Pleural
Effusion
Prepared by : Dr.Anush
Resident of Thoracic Surgery
Overview
– Introduction
– Classification
– Pathogenesis
– Etiology
– Clinical features
– Investigation
– Management
Introduction
– Pleural effusion is defined as abnormal of fluid in the pleural space .
– The pleural space contains normally 0.3ml/kg/h body weight of pleural
fluid . (Partial Capillaries)
– Lymphatic's have the capacity to absorb 20 time more then what is
produced.
– Fluid accumulates in the pleural cavity due to either changing in
hydrostatic and oncotic pressure or changed permeability of the pleura.
Con…
– The pleural space normally contains only about 10-20 ml of
serous.
– Pleural fluid normally seeps(drip) continually into the pleural
space from the capillaries lining the parietal pleural and is
reabsorbed by the visceral pleural capillaries and lymphatic
system.
– Any condition that interferes with either secretion or drainage
of this fluid leads to pleural effusion.
Composition of pleural fluid
– Volume 0.3ml/kg/h
– Cells /mm3 1000-5000
 Mesothelium cells 60%
 Monocyte 30%
 Lymphocytes 5%
 PMINs 5%
– Protein <50% plasma level (105-333iu/l)
– Glucose =plasma level (90-120)
– PH > plasma level (7.6-7.64)
Classification
– Can be unilateral or bilateral and classified
– A) based on sit :
 Apical
 Inter lobar
 Sub – pulmonic
 Mediastinal
- B)based on mechanism and type of pleural fluid
1. Transudative ( alteration in hydrostatic and oncotic pressure )
2. Exudative (alteration in pleural permeability)
Cont.
C(based on mechanism and type of pleural fluid formed :
Pyogenic
Chylous
Heamothorax
Pseudochylous
Hydrothorax
Pathophysiology
– Trsnsudative Pleural effusion
– Hydrostatic pressure oncotic pressure
– Unable to remain the fluid with in a intravascular space
– Fluid shift interstitial space
– EFFUSION
Cont. ..
– Exudative Effusion
– Invasion of microbes
– Initiaon of inflammatory reaction
– Vasodilation (increase capillary permeability
– Leak of plasma protein decrease oncotic pressure
– Fluid shift into interstitial space
Etiology
– EXUDATIVE
– Infection : Pneumonia ,Bronchiectasis ,Pancreatitis ,TB,Lung Abscess
– Collagen vascular disease : SLE,RA,Polyarthritis
– Neoplastic:Leukemias and lymphomas
– Drug :Bromocriptin,Amiodarone,Nitrofuantoin,dentrolene,INH
– Post radiation
– Traumatic
Con…
– TRANSUDATIVE:
– Renal cause : Nephritic Syndrome
– Cardiac Case : Hepatic failure
– Nutritional : PEM
– Hypothyroidism
Cont.…
– Pyogenic :
– Lung Abscess
– Septicemia
– Chest wall injuries
– Rupture of esophagus
– Rupture of sub phrenic
abscess
– Rupture of liver abscess
Chylous
Trauma to thoracic duct
Tumor (mediastina
lymphoma)
Tuberculosis
Lymphatic obstruction
Heamothorax
Chest wall injuries
Bleeding disorders
Neoplasms
Drugs-anticoagulants
Pulmonary infarction
Cont. ..
– Psudochylous hydrothorax
– Rheumatoid pleuritits CHF
– Tuberculosis Hepatic and renal failure
Clinical features
– Many patients have no symptoms due to the effusion
when effusion is small.
