Nephrolithiasis
Tarek M. El Tantawy
Nephrology Consultant
MD, MSc Nephrology – Ain Shams UniversityD, MSc Nephrology – Ain Shams University
Egyptian Nephrology Fellowship Trainer – MNGHEgyptian Nephrology Fellowship Trainer – MNGH
Secretary-General of the Dakhlia Nephrology GroupSecretary-General of the Dakhlia Nephrology Group
HQM – CambridgeHQM – Cambridge
iNtroductioN
 Nephrolithiasis is a common, often recurrent,
and occasionally morbid condition.
 The prevalence of kidney stones increases with
age such that 11% of men and 5.6% of women in
the USA will have had a symptomatic kidney stone
by age 70.
 The first episode of renal colic related to
nephrolithiasis is most likely to occur between the
ages of 20 and 30 years for women and 30–60
years for men.
22
iNtroductioNiNtroductioN
 Urological intervention is required inUrological intervention is required in
approximately 20% of episodes of nephrolithiasis.approximately 20% of episodes of nephrolithiasis.
 Recurrence rates are as high as 50% within 5Recurrence rates are as high as 50% within 5
years and 80% within 20 years.years and 80% within 20 years.
 Many health care providers will encounterMany health care providers will encounter
nephrolithiasis in their clinical practice, includingnephrolithiasis in their clinical practice, including
primary care physicians, nephrologists,primary care physicians, nephrologists,
urologists, interventional radiologists, andurologists, interventional radiologists, and
emergency department physicians.emergency department physicians.
33
types of stoNestypes of stoNes
Major stone types frequency in adults
1 Calcium oxalate 40-60%
2 Calcium phosphate 10-20%
3 Uric acid 10-15%
4 Magnesium ammonium phosphate
(struvite(
10-15%
5 Cystine 1%<
6 Other: indinavir, triamterene, xanthine 1%<
44
pathophysiologypathophysiology
 Calcium stonesCalcium stones are thought to start in the medullaryare thought to start in the medullary
interstitium asinterstitium as calcium phosphatecalcium phosphate stones that erodestones that erode
through the renal papilla.through the renal papilla.
 Calcium oxalateCalcium oxalate is then deposited around the calciumis then deposited around the calcium
phosphate nidus.phosphate nidus.
 Urinary citrateUrinary citrate inhibits calcium stones formation byinhibits calcium stones formation by
chelating calcium, decreasing the free calcium availablechelating calcium, decreasing the free calcium available
for crystal formation with oxalate and phosphate.for crystal formation with oxalate and phosphate.
 Primary hyperparathyroidism and idiopathic hypercalciuriaPrimary hyperparathyroidism and idiopathic hypercalciuria
increase urinary calcium and the risk of calcium oxalateincrease urinary calcium and the risk of calcium oxalate
and calcium phosphate stones.and calcium phosphate stones.
55
pathophysiologypathophysiology
 Crohn’s diseaseCrohn’s disease and other diseases ofand other diseases of malabsorptionmalabsorption
increase fecal fat which binds luminal calcium, increasingincrease fecal fat which binds luminal calcium, increasing
the delivery of oxalate to the colon since calcium bindthe delivery of oxalate to the colon since calcium bind
oxalate and prevents its absorption.oxalate and prevents its absorption.
 An intact colon is needed to absorb the extra oxalate,An intact colon is needed to absorb the extra oxalate,
producing enteric hyperoxaluria and predisposing toproducing enteric hyperoxaluria and predisposing to
calcium oxalate stones.calcium oxalate stones.
 Distal (orDistal (or type 2) renal tubular acidosistype 2) renal tubular acidosis resultsresults
increased citrate absorption (as a potential source ofincreased citrate absorption (as a potential source of
bicarbonate) andbicarbonate) and decreaseddecreased urinary citrate to bind calcium.urinary citrate to bind calcium.
Metabolic acidosisMetabolic acidosis from diarrhea and gastrointestinalfrom diarrhea and gastrointestinal
bicarbonate losses will have a similar effect.bicarbonate losses will have a similar effect.
