ΑΤΟΜΙΚΟ ΔΕΛΤΙΟ
    ΥΓΕΙΑΣ

 ΟΔΟΝΤΟΛΟΓΙΚΗ ΕΞΕΤΑΣΗ
       ΠΑΙΔΙΩΝ
Πρώτη επίσκεψη του παιδιού στον
                οδοντίατρο

   Νηπιακή ηλικία 4-6 ετών
   Σχέση παιδιού με οδοντίατρο
   Πρώτη επίσκεψη πρέπει να είναι σύντομη,
    ευχάριστη αλλά και ουσιαστική
   Τεχνική « Πες , Δείξε, Κάνε » ( Tell, Show, Do)
   Ενθαρρύνουμε και επιβραβεύουμε το παιδί- δεν
    δωροδοκούμε
Τι πρέπει να έχει καταφέρει ένα παιδί σ’
αυτή τη φάση
 Διακοπή του μπιμπερό, ήδη από 12 μηνών
 Διακοπή θηλασμού δακτύλου ή πιπίλας
  -όριο ασφαλείας μέχρι 4 ετών
 Να βουρτσίζει τα δόντια του!
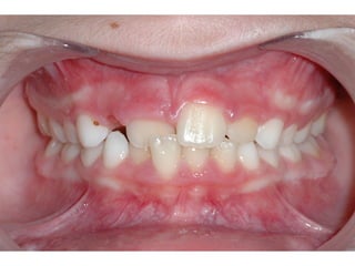
Τερηδόνα βρεφικής και νηπιακής ηλικίας
 Πρόσφατη επιδημιολογική μελέτη σε παιδιά
  ηλικίας 5 ετών στην Ελλάδα, συχνότητα
  εμφάνισης 43% με δείκτη dmft 1,8
 Η κατανομή των βλαβών είναι ανισομερώς
  κατανεμημένη, με ένα ποσοστό 10-15%
  των παιδιών να συγκεντρώνουν το 50%
  των βλαβών
 Προγραμματισμός για θεραπευτική αγωγή
 Φθορίωση


 Οδηγίες στοματικής υγιεινής –φθοριούχο
  συμπλήρωμα
 Καθορισμός χρόνου επανεξέτασης
 Οδηγίες στους γονείς σχετικά με τη
  διατροφή
   Η χρήση φθοριούχου οδοντόκρεμας και η
    καλή στοματική υγιεινή, με επίβλεψη
    γονέα θεωρείται το μέγιστο προληπτικό
    μέτρο που πρέπει να περιλαμβάνεται σε
    όλα τα προληπτικά προγράμματα, είτε
    ατομικά είτε κοινωνικά (EAPD)
Οδηγίες της Ευρωπαικής Παιδοδοντικής Εταιρείας για τη χρήση
φθορίου
Europ. Archives Paediatric Dentistry 2009 Sep 10(3) :129-135


Ηλικία         Περιεκτικότητα   Καθημερινά     ποσότητα
               σε φθόριο


6 μην– 2       500 ppm          2 φορές        1 μπιζέλι
ετών


2 – 6 ετών 1000 ppm             2 φορές        1 μπιζέλι


6 ετών και 1450 ppm             2 φορές        1 -2 cm
άνω
Η συστεμική χορήγηση φθορίου (σταγόνες, ταμπλέτες)
πρέπει να γίνει εκτίμηση της ωφελιμότητας και του
ενδεχόμενου κινδύνου φθορίασης _περιεκ. νερού <0,3ppm
Ηλικία                     Οδηγίες


0 – 24 μηνών               καθόλου


2 – 6 ετών                 0,25 mg F/ημέρα


7 – 18 ετών                0,50 mg F/ημέρα
Φθόριο
   Απαραίτητο ιχνοστοιχείο
   Ιδανική ημερήσια δόση 0,5 – 1 mg
   Φυσιολ. τιμή στο πλάσμα 0,01–0,03 ppm
   Όριο ασφαλείας 1mg
   Ήπια τοξικότητα 0,2 - 0,5 gr (σιελόρροια,
    σαπωνώδη γεύση, ναυτία, εμετοί, κοιλιακά άλγη,
    διάρροια, αιματουρία)
   Μέτρια τοξικότητα 0,5 -1.5 gr (παραισθησίες,
    αυξημένη μυϊκή δράση)
   Βαριά τοξικότητα 1- 2 gr (επώδυνοι μυϊκοί
    σπασμοί, πτώση αρτηριακής πίεσης, αναπνευστική
    ανεπάρκεια –Θανατηφόρος δόση)
Κίνδυνος φθορίασης
 Κάτω των 4 ετών και ειδικά 15 – 30 μηνών
«παράθυρο ευαισθησίας» , όσον αφορά
  μόνιμους τομείς και πρώτους μόνιμους
  γομφίους