– Pleuritic chest pain : pleural inflammation
– Dry- Non productive cough : irritation of pleural
surface
– Dyspnea : large effusion--lung compression
Physical examination
– Inspection:
– Absent or diminished movements
of affected side
– Fullness of chest with bulging
intercostal spaces
– Palpation:
– Diminished breath sounds over
– Percussion:
– Stony dullness to percussion
– Auscultation:
– Absence of breath sounds over the
effusion
Investigations
– Total and differential leucocyte counts CBC
– •CRP, ESR,
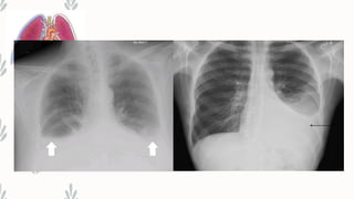
– Radiological examination:
– • X-ray chest PA view done in erect position-a total of 300mL of fluid is
needed to diagnose pleural effusion clinically and radio logically
– • Even 50mL of fluid can be demonstrated radio logically in lateral decubitus
Findings
– • Obliteration of cardio phrenic and cost phrenic angles
– • Loculated effusions
– • Lateral decubitus on side of effusion will show a shift in the
fluid level
• Tracheal and mediastinal shifts are seen in massive effusion
Con…
– Ultrasonogram
– Useful in differentiating between loculated pleural effusion and tumor
– CT Scan :Helpful if the effusion is minimal or loculated
– Pleural fluid aspiration (Thoracocentesis)
– Diagnostic:
– Helps to differentiate between exudates and transudates
– Therapeutic:
Massive collection or rapid collection of pleural fluid Severe respiratory distress
Suspected empyema Massive mediastinal shift
Gross appearance
– Straw-coloured
– • Blood stained
– • Purulent
– • Chylous
Transudate & Exudate
lIGHT’S CRITERIA:
– • At least one of the following criteria should be satisfied
to identify exudates:
– Pleural fluid to serum total protein ratio- more than 0.5
– Pleural fluid to serum LDH ratio- more than 0.6
– None of these criteria should be satisfied in a transudate
effusion
Roth’s criteria
– • If serum-pleural fluid albumin gradient is more
than 1.2 it is transudate, else exudate.
Other investigation…
Management of P.E
– Treatment of underlying case .
– Therapeutic aspiration/ Thoracentesis is necessary in order to relieve dyspnea.
– Precautions :
– Removing more than 1L-1.5l in one episode in inadvisable
– Can result in re-expansion pulmonary edema
– Should never be aspirated to dryness before the exact etiology is determined
Complications
–Large effusion could lead to
respiratory failure
Complication of thoracentesis
– Iatrogenic pneumonia
– Infection
– Dry tap or bloody tap
– Re-expansion pulmonary edema
– Pain and respiratory distress
Thank you

Pleural effusion dr.anush

  • 1.
    Pleural Effusion Prepared by :Dr.Anush Resident of Thoracic Surgery
  • 2.
    Overview – Introduction – Classification –Pathogenesis – Etiology – Clinical features – Investigation – Management
  • 3.
    Introduction – Pleural effusionis defined as abnormal of fluid in the pleural space . – The pleural space contains normally 0.3ml/kg/h body weight of pleural fluid . (Partial Capillaries) – Lymphatic's have the capacity to absorb 20 time more then what is produced. – Fluid accumulates in the pleural cavity due to either changing in hydrostatic and oncotic pressure or changed permeability of the pleura.
  • 4.
    Con… – The pleuralspace normally contains only about 10-20 ml of serous. – Pleural fluid normally seeps(drip) continually into the pleural space from the capillaries lining the parietal pleural and is reabsorbed by the visceral pleural capillaries and lymphatic system. – Any condition that interferes with either secretion or drainage of this fluid leads to pleural effusion.
  • 5.
    Composition of pleuralfluid – Volume 0.3ml/kg/h – Cells /mm3 1000-5000  Mesothelium cells 60%  Monocyte 30%  Lymphocytes 5%  PMINs 5% – Protein <50% plasma level (105-333iu/l) – Glucose =plasma level (90-120) – PH > plasma level (7.6-7.64)
  • 6.
    Classification – Can beunilateral or bilateral and classified – A) based on sit :  Apical  Inter lobar  Sub – pulmonic  Mediastinal - B)based on mechanism and type of pleural fluid 1. Transudative ( alteration in hydrostatic and oncotic pressure ) 2. Exudative (alteration in pleural permeability)
  • 7.
    Cont. C(based on mechanismand type of pleural fluid formed : Pyogenic Chylous Heamothorax Pseudochylous Hydrothorax
  • 8.
    Pathophysiology – Trsnsudative Pleuraleffusion – Hydrostatic pressure oncotic pressure – Unable to remain the fluid with in a intravascular space – Fluid shift interstitial space – EFFUSION
  • 9.
