Dr Imtiaz Ahmed
MD Pathology, AFMC
Automated Hematology Analyzers
- Haemogram- Backbone of any lab evaluation
- As a routine investigation including anaemia,
polycythemia, infection, inflammation, allergy, drug
toxicity, malignancy, bleeding tendency etc
- Aim- to study RBC, WBC series and platelets
Sir Wallace H Coulter
3 part analyser 5 part analyser
• Advantage: Cost effective
• Disadvantage:
1. Granulocytes taken together
2. Blasts counted as
lymphocytes
3. Cannot distinguish activated
lymphocytes and monocytes
4. Platelet count irregularities
5. No scatter plot
• Advantage:
1. Full differential
2. Platelet count more accurate
3. Flag for blasts, left shift,
giant platelets
4. Scatter plot obtained
5. Malaria parasite
• Disadvantage
1. Blasts still not detected
2. Newer parameters not given
3. Cannot distinguish between
activated lymphocytes and
monocytes/basophils
3 Part Analyzer
Normal Report
5 Part Analyzer
5 Part Analyzer
RBC
WBC SCATTERGRAM
WBCPLT
Discrimination Thresholds
 WBC Discriminator
WBC LOWER discriminator-the optimum position in 30 - 60 fL .
Upper discriminator : 300 fL.
 RBC Discriminator
RBC LOWER discriminator- optimum position in 25 -75 fL and UPPER
discriminator, 200 - 250 fL.
RBC is calculated from the particle counts between this LOWER
discriminator and UPPER discriminator.
 PLATELET Discriminator
PLT LOWER discriminator, the optimum position in 2 – 6 fL and and
UPPER discriminator- 12 - 30 fL,
Sample intro
Hb
measurement
WBC count
& diff
RBC and
platelet count
Electrical Impedance
 Coulter principle
 Diluent displacement causes
potential difference.
 No. of impulse = No. of cells.
 Height = vol. of cells.
 Freq dist curve & size distribution
histograms
 Requisite – High dilution
Optical Light Scatter
 Each cell flows in a single line
through a flow cell
 A laser device focused
 On striking the cells scattering
in different directions
 Sensor capture
 Forward angle light scatter
(FALS)-Cell Size
 Side scatter(SS)-Granularity
Parameters Measured
Directly Measured Derived From Histograms Calculated
1.RBC Count
2.WBC Count
3.Platelet count
4.Hemoglobin
5.Reticulocyte
Count
1.MCV
2.RDW
3.DLC
4.PDW
1.Hematorit
2.MCH
3.MCHC
INTERPRETATION
Red Cell Indices
 Normal RBC count:
 Men: 4.5 to 5.5 x 106 per cumm
 Women: 4 to 5 x 106 per cumm
 Hemoglobin:
 Men: 13 to 16.5 g%
 Women: 12 to 16 g%
 Pregnant women: 11 to 16 g%
Mean corpuscular volume
 Normal: 80 to 100 fL
 Low MCV: Microcytosis
 High MCV: Macrocytosis
 Megaloblastic
 Non-megaloblastic
MCH/MCHC
 MCH: The amount, or the mass, of hemoglobin
present in one RBC, picogram
 26-32 pg
 MCHC: The amount of Hb in the hematocrit,
percentage
 32-37 g/dL
RDW
 Uniformity in size of RBCs
 11.5 - 14.5 %
 Low value: more uniform (<14)
 High values:
 Mixed population of small and large RBCs
 Anisopoikilocytosis
Reticulocyte count
Reticulocyte Production Index
Correction of reticulocyte count for the -
• degree of anemia
• duration of maturation
RBC Histogram
 Gaussian (Bell Shaped) curve
 Peak ideally within 80-100 fl
 2 flexible discriminator
LD (25-75fl)
UD(200-250fl)
RU-Flag
 Normoblasts
 Cold agglutinins
 Rouleaux formation
 ALL- L1
 Large platelets
 Fragmented RBCs
 Platelet
aggregation
RL- Flag
MP-Flag
 Blood transfusion
 Dimorphic anemia
 Treated IDA
White Blood Cells
 Normal range: 4 – 11 x 103 / cumm
 DLC:
 Neutrophils : 40 – 70% (2 - 8/cumm)
 Lymphocytes : 20 – 40 %. (1 - 3/cumm)
 Monocytes : 2 – 10 %. (0.2 – 1/cumm)
 Eosinophils : 1 – 6 %. (0.02 – 0.5/cumm)
 Basophils : 0 – 2 % (0.02 – 0.1/cumm)
• Immature cells
• Blasts
• Myelocytes
• Promyelocytes
• Metamyelocytes
• Band forms
• Activated lymphocytes
Leukopenia
 Acute viral infections
 Chemo/Radiation
 Aplastic anemia
 Collagen vascular diseases
 Bacterial Inf (Typhoid, Tuberculosis..)