4 – 6 ετών περίοδος ενασβεστίωσης και
  ωρίμανσης προγομφίων και δεύτερων
  μόνιμων γομφίων – όχι αισθητικό πρόβλημα

6 ετών και άνω, ο κίνδυνος είναι αμελητέος
Διατροφή
 -Διακοπή μπιμπερό !!!
 Έλεγχος ζαχαρούχων ποτών και τροφών
 Μείωση της συχνότητας λήψης τροφής
  να κρατούνται τα κυρίως γεύματα και 2
  μεσογεύματα
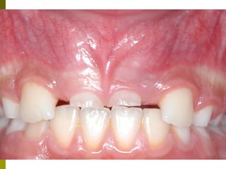
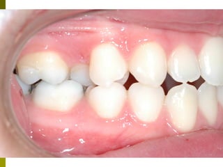
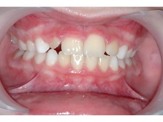
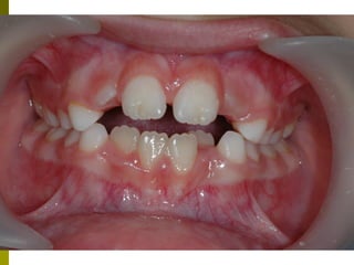
Πρώτη σχολική ηλικία 6-10 ετών
   Αρχίζει αλλαγή των τομέων και η ανατολή των
    πρώτων μόνιμων γομφίων (μεικτή οδοντοφυΐα)
   Παρατηρούμε η αλλαγή δοντιών να γίνεται με τη
    σωστή σειρά και στη σωστή θέση
   Μπορεί να χρειαστεί πρώιμη ορθοδοντική
    θεραπεία, για να αποφευχθούν πιο δύσκολες και
    πολύπλοκες εργασίες αργότερα
   Διατήρηση νεογιλών δοντιών στον οδοντικό
    φραγμό μέχρι τη φυσιολογική τους απόπτωση
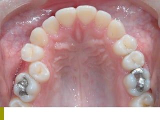
Προληπτικά μέτρα - Καλύψεις οπών και
σχισμών (ΚΟΣ)
          (Προληπτικές εμφράξεις, προστατευτικά, αποφράξεις οπών και
           σχισμών, sealants)
       Οι μασητικές επιφάνειες των οπισθίων δοντιών
        ευνοούν την κατακράτηση τροφών και μικροβίων και
        συχνά τερηδονίζονται αμέσως μετά την ανατολή τους.
       Έρευνα της Ελληνικής Οδοντιατρικής Ομοσπονδίας
        έδειξε ότι σε παιδιά ηλικίας 12 ετών το 83% των
        τερηδονισμένων επιφανειών παρατηρείται στις
        μασητικές επιφάνειες      (Ουλής Κ.Ι. συν. Ελληνικά
        Στοματολογικά Χρονικά 2009’ 53(3)΄97-120)
       Επίσης και μετά από παρακολούθηση έως 10 - 15 έτη, μόνο
        το 30 -40% των δοντιών με κάλυψη είχαν μασητικές
        αποκαταστάσεις, σε σχέση με 60 -80% των δοντιών χωρίς
        καλύψεις.
       Μελέτες έχουν δείξει μείωση της τερηδόνας ,μετά την
        τοποθέτηση ΚΟΣ, 85 -37 % μετά από 2 – 6 έτη
        οι προληπτικές καλύψεις θα πρέπει να εφαρμόζονται
        ανάλογα με τον βαθμό κινδύνου ανάπτυξης τερηδόνας των
        ατόμων, ή των επιφανειών επιλεκτικά και εξατομηκευμένα
 Οι καλύψεις οπών και σχισμών είναι
  εύκολες στην τεχνική αλλά και ευαίσθητες.
 Καλή απομόνωση δοντιού, χημική
  επεξεργασία (αδροποίηση) και συγκόλληση
  ενός ρητινώδους υλικού.
 Ακόμα και αυτή η διαδικασία μπορεί να μην
  είναι εφικτή σε κάποια παιδιά
Μόνιμη οδοντοφυΐα 10 + ετών
 Παρακολουθούμε την ολοκλήρωση
  αλλαγής δοντιών
 Ελέγχονται ορθοδοντικές ανωμαλίες
 Θεραπευτική αντιμετώπιση μονίμων
  δοντιών
 Καλό προληπτικό πρόγραμμα,
  εξατομηκευμένο
Επανεξετάσεις στο οδοντιατρείο
Παιδιά και έφηβοι με χαμηλή ευαισθησία
 στην τερηδόνα συνιστώνται διαστήματα
 επανεξετάσεων 12 μηνών
 Άτομα με μέση ή υψηλή ευαισθησία
 προτείνονται διαστήματα 6 μηνών ή και
 λιγότερο
Ανωμαλίες διάπλασης της αδαμαντίνης

