 The pleural space lies between the lung and chest wall and
normally contains a thin layer of fluid.
 Pleural effusion is present when there is an excess quantity of
fluid in pleural space.
 Increased capillary/pleural membrane
permeabiltiy
 Increased capillary hydrostatic pressure
 Decreased intravascular oncotic pressure
 Lymphatic obstruction
 Abnormal sites of entry
 TRANSUDATIVE EFFUSION –results from alteration in
hydrostatic or oncotic pressure of capillaries in parietal pleura
 EXUDATIVE EFFUSION- results from change in
permeability of capillaries or pleural membranes or from
obstruction in lymphatic drainage.
Transudative effusion
 Nephrotic syndrome
 Congestive cardiac failure
 Hepatic failure
 PEM
 Hypothyroidism
Exudative effusion
 Infections-Pneumonia,lung
abcess,bronchiectasis,TB
 Malignancy-
Metastasis,leukemia/lymph
oma
 Collagen vascular diseases-
SLE,JRA
 Traumatic
 Drugs-
Amiodarone,bromocriptine
 Postradiation
Light’s criteria
Exudative effusion meet atleast one of the following
criteria,wheras transudative effusions meet none.
 Pleural fluid protein/serum protein > 0.5
 Pleural fluid LDH/serum LDH > 0.6
 Pleural fluid LDH-more than two third of serum LDH
The above criteria misidentify 25% of transudates
as exudates.
 Symptoms depend on the underlying cause of pleural
effusion
 Commonly presents with pleuritic chest pain(sharp stabbing
pain worsened by deep inspiration),dyspnoea,cough
On examination
 Tachypnea,chest retractions
 Decreased chest movements on the affected side (hoover’s
sign)
 Tracheal and mediastinal shift in large effusions
 Decreased vocal fremitus and vocal resonance
 Decreased or absent breath sounds
 Bronchophony or aegophony above the level of effusion.
 Dullness on Traube space percussion
CHYLOTHORAX
 Accumulation of chyle in pleural space.
 Common causes are
-Trauma to thoracic duct
-Tumor
-Lymphatic obstruction
 Pleural fluid characteristics-milky white,high triglyceride
levels
Hemothorax
 Presence of blood in pleural space.
Common causes are
- Chest wall injuries
- Malignancy
- Bleeding disorders
- Pulmonary infarction
 Parapneumonic effusion – sterile pleural effusion
with few or no inflammatory cells.It occurs in
around 40% of bacterial pneumonias.
 Empyema –presence of pus or microorganism in
pleural fluid.
 Common causative organisms – Staphylococcus
aureus,streptococcus pneumoniae,Hemophilus influenza,
streptococcus pyogenes
 Gram negative organisms and MRSA are more common pathogens
in HIV associated empyema.
 Anaerobic organisms like bacteroides are common in empyemas
following aspiration pneumonia
 Atypical organisms like mycoplasma,Chlamydia, viruses,fungi like
candida,aspergillus rarely cause empyema.
 Although tuberculous effusions are relatively common,tuberculous
empyema is quite rare.
It occurs in three stages
Exudative stage
 Clear sterile fluid accumulates in pleural space as a result of
increased pleural and capillary permeability associated with
infection
Fibrinopurulent stage
 Bacterial invasion of pleural space
 Deposition of fibrin in pleural space leading to septation or
loculations
 Characterised by presence of turbid fluid or frank pus
Organisational stage ( >14days)
 Infiltration of fibroblasts in pleural space
 Thin fibrin membranes transformed into thick pleural
peels,resulting in ‘trapped lung’.
 More common in staphylococcal empyema
 Complications like chronic empyema,bronchopleural fistula
and spontaneous perforation through chest wall (empyema
necessitans)
 Presents with high grade fever with chills,malaise,dyspnoea,
pleuritic chest pain.Child prefers to lie on affected side
splinting the chest with knees drawn up to the chest.
 On examination,in addition to usual findings of pleural
effusion,erythema,edema and tenderness of chest wall on
affected side may be noted.
