Nervous System
Presented by:
Mr.Manthan Kapadiya,
Assistant Professor
NCN,Visnagar
INTRODUCTION
Master system of the body
Functions:
1. Reception
2. Integration
3. Response
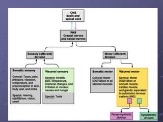
Subdivision of the nervous system
Anatomical subdivision:
1. Central nervous system(CNS)
brain and spinal cord
 Integration, processing and coordination of
sensory data and motor commands
 Higher functions
2. Peripheral nervous system (PNS)
a. Cerebrospinal nervous system
12 pairs of cranial nerves
31 pairs of spinal nerves
b. Autonomic nervous system
Cellular Organization of Neural
Tissue
Two cell types:
1. Neurons
“Excitable” cells
2. Neuroglia (mostly not excitable)
 Astrocytes
 Oligodendrocytes
 Microglial cells
 Ependymal cells
 Schwann cells
 Satellite cells
Neuron
 “Excitable” cells
 Structural & functional unit
of the nervous system.
 100 billion
Properties : excitability &
conductivity
Highly differentiated cell &
lost their power of division
EXCEPT olfactory
Typical Neuron Structure
Cell body or Soma or Perikaryon
Dendrites
Axon with axon hillock
Synaptic terminals
Cell body = Soma = Perikaryon
Classification of Neuron
1. According to numbers of
processes:
Unipolar neuron :
mesencephalic nucleus
Pseudounipolar neurons :
sensory & spinal ganglia
Bipolar neuron :
vestibulocochlear ganglia,
bipolar neuron of retina
Multipolar neuron : neurons in
cerebrum & cerebellum
2. According to relative length of axons &
dendrites
• Golgi type I neuron : long axon
• Golgi type II neuron : short axon or
no axon
3. Functional Classification
1. Sensory (Afferent)
1. Somatic
2. Visceral
2. Motor (Efferent)
A. .
1) Somatic
2) Visceral
B. .
1. Upper motor
2. Lower motor
C. .
1. Preganglionic
2. Postganglionic
3) Interneurons
4. According to shape of the cell body
• Pyramidal cell
• Pyriform cell
Interesting facts
LONGEST NEURON :
 sensory neurons of S1 (1st sacral spinal nerve )
NEURON WITH MANY NEUTRITES BUT NO AXON
Amacrine Neurones Of Retina
NEURON WITH NO PROCESS
Para Neurons Of Adrenal Medulla
Neuron Organization
Divergence - One neuron synapses with several,
effectively "spreading the word".
Convergence - Several neurons synapse with a
single neuron, concentrating the input.
Serial processing - step-wise, sequential
Parallel processing - simultaneous processing of
different information
Neuroglia (Glue)
Structural & functional
support to the neuron.
5-10 times more than
neuron
All the neuroglia
develop from
neuroectoderm except
microglia (mesoderm)
Classification of neuroglia
Neuroglia in CNS
1. Astrocytes
2. Oligodendrocyte
3. Ependymal cells
4. Microglia
Neuroglia in PNS
1. Schwann cell or Neurolemmocytes
2. Satellite cells
Macroglia
Astrocytes: largest & most numerous
• Blood –brain barrier (BBB)
• Structural framework & repairs
• Regulation of ions, and nutrients,
to maintain metabolic
environment for the neuron
• Protoplasmic astrocyte
• Fibrous astrocyte
Blood Brain Barrier
Barrier
 Endothelium of Capillary
 Basement Membrane
 Foot process of Astrocyte
Areas in brain don’t have
BBB
 portion of hypothalamus
 pineal gland
 Pituitary
 Area Postrema
 choroid plexus
Oligodendrocyte
Smaller than astrocyte
Form myelin sheath around the fibers in CNS
Myelin improves the rate of impulse conduction by
acting as insulator.
Microglial cells
Smallest
Phagocytosis
 during infection or
injury
Derived from mesoderm
Ependymal cells
Lining of ventricles & central canal of
spinal cord
Some specialized to produce and monitor
CSF
Schwann Cells:(neurilemmocytes)
myelinated
Surround all peripheral
axons!
