INTRODUCTION
ATELECTASIS, ARDS
Dr Vijay Shankar S
RESPIRATORY SYSTEM
OVERVIEW
• Congenital anomalies,Neonatal lung
diseases
• Pulmonary infections
• Obstructive vs Restrictive lung diseases
COPDs & Penumoconiosis
• Pneumoconiosis
• Lung tumors
TODAY
• Anatomy and histology
• Functions
• Congenital anomalies
• Atelectasis and collapse
• Hyaline membrane disease
• ARDS
A 7-year-old boy accidentally inhales a small peanut, which lodges in
one of his bronchi. A chest x-ray reveals the mediastinum to be shifted
toward the side of the obstruction. Which of the following pulmonary
abnormalities is most likely present in this boy?
a. Absorptive atelectasis
b. Compression atelectasis
c. Contraction atelectasis
d. Patchy atelectasis
e. Hyaline membrane disease
_
1. Trachea       
2. Bronchus (Right- or Left- Primary Bronchus)
3. Lobar Bronchus
4. Segmental Bronchus
5. Bronchus
6. Bronchiole
7. Terminal Bronciole
8. Respiratory Bronchiole
9. Alveolar Duct
10
.
Alveolar Sac / Alveolus
Normal histology of alveolar septa
Paediatric lung disease
• Congenital
• Bronchopulmonary sequestration
• Hyaline membrane disease(NRDS)
ATELESTASIS/ COLLAPSE
• Greek word τελήςἀ , "incomplete" + κτασις,ἔ
"extension"
• Defn: incomplete expansion of lung parenchyma
( neonatal/primary )
– Etiology
prematurity, cerebral birth injury, CNS
malformation and IUhypoxia
• Sec/acquired atelectasis – collapse of previously
expanded lung
IRREVERSIBLE
SIGNIFICANCE
• Reduces oxygenation and predisposes to
infection!
• Reversible except contraction type!
GROSS
• Small,
• dark blue,
• fleshy and non-crepitant ( looks like a
liver)
Histology
• Alveolar space in the affected area
– are small with thick interalveolar septa.
– Contain proteinaceous fluid with scattered epithelial
squames & meconium.
• Scattered aerated space
Neonatal respiratory distress
syndrome
• Hyaline membrane disease
• Characterised by hyaline membrane formation
• Begins with dyspnoea a few after birth with
tachypnoea, hypoxia and cyanosis and in severe
case death occurs in few hours.
• More common in LBW babies
• Etiology.
Preterm baby
Infants born to diabetic mothers
Delivery by caesarean section without
preceding labour
Excessive sedation
Birth asphyxia
Male preponderance
PREMATURITY
Reduced SURFACTANT synthesis, storage and release
Decreased alveolar surfactant
Increased alveolar surface tension
Atelectasis
Uneven perfusion Hypoventilation
HYPOXEMIA + CO2 RETENTION
Acidosis
Pulmonary Vasoconstriction
Pulmonary hypoperfusion
Endothelial damage + Epithelial damage
Plasma leak into alveoli
FIBRIN + NECROTIC CELLS
( HYALINE MEMBRANE)
Increased
diffusion
gradient
GROSS
• The lungs are normal in size ,
• Reddish purple in color.
• Are solid and airless so that they sink in
water.
Acute lung injury
• Spectrum of endothelial and epithelial lesions
• Manifestations:
congestion
surfactant disruption
atelectasis
Variable progression to:
• Pulmonary edema
• Acute respiratory distress syndrome
• Acute interstitial pneumonia
Microvascular injury
• Injury to endothelial or epithelial cells
• Leakage of fluids and proteins into the interstitial
space → alveoli
• Localized: symptoms of infection
• Diffuse: ARDS
Acute respiratory distress
syndrome
ARDS / DAD / shock lung
ARDS
• Clinical syndrome caused by diffuse alveolar
capillary damage
Clinically,
• Severe life threatening respiratory insufficiency
of rapid onset
• Cyanosis
• Severe arterial hypoxemia refractory to o2
• Progress to multisystem organ failure
Infection
Sepsis
Diffuse pulmonary infections –
viral mycoplasma, PCP, miliary
TB
Gastric aspiration
Physical injury
Mechanical trauma
Pulmonary contusions
Near drowning
Fractures with fat embolism
Burns
Ionizing radiation
Inhaled irritants
Oxygen toxicity
Smoke
Irritant gases & chemicals
Chemical injury
Heroin or methadone overdose
ASA
Barbiturate overdose
Hematological conditions
Multiple transfusions
DIC
Pancreatitis
Uremia, C-P bypass
PATHOGENESIS
Acute alveolar injury
Release of cytokines
By Macrophages
(IL1, 8, TNF)
By Activated neutrophils
(Protease, leukotrienes,
PAF, Oxidases)
Local tissue damage, intra alveolar edema loss of diffusion capacity and
damage to type II alveolar pneumocytes Surfactant inactivation
HYALINE MEMBRANE
STIFF LUNG
Clinical course
• Previously hospitalized pts develop tachypnea
and dyspnea
• Increasing cyanosis and hypoxemia
• Unresponsive to oxygen therapy
• Respiratory acidosis develops
Chest X ray
• Diffuse
alveolar
infiltration
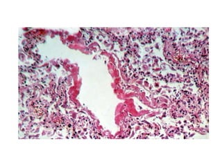
Morphology - Acute stage:
• Heavy, firm, red and boggy
• Congestion, intra-alveolar edema, inflammation
and fibrin deposition
• Alveolar walls lined by waxy hyaline
membranes
• Fibrin rich edema fluid mixed with cytoplasmic
and lipid remnants of necrotic epithelial cells
Organizing stage
• Type II pneumocytes proliferate
• Organization of the exudate  intra alveolar
fibrosis
• Thickening of alveolar septa
• Proliferation of interstitial cells and deposition of
collagen
• Fatal cases  superimposed bronchopneumonia.