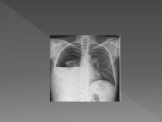
Chest xray
 An anteroposterior chestxray should be done in all
children with suspected pleural effusion. Atleast 300ml of
fluid should be present to detect effusion clinically and
radiographically in AP view.
 Lateral decubitus CXR with affected side inferior allows
recognition of smaller volumes of fluid.
 Xray features- Obliteration of costophrenic and cardiophrenic
angles
 homogenous opacity of affected hemithorax with mediastinal
shift to contralateral side
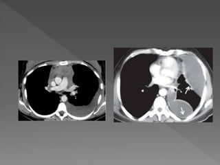
Ultrasound
 Helps to differentiate consolidated lung from pleural fluid
especially when there is white out on CXR and clinical signs
do not clearly distinguish
 Identify pleural thickening and loculated effusions
 To guide thoracocentesis and chest tube insertion
CT thorax
 Useful if effusion is minimal or loculated
 to differentiate effusion from pleural thickness
Thoracocentesis(pleural tap)
 Indicated if pleural fluid thickness from chest wall more
than 1 cm in lateral decubitus xray and that is of uncertain
etiology
 Pleural fluid analysis- Gross examination
Cell count
pH
Glucose
LDH
Protein
Gram stain and culture
 Lymphocytois-suggestive of tuberculous effusion or
malignancy
 Pleural fluid ADA > 70IU/L is suggestive of tuberculous
effusion.
 Biochemical analysis of pleural fluid is unnecessary in case
of frank pus.
Blood culture
 Positive in 10-20% of cases of empyema
 Sputum,tracheal aspirate and bronchoalveolar lavage sent for
cultures if possible in parapneumonic effusions
Investigations relevant to underlying cause
• Treatment of underlying cause
• Parapneumonic effusions - appropriate antibiotic therapy
and supportive treatment
Simple drainage in case of large effusions and
compromised pulmonary function
• Empyema –Antibiotic therapy,supportive treatment and
chest tube drainage.
Supportive treatment
 Adequate oxygenation to maintain spO2>92%
 Nutrition and adequate hydration
Antibiotic therapy
 Commonly used antibiotic combinations are cloxacillin and
amikacin
 Cloxacillin and third generation cephalosporins
 In immunocompromised children,cloxacillin and
ceftazidime started to cover pseudomonas and other gram
negative anaerobes.
 If response is poor ,if multiple loculations or putrid
smelling pus present,antibiotics for anaerobic cover like
clindamycin or metronidazole added.
 If MRSA suspected,vancomycin is added.
 Treatment is modified based on culture and sensitivity
reports.
 Parenteral therapy should be continued for 48-72 hrs after
abatement of fever and then oral therapy can be used to
complete the course.
 Antibiotics should be continued till the patient is afebrile
and,chest tube drainage is less than 50ml/day.
 Duration of antibiotics- 7-14days in case of s.pneumonia or
h.influenza
3-4weeks in case of s.aureus
Chest tube drainage
 Chest drain should be inserted in all children diagnosed
with empyema.Repeated taps are not recommended.
 Preferred site for insertion- preferentially in midaxillary line
through safe triangle or as suggested by ultrasound
 Tube is connected to underwater seal drainage.
 Chest drain should be removed if fluid drainage is less than
30ml/day and no residual air or fluid collection noted.
Exercises
 Early ambulation and breathing exercises are advised to
improve lung expansion ,once toxemia subsides.
 Chest physiotherapy is not beneficial and not recommended
in children.
Intrapleural fibrinolytic therapy
 Instillation of fibrinolytic agents in pleural space via chest
drain lyses fibrin strands and clears lymphatic pores ,thus
facilitating better drainage.
 Agents used – urokinase-proven safe and effective in
children
Streptokinase
Alteplase
Surgery
 Considered when empyema fails to resolve despite above
mentioned treatment or in cases of organized
empyema(trapped lung)
 bronchopleural fistula
 Options – minithoracotomy and debridement
Open decortication
Video assisted thoracoscopic adhesiolysis
(VATS)
Complications of empyema
 Pyopneumothorax
 Bronchopleural fistula
 Empyema necessitns
 Septicemia
THANK YOU

20.5.pleural effusion &empyema

  • 2.