Responsible for myelination
of PNS
Involved in repair
mechanism after injury
Wallerian Degeneration
Neurilemma (Schwann sheath)
Schwann Cells in the PNS
Myelinated Nonmyelinated
Nerve fibres
Myelinated nerve fibers
Nonmyelinated nerve fibers
Myelination in CNS is by oligodendrocyte
Myelination in PNS is by Schwan cell
Satellite cells:
surround the autonomic and sensory
ganglia to provide support & nutrition
Functions of neuroglia
Structural & functional support to the neuron.
Blood- brain barrier.
Phagocytosis
Formation of myelin sheath.
Produce CSF.
Some Terminology
Collections of cell bodies –
ganglion in PNS
nucleus in CNS
Pseudoganglion
Bundles of axons –
tracts in CNS
nerves in PNS
“White matter” = myelinated axons, both nerves and tracts
“Gray matter” = non-myelinated material, dendrites, synapses
and cell bodies as well as nonmyelinated axons
Ganglion
Collections of nerve cell bodies
outside the CNS is called ganglion
1.cerebrospinal ganglia
2. autonomic ganglia
• sympathetic ganglia lie away from viscera they
supply
• Parasympathetic ganglia lie near the viscera
they supply
Central Nervous System
CNS
Brain
Spinal Cord
Subdivisions of Brain
1. Brain Stem
a. Midbrain
b. Pons
c. Medulla oblongata
2. Cerebellum
3. Diencephalon
Thalamus and
Hypothalamus
4. Cerebral Hemispheres
• Resides inside vertebral canal
• Extends to L1
• 31 segments, each associated
with a pair of dorsal root
ganglia
• Two enlargements
• Cervical and Lumbar
• Conus medullaris
• Cauda Equina
• Filum Terminale
Spinal cord:
Transverse Section
Dura covers both the dorsal and ventral roots.
Organization of Spinal Cord
Gray matter - interior horns
posterior - somatic and visceral sensory nuclei
anterior (and lateral) gray horns – somatic and visceral motor control
gray commissures - axons carrying information from side to side
White matter - tracts or columns
posterior white column -
anterior white column
lateral white column
anterior white commissure
functions
ascending tracts - sensory toward brain
descending tracts - motor from brain
Sectional anatomy of spinal cord
Outer white part; inner gray butterfly
Lumbar Puncture
(= Spinal Tap)
For clinical examination of CSF or
administration of radiopaque dyes,
drugs and anesthetics
However: mostly “epidurals” for
anesthetics
L3
S1
Reflexes
Fast, preprogrammed, inborn,
automatic responses
Occur in the CNS at the spinal
cord or brainstem levels
(cranial nerves)
May be either monosynaptic or
polysynaptic
All require
a. stimulus at receptor
b. sensory information relay
c. processing at CNS level
d. activation of motor
response
e. response of peripheral
effector
Withdrawal reflex
Stretch reflex (tendon jerks)
Ascending and Descending Tracts
Peripheral Nervous System
Nerve structure
•Axon
•Myelin sheath
•Neurilemmal sheath
• Similar to muscle terminology
• Epineurium
• Covers the nerve
• Perineurium
• Covers a fascicle
• Endoneurium
• Covers an axon
Blood & Nerve Supply
Vasa nervorum
 Vessels of Nerve
Nervi nervorum
 Nerve of Nerve
Classification of peripheral nerves
Cranial nerves :
Spinal nerves:
Splanchnic nerve
Sensory nerves
Motor nerves
Mixed nerves
Cranial nerves
12 cranial nerves
 2 attach to forebrain (Tel- &
Diencephalon)
 10 attach to brainstem
(Mes-, Met- and Myelencephalon)
“0” pair cranial nerve
“nervi terminalis”
Motor :3,4,6,11,12
Sensory : 1,2,8