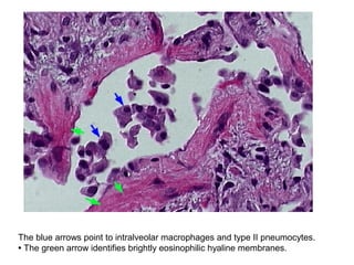
The blue arrows point to intralveolar macrophages and type II pneumocytes.
• The green arrow identifies brightly eosinophilic hyaline membranes.
• The blue arrows point to the type II pneumocytes which are very prominent;
their nuclei protruding into the alveolar space.
• The arrows highlight the thickened septum.
• The septum contains excess collagen, fibroblasts, and lymphocytes.
• Hyaline membranes are not present.
A 7-year-old boy accidentally inhales a small peanut, which
lodges in one of his bronchi. A chest x-ray reveals the
mediastinum to be shifted toward the side of the
obstruction. Which of the following pulmonary
abnormalities is most likely present in this boy?
• a. Absorptive atelectasis
• b. Compression atelectasis
• c. Contraction atelectasis
• d. Patchy atelectasis
• e. Hyaline membrane disease
RESPIRATORY SYSTEM: INTRODUCTION, ATELECTASIS, ARDS

RESPIRATORY SYSTEM: INTRODUCTION, ATELECTASIS, ARDS

  • 1.
  • 2.
  • 3.
    OVERVIEW • Congenital anomalies,Neonatallung diseases • Pulmonary infections • Obstructive vs Restrictive lung diseases COPDs & Penumoconiosis • Pneumoconiosis • Lung tumors
  • 4.
    TODAY • Anatomy andhistology • Functions • Congenital anomalies • Atelectasis and collapse • Hyaline membrane disease • ARDS
  • 5.
    A 7-year-old boyaccidentally inhales a small peanut, which lodges in one of his bronchi. A chest x-ray reveals the mediastinum to be shifted toward the side of the obstruction. Which of the following pulmonary abnormalities is most likely present in this boy? a. Absorptive atelectasis b. Compression atelectasis c. Contraction atelectasis d. Patchy atelectasis e. Hyaline membrane disease
  • 9.
    _ 1. Trachea        2.Bronchus (Right- or Left- Primary Bronchus) 3. Lobar Bronchus 4. Segmental Bronchus 5. Bronchus 6. Bronchiole 7. Terminal Bronciole 8. Respiratory Bronchiole 9. Alveolar Duct 10 . Alveolar Sac / Alveolus
  • 12.
    Normal histology ofalveolar septa
  • 18.
    Paediatric lung disease •Congenital • Bronchopulmonary sequestration • Hyaline membrane disease(NRDS)
  • 19.
    ATELESTASIS/ COLLAPSE • Greekword τελήςἀ , "incomplete" + κτασις,ἔ "extension" • Defn: incomplete expansion of lung parenchyma ( neonatal/primary ) – Etiology prematurity, cerebral birth injury, CNS malformation and IUhypoxia • Sec/acquired atelectasis – collapse of previously expanded lung
  • 20.
  • 21.
    SIGNIFICANCE • Reduces oxygenationand predisposes to infection! • Reversible except contraction type!
  • 22.
    GROSS • Small, • darkblue, • fleshy and non-crepitant ( looks like a liver)
  • 25.
    Histology • Alveolar spacein the affected area – are small with thick interalveolar septa. – Contain proteinaceous fluid with scattered epithelial squames & meconium. • Scattered aerated space
  • 26.
    Neonatal respiratory distress syndrome •Hyaline membrane disease • Characterised by hyaline membrane formation • Begins with dyspnoea a few after birth with tachypnoea, hypoxia and cyanosis and in severe case death occurs in few hours.
  • 27.