66
pathophysiologypathophysiology
 Uric acid stonesUric acid stones form in acidic urine (pH < 5.5).form in acidic urine (pH < 5.5).
Dietary purine intake and endogenous uric acidDietary purine intake and endogenous uric acid
production from purine turnover will increase urinary uricproduction from purine turnover will increase urinary uric
acid.acid.
 Cystine stonesCystine stones form in patients with cystinuria, anform in patients with cystinuria, an
autosomal recessive condition.autosomal recessive condition.
 Struvite stonesStruvite stones form as a result of urinary tractform as a result of urinary tract
infections with urea splitting bacteria, such asinfections with urea splitting bacteria, such as Proteus ,Proteus ,
KlebsiellaKlebsiella thatthat produce the enzyme urease.produce the enzyme urease.
The increased urine pH increases the risk of struviteThe increased urine pH increases the risk of struvite
stones.stones.
77
risk factorsrisk factors
 Genetics:Genetics:
- Prevalence and incidence rates are highest for- Prevalence and incidence rates are highest for
whites, followed by Hispanics, blacks, and Asians.whites, followed by Hispanics, blacks, and Asians.
- There is a male to female predominance of 3:1.- There is a male to female predominance of 3:1.
ApproximatelyApproximately
- 50% of stone patients have first-degree relatives- 50% of stone patients have first-degree relatives
with stones.with stones.
- Stones in both members of a twin pair occur twice- Stones in both members of a twin pair occur twice
as frequently in monozygotic twins than dizygoticas frequently in monozygotic twins than dizygotic
twins.twins.
88
 Medical:
- Stones are associated with weight gain, obesity,
diabetes, gout, and the metabolic syndrome.
- Diabetes increases the risk for calcium and uric
acid stones.
- Urinary tract anomalies can result in stasis, slow
urine flow, and stones in general, and more
specifically urinary tract infections and struvite
stones.
- Bowel pathology from inflammatory bowel disease
and short gut syndrome may cause enteric
hyperoxaluria and calcium oxalate stones.
risk factorsrisk factors
99
risk factorsrisk factors
 Medical:Medical:
- Ileostomy, bariatric surgery, sarcoidosis, gout,- Ileostomy, bariatric surgery, sarcoidosis, gout,
RTA, primary hyperparathyroidism, idiopathicRTA, primary hyperparathyroidism, idiopathic
hypercalciuria, myeloma, immobilization,hypercalciuria, myeloma, immobilization,
untreated hyperthyroidism, and urinary stasisuntreated hyperthyroidism, and urinary stasis
can all increase the risk for calcium stones,can all increase the risk for calcium stones,
either calcium oxalate or calcium phosphateeither calcium oxalate or calcium phosphate
1010
risk factorsrisk factors
 Dietary factors:Dietary factors:
-- Decreased riskDecreased risk associated withassociated with increasedincreased dietarydietary
calcium (but not supplemental calcium), fluid, andcalcium (but not supplemental calcium), fluid, and
potassium.potassium.
- High risk dietary factors include animal protein,- High risk dietary factors include animal protein,
sodium, sucrose, and fructose.sodium, sucrose, and fructose.
- Increased dietary sodium, oxalate, and animal- Increased dietary sodium, oxalate, and animal
protein may alter urine composition in favor of stoneprotein may alter urine composition in favor of stone
formation.formation.
1111
risk factorsrisk factors
 Low urine volume:Low urine volume:
Increases the urine concentration of calciumIncreases the urine concentration of calcium
salts and oxalate. Patients in hot climates andsalts and oxalate. Patients in hot climates and
others with increased insensible losses fromothers with increased insensible losses from
sweating may have decreased urine volumessweating may have decreased urine volumes
and increased stone risk.and increased stone risk.
 Anatomic abnormalities:Anatomic abnormalities:
Such as ureteropelvic junction obstruction,Such as ureteropelvic junction obstruction,
horseshoe kidney, and polycystic kidney canhorseshoe kidney, and polycystic kidney can
cause urinary stasis, promoting stone formation.cause urinary stasis, promoting stone formation.