Mixed : 5,7,9,10
1. Olfactory
2. Optic
3. Occulomotor
4. Trochlear
5. Trigeminal
6. Abducent
7. Facial
8. Vestibulocochlear
9. Glossopharyngeal
10.Vagus
11.Accesary
12.Hypoglossal
Oh, Once One
Takes The
Anatomy Final,
Very Good
Vacations
Appear
Heavenly
Olfactory Nerve (= CN or N I)
C: Sensory
O: Olfactory Epithelium in nasal cavity
D: Olfactory bulbs (by way of cribriform plate of
ethmoid)
Only CN directly attached to Cerebrum
Optic Nerve (N II)
C: Sensory
O: Retina
D: by way of optic
foramen of
sphenoid to
Diencephalon
(optic chiasma)
and to occipital
lobe
Oculomotor (N III)
C: Motor
O: Mesencephalon
D: Somatic motor to
superior, inferior,
medial recti and
inferior oblique;
visceral motor to
intrinsic eye muscles
by way of superior
orbital fissure
SO4, LR6, Rest are by 3
Trochlear (N IV)
C: Motor
O: Mesencephalon
D: superior oblique muscle
by way of superior
orbital fissure
Trigeminal (CN V)
C: Mixed
three major branches
1. Ophthalmic (sensory)
2. Maxillary (sensory)
3. Mandibular (mixed)
O: face / nuclei of pons
D: sensory nuclei in pons /
muscles of mastication
Abducens
(CN VI)
C: Motor
O: Pons
D: Lateral rectus eye muscle
Facial (CN VII)
C: Mixed
O: sensory from taste receptors
of anterior 2/3 of tongue /
motor from pons
D: Sensory to sensory nuclei of
pons / motor muscles of facial
expression, visceral motor to
tear gland.
Bell’s Palsy
Vestibulocochlear (CN VIII)
C: Sensory
O: Receptors of
inner Ear
D: Nuclei in Pons
and medulla
oblongata
acoustic nerve
Glossopharyngeal (CN IX)
C: mixed
O: sensory from posterior
1/3 of tongue / motor from
medulla oblongata
D: medulla / muscles for
swallowing, parotid gland
Stylopharyngeus
Vagus (CN X)
C: Mixed
O: Sensation from pharyngeal area and outer
ear / motor from medulla
D: Sensory to medulla / visceral (autonomic)
motor to thoracic and abdominal cavities
and their organs. Major motor pathway for
ANS
Most important Cranial Nerve!
Accessory (CN XI) Spinal Accessory
C: Motor
O: Motor nuclei of medulla and
spinal cord
D: Swallowing, trapezius &
sternocleidomastoid muscles
Hypoglossal (N XII)
C: Motor
O: Motor nuclei of medulla
D: Tongue musculature
Spinal nerves
31 pairs of spinal nerves
 8 cervical
 12 thoracic
 5 lumber
 5 sacral
 1 coccygeal
Organization of Spinal Nerves:
1. Root – inside vertebral canal
a. dorsal sensory root with a ganglion
b. ventral motor root
2. Mixed spinal nerve
3. Rami
a. dorsal - mixed to skin and muscles of back
b. ventral - mixed “spinal nerve” to ventrolateral body surfaces
and limbs
c. white ramus communicans motor ANS
d. gray ramus communicans motor ANS
Dermatomes
Sensory
innervations by
specific spinal
nerves  Each pair of
spinal nerves monitors
specific region of body
surface.
Principal Plexuses
A blend, or network, of nerve
fibers from several spinal
roots.
• Cervical plexus
• Brachial plexus
• Lumbar plexus
• Sacral plexus
Cervical Plexus
Phrenic nerve
- innervates
diaphragm
Brachial Plexus
Nerves
of the Arm
Musculocutaneous nerve
– innervates biceps and
brachialis muscles
Median nerve - innervates
lateral flexors
Ulnar nerve - innervates
medial flexors
Radial nerve - innervates
forearm extensors
Lumbar
Plexus
Femoral Nerve
Lumbosacral Trunk
(to Sciatic Nerve)
Obturator Nerve
Sacral Plexus
Nerves of the Lower limb
• Sciatic N.
•Thickest and Longest
•Branches to Tibial and
Fibular Nerves
• Femoral N.
