Renal Amyloidosis - A Review
Dr Kiran Kumar M,
DM Senior Resident,
Dept of Nephrology
Introduction
• A generic term –
– group of diseases that are caused by the
misfolding and extracellular accumulation of
various proteins
• Misfolded proteins form fibrillar deposits
– Produce pathognomonic green birefringence
when stained with Congo red dye and viewed
under cross-polarized light
• Amyloidosis - remarkably diverse
•
– Hereditary or acquired,
– Localized or systemic
– Lethal or an incidental finding
• 27 human proteins with amyloidogenic
potential in vivo have been identified
– ~15 of these proteins cause systemic amyloidosis.
Pathogenesis of amyloidosis
• For each of these amyloidogenic “precursor proteins,”
– initial step in amyloid fibril formation is a misfolding event
• Misfolding can result from
– Proteolytic cleavage (e.g., amyloid β protein)
– An amino acid substitution (e.g., transthyretin [TTR])
– Intrinsic properties that become significant only at high
serum concentration or in the presence of specific local
factors (e.g., β2-microglobulin)
• Combination of these factors often determines the
amyloidogenic potential of a particular protein
– they are not sufficient to account for the occurrence,
timing, distribution or effects of amyloid deposition in vivo
• Amyloid fibrils
– avidly bind a normal circulating protein of uncertain
physiologic significance called serum amyloid P component
(SAP)
• This observation may be of diagnostic utility
– SAP scintigraphy -IV injection of radiolabeled SAP
• Regardless of the protein or the trigger for
misfolding, the misfolded variants are highly
prone to self-aggregation
• Self-aggregation generates protofilaments
that interact to form fibrils
• Amyloid fibrils have a characteristic - β pleated
sheet configuration
– Produces birefringence under polarized light when
stained with Congo red dye
Determinants of Renal Deposition of
Amyloid
• Factors that determine the organ distribution
of amyloid deposits - not well understood
– Kidney - frequent site of amyloid deposition in AL,
AA, fibrinogen, lysozyme, apoAII, and, to a lesser
extent, apoAI disease
– In contrast, TTR amyloidosis typically does not
involve the kidney
Variety of light chain sequences that are
amyloidogenic
In AL amyloidosis, disease can be restricted to a single
tissue type in one individual and involve as many as
five to six organ systems in another individual
Differences in amino acid sequence of an
amyloidogenic protein
– Familial TTR amyloidosis
• amino acid substitution of methionine for valine at position
30 (Val30Met) - predominant neuropathic involvement
• Val122Ile TTR variant - cardiomyopathy is the major
manifestation
Position of the mutation in the apoAI protein
a/w the distribution of organ involvement
– Mutations in the amino terminal portion are -
kidney, liver, heart involvement
– Mutations in the carboxy terminal portion -heart,
skin, laryngeal involvement
• Kidney tropism in AL disease
– Specific uptake by mesangial cells
– Does not seem to be a uniform requirement for amyloid
deposition in the kidney
• Other factors that might promote or retard amyloid
formation or deposition in the kidney
•
– Negative charge
– High glycosaminoglycan content of GBM
– Presence of certain proteases that could either render a
protein amyloidogenic or affect stability of amyloid
deposits
– Local PH
How Does Amyloidosis Cause Renal
Disease?
• Disruption of tissue architecture by amyloid deposits
• Amyloidogenic precursor proteins, folding intermediates,
and protofilaments have toxicities that are independent of
the amyloid deposits
– Lack of correlation between quantity of amyloid in tissue and
organ dysfunction
– in vitro demonstrations of direct toxicity of amyloidogenic
precursor proteins on cultured cells
– Detection of amyloidogenic precursor proteins in tissue in the
absence of amyloid
– Rapid improvement in markers of organ dysfunction after
treatment induced reductions in precursor protein production
Classification
• Based on
– the precursor protein that forms the amyloid
fibrils
– the distribution of amyloid deposition as either
systemic or localized
Epidemeology
• Predominantly a disease of mid-to-late life
• Renal amyloidosis is identified in ~4% of adult
renal biopsy samples
– accounts for ~1.6% of pts starting dialysis
• Age-adjusted incidence of AL amyloidosis in the
US and in the UK is estimated to be 5.1–12.8
cases per million persons per yr
• Disease develops in about 2% of individuals with
monoclonal B-cell dyscrasias
• AA amyloidosis - reported prevalence in
patients with chronic arthritides is 3–6%
• Duration of latency b/w onset of inflammation
and diagnosis of AA amyloidosis can vary from
less than a year to many decades
– median of approximately 17 yrs
Indian scenario
• Chugh et al – 1981
– 233 pts with renal amyloidosis
– Incidence of amyloidosis - 1.01% of 6431
postmortems and 8-4% of 1980 renal biopsies
– Secondary amyloidosis - 87.1 %
– Primary amyloid - 9.4 %
– Amyloidosis associated with multiple myeloma - 3.5 %
– Tuberculosis - commonest predisposing disease
accounting for secondary amyloidosis - 59%
– Chronic suppurative lung disease – 24.1 %.
