Pulmonary Embolism

      Salah Abusin, MD, MRCP
          Cardiology Fellow
             Chicago, IL
          Secretary General
Sudanese American Medical Association
Outline
•   Definition            • Management
•   Risk Factors            – Anticoagulation
•   Types                   – Thrombolysis
•   Natural History         – IVC filters
•   Symptoms                – Embolectomy
•   Signs                       • Surgical
•                               • Catheter Based
    Investigations
•   Diagnosis
History
• A 61 year old male
      – New onset shortness of breath for 4 days.
      – He also noticed a cough, with blood tinged
        sputum.
      – He had no chest pain, no orthopnea or
        paroxysmal nocturnal dyspnea, or fever.
      – He used his albuterol inhaler several times with no
        improvement in his shortness of breath
• .
• Past history:
  – Hypertension
  – Asthma
  – Remote history (10 years prior to current
    presentation) of left lower limb swelling that
    subsided after treatment for 6 months.
• Social history: Smoker 40 pack year history
• Family history: no relevant family history.
• Drug history:
  – fluticasone/Salmeterol combination inhaler twice
    daily,
  – albuterol inhaler as needed for shortness of breath
  – hydrochlorothiazide 12.5mg once daily
Physical Examination:
• Vital Signs:
   – HR 113/min,
   – BP 150/93,
   – respiratory rate 22/min,
   – oxygen saturation via pulse oximetry 89% on
     room air,
   – temperature 97.2° F (36.2 °C)
• HEENT: (Head, Eyes, Ear, Nose, Throat
  examination) was normal.
• JVP was not raised.
• Chest clear no wheezes, or crackles.
• Abdomen soft non tender, no palpable liver,
  spleen.
• Lower extremities: no edema, no other
  abnormalities
• PEFR (peak expiratory flow rate) was above
  75% of predicted
What is your differential diagnosis?
What test would you like to perform
               next?
Investigations
• Chest X ray  Clear Lung fields
• ECG  Sinus Tachycardia
• Basic metabolic panel (BMP) includes Na, K,
  HCO3, Chloride, BUN, Creatinine was within
  normal limits.
• Complete blood count: Hb 15.9, WBC 7200
  with normal differential, platelet count 270.
• Liver function test, and liver enzymes were
  within normal limits.
Arterial Blood Gas on Room Air
•   pH 7.42 (normal)
•   pCO2 33.2 (mildly reduced)
•   pO2 55 (moderately reduced)
•   Oxsat 87%
What would you like to do next?
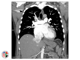
CT Chest – PE Protocol
Definition of Pulmonary Embolism
• obstruction of the pulmonary artery or one of
  its branches by material (eg, thrombus, tumor,
  air, or fat) that originated elsewhere in the
  body
Risk Factors
Types
• Acute
  – Massive (BP <90/40 >15mins)
  – Submassive – doesn’t meet above definition
• Chronic
• Saddle PE
  – Embolus lodges at the Main PA bifurcation
Natural History
• 30% die if untreated
• Usually due to recurrent PE
Symptoms
•   Dyspnea at rest or with exertion (73%)
•    Pleuritic pain (44 %),
•   calf or thigh pain (44%),
•   calf or thigh swelling (41%),
•   cough (34%),
•   >2-pillow orthopnea (28% ),
•   wheezing (21 %)
      PIOPED II. Stein PD , Beemath A et al
      Am J Med. 2007;120(10):871.
Signs
•   tachypnea (54%),
•   tachycardia (24%),
•   crackles (18%),
•   decreased breath sounds (17%),
•   Loud S2 (15%),
•   Raised JVP (14 %)


