Bursae
Dr/ ABD ALLAH NAZEER. MD.
Shoulder.
Elbow.
Wrist.
Hip.Knee.
Ankle.
Scapulo-
thoracic.
A bursa is a synovial-lined sac overlying the bony surfaces at
areas of tendon friction. Bursae are located where tendons
move against each other or glide over a bony surface. They are
classified according to their location: subcutaneous, subfascial,
subtendinous, and submucosal. Bursae can also be classified as
communicating or non communicating. When a bursa is
located adjacent to a joint, the synovial membrane of the
bursae may communicate with the joint. This bursa is termed a
communicating bursa. Some examples are the iliopsoas bursa
lateral to the hip and the gastrocnemius-semimembranosus
bursa posteromedial to the knee. In certain locations,
communication between the joint and the bursa is abnormal.
An example is the subacromial-subdeltoid (SASD) bursa that
lies superior to the rotator cuff and inferior to the acromion.
Most of the bursae are potential spaces and are not normally
visualized on imaging.
In pathological conditions such as excessive local friction,
infection, arthritides or direct trauma, fluid and debris collect
within the bursa or fluid extends into the bursa from the adjacent
joint. The walls of the bursa thicken as the bursal inflammation
becomes longstanding. The term bursitis refers to pathological
enlargement of the bursa. If the abnormally distended bursa is
superficially located, it can be visualized by ultrasound as the
ultrasound beam is able to penetrate through this region. The
bursa is seen as a fluid-filled anechoic structure lined by a
hyperechoic wall. Deep-seated bursae are depicted on magnetic
resonance imaging (MRI) or computed tomography (CT). On MRI,
the bursa is seen as a high T2 fluid-filled structure. CT shows the
inflamed bursa as hypodense with an enhancing wall. Clinically,
bursitis mimics several peripheral joint and muscle abnormalities.
Therefore, it is important for the radiologist to identify bursal
pathology and direct management geared toward bursitis.
SHOULDER
The normal shoulder joint has the following bursae surrounding the joint.
1-Subacromial-subdeltoid bursa
2- Subscapular recess
3- Subcoracoid bursa
4- Coracoclavicular bursa
5- Supra-acromial bursa
6- Medial extension of SASD bursa
Diagram of normal bursae surrounding the shoulder joint: (1)
subacromial-subdeltoid bursa, (2) subscapular recess, (3)
subcoracoid bursa, (4) coracoclavicular bursa, (5) supra-acromial
bursa and (6) medial extension of subacromial-subdeltoid bursa.
Subacromial-subdeltoid bursa
The subacromial-subdeltoid (SASD) bursa comprise of two bursae that lie
between the rotator cuff tendons and the undersurface of the acromion.
They are located deep in the deltoid muscle and acromioclavicular joint
(AC joint) and overlie the bicipital groove and rotator cuff.
The causes of SASD bursal fluid include: rotator cuff tears, impingement,
septic bursitis, and reactive bursitis from glenohumeral joint disease,
such as calcium deposition arthropathy. In full-thickness tears of the
rotator cuff, fluid from within the glenohumeral joint tracks through the
tear into the bursa. Communication with the joint is abnormal in this
location. This abnormal communication is best depicted on an MR
arthrogram. Intraarticular gadolinium outlines the tear and extends into
the bursa. On MRI, the abnormal collection of fluid is seen as a low T1,
high T2 signal within the bursa, either due to bursal inflammation or
from a full-thickness rotator cuff tear. On ultrasound, the fluid-filled
bursa overlies the rotator cuff and is clearly depicted as a fluid-filled
anechoic structure both on longitudinal and transverse planes.
Transverse ultrasound image of the rotator cuff
depicting acute subacromial-subdeltoid bursitis.
Coronal magnetic resonance arthrogram depicting gadolinium
in the SASD bursa from a full-thickness rotator cuff tear.
Subacromial/subdeltoid fluid bursitis (arrow) without extension into the glenohumeral joint.
Subacromial/subdeltoid bursitis.
Subdeltoid Bursitis Manifested as Giant Cystic Supraclavicular and Lateral cervical Tumour.
Subcoracoid bursa
The coracoid and combined tendons of the short head of the biceps and
coracobrachialis outline the superior aspect of the subcoracoid bursa. The
subscapularis tendon lies inferior to this bursa. It reduces friction and facilitates
movement between the subscapularis tendon and the tendons of the short head
of biceps and coracobrachialis during the arc of rotation of the humeral head.
a) Line diagram and (b) corresponding magnetic resonance arthrogram of the subcoracoid bursa.
Subcoracoid bursitis, (1a, 1b, 1c) Three sagittal fat-suppressed T1-weighted images extending lateral to medial.
Subcoracoid bursitis.
Subcoracoid bursitis.
Subscapular bursa.
Subscapular bursa.
Inadvertent bursogram (a. b.) in a 44-year-old male. The tip of the needle is adjusted to a
deeper position to complete the arthrogram immediately. This burso-arthrogram
demonstrates the anterior location of the SCB relative to the glenohumeral joint (J).
X-ray photographs in chronic supracoracoid bursitis. Left: Cloudy calcification in the
coracoclavicular region while the arm is in zero position and the direction of the x-rays is horizontal.
Right: Arm is in 900 anteflexion and the x-rays are from anterocaudal to posterocranial.
Arthrogram and shoulder MRI in combined bursa. Arthrogram
demonstrates pannus formation (arrow heads) in the axillary
recess. Contrast medium leakage into subacromial-subdeltoid bursa
(SASDB, white arrows) is noted, indicating a complete rotator cuff
tear. A faint contrast medium is present in the subcoracoid bursa
(SCB), which is confirmed on MRI and is believed to have originated
from SASDB. The fat-suppressed PDWI axial view shows the
communication (star) between the distended SCB and SASDB (white
arrows) with a relative clear fluid in the structures. The fat-
suppressed PDWI sagittal view shows conspicuous pannus
formation (arrowheads) within the glenohumeral joint (J) and
subscapularis recess (SSR) compared with the relative clear fluid
within SCB, which is circumstantial evidence for the lack of
communication between SCB and SSR and the glenohumeral joint.
Combined
subcoracoid
and scapular
bursa.
Bursae around the knee joints:
Infrapatellar Bursitis
Infrapatellar bursae can be superficial or deep. The superficial infrapatellar bursa is
located between the tibial tubercle and the overlying skin, whereas the deep
infrapatellar bursa is located between the posterior aspect of the patellar tendon and
the tibia.
Superficial Infrapatellar Bursitis
Superficial infrapatellar bursitis, also called clergyman's knee, is due to inflammation
and fluid accumulation resulting from chronic stress. Clinically, there is a palpable
swelling inferior to the patella. On MRI, it appears as a loculated collection that
projects exophytically, anterior to the patellar tendon, forming a swelling. On imaging,
it should be differentiated from subcutaneous edema: edema is seen as a diffuse fluid
collection seen all over the anterior aspect of the knee, whereas bursitis appears as a
localized collection with well-defined borders.
Deep Infrapatellar Bursitis
On MRI, deep infrapatellar bursitis appears as a triangular fluid collection posterior to
the patellar tendon. When found in adolescents, it should be differentiated from
Osgood–Schlatter disease. Osgood–Schlatter disease is associated with thickening and
hyperintense signal intensity of the patellar tendon, but these findings are absent in
deep infrapatellar bursitis. In addition, cases of Osgood–Schlatter disease, on clinical
examination, display pain and tenderness at the insertion of the patellar tendon.
Line diagram showing the superficial and deep infrapatellar bursae. (1) Superficial infrapatellar bursa,
(2) deep infrapatellar, femur (F), Hoffa's fat pad (HF), patella (P), patellar tendon (PT) and tibia (T).
Sagittal magnetic resonance T2 fat sat image depicting the superficial infrapatellar bursa.
Superficial infrapatellar bursitis. A 42-year-old female presented with an anterior
knee swelling. Sagittal proton-density fat saturated (A) and sagittal gradient-echo
T2W (B) images show a distended superficial infrapatellar bursa (arrows)
Sagittal magnetic resonance T2 gradient showing deep infrapatellar bursal fluid.
Deep infrapatellar bursitis.
Prepatellar bursa
The prepatellar bursa is a tricompartmental structure. The superficial
compartment lies between the subcutaneous tissue and an extension
of the fascia lata. The intermediate compartment is situated between
the transverse superficial fascia and an intermediate oblique fascia
formed by fascial extension of the vastus lateralis and vastus medialis
muscles. The deep compartment lies between the intermediate oblique
fascia and the deep longitudinal fibers of the rectus femoris tendon.
