Nuclear Medicine in thyroid imaging
and therapy
What is Nuclear Medicine?
Branch of Medicine in which patients are
given radioactive substances (to be taken
internally) either to diagnose or to treat a
disease.
Differs from traditional radiology or
radiotherapy techniques, where radiation is
normally applied from an external source.
Nuclear Medicine techniques provide this functional information
that can be vital in early diagnosis and can help in appropriate
management
Nuclear medicine: FUNCTIONAL
IMAGING
Most other imaging modalities:
STRUCTURAL OR ANATOMICAL
IMAGING
Nuclear medicine images can be
superimposed on images from
modalities such as CT or MRI to
highlight which part of the body the
radiopharmaceutical is concentrated
in: IMAGE FUSION OR
COREGISTRATION
MOLECULAR AND MORPHOLOGIC IMAGING
Normal thyroid
Isotopes in Thyroidology
 DIAGNOSTIC ROLE:
In-Vivo imaging: Pre and post operative scans
In-Vitro tests: Hormone assays
 THERAPEAUTIC ROLE
Types Of Scans in Thyroidology
1. MORPHOLOGICAL SCAN:99TcO4(pertechnetate
scan): assess size, shape and nature of nodule
2. METABOLIC SCAN: Radioiodine scan(131/123),
18 FDG PET scan
3.RECEPTOR SCAN: 131/123-MIBG scan
4.NON-SPECIFIC SCAN: Thallium scan, DMSA(V)scan,
Sestamibi scan
5.FUSION IMAGING: CT & Isotope scan FUSED image
Routine Thyroid Scan
 99mTcO4(pertechnetate scan):
- 6hours half-life & hence less radiation dose,
ideal for all age group
- isotope is trapped by thyrocytes and is NOT
further organified
- is ideal for assessing size,shape and nature
of nodule.
INDICATIONS IN THYROIDOLOGY
 SOLITARY THYROID NODULE
 THYROTOXICOSIS--- Graves’ vs Thyroiditis
 ECTOPICTHYROID
 AGENESIS OFTHYROID
 THYROID CANCER FOLLOWUP
 RETROSTERNAL GOITRE
THYROIDITIS vs THYROTOXICOSIS
Hot nodule (AFTN)
Cold
nodule
Normal thyroid scan
•Colloid nodules may be either mono or polyclonal
•THUS TUMORS REPRESENT THE PERSISTENT GROWTH OF THE
PROGENY OF ONE CELL THAT HAS SOMEHOW ESCAPED THE
MECHANISMS WHICH MAINTAIN THE NORMAL CELL DIVISION AT
ABOUT ONCE IN EACH 8.5 YEARS
Tc-99m scanI-131 scan
Adult female with
dysphagia: I-123 scan
An enlarged thyroid
(thyromegaly) is often
discovered on chest
radiography.
Ectopic thyroid
Radio-iodine scan(I-131/I-123)
 Invented by Prof.Robley Evans from MIT
 First isotope used for imaging in humans
 Chemically analogous to stable iodine which
is preferentially handled by thyroid & hence
called “metabolic scan”
Isotope is trapped by thyrocytes (Na I Symporter or NIS) and further undergoes
organification into MIT,DIT and thyroxine formation. Hence uptake indicates the
function of thyrocytes.
Normal NIS protein expression is limited to basolateral membrane in a small % of
thyroid follicular cells at any one time
Radio-iodine: Mechanism of
uptake
I-131
 I-131 has 8 days half life
& both beta and gamma
radiations—hence more
radiation to thyroid
than fromTcO4 scan
•Scan has to be done after 48hours of isotope
administration whereas Tc scan is done30min after
isotope(one visit)
•Not ideal for children
•Ideal for ectopic thyroid scanning, functional
assessment, thyroid cancer
I-123
 Expensive isotope, Not available in India
 Has 100 min half life,only gamma radiation &
hence better than both 131-I &Tc scans
 Trapping and organification of iodine by
thyrocyte provides a unique opportunity for
“internal selective radiotherapy” in context of
“metabolic radionuclide therapy” with low dose to
other organs
I-131
Radioactive iodine (RAI) therapy
for Benign thyroid diseases
 RAI (I-131) therapy has been used for over 50 years
 Graves’ disease
 Solitary hyperfunctioning nodule
 Toxic MNG
 RAI may also benefit pts. of subclinical hyperthyroidism
particularly patients at a risk for cardiac or systemic
complications
 RAI treatment leads to long standing reduction in
thyroid function and thyroid volume and has been
aptly termed as “unbloody thyroid surgery”
Mechanism of action of I-131
• RAI with I-131 relies on emission of high energy
beta particles to cause damage to thyroid gland
tissue  local inflammation & fibrosis 
reduction of synthetic capacity of the thyroid
gland.