 Parasitic infection (Malaria..)
 HIV
 Sepsis
 Drugs: immunosuppressants
Leukocytosis
• Infection (Bacterial)
• Inflammation
• Trauma, burns
• Leukemias
Neutrophils
 Absolute neutrophil count:
 Neutrophils x WBC / 100
 Normal : 2000 to 8000 / cumm
 Neutropenia:
 ANC < 1500/cumm
Neutropenia Neutrophilia
1. Decreased production
1. Aplastic anemia
2. B12, folate def
3. Severe sepsis
4. Leukemia
2. Increased destruction
1. Autoimmune
3. Marginalization and
sequestration
4. Chemotherapy
5. Viral infections
1. Acute infections
2. Steroids
3. Post splenectomy
4. Leukemoid reactions
5. Myeloproliferative
disorders
Lymphocytopenia Lymphocytosis
1. Infections
1. Typhoid
2. HIV
3. Viral hepatitis
2. Autoimmune disorders
1. SLE
2. RA
3. Steroids
4. Aplastic anemia
1. Acute viral infections
1. CMV
2. EBV
2. Chronic inflammatory
diseases
3. Tuberculosis
4. Stress
5. Leukemia/ lymphoma
Monocytopenia Monocytosis
1. Bone marrow failure
2. Hairy cell leukemia
1. Chronic infections
2. Malaria
3. Bacteria endocarditis
4. Collagen vascular diseases
5. Recovery from leukemia
6. CMML
7. M4/M5
Eosinophilia
1. Asthma
2. Other allergies
3. Parasitic infections
4. Inflammatory disorders (Coeliac disease, IBD)
5. Hypereosinophilic syndrome
6. Leukemias
Basophilia
1. Allergic reactions (Hay fever)
2. Inflammation (IBD, RA)
3. Tuberculosis
4. Diabetes Mellitus
5. Down’s syndrome
6. Neoplastic conditions
1. CML
2. PMF
3. ET
4. MDS
WBC HISTOGRAM
* Different in the three part analyser of our lab
WL-Flag
 Platelet aggregation
 Lyse resistant RBCs
 Cold agglutinin disease
 nRBCs.