1212
cliNicalcliNical
preseNtatioNpreseNtatioN
 Nephrolithiasis presents with renal colic, a paroxysmalNephrolithiasis presents with renal colic, a paroxysmal
pain that begins as the stone enters the ureter.pain that begins as the stone enters the ureter.
 The onset of pain is typically sudden.The onset of pain is typically sudden.
 The location of the pain will vary depending on theThe location of the pain will vary depending on the
location of the stone within the ureter:location of the stone within the ureter:
-- Proximal ureteral stonesProximal ureteral stones may cause flank pain ormay cause flank pain or
upper abdominal pain.upper abdominal pain.
-- Distal stonesDistal stones may cause groin, pelvic,may cause groin, pelvic,
testicular, or labial pain.testicular, or labial pain.
-- Ureterovesical junctionUreterovesical junction lodged stoneslodged stones
may cause suprapubic pain, urinary urgency, andmay cause suprapubic pain, urinary urgency, and
frequency.frequency.
1313
cliNicalcliNical
preseNtatioNpreseNtatioN
 Nausea and vomiting are often present, butNausea and vomiting are often present, but
fever is not unless there is a superimposedfever is not unless there is a superimposed
urinary tract infection or pyelonephritis.urinary tract infection or pyelonephritis.
 Patients with stones often have microscopic orPatients with stones often have microscopic or
gross hematuria.gross hematuria.
 Other less common presentations includeOther less common presentations include
painless hematuria or persistent urinary tractpainless hematuria or persistent urinary tract
infections.infections.
1414
differeNtialdiffereNtial
diagNosisdiagNosis
• PyelonephritisPyelonephritis
•• Renal infarctRenal infarct
•• Renal papillary necrosisRenal papillary necrosis
with a sloughed papillawith a sloughed papilla
causing obstructioncausing obstruction
•• Renal cell carcinomaRenal cell carcinoma
(e.g., renal colic from(e.g., renal colic from
blood clots in the ureter)blood clots in the ureter)
•• Ureteral obstruction fromUreteral obstruction from
non-stone pathology,non-stone pathology,
e.g., a sloughed papilla ore.g., a sloughed papilla or
thrombusthrombus
• Ureteral strictureUreteral stricture
•• Pelvic inflammatoryPelvic inflammatory
disease, ovarian torsion,disease, ovarian torsion,
ectopic pregnancyectopic pregnancy
•• Prostatitis, prostateProstatitis, prostate
cancer, testicular torsioncancer, testicular torsion
•• Cholecystitis, e.g., a rightCholecystitis, e.g., a right
sided stone at thesided stone at the
ureteropelvic junctionureteropelvic junction
•• Appendicitis, e.g., a rightAppendicitis, e.g., a right
ureteral stone crossingureteral stone crossing
the pelvic brimthe pelvic brim
1515
differeNtialdiffereNtial
diagNosisdiagNosis
•• Cystitis, e.g., a stone atCystitis, e.g., a stone at
the ureterovesicalthe ureterovesical
Junction.Junction.
• PeritonitisPeritonitis
•• Intestinal obstructionIntestinal obstruction
•• Duodenal ulcerDuodenal ulcer
•• Abdominal aorticAbdominal aortic
aneurysmaneurysm
•• Musculoskeletal painMusculoskeletal pain
•• Herpes zosterHerpes zoster
1616
diagNosisdiagNosis
The physical examinationThe physical examination is nonspecific, but mayis nonspecific, but may
exclude other pathology.exclude other pathology.
 The patient is typically in pain and uncomfortable.The patient is typically in pain and uncomfortable.
 There may be ipsilateral costovertebral angle tenderness.There may be ipsilateral costovertebral angle tenderness.
 With superimposed infection as such as pyelonephritis,With superimposed infection as such as pyelonephritis,
there may be signs of sepsis including fever, tachycardia,there may be signs of sepsis including fever, tachycardia,
and hypotension.and hypotension.