•Front of Thigh
• Obturator Nerve
•Medial side of thigh
Synapse
Site of communication
between two nerve cells or
nerve cell and effector cell
 Presynaptic and
postsynaptic neurons
neuro-effector junctions,
e.g., Motor End Plate
Electrical vs.
chemical synapses
Types of synapses
Axodendritic
(commonest)
Axosomatic
Axoaxonic
Dendrosomatic
Dendrodendritic
Dendroaxonic
Chemical Synapse vs. Electrical Synapse
Space between two cells
Signal transduction via a
neurotransmitter, usually
ACh
Most common
Direct physical contact between cells =
gap junctions
Direct signal transduction
Rare, but occurs in CNS and HEART
Chem.
Synapse
Structure
1. Axon terminal of presynaptic cell, with vesicles of
neurotransmitter(NT)
2. Synaptic cleft
3. Dendrite or cell body of postsynaptic cell
4. Unidirectional
Conduction of action potential
The “signal,” or Action
Potential is carried along
the Neurilemma Sheath
Faster if axon is
myelinated
Autonomic
Nervous
system
Overview of ANS
Pathway for Visceral Motor Output
The somatic NS uses one effector nerve but the
ANS output always involves two neurons
between spinal cord (CNS) and effector.
Overview of ANS
ANS has two divisions with both structural
AND functional differences:
1. Parasympathetic – Rest and Repose
1. Craniosacral output
2. Digestion, “housekeeping”
3. Postganglionic axons release Ach
(Cholinergic)
2. Sympathetic- Fight or Flight
1. Thoracolumbar output
2. Heart Rate, Respiration
3. Vasoconstriction
4. Postganglionic axons release NE
(Adrenergic)
•Craniosacral division
Preganglionic neurons (cell bodies)
located in brain stem & sacral segments
of spinal cord.
Cranial Nerves III, VII, IX, X
Pupils (III), Lacrimal and Salivary Glands
(VII), Viscera (X)
Sacral segments S2-4
Bladder, Genitals
1. Parasympathetic
Division
Parasympathetic =
Craniosacral
Constriction of Pupils (opposite
sympathetic)
Secretion of Digestive Glands
Secretion of Digestive Hormones
 Insulin, etc.
Visceral Smooth Muscles
Defecation and Urination
Constriction of Respiratory System
Decrease Heart Rate
Sexual Arousal
Parasympathetic
Division
Some functions:
2. Sympathetic
Division
Thoracolumbar division
Preganglionic neurons (cell bodies) located
between T1 & L2 of spinal cord
Ganglionic neurons (cell bodies) in ganglia
near vertebral column, AKA “Chain
Ganglia.”
Paravertebral ganglia = sympathetic chain
ganglia
Prevertebral ganglia = collateral ganglia
Special case: adrenal medulla is a modified
ganglion
Sympathetic Efferent Pathways:
Examples
Special Case:
Adrenal Medulla
Fig. 17-6
“Modified sympathetic ganglion”
Terminus for neuron #1, stimulates
specialized 2nd order neurons with
very short axons in adrenal medulla
to release NT into blood stream (=
hormones)
Epinephrine (adrenaline) ~ 80% and
norepinephrine (noradrenaline)
Endocrine effects are longer lasting
than nervous system effects
Dual Innervation
Each organ receives
innervation from
sympathetic and
parasympathetic fibers
Fibers of both divisions meet
& commingle at plexuses
(fig 17-9) to innervate
organs close to those
centers
Names of plexuses derived
from locations or organs
involved
Comparison
Sympathetic
Thoraco-lumbar [ T1 – L2]
Preganglionic fibre – Short
Postganglionic Fibre - Long
Nerve ending - Adrenergic
Fight or Flight
Works for Today
Sphincter - Closed
Nerve of emergency
Parasympathetic
Cranio-sacral
[III, VII, IX, X, S2,S3, S4]
Long
Short
Cholinergic
Rest & Digest
Works for tomorrow
Relax
Nerve of tranquility
ANS
Summary
Referred pain
Horner’s Syndrome
Loss of sympathetic
innervation to an eye
Ptosis
Miosis
Anhidrosis
Enophthalmos
Loss of Cilio-spinal reflex
All The Best
Nervous system anatomy and physiology

Nervous system anatomy and physiology

  • 1.