• For this therapy to be effective thyroid tissue must
accumulate and retain iodine long enough for
adequate amounts of radiation to be delivered
Contraindications to I-131
RAI has no role for treatment of hyperthyroid
conditions that are self limited or when thyroid
tissue is not hyperfunctioning
Silent, subacute & postpartum thyroiditis in
addition to factitious thyroid disease
Pregnancy and lactation: Absolute C/I
What dose of radioiodine is
used?
• Dosimeteric approach
• Emperical treatment
Regardless of method for dose selection routine
RAIU is useful for confirming hyperfunctioning
gland prior to therapy.
RAIU can also help exclude a hyperfunctioning
gland with blocked uptake
Factors affecting the dose
given
• Gland size
• Maximal uptake
• Biological/ effective half life of I-131
RAI therapy: Concepts
• 80-200 microcurie per gram of thyroid tissue
assuming a biological half life of 4-6 days delivers a
dose of 50 to 100 Gray to thyroid
• Higher dose required for retreatment (typically 3 to
6 months after initial treatment)
• Previous RAI tr failure does not lessen the chance of
successful retreatment
• Treatment based on calculations appear efficacious
but have not been proven superior to empirical
treatment
RAI therapy: Concepts
• Capsule vs Liquid formulations (I-131)
• Liquid formulations require extra measures
to minimize radiation contamination at the
time of administration
• Equivalent in efficacy
Portable
ionosation
chamber based
radiation
survey meter
Fumehood
Treatment outcome
• Expected response rate in about 80% pt.
• 20-40% pt. hypo 1 year after RAI
Side effects: Mild, infrequent and self limiting; thyroid
tenderness salivary gland swelling and nausea
Radioiodine treatment of thyroid
cancer
A New Dimension………
 Keston et al in 1942 :
Demonstrated
concentration of I-131
in theThyroid Cancer
Guidelines in literature
•American Association of Clinical
Endocrinologists
•American Association of Endocrine
Surgeons
•British Thyroid Association
•Royal College of Physicians
•National Comprehensive Cancer
Network
Problems in guidelines…?
•Provide conflicting recommendations
because of lack of high quality evidence from
Randomized Control Trials
•‘American Thyroid Association guidelines’
–For management of patients of thyroid nodules
and carcinoma
–Used strategy similar to NIH
–Thyroid Vol. 16 No.2, 2006
•Most predictive factors:
Presence of distant mets.,
Age
Extent of tumor
Differentiated Thyroid Cancer
Ref: AJCC Cancer staging manual 6th
edition (2002)
Radioiodine ablation recommended for pt. with:
Stage III & IV dis.
Stage II, >= 45 yr
Stage I (selected pt.): Multifocal, nodal mets,
aggressive histopath, ETE, vasc. Inv.
No uptake
No treatment**
F/U after 6 months
**Provided that
1Iodide interference is
ruled out
2Histopathology not
aggressive (follicular
carcinoma, aggressive
variants papillary
carcinoma)
Remnant thyroidal bed uptake
Treat
F/U after 6 months for large
dose scan with 3-5 mCi of I-
131
•Off Eltroxin 4-6 Weeks
•TSH, Tg, Sr. Ca, US neck
•Chest and neck X-ray
No abnormal uptake
F/U after 1 yr on Eltroxin
•Tg and USG neck
RMC Protocol following total thyroidectomy
100uCi I-131 uptake and scan with radioiodine With metastasis
Treat
F/U after 6 months for
large dose scan with 3-5
mCi of I-131
•Off Eltroxin 4-6 Weeks
•TSH, Tg, Sr. Carcinoma
•Chest and neck X-ray
Abnormal concentration
Treat
F/U after 1 year for large
dose scan
•Off Eltroxin
•TSH, Tg, Sr. Ca
•Chest and neck X-ray
Off thyroxine for 4-6 wks, No iodine containing drugs, food, Measure TSH & Tg,
Chest & neck X-ray, pathology review.