Inflammation of this bursa occurs from repetitive trauma from
kneeling, as seen with housemaids, carpet-layers, and wrestlers. It is
also seen in inflammatory conditions such as gout.
Chronic trauma in the form of prolonged or repeated kneeling leads to
inflammation and hemorrhagic bursitis. Clinically, patients may present
with pain and swelling over the patella.
On MRI, prepatellar bursitis appears as an oval fluid-signal-intensity
lesion between the subcutaneous tissue and the patella. Hemorrhagic
lesions show T2 shortening on gradient-echo (GRE) images.
Line diagram showing
compartmentalization of
the prepatellar bursa.
SCCT - subcutaneous
cellular tissues; QT -
quadriceps tendon; PT -
patellar tendon; F -
femur; P, patella;
(1) superficial
compartment;
(2) intermediate
compartment;
(3) deep compartment.
Sagittal magnetic resonance T2 fat sat image showing high-signal
fluid intensity within the prepatellar bursitis.
Axial magnetic resonance T2 fat sat image depicting Baker's cyst with its neck between the
semimembranosus and the medial gastrocnemius tendons. Image also depicts prepatellar bursitis.
Prepatellar bursitis. A 44-year-old female presented with anterior knee pain. Axial (A) and
coronal (B) T2W fat saturated images showing a distended pre patellar bursa (arrows)
Prepatellar bursitis.
Suprapatellar bursa
The suprapatellar bursa lies between the distal rectus femoris tendon and the femur. In
the fifth fetal month, a septum (suprapatellar plica) that lies between the knee joint and
the bursa perforates and results in a communication. This situation occurs in 85% of the
adults. The suprapatellar bursa is an example of bursae normally communicating with
joints. On routine ultrasound and MR imaging, fluid in the suprapatellar bursa is a
common finding in individuals with joint effusion. In patients with a non communicating
bursa and bursitis, fluid is localized only to the suprapatellar bursa.
Longitudinal ultrasound image demonstrating fluid within the suprapatellar bursa.
Sagittal magnetic resonance T2 gradient image demonstrating fluid within the suprapatellar bursa.
Suprapatellar bursitis. A 29-year-old male presented with internal derangement of the knee: sagittal proton
density fat saturated (A) and axial T2W gradient-echo (B) images show a distended suprapatellar bursa
(arrows) and in addition, a partial tear of the anterior cruciate ligament (thick arrow in A)
Pes Anserine Bursitis
The Pes anserine bursa separates the Pes anserine tendons,
consisting of the distal sartorius, gracilis, and semitendinosus
tendons, from the subjacent distal portion of the tibial collateral
ligament and the bony surface of the medial tibial condyle.
Anserine bursitis results from overuse, especially in runners.
On MRI, Pes anserine bursitis appears as an oblong multiloculated
fluid collection seen along the anserine tendons on the
posteromedial aspect of the knee. This is best appreciated on T2W
axial images. It is commonly confused with a popliteal cyst; the Pes
anserine bursa is located posteriorly and medially along the
semitendinosus, whereas the popliteal cyst is located more often in
the midline posteriorly. Also, Pes anserine bursae are small in size;
they do not extend into the thigh and never show communication
with the knee joint, whereas a popliteal cyst can extend into the
thigh and may or may not communicate with the knee joint.
a) Axial line diagram and (b) axial magnetic resonance image showing Pes anserine bursitis.
Pes anserine bursitis. A 32-year-old female presented with pain along the posteromedial aspect
of the knee: Coronal proton density (A) and axial T2W (B) images show a distended Pes anserine
bursa (arrows). The Pes anserine tendons (arrowhead in B) are seen inferior to the bursa.
Pes Anserine Bursitis.
Medial Collateral Ligament Bursitis
The medial collateral ligament bursa is located between the superficial and deep layers of the
medial collateral ligament. Clinically, fluid collection in this bursa mimics a medial meniscus tear
and/or medial collateral ligament tear. On MRI, medial collateral ligament bursitis appears as a
T2 hyperintensity between the superficial and deep fibers of the medial collateral ligament. It
must be differentiated from meniscocapsular separation. In meniscocapsular separation, in
addition to fluid collection between the superficial and deep fibers of the medial collateral
ligament, there is a tear of the peripheral corner of the medial meniscus and meniscal
displacement from the outer cortical margin of the tibia.
Medial collateral ligament bursitis. A 54-year-old female presented with knee swelling: sagittal true inversion recovery
magnitude (TIRM) (A) and axial T2W (B) images show a distended medial collateral ligament burse (arrows)
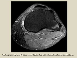
Coronal magnetic resonance T2 fat sat image showing fluid within the medial collateral ligament bursa.
Medial collateral ligament bursitis located between the deep MCL
(yellow arrow) and the superficial MCL (green arrow).
Axial magnetic resonance T2 fat sat image showing fluid within the medial collateral ligament bursa.
Ilio tibial Bursitis
The ilio tibial bursa is located between the distal part of the ilio tibial band near its insertion
on Gerdy tubercle and the adjacent tibial surface. Ilio tibial bursitis and tendinitis are usually
due to overuse and varus stress of the knee.
On MRI ilio tibial bursitis appears as a fluid collection near the insertion of the ilio tibial tract
in its distal part, close to the lateral aspect of the tibia. It must be differentiated from iliotibial
tendinitis. On MRI, ilio tibial tendinitis appears as a fluid collection encircling the tendon,
whereas bursitis appears as a localized oblong fluid collection adjacent to the tendon.
Iliotibial bursitis. A 16-year-old female presented with lateral knee swelling: sagittal
STIR (A) and axial T2W (B) images show a distended iliotibial bursa (arrows)
Baker's Cyst
This is also called a popliteal cyst and typically involves the gastrocnemius- semimembranosus bursa and
is located between the medial femoral condyle, semimembranosus tendon and the medial head of the
gastrocnemius. It may or may not communicate with the knee joint. It may rupture and extend inferiorly
along the gastrocnemius muscle into the calf or extend superiorly into thigh along the semimembranosus.
On MRI they appear as well-defined hyperintense lesions on T2W images at the characteristic location.
Axial images are the best to demonstrate the communication with the knee joint and also the
characteristic location between the semimembranosus tendon and medial head of gastrocnemius.
Baker's cyst. A 48-year-old male presented with swelling in the popliteal fossa: sagittal (A) and axial (B)
T2W gradient-echo images show a distended gastrocnemius--semimembranosus bursa (arrows)
Fibular bursa. Sequential coronal fat suppressed T2WI (A) from anterior to posterior show a
multilocular cystic mass posterolateral to the iliotibial band (solid arrow), insinuating between
the fibular collateral ligament (dashed arrow) and the distal biceps femoris tendon (arrow
head), consistent with fibular bursitis. Sagittal ultrasound of the lateral knee (B) at the level of
the popliteal notch (*) demonstrates a loculated hypoechoic focus between the fibular collateral
ligament (dashed arrow) and the biceps femoris tendon (arrow heads).
Lateral Gastrocnemius Bursa. Axial PD (A) and coronal fat sat T2WI (B)
demonstrating a distended multiloculated lateral gastrocnemius bursa.
ANKLE
Retrocalcaneal bursa
The retrocalcaneal bursa is a saddle-shaped bursa situated between the
calcaneous and the Achilles tendon. It assists in decreasing friction during plantar
flexion. Retrocalcaneal bursitis is common and is caused by Reiter disease,
psoriasis, ankylosing spondylitis and, often, with calcaneal fractures.
Sagittal magnetic resonance T2 fat sat image showing retrocalcaneal bursitis with a thick synovial wall.
MRI shows effusion (green arrow), Stieda’s
process (white arrow), bony overgrowth
(short white arrow), tendinopathy (thin
yellow arrow), retrocalcaneal bursitis (open
arrow), bone marrow edema (orange
arrow) and chronic bursitis (orange arrow).
MRI shows the Stieda's process
(arrowhead), Haglund’s deformity (open
arrow) and retrocalcaneal bursitis (yellow
arrow) and retroachilles chronic bursitis
with thickening of the skin (white arrow).
Superficial retrocalcaneal bursa
A second more superficial bursa lies between the Achilles tendon and the
overlying subcutaneous fat. Inflammation results from poorly fitting shoes. When
superficial retrocalcaneal bursitis occurs in the setting of Achilles tendinopathy, a
diagnosis of Haglund syndrome is made.
Longitudinal ultrasound image showing superficial retrocalcaneal bursa.
Retrocalcaneal bursitis.
1. Left ankle, lateral view shows equivocal
prominence of the posterior superior calcaneal
tuberosity.
2. Sagittal T1-weighted image demonstrates
focal decreased T1 signal within pre-Achilles fat
and prominent posterior superior calcaneal
tuberosity.