    Nervous System Presented by: Mr.ManthanKapadiya, Assistant Professor NCN,Visnagar
  • 2.
    INTRODUCTION Master system ofthe body Functions: 1. Reception 2. Integration 3. Response
  • 3.
    Subdivision of thenervous system Anatomical subdivision: 1. Central nervous system(CNS) brain and spinal cord  Integration, processing and coordination of sensory data and motor commands  Higher functions 2. Peripheral nervous system (PNS) a. Cerebrospinal nervous system 12 pairs of cranial nerves 31 pairs of spinal nerves b. Autonomic nervous system
  • 6.
    Cellular Organization ofNeural Tissue Two cell types: 1. Neurons “Excitable” cells 2. Neuroglia (mostly not excitable)  Astrocytes  Oligodendrocytes  Microglial cells  Ependymal cells  Schwann cells  Satellite cells
  • 7.
    Neuron  “Excitable” cells Structural & functional unit of the nervous system.  100 billion Properties : excitability & conductivity Highly differentiated cell & lost their power of division EXCEPT olfactory
  • 8.
    Typical Neuron Structure Cellbody or Soma or Perikaryon Dendrites Axon with axon hillock Synaptic terminals
  • 9.
    Cell body =Soma = Perikaryon
  • 10.
    Classification of Neuron 1.According to numbers of processes: Unipolar neuron : mesencephalic nucleus Pseudounipolar neurons : sensory & spinal ganglia Bipolar neuron : vestibulocochlear ganglia, bipolar neuron of retina Multipolar neuron : neurons in cerebrum & cerebellum
  • 11.
    2. According torelative length of axons & dendrites • Golgi type I neuron : long axon • Golgi type II neuron : short axon or no axon
  • 12.
    3. Functional Classification 1.Sensory (Afferent) 1. Somatic 2. Visceral 2. Motor (Efferent) A. . 1) Somatic 2) Visceral B. . 1. Upper motor 2. Lower motor C. . 1. Preganglionic 2. Postganglionic 3) Interneurons
  • 13.
    4. According toshape of the cell body • Pyramidal cell • Pyriform cell
  • 14.
    Interesting facts LONGEST NEURON:  sensory neurons of S1 (1st sacral spinal nerve ) NEURON WITH MANY NEUTRITES BUT NO AXON Amacrine Neurones Of Retina NEURON WITH NO PROCESS Para Neurons Of Adrenal Medulla
  • 15.
    Neuron Organization Divergence -One neuron synapses with several, effectively "spreading the word". Convergence - Several neurons synapse with a single neuron, concentrating the input. Serial processing - step-wise, sequential Parallel processing - simultaneous processing of different information
  • 16.
    Neuroglia (Glue) Structural &functional support to the neuron. 5-10 times more than neuron All the neuroglia develop from neuroectoderm except microglia (mesoderm)
  • 17.
    Classification of neuroglia Neurogliain CNS 1. Astrocytes 2. Oligodendrocyte 3. Ependymal cells 4. Microglia Neuroglia in PNS 1. Schwann cell or Neurolemmocytes 2. Satellite cells Macroglia
  • 18.
    Astrocytes: largest &most numerous • Blood –brain barrier (BBB) • Structural framework & repairs • Regulation of ions, and nutrients, to maintain metabolic environment for the neuron • Protoplasmic astrocyte • Fibrous astrocyte
  • 19.
    Blood Brain Barrier Barrier Endothelium of Capillary  Basement Membrane  Foot process of Astrocyte Areas in brain don’t have BBB  portion of hypothalamus  pineal gland  Pituitary  Area Postrema  choroid plexus
  • 21.
    Oligodendrocyte Smaller than astrocyte Formmyelin sheath around the fibers in CNS Myelin improves the rate of impulse conduction by acting as insulator.