      PIOPED II. Stein PD , Beemath A et al
      Am J Med. 2007;120(10):871.
Laboratory Investigations
• ABGs
  – Hypoxemia
  – Hypocapnia
  – Respiratory alkalosis
  – Hypercapnia, Resp acidosis (if massive)
  – Metabolic acidosis (if massive)
• Troponin
  – Elevated in moderate to severe PE
D dimer
•   Fibrin degradation product
•   Is elevated in most patients with PE
•   High negative predictive value
•   i.e. useful to rule out PE in patients with low
    to intermediate pretest probability
ECG
• Sinus tachycardia
• Non specific ST/T changes
• Classical findings are uncommon
  – S1Q3T3 pattern,
  – RV strain,
  – new incomplete RBBB
Chest Xray
• Usually abnormal but doesn’t differentiate PE
  from other diagnoses
                                 PE     No PE
   Atelectasis or a pulmonary    69%    58%
   parenchymal abnormality
   Pleural Effusion              47%    39%
   Normal                        12%
    Stein et al
    Chest. 1991;100(3):598
VQ Scan
• Interpreted as probability i.e.
  – Low Probability
  – Intermediate Probability
  – High Probability
• Diagnosis of PE using VQ scan requires
  integration of the pretest probability
• Normal VQ Scan virtually excludes PE
CT Chest
• Advantages
  – High Specificity for main, lobar and segmetal vessels
  – Rapidity
  – Diagnosis of other disease entities
• Disadvantages
  – Availability
  – Expense
  – Less sensitivity with subsegmental vessels
  – Contrast Load
Diagnosis
• Clinical findings are generally non specific,
  variable, and common with other conditions
• Results of Diagnostic Investigations (VQ, CT)
  have to be integrated with the pretest
  probability of PE
Determine Pretest Probability
Management
• Anticoagulation (Acute)
   – Unfractionated Heparin
   – Low Molecular Weight Heparin
   – Fondaparinux
• Anticoagulation (Chronic)
   – Warfarin
• New agents
   – Dabigatran
   – Rivaroxaban
Unfractionated Heparin
• Proven to work since 1960
• Intravenous
  – Bolus of 80u/kg followed by infusion at 18u/kg/hr
  – Titrate to target PTT 1.5-2.5x the control aPTT
• Subcutaneous
  – After IV bolus of 5000u, 250u/kg BID
  – SQ bolus of 333u/kg
  – aPTT Not monitored
LMW Heparin
• Administered subcutaneously
• Examples include
  – Enoxaparin  BID or once daily dosing
  – Dalteparin once daily
  – Nadroparin BID dosing (not for use if wt >100kg)
  – Tinzaparin
• Do not require monitoring in most cases
LMW Heparin vs UF Heparin
• Compared with IV UFH LMW Heparin had
   – less mortality,
   – less thromboembolism
   – Less bleeding
• Compared to SQ UFH
  – Similar outcomes
Fondaprinux
• Subcutaneous administration
• Similar outcomes when compared to IV UFH
• Contraindicated in patients with severe renal
  failure
Warfarin
• Started after administration of heparin (or
  heparin like agent)
• Adjusted dose to INR 2.0-3.0
Duration of anticoagulation
• First Episode
  – Reversible  3 months
  – Unprovoked  indefinite (if bleeding risk
    acceptable)
• Recurrent PE
  – Indefinite if risk of bleeding acceptable
New Anticoagulants- Rivaroxaban
• Factor Xa Inhibitor
• FDA approved for
  – non valvular A fib,
  – postop thromboprophylaxis hip and knee replacement
  – Treatment of DVT
• Non inferior to Warfarin in Einstein PE study 2012


      EINSTEIN-PE Study
      NEJM 2012
Rivaroxaban
• Given as 15mg PO dose BID for 3 weeks then
  20mg daily
• Doesn’t require monitoring
• Good safety profile (less bleeding than with
  warfarin)
Dabigatran
•   Oral thrombin inhibitor
•   FDA approved for non valvular Atrial Fibrillation
•   Studied in Re-cover trial for DVT (not PE)
•   Non inferior to warfarin
•   Good safety profile



