CASE CONFERENCE
Ext ภรภัทร อิทธิอาวัชกุล 5502113
12 March 2018
เด็กชาย 7 ปี ตกจากกองดินสูง1.5เมตร
แขนซ้ายผิดรูป 3ชั่วโมงก่อนมาโรงพยาบาล
Chief complaint
Patient profile
• ผู้ป่วยเด็กชาย อายุ7ปี
• ภูมิลาเนาอาเภอโชคชัย จังหวัดนครราชสีมา
• cause of injury – ตกกองดินสูง1.5เมตร 3ชั่วโมงก่อนมาโรงพยาบาล
• เหตุเกิด วันที่ 8 มีนาคม 2561 17:30 น.
• มาโรงพยาบาลโชคชัย วันที่ 8 มีนาคม 2561 18.30 น.
• มาโรงพยาบาลมหาราชนครราชสีมา วันที่ 8 มีนาคม 2561 20.30 น.
Present illness
• 3ชั่วโมงก่อนมาโรงพยาบาล ขณะเล่นกับเด็กคนอื่นบนกองดินสูง1.5เมตร ตกลงมาเอาแขนซ้ายลง
ในท่าเหยียดแขน ไม่มีศีรษะกระแทกพื้น ไม่สลบ จาเหตุการณ์ได้ตลอด หลังจากนั้นมีแขนซ้ายผิดรูป
บวม ปวด ขยับไม่ได้ มารดามาเห็นจึงพาไปโรงพยาบาลชุมชน จากนั้นreferมาโรงพยาบาล
มหาราช
Primary survey at MNRH
• A – can talk, no posterior midline neck tenderness, full ROM of neck
• B – trachea in midline, spontaneous breathing, CCT negative, clear
and equal breath sound
• C – BP 110/72 mmHg, PR 108 bpm, no external bleeding, PCT
negative
• D – E4V5M6 pupils 2mm RTLBE
• E – left elbow deformity with swelling and tender with limit ROM
Adjunct to
primary survey
• CXR
Secondary survey
• A – no drug and food allergy
• M – no current medication
• P – no underlying disease, no history of surgery
• L – 18.00 8/3/61
• E – ตกจากกองดิน สูง1.5เมตร ศอกข้างซ้ายผิดรูป บวม ปวด ขยับไม่ได้ ไม่มีบาดแผลภายนอก
Head-to-toe examination
• Head and maxillofacial
• No wound, no facial deformity, no ecchymosis
• C-spine and neck
• No wound, no C-spine tenderness, full active ROM of neck
• Chest
• Trachea in midline, clear and equal breath sound both lungs,
CCT negative
• Abdomen and pelvis
• Not distend, no wound, soft, not tender, normoactive bowel,
PCT negative
Head-to-toe examination
• Musculoskeletal
• Deformity, tender and swelling at left elbow, limit ROM of left elbow
• Radial pulse 2+, capillary refill <2 sec, normal pinprick sensation
• Neurologic
• E4V5M6, pupils 2 mm RTLBE
• Motor grade V all except left elbow due to pain and deformity
• Perineum and rectum
• No ecchymosis
Investigation
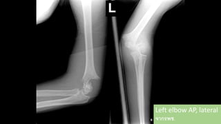
Left elbow AP, lateral
จากรพช.
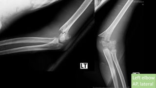
Left elbow
AP, lateral
Left elbow
AP, lateral
Totally displacement
Closed fracture of left supracondyle
Gartland III
Diagnosis
Supracondylar fracture
Anatomy
Epidemiology
• Children 5 - 7 years old
• Male = Female
• Types
• Extension - most common (95-98%)
• Flexion type (<5%)
• Mechanism of injury – fall on outstretched hand
• Symptoms
• Pain
• Refusal to move the elbow
• Physical examination
• Gross deformity of elbow – S-shaped deformity
• Swelling
• Bruising
• Limit active elbow motion/pseudoparalysis
Clinical presentation
• Neurapraxia – almost all resolve spontaneously
• Anterior interosseous nerve neurapraxia (branch of median n.)