3. Sagittal proton density image shows
increased signal intensity in pre-Achilles
fat/retrocalcaneal bursa.
4. Sagittal T2-weighted image reveals mildly
increased signal intensity within distal Achilles
tendon without evidence of full-thickness tear.
5. Axial T2-weighted image better demonstrates
increased signal intensity within the Achilles
tendon with associated retrocalcaneal
inflammation.
MRI of left ankle. Axial proton density spectral presaturation inversion recovery (SPIR) images (A, B, and C) show a
bright signal intensity lesion (*), extending from the retrocalcaneal region (A) to over the distal tibial metaphysis (C).
It surrounds the Achilles tendon (white arrows), which appears enlarged, not homogeneous and subtotally torn (B,
curved white arrows). Sagittal T1-weighted image (D) and DP SPIR image (E) after IV administration of gadolinium
contrast material show a localized fluid collection with intermediate to low signal intensity (*), which enhances
peripherally and lacks enhancement centrally, found in soft tissue abscess likely originating from the subcutaneous
bursa. There is clear partition between the fluid collection and Kager’s fat pad (black arrow), which appears spared by
the septic process (D). White arrows show distal and proximal ends of Achilles tendon (E).
Bursitis and Morton’s neuroma.
Tibialis anterior subtendinous bursitis - Note fluid distension only partially involving the
tendon (white arrows), in its distal portion, compared to the contralateral normal tendon
(asterisk). This partial involvement is necessary to differentiate from tenosynovitis.
Surgically proven discrete adventitial bursal sac in 22-year-old female ice skater. Axial T1-weighted (A)
(TR/TE, 450/15) and axial fat-saturated T2-weighted fast spin-echo (B) (2,500/90) images show mass
with well-defined borders and fluid signal characteristics (arrow) in subcutaneous soft-tissues.
The medial malleolar bursa, an adventitial bursa, may develop over the medial
malleolus in response to abnormal pressure, usually from footwear that closely
approximates the ankle, such as boots, skates, and high-top shoes. The rise in
popularity of sporting activities that require tight-fitting boots, such as figure skating
and ice hockey, has led to an increased incidence of painful medial malleolar bursitis.
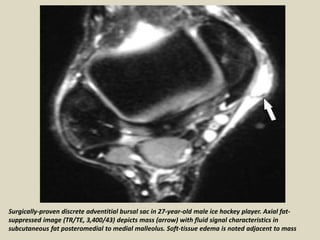
Surgically-proven discrete adventitial bursal sac in 27-year-old male ice hockey player. Axial fat-
suppressed image (TR/TE, 3,400/43) depicts mass (arrow) with fluid signal characteristics in
subcutaneous fat posteromedial to medial malleolus. Soft-tissue edema is noted adjacent to mass
Partly scarred down bursal sac in 15-year-old female ice skater. Patient's symptoms
improved with modification of skates. Axial STIR image (6,300/60) depicts heterogeneous
increased signal of mass (arrow), which is compatible with fibrosis of a bursal sac.
HIP
Iliopsoas bursa
The iliopsoas bursa is the largest bursa around the hip joint (average
size, 6 cm × 3 cm) and is situated beneath the musculotendinous portion
of the iliopsoas muscle, anterior to the hip joint capsule and lateral to
the femoral vessels. It is found in about 98% of the subjects, and
communicates with the cavity of the hip joint in about 15% of the cases.
Normally collapsed, distension of the bursa is usually caused by
overproduction of synovial fluid in an arthritic hip leading to increased
intraarticular pressure and extension of fluid into the potential space of
the bursa.
Iliopsoas bursa distension in association with disease has been
described in trauma, osteoarthritis, avascular necrosis, rheumatoid
arthritis, synovial chondromatosis, pigmented villonodular synovitis,
gout, and pyogenic infection. The differential diagnosis of an enlarged
iliopsoas bursa includes inguinal or femoral hernia, neoplasm,
lymphadenopathy, undescended testis, hematoma, psoas abscess,
femoral aneurysm, and arteriovenous fistula.
(a) Axial magnetic resonance T2 and (b) coronal magnetic resonance T2 STIR images
of the left hip demonstrate a fluid-filled structure deep to the iliopsoas muscle in the
expected location of the iliopsoas bursa. The iliopsoas tendon can be seen medial.
(a) Enhanced axial computed tomography of the right iliopsoas
bursitis and (b) ultrasound-guided drainage.
Trochanteric bursa
Pfirrmann and colleagues describe three major bursae about the greater trochanter. The
trochanteric bursa is the largest of the three. It covers the posterior facet, deep to the gluteus
medius tendon and the proximal part of the vastus lateralis insertion. It is located beneath the
gluteus maximus muscle and the iliotibial tract. This bursa does not extend over the anterior border
of the lateral facet. It is lined by a small layer of fat on both sides. Therefore, it can be routinely
identified on nonenhanced coronal MR images as a fine linear structure paralleling the posterior
facet. Trochanteric (subgluteus maximus) bursitis is a common cause of hip pain, and is associated
with obesity, trauma, inflammatory arthritides, and in patients with total hip arthroplasty.
Coronal line diagram of the
trochanteric bursa overlying the
posterior facet of the greater
trochanter deep to the gluteus
medius tendon.
Coronal magnetic resonance T2 STIR image of the right trochanteric bursitis.
Coronal magnetic resonance T2 STIR image of the right trochanteric bursitis.
Bursitis (green arrows) appears as a fluid collection(decreased T1 signal, increased
(T2signal). Iliotibial band (thin green arrows), greater trochanter (blue arrows).
Subgluteus medius bursa
The subgluteus medius bursa is deep in the distal gluteus medius tendon. This bursa
covers an area of the superior part of the lateral facet. Its superior extent is marked
by the tip of the trochanter; its anterior extent, by the lateral facet; and its posterior
and inferior extent, by the tendinous insertion of the gluteus medius muscle.
Coronal magnetic resonance T2 STIR image of the bilateral subgluteus medius bursitis, larger on the right side.
Subgluteus minimus bursa
The subgluteus minimus bursa is in the area of the anterior facet. It lies
beneath the gluteus minimus tendon, medial and superior to its insertion.
Coronal magnetic resonance STIR image of the right subgluteus minimus bursitis.
Peri trochanteric bursitis.
Peri trochanteric bursitis.
ELBOW
The olecranon bursa is a subcutaneous bursa that provides almost frictionless motion
between the skin, the subcutaneous tissues and the olecranon. Because of its superficial
location, it is a common site for injury, inflammation and infection. Repeated work-
related trauma results in bursitis as seen in “student's elbow” or “miner's elbow.
Olecranon bursitis is identified by clinical diagnosis, and imaging is rarely performed in
this context. In patients with advanced infection, MRI is sometimes requested to evaluate
abscesses or osteomyelitis. Incidental diagnosis of olecranon bursitis on ultrasound and
MRI is frequent from concomitant inflammation and effusion in the olecranon bursa
secondary to trauma, rheumatoid arthritis and other inflammatory diseases.
Line diagram depicting location of the olecranon bursa.
Magnetic resonance T2 fat sat image with fluid in the olecranon bursa.
Longitudinal ultrasound image demonstrating fluid and debris in the olecranon bursa.
61-year-old man with surgically confirmed rupture of triceps tendon at insertion of olecranon
and concomitant non septic effusion of olecranon bursa. Sagittal T2-weighted fat-suppressed
image (4,100/100) reveals tear of triceps tendon (white arrowhead). Note concomitant elbow
joint effusion (arrow). Olecranon bursa is marked with black arrowhead.
Septic olecranon bursitis.
Olecranon Bursitis.
Olecranon Bursitis Communicating With an Olecranon Cyst in Rheumatoid Arthritis.
Bicipitoradial bursitis refers to inflammation of the bicipitoradial bursa.
The bicipitoradial bursa surrounds the biceps tendon in supination. In pronation, the radial
tuberosity rotates posteriorly, which compresses the bicipitoradial bursa between the biceps
tendon and the radial cortex which consequently increases the pressure within the bursa.
Epidemiology
It typically presents in adults and may be more common in males
Clinical presentation
Patients often presents with elbow swelling, pain, tenderness, redness and limited movement.
Radiographic features
Ultrasonography
May show evidence of distention of the bicipitoradial bursa by fluid which appear anechoic or
hypoechoic soft tissue. The distal biceps tendon should be evaluated for injury. Nodular soft-
tissue debris and small calcifications may be seen within the fluid. Power Doppler imaging may
show hyperaemia and suggests active inflammation.