 Παθογεvνετικά διακρίνονται δύο μορφές
     υποπλασία – μια ποσοτική ανωμαλία
  της αδαμαντίνης, εντοπισμένη ή
  γενικευμένη μείωση του πάχους που
  οφείλεται σε διαταραχές στην εκκριτική
  φάση
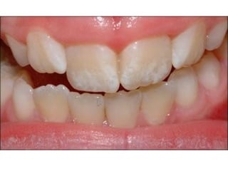
 Υπενασβεστίωση – διαταραχές κατά το
  στάδιο της ενασβεστίωσης, έτσι τμήματα
  της αδαμαντίνης αποσπώνται γρήγορα
Σύμφωνα με τους Jorgenson και Yost οι
 ανωμαλίες διάπλασης της αδαμαντίνης
 μπορούν να διακριθούν σε δύο κατηγορίες
 από άποψης αιτιολογίας, σ’ αυτές που
 οφείλονται σε κληρονομικούς
 παράγοντες και σ’ αυτές που σχετίζονται με
 περιβαλλοντικούς παράγοντες
Κληρονομικοί παράγοντες
- Οι κληρονομικές μορφές των ανωμαλιών της
  αδαμαντίνης χαρακτηρίζονται από υψηλή
  γονιδιακή αλλά και κλινική ετερογένεια
- Προσβάλουν όλα, ή σχεδόν όλα τα δόντια της
  νεογιλής και μόνιμης οδοντοφυΐας
- Συχνότητα εμφάνισης είναι 1/700 -1/1400
Περιβαλλοντικοί παράγοντες

 Παράγοντες που έχουν να κάνουν με τη
  γενικότερη υγεία του παιδιού –συστεμικοί
  παράγοντες
 Τοπικοί παράγοντες όπως το τραύμα, η
  χρόνια φλεγμονή
   Παθολογικές καταστάσεις που ενοχοποιούνται περισσότερο
    είναι οι λοιμώξεις του ανώτερου αναπνευστικού συστήματος,
    βρογχίτιδες, άσθμα,
    μέσες ωτίτιδες, αμυγδαλίτιδες και γενικά εμπύρετες νόσοι.
   Μελέτη των Amerongen και συν έδειξαν ότι το 67% των
    παιδιών που είχαν υπενασβστιωμένους τομείς και μόνιμους
    γομφίους, εμφάνιζαν ιστορικό πολλαπλών επεισοδίων
    λοιμώξεων του αναπνευστικού.
   Φαρμακευτική αγωγή – αντιβιοτικά, κορτικοστεροειδή –
    προκαλούν τις βλάβες ή η ίδια η νόσος?
   Διατροφικές ανεπάρκειες
                 έλλειψη βιτ Α, C, D, ασβεστίου και
    φωσφόρου στη δίαιτα του βρέφους
   Συστεμικές παθολογικές καταστάσεις, όπως
    εγκεφαλικές και νευρολογικές διαταραχές,
    επιληψία, εξανθηματικές νόσοι, κυστική ίνωση,
    νεφρωτικό σύνδρομο, γαστρεντερικές παθήσεις
   Πρόωρη γέννα και το μικρό σωματικό βάρος
    περιγεννετικές επιπλοκές και η Καισαρική τομή
Υπενασβεστίωση γομφίων και τομέων
 Επιπολασμός 4 - 25% ανάλογα με τον
  πληθυσμό που εξετάζεται
 Ο αριθμός των δοντιών ποικίλει από ένα
  έως τέσσερα
 Ο βαθμός προσβολής ποικίλει από ελαφρώς
  έως βαριά
Τοπικοί παράγοντες
   Οδοντοφατνιακή λοίμωξη. Η μικροβιακής
    αιτιολογίας φλεγμονή, διαχέεται μέσω του
    οστού, στο σπέρμα του μόνιμου δοντιού,
    προσβάλλοντας το αδαμαντινικό επιθήλιο