      Schulman et al
      NEJM 2009
Thrombolysis
• Indications
  – Massive PE (SBP <90 for >15mins)
• Controversial Indication
  – Severe hypoxemia
  – Large thrombus burden
  – RV dysfunction
     • ECG, Cardiac Enzyme Elevation, Echocardiography
  – RV thrombus in transit
  – Saddle Embolus
Contraindications
• Absolute Contraindications
  – Intracranial neoplasm
  – Recent (<3 months) intracranial surgery or trauma
  – recent (<3 months) ischemic stroke
  – h/o hemorrhagic stroke
  – Active or recent bleeding
• Relative Contraindications
  – BP > 180 systolic
  – H/o ischemic stroke
  – Recent (<4 weeks) internal bleeding
  – Thrombocytopenia
Thrombolytic Agents
• Tissue Plasminogen Activator – tPA
  – Alteplase
  – IV drip 100mg over 2 hours
• Streptokinase
  – IV drip 250,000 units over 30mins
  – Followed by 100,000u/hr for 24hrs
• Urokinase
Side Effects of thrombolysis
• Bleeding (9%)
  – Intracranial hemorrhage (3%)
• Allergic Reactions – Streptokinase
• Hypotension - Streptokinase
Real Life Case
•   52 yo male with cardiomyopathy (EF10%),
•   PH of DVT/PE in 2005, Gout
•   Presented with worsening shortness of breath
•   Has stable ET at 2-3 blocks
•   HR 69, BP 105/79
•   2/6 systolic murmur
•   Trace LE edema
Echocardiography

• Normal echo
Before thrombolysis   After thrombolysis
Surgical Embolectomy

• Experienced Surgeon
• Requires cardiopulmonary bypass
• Indicated as an alternative to thrombolysis or
  when thrombolysis is contraindicated
Inferior Vena Cava Filter
• “Filter out” large emobli
  from the pelvis, lower
  extremities
• Inserted percutaneously
• Indicated for patients
  who have
  contraindications to
  anticoagulation
THANK YOU