    • More commonin LBW babies • Etiology. Preterm baby Infants born to diabetic mothers Delivery by caesarean section without preceding labour Excessive sedation Birth asphyxia Male preponderance
  • 28.
    PREMATURITY Reduced SURFACTANT synthesis,storage and release Decreased alveolar surfactant Increased alveolar surface tension Atelectasis Uneven perfusion Hypoventilation HYPOXEMIA + CO2 RETENTION Acidosis Pulmonary Vasoconstriction Pulmonary hypoperfusion Endothelial damage + Epithelial damage Plasma leak into alveoli FIBRIN + NECROTIC CELLS ( HYALINE MEMBRANE) Increased diffusion gradient
  • 29.
    GROSS • The lungsare normal in size , • Reddish purple in color. • Are solid and airless so that they sink in water.
  • 36.
  • 37.
    • Spectrum ofendothelial and epithelial lesions • Manifestations: congestion surfactant disruption atelectasis
  • 38.
    Variable progression to: •Pulmonary edema • Acute respiratory distress syndrome • Acute interstitial pneumonia
  • 39.
    Microvascular injury • Injuryto endothelial or epithelial cells • Leakage of fluids and proteins into the interstitial space → alveoli • Localized: symptoms of infection • Diffuse: ARDS
  • 40.
  • 41.
    ARDS • Clinical syndromecaused by diffuse alveolar capillary damage Clinically, • Severe life threatening respiratory insufficiency of rapid onset • Cyanosis • Severe arterial hypoxemia refractory to o2 • Progress to multisystem organ failure
  • 42.
    Infection Sepsis Diffuse pulmonary infections– viral mycoplasma, PCP, miliary TB Gastric aspiration Physical injury Mechanical trauma Pulmonary contusions Near drowning Fractures with fat embolism Burns Ionizing radiation Inhaled irritants Oxygen toxicity Smoke Irritant gases & chemicals Chemical injury Heroin or methadone overdose ASA Barbiturate overdose Hematological conditions Multiple transfusions DIC Pancreatitis Uremia, C-P bypass
  • 43.
  • 44.
    Acute alveolar injury Releaseof cytokines By Macrophages (IL1, 8, TNF) By Activated neutrophils (Protease, leukotrienes, PAF, Oxidases) Local tissue damage, intra alveolar edema loss of diffusion capacity and damage to type II alveolar pneumocytes Surfactant inactivation HYALINE MEMBRANE STIFF LUNG
  • 45.
    Clinical course • Previouslyhospitalized pts develop tachypnea and dyspnea • Increasing cyanosis and hypoxemia • Unresponsive to oxygen therapy • Respiratory acidosis develops
  • 46.
    Chest X ray •Diffuse alveolar infiltration
  • 47.
    Morphology - Acutestage: • Heavy, firm, red and boggy • Congestion, intra-alveolar edema, inflammation and fibrin deposition • Alveolar walls lined by waxy hyaline membranes • Fibrin rich edema fluid mixed with cytoplasmic and lipid remnants of necrotic epithelial cells
  • 48.
    Organizing stage • TypeII pneumocytes proliferate • Organization of the exudate  intra alveolar fibrosis • Thickening of alveolar septa • Proliferation of interstitial cells and deposition of collagen • Fatal cases  superimposed bronchopneumonia.
  • 49.
    The blue arrowspoint to intralveolar macrophages and type II pneumocytes. • The green arrow identifies brightly eosinophilic hyaline membranes.
  • 50.
    • The bluearrows point to the type II pneumocytes which are very prominent; their nuclei protruding into the alveolar space. • The arrows highlight the thickened septum. • The septum contains excess collagen, fibroblasts, and lymphocytes. • Hyaline membranes are not present.
  • 52.
    A 7-year-old boyaccidentally inhales a small peanut, which lodges in one of his bronchi. A chest x-ray reveals the mediastinum to be shifted toward the side of the obstruction. Which of the following pulmonary abnormalities is most likely present in this boy? • a. Absorptive atelectasis • b. Compression atelectasis • c. Contraction atelectasis • d. Patchy atelectasis • e. Hyaline membrane disease

Editor's Notes

  • #28 Surfactants are compounds that lower the surface tension (or interfacial tension) between two liquids or between a liquid and a solid Babies are considered premature if they are born before 37 weeks gestation. Fetuses begin to produce surfactant betweenweeks 24 and 28. By about 35 weeks, most babies have enough naturally produced surfactant to keep the alveoli fromcollapsing. Babies born before 35 weeks, especially those born very prematurely (before 30 weeks), are likely to needsurfactant replacement therapy. Over half the babies born before 28 weeks gestation need this treatment, while about one-third born between 32 and 36 weeks need supplemental surfactant. 
  • #29 Composition[edit] ~40% dipalmitoylphosphatidylcholine (DPPC); ∼40% other phospholipids (PC); ~5% surfactant-associated proteins (SP-A, B, C and D); Cholesterol (neutral lipids); Traces of other substances.