• most common
• Radial nerve palsy
• Ulnar nerve palsy
• Flexion type
• Vascular injury (1%) – rich in collateral circulation
Associated injuries
**Most common
Neurapraxia**
Sensory of hand
Radial nerveMedian nerve
AIN
Ulnar nerve
Posterior fat pad
sign
lucency along the posterior
distal humerus and olecranon
fossa is highly suggestive of
occult fracture around the
elbow
Baumann’s angle
• Humeral-capitellar angle
• Humeral axis and a straight line through the epiphyseal plate of the
capitellum
• Normal: 64 - 81° or differ 5° between the two sides
Gartland’s classification
I Non-displaced fracture
Anterior humeral line ✓
Baumann’s angle ✓
II
Displaced, intact
posterior cortex
Anterior humeral line ✘
Baumann’s angle +/-
III Totally displaced
Anterior humeral line ✘
Baumann’s angle ✘
Gartland I Gartland II
Gartland III
Treatment
I Long arm cast/slab
II
Closed reduction and
long arm cast/slab
+/- pinning
III
Closed reduction + pinning
+ long arm cast/slab
Need emergent closed reduction and
percutanous pinning (CRPP)
• Dysvascular hand
• Neurological defect
• Floating elbow
ipsilateral supracondylar humerus and
forearm /wrist fractures
• Brachialis sign/
Pucker sign
proximal fragment buttonholed
through brachialis
serious injury
swelling, more difficult closed
reduction
S/P closed reduction
with percutaneous pinning
70°
Middle 1/3 of capitellum
References
• ธีรชัย อภิวรรธกกุล. Orthopaedic Trauma. เชียงใหม่: โรงพิมพ์แสงศิลป์ , 2557.
• Orthobullets
• ภาควิชาออร์โธปิดิกส์ โรงพยาบาลมหาราชนครราชสีมา. เวชปฏิบัติทางออร์โธปิดิกส์
Supracondylar

Supracondylar

  • 1.
    CASE CONFERENCE Ext ภรภัทรอิทธิอาวัชกุล 5502113 12 March 2018
  • 2.
    เด็กชาย 7 ปีตกจากกองดินสูง1.5เมตร แขนซ้ายผิดรูป 3ชั่วโมงก่อนมาโรงพยาบาล Chief complaint
  • 3.
    Patient profile • ผู้ป่วยเด็กชายอายุ7ปี • ภูมิลาเนาอาเภอโชคชัย จังหวัดนครราชสีมา • cause of injury – ตกกองดินสูง1.5เมตร 3ชั่วโมงก่อนมาโรงพยาบาล • เหตุเกิด วันที่ 8 มีนาคม 2561 17:30 น. • มาโรงพยาบาลโชคชัย วันที่ 8 มีนาคม 2561 18.30 น. • มาโรงพยาบาลมหาราชนครราชสีมา วันที่ 8 มีนาคม 2561 20.30 น.
  • 4.
    Present illness • 3ชั่วโมงก่อนมาโรงพยาบาลขณะเล่นกับเด็กคนอื่นบนกองดินสูง1.5เมตร ตกลงมาเอาแขนซ้ายลง ในท่าเหยียดแขน ไม่มีศีรษะกระแทกพื้น ไม่สลบ จาเหตุการณ์ได้ตลอด หลังจากนั้นมีแขนซ้ายผิดรูป บวม ปวด ขยับไม่ได้ มารดามาเห็นจึงพาไปโรงพยาบาลชุมชน จากนั้นreferมาโรงพยาบาล มหาราช
  • 5.
    Primary survey atMNRH • A – can talk, no posterior midline neck tenderness, full ROM of neck • B – trachea in midline, spontaneous breathing, CCT negative, clear and equal breath sound • C – BP 110/72 mmHg, PR 108 bpm, no external bleeding, PCT negative • D – E4V5M6 pupils 2mm RTLBE • E – left elbow deformity with swelling and tender with limit ROM
  • 6.