rhTSH protocol Cornell Medical Centre NY USA
Post-operative Radio-iodine
Scan
 To determine residual thyroid tissue
 To determine metastatic disease
 To determine the suitability for Radio-
iodine therapy
C/o PTC post
total
thyroidectomy
Radioiodine
(I-131) scan
Radioiodine treatment
•Outcome of I-131 therapy: Related to the
effective radiation dose delivered to thyroid
cancer tissue
•Most of the radiation dose is delivered by
beta particles that do not penetrate deep
into the tissue (2 mm in depth at the most)
Radioiodine therapy
•Emperical therapy
•Dosimetric approach
In pts in whom RRA is planned there has been a trend
towards reduction in dose of I-131 administered: 30-50
mCi in present decade as compared to 150-250 mCi
with no difference in therapy outcome. As a result there
has been lesser undesirable radiation exposure and
reduction in stay in the isolation ward
Radioiodine therapy is unique
since it requires attention to
radiation safety procedures
necessitating hospitalization and
isolation of patient in radiation
ward
Patient is discharged when whole body retention of radioactivity is
less than 555 MBq (AERB) a limit ensured and established by patient
monitoring using a portable ionization chamber based radiation
survey meter
I 131 scan
Initial scan
following surgery
Follow up scan following residual
remnant ablation (RRA)
No clinical evidence of tumor
No imaging evidence of tumor (no uptake outside
thyroid bed on initial post treatment scan, on a
recent diag. scan, or neck US)
Undetectable serum TG (tumor marker)
87% vs 49% after 10 years Thyroid cancer related survival
93% vs 78% after 10 years
Comparison of cumulative deaths in in pts with PCT: Surgery alone vs
Surgery and thyroid hormone vs thyroidectomy and RRA
Two negative annual successive
whole body scans have very
good predictive value for a lack
of future recurrence
Follow up strategy (post
surgery & RRA)
CARCINOMA THYROID WITH EXTENSIVE METS
Gaurav Malhotra et.al. Metastatic parotid tumor: A rare presentation for
papillary carcinoma of thyroid. Clin Nucl Med. 2007 Jun;32(6):488-90.
52 yr male a known case of follicular carcinoma of thyroid was
administered 182 mCi of radioiodine a month after total
thyroidectomy.
Post therapy scan: Radioiodine uptake in apex of left lung
CT guided biopsy of mass revealed mucinous BAC. Surgery was ruled out so he was
given chemotherapy without benefit. Since the lesion continued to show I-131 uptake a
high dose radioiodine therapy was given with 209 mCi I-131. Follow up CT scan
showed 1 cm all round reduction of the mass suggesting a possibility of this therapeutic
option in non thyroidal tumors that may concentrate radioiodine
30 yr male underwent total
thyroidectomy followed by RAI
therapy for PTC.
Presented 2 decades later with
LBA. MRI s/o multiple vertebral
mets. WB RAI scan showed
extensive mets and suspicious
abdominal foci.
CT guided biopsy from left adrenal focus confirmed
metastasis from carcinoma of thyroid.
Metastases to both renal and adrenal have been
rarely reported from carcinoma of thyroid and to the
best of our knowledge this the second such case.
Pertinent questions
1. Multicentre retrospective cohort study examined
cancer mortality in >35,000 patients after 3
treatment modalities for hyperthyroidism: Total
cancer deaths not increased for this group. RAI not
associated with excess total cancer deaths
2. Incidence of thyroid ca in RAI treated patients
over 27 year period was not significantly
different from general population incidence
Does radioiodine treatment cause cancer?
Pertinent questions
• I-131 delivers a dose of 0.01-0.03 Gy to ovaries
mostly from excreted iodine in bladder
• No adverse outcome in subsequent pregnancies
has been seen
• Avoid pregnancy for atleast 6 months following
therapy
Does radioiodine treatment have adverse genetic
effects on offsprings?
Pertinent questions
• Sleep alone for a few days
• >3 feet distance from others in first 72 hrs
• Avoid contact with children and pregnant
women
• Hydration/ toilet/ Clothes/ utensils
What precautions does the patient have to follow
after receiving RAI?
Pertinent questions
• What is the best time to assess the response of RAI
therapy?
•For thyrotoxicosis pts: Assessment of treatment
response is more reliable at 12 to 14 weeks of
therapy although it may be possible to identify
non-optimal responder at 6 to 8 weeks
Thyroid cancer with all its
peculiarities in biological and
histological criteria should be
treated as any other cancer: get rid
of the tumor and do everything to
avoid recurrence or mets; treat
mets as well and as long as you can
"Anyone who stops learning is old,
whether at 20 or 80.
Anyone who keeps learning stays young.