 Giant platelets
WU- Flag
 Curve does not end at
baseline
 Immature WBCs
 Hyperleucocytosis
 Peak Between T1- T2: Acute Leukemia
 Peak Between LD- T1: CLL
 Peak Between T2- UD : Neutrophilia
Platelet
 Normal range: 150 – 400 x 103 / cumm
Thrombocytopenia Thrombocytosis
1. ITP
2. Splenomegaly
3. HUS, TTP
4. HELLP syndrome
5. Dengue
6. Drug induced
7. Transfusion associated
8. Aplastic anemia
9. Leukemia/Lymphoma
1. Reactive:
1. Chronic infection
2. Acute inflammation
3. Iron def
4. Post splenectomy
2. Myeloproliferative
disorders
3. Malignancies of lung, GIT
Platelet Histograms
 Between 2 discriminators
 Touch baseline
 LD (2-6fl)
 UD (12-30fl)
PL-Flag
 Cell Fragments
 Contamination-Bacteria
 Platelet aggregation
PU-Flag
 Clotted Blood
 Fragmented RBCs
 Microerythrocytosis
 Large platelets
 Platelet clumps
MP-Flag
 Platelet Anisocytosis
 Aggregation
 Recovery after chemo
Hemogram
Hb 9.5 g/dL TLC 4900/cumm
TRBC 3.2 x 106 DLC WNL
MCV 87 fL Platelet: 196,000/cumm
MCH 29 pg MPV 8.4 fL
MCHC 34 g/dL
RDW 17 %
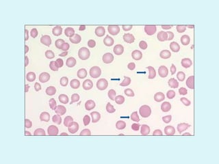
Normocytic Normochromic Anemia
Microcytic hypochromic Anemia
Hemogram
Hb 8.4 g/dL TLC 4900/cumm
TRBC 2.8 x 106 DLC WNL
MCV 71 fL Platelet: 450,000/cumm
MCH 23 pg MPV 10 fL
MCHC 29 g/dL
RDW 21 %
Megaloblastic Anemia
Macrocytic Anemia
Hemogram
Hb 8.9 g/dL TLC 4100/cumm
TRBC 2.9 x 106 DLC WNL
MCV 107 fL Platelet: 154,000/cumm
MCH 29 pg MPV 10 fL
MCHC 35 g/dL
RDW 21 %
Hemogram
Hb 7.1 g/dL TLC 2100/cumm
TRBC 2.5 x 106 DLC N65 L28 M05 E02
MCV 118 fL Platelet: 72,000/cumm
MCH 31pg MPV 10 fL
MCHC 37g/dL
RDW 22.4 %
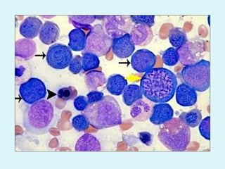
Aplastic Anemia/ Megaloblastic Anemia/
MDS
Marked macrocytosis with markedly increased MCH, MCHC
COLD AGGLUTININ DISEASE
Hemogram
Hb 5.6 g/dL TLC 17600/cumm
TRBC 1.96 x 106 DLC N89 L9 M1 E1
MCV 138 fL Platelet: 23,000/cumm
MCH 53 pg MPV 9.7 fL
MCHC 59 g/dL
RDW 26 %
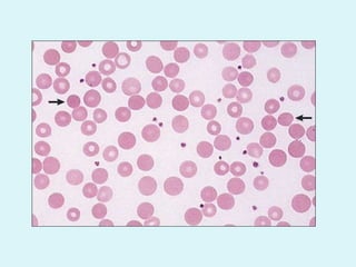
Microcytic hypochromic blood picture
Hemoglobinopathies – (Beta – Thal trait, HbE
heterozygous)
Mentzer Index: MCV/RBC count, <13>
Mentzer Index: 9.6
Hemogram
Hb 12 g/dL TLC 7600/cumm
TRBC 5.8 x 106 DLC WNL
MCV 56 fL Platelet: 168,000/cumm
MCH 23 pg MPV 9.6 fL
MCHC 26 g/dL
RDW 21.8 %
Microcytic hypochromic blood picture
Hemoglobinopathies ( Beta thal major, HbE
heterozygous, HbE homozygous)
Mentzer Index: MCV/RBC count, <13>
Mentzer Index: >13
Hemogram
Hb 7.9 g/dL TLC 7600/cumm