 Pelvic examination may be necessary in female patientsPelvic examination may be necessary in female patients
to rule out obstetrical or gynecological pathology, whileto rule out obstetrical or gynecological pathology, while
rectal examination may reveal prostate pathology in men.rectal examination may reveal prostate pathology in men.
1717
diagNosisdiagNosis
 Urinalysis with microscopy (and urine culture if evidenceUrinalysis with microscopy (and urine culture if evidence
of infection).of infection).
 Serum electrolytes, BUN, creatinine, and calcium.Serum electrolytes, BUN, creatinine, and calcium.
 Complete blood count in cases of suspected infection.Complete blood count in cases of suspected infection.
 Abdominal imaging (most commonly spiral abdominalAbdominal imaging (most commonly spiral abdominal
CT without contrast) it is critical in the care of patientsCT without contrast) it is critical in the care of patients
with nephrolithiasis.with nephrolithiasis.
 Stone analysis (if a specimen can be obtained).Stone analysis (if a specimen can be obtained).
 Tests to rule out alternate diagnoses: amylase/ lipaseTests to rule out alternate diagnoses: amylase/ lipase
(pancreatitis), urine pregnancy test (pregnancy(pancreatitis), urine pregnancy test (pregnancy
complications), liver function tests (biliary disease).complications), liver function tests (biliary disease).
1818
diagNosisdiagNosis
 Complicated cases such as recurrent nephrolithiasis,Complicated cases such as recurrent nephrolithiasis,
solitary kidney, transplant kidney, heavy stone burdensolitary kidney, transplant kidney, heavy stone burden
(e.g., staghorn calculus), chronic kidney disease,(e.g., staghorn calculus), chronic kidney disease,
obstruction, and superimposed infection warrant a moreobstruction, and superimposed infection warrant a more
thorough evaluationthorough evaluation
 Patients who present with their first episode of renalPatients who present with their first episode of renal
colic, but have multiple stones should be considered tocolic, but have multiple stones should be considered to
have recurrent disease.have recurrent disease.
1919
2020
Urine analysisUrine analysis
 Urine that is positive for hemoglobin on dipstick analysisUrine that is positive for hemoglobin on dipstick analysis
and erythrocytes on microscopic examination supportsand erythrocytes on microscopic examination supports
the diagnosis of kidney stones. However, the lack ofthe diagnosis of kidney stones. However, the lack of
hematuria does not definitively rule out nephrolithiasis.hematuria does not definitively rule out nephrolithiasis.
 Leukocytes in the urine suggest a urinary tract infection.Leukocytes in the urine suggest a urinary tract infection.
If pyuria is present, a urine culture should also beIf pyuria is present, a urine culture should also be
obtained.obtained. Nephrolithiasis with associatedNephrolithiasis with associated
pyelonephritis is an indication for urgentpyelonephritis is an indication for urgent
urological evaluation and possible intervention.urological evaluation and possible intervention.
2121
Urine analysis andUrine analysis and
sediment examinationsediment examination
 Microscopic evaluation of urine for crystals may revealMicroscopic evaluation of urine for crystals may reveal
the composition of the stone,the composition of the stone, although the absence ofalthough the absence of
crystals does not rule out nephrolithiasiscrystals does not rule out nephrolithiasis..
 Examination may yield crystals of calcium oxalate,Examination may yield crystals of calcium oxalate,
calcium phosphate, uric acid, cystine, magnesiumcalcium phosphate, uric acid, cystine, magnesium
ammonium phosphate (struvite), or drug crystals.ammonium phosphate (struvite), or drug crystals.
2222
2323
Urine analysisUrine analysis
Urinary pH may also be helpful in determining the causeUrinary pH may also be helpful in determining the cause
of nephrolithiasisof nephrolithiasis::
 Alkaline urine (pH > 7.5) or pyuria can be caused byAlkaline urine (pH > 7.5) or pyuria can be caused by
urinary tract infections with urea-splitting organisms; theurinary tract infections with urea-splitting organisms; the
alkaline urine promotes struvite stones.alkaline urine promotes struvite stones.