– RA, chronic osteomyelitis and lepromatous leprosy -
small percentage of pts (2 to 8 %)
1992-2002 2003-2010
No of biopsies 974 1524
Incidence of renal
amyloidosis
1.74% 1.9%
Mean age 38 ± 17.9 39.2 ± 19
Gender predominance Male female
Renal insufficiency in
patients with
renal amyloidosis
n = 2; 12.8% n = 14; 48.2%
Subnephrotic proteinuria 12.8% 48.82%
MC cause of secondary
amyloidosis
Infection (n = 10; 58.8%) Inflammatory disorders (n
= 14; 48.2%)
Prakash J1, Brojen T, Rathore SS, Choudhury TA, Gupta T. Ren Fail. 2012;34(10):1212-
6. doi: 10.3109/0886022X.2012.723514. Epub 2012 Sep 25.
Pathology
• Histologic Demonstration of Amyloid
– Usually by Congo red dye
– Congo red–stained amyloid
• Orange-red appearance under light microscopy
• Produces apple-green birefringence under polarized
light
– birefringence results from the ordered intercalation of Congo
red dye into the amyloid fibrils
– this optical property must be present to consider the staining
Congo red positive
• ThioflavinT staining - yellow-green fluorescence
– Congo red positivity greatest from sites with clinical
evidence of involvement
– If amyloidosis is suspected, abd fat aspiration rather than
an invasive Bx
– The sensitivity of Congo red staining of abd fat
• 80 to 90% - AL amyloidosis
• 65 to 75% - AA amyloidosis
• substantially lower in many of the familial amyloidoses
– Relatively noninvasive - Salivary gland and rectal biopsies
• Determination of the Type of Amyloidosis
– Types of amyloid - indistinguishable by LM or EM
– Most direct method for identifying the amyloidogenic
protein - Mass spectrometry or Amino acid
sequencing of proteins
• Not available routinely
• Usually not necessary unless other approaches are
unrevealing
– The most definitive method used in the clinical setting
• Immunofluorescence
• Immunohistochemical
Strong reactivity for λ light chains Weak reactivity for κ light chains
• Absence of immunoreactivity of tissue amyloid
for λ or κ light chain, evidence for AL disease –
– demonstration of monoclonal Ig protein in the blood
or urine or clonal plasma cells in the bone marrow
– Immunofixation electrophoresis vs protein
electrophoresis (monoclonal protein is less in AL than
in multiple myeloma)
– Nephelometric quantification of serum free light
chains
• presence of a monoclonal protein
• disease progression
• response to treatment
• Renal impairment-
– Ratio of the serum conc of two light-chain
isotypes rather than the absolute serum
concentrations
• Bone marrow biopsy – assessing
– plasma cell clonality
– plasma cell burden
• Renal Pathology
• Risk for procedure-related bleeding as a result
of vascular fragility- little evidence
• Glomerular deposition typically predominates
– appears as amorphous material in the mesangium
and capillary loops
• Substantial mesangial deposition produce nodules – vs
diabetic nephropathy or LCDD
– periodic acid-Schiff (PAS) and methanamine silver-
negative ( not extracellular tissue)
• Amyloid deposition in the tubulointerstitium
produces tubular atrophy and interstitial
fibrosis
• Small proportion of pts
– glomerular deposition is scant or absent
– amyloid is confined to the tubulointerstitium or
vasculature
• Immunofluorescence or immunohistochemical
studies arenegative for intact Ig, complement,
and fibrin
– AL disease – will reveal Ig light chain
• Reactivity - restricted to a single light chain
isotype
– Some degree of background staining for light
chains, albumin
• Absence of reactivity for either or light chain
does not rule out AL disease
• Commercially available reagents do not always
detect amyloidogenic light chains because of
– conformational change or fragmentation that
masks or eliminates the relevant epitopes
• AA amyloid - detected with available
antibodies against AA protein
• Loss of Congo red staining after treatment
with potassium permanganate is a property of
AA amyloid
• Electron microscopy
– Amyloid appears as nonbranching fibrils with a
diameter of 8 to 10 nm
– randomly arrayed without a specific orientation in the
mesangium, basement membranes, interstitium, and