The greatest thing in life is
to keep your mind young„
Henry Ford
THANK YOU

Nuclear Medicine in Thyroidology

  • 1.
    Nuclear Medicine inthyroid imaging and therapy
  • 2.
    What is NuclearMedicine? Branch of Medicine in which patients are given radioactive substances (to be taken internally) either to diagnose or to treat a disease. Differs from traditional radiology or radiotherapy techniques, where radiation is normally applied from an external source.
  • 3.
    Nuclear Medicine techniquesprovide this functional information that can be vital in early diagnosis and can help in appropriate management
  • 4.
    Nuclear medicine: FUNCTIONAL IMAGING Mostother imaging modalities: STRUCTURAL OR ANATOMICAL IMAGING Nuclear medicine images can be superimposed on images from modalities such as CT or MRI to highlight which part of the body the radiopharmaceutical is concentrated in: IMAGE FUSION OR COREGISTRATION
  • 5.
  • 7.
  • 8.
    Isotopes in Thyroidology DIAGNOSTIC ROLE: In-Vivo imaging: Pre and post operative scans In-Vitro tests: Hormone assays  THERAPEAUTIC ROLE
  • 9.
    Types Of Scansin Thyroidology 1. MORPHOLOGICAL SCAN:99TcO4(pertechnetate scan): assess size, shape and nature of nodule 2. METABOLIC SCAN: Radioiodine scan(131/123), 18 FDG PET scan 3.RECEPTOR SCAN: 131/123-MIBG scan 4.NON-SPECIFIC SCAN: Thallium scan, DMSA(V)scan, Sestamibi scan 5.FUSION IMAGING: CT & Isotope scan FUSED image
  • 10.
    Routine Thyroid Scan 99mTcO4(pertechnetate scan): - 6hours half-life & hence less radiation dose, ideal for all age group - isotope is trapped by thyrocytes and is NOT further organified - is ideal for assessing size,shape and nature of nodule.
  • 11.
    INDICATIONS IN THYROIDOLOGY SOLITARY THYROID NODULE  THYROTOXICOSIS--- Graves’ vs Thyroiditis  ECTOPICTHYROID  AGENESIS OFTHYROID  THYROID CANCER FOLLOWUP  RETROSTERNAL GOITRE
  • 12.
  • 14.
  • 15.
    •Colloid nodules maybe either mono or polyclonal •THUS TUMORS REPRESENT THE PERSISTENT GROWTH OF THE PROGENY OF ONE CELL THAT HAS SOMEHOW ESCAPED THE MECHANISMS WHICH MAINTAIN THE NORMAL CELL DIVISION AT ABOUT ONCE IN EACH 8.5 YEARS Tc-99m scanI-131 scan
  • 16.
    Adult female with dysphagia:I-123 scan An enlarged thyroid (thyromegaly) is often discovered on chest radiography.
  • 17.
  • 18.
    Radio-iodine scan(I-131/I-123)  Inventedby Prof.Robley Evans from MIT  First isotope used for imaging in humans  Chemically analogous to stable iodine which is preferentially handled by thyroid & hence called “metabolic scan”
  • 19.
    Isotope is trappedby thyrocytes (Na I Symporter or NIS) and further undergoes organification into MIT,DIT and thyroxine formation. Hence uptake indicates the function of thyrocytes. Normal NIS protein expression is limited to basolateral membrane in a small % of thyroid follicular cells at any one time Radio-iodine: Mechanism of uptake
  • 20.
    I-131  I-131 has8 days half life & both beta and gamma radiations—hence more radiation to thyroid than fromTcO4 scan •Scan has to be done after 48hours of isotope administration whereas Tc scan is done30min after isotope(one visit) •Not ideal for children •Ideal for ectopic thyroid scanning, functional assessment, thyroid cancer
  • 21.
    I-123  Expensive isotope,Not available in India  Has 100 min half life,only gamma radiation & hence better than both 131-I &Tc scans  Trapping and organification of iodine by thyrocyte provides a unique opportunity for “internal selective radiotherapy” in context of “metabolic radionuclide therapy” with low dose to other organs I-131
  • 22.
    Radioactive iodine (RAI)therapy for Benign thyroid diseases  RAI (I-131) therapy has been used for over 50 years  Graves’ disease  Solitary hyperfunctioning nodule  Toxic MNG  RAI may also benefit pts. of subclinical hyperthyroidism particularly patients at a risk for cardiac or systemic complications  RAI treatment leads to long standing reduction in thyroid function and thyroid volume and has been aptly termed as “unbloody thyroid surgery”
  • 23.