 Acidic urine (pH < 5.5) is associated with uric acid stones.Acidic urine (pH < 5.5) is associated with uric acid stones.
 An inappropriately high urine pH in the setting ofAn inappropriately high urine pH in the setting of
metabolic acidosis may suggest RTA, which is a potentialmetabolic acidosis may suggest RTA, which is a potential
cause of kidney stones.cause of kidney stones.
2424
stone analysisstone analysis
 The patient should be given a urine strainer withThe patient should be given a urine strainer with
the instructions to strain all urine until the stonethe instructions to strain all urine until the stone
has passed.has passed.
 A 4 × 4 gauze pad placed over a cup can beA 4 × 4 gauze pad placed over a cup can be
used to collect stone specimens if a urineused to collect stone specimens if a urine
strainer is not available.strainer is not available.
 Collected fragments or stones can be sent forCollected fragments or stones can be sent for
chemical analysis.chemical analysis.
2525
electrolytes, BUnelectrolytes, BUn
and creatinineand creatinine
 An acutely elevated creatinine in the setting ofAn acutely elevated creatinine in the setting of
nephrolithiasis could be a sign of urinarynephrolithiasis could be a sign of urinary
obstruction and warrants urgent urologicalobstruction and warrants urgent urological
consultation.consultation.
 A low serum bicarbonate could suggest RTA, which canA low serum bicarbonate could suggest RTA, which can
cause nephrolithiasis. Distal RTA is the type mostcause nephrolithiasis. Distal RTA is the type most
commonly associated with nephrolithiasis.commonly associated with nephrolithiasis.
 hypokalemia and an inappropriately high urinary pHhypokalemia and an inappropriately high urinary pH
would also be suggestive of distal RTA.would also be suggestive of distal RTA.
 Nausea and vomiting may produce a metabolic alkalosisNausea and vomiting may produce a metabolic alkalosis
from volume contraction.from volume contraction.
2626
serUm calciUmserUm calciUm
 Hypercalcemia may precipitate stone formation.Hypercalcemia may precipitate stone formation.
 If the serum calcium is elevated, a parathyroid hormoneIf the serum calcium is elevated, a parathyroid hormone
level and serum phosphorus should be obtained tolevel and serum phosphorus should be obtained to
detect disorders such as primary hyperparathyroidism.detect disorders such as primary hyperparathyroidism.
 The serum calcium is often only modestly elevated or atThe serum calcium is often only modestly elevated or at
the high end of the normal range in primarythe high end of the normal range in primary
hyperparathyroidism; the threshold for checking a serumhyperparathyroidism; the threshold for checking a serum
PTH should be relatively low.PTH should be relatively low.
 Other etiologies of hypercalcemia include malignancy,Other etiologies of hypercalcemia include malignancy,
vitamin D intoxication, and granulomatous diseasesvitamin D intoxication, and granulomatous diseases
(e.g., sarcoidosis and tuberculosis).(e.g., sarcoidosis and tuberculosis).
2727
imagingimaging
modalitiesmodalities
 Spiral computed tomography (CT) of the abdomen withoutSpiral computed tomography (CT) of the abdomen without
intravenous contrast is the imaging modality of choice forintravenous contrast is the imaging modality of choice for
confirming nephrolithiasis.confirming nephrolithiasis.
 CT can detect stones as small as 1 mm in diameter.CT can detect stones as small as 1 mm in diameter.
 The sensitivity and specificity of noncontrast spiral CT areThe sensitivity and specificity of noncontrast spiral CT are
98% and 100%, respectively, for the diagnosis of stones.98% and 100%, respectively, for the diagnosis of stones.
 CT can detect radiolucent stones such as uric acid andCT can detect radiolucent stones such as uric acid and
indinavir stones.indinavir stones.
 CT provides information regarding location, size, numberCT provides information regarding location, size, number
of stones, and any structural abnormalities predisposingof stones, and any structural abnormalities predisposing
to stone formation.to stone formation.