vessels
– electron micrographic appearance of amyloid fibrils is
sufficiently characteristic that, if present, thediagnosis
of amyloidosis should continue to be considered even
when Congo red staining is negative
• D/D of monoclonal Ig light-chain disorders
• LCDD
– Congo red–negative deposits - granular pattern along the
glomerular and tubular basement membranes
– Immunoreactivity with anti-λ or anti- κ light-chain antibody
usually is positive
• light-chain epitopes are maintained to a greater extent in LCDD than
in AL amyloidosis
– In LCDD, the κ light-chain isotype is more common than the λ
isotype
– Compared with AL amyloidosis, there usually is less background
staining with nonpathologic lightchain isotypes or albumin
– PAS staining is much more intense than in amyloidosis
• deposition of light chains stimulates production of collagen and other
extracellular matrix components; as a result,
• Cast nephropathy or myeloma kidney –
– Light chains form intratubular casts
– light-chain casts are PAS negative
– they are highly refractile, and they often appear
lamellated and fractured
– Inflammatory cell infiltration and, in some cases,
granuloma formation often are present in the
interstitium that surrounds the affected tubules
Clinico-pathologic Correlates
• Proteinuria
– Present in the majority
– Ranges from subnephrotic to massive with urinary protein
excretion rates as high as 20 to 30 g/d
– Composed mostly of albumin
– Proteinuria usually is accompanied by other components of the
nephrotic syndrome
– Hypoalbuminemia can be profound
– Edema is severe and refractory to diuretics
• Cardiac and autonomic nervous system involvement can cause
hemodynamic fragility that limits the effectiveness or tolerability of
diuretics
• When amyloid is confined to the
tubulointerstitium or vasculature
– Proteinuria is minimal and reduced GFR is the
principal clinical manifestation.
– Renal impairment tends to progress less rapidly
• Normal or low BP
– Vascular involvement often is accompanied by
hypertension
• Unusual manifestations
– Nephrogenic diabetes insipidus caused by amyloid
deposition in the peri-collecting duct tissue
– Fanconi’s syndrome- injury to proximal tubular cells by
filtered light chains
• Amyloidosis can cause enlargement of the kidneys
– However, in most patients, the kidneys seem to be of
normal size by imaging studies
• Clear relationships b/w extent of amyloid deposition
evident by kidney Bx and severity of clinical
manifestations have not been demonstrated
Treatment
• The goal of current treatment approaches for
AL amyloidosis is to eradicate the clonal
plasma cells that produce the amyloidogenic
light chain
• Depends on whether pts are eligible to pursue
high dose melphalan followed by autologous
hematopoietic cell transplantation (HCT)
• Criteria for eligibility for HCT
– Physiologic age ≤70 years
– Troponin T <0.06 ng/mL
– NT-proBNP <5000 ng/L
– Creatinine clearance ≥30 mL/min (unless on chronic stable
dialysis)
– Eastern Cooperative Oncology Group (ECOG) performance
status ≤2
– New York Heart Association functional status Class I or II
– No more than two organs significantly involved (liver,
heart, kidney, or autonomic nerve)
– No large pleural effusions
– No dependency on oxygen therapy
• Achieving a haematologic response in AL
amyloidosis translates into improved overall
survival
• Complete haematologic responses are a/w
best clinical outcomes
• Complete hematologic response
– Improved survival
– Improvements in the function of affected organs
Complete hematological response Persistent hematological disease
Bortezomib-based regimens
• Newly diagnosed or relapsed/refractory AL
amyloidosis
– Proteosome inhibitors (eg bortezomib) in combination
with other agents
• Demonstrated promise with rapid responses seen
in a majority of pts
– 43 pts - cyclophosphamide, bortezomib,
and dexamethasone (CyBorD) - hematologic response
rate of 81 %
• Median follow-up of 14 mths, the estimated 2-year
progression-free survival was 67 percent and 41 percent for
newly diagnosed and relapsed patients, respectively