TRBC 2.4 x 106 DLC WNL
MCV 56 fL Platelet: 168,000/cumm
MCH 23 pg MPV 9.6 fL
MCHC 26 g/dL
RDW 21.8 %
Hereditary Spherocytosis
Hemogram
Hb 13.2 g/dL TLC 7600/cumm
TRBC 4.31 x 106 DLC WNL
MCV 88 fL Platelet: 42,000/cumm
MCH 28 pg MPV 11.7 fL
MCHC 33 g/dL
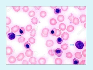
RDW 13.2 %
Immune Thrombocytopenia
Bone marrow – Adequate megakaryocytes
Dengue Fever
Monocytosis/ Basophilia
Activated lymphocytes
Hemogram
Hb 8.9 g/dL TLC 17600/cumm
TRBC 2.8 x 106 DLC N89 L9 M1 E1
MCV 77 fL Platelet: 23,000/cumm
MCH 22 pg MPV 9.7 fL
MCHC 24 g/dL
RDW 23.1 %
3rd trimester pregnancy
HELLP syndrome
Hemogram
Hb 15 g/dL TLC 47600/cumm
TRBC 5.1 x 106 DLC N45 L50 M2 E3
MCV 109 fL nRBC 200/100 WBC
MCH 31.5 pg Corrected
TLC
15,600/cumm
MCHC 36.3 g/dL Platelet: 293,000/cumm
RDW 14.9 % MPV 9.7 fL
5 day child, Rh negative mother
Erythroblastosis foetalis
Hemogram
Hb 21 g/dL TLC 18600/cumm
TRBC 6.5 x 106 DLC N45 L50 M2 E3
MCV 91 fL Platelet: 593,000/cumm
MCH 31.5 pg MPV 9.7 fL
MCHC 36.3 g/dL
RDW 14.9 %
Panmyelosis
Polycythemia
70/M
Hemogram
Hb 9.1 g/dL TLC 108600/cumm
TRBC 2.9 x 106 DLC N75L7M2B16
MCV 91 fL Left Shift Marked
MCH 31.5 pg Platelet: 60,000/cumm
MCHC 36.3 g/dL MPV 9.7 fL
RDW 14.9 %
Chronic Myeloid Leukemia
35/M
Hemogram
Hb 9.9 g/dL TLC 50600/cumm
TRBC 3.1 x 106 DLC N75L7M2B16
MCV 81 fL Left Shift Marked
MCH 31.5 pg Platelet: 190,000/cumm
MCHC 36.3 g/dL MPV 9.7 fL
RDW 14.9 %
Leukamoid reaction
65/M, Uncontrolled DM, Fever, Cellulitis
Hemogram
Hb 10.1 g/dL TLC 108600/cumm
TRBC 2.9 x 106 DLC N5L92M2E1
MCV 91 fL Platelet: 60,000/cumm
MCH 31.5 pg MPV 9.7 fL
MCHC 36.3 g/dL
RDW 14.9 %
Chronic Lymphocytic Leukemia
65/M
Hemogram
Hb 10.1 g/dL TLC 108600/cumm
TRBC 2.9 x 106 DLC N5L92M2E1
MCV 91 fL Platelet: 40,000/cumm
MCH 31.5 pg MPV 9.7 fL
MCHC 36.3 g/dL
RDW 14.9 %
Acute Lymphoblastic Leukemia
4 yr/ M
WBC Research Population Data Case Study – Malaria Parasites(Normal plot and
Research Population Data compared to a patient infected with malaria type
Plasmodium falciparum. Note the increased size and variation of the lymph's and
Monocyte's.)
NORMAL
Normal
Normal MO
Normal LY
Macrophage
Parasitized
RBC
MALARIA
MP Positive
Reactive LY
INTERFERENCE
Hemoglobin Clotted specimen (micro-
clots).
Cryoglobulin, Haemolysis,
Severe lipemia,
Hyperbilirubinemia.
RBC count Clotting, Cold agglutinins,
Microcytic RBCs
Cryoglobulin, Giant platelets,
Raised WBC count.