2828
imagingimaging
modalitiesmodalities
 Intravenous pyelography (IVP) should be rarely used inIntravenous pyelography (IVP) should be rarely used in
the evaluation of nephrolithiasis since it requires contrastthe evaluation of nephrolithiasis since it requires contrast
administration and may miss small stones.administration and may miss small stones.
 IVP also takes more time to perform than CT.IVP also takes more time to perform than CT.
 Some medical centers do not routinely perform IVP in theSome medical centers do not routinely perform IVP in the
era of CT.era of CT.
 IVP remains the gold standard for the diagnosis forIVP remains the gold standard for the diagnosis for
medullary sponge kidneymedullary sponge kidney, a condition which may cause, a condition which may cause
calcium oxalate and calcium phosphate stones andcalcium oxalate and calcium phosphate stones and
nephrocalcinosisnephrocalcinosis..
 Spiral CT and CT urography can be used in lieu of IVP forSpiral CT and CT urography can be used in lieu of IVP for
the diagnosis of medullary sponge kidney.the diagnosis of medullary sponge kidney.
2929
imagingimaging
modalitiesmodalities
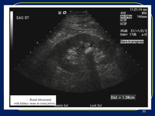
 Ultrasound is inferior to CT for visualization of stones,Ultrasound is inferior to CT for visualization of stones,
compared to spiral CT as the gold standard .compared to spiral CT as the gold standard .
 Ultrasound can only image the kidney and proximalUltrasound can only image the kidney and proximal
ureter and may miss distal stones.ureter and may miss distal stones.
 Although a suboptimal imaging modality forAlthough a suboptimal imaging modality for
nephrolithiasis, ultrasound does not use radiation andnephrolithiasis, ultrasound does not use radiation and
should be used in cases where radiation isshould be used in cases where radiation is
contraindicated, such as pregnant patients.contraindicated, such as pregnant patients.
3030
imaging modalitiesimaging modalities
 Abdominal X-ray of the kidneys, ureters, and bladderAbdominal X-ray of the kidneys, ureters, and bladder
(KUB) is inadequate since it may miss radiolucent stones(KUB) is inadequate since it may miss radiolucent stones
and stones less than 5 mm in diameter.and stones less than 5 mm in diameter.
 Calcium stones are radiopaque, while cystine andCalcium stones are radiopaque, while cystine and
struvite stones are often, but not consistently,struvite stones are often, but not consistently,
radiopaque.radiopaque.
 Uric acid stones are radiolucent unless they contain aUric acid stones are radiolucent unless they contain a
calcium component.calcium component.
 KUB also does not provide information about obstructionKUB also does not provide information about obstruction
and hydronephrosis and yields limited information aboutand hydronephrosis and yields limited information about
surrounding anatomy.surrounding anatomy.
3131
3232
nephrocalcinosisnephrocalcinosis
 Nephrocalcinosis refers to the deposition of calciumNephrocalcinosis refers to the deposition of calcium
oxalate and calcium phosphate in the renal parenchyma,oxalate and calcium phosphate in the renal parenchyma,
while oxalosis refers specifically to calcium oxalatewhile oxalosis refers specifically to calcium oxalate
deposition.deposition.
 Nephrocalcinosis may be acute or chronic and associatedNephrocalcinosis may be acute or chronic and associated
with normal or reduced kidney function.with normal or reduced kidney function.
 Often noted incidentally on radiological imaging, includingOften noted incidentally on radiological imaging, including
plain films, CT, or ultrasound, nephrocalcinosis may beplain films, CT, or ultrasound, nephrocalcinosis may be
diagnosed during the evaluation of nephrolithiasis.diagnosed during the evaluation of nephrolithiasis.
 Although associated with some of the nephrolithiasis riskAlthough associated with some of the nephrolithiasis risk
factors, nephrocalcinosis may occur withoutfactors, nephrocalcinosis may occur without
nephrolithiasis, and vice versa.nephrolithiasis, and vice versa.