  • 22.
    Microglial cells Smallest Phagocytosis  duringinfection or injury Derived from mesoderm
  • 23.
    Ependymal cells Lining ofventricles & central canal of spinal cord Some specialized to produce and monitor CSF
  • 24.
    Schwann Cells:(neurilemmocytes) myelinated Surround allperipheral axons! Responsible for myelination of PNS Involved in repair mechanism after injury Wallerian Degeneration Neurilemma (Schwann sheath)
  • 25.
    Schwann Cells inthe PNS Myelinated Nonmyelinated
  • 26.
    Nerve fibres Myelinated nervefibers Nonmyelinated nerve fibers Myelination in CNS is by oligodendrocyte Myelination in PNS is by Schwan cell
  • 28.
    Satellite cells: surround theautonomic and sensory ganglia to provide support & nutrition
  • 29.
    Functions of neuroglia Structural& functional support to the neuron. Blood- brain barrier. Phagocytosis Formation of myelin sheath. Produce CSF.
  • 30.
    Some Terminology Collections ofcell bodies – ganglion in PNS nucleus in CNS Pseudoganglion Bundles of axons – tracts in CNS nerves in PNS “White matter” = myelinated axons, both nerves and tracts “Gray matter” = non-myelinated material, dendrites, synapses and cell bodies as well as nonmyelinated axons
  • 31.
    Ganglion Collections of nervecell bodies outside the CNS is called ganglion 1.cerebrospinal ganglia 2. autonomic ganglia • sympathetic ganglia lie away from viscera they supply • Parasympathetic ganglia lie near the viscera they supply
  • 32.
  • 33.
  • 34.
    Subdivisions of Brain 1.Brain Stem a. Midbrain b. Pons c. Medulla oblongata 2. Cerebellum 3. Diencephalon Thalamus and Hypothalamus 4. Cerebral Hemispheres
  • 35.
    • Resides insidevertebral canal • Extends to L1 • 31 segments, each associated with a pair of dorsal root ganglia • Two enlargements • Cervical and Lumbar • Conus medullaris • Cauda Equina • Filum Terminale Spinal cord:
  • 36.
    Transverse Section Dura coversboth the dorsal and ventral roots.
  • 37.
    Organization of SpinalCord Gray matter - interior horns posterior - somatic and visceral sensory nuclei anterior (and lateral) gray horns – somatic and visceral motor control gray commissures - axons carrying information from side to side White matter - tracts or columns posterior white column - anterior white column lateral white column anterior white commissure functions ascending tracts - sensory toward brain descending tracts - motor from brain
  • 38.
    Sectional anatomy ofspinal cord Outer white part; inner gray butterfly
  • 39.
    Lumbar Puncture (= SpinalTap) For clinical examination of CSF or administration of radiopaque dyes, drugs and anesthetics However: mostly “epidurals” for anesthetics L3 S1
  • 40.
    Reflexes Fast, preprogrammed, inborn, automaticresponses Occur in the CNS at the spinal cord or brainstem levels (cranial nerves) May be either monosynaptic or polysynaptic All require a. stimulus at receptor b. sensory information relay c. processing at CNS level d. activation of motor response e. response of peripheral effector
  • 41.
  • 42.
  • 43.
  • 44.
  • 45.
    Nerve structure •Axon •Myelin sheath •Neurilemmalsheath • Similar to muscle terminology • Epineurium • Covers the nerve • Perineurium • Covers a fascicle • Endoneurium • Covers an axon
  • 46.
    Blood & NerveSupply Vasa nervorum  Vessels of Nerve Nervi nervorum  Nerve of Nerve
  • 47.
    Classification of peripheralnerves Cranial nerves : Spinal nerves: Splanchnic nerve Sensory nerves Motor nerves Mixed nerves
  • 48.
    Cranial nerves 12 cranialnerves  2 attach to forebrain (Tel- & Diencephalon)  10 attach to brainstem (Mes-, Met- and Myelencephalon) “0” pair cranial nerve “nervi terminalis” Motor :3,4,6,11,12 Sensory : 1,2,8 Mixed : 5,7,9,10
  • 49.