WBC count Clotting, Cryoglobulin, Heparin,
Monoclonal proteins.
Platelets Clotting, Giant plt, Plt
clumps
Cryoglobulin, Haemolysis,
Microcytic RBCs.
Parameter Spurious Decrease Spurious Increase
Its all about
interpretation!!!
Interpretaion of hemogram

Interpretaion of hemogram

  • 1.
    Dr Imtiaz Ahmed MDPathology, AFMC
  • 2.
    Automated Hematology Analyzers -Haemogram- Backbone of any lab evaluation - As a routine investigation including anaemia, polycythemia, infection, inflammation, allergy, drug toxicity, malignancy, bleeding tendency etc - Aim- to study RBC, WBC series and platelets
  • 3.
  • 5.
    3 part analyser5 part analyser • Advantage: Cost effective • Disadvantage: 1. Granulocytes taken together 2. Blasts counted as lymphocytes 3. Cannot distinguish activated lymphocytes and monocytes 4. Platelet count irregularities 5. No scatter plot • Advantage: 1. Full differential 2. Platelet count more accurate 3. Flag for blasts, left shift, giant platelets 4. Scatter plot obtained 5. Malaria parasite • Disadvantage 1. Blasts still not detected 2. Newer parameters not given 3. Cannot distinguish between activated lymphocytes and monocytes/basophils
  • 6.
  • 7.
  • 8.
    5 Part Analyzer RBC WBCSCATTERGRAM WBCPLT
  • 9.
    Discrimination Thresholds  WBCDiscriminator WBC LOWER discriminator-the optimum position in 30 - 60 fL . Upper discriminator : 300 fL.  RBC Discriminator RBC LOWER discriminator- optimum position in 25 -75 fL and UPPER discriminator, 200 - 250 fL. RBC is calculated from the particle counts between this LOWER discriminator and UPPER discriminator.  PLATELET Discriminator PLT LOWER discriminator, the optimum position in 2 – 6 fL and and UPPER discriminator- 12 - 30 fL,
  • 10.
    Sample intro Hb measurement WBC count &diff RBC and platelet count
  • 11.
    Electrical Impedance  Coulterprinciple  Diluent displacement causes potential difference.  No. of impulse = No. of cells.  Height = vol. of cells.  Freq dist curve & size distribution histograms  Requisite – High dilution
  • 12.
    Optical Light Scatter Each cell flows in a single line through a flow cell  A laser device focused  On striking the cells scattering in different directions  Sensor capture  Forward angle light scatter (FALS)-Cell Size  Side scatter(SS)-Granularity
  • 13.
    Parameters Measured Directly MeasuredDerived From Histograms Calculated 1.RBC Count 2.WBC Count 3.Platelet count 4.Hemoglobin 5.Reticulocyte Count 1.MCV 2.RDW 3.DLC 4.PDW 1.Hematorit 2.MCH 3.MCHC
  • 14.
  • 15.
  • 16.
     Normal RBCcount:  Men: 4.5 to 5.5 x 106 per cumm  Women: 4 to 5 x 106 per cumm
  • 18.
     Hemoglobin:  Men:13 to 16.5 g%  Women: 12 to 16 g%  Pregnant women: 11 to 16 g%
  • 20.
    Mean corpuscular volume Normal: 80 to 100 fL  Low MCV: Microcytosis  High MCV: Macrocytosis  Megaloblastic  Non-megaloblastic
  • 22.
    MCH/MCHC  MCH: Theamount, or the mass, of hemoglobin present in one RBC, picogram  26-32 pg  MCHC: The amount of Hb in the hematocrit, percentage  32-37 g/dL
  • 23.
    RDW  Uniformity insize of RBCs  11.5 - 14.5 %  Low value: more uniform (<14)  High values:  Mixed population of small and large RBCs  Anisopoikilocytosis
  • 24.
  • 25.
    Reticulocyte Production Index Correctionof reticulocyte count for the - • degree of anemia • duration of maturation
  • 26.