3333
nephrocalcinosisnephrocalcinosis
 Risk factors for nephrocalcinosis include:Risk factors for nephrocalcinosis include:
- Hypercalciuria with hypercalcemia (primary- Hypercalciuria with hypercalcemia (primary
hyperparathyroidism, vitamin D therapy, sarcoidosis),hyperparathyroidism, vitamin D therapy, sarcoidosis),
hypercalciuria without hypercalcemia (distal / type I RTA,hypercalciuria without hypercalcemia (distal / type I RTA,
medullary sponge kidney, loop diuretics, neonatalmedullary sponge kidney, loop diuretics, neonatal
nephrocalcinosis, congenital tubulopathies, and chronicnephrocalcinosis, congenital tubulopathies, and chronic
hypokalemia).hypokalemia).
- Hyperphosphaturia- Hyperphosphaturia (e.g., tumor lysis syndrome, oral(e.g., tumor lysis syndrome, oral
sodiumsodium phosphate bowel preparations).phosphate bowel preparations).
- Hyperoxaluria (i.e., primary, secondary, and enteric).- Hyperoxaluria (i.e., primary, secondary, and enteric).
3434
nephrocalcinosisnephrocalcinosis
Treatment of nephrocalcinosis involves:Treatment of nephrocalcinosis involves:
 Treating the underlying cause, but maintenance ofTreating the underlying cause, but maintenance of
adequate urine output (>2 L/day) may benefit all patientsadequate urine output (>2 L/day) may benefit all patients
with nephrocalcinosis.with nephrocalcinosis.
 Hypercalciuric patients may benefit from oral potassiumHypercalciuric patients may benefit from oral potassium
citrate to increase solubility of calcium oxalate andcitrate to increase solubility of calcium oxalate and
dietary restriction of animal protein (<0.7 g/kg/day) anddietary restriction of animal protein (<0.7 g/kg/day) and
sodium (<2.3 g/day) along with liberalized potassiumsodium (<2.3 g/day) along with liberalized potassium
intake.intake.
 Calcium deposition is typically irreversible, even if theCalcium deposition is typically irreversible, even if the
underlying cause is corrected.underlying cause is corrected.
3535
acUte medicalacUte medical
managementmanagement
 In general, stones >10 mm typically do not passIn general, stones >10 mm typically do not pass
spontaneously, while stones < 5 mm will. Intermediatespontaneously, while stones < 5 mm will. Intermediate
stones between 5 and 10 mm have variable outcomes.stones between 5 and 10 mm have variable outcomes.
 Distal ureter stones are more likely to pass than proximalDistal ureter stones are more likely to pass than proximal
stones.stones.
 Patients with ureteral stones <10 mm in diameter in thePatients with ureteral stones <10 mm in diameter in the
absence of fever, infection, kidney injury, or otherabsence of fever, infection, kidney injury, or other
complications are candidates for conservativecomplications are candidates for conservative
management with analgesia and hydration.management with analgesia and hydration.
3636
acUte medicalacUte medical
managementmanagement
 Nonsteroidal anti-infl ammatory drugsNonsteroidal anti-infl ammatory drugs (NSAIDs) and(NSAIDs) and
opiates are the two most commonly used classes ofopiates are the two most commonly used classes of
analgesics used for renal colic.analgesics used for renal colic.
 NSAIDs have been shown to be at least as effectiveNSAIDs have been shown to be at least as effective
as opiates in controlling pain. Intravenous ketorolac isas opiates in controlling pain. Intravenous ketorolac is
commonly used in the emergency department settingcommonly used in the emergency department setting
for effective analgesia with less sedation than opiates.for effective analgesia with less sedation than opiates.
 The choice between NSAIDs and opiates largelyThe choice between NSAIDs and opiates largely
depends on the side effect profile of the medicationdepends on the side effect profile of the medication
and the patient’s comorbidities.and the patient’s comorbidities.
3737
acUte medicalacUte medical
managementmanagement
 Hydration can correct hypovolemia associated withHydration can correct hypovolemia associated with
nausea and vomiting from nephrolithiasis.nausea and vomiting from nephrolithiasis.