Pulmonary embolism

  • 1.
    Pulmonary Embolism Salah Abusin, MD, MRCP Cardiology Fellow Chicago, IL Secretary General Sudanese American Medical Association
  • 2.
    Outline • Definition • Management • Risk Factors – Anticoagulation • Types – Thrombolysis • Natural History – IVC filters • Symptoms – Embolectomy • Signs • Surgical • • Catheter Based Investigations • Diagnosis
  • 4.
    History • A 61year old male – New onset shortness of breath for 4 days. – He also noticed a cough, with blood tinged sputum. – He had no chest pain, no orthopnea or paroxysmal nocturnal dyspnea, or fever. – He used his albuterol inhaler several times with no improvement in his shortness of breath • .
  • 5.
    • Past history: – Hypertension – Asthma – Remote history (10 years prior to current presentation) of left lower limb swelling that subsided after treatment for 6 months. • Social history: Smoker 40 pack year history • Family history: no relevant family history. • Drug history: – fluticasone/Salmeterol combination inhaler twice daily, – albuterol inhaler as needed for shortness of breath – hydrochlorothiazide 12.5mg once daily
  • 6.
    Physical Examination: • VitalSigns: – HR 113/min, – BP 150/93, – respiratory rate 22/min, – oxygen saturation via pulse oximetry 89% on room air, – temperature 97.2° F (36.2 °C)
  • 7.
    • HEENT: (Head,Eyes, Ear, Nose, Throat examination) was normal. • JVP was not raised. • Chest clear no wheezes, or crackles. • Abdomen soft non tender, no palpable liver, spleen. • Lower extremities: no edema, no other abnormalities • PEFR (peak expiratory flow rate) was above 75% of predicted
  • 8.
    What is yourdifferential diagnosis? What test would you like to perform next?
  • 9.
    Investigations • Chest Xray  Clear Lung fields • ECG  Sinus Tachycardia • Basic metabolic panel (BMP) includes Na, K, HCO3, Chloride, BUN, Creatinine was within normal limits. • Complete blood count: Hb 15.9, WBC 7200 with normal differential, platelet count 270. • Liver function test, and liver enzymes were within normal limits.
  • 10.
    Arterial Blood Gason Room Air • pH 7.42 (normal) • pCO2 33.2 (mildly reduced) • pO2 55 (moderately reduced) • Oxsat 87%
  • 11.
    What would youlike to do next?
  • 12.
    CT Chest –PE Protocol
  • 13.
    Definition of PulmonaryEmbolism • obstruction of the pulmonary artery or one of its branches by material (eg, thrombus, tumor, air, or fat) that originated elsewhere in the body
  • 14.
  • 15.
    Types • Acute – Massive (BP <90/40 >15mins) – Submassive – doesn’t meet above definition • Chronic • Saddle PE – Embolus lodges at the Main PA bifurcation
  • 16.
    Natural History • 30%die if untreated • Usually due to recurrent PE
  • 18.
    Symptoms • Dyspnea at rest or with exertion (73%) • Pleuritic pain (44 %), • calf or thigh pain (44%), • calf or thigh swelling (41%), • cough (34%), • >2-pillow orthopnea (28% ), • wheezing (21 %) PIOPED II. Stein PD , Beemath A et al Am J Med. 2007;120(10):871.
  • 19.
    Signs • tachypnea (54%), • tachycardia (24%), • crackles (18%), • decreased breath sounds (17%), • Loud S2 (15%), • Raised JVP (14 %) PIOPED II. Stein PD , Beemath A et al Am J Med. 2007;120(10):871.
  • 20.
    Laboratory Investigations • ABGs – Hypoxemia – Hypocapnia – Respiratory alkalosis – Hypercapnia, Resp acidosis (if massive) – Metabolic acidosis (if massive) • Troponin – Elevated in moderate to severe PE
  • 21.
    D dimer • Fibrin degradation product • Is elevated in most patients with PE • High negative predictive value • i.e. useful to rule out PE in patients with low to intermediate pretest probability
  • 22.
    ECG • Sinus tachycardia •Non specific ST/T changes • Classical findings are uncommon – S1Q3T3 pattern, – RV strain, – new incomplete RBBB
  • 23.
    Chest Xray • Usuallyabnormal but doesn’t differentiate PE from other diagnoses PE No PE Atelectasis or a pulmonary 69% 58% parenchymal abnormality Pleural Effusion 47% 39% Normal 12% Stein et al Chest. 1991;100(3):598
  • 24.
    VQ Scan • Interpretedas probability i.e. – Low Probability – Intermediate Probability – High Probability • Diagnosis of PE using VQ scan requires integration of the pretest probability • Normal VQ Scan virtually excludes PE
  • 26.
    CT Chest • Advantages – High Specificity for main, lobar and segmetal vessels – Rapidity – Diagnosis of other disease entities • Disadvantages – Availability – Expense – Less sensitivity with subsegmental vessels – Contrast Load
  • 27.
    Diagnosis • Clinical findingsare generally non specific, variable, and common with other conditions • Results of Diagnostic Investigations (VQ, CT) have to be integrated with the pretest probability of PE