    RBC Histogram  Gaussian(Bell Shaped) curve  Peak ideally within 80-100 fl  2 flexible discriminator LD (25-75fl) UD(200-250fl)
  • 27.
    RU-Flag  Normoblasts  Coldagglutinins  Rouleaux formation  ALL- L1  Large platelets  Fragmented RBCs  Platelet aggregation RL- Flag
  • 28.
    MP-Flag  Blood transfusion Dimorphic anemia  Treated IDA
  • 29.
  • 30.
     Normal range:4 – 11 x 103 / cumm  DLC:  Neutrophils : 40 – 70% (2 - 8/cumm)  Lymphocytes : 20 – 40 %. (1 - 3/cumm)  Monocytes : 2 – 10 %. (0.2 – 1/cumm)  Eosinophils : 1 – 6 %. (0.02 – 0.5/cumm)  Basophils : 0 – 2 % (0.02 – 0.1/cumm) • Immature cells • Blasts • Myelocytes • Promyelocytes • Metamyelocytes • Band forms • Activated lymphocytes
  • 31.
    Leukopenia  Acute viralinfections  Chemo/Radiation  Aplastic anemia  Collagen vascular diseases  Bacterial Inf (Typhoid, Tuberculosis..)  Parasitic infection (Malaria..)  HIV  Sepsis  Drugs: immunosuppressants Leukocytosis • Infection (Bacterial) • Inflammation • Trauma, burns • Leukemias
  • 32.
    Neutrophils  Absolute neutrophilcount:  Neutrophils x WBC / 100  Normal : 2000 to 8000 / cumm  Neutropenia:  ANC < 1500/cumm
  • 33.
    Neutropenia Neutrophilia 1. Decreasedproduction 1. Aplastic anemia 2. B12, folate def 3. Severe sepsis 4. Leukemia 2. Increased destruction 1. Autoimmune 3. Marginalization and sequestration 4. Chemotherapy 5. Viral infections 1. Acute infections 2. Steroids 3. Post splenectomy 4. Leukemoid reactions 5. Myeloproliferative disorders
  • 35.
    Lymphocytopenia Lymphocytosis 1. Infections 1.Typhoid 2. HIV 3. Viral hepatitis 2. Autoimmune disorders 1. SLE 2. RA 3. Steroids 4. Aplastic anemia 1. Acute viral infections 1. CMV 2. EBV 2. Chronic inflammatory diseases 3. Tuberculosis 4. Stress 5. Leukemia/ lymphoma
  • 36.
    Monocytopenia Monocytosis 1. Bonemarrow failure 2. Hairy cell leukemia 1. Chronic infections 2. Malaria 3. Bacteria endocarditis 4. Collagen vascular diseases 5. Recovery from leukemia 6. CMML 7. M4/M5
  • 37.
    Eosinophilia 1. Asthma 2. Otherallergies 3. Parasitic infections 4. Inflammatory disorders (Coeliac disease, IBD) 5. Hypereosinophilic syndrome 6. Leukemias
  • 38.
    Basophilia 1. Allergic reactions(Hay fever) 2. Inflammation (IBD, RA) 3. Tuberculosis 4. Diabetes Mellitus 5. Down’s syndrome 6. Neoplastic conditions 1. CML 2. PMF 3. ET 4. MDS
  • 39.
    WBC HISTOGRAM * Differentin the three part analyser of our lab
  • 40.
    WL-Flag  Platelet aggregation Lyse resistant RBCs  Cold agglutinin disease  nRBCs.  Giant platelets WU- Flag  Curve does not end at baseline  Immature WBCs  Hyperleucocytosis
  • 41.
     Peak BetweenT1- T2: Acute Leukemia  Peak Between LD- T1: CLL  Peak Between T2- UD : Neutrophilia
  • 43.