    Cont. .. – ExudativeEffusion – Invasion of microbes – Initiaon of inflammatory reaction – Vasodilation (increase capillary permeability – Leak of plasma protein decrease oncotic pressure – Fluid shift into interstitial space
  • 10.
    Etiology – EXUDATIVE – Infection: Pneumonia ,Bronchiectasis ,Pancreatitis ,TB,Lung Abscess – Collagen vascular disease : SLE,RA,Polyarthritis – Neoplastic:Leukemias and lymphomas – Drug :Bromocriptin,Amiodarone,Nitrofuantoin,dentrolene,INH – Post radiation – Traumatic
  • 11.
    Con… – TRANSUDATIVE: – Renalcause : Nephritic Syndrome – Cardiac Case : Hepatic failure – Nutritional : PEM – Hypothyroidism
  • 12.
    Cont.… – Pyogenic : –Lung Abscess – Septicemia – Chest wall injuries – Rupture of esophagus – Rupture of sub phrenic abscess – Rupture of liver abscess Chylous Trauma to thoracic duct Tumor (mediastina lymphoma) Tuberculosis Lymphatic obstruction Heamothorax Chest wall injuries Bleeding disorders Neoplasms Drugs-anticoagulants Pulmonary infarction
  • 13.
    Cont. .. – Psudochyloushydrothorax – Rheumatoid pleuritits CHF – Tuberculosis Hepatic and renal failure
  • 14.
    Clinical features – Manypatients have no symptoms due to the effusion when effusion is small. – Pleuritic chest pain : pleural inflammation – Dry- Non productive cough : irritation of pleural surface – Dyspnea : large effusion--lung compression
  • 15.
    Physical examination – Inspection: –Absent or diminished movements of affected side – Fullness of chest with bulging intercostal spaces – Palpation: – Diminished breath sounds over – Percussion: – Stony dullness to percussion – Auscultation: – Absence of breath sounds over the effusion
  • 16.
    Investigations – Total anddifferential leucocyte counts CBC – •CRP, ESR, – Radiological examination: – • X-ray chest PA view done in erect position-a total of 300mL of fluid is needed to diagnose pleural effusion clinically and radio logically – • Even 50mL of fluid can be demonstrated radio logically in lateral decubitus
  • 17.
    Findings – • Obliterationof cardio phrenic and cost phrenic angles – • Loculated effusions – • Lateral decubitus on side of effusion will show a shift in the fluid level • Tracheal and mediastinal shifts are seen in massive effusion
  • 19.
    Con… – Ultrasonogram – Usefulin differentiating between loculated pleural effusion and tumor – CT Scan :Helpful if the effusion is minimal or loculated – Pleural fluid aspiration (Thoracocentesis) – Diagnostic: – Helps to differentiate between exudates and transudates – Therapeutic: Massive collection or rapid collection of pleural fluid Severe respiratory distress Suspected empyema Massive mediastinal shift
  • 20.
    Gross appearance – Straw-coloured –• Blood stained – • Purulent – • Chylous
  • 21.
  • 22.
    lIGHT’S CRITERIA: – •At least one of the following criteria should be satisfied to identify exudates: – Pleural fluid to serum total protein ratio- more than 0.5 – Pleural fluid to serum LDH ratio- more than 0.6 – None of these criteria should be satisfied in a transudate effusion
  • 23.
    Roth’s criteria – •If serum-pleural fluid albumin gradient is more than 1.2 it is transudate, else exudate.
  • 24.
  • 25.
    Management of P.E –Treatment of underlying case . – Therapeutic aspiration/ Thoracentesis is necessary in order to relieve dyspnea. – Precautions : – Removing more than 1L-1.5l in one episode in inadvisable – Can result in re-expansion pulmonary edema – Should never be aspirated to dryness before the exact etiology is determined
  • 26.
    Complications –Large effusion couldlead to respiratory failure
  • 27.
    Complication of thoracentesis –Iatrogenic pneumonia – Infection – Dry tap or bloody tap – Re-expansion pulmonary edema – Pain and respiratory distress
  • 29.