MRI
Features observed on different sequences include
T1: homogeneous hypointense signal mass in characteristic location; associated tendinosis of
biceps tendon, thickening and intermediate signal intensity at insertion
T2: hyperintense flattened, oval, or round shaped cystic appearing mass that shows fluid signal
intensity on all pulse sequences unless containing inflammatory debris or calcification +/- rice
bodies in patients with rheumatoid arthritis
STIR: as with T2 with more homogeneous fat saturation
T1 C+ (Gd): may demonstrate thin rim enhancement after gadolinium administration and
homogeneous low central signal intensity.
Radiobicipital bursitis.
Radiobicipital bursitis.
Bicipitoradial bursa.
Bicipitoradial bursitis: axial T1, T2-weighted image showing a isointense
enlarged bicipitoradial bursa. Green arrow: biceps tendon.
Paget's disease of the proximal ulna and bicipitoradial bursitis. Yellow arrow: osseous
hypertrophy and deformation associated with cortical thickening of the ulna.
Bicipitoradial bursitis secondary to a nodular fasciitis: axial STIR & T1-weighted fat saturated
contrast-enhanced sequence demonstrating the biceps tendon and the bicipitoradial bursa
compressed by a homogeneous moderately hyperintense mass showing no significant enhancement.
Green arrow: tissular mass. Red arrow: biceps tendon. Yellow arrow: bicipitoradial bursitis
Tuberculous bicipitoradial bursitis: CT and MRI images
heterogeneous relatively low, high signal intensity of the lesion.
Palmar Bursae of the Wrist and Hand
Bursae are fluid-filled sacs lined by a synovial membrane, acting to decrease friction
between adjacent structures, allowing smooth, gliding movement. They are located
throughout the body in locations where tendons are closely apposed to bones and
rigid fibrous structures. The flexor tendons of the carpal tunnel are enveloped in two
palmar bursae: the ulnar bursa and the radial bursa. The ulnar and radial bursae
begin proximal to the carpal tunnel, usually near the distal margin of the pronator
quadratus muscle, and they extend distally to the level of the mid-palm, allowing for
longitudinal excursion of the tendons during normal wrist movement. These bursae
extend over a longer distance than the extensor tendon sheaths, a difference likely
related to the greater range of wrist motion that takes place in flexion compared with
extension The smaller radial bursa surrounds the flexor pollicis longus tendon. The
larger ulnar bursa surrounds the eight flexor digitorum tendons, doing so by means of
three invaginations: a deep invagination between the carpal bones and the profundus
tendons, a middle invagination between the profundus and superficialis tendons, and
a superficial invagination between the superficialis tendons and the flexor
retinaculum. These invaginations arise from a common space at the ulnar side of the
tendons adjacent to the FD5 tendon (7a). Although there are several anatomic
variations in the communication patterns between the ulnar bursa, the radial bursa,
and the digital flexor tendon sheaths, a typical anatomic arrangement found in the
majority of persons has been established through anatomic dissection as well as
tenography in cadavers.
A fat-suppressed T1-weighted post-contrast axial image at the level of the
metacarpal shafts reveals avid synovial enhancement of the ulnar (long arrows) and
radial (short arrows) bursae. Note that the low signal foci seen in (A) do not enhance.
Observe the two-tiered arrangement of the flexor digitorum profundus tendons
(above dotted line) and flexor digitorum superficialis tendons (below dotted line).
Palmar ulnar bursa hematoma.
Palmar ulnar bursitis.
On fat-suppressed T2-weighted image of the right hand, the coronal view (A) shows a partial tear of the fifth finger
flexor tendon (arrow), a fluid collection in the tendon sheath (open arrow), contiguous with the flexor compartment
along the ulnar side (arrowheads). The axial views were obtained at the levels of the proximal phalanx (B), mid-palm
(C) and proximal palm (D-1). The contrast-enhanced T1-weighted axial image of the proximal palm (D-2) shows a
thickened synovium of the ulnar bursa (open arrowheads).
A fat-suppressed proton density axial image just proximal to the carpal tunnel demonstrates increased
tenosynovial fluid (short arrows) and synovial proliferation (arrowheads) in the radial and ulnar bursae
as well as multiple extensor tendon sheaths in this 45-year-old female with rheumatoid arthritis.
Scapulothoracic bursitis and snapping scapula:
Snapping scapula syndrome usually is a result of abnormal anatomy, abnormal
scapulothoracic motion, space-occupying bony or soft-tissue lesions or a combination of
these. Imaging is commonly used to determine the nature and location of snapping scapula
syndrome and is essential in treatment planning. Conventional radiographs normally are
the first diagnostic step, but since the anterior aspect of the scapula is difficult to visualize
and soft tissue masses are not well visualized on plain films, additional cross-sectional
imaging is commonly performed.
Computed Tomography
CT is indicated when an underlying osseous abnormality is suspected and plain films do not
reveal any abnormalities. Anatomical variations comprise the most common subgroup of
osseous abnormalities causing snapping scapula syndrome and include (a) an excessive
anterior curvature of the superomedial scapular angle rubbing across the ribs, (b) a
Luschka’s tubercle being a bony prominence at the supermedial angle of the scapula and
(c) a teres major process representing an anterior curvature towards the chest wall at the
inferior aspect of the scapula. It is important to realize that these anatomic variants are
commonly seen and increase the risk of snapping scapula, but do not cause symptoms in
the majority of people. Other common causes of snapping scapula include mal united
scapula- or rib fractures, reactive spurs and osteochondromas arising from the rib or
anterior surface of the scapula. Chondrosarcoma are a rare cause of snapping scapula and
are usually seen in an older age group
Ultrasound & Magnetic Resonance Imaging
MRI is usually performed when soft tissue pathology is expected and is especially useful
in the diagnosis of bursitis and soft-tissue masses. Ultrasound is less useful than
MRI since the majority of the scapulothoracic joint can't be visualized, but it is
commonly used to guide needle placement in bursitis for diagnostic and therapeutic
injections. On ultrasound bursitis is seen as a fluid filled bursa which usually is anechoic
and does not show any internal vascularity. On MRI bursitis is seen as a well-
demarcated cystic mass with low signal on T1-, high signal on T2 weighted
sequences and rim enhancement after administration of intravenous
contrast. Adventitial bursae may show a more ill-defined area of low T1- and high T2
signal intensity. Soft tissue tumors are another cause of snapping scapula syndrome
with elastofibroma dorsi being the most frequently seen tumor responsible for it.
Elastofibroma dorsi is a slow-growing benign soft tissue tumor composed of fibrous and
fatty tissue located deep to the serratus anterior and latissimus dorsi musculature. It is
predominantly seen in elderly women with an average age of presentation between 65 -
70 years and is seen bilaterally in up to 60% of cases. The MRI appearance matches the
underlying pathology and shows mixed signal intensities on both T1- and T2 weighted
sequences and low level enhancement when contrast is given.
Muscular imbalance, scoliosis and kyphosis are among the causes of snapping scapula
syndrome where structural abnormalities of the scapulothoracic articulation are usually
absent. If imaging is performed however, muscle atrophy, anomalous muscle insertions,
secondary bursitis or formation of an adventitial bursa may be seen.
(a) Axial CT image of a 29-year old man showing an osteochondroma (arrow)
arising from the posterior aspect of the 8th rib. (b) T2 FS weighted image of the
same patient showing the osteochondroma (arrow) with an associated bleeding
in the supraserratus bursa (arrowheads) due to an acute injury.
Longitudinal sonographic and axial T1 FS weighted image after administration of intravenous contrast image
in a 53-year old woman presenting with pain at the inferior aspect of her left scapula and associated
snapping showing a fluid filled infra-serratus bursa (arrows) abutting the 7th posterior rib (arrowhead).
Scapulothoracic bursitis.
(A) Coronal and (B) axial T1-weighted images) demonstrate a well-demarcated low signal intensity lenticular mass.
(C) Coronal and (D) axial T2-weighted images shows high signal intensity mass situated at the subscapular region
between the serratus anterior and the rib cage. SC: subscapularis muscle, LD: latissimus dorsi muscle, SA: serratus
anterior muscle. Gadolinium enhanced (E) Coronal and (F) axial T1-weighted image shows rim-like enhancement.
74-year-old woman with scapulothoracic bursitis associated with thoracoplasty. A, Anteroposterior chest
radiograph shows deformity of left upper thorax and mal-positioned left scapula as result of
thoracoplasty. B, Axial CT image shows mass adjacent to deformed rib at level of inferior tip of left scapula
and evidence of abnormal articulation between rib and scapula with flattening and sclerosis indicating
chronic change. C, Coronal multiplanar reformatted CT image shows ellipsoidal mass along left upper
chest wall. D, Axial T2-weighted image shows cystic nature of mass corresponding to lesion in B.