    Platelet  Normal range:150 – 400 x 103 / cumm Thrombocytopenia Thrombocytosis 1. ITP 2. Splenomegaly 3. HUS, TTP 4. HELLP syndrome 5. Dengue 6. Drug induced 7. Transfusion associated 8. Aplastic anemia 9. Leukemia/Lymphoma 1. Reactive: 1. Chronic infection 2. Acute inflammation 3. Iron def 4. Post splenectomy 2. Myeloproliferative disorders 3. Malignancies of lung, GIT
  • 44.
    Platelet Histograms  Between2 discriminators  Touch baseline  LD (2-6fl)  UD (12-30fl)
  • 46.
    PL-Flag  Cell Fragments Contamination-Bacteria  Platelet aggregation PU-Flag  Clotted Blood  Fragmented RBCs  Microerythrocytosis  Large platelets  Platelet clumps
  • 47.
    MP-Flag  Platelet Anisocytosis Aggregation  Recovery after chemo
  • 48.
    Hemogram Hb 9.5 g/dLTLC 4900/cumm TRBC 3.2 x 106 DLC WNL MCV 87 fL Platelet: 196,000/cumm MCH 29 pg MPV 8.4 fL MCHC 34 g/dL RDW 17 % Normocytic Normochromic Anemia
  • 49.
    Microcytic hypochromic Anemia Hemogram Hb8.4 g/dL TLC 4900/cumm TRBC 2.8 x 106 DLC WNL MCV 71 fL Platelet: 450,000/cumm MCH 23 pg MPV 10 fL MCHC 29 g/dL RDW 21 %
  • 50.
  • 51.
    Macrocytic Anemia Hemogram Hb 8.9g/dL TLC 4100/cumm TRBC 2.9 x 106 DLC WNL MCV 107 fL Platelet: 154,000/cumm MCH 29 pg MPV 10 fL MCHC 35 g/dL RDW 21 %
  • 52.
    Hemogram Hb 7.1 g/dLTLC 2100/cumm TRBC 2.5 x 106 DLC N65 L28 M05 E02 MCV 118 fL Platelet: 72,000/cumm MCH 31pg MPV 10 fL MCHC 37g/dL RDW 22.4 % Aplastic Anemia/ Megaloblastic Anemia/ MDS
  • 54.
    Marked macrocytosis withmarkedly increased MCH, MCHC COLD AGGLUTININ DISEASE Hemogram Hb 5.6 g/dL TLC 17600/cumm TRBC 1.96 x 106 DLC N89 L9 M1 E1 MCV 138 fL Platelet: 23,000/cumm MCH 53 pg MPV 9.7 fL MCHC 59 g/dL RDW 26 %
  • 56.
    Microcytic hypochromic bloodpicture Hemoglobinopathies – (Beta – Thal trait, HbE heterozygous) Mentzer Index: MCV/RBC count, <13> Mentzer Index: 9.6 Hemogram Hb 12 g/dL TLC 7600/cumm TRBC 5.8 x 106 DLC WNL MCV 56 fL Platelet: 168,000/cumm MCH 23 pg MPV 9.6 fL MCHC 26 g/dL RDW 21.8 %
  • 57.
    Microcytic hypochromic bloodpicture Hemoglobinopathies ( Beta thal major, HbE heterozygous, HbE homozygous) Mentzer Index: MCV/RBC count, <13> Mentzer Index: >13 Hemogram Hb 7.9 g/dL TLC 7600/cumm TRBC 2.4 x 106 DLC WNL MCV 56 fL Platelet: 168,000/cumm MCH 23 pg MPV 9.6 fL MCHC 26 g/dL RDW 21.8 %
  • 58.
  • 60.
    Hemogram Hb 13.2 g/dLTLC 7600/cumm TRBC 4.31 x 106 DLC WNL MCV 88 fL Platelet: 42,000/cumm MCH 28 pg MPV 11.7 fL MCHC 33 g/dL RDW 13.2 % Immune Thrombocytopenia Bone marrow – Adequate megakaryocytes
  • 61.