– 17 patients with AL amyloidosis treated with
another dosing variant of CyBorD, 16 patients
demonstrated a hematologic response (12
complete) with a median time to response of two
months
• Relapsed disease –
– the use of bortezomib-based or
immunomodulatory-based regimens is a
reasonable approach
– There are no good data to determine which of
these regimens will be of most benefit
Treatment of AA amyloidosis
• Current treatment approach for AA
amyloidosis is to treat the underlying
inflammatory disease
– Reduce the levels of SAA
• Suppression of inflammation can result in
reduction in the clinical manifestations of
amyloidosis and improved survival
• AA amyloidosis–associated kidney disease
– cytotoxic agents or TNF antagonists
• MOA:
– Suppression of SAA production and resultant
reduction in AA amyloid formation
– additional anti-amyloid effects through
• suppression of cytokine production or
• by altering the expression of specific mediatorsof
amyloid fibril–induced cellular toxicity
• Cytotoxic and immunosuppressive agents
– Azathioprine, chlorambucil, methotrexate,
and cyclophosphamide
– Only few reports
– 6 monthly cycles of cyclophosphamide
• Anticytokine therapy
• Much of experience – in RA pts and on first-generation
TNF-alpha antagonists (ie, etanercept and infliximab)
• Less information is available regarding the newer TNF-
alpha antagonists -adalimumab, certolizumab pegol,
and golimumab
• Effectiveness enhanced by pulse therapy with
glucocorticoids for induction
• Regression of tissue amyloid occurring as early
as three months
• Humanized anti-IL-6 receptor antibody –
tocilizumab
– IL-6 blockade may be more efficient than TNF
blockade in normalizing SAA levels in pts with
rheumatic disease
• Eprodisate - a negatively charged sulfonated
molecule with in vivo activity against
experimentally induced AA amyloidosis
– Interfere with interactions between GAGs and amyloid
proteins
• Tafamidis and Diflunisal
– stabilizes circulating transthyretin in its normal
conformation
– Used in ATTR amyloidosis (familial amyloid
polyneuropathy, hereditary amyloid cardiomyopathy
and senile systemic amyloidosis)
• Amyloidosis-Associated ESRD
• Large cohort of pts with amyloidosis-asstd
dialysis dependence
– Median survival after initiation of dialysis was 8.5
months
– Mortality – cardiac amyloidosis and malnutrition
–
• Dialysis dependence, in and of itself, should
not preclude aggressive treatment that aims
to reduce ongoing amyloid production
• Appropriateness of offering HDM/SCT to dialysis-
dependent patients with AL amyloidosis
– Hematologic response rate and treatment-asstd
mortality are similar in dialysis-dependent pts
compared with the overall population of pts who
undergo this treatment
• Kidney transplantation in amyloidosis-associated
ESRD in pts with AA amyloidosis
– Outcomes that were worse as well as outcomes that
were similar compared with the general renal
transplant population
– Recurrence of 71%
• AL amyloidosis
– kidney transplantation is a good option for
patients who attain a complete hematologic
response and do not have significant extrarenal
disease
Dialysis-related amyloidosis
• Levels of β2-microglobulin are increased in
patients on dialysis
• β2-microglobulin is preferentially deposited in
articular and periarticular structures
• Clinical manifestations are largely confined to
the locomotor system
– shoulders, knees, wrists and the small joints of the
hand, and results in swelling, chronic
tenosynovitis and occasionally haemarthroses
– Spondyloarthropathies and cervical cord
compression
– deposition of β2-microglobulin within the
periarticular bone results in the appearance of
subchondral erosions and cysts, which can
contribute to pathological fractures,
• Manifestations outside the musculoskeletal
systemic are rare
– congestive cardiac failure, gastrointestinal
bleeding, perforation and pseudo-obstruction,
• Treatment –
• Renal tx -only effective treatment
• Greater removal of β2-microglobulin is
attained in patients undergoing high-flux
haemodiafiltration

Renal amyloidosis

  • 1.