    1. Olfactory 2. Optic 3.Occulomotor 4. Trochlear 5. Trigeminal 6. Abducent 7. Facial 8. Vestibulocochlear 9. Glossopharyngeal 10.Vagus 11.Accesary 12.Hypoglossal Oh, Once One Takes The Anatomy Final, Very Good Vacations Appear Heavenly
  • 50.
    Olfactory Nerve (=CN or N I) C: Sensory O: Olfactory Epithelium in nasal cavity D: Olfactory bulbs (by way of cribriform plate of ethmoid) Only CN directly attached to Cerebrum
  • 51.
    Optic Nerve (NII) C: Sensory O: Retina D: by way of optic foramen of sphenoid to Diencephalon (optic chiasma) and to occipital lobe
  • 52.
    Oculomotor (N III) C:Motor O: Mesencephalon D: Somatic motor to superior, inferior, medial recti and inferior oblique; visceral motor to intrinsic eye muscles by way of superior orbital fissure SO4, LR6, Rest are by 3
  • 53.
    Trochlear (N IV) C:Motor O: Mesencephalon D: superior oblique muscle by way of superior orbital fissure
  • 54.
    Trigeminal (CN V) C:Mixed three major branches 1. Ophthalmic (sensory) 2. Maxillary (sensory) 3. Mandibular (mixed) O: face / nuclei of pons D: sensory nuclei in pons / muscles of mastication
  • 55.
    Abducens (CN VI) C: Motor O:Pons D: Lateral rectus eye muscle
  • 56.
    Facial (CN VII) C:Mixed O: sensory from taste receptors of anterior 2/3 of tongue / motor from pons D: Sensory to sensory nuclei of pons / motor muscles of facial expression, visceral motor to tear gland. Bell’s Palsy
  • 57.
    Vestibulocochlear (CN VIII) C:Sensory O: Receptors of inner Ear D: Nuclei in Pons and medulla oblongata acoustic nerve
  • 58.
    Glossopharyngeal (CN IX) C:mixed O: sensory from posterior 1/3 of tongue / motor from medulla oblongata D: medulla / muscles for swallowing, parotid gland Stylopharyngeus
  • 59.
    Vagus (CN X) C:Mixed O: Sensation from pharyngeal area and outer ear / motor from medulla D: Sensory to medulla / visceral (autonomic) motor to thoracic and abdominal cavities and their organs. Major motor pathway for ANS Most important Cranial Nerve!
  • 61.
    Accessory (CN XI)Spinal Accessory C: Motor O: Motor nuclei of medulla and spinal cord D: Swallowing, trapezius & sternocleidomastoid muscles Hypoglossal (N XII) C: Motor O: Motor nuclei of medulla D: Tongue musculature
  • 63.
    Spinal nerves 31 pairsof spinal nerves  8 cervical  12 thoracic  5 lumber  5 sacral  1 coccygeal
  • 64.
    Organization of SpinalNerves: 1. Root – inside vertebral canal a. dorsal sensory root with a ganglion b. ventral motor root 2. Mixed spinal nerve 3. Rami a. dorsal - mixed to skin and muscles of back b. ventral - mixed “spinal nerve” to ventrolateral body surfaces and limbs c. white ramus communicans motor ANS d. gray ramus communicans motor ANS
  • 67.
    Dermatomes Sensory innervations by specific spinal nerves Each pair of spinal nerves monitors specific region of body surface.
  • 68.
    Principal Plexuses A blend,or network, of nerve fibers from several spinal roots. • Cervical plexus • Brachial plexus • Lumbar plexus • Sacral plexus
  • 69.
    Cervical Plexus Phrenic nerve -innervates diaphragm
  • 70.
  • 71.
    Nerves of the Arm Musculocutaneousnerve – innervates biceps and brachialis muscles Median nerve - innervates lateral flexors Ulnar nerve - innervates medial flexors Radial nerve - innervates forearm extensors
  • 72.
  • 73.
  • 74.