     The pleuralspace lies between the lung and chest wall and normally contains a thin layer of fluid.  Pleural effusion is present when there is an excess quantity of fluid in pleural space.
  • 4.
     Increased capillary/pleuralmembrane permeabiltiy  Increased capillary hydrostatic pressure  Decreased intravascular oncotic pressure  Lymphatic obstruction  Abnormal sites of entry
  • 6.
     TRANSUDATIVE EFFUSION–results from alteration in hydrostatic or oncotic pressure of capillaries in parietal pleura  EXUDATIVE EFFUSION- results from change in permeability of capillaries or pleural membranes or from obstruction in lymphatic drainage.
  • 7.
    Transudative effusion  Nephroticsyndrome  Congestive cardiac failure  Hepatic failure  PEM  Hypothyroidism Exudative effusion  Infections-Pneumonia,lung abcess,bronchiectasis,TB  Malignancy- Metastasis,leukemia/lymph oma  Collagen vascular diseases- SLE,JRA  Traumatic  Drugs- Amiodarone,bromocriptine  Postradiation
  • 9.
    Light’s criteria Exudative effusionmeet atleast one of the following criteria,wheras transudative effusions meet none.  Pleural fluid protein/serum protein > 0.5  Pleural fluid LDH/serum LDH > 0.6  Pleural fluid LDH-more than two third of serum LDH The above criteria misidentify 25% of transudates as exudates.
  • 10.
     Symptoms dependon the underlying cause of pleural effusion  Commonly presents with pleuritic chest pain(sharp stabbing pain worsened by deep inspiration),dyspnoea,cough On examination  Tachypnea,chest retractions  Decreased chest movements on the affected side (hoover’s sign)  Tracheal and mediastinal shift in large effusions
  • 11.
     Decreased vocalfremitus and vocal resonance  Decreased or absent breath sounds  Bronchophony or aegophony above the level of effusion.  Dullness on Traube space percussion
  • 12.
    CHYLOTHORAX  Accumulation ofchyle in pleural space.  Common causes are -Trauma to thoracic duct -Tumor -Lymphatic obstruction  Pleural fluid characteristics-milky white,high triglyceride levels
  • 14.
    Hemothorax  Presence ofblood in pleural space. Common causes are - Chest wall injuries - Malignancy - Bleeding disorders - Pulmonary infarction
  • 16.
     Parapneumonic effusion– sterile pleural effusion with few or no inflammatory cells.It occurs in around 40% of bacterial pneumonias.  Empyema –presence of pus or microorganism in pleural fluid.
  • 18.
     Common causativeorganisms – Staphylococcus aureus,streptococcus pneumoniae,Hemophilus influenza, streptococcus pyogenes  Gram negative organisms and MRSA are more common pathogens in HIV associated empyema.  Anaerobic organisms like bacteroides are common in empyemas following aspiration pneumonia  Atypical organisms like mycoplasma,Chlamydia, viruses,fungi like candida,aspergillus rarely cause empyema.  Although tuberculous effusions are relatively common,tuberculous empyema is quite rare.
  • 19.
    It occurs inthree stages Exudative stage  Clear sterile fluid accumulates in pleural space as a result of increased pleural and capillary permeability associated with infection Fibrinopurulent stage  Bacterial invasion of pleural space  Deposition of fibrin in pleural space leading to septation or loculations  Characterised by presence of turbid fluid or frank pus
  • 20.
    Organisational stage (>14days)  Infiltration of fibroblasts in pleural space  Thin fibrin membranes transformed into thick pleural peels,resulting in ‘trapped lung’.  More common in staphylococcal empyema  Complications like chronic empyema,bronchopleural fistula and spontaneous perforation through chest wall (empyema necessitans)
  • 21.
     Presents withhigh grade fever with chills,malaise,dyspnoea, pleuritic chest pain.Child prefers to lie on affected side splinting the chest with knees drawn up to the chest.  On examination,in addition to usual findings of pleural effusion,erythema,edema and tenderness of chest wall on affected side may be noted.