    Renal Amyloidosis -A Review Dr Kiran Kumar M, DM Senior Resident, Dept of Nephrology
  • 2.
    Introduction • A genericterm – – group of diseases that are caused by the misfolding and extracellular accumulation of various proteins • Misfolded proteins form fibrillar deposits – Produce pathognomonic green birefringence when stained with Congo red dye and viewed under cross-polarized light
  • 3.
    • Amyloidosis -remarkably diverse • – Hereditary or acquired, – Localized or systemic – Lethal or an incidental finding • 27 human proteins with amyloidogenic potential in vivo have been identified – ~15 of these proteins cause systemic amyloidosis.
  • 4.
    Pathogenesis of amyloidosis •For each of these amyloidogenic “precursor proteins,” – initial step in amyloid fibril formation is a misfolding event • Misfolding can result from – Proteolytic cleavage (e.g., amyloid β protein) – An amino acid substitution (e.g., transthyretin [TTR]) – Intrinsic properties that become significant only at high serum concentration or in the presence of specific local factors (e.g., β2-microglobulin)
  • 5.
    • Combination ofthese factors often determines the amyloidogenic potential of a particular protein – they are not sufficient to account for the occurrence, timing, distribution or effects of amyloid deposition in vivo • Amyloid fibrils – avidly bind a normal circulating protein of uncertain physiologic significance called serum amyloid P component (SAP) • This observation may be of diagnostic utility – SAP scintigraphy -IV injection of radiolabeled SAP
  • 6.
    • Regardless ofthe protein or the trigger for misfolding, the misfolded variants are highly prone to self-aggregation • Self-aggregation generates protofilaments that interact to form fibrils • Amyloid fibrils have a characteristic - β pleated sheet configuration – Produces birefringence under polarized light when stained with Congo red dye
  • 8.
    Determinants of RenalDeposition of Amyloid • Factors that determine the organ distribution of amyloid deposits - not well understood – Kidney - frequent site of amyloid deposition in AL, AA, fibrinogen, lysozyme, apoAII, and, to a lesser extent, apoAI disease – In contrast, TTR amyloidosis typically does not involve the kidney
  • 9.
    Variety of lightchain sequences that are amyloidogenic In AL amyloidosis, disease can be restricted to a single tissue type in one individual and involve as many as five to six organ systems in another individual Differences in amino acid sequence of an amyloidogenic protein – Familial TTR amyloidosis • amino acid substitution of methionine for valine at position 30 (Val30Met) - predominant neuropathic involvement • Val122Ile TTR variant - cardiomyopathy is the major manifestation
  • 10.
    Position of themutation in the apoAI protein a/w the distribution of organ involvement – Mutations in the amino terminal portion are - kidney, liver, heart involvement – Mutations in the carboxy terminal portion -heart, skin, laryngeal involvement
  • 11.
    • Kidney tropismin AL disease – Specific uptake by mesangial cells – Does not seem to be a uniform requirement for amyloid deposition in the kidney • Other factors that might promote or retard amyloid formation or deposition in the kidney • – Negative charge – High glycosaminoglycan content of GBM – Presence of certain proteases that could either render a protein amyloidogenic or affect stability of amyloid deposits – Local PH
  • 12.
    How Does AmyloidosisCause Renal Disease? • Disruption of tissue architecture by amyloid deposits • Amyloidogenic precursor proteins, folding intermediates, and protofilaments have toxicities that are independent of the amyloid deposits – Lack of correlation between quantity of amyloid in tissue and organ dysfunction – in vitro demonstrations of direct toxicity of amyloidogenic precursor proteins on cultured cells – Detection of amyloidogenic precursor proteins in tissue in the absence of amyloid – Rapid improvement in markers of organ dysfunction after treatment induced reductions in precursor protein production
  • 14.
    Classification • Based on –the precursor protein that forms the amyloid fibrils – the distribution of amyloid deposition as either systemic or localized
  • 17.
    Epidemeology • Predominantly adisease of mid-to-late life • Renal amyloidosis is identified in ~4% of adult renal biopsy samples – accounts for ~1.6% of pts starting dialysis • Age-adjusted incidence of AL amyloidosis in the US and in the UK is estimated to be 5.1–12.8 cases per million persons per yr • Disease develops in about 2% of individuals with monoclonal B-cell dyscrasias
  • 18.