Scapulothoracic Bursitis of the Chest Wall.
Thank You.

Presentation1.pptx, radiological imaging of bursae.

  • 1.
    Bursae Dr/ ABD ALLAHNAZEER. MD. Shoulder. Elbow. Wrist. Hip.Knee. Ankle. Scapulo- thoracic.
  • 2.
    A bursa isa synovial-lined sac overlying the bony surfaces at areas of tendon friction. Bursae are located where tendons move against each other or glide over a bony surface. They are classified according to their location: subcutaneous, subfascial, subtendinous, and submucosal. Bursae can also be classified as communicating or non communicating. When a bursa is located adjacent to a joint, the synovial membrane of the bursae may communicate with the joint. This bursa is termed a communicating bursa. Some examples are the iliopsoas bursa lateral to the hip and the gastrocnemius-semimembranosus bursa posteromedial to the knee. In certain locations, communication between the joint and the bursa is abnormal. An example is the subacromial-subdeltoid (SASD) bursa that lies superior to the rotator cuff and inferior to the acromion. Most of the bursae are potential spaces and are not normally visualized on imaging.
  • 3.
    In pathological conditionssuch as excessive local friction, infection, arthritides or direct trauma, fluid and debris collect within the bursa or fluid extends into the bursa from the adjacent joint. The walls of the bursa thicken as the bursal inflammation becomes longstanding. The term bursitis refers to pathological enlargement of the bursa. If the abnormally distended bursa is superficially located, it can be visualized by ultrasound as the ultrasound beam is able to penetrate through this region. The bursa is seen as a fluid-filled anechoic structure lined by a hyperechoic wall. Deep-seated bursae are depicted on magnetic resonance imaging (MRI) or computed tomography (CT). On MRI, the bursa is seen as a high T2 fluid-filled structure. CT shows the inflamed bursa as hypodense with an enhancing wall. Clinically, bursitis mimics several peripheral joint and muscle abnormalities. Therefore, it is important for the radiologist to identify bursal pathology and direct management geared toward bursitis.
  • 4.
    SHOULDER The normal shoulderjoint has the following bursae surrounding the joint. 1-Subacromial-subdeltoid bursa 2- Subscapular recess 3- Subcoracoid bursa 4- Coracoclavicular bursa 5- Supra-acromial bursa 6- Medial extension of SASD bursa Diagram of normal bursae surrounding the shoulder joint: (1) subacromial-subdeltoid bursa, (2) subscapular recess, (3) subcoracoid bursa, (4) coracoclavicular bursa, (5) supra-acromial bursa and (6) medial extension of subacromial-subdeltoid bursa.
  • 5.
    Subacromial-subdeltoid bursa The subacromial-subdeltoid(SASD) bursa comprise of two bursae that lie between the rotator cuff tendons and the undersurface of the acromion. They are located deep in the deltoid muscle and acromioclavicular joint (AC joint) and overlie the bicipital groove and rotator cuff. The causes of SASD bursal fluid include: rotator cuff tears, impingement, septic bursitis, and reactive bursitis from glenohumeral joint disease, such as calcium deposition arthropathy. In full-thickness tears of the rotator cuff, fluid from within the glenohumeral joint tracks through the tear into the bursa. Communication with the joint is abnormal in this location. This abnormal communication is best depicted on an MR arthrogram. Intraarticular gadolinium outlines the tear and extends into the bursa. On MRI, the abnormal collection of fluid is seen as a low T1, high T2 signal within the bursa, either due to bursal inflammation or from a full-thickness rotator cuff tear. On ultrasound, the fluid-filled bursa overlies the rotator cuff and is clearly depicted as a fluid-filled anechoic structure both on longitudinal and transverse planes.
  • 6.
    Transverse ultrasound imageof the rotator cuff depicting acute subacromial-subdeltoid bursitis.
  • 7.
    Coronal magnetic resonancearthrogram depicting gadolinium in the SASD bursa from a full-thickness rotator cuff tear.
  • 8.
    Subacromial/subdeltoid fluid bursitis(arrow) without extension into the glenohumeral joint.
  • 9.
  • 11.
    Subdeltoid Bursitis Manifestedas Giant Cystic Supraclavicular and Lateral cervical Tumour.
  • 12.
    Subcoracoid bursa The coracoidand combined tendons of the short head of the biceps and coracobrachialis outline the superior aspect of the subcoracoid bursa. The subscapularis tendon lies inferior to this bursa. It reduces friction and facilitates movement between the subscapularis tendon and the tendons of the short head of biceps and coracobrachialis during the arc of rotation of the humeral head. a) Line diagram and (b) corresponding magnetic resonance arthrogram of the subcoracoid bursa.
  • 13.
    Subcoracoid bursitis, (1a,1b, 1c) Three sagittal fat-suppressed T1-weighted images extending lateral to medial.
  • 14.
  • 15.
  • 16.
  • 18.
  • 19.
    Inadvertent bursogram (a.b.) in a 44-year-old male. The tip of the needle is adjusted to a deeper position to complete the arthrogram immediately. This burso-arthrogram demonstrates the anterior location of the SCB relative to the glenohumeral joint (J).
  • 20.
    X-ray photographs inchronic supracoracoid bursitis. Left: Cloudy calcification in the coracoclavicular region while the arm is in zero position and the direction of the x-rays is horizontal. Right: Arm is in 900 anteflexion and the x-rays are from anterocaudal to posterocranial.
  • 21.
    Arthrogram and shoulderMRI in combined bursa. Arthrogram demonstrates pannus formation (arrow heads) in the axillary recess. Contrast medium leakage into subacromial-subdeltoid bursa (SASDB, white arrows) is noted, indicating a complete rotator cuff tear. A faint contrast medium is present in the subcoracoid bursa (SCB), which is confirmed on MRI and is believed to have originated from SASDB. The fat-suppressed PDWI axial view shows the communication (star) between the distended SCB and SASDB (white arrows) with a relative clear fluid in the structures. The fat- suppressed PDWI sagittal view shows conspicuous pannus formation (arrowheads) within the glenohumeral joint (J) and subscapularis recess (SSR) compared with the relative clear fluid within SCB, which is circumstantial evidence for the lack of communication between SCB and SSR and the glenohumeral joint.
  • 22.
  • 23.
    Bursae around theknee joints: Infrapatellar Bursitis Infrapatellar bursae can be superficial or deep. The superficial infrapatellar bursa is located between the tibial tubercle and the overlying skin, whereas the deep infrapatellar bursa is located between the posterior aspect of the patellar tendon and the tibia. Superficial Infrapatellar Bursitis Superficial infrapatellar bursitis, also called clergyman's knee, is due to inflammation and fluid accumulation resulting from chronic stress. Clinically, there is a palpable swelling inferior to the patella. On MRI, it appears as a loculated collection that projects exophytically, anterior to the patellar tendon, forming a swelling. On imaging, it should be differentiated from subcutaneous edema: edema is seen as a diffuse fluid collection seen all over the anterior aspect of the knee, whereas bursitis appears as a localized collection with well-defined borders. Deep Infrapatellar Bursitis On MRI, deep infrapatellar bursitis appears as a triangular fluid collection posterior to the patellar tendon. When found in adolescents, it should be differentiated from Osgood–Schlatter disease. Osgood–Schlatter disease is associated with thickening and hyperintense signal intensity of the patellar tendon, but these findings are absent in deep infrapatellar bursitis. In addition, cases of Osgood–Schlatter disease, on clinical examination, display pain and tenderness at the insertion of the patellar tendon.
  • 24.
    Line diagram showingthe superficial and deep infrapatellar bursae. (1) Superficial infrapatellar bursa, (2) deep infrapatellar, femur (F), Hoffa's fat pad (HF), patella (P), patellar tendon (PT) and tibia (T).
  • 25.
    Sagittal magnetic resonanceT2 fat sat image depicting the superficial infrapatellar bursa.
  • 26.
    Superficial infrapatellar bursitis.A 42-year-old female presented with an anterior knee swelling. Sagittal proton-density fat saturated (A) and sagittal gradient-echo T2W (B) images show a distended superficial infrapatellar bursa (arrows)
  • 27.
    Sagittal magnetic resonanceT2 gradient showing deep infrapatellar bursal fluid.
  • 28.
  • 30.