  • 23.
    Chest xray  Ananteroposterior chestxray should be done in all children with suspected pleural effusion. Atleast 300ml of fluid should be present to detect effusion clinically and radiographically in AP view.  Lateral decubitus CXR with affected side inferior allows recognition of smaller volumes of fluid.  Xray features- Obliteration of costophrenic and cardiophrenic angles  homogenous opacity of affected hemithorax with mediastinal shift to contralateral side
  • 27.
    Ultrasound  Helps todifferentiate consolidated lung from pleural fluid especially when there is white out on CXR and clinical signs do not clearly distinguish  Identify pleural thickening and loculated effusions  To guide thoracocentesis and chest tube insertion CT thorax  Useful if effusion is minimal or loculated  to differentiate effusion from pleural thickness
  • 29.
    Thoracocentesis(pleural tap)  Indicatedif pleural fluid thickness from chest wall more than 1 cm in lateral decubitus xray and that is of uncertain etiology  Pleural fluid analysis- Gross examination Cell count pH Glucose LDH Protein Gram stain and culture
  • 30.
     Lymphocytois-suggestive oftuberculous effusion or malignancy  Pleural fluid ADA > 70IU/L is suggestive of tuberculous effusion.  Biochemical analysis of pleural fluid is unnecessary in case of frank pus.
  • 32.
    Blood culture  Positivein 10-20% of cases of empyema  Sputum,tracheal aspirate and bronchoalveolar lavage sent for cultures if possible in parapneumonic effusions Investigations relevant to underlying cause
  • 33.
    • Treatment ofunderlying cause • Parapneumonic effusions - appropriate antibiotic therapy and supportive treatment Simple drainage in case of large effusions and compromised pulmonary function • Empyema –Antibiotic therapy,supportive treatment and chest tube drainage.
  • 34.
    Supportive treatment  Adequateoxygenation to maintain spO2>92%  Nutrition and adequate hydration Antibiotic therapy  Commonly used antibiotic combinations are cloxacillin and amikacin  Cloxacillin and third generation cephalosporins
  • 35.
     In immunocompromisedchildren,cloxacillin and ceftazidime started to cover pseudomonas and other gram negative anaerobes.  If response is poor ,if multiple loculations or putrid smelling pus present,antibiotics for anaerobic cover like clindamycin or metronidazole added.  If MRSA suspected,vancomycin is added.  Treatment is modified based on culture and sensitivity reports.
  • 36.
     Parenteral therapyshould be continued for 48-72 hrs after abatement of fever and then oral therapy can be used to complete the course.  Antibiotics should be continued till the patient is afebrile and,chest tube drainage is less than 50ml/day.  Duration of antibiotics- 7-14days in case of s.pneumonia or h.influenza 3-4weeks in case of s.aureus
  • 37.
    Chest tube drainage Chest drain should be inserted in all children diagnosed with empyema.Repeated taps are not recommended.  Preferred site for insertion- preferentially in midaxillary line through safe triangle or as suggested by ultrasound  Tube is connected to underwater seal drainage.
  • 41.
     Chest drainshould be removed if fluid drainage is less than 30ml/day and no residual air or fluid collection noted. Exercises  Early ambulation and breathing exercises are advised to improve lung expansion ,once toxemia subsides.  Chest physiotherapy is not beneficial and not recommended in children.
  • 42.
    Intrapleural fibrinolytic therapy Instillation of fibrinolytic agents in pleural space via chest drain lyses fibrin strands and clears lymphatic pores ,thus facilitating better drainage.  Agents used – urokinase-proven safe and effective in children Streptokinase Alteplase
  • 43.
    Surgery  Considered whenempyema fails to resolve despite above mentioned treatment or in cases of organized empyema(trapped lung)  bronchopleural fistula  Options – minithoracotomy and debridement Open decortication Video assisted thoracoscopic adhesiolysis (VATS)
  • 44.
    Complications of empyema Pyopneumothorax  Bronchopleural fistula  Empyema necessitns  Septicemia
  • 45.