   Χρόνια αποστήματα νεογιλών γομφίων
    προκαλούν βλάβη στους μόνιμους
    προγόμφιους – συχνότητα 20- 25%
Οδοντικό τραύμα στα πρόσθια δόντια
 Όσο μικρότερο το παιδί, τόσο οι
  πιθανότητες για βλάβη στο σπέρμα του
  μόνιμου δοντιού είναι μεγαλύτερες
 Συχνότερα σε εμβυθίσεις, ολικές
  εκγομφώσεις.
Odontologikh exetash
Odontologikh exetash
Odontologikh exetash
Odontologikh exetash
Odontologikh exetash

Odontologikh exetash

  • 1.
    ΑΤΟΜΙΚΟ ΔΕΛΤΙΟ ΥΓΕΙΑΣ ΟΔΟΝΤΟΛΟΓΙΚΗ ΕΞΕΤΑΣΗ ΠΑΙΔΙΩΝ
  • 2.
    Πρώτη επίσκεψη τουπαιδιού στον οδοντίατρο  Νηπιακή ηλικία 4-6 ετών  Σχέση παιδιού με οδοντίατρο  Πρώτη επίσκεψη πρέπει να είναι σύντομη, ευχάριστη αλλά και ουσιαστική  Τεχνική « Πες , Δείξε, Κάνε » ( Tell, Show, Do)  Ενθαρρύνουμε και επιβραβεύουμε το παιδί- δεν δωροδοκούμε
  • 4.
    Τι πρέπει ναέχει καταφέρει ένα παιδί σ’ αυτή τη φάση  Διακοπή του μπιμπερό, ήδη από 12 μηνών  Διακοπή θηλασμού δακτύλου ή πιπίλας -όριο ασφαλείας μέχρι 4 ετών  Να βουρτσίζει τα δόντια του!
  • 5.
    Τερηδόνα βρεφικής καινηπιακής ηλικίας  Πρόσφατη επιδημιολογική μελέτη σε παιδιά ηλικίας 5 ετών στην Ελλάδα, συχνότητα εμφάνισης 43% με δείκτη dmft 1,8  Η κατανομή των βλαβών είναι ανισομερώς κατανεμημένη, με ένα ποσοστό 10-15% των παιδιών να συγκεντρώνουν το 50% των βλαβών
  • 8.
     Προγραμματισμός γιαθεραπευτική αγωγή  Φθορίωση  Οδηγίες στοματικής υγιεινής –φθοριούχο συμπλήρωμα  Καθορισμός χρόνου επανεξέτασης  Οδηγίες στους γονείς σχετικά με τη διατροφή
  • 9.
    Η χρήση φθοριούχου οδοντόκρεμας και η καλή στοματική υγιεινή, με επίβλεψη γονέα θεωρείται το μέγιστο προληπτικό μέτρο που πρέπει να περιλαμβάνεται σε όλα τα προληπτικά προγράμματα, είτε ατομικά είτε κοινωνικά (EAPD)
  • 10.
    Οδηγίες της ΕυρωπαικήςΠαιδοδοντικής Εταιρείας για τη χρήση φθορίου Europ. Archives Paediatric Dentistry 2009 Sep 10(3) :129-135 Ηλικία Περιεκτικότητα Καθημερινά ποσότητα σε φθόριο 6 μην– 2 500 ppm 2 φορές 1 μπιζέλι ετών 2 – 6 ετών 1000 ppm 2 φορές 1 μπιζέλι 6 ετών και 1450 ppm 2 φορές 1 -2 cm άνω
  • 12.
    Η συστεμική χορήγησηφθορίου (σταγόνες, ταμπλέτες) πρέπει να γίνει εκτίμηση της ωφελιμότητας και του ενδεχόμενου κινδύνου φθορίασης _περιεκ. νερού <0,3ppm Ηλικία Οδηγίες 0 – 24 μηνών καθόλου 2 – 6 ετών 0,25 mg F/ημέρα 7 – 18 ετών 0,50 mg F/ημέρα
  • 15.
    Φθόριο  Απαραίτητο ιχνοστοιχείο  Ιδανική ημερήσια δόση 0,5 – 1 mg  Φυσιολ. τιμή στο πλάσμα 0,01–0,03 ppm  Όριο ασφαλείας 1mg  Ήπια τοξικότητα 0,2 - 0,5 gr (σιελόρροια, σαπωνώδη γεύση, ναυτία, εμετοί, κοιλιακά άλγη, διάρροια, αιματουρία)  Μέτρια τοξικότητα 0,5 -1.5 gr (παραισθησίες, αυξημένη μυϊκή δράση)  Βαριά τοξικότητα 1- 2 gr (επώδυνοι μυϊκοί σπασμοί, πτώση αρτηριακής πίεσης, αναπνευστική ανεπάρκεια –Θανατηφόρος δόση)