  • 62.
    Hemogram Hb 8.9 g/dLTLC 17600/cumm TRBC 2.8 x 106 DLC N89 L9 M1 E1 MCV 77 fL Platelet: 23,000/cumm MCH 22 pg MPV 9.7 fL MCHC 24 g/dL RDW 23.1 % 3rd trimester pregnancy HELLP syndrome
  • 64.
    Hemogram Hb 15 g/dLTLC 47600/cumm TRBC 5.1 x 106 DLC N45 L50 M2 E3 MCV 109 fL nRBC 200/100 WBC MCH 31.5 pg Corrected TLC 15,600/cumm MCHC 36.3 g/dL Platelet: 293,000/cumm RDW 14.9 % MPV 9.7 fL 5 day child, Rh negative mother Erythroblastosis foetalis
  • 66.
    Hemogram Hb 21 g/dLTLC 18600/cumm TRBC 6.5 x 106 DLC N45 L50 M2 E3 MCV 91 fL Platelet: 593,000/cumm MCH 31.5 pg MPV 9.7 fL MCHC 36.3 g/dL RDW 14.9 % Panmyelosis Polycythemia 70/M
  • 67.
    Hemogram Hb 9.1 g/dLTLC 108600/cumm TRBC 2.9 x 106 DLC N75L7M2B16 MCV 91 fL Left Shift Marked MCH 31.5 pg Platelet: 60,000/cumm MCHC 36.3 g/dL MPV 9.7 fL RDW 14.9 % Chronic Myeloid Leukemia 35/M
  • 68.
    Hemogram Hb 9.9 g/dLTLC 50600/cumm TRBC 3.1 x 106 DLC N75L7M2B16 MCV 81 fL Left Shift Marked MCH 31.5 pg Platelet: 190,000/cumm MCHC 36.3 g/dL MPV 9.7 fL RDW 14.9 % Leukamoid reaction 65/M, Uncontrolled DM, Fever, Cellulitis
  • 69.
    Hemogram Hb 10.1 g/dLTLC 108600/cumm TRBC 2.9 x 106 DLC N5L92M2E1 MCV 91 fL Platelet: 60,000/cumm MCH 31.5 pg MPV 9.7 fL MCHC 36.3 g/dL RDW 14.9 % Chronic Lymphocytic Leukemia 65/M
  • 70.
    Hemogram Hb 10.1 g/dLTLC 108600/cumm TRBC 2.9 x 106 DLC N5L92M2E1 MCV 91 fL Platelet: 40,000/cumm MCH 31.5 pg MPV 9.7 fL MCHC 36.3 g/dL RDW 14.9 % Acute Lymphoblastic Leukemia 4 yr/ M
  • 71.
    WBC Research PopulationData Case Study – Malaria Parasites(Normal plot and Research Population Data compared to a patient infected with malaria type Plasmodium falciparum. Note the increased size and variation of the lymph's and Monocyte's.) NORMAL Normal Normal MO Normal LY Macrophage Parasitized RBC MALARIA MP Positive Reactive LY
  • 72.
    INTERFERENCE Hemoglobin Clotted specimen(micro- clots). Cryoglobulin, Haemolysis, Severe lipemia, Hyperbilirubinemia. RBC count Clotting, Cold agglutinins, Microcytic RBCs Cryoglobulin, Giant platelets, Raised WBC count. WBC count Clotting, Cryoglobulin, Heparin, Monoclonal proteins. Platelets Clotting, Giant plt, Plt clumps Cryoglobulin, Haemolysis, Microcytic RBCs. Parameter Spurious Decrease Spurious Increase
  • 73.

Editor's Notes

  • #23 In conjunction with MCV
  • #28 RBC upper discriminator flag
  • #29 Multiple peak flag