    Prepatellar bursa The prepatellarbursa is a tricompartmental structure. The superficial compartment lies between the subcutaneous tissue and an extension of the fascia lata. The intermediate compartment is situated between the transverse superficial fascia and an intermediate oblique fascia formed by fascial extension of the vastus lateralis and vastus medialis muscles. The deep compartment lies between the intermediate oblique fascia and the deep longitudinal fibers of the rectus femoris tendon. Inflammation of this bursa occurs from repetitive trauma from kneeling, as seen with housemaids, carpet-layers, and wrestlers. It is also seen in inflammatory conditions such as gout. Chronic trauma in the form of prolonged or repeated kneeling leads to inflammation and hemorrhagic bursitis. Clinically, patients may present with pain and swelling over the patella. On MRI, prepatellar bursitis appears as an oval fluid-signal-intensity lesion between the subcutaneous tissue and the patella. Hemorrhagic lesions show T2 shortening on gradient-echo (GRE) images.
  • 31.
    Line diagram showing compartmentalizationof the prepatellar bursa. SCCT - subcutaneous cellular tissues; QT - quadriceps tendon; PT - patellar tendon; F - femur; P, patella; (1) superficial compartment; (2) intermediate compartment; (3) deep compartment.
  • 32.
    Sagittal magnetic resonanceT2 fat sat image showing high-signal fluid intensity within the prepatellar bursitis.
  • 33.
    Axial magnetic resonanceT2 fat sat image depicting Baker's cyst with its neck between the semimembranosus and the medial gastrocnemius tendons. Image also depicts prepatellar bursitis.
  • 34.
    Prepatellar bursitis. A44-year-old female presented with anterior knee pain. Axial (A) and coronal (B) T2W fat saturated images showing a distended pre patellar bursa (arrows)
  • 35.
  • 38.
    Suprapatellar bursa The suprapatellarbursa lies between the distal rectus femoris tendon and the femur. In the fifth fetal month, a septum (suprapatellar plica) that lies between the knee joint and the bursa perforates and results in a communication. This situation occurs in 85% of the adults. The suprapatellar bursa is an example of bursae normally communicating with joints. On routine ultrasound and MR imaging, fluid in the suprapatellar bursa is a common finding in individuals with joint effusion. In patients with a non communicating bursa and bursitis, fluid is localized only to the suprapatellar bursa. Longitudinal ultrasound image demonstrating fluid within the suprapatellar bursa.
  • 39.
    Sagittal magnetic resonanceT2 gradient image demonstrating fluid within the suprapatellar bursa.
  • 40.
    Suprapatellar bursitis. A29-year-old male presented with internal derangement of the knee: sagittal proton density fat saturated (A) and axial T2W gradient-echo (B) images show a distended suprapatellar bursa (arrows) and in addition, a partial tear of the anterior cruciate ligament (thick arrow in A)
  • 41.
    Pes Anserine Bursitis ThePes anserine bursa separates the Pes anserine tendons, consisting of the distal sartorius, gracilis, and semitendinosus tendons, from the subjacent distal portion of the tibial collateral ligament and the bony surface of the medial tibial condyle. Anserine bursitis results from overuse, especially in runners. On MRI, Pes anserine bursitis appears as an oblong multiloculated fluid collection seen along the anserine tendons on the posteromedial aspect of the knee. This is best appreciated on T2W axial images. It is commonly confused with a popliteal cyst; the Pes anserine bursa is located posteriorly and medially along the semitendinosus, whereas the popliteal cyst is located more often in the midline posteriorly. Also, Pes anserine bursae are small in size; they do not extend into the thigh and never show communication with the knee joint, whereas a popliteal cyst can extend into the thigh and may or may not communicate with the knee joint.
  • 42.
    a) Axial linediagram and (b) axial magnetic resonance image showing Pes anserine bursitis.
  • 43.
    Pes anserine bursitis.A 32-year-old female presented with pain along the posteromedial aspect of the knee: Coronal proton density (A) and axial T2W (B) images show a distended Pes anserine bursa (arrows). The Pes anserine tendons (arrowhead in B) are seen inferior to the bursa.
  • 45.
  • 46.
    Medial Collateral LigamentBursitis The medial collateral ligament bursa is located between the superficial and deep layers of the medial collateral ligament. Clinically, fluid collection in this bursa mimics a medial meniscus tear and/or medial collateral ligament tear. On MRI, medial collateral ligament bursitis appears as a T2 hyperintensity between the superficial and deep fibers of the medial collateral ligament. It must be differentiated from meniscocapsular separation. In meniscocapsular separation, in addition to fluid collection between the superficial and deep fibers of the medial collateral ligament, there is a tear of the peripheral corner of the medial meniscus and meniscal displacement from the outer cortical margin of the tibia. Medial collateral ligament bursitis. A 54-year-old female presented with knee swelling: sagittal true inversion recovery magnitude (TIRM) (A) and axial T2W (B) images show a distended medial collateral ligament burse (arrows)
  • 47.
    Coronal magnetic resonanceT2 fat sat image showing fluid within the medial collateral ligament bursa.
  • 48.
    Medial collateral ligamentbursitis located between the deep MCL (yellow arrow) and the superficial MCL (green arrow).
  • 49.
    Axial magnetic resonanceT2 fat sat image showing fluid within the medial collateral ligament bursa.
  • 50.
    Ilio tibial Bursitis Theilio tibial bursa is located between the distal part of the ilio tibial band near its insertion on Gerdy tubercle and the adjacent tibial surface. Ilio tibial bursitis and tendinitis are usually due to overuse and varus stress of the knee. On MRI ilio tibial bursitis appears as a fluid collection near the insertion of the ilio tibial tract in its distal part, close to the lateral aspect of the tibia. It must be differentiated from iliotibial tendinitis. On MRI, ilio tibial tendinitis appears as a fluid collection encircling the tendon, whereas bursitis appears as a localized oblong fluid collection adjacent to the tendon. Iliotibial bursitis. A 16-year-old female presented with lateral knee swelling: sagittal STIR (A) and axial T2W (B) images show a distended iliotibial bursa (arrows)
  • 51.
    Baker's Cyst This isalso called a popliteal cyst and typically involves the gastrocnemius- semimembranosus bursa and is located between the medial femoral condyle, semimembranosus tendon and the medial head of the gastrocnemius. It may or may not communicate with the knee joint. It may rupture and extend inferiorly along the gastrocnemius muscle into the calf or extend superiorly into thigh along the semimembranosus. On MRI they appear as well-defined hyperintense lesions on T2W images at the characteristic location. Axial images are the best to demonstrate the communication with the knee joint and also the characteristic location between the semimembranosus tendon and medial head of gastrocnemius. Baker's cyst. A 48-year-old male presented with swelling in the popliteal fossa: sagittal (A) and axial (B) T2W gradient-echo images show a distended gastrocnemius--semimembranosus bursa (arrows)
  • 53.
    Fibular bursa. Sequentialcoronal fat suppressed T2WI (A) from anterior to posterior show a multilocular cystic mass posterolateral to the iliotibial band (solid arrow), insinuating between the fibular collateral ligament (dashed arrow) and the distal biceps femoris tendon (arrow head), consistent with fibular bursitis. Sagittal ultrasound of the lateral knee (B) at the level of the popliteal notch (*) demonstrates a loculated hypoechoic focus between the fibular collateral ligament (dashed arrow) and the biceps femoris tendon (arrow heads).
  • 55.
    Lateral Gastrocnemius Bursa.Axial PD (A) and coronal fat sat T2WI (B) demonstrating a distended multiloculated lateral gastrocnemius bursa.
  • 57.
    ANKLE Retrocalcaneal bursa The retrocalcanealbursa is a saddle-shaped bursa situated between the calcaneous and the Achilles tendon. It assists in decreasing friction during plantar flexion. Retrocalcaneal bursitis is common and is caused by Reiter disease, psoriasis, ankylosing spondylitis and, often, with calcaneal fractures. Sagittal magnetic resonance T2 fat sat image showing retrocalcaneal bursitis with a thick synovial wall.
  • 58.
    MRI shows effusion(green arrow), Stieda’s process (white arrow), bony overgrowth (short white arrow), tendinopathy (thin yellow arrow), retrocalcaneal bursitis (open arrow), bone marrow edema (orange arrow) and chronic bursitis (orange arrow). MRI shows the Stieda's process (arrowhead), Haglund’s deformity (open arrow) and retrocalcaneal bursitis (yellow arrow) and retroachilles chronic bursitis with thickening of the skin (white arrow).
  • 59.
    Superficial retrocalcaneal bursa Asecond more superficial bursa lies between the Achilles tendon and the overlying subcutaneous fat. Inflammation results from poorly fitting shoes. When superficial retrocalcaneal bursitis occurs in the setting of Achilles tendinopathy, a diagnosis of Haglund syndrome is made. Longitudinal ultrasound image showing superficial retrocalcaneal bursa.