  • 16.
    Κίνδυνος φθορίασης  Κάτωτων 4 ετών και ειδικά 15 – 30 μηνών «παράθυρο ευαισθησίας» , όσον αφορά μόνιμους τομείς και πρώτους μόνιμους γομφίους 4 – 6 ετών περίοδος ενασβεστίωσης και ωρίμανσης προγομφίων και δεύτερων μόνιμων γομφίων – όχι αισθητικό πρόβλημα 6 ετών και άνω, ο κίνδυνος είναι αμελητέος
  • 18.
    Διατροφή  -Διακοπή μπιμπερό!!!  Έλεγχος ζαχαρούχων ποτών και τροφών  Μείωση της συχνότητας λήψης τροφής να κρατούνται τα κυρίως γεύματα και 2 μεσογεύματα
  • 19.
    Πρώτη σχολική ηλικία6-10 ετών  Αρχίζει αλλαγή των τομέων και η ανατολή των πρώτων μόνιμων γομφίων (μεικτή οδοντοφυΐα)  Παρατηρούμε η αλλαγή δοντιών να γίνεται με τη σωστή σειρά και στη σωστή θέση  Μπορεί να χρειαστεί πρώιμη ορθοδοντική θεραπεία, για να αποφευχθούν πιο δύσκολες και πολύπλοκες εργασίες αργότερα  Διατήρηση νεογιλών δοντιών στον οδοντικό φραγμό μέχρι τη φυσιολογική τους απόπτωση
  • 35.
    Προληπτικά μέτρα -Καλύψεις οπών και σχισμών (ΚΟΣ)  (Προληπτικές εμφράξεις, προστατευτικά, αποφράξεις οπών και σχισμών, sealants)  Οι μασητικές επιφάνειες των οπισθίων δοντιών ευνοούν την κατακράτηση τροφών και μικροβίων και συχνά τερηδονίζονται αμέσως μετά την ανατολή τους.  Έρευνα της Ελληνικής Οδοντιατρικής Ομοσπονδίας έδειξε ότι σε παιδιά ηλικίας 12 ετών το 83% των τερηδονισμένων επιφανειών παρατηρείται στις μασητικές επιφάνειες (Ουλής Κ.Ι. συν. Ελληνικά Στοματολογικά Χρονικά 2009’ 53(3)΄97-120)  Επίσης και μετά από παρακολούθηση έως 10 - 15 έτη, μόνο το 30 -40% των δοντιών με κάλυψη είχαν μασητικές αποκαταστάσεις, σε σχέση με 60 -80% των δοντιών χωρίς καλύψεις.  Μελέτες έχουν δείξει μείωση της τερηδόνας ,μετά την τοποθέτηση ΚΟΣ, 85 -37 % μετά από 2 – 6 έτη  οι προληπτικές καλύψεις θα πρέπει να εφαρμόζονται ανάλογα με τον βαθμό κινδύνου ανάπτυξης τερηδόνας των ατόμων, ή των επιφανειών επιλεκτικά και εξατομηκευμένα
  • 37.
     Οι καλύψειςοπών και σχισμών είναι εύκολες στην τεχνική αλλά και ευαίσθητες.  Καλή απομόνωση δοντιού, χημική επεξεργασία (αδροποίηση) και συγκόλληση ενός ρητινώδους υλικού.  Ακόμα και αυτή η διαδικασία μπορεί να μην είναι εφικτή σε κάποια παιδιά
  • 39.
    Μόνιμη οδοντοφυΐα 10+ ετών  Παρακολουθούμε την ολοκλήρωση αλλαγής δοντιών  Ελέγχονται ορθοδοντικές ανωμαλίες  Θεραπευτική αντιμετώπιση μονίμων δοντιών  Καλό προληπτικό πρόγραμμα, εξατομηκευμένο
  • 43.
    Επανεξετάσεις στο οδοντιατρείο Παιδιάκαι έφηβοι με χαμηλή ευαισθησία στην τερηδόνα συνιστώνται διαστήματα επανεξετάσεων 12 μηνών  Άτομα με μέση ή υψηλή ευαισθησία προτείνονται διαστήματα 6 μηνών ή και λιγότερο
