignancies  More frequent in men  2X as common in AA  Median: 66 years 49
  • 50.
    Manifestations  Bone pain(60%)- back or chest  Reduction in height  Weakness and fatigue (32%)  Weight loss (24%)  Pallor  Radiculopathy- thoracic or lumbosacral area  Infection- 45% of deaths w/i 60 days of diagnosis 50
  • 51.
    Infection  Impaired lymphocytefunction  Suppression of plasma cell function with hypogammaglobulinemia  Neutropenia and corticosteroid treatment during chemotherapy 51
  • 52.
    Organisms  S. pneumoniae H. influenzae  E. coli 52
  • 53.
    Bone Pain  Radiographicabnormalities in 80%  Increased osteoclastic activity and decreased osteoblastic activity through release of cytokines 53
  • 54.
    Imaging  Skeletal survey:punched out lytic lesions, osteopenia, pathologic fractures.  Skull, vertebral bodies, thoracic cage, pelvis, proximal humeri and femora  MRI/CT: commonly used in patients with no explanation for bone pain after survey  Bone scanning: not often used (detects osteoblastic activity)  PET scanning: possible in the future 54
  • 55.
    Renal Disease  Renalfailure common, d/t hypercalcemia or cast nephropathy 55
  • 56.
    Lab Findings Anemia Rouleaux Plasmacytosis Leukopenia andthrombocytopenia Monoclonal proteins: IgG (52%) IgA (21%) Bence Jones (16%) IgD (2%) 56
  • 57.
    Bone Marrow Biopsy More than 10% plasma cells 57
  • 58.
    Treatment  Autologous hematopoieticcell transplantation (HCT)  Chemotherapy including corticosteroids  Local radiation of bone lesions 58
  • 59.
    Secondary bone tumors 2dry bone tumor most frequently occur in patient over 40 year old  Common site of origin are lung ,prostate, breast & liver  Common site of deposit are vertebrae, pelvis, femur &ribs  Clinical presentation is extensive and non specific  Most lesion present with oateolytic pattern  2dry of unknown origin account for 24 ./. 59
  • 60.
    origin of bonesecondary tumors60 1 LUNG PROSTATE BREAST LIVER G I T UNKNOWN 0 5 10 15 20 25 1./. 6 origin of bone 2dry
  • 61.
    Common site ofdeposit61 0 10 20 30 40 50 ./. 1 ferquency common site of deposit spine plvis femur ribs multi site Spine 47.7./. Pelvis 18.2./. Femur 15.4./. Ribs 12.6./. Multi 20.5./.
  • 62.
    Main symptom :-62 1 pain fructure dysfunction paraplegia 0 10 20 30 40 50 60 mainsymptom pain fructure dysfunction paraplegia Pain 53.3./. Fracture 10.3./. Dysfunction 4.9./. Paraplegia 2.1./.
  • 63.
    How it reachthe bone  Direct spread from adjacent structure  Heamatogenous  Lymphatic 63
  • 64.
    Characteristic of bone2dry:-  May be lytic  May be plastic  May be mixed this depend on complex factor the most important of the them :-  site of primary  Nature and histology of the tumor  Local bone environment the final mechanism is activation of osteoblast or osteoclast 64
  • 65.