  • 60.
  • 61.
    1. Left ankle,lateral view shows equivocal prominence of the posterior superior calcaneal tuberosity. 2. Sagittal T1-weighted image demonstrates focal decreased T1 signal within pre-Achilles fat and prominent posterior superior calcaneal tuberosity. 3. Sagittal proton density image shows increased signal intensity in pre-Achilles fat/retrocalcaneal bursa. 4. Sagittal T2-weighted image reveals mildly increased signal intensity within distal Achilles tendon without evidence of full-thickness tear. 5. Axial T2-weighted image better demonstrates increased signal intensity within the Achilles tendon with associated retrocalcaneal inflammation.
  • 62.
    MRI of leftankle. Axial proton density spectral presaturation inversion recovery (SPIR) images (A, B, and C) show a bright signal intensity lesion (*), extending from the retrocalcaneal region (A) to over the distal tibial metaphysis (C). It surrounds the Achilles tendon (white arrows), which appears enlarged, not homogeneous and subtotally torn (B, curved white arrows). Sagittal T1-weighted image (D) and DP SPIR image (E) after IV administration of gadolinium contrast material show a localized fluid collection with intermediate to low signal intensity (*), which enhances peripherally and lacks enhancement centrally, found in soft tissue abscess likely originating from the subcutaneous bursa. There is clear partition between the fluid collection and Kager’s fat pad (black arrow), which appears spared by the septic process (D). White arrows show distal and proximal ends of Achilles tendon (E).
  • 63.
  • 64.
    Tibialis anterior subtendinousbursitis - Note fluid distension only partially involving the tendon (white arrows), in its distal portion, compared to the contralateral normal tendon (asterisk). This partial involvement is necessary to differentiate from tenosynovitis.
  • 65.
    Surgically proven discreteadventitial bursal sac in 22-year-old female ice skater. Axial T1-weighted (A) (TR/TE, 450/15) and axial fat-saturated T2-weighted fast spin-echo (B) (2,500/90) images show mass with well-defined borders and fluid signal characteristics (arrow) in subcutaneous soft-tissues. The medial malleolar bursa, an adventitial bursa, may develop over the medial malleolus in response to abnormal pressure, usually from footwear that closely approximates the ankle, such as boots, skates, and high-top shoes. The rise in popularity of sporting activities that require tight-fitting boots, such as figure skating and ice hockey, has led to an increased incidence of painful medial malleolar bursitis.
  • 66.
    Surgically-proven discrete adventitialbursal sac in 27-year-old male ice hockey player. Axial fat- suppressed image (TR/TE, 3,400/43) depicts mass (arrow) with fluid signal characteristics in subcutaneous fat posteromedial to medial malleolus. Soft-tissue edema is noted adjacent to mass
  • 67.
    Partly scarred downbursal sac in 15-year-old female ice skater. Patient's symptoms improved with modification of skates. Axial STIR image (6,300/60) depicts heterogeneous increased signal of mass (arrow), which is compatible with fibrosis of a bursal sac.
  • 68.
    HIP Iliopsoas bursa The iliopsoasbursa is the largest bursa around the hip joint (average size, 6 cm × 3 cm) and is situated beneath the musculotendinous portion of the iliopsoas muscle, anterior to the hip joint capsule and lateral to the femoral vessels. It is found in about 98% of the subjects, and communicates with the cavity of the hip joint in about 15% of the cases. Normally collapsed, distension of the bursa is usually caused by overproduction of synovial fluid in an arthritic hip leading to increased intraarticular pressure and extension of fluid into the potential space of the bursa. Iliopsoas bursa distension in association with disease has been described in trauma, osteoarthritis, avascular necrosis, rheumatoid arthritis, synovial chondromatosis, pigmented villonodular synovitis, gout, and pyogenic infection. The differential diagnosis of an enlarged iliopsoas bursa includes inguinal or femoral hernia, neoplasm, lymphadenopathy, undescended testis, hematoma, psoas abscess, femoral aneurysm, and arteriovenous fistula.
  • 69.
    (a) Axial magneticresonance T2 and (b) coronal magnetic resonance T2 STIR images of the left hip demonstrate a fluid-filled structure deep to the iliopsoas muscle in the expected location of the iliopsoas bursa. The iliopsoas tendon can be seen medial.
  • 70.
    (a) Enhanced axialcomputed tomography of the right iliopsoas bursitis and (b) ultrasound-guided drainage.
  • 71.
    Trochanteric bursa Pfirrmann andcolleagues describe three major bursae about the greater trochanter. The trochanteric bursa is the largest of the three. It covers the posterior facet, deep to the gluteus medius tendon and the proximal part of the vastus lateralis insertion. It is located beneath the gluteus maximus muscle and the iliotibial tract. This bursa does not extend over the anterior border of the lateral facet. It is lined by a small layer of fat on both sides. Therefore, it can be routinely identified on nonenhanced coronal MR images as a fine linear structure paralleling the posterior facet. Trochanteric (subgluteus maximus) bursitis is a common cause of hip pain, and is associated with obesity, trauma, inflammatory arthritides, and in patients with total hip arthroplasty. Coronal line diagram of the trochanteric bursa overlying the posterior facet of the greater trochanter deep to the gluteus medius tendon.
  • 72.
    Coronal magnetic resonanceT2 STIR image of the right trochanteric bursitis.
  • 73.
    Coronal magnetic resonanceT2 STIR image of the right trochanteric bursitis.
  • 74.
    Bursitis (green arrows)appears as a fluid collection(decreased T1 signal, increased (T2signal). Iliotibial band (thin green arrows), greater trochanter (blue arrows).
  • 75.
    Subgluteus medius bursa Thesubgluteus medius bursa is deep in the distal gluteus medius tendon. This bursa covers an area of the superior part of the lateral facet. Its superior extent is marked by the tip of the trochanter; its anterior extent, by the lateral facet; and its posterior and inferior extent, by the tendinous insertion of the gluteus medius muscle. Coronal magnetic resonance T2 STIR image of the bilateral subgluteus medius bursitis, larger on the right side.
  • 76.
    Subgluteus minimus bursa Thesubgluteus minimus bursa is in the area of the anterior facet. It lies beneath the gluteus minimus tendon, medial and superior to its insertion. Coronal magnetic resonance STIR image of the right subgluteus minimus bursitis.
  • 77.
  • 78.
  • 79.
    ELBOW The olecranon bursais a subcutaneous bursa that provides almost frictionless motion between the skin, the subcutaneous tissues and the olecranon. Because of its superficial location, it is a common site for injury, inflammation and infection. Repeated work- related trauma results in bursitis as seen in “student's elbow” or “miner's elbow. Olecranon bursitis is identified by clinical diagnosis, and imaging is rarely performed in this context. In patients with advanced infection, MRI is sometimes requested to evaluate abscesses or osteomyelitis. Incidental diagnosis of olecranon bursitis on ultrasound and MRI is frequent from concomitant inflammation and effusion in the olecranon bursa secondary to trauma, rheumatoid arthritis and other inflammatory diseases. Line diagram depicting location of the olecranon bursa.
  • 80.
    Magnetic resonance T2fat sat image with fluid in the olecranon bursa.
  • 81.
    Longitudinal ultrasound imagedemonstrating fluid and debris in the olecranon bursa.
  • 82.
    61-year-old man withsurgically confirmed rupture of triceps tendon at insertion of olecranon and concomitant non septic effusion of olecranon bursa. Sagittal T2-weighted fat-suppressed image (4,100/100) reveals tear of triceps tendon (white arrowhead). Note concomitant elbow joint effusion (arrow). Olecranon bursa is marked with black arrowhead.
  • 83.
  • 84.
  • 85.
    Olecranon Bursitis CommunicatingWith an Olecranon Cyst in Rheumatoid Arthritis.
  • 86.
    Bicipitoradial bursitis refersto inflammation of the bicipitoradial bursa. The bicipitoradial bursa surrounds the biceps tendon in supination. In pronation, the radial tuberosity rotates posteriorly, which compresses the bicipitoradial bursa between the biceps tendon and the radial cortex which consequently increases the pressure within the bursa. Epidemiology It typically presents in adults and may be more common in males Clinical presentation Patients often presents with elbow swelling, pain, tenderness, redness and limited movement. Radiographic features Ultrasonography May show evidence of distention of the bicipitoradial bursa by fluid which appear anechoic or hypoechoic soft tissue. The distal biceps tendon should be evaluated for injury. Nodular soft- tissue debris and small calcifications may be seen within the fluid. Power Doppler imaging may show hyperaemia and suggests active inflammation. MRI Features observed on different sequences include T1: homogeneous hypointense signal mass in characteristic location; associated tendinosis of biceps tendon, thickening and intermediate signal intensity at insertion T2: hyperintense flattened, oval, or round shaped cystic appearing mass that shows fluid signal intensity on all pulse sequences unless containing inflammatory debris or calcification +/- rice bodies in patients with rheumatoid arthritis STIR: as with T2 with more homogeneous fat saturation T1 C+ (Gd): may demonstrate thin rim enhancement after gadolinium administration and homogeneous low central signal intensity.