  • 44.
    Ανωμαλίες διάπλασης τηςαδαμαντίνης  Παθογεvνετικά διακρίνονται δύο μορφές υποπλασία – μια ποσοτική ανωμαλία της αδαμαντίνης, εντοπισμένη ή γενικευμένη μείωση του πάχους που οφείλεται σε διαταραχές στην εκκριτική φάση  Υπενασβεστίωση – διαταραχές κατά το στάδιο της ενασβεστίωσης, έτσι τμήματα της αδαμαντίνης αποσπώνται γρήγορα
  • 45.
    Σύμφωνα με τουςJorgenson και Yost οι ανωμαλίες διάπλασης της αδαμαντίνης μπορούν να διακριθούν σε δύο κατηγορίες από άποψης αιτιολογίας, σ’ αυτές που οφείλονται σε κληρονομικούς παράγοντες και σ’ αυτές που σχετίζονται με περιβαλλοντικούς παράγοντες
  • 46.
    Κληρονομικοί παράγοντες - Οικληρονομικές μορφές των ανωμαλιών της αδαμαντίνης χαρακτηρίζονται από υψηλή γονιδιακή αλλά και κλινική ετερογένεια - Προσβάλουν όλα, ή σχεδόν όλα τα δόντια της νεογιλής και μόνιμης οδοντοφυΐας - Συχνότητα εμφάνισης είναι 1/700 -1/1400
  • 47.
    Περιβαλλοντικοί παράγοντες  Παράγοντεςπου έχουν να κάνουν με τη γενικότερη υγεία του παιδιού –συστεμικοί παράγοντες  Τοπικοί παράγοντες όπως το τραύμα, η χρόνια φλεγμονή
  • 48.
    Παθολογικές καταστάσεις που ενοχοποιούνται περισσότερο είναι οι λοιμώξεις του ανώτερου αναπνευστικού συστήματος, βρογχίτιδες, άσθμα, μέσες ωτίτιδες, αμυγδαλίτιδες και γενικά εμπύρετες νόσοι.  Μελέτη των Amerongen και συν έδειξαν ότι το 67% των παιδιών που είχαν υπενασβστιωμένους τομείς και μόνιμους γομφίους, εμφάνιζαν ιστορικό πολλαπλών επεισοδίων λοιμώξεων του αναπνευστικού.  Φαρμακευτική αγωγή – αντιβιοτικά, κορτικοστεροειδή – προκαλούν τις βλάβες ή η ίδια η νόσος?
  • 49.
    Διατροφικές ανεπάρκειες έλλειψη βιτ Α, C, D, ασβεστίου και φωσφόρου στη δίαιτα του βρέφους  Συστεμικές παθολογικές καταστάσεις, όπως εγκεφαλικές και νευρολογικές διαταραχές, επιληψία, εξανθηματικές νόσοι, κυστική ίνωση, νεφρωτικό σύνδρομο, γαστρεντερικές παθήσεις  Πρόωρη γέννα και το μικρό σωματικό βάρος  περιγεννετικές επιπλοκές και η Καισαρική τομή
  • 50.
    Υπενασβεστίωση γομφίων καιτομέων  Επιπολασμός 4 - 25% ανάλογα με τον πληθυσμό που εξετάζεται  Ο αριθμός των δοντιών ποικίλει από ένα έως τέσσερα  Ο βαθμός προσβολής ποικίλει από ελαφρώς έως βαριά
  • 55.
    Τοπικοί παράγοντες  Οδοντοφατνιακή λοίμωξη. Η μικροβιακής αιτιολογίας φλεγμονή, διαχέεται μέσω του οστού, στο σπέρμα του μόνιμου δοντιού, προσβάλλοντας το αδαμαντινικό επιθήλιο  Χρόνια αποστήματα νεογιλών γομφίων προκαλούν βλάβη στους μόνιμους προγόμφιους – συχνότητα 20- 25%
  • 56.
    Οδοντικό τραύμα σταπρόσθια δόντια  Όσο μικρότερο το παιδί, τόσο οι πιθανότητες για βλάβη στο σπέρμα του μόνιμου δοντιού είναι μεγαλύτερες  Συχνότερα σε εμβυθίσεις, ολικές εκγομφώσεις.