    • AA amyloidosis- reported prevalence in patients with chronic arthritides is 3–6% • Duration of latency b/w onset of inflammation and diagnosis of AA amyloidosis can vary from less than a year to many decades – median of approximately 17 yrs
  • 19.
    Indian scenario • Chughet al – 1981 – 233 pts with renal amyloidosis – Incidence of amyloidosis - 1.01% of 6431 postmortems and 8-4% of 1980 renal biopsies – Secondary amyloidosis - 87.1 % – Primary amyloid - 9.4 % – Amyloidosis associated with multiple myeloma - 3.5 % – Tuberculosis - commonest predisposing disease accounting for secondary amyloidosis - 59% – Chronic suppurative lung disease – 24.1 %. – RA, chronic osteomyelitis and lepromatous leprosy - small percentage of pts (2 to 8 %)
  • 20.
    1992-2002 2003-2010 No ofbiopsies 974 1524 Incidence of renal amyloidosis 1.74% 1.9% Mean age 38 ± 17.9 39.2 ± 19 Gender predominance Male female Renal insufficiency in patients with renal amyloidosis n = 2; 12.8% n = 14; 48.2% Subnephrotic proteinuria 12.8% 48.82% MC cause of secondary amyloidosis Infection (n = 10; 58.8%) Inflammatory disorders (n = 14; 48.2%) Prakash J1, Brojen T, Rathore SS, Choudhury TA, Gupta T. Ren Fail. 2012;34(10):1212- 6. doi: 10.3109/0886022X.2012.723514. Epub 2012 Sep 25.
  • 21.
    Pathology • Histologic Demonstrationof Amyloid – Usually by Congo red dye – Congo red–stained amyloid • Orange-red appearance under light microscopy • Produces apple-green birefringence under polarized light – birefringence results from the ordered intercalation of Congo red dye into the amyloid fibrils – this optical property must be present to consider the staining Congo red positive
  • 26.
    • ThioflavinT staining- yellow-green fluorescence – Congo red positivity greatest from sites with clinical evidence of involvement – If amyloidosis is suspected, abd fat aspiration rather than an invasive Bx – The sensitivity of Congo red staining of abd fat • 80 to 90% - AL amyloidosis • 65 to 75% - AA amyloidosis • substantially lower in many of the familial amyloidoses – Relatively noninvasive - Salivary gland and rectal biopsies
  • 27.
    • Determination ofthe Type of Amyloidosis – Types of amyloid - indistinguishable by LM or EM – Most direct method for identifying the amyloidogenic protein - Mass spectrometry or Amino acid sequencing of proteins • Not available routinely • Usually not necessary unless other approaches are unrevealing – The most definitive method used in the clinical setting • Immunofluorescence • Immunohistochemical
  • 28.
    Strong reactivity forλ light chains Weak reactivity for κ light chains
  • 29.
    • Absence ofimmunoreactivity of tissue amyloid for λ or κ light chain, evidence for AL disease – – demonstration of monoclonal Ig protein in the blood or urine or clonal plasma cells in the bone marrow – Immunofixation electrophoresis vs protein electrophoresis (monoclonal protein is less in AL than in multiple myeloma) – Nephelometric quantification of serum free light chains • presence of a monoclonal protein • disease progression • response to treatment
  • 30.
    • Renal impairment- –Ratio of the serum conc of two light-chain isotypes rather than the absolute serum concentrations • Bone marrow biopsy – assessing – plasma cell clonality – plasma cell burden
  • 31.
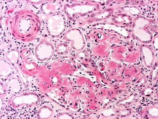
    • Renal Pathology •Risk for procedure-related bleeding as a result of vascular fragility- little evidence • Glomerular deposition typically predominates – appears as amorphous material in the mesangium and capillary loops • Substantial mesangial deposition produce nodules – vs diabetic nephropathy or LCDD – periodic acid-Schiff (PAS) and methanamine silver- negative ( not extracellular tissue)
  • 32.
    • Amyloid depositionin the tubulointerstitium produces tubular atrophy and interstitial fibrosis • Small proportion of pts – glomerular deposition is scant or absent – amyloid is confined to the tubulointerstitium or vasculature
  • 33.