    Nerves of theLower limb • Sciatic N. •Thickest and Longest •Branches to Tibial and Fibular Nerves • Femoral N. •Front of Thigh • Obturator Nerve •Medial side of thigh
  • 75.
    Synapse Site of communication betweentwo nerve cells or nerve cell and effector cell  Presynaptic and postsynaptic neurons neuro-effector junctions, e.g., Motor End Plate Electrical vs. chemical synapses
  • 76.
  • 77.
    Chemical Synapse vs.Electrical Synapse Space between two cells Signal transduction via a neurotransmitter, usually ACh Most common Direct physical contact between cells = gap junctions Direct signal transduction Rare, but occurs in CNS and HEART
  • 78.
    Chem. Synapse Structure 1. Axon terminalof presynaptic cell, with vesicles of neurotransmitter(NT) 2. Synaptic cleft 3. Dendrite or cell body of postsynaptic cell 4. Unidirectional
  • 80.
    Conduction of actionpotential The “signal,” or Action Potential is carried along the Neurilemma Sheath Faster if axon is myelinated
  • 81.
  • 83.
    Overview of ANS Pathwayfor Visceral Motor Output The somatic NS uses one effector nerve but the ANS output always involves two neurons between spinal cord (CNS) and effector.
  • 84.
    Overview of ANS ANShas two divisions with both structural AND functional differences: 1. Parasympathetic – Rest and Repose 1. Craniosacral output 2. Digestion, “housekeeping” 3. Postganglionic axons release Ach (Cholinergic) 2. Sympathetic- Fight or Flight 1. Thoracolumbar output 2. Heart Rate, Respiration 3. Vasoconstriction 4. Postganglionic axons release NE (Adrenergic)
  • 85.
    •Craniosacral division Preganglionic neurons(cell bodies) located in brain stem & sacral segments of spinal cord. Cranial Nerves III, VII, IX, X Pupils (III), Lacrimal and Salivary Glands (VII), Viscera (X) Sacral segments S2-4 Bladder, Genitals 1. Parasympathetic Division
  • 86.
  • 87.
    Constriction of Pupils(opposite sympathetic) Secretion of Digestive Glands Secretion of Digestive Hormones  Insulin, etc. Visceral Smooth Muscles Defecation and Urination Constriction of Respiratory System Decrease Heart Rate Sexual Arousal Parasympathetic Division Some functions:
  • 88.
    2. Sympathetic Division Thoracolumbar division Preganglionicneurons (cell bodies) located between T1 & L2 of spinal cord Ganglionic neurons (cell bodies) in ganglia near vertebral column, AKA “Chain Ganglia.” Paravertebral ganglia = sympathetic chain ganglia Prevertebral ganglia = collateral ganglia Special case: adrenal medulla is a modified ganglion
  • 90.
  • 92.
    Special Case: Adrenal Medulla Fig.17-6 “Modified sympathetic ganglion” Terminus for neuron #1, stimulates specialized 2nd order neurons with very short axons in adrenal medulla to release NT into blood stream (= hormones) Epinephrine (adrenaline) ~ 80% and norepinephrine (noradrenaline) Endocrine effects are longer lasting than nervous system effects
  • 93.
    Dual Innervation Each organreceives innervation from sympathetic and parasympathetic fibers Fibers of both divisions meet & commingle at plexuses (fig 17-9) to innervate organs close to those centers Names of plexuses derived from locations or organs involved
  • 94.
  • 95.
    Sympathetic Thoraco-lumbar [ T1– L2] Preganglionic fibre – Short Postganglionic Fibre - Long Nerve ending - Adrenergic Fight or Flight Works for Today Sphincter - Closed Nerve of emergency Parasympathetic Cranio-sacral [III, VII, IX, X, S2,S3, S4] Long Short Cholinergic Rest & Digest Works for tomorrow Relax Nerve of tranquility
  • 96.
  • 97.
  • 98.
    Horner’s Syndrome Loss ofsympathetic innervation to an eye Ptosis Miosis Anhidrosis Enophthalmos Loss of Cilio-spinal reflex
  • 101.