    Mechanism of actionof I-131 • RAI with I-131 relies on emission of high energy beta particles to cause damage to thyroid gland tissue  local inflammation & fibrosis  reduction of synthetic capacity of the thyroid gland. • For this therapy to be effective thyroid tissue must accumulate and retain iodine long enough for adequate amounts of radiation to be delivered
  • 24.
    Contraindications to I-131 RAIhas no role for treatment of hyperthyroid conditions that are self limited or when thyroid tissue is not hyperfunctioning Silent, subacute & postpartum thyroiditis in addition to factitious thyroid disease Pregnancy and lactation: Absolute C/I
  • 25.
    What dose ofradioiodine is used? • Dosimeteric approach • Emperical treatment Regardless of method for dose selection routine RAIU is useful for confirming hyperfunctioning gland prior to therapy. RAIU can also help exclude a hyperfunctioning gland with blocked uptake
  • 26.
    Factors affecting thedose given • Gland size • Maximal uptake • Biological/ effective half life of I-131
  • 27.
    RAI therapy: Concepts •80-200 microcurie per gram of thyroid tissue assuming a biological half life of 4-6 days delivers a dose of 50 to 100 Gray to thyroid • Higher dose required for retreatment (typically 3 to 6 months after initial treatment) • Previous RAI tr failure does not lessen the chance of successful retreatment • Treatment based on calculations appear efficacious but have not been proven superior to empirical treatment
  • 28.
    RAI therapy: Concepts •Capsule vs Liquid formulations (I-131) • Liquid formulations require extra measures to minimize radiation contamination at the time of administration • Equivalent in efficacy
  • 30.
  • 32.
    Treatment outcome • Expectedresponse rate in about 80% pt. • 20-40% pt. hypo 1 year after RAI Side effects: Mild, infrequent and self limiting; thyroid tenderness salivary gland swelling and nausea
  • 33.
  • 34.
    A New Dimension……… Keston et al in 1942 : Demonstrated concentration of I-131 in theThyroid Cancer
  • 35.
    Guidelines in literature •AmericanAssociation of Clinical Endocrinologists •American Association of Endocrine Surgeons •British Thyroid Association •Royal College of Physicians •National Comprehensive Cancer Network
  • 36.
    Problems in guidelines…? •Provideconflicting recommendations because of lack of high quality evidence from Randomized Control Trials •‘American Thyroid Association guidelines’ –For management of patients of thyroid nodules and carcinoma –Used strategy similar to NIH –Thyroid Vol. 16 No.2, 2006
  • 38.
    •Most predictive factors: Presenceof distant mets., Age Extent of tumor Differentiated Thyroid Cancer
  • 39.
    Ref: AJCC Cancerstaging manual 6th edition (2002) Radioiodine ablation recommended for pt. with: Stage III & IV dis. Stage II, >= 45 yr Stage I (selected pt.): Multifocal, nodal mets, aggressive histopath, ETE, vasc. Inv.
  • 41.
    No uptake No treatment** F/Uafter 6 months **Provided that 1Iodide interference is ruled out 2Histopathology not aggressive (follicular carcinoma, aggressive variants papillary carcinoma) Remnant thyroidal bed uptake Treat F/U after 6 months for large dose scan with 3-5 mCi of I- 131 •Off Eltroxin 4-6 Weeks •TSH, Tg, Sr. Ca, US neck •Chest and neck X-ray No abnormal uptake F/U after 1 yr on Eltroxin •Tg and USG neck RMC Protocol following total thyroidectomy 100uCi I-131 uptake and scan with radioiodine With metastasis Treat F/U after 6 months for large dose scan with 3-5 mCi of I-131 •Off Eltroxin 4-6 Weeks •TSH, Tg, Sr. Carcinoma •Chest and neck X-ray Abnormal concentration Treat F/U after 1 year for large dose scan •Off Eltroxin •TSH, Tg, Sr. Ca •Chest and neck X-ray Off thyroxine for 4-6 wks, No iodine containing drugs, food, Measure TSH & Tg, Chest & neck X-ray, pathology review.
  • 42.
    rhTSH protocol CornellMedical Centre NY USA
  • 43.
    Post-operative Radio-iodine Scan  Todetermine residual thyroid tissue  To determine metastatic disease  To determine the suitability for Radio- iodine therapy
  • 44.
  • 45.
    Radioiodine treatment •Outcome ofI-131 therapy: Related to the effective radiation dose delivered to thyroid cancer tissue •Most of the radiation dose is delivered by beta particles that do not penetrate deep into the tissue (2 mm in depth at the most)
  • 46.