    • Immunofluorescence orimmunohistochemical studies arenegative for intact Ig, complement, and fibrin – AL disease – will reveal Ig light chain • Reactivity - restricted to a single light chain isotype – Some degree of background staining for light chains, albumin • Absence of reactivity for either or light chain does not rule out AL disease
  • 34.
    • Commercially availablereagents do not always detect amyloidogenic light chains because of – conformational change or fragmentation that masks or eliminates the relevant epitopes • AA amyloid - detected with available antibodies against AA protein • Loss of Congo red staining after treatment with potassium permanganate is a property of AA amyloid
  • 35.
    • Electron microscopy –Amyloid appears as nonbranching fibrils with a diameter of 8 to 10 nm – randomly arrayed without a specific orientation in the mesangium, basement membranes, interstitium, and vessels – electron micrographic appearance of amyloid fibrils is sufficiently characteristic that, if present, thediagnosis of amyloidosis should continue to be considered even when Congo red staining is negative
  • 37.
    • D/D ofmonoclonal Ig light-chain disorders • LCDD – Congo red–negative deposits - granular pattern along the glomerular and tubular basement membranes – Immunoreactivity with anti-λ or anti- κ light-chain antibody usually is positive • light-chain epitopes are maintained to a greater extent in LCDD than in AL amyloidosis – In LCDD, the κ light-chain isotype is more common than the λ isotype – Compared with AL amyloidosis, there usually is less background staining with nonpathologic lightchain isotypes or albumin – PAS staining is much more intense than in amyloidosis • deposition of light chains stimulates production of collagen and other extracellular matrix components; as a result,
  • 38.
    • Cast nephropathyor myeloma kidney – – Light chains form intratubular casts – light-chain casts are PAS negative – they are highly refractile, and they often appear lamellated and fractured – Inflammatory cell infiltration and, in some cases, granuloma formation often are present in the interstitium that surrounds the affected tubules
  • 42.
    Clinico-pathologic Correlates • Proteinuria –Present in the majority – Ranges from subnephrotic to massive with urinary protein excretion rates as high as 20 to 30 g/d – Composed mostly of albumin – Proteinuria usually is accompanied by other components of the nephrotic syndrome – Hypoalbuminemia can be profound – Edema is severe and refractory to diuretics • Cardiac and autonomic nervous system involvement can cause hemodynamic fragility that limits the effectiveness or tolerability of diuretics
  • 43.
    • When amyloidis confined to the tubulointerstitium or vasculature – Proteinuria is minimal and reduced GFR is the principal clinical manifestation. – Renal impairment tends to progress less rapidly • Normal or low BP – Vascular involvement often is accompanied by hypertension
  • 44.
    • Unusual manifestations –Nephrogenic diabetes insipidus caused by amyloid deposition in the peri-collecting duct tissue – Fanconi’s syndrome- injury to proximal tubular cells by filtered light chains • Amyloidosis can cause enlargement of the kidneys – However, in most patients, the kidneys seem to be of normal size by imaging studies • Clear relationships b/w extent of amyloid deposition evident by kidney Bx and severity of clinical manifestations have not been demonstrated
  • 46.
    Treatment • The goalof current treatment approaches for AL amyloidosis is to eradicate the clonal plasma cells that produce the amyloidogenic light chain • Depends on whether pts are eligible to pursue high dose melphalan followed by autologous hematopoietic cell transplantation (HCT)
  • 47.
    • Criteria foreligibility for HCT – Physiologic age ≤70 years – Troponin T <0.06 ng/mL – NT-proBNP <5000 ng/L – Creatinine clearance ≥30 mL/min (unless on chronic stable dialysis) – Eastern Cooperative Oncology Group (ECOG) performance status ≤2 – New York Heart Association functional status Class I or II – No more than two organs significantly involved (liver, heart, kidney, or autonomic nerve) – No large pleural effusions – No dependency on oxygen therapy
  • 50.
    • Achieving ahaematologic response in AL amyloidosis translates into improved overall survival • Complete haematologic responses are a/w best clinical outcomes
  • 52.
    • Complete hematologicresponse – Improved survival – Improvements in the function of affected organs Complete hematological response Persistent hematological disease
  • 53.