  • 28.
  • 30.
    Management • Anticoagulation (Acute) – Unfractionated Heparin – Low Molecular Weight Heparin – Fondaparinux • Anticoagulation (Chronic) – Warfarin • New agents – Dabigatran – Rivaroxaban
  • 31.
    Unfractionated Heparin • Provento work since 1960 • Intravenous – Bolus of 80u/kg followed by infusion at 18u/kg/hr – Titrate to target PTT 1.5-2.5x the control aPTT • Subcutaneous – After IV bolus of 5000u, 250u/kg BID – SQ bolus of 333u/kg – aPTT Not monitored
  • 32.
    LMW Heparin • Administeredsubcutaneously • Examples include – Enoxaparin  BID or once daily dosing – Dalteparin once daily – Nadroparin BID dosing (not for use if wt >100kg) – Tinzaparin • Do not require monitoring in most cases
  • 33.
    LMW Heparin vsUF Heparin • Compared with IV UFH LMW Heparin had – less mortality, – less thromboembolism – Less bleeding • Compared to SQ UFH – Similar outcomes
  • 34.
    Fondaprinux • Subcutaneous administration •Similar outcomes when compared to IV UFH • Contraindicated in patients with severe renal failure
  • 35.
    Warfarin • Started afteradministration of heparin (or heparin like agent) • Adjusted dose to INR 2.0-3.0
  • 36.
    Duration of anticoagulation •First Episode – Reversible  3 months – Unprovoked  indefinite (if bleeding risk acceptable) • Recurrent PE – Indefinite if risk of bleeding acceptable
  • 37.
    New Anticoagulants- Rivaroxaban •Factor Xa Inhibitor • FDA approved for – non valvular A fib, – postop thromboprophylaxis hip and knee replacement – Treatment of DVT • Non inferior to Warfarin in Einstein PE study 2012 EINSTEIN-PE Study NEJM 2012
  • 38.
    Rivaroxaban • Given as15mg PO dose BID for 3 weeks then 20mg daily • Doesn’t require monitoring • Good safety profile (less bleeding than with warfarin)
  • 39.
    Dabigatran • Oral thrombin inhibitor • FDA approved for non valvular Atrial Fibrillation • Studied in Re-cover trial for DVT (not PE) • Non inferior to warfarin • Good safety profile Schulman et al NEJM 2009
  • 40.
    Thrombolysis • Indications – Massive PE (SBP <90 for >15mins) • Controversial Indication – Severe hypoxemia – Large thrombus burden – RV dysfunction • ECG, Cardiac Enzyme Elevation, Echocardiography – RV thrombus in transit – Saddle Embolus
  • 41.
    Contraindications • Absolute Contraindications – Intracranial neoplasm – Recent (<3 months) intracranial surgery or trauma – recent (<3 months) ischemic stroke – h/o hemorrhagic stroke – Active or recent bleeding
  • 42.
    • Relative Contraindications – BP > 180 systolic – H/o ischemic stroke – Recent (<4 weeks) internal bleeding – Thrombocytopenia
  • 43.
    Thrombolytic Agents • TissuePlasminogen Activator – tPA – Alteplase – IV drip 100mg over 2 hours • Streptokinase – IV drip 250,000 units over 30mins – Followed by 100,000u/hr for 24hrs • Urokinase
  • 44.
    Side Effects ofthrombolysis • Bleeding (9%) – Intracranial hemorrhage (3%) • Allergic Reactions – Streptokinase • Hypotension - Streptokinase
  • 45.
    Real Life Case • 52 yo male with cardiomyopathy (EF10%), • PH of DVT/PE in 2005, Gout • Presented with worsening shortness of breath • Has stable ET at 2-3 blocks • HR 69, BP 105/79 • 2/6 systolic murmur • Trace LE edema
  • 47.
  • 48.
    Before thrombolysis After thrombolysis
  • 49.
    Surgical Embolectomy • ExperiencedSurgeon • Requires cardiopulmonary bypass • Indicated as an alternative to thrombolysis or when thrombolysis is contraindicated
  • 51.
    Inferior Vena CavaFilter • “Filter out” large emobli from the pelvis, lower extremities • Inserted percutaneously • Indicated for patients who have contraindications to anticoagulation
  • 52.

Editor's Notes

  • #5 Prior to that he was feeling well, and his asthma was well controlled with fluticasone/salmeterol combination inhaler.
  • #18 Sources: right heart, UE, renal, but most are from iliofemoral Most iliofemoral arise from calf veins, less often insitu Most calf VTE do not progress to iliofemoral
  • #25 Patients with high clinical probability of PE and a high-probability V/Q scan had a 95% likelihood of having PE Patients with low clinical probability of PE and a low-probability V/Q scan had only a 4 percent likelihood of having PE A normal V/Q scan virtually excluded PE
  • #27 Pneumonia, Aortic Dissection,
  • #33 Exceptions include obesity, low body weight, renal insufficiency and pregnancy Level of antiXa should be checked 4hrs after administration
  • #34 Once daily administration Less thrombocytopenia
  • #37 Immobilization, surgery, trauma