    Radioiodine therapy •Emperical therapy •Dosimetricapproach In pts in whom RRA is planned there has been a trend towards reduction in dose of I-131 administered: 30-50 mCi in present decade as compared to 150-250 mCi with no difference in therapy outcome. As a result there has been lesser undesirable radiation exposure and reduction in stay in the isolation ward
  • 47.
    Radioiodine therapy isunique since it requires attention to radiation safety procedures necessitating hospitalization and isolation of patient in radiation ward
  • 48.
    Patient is dischargedwhen whole body retention of radioactivity is less than 555 MBq (AERB) a limit ensured and established by patient monitoring using a portable ionization chamber based radiation survey meter
  • 49.
    I 131 scan Initialscan following surgery Follow up scan following residual remnant ablation (RRA) No clinical evidence of tumor No imaging evidence of tumor (no uptake outside thyroid bed on initial post treatment scan, on a recent diag. scan, or neck US) Undetectable serum TG (tumor marker)
  • 50.
    87% vs 49%after 10 years Thyroid cancer related survival 93% vs 78% after 10 years
  • 51.
    Comparison of cumulativedeaths in in pts with PCT: Surgery alone vs Surgery and thyroid hormone vs thyroidectomy and RRA
  • 52.
    Two negative annualsuccessive whole body scans have very good predictive value for a lack of future recurrence Follow up strategy (post surgery & RRA)
  • 53.
    CARCINOMA THYROID WITHEXTENSIVE METS Gaurav Malhotra et.al. Metastatic parotid tumor: A rare presentation for papillary carcinoma of thyroid. Clin Nucl Med. 2007 Jun;32(6):488-90.
  • 54.
    52 yr malea known case of follicular carcinoma of thyroid was administered 182 mCi of radioiodine a month after total thyroidectomy. Post therapy scan: Radioiodine uptake in apex of left lung
  • 55.
    CT guided biopsyof mass revealed mucinous BAC. Surgery was ruled out so he was given chemotherapy without benefit. Since the lesion continued to show I-131 uptake a high dose radioiodine therapy was given with 209 mCi I-131. Follow up CT scan showed 1 cm all round reduction of the mass suggesting a possibility of this therapeutic option in non thyroidal tumors that may concentrate radioiodine
  • 56.
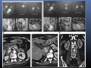
    30 yr maleunderwent total thyroidectomy followed by RAI therapy for PTC. Presented 2 decades later with LBA. MRI s/o multiple vertebral mets. WB RAI scan showed extensive mets and suspicious abdominal foci.
  • 58.
    CT guided biopsyfrom left adrenal focus confirmed metastasis from carcinoma of thyroid. Metastases to both renal and adrenal have been rarely reported from carcinoma of thyroid and to the best of our knowledge this the second such case.
  • 59.
    Pertinent questions 1. Multicentreretrospective cohort study examined cancer mortality in >35,000 patients after 3 treatment modalities for hyperthyroidism: Total cancer deaths not increased for this group. RAI not associated with excess total cancer deaths 2. Incidence of thyroid ca in RAI treated patients over 27 year period was not significantly different from general population incidence Does radioiodine treatment cause cancer?
  • 60.
    Pertinent questions • I-131delivers a dose of 0.01-0.03 Gy to ovaries mostly from excreted iodine in bladder • No adverse outcome in subsequent pregnancies has been seen • Avoid pregnancy for atleast 6 months following therapy Does radioiodine treatment have adverse genetic effects on offsprings?
  • 61.
    Pertinent questions • Sleepalone for a few days • >3 feet distance from others in first 72 hrs • Avoid contact with children and pregnant women • Hydration/ toilet/ Clothes/ utensils What precautions does the patient have to follow after receiving RAI?
  • 62.
    Pertinent questions • Whatis the best time to assess the response of RAI therapy? •For thyrotoxicosis pts: Assessment of treatment response is more reliable at 12 to 14 weeks of therapy although it may be possible to identify non-optimal responder at 6 to 8 weeks
  • 63.
    Thyroid cancer withall its peculiarities in biological and histological criteria should be treated as any other cancer: get rid of the tumor and do everything to avoid recurrence or mets; treat mets as well and as long as you can
  • 64.
    "Anyone who stopslearning is old, whether at 20 or 80. Anyone who keeps learning stays young. The greatest thing in life is to keep your mind young„ Henry Ford
  • 65.