  • 87.
  • 88.
  • 89.
  • 90.
    Bicipitoradial bursitis: axialT1, T2-weighted image showing a isointense enlarged bicipitoradial bursa. Green arrow: biceps tendon.
  • 91.
    Paget's disease ofthe proximal ulna and bicipitoradial bursitis. Yellow arrow: osseous hypertrophy and deformation associated with cortical thickening of the ulna.
  • 92.
    Bicipitoradial bursitis secondaryto a nodular fasciitis: axial STIR & T1-weighted fat saturated contrast-enhanced sequence demonstrating the biceps tendon and the bicipitoradial bursa compressed by a homogeneous moderately hyperintense mass showing no significant enhancement. Green arrow: tissular mass. Red arrow: biceps tendon. Yellow arrow: bicipitoradial bursitis
  • 93.
    Tuberculous bicipitoradial bursitis:CT and MRI images heterogeneous relatively low, high signal intensity of the lesion.
  • 94.
    Palmar Bursae ofthe Wrist and Hand Bursae are fluid-filled sacs lined by a synovial membrane, acting to decrease friction between adjacent structures, allowing smooth, gliding movement. They are located throughout the body in locations where tendons are closely apposed to bones and rigid fibrous structures. The flexor tendons of the carpal tunnel are enveloped in two palmar bursae: the ulnar bursa and the radial bursa. The ulnar and radial bursae begin proximal to the carpal tunnel, usually near the distal margin of the pronator quadratus muscle, and they extend distally to the level of the mid-palm, allowing for longitudinal excursion of the tendons during normal wrist movement. These bursae extend over a longer distance than the extensor tendon sheaths, a difference likely related to the greater range of wrist motion that takes place in flexion compared with extension The smaller radial bursa surrounds the flexor pollicis longus tendon. The larger ulnar bursa surrounds the eight flexor digitorum tendons, doing so by means of three invaginations: a deep invagination between the carpal bones and the profundus tendons, a middle invagination between the profundus and superficialis tendons, and a superficial invagination between the superficialis tendons and the flexor retinaculum. These invaginations arise from a common space at the ulnar side of the tendons adjacent to the FD5 tendon (7a). Although there are several anatomic variations in the communication patterns between the ulnar bursa, the radial bursa, and the digital flexor tendon sheaths, a typical anatomic arrangement found in the majority of persons has been established through anatomic dissection as well as tenography in cadavers.
  • 95.
    A fat-suppressed T1-weightedpost-contrast axial image at the level of the metacarpal shafts reveals avid synovial enhancement of the ulnar (long arrows) and radial (short arrows) bursae. Note that the low signal foci seen in (A) do not enhance. Observe the two-tiered arrangement of the flexor digitorum profundus tendons (above dotted line) and flexor digitorum superficialis tendons (below dotted line).
  • 96.
  • 97.
  • 98.
    On fat-suppressed T2-weightedimage of the right hand, the coronal view (A) shows a partial tear of the fifth finger flexor tendon (arrow), a fluid collection in the tendon sheath (open arrow), contiguous with the flexor compartment along the ulnar side (arrowheads). The axial views were obtained at the levels of the proximal phalanx (B), mid-palm (C) and proximal palm (D-1). The contrast-enhanced T1-weighted axial image of the proximal palm (D-2) shows a thickened synovium of the ulnar bursa (open arrowheads).
  • 100.
    A fat-suppressed protondensity axial image just proximal to the carpal tunnel demonstrates increased tenosynovial fluid (short arrows) and synovial proliferation (arrowheads) in the radial and ulnar bursae as well as multiple extensor tendon sheaths in this 45-year-old female with rheumatoid arthritis.
  • 101.
    Scapulothoracic bursitis andsnapping scapula: Snapping scapula syndrome usually is a result of abnormal anatomy, abnormal scapulothoracic motion, space-occupying bony or soft-tissue lesions or a combination of these. Imaging is commonly used to determine the nature and location of snapping scapula syndrome and is essential in treatment planning. Conventional radiographs normally are the first diagnostic step, but since the anterior aspect of the scapula is difficult to visualize and soft tissue masses are not well visualized on plain films, additional cross-sectional imaging is commonly performed. Computed Tomography CT is indicated when an underlying osseous abnormality is suspected and plain films do not reveal any abnormalities. Anatomical variations comprise the most common subgroup of osseous abnormalities causing snapping scapula syndrome and include (a) an excessive anterior curvature of the superomedial scapular angle rubbing across the ribs, (b) a Luschka’s tubercle being a bony prominence at the supermedial angle of the scapula and (c) a teres major process representing an anterior curvature towards the chest wall at the inferior aspect of the scapula. It is important to realize that these anatomic variants are commonly seen and increase the risk of snapping scapula, but do not cause symptoms in the majority of people. Other common causes of snapping scapula include mal united scapula- or rib fractures, reactive spurs and osteochondromas arising from the rib or anterior surface of the scapula. Chondrosarcoma are a rare cause of snapping scapula and are usually seen in an older age group
  • 102.
    Ultrasound & MagneticResonance Imaging MRI is usually performed when soft tissue pathology is expected and is especially useful in the diagnosis of bursitis and soft-tissue masses. Ultrasound is less useful than MRI since the majority of the scapulothoracic joint can't be visualized, but it is commonly used to guide needle placement in bursitis for diagnostic and therapeutic injections. On ultrasound bursitis is seen as a fluid filled bursa which usually is anechoic and does not show any internal vascularity. On MRI bursitis is seen as a well- demarcated cystic mass with low signal on T1-, high signal on T2 weighted sequences and rim enhancement after administration of intravenous contrast. Adventitial bursae may show a more ill-defined area of low T1- and high T2 signal intensity. Soft tissue tumors are another cause of snapping scapula syndrome with elastofibroma dorsi being the most frequently seen tumor responsible for it. Elastofibroma dorsi is a slow-growing benign soft tissue tumor composed of fibrous and fatty tissue located deep to the serratus anterior and latissimus dorsi musculature. It is predominantly seen in elderly women with an average age of presentation between 65 - 70 years and is seen bilaterally in up to 60% of cases. The MRI appearance matches the underlying pathology and shows mixed signal intensities on both T1- and T2 weighted sequences and low level enhancement when contrast is given. Muscular imbalance, scoliosis and kyphosis are among the causes of snapping scapula syndrome where structural abnormalities of the scapulothoracic articulation are usually absent. If imaging is performed however, muscle atrophy, anomalous muscle insertions, secondary bursitis or formation of an adventitial bursa may be seen.
  • 103.
    (a) Axial CTimage of a 29-year old man showing an osteochondroma (arrow) arising from the posterior aspect of the 8th rib. (b) T2 FS weighted image of the same patient showing the osteochondroma (arrow) with an associated bleeding in the supraserratus bursa (arrowheads) due to an acute injury.
  • 104.
    Longitudinal sonographic andaxial T1 FS weighted image after administration of intravenous contrast image in a 53-year old woman presenting with pain at the inferior aspect of her left scapula and associated snapping showing a fluid filled infra-serratus bursa (arrows) abutting the 7th posterior rib (arrowhead).
  • 106.
  • 107.
    (A) Coronal and(B) axial T1-weighted images) demonstrate a well-demarcated low signal intensity lenticular mass. (C) Coronal and (D) axial T2-weighted images shows high signal intensity mass situated at the subscapular region between the serratus anterior and the rib cage. SC: subscapularis muscle, LD: latissimus dorsi muscle, SA: serratus anterior muscle. Gadolinium enhanced (E) Coronal and (F) axial T1-weighted image shows rim-like enhancement.
  • 108.
    74-year-old woman withscapulothoracic bursitis associated with thoracoplasty. A, Anteroposterior chest radiograph shows deformity of left upper thorax and mal-positioned left scapula as result of thoracoplasty. B, Axial CT image shows mass adjacent to deformed rib at level of inferior tip of left scapula and evidence of abnormal articulation between rib and scapula with flattening and sclerosis indicating chronic change. C, Coronal multiplanar reformatted CT image shows ellipsoidal mass along left upper chest wall. D, Axial T2-weighted image shows cystic nature of mass corresponding to lesion in B.
  • 109.
  • 110.