    Bortezomib-based regimens • Newlydiagnosed or relapsed/refractory AL amyloidosis – Proteosome inhibitors (eg bortezomib) in combination with other agents • Demonstrated promise with rapid responses seen in a majority of pts – 43 pts - cyclophosphamide, bortezomib, and dexamethasone (CyBorD) - hematologic response rate of 81 % • Median follow-up of 14 mths, the estimated 2-year progression-free survival was 67 percent and 41 percent for newly diagnosed and relapsed patients, respectively
  • 54.
    – 17 patientswith AL amyloidosis treated with another dosing variant of CyBorD, 16 patients demonstrated a hematologic response (12 complete) with a median time to response of two months • Relapsed disease – – the use of bortezomib-based or immunomodulatory-based regimens is a reasonable approach – There are no good data to determine which of these regimens will be of most benefit
  • 56.
    Treatment of AAamyloidosis • Current treatment approach for AA amyloidosis is to treat the underlying inflammatory disease – Reduce the levels of SAA • Suppression of inflammation can result in reduction in the clinical manifestations of amyloidosis and improved survival
  • 57.
    • AA amyloidosis–associatedkidney disease – cytotoxic agents or TNF antagonists • MOA: – Suppression of SAA production and resultant reduction in AA amyloid formation – additional anti-amyloid effects through • suppression of cytokine production or • by altering the expression of specific mediatorsof amyloid fibril–induced cellular toxicity
  • 58.
    • Cytotoxic andimmunosuppressive agents – Azathioprine, chlorambucil, methotrexate, and cyclophosphamide – Only few reports – 6 monthly cycles of cyclophosphamide • Anticytokine therapy • Much of experience – in RA pts and on first-generation TNF-alpha antagonists (ie, etanercept and infliximab) • Less information is available regarding the newer TNF- alpha antagonists -adalimumab, certolizumab pegol, and golimumab
  • 59.
    • Effectiveness enhancedby pulse therapy with glucocorticoids for induction • Regression of tissue amyloid occurring as early as three months • Humanized anti-IL-6 receptor antibody – tocilizumab – IL-6 blockade may be more efficient than TNF blockade in normalizing SAA levels in pts with rheumatic disease
  • 60.
    • Eprodisate -a negatively charged sulfonated molecule with in vivo activity against experimentally induced AA amyloidosis – Interfere with interactions between GAGs and amyloid proteins • Tafamidis and Diflunisal – stabilizes circulating transthyretin in its normal conformation – Used in ATTR amyloidosis (familial amyloid polyneuropathy, hereditary amyloid cardiomyopathy and senile systemic amyloidosis)
  • 61.
    • Amyloidosis-Associated ESRD •Large cohort of pts with amyloidosis-asstd dialysis dependence – Median survival after initiation of dialysis was 8.5 months – Mortality – cardiac amyloidosis and malnutrition – • Dialysis dependence, in and of itself, should not preclude aggressive treatment that aims to reduce ongoing amyloid production
  • 62.
    • Appropriateness ofoffering HDM/SCT to dialysis- dependent patients with AL amyloidosis – Hematologic response rate and treatment-asstd mortality are similar in dialysis-dependent pts compared with the overall population of pts who undergo this treatment • Kidney transplantation in amyloidosis-associated ESRD in pts with AA amyloidosis – Outcomes that were worse as well as outcomes that were similar compared with the general renal transplant population – Recurrence of 71%
  • 63.
    • AL amyloidosis –kidney transplantation is a good option for patients who attain a complete hematologic response and do not have significant extrarenal disease
  • 64.
    Dialysis-related amyloidosis • Levelsof β2-microglobulin are increased in patients on dialysis • β2-microglobulin is preferentially deposited in articular and periarticular structures • Clinical manifestations are largely confined to the locomotor system – shoulders, knees, wrists and the small joints of the hand, and results in swelling, chronic tenosynovitis and occasionally haemarthroses
  • 65.
    – Spondyloarthropathies andcervical cord compression – deposition of β2-microglobulin within the periarticular bone results in the appearance of subchondral erosions and cysts, which can contribute to pathological fractures, • Manifestations outside the musculoskeletal systemic are rare – congestive cardiac failure, gastrointestinal bleeding, perforation and pseudo-obstruction,
  • 66.
    • Treatment – •Renal tx -only effective treatment • Greater removal of β2-microglobulin is attained in patients undergoing high-flux haemodiafiltration