  • 7.
    Secondary survey • A– no drug and food allergy • M – no current medication • P – no underlying disease, no history of surgery • L – 18.00 8/3/61 • E – ตกจากกองดิน สูง1.5เมตร ศอกข้างซ้ายผิดรูป บวม ปวด ขยับไม่ได้ ไม่มีบาดแผลภายนอก
  • 8.
    Head-to-toe examination • Headand maxillofacial • No wound, no facial deformity, no ecchymosis • C-spine and neck • No wound, no C-spine tenderness, full active ROM of neck • Chest • Trachea in midline, clear and equal breath sound both lungs, CCT negative • Abdomen and pelvis • Not distend, no wound, soft, not tender, normoactive bowel, PCT negative
  • 9.
    Head-to-toe examination • Musculoskeletal •Deformity, tender and swelling at left elbow, limit ROM of left elbow • Radial pulse 2+, capillary refill <2 sec, normal pinprick sensation • Neurologic • E4V5M6, pupils 2 mm RTLBE • Motor grade V all except left elbow due to pain and deformity • Perineum and rectum • No ecchymosis
  • 11.
  • 12.
    Left elbow AP,lateral จากรพช.
  • 13.
  • 14.
  • 15.
    Closed fracture ofleft supracondyle Gartland III Diagnosis
  • 16.
  • 17.
  • 18.
    Epidemiology • Children 5- 7 years old • Male = Female • Types • Extension - most common (95-98%) • Flexion type (<5%) • Mechanism of injury – fall on outstretched hand
  • 19.
    • Symptoms • Pain •Refusal to move the elbow • Physical examination • Gross deformity of elbow – S-shaped deformity • Swelling • Bruising • Limit active elbow motion/pseudoparalysis Clinical presentation
  • 20.
    • Neurapraxia –almost all resolve spontaneously • Anterior interosseous nerve neurapraxia (branch of median n.) • most common • Radial nerve palsy • Ulnar nerve palsy • Flexion type • Vascular injury (1%) – rich in collateral circulation Associated injuries
  • 21.
  • 22.
    Sensory of hand RadialnerveMedian nerve AIN Ulnar nerve
  • 23.
    Posterior fat pad sign lucencyalong the posterior distal humerus and olecranon fossa is highly suggestive of occult fracture around the elbow
  • 24.
    Baumann’s angle • Humeral-capitellarangle • Humeral axis and a straight line through the epiphyseal plate of the capitellum • Normal: 64 - 81° or differ 5° between the two sides
  • 26.
    Gartland’s classification I Non-displacedfracture Anterior humeral line ✓ Baumann’s angle ✓ II Displaced, intact posterior cortex Anterior humeral line ✘ Baumann’s angle +/- III Totally displaced Anterior humeral line ✘ Baumann’s angle ✘
  • 27.
    Gartland I GartlandII Gartland III
  • 28.
    Treatment I Long armcast/slab II Closed reduction and long arm cast/slab +/- pinning III Closed reduction + pinning + long arm cast/slab
  • 29.
    Need emergent closedreduction and percutanous pinning (CRPP) • Dysvascular hand • Neurological defect • Floating elbow ipsilateral supracondylar humerus and forearm /wrist fractures • Brachialis sign/ Pucker sign proximal fragment buttonholed through brachialis serious injury swelling, more difficult closed reduction
  • 30.
    S/P closed reduction withpercutaneous pinning 70° Middle 1/3 of capitellum
  • 31.
    References • ธีรชัย อภิวรรธกกุล.Orthopaedic Trauma. เชียงใหม่: โรงพิมพ์แสงศิลป์ , 2557. • Orthobullets • ภาควิชาออร์โธปิดิกส์ โรงพยาบาลมหาราชนครราชสีมา. เวชปฏิบัติทางออร์โธปิดิกส์