 Forced intravenous hydration does not reduce painForced intravenous hydration does not reduce pain
medication requirements or facilitate stone passagemedication requirements or facilitate stone passage
compared to regular IV hydration.compared to regular IV hydration.
 Increased oral fluid intake is recommended to increaseIncreased oral fluid intake is recommended to increase
urine flow and hasten stone passage.urine flow and hasten stone passage.
 Patients are usually instructed to drink at least 2–3 L ofPatients are usually instructed to drink at least 2–3 L of
fluid per day to maintain a urine output of at least 2.5 Lfluid per day to maintain a urine output of at least 2.5 L
per day.per day.
 Increased urine output will decrease the soluteIncreased urine output will decrease the solute
supersaturation that lead to stone formation and growth.supersaturation that lead to stone formation and growth.
3838
expUlsive medicalexpUlsive medical
therapytherapy
 Alpha 1 - adrenergic blockers and calcium channelAlpha 1 - adrenergic blockers and calcium channel
blockers have been used to relax the ureter and increaseblockers have been used to relax the ureter and increase
hydrostatic pressure proximal to the stone, resulting inhydrostatic pressure proximal to the stone, resulting in
stone passage. They reduce time to stone passage, painstone passage. They reduce time to stone passage, pain
episodes, pain scores, and analgesic requirements.episodes, pain scores, and analgesic requirements.
 Both medications are generally well tolerated and mayBoth medications are generally well tolerated and may
be considered for patients with smaller stones < 5 mmbe considered for patients with smaller stones < 5 mm
and/ or stones located in the distal ureter.and/ or stones located in the distal ureter.
 Tamsulosin may cause less hypotension and lightTamsulosin may cause less hypotension and light
headedness than nifedipine. The usual doses areheadedness than nifedipine. The usual doses are
tamsulosin 0.4 mg daily and extended-release nifedipinetamsulosin 0.4 mg daily and extended-release nifedipine
30 mg daily.30 mg daily.
3939
acUte medicalacUte medical
managementmanagement
 Complicated cases including larger stones (> 5 mm),Complicated cases including larger stones (> 5 mm),
proximal stones, superimposed infection, pyelonephritis,proximal stones, superimposed infection, pyelonephritis,
obstruction (either unilateral with a solitary kidney orobstruction (either unilateral with a solitary kidney or
bilateral), acute kidney injury, and significant comorbiditiesbilateral), acute kidney injury, and significant comorbidities
may requiremay require hospitalizationhospitalization..
 Patients with larger stones requiring IV analgesics mayPatients with larger stones requiring IV analgesics may
requirerequire hospitalizationhospitalization for pain control.for pain control.
 Consultation byConsultation by urologyurology oror interventional radiologyinterventional radiology
for stone removal or definitive drainage should befor stone removal or definitive drainage should be
considered.considered.
 NephrologyNephrology consultation may be necessary for risk factorconsultation may be necessary for risk factor
identification, risk reduction for recurrent nephrolithiasis,identification, risk reduction for recurrent nephrolithiasis,
and any concomitant acute and/or chronic kidney disease.and any concomitant acute and/or chronic kidney disease.
4040
DietaryDietary
MoDificationMoDification Specific dietary recommendations depend on theSpecific dietary recommendations depend on the
patient’s risk factors, type of stone, and results of a 24 hpatient’s risk factors, type of stone, and results of a 24 h
urine collection.urine collection.
 Increased fluid intake is useful in decreasing the urinaryIncreased fluid intake is useful in decreasing the urinary
concentration of solutes should reduce supersaturationconcentration of solutes should reduce supersaturation
and stone formation and/or growth.and stone formation and/or growth.
 Patients should drink 2–3 L of water per day, titratingPatients should drink 2–3 L of water per day, titrating
oral fluid intake to keep urine output greater than 2.5 Loral fluid intake to keep urine output greater than 2.5 L
per day.per day.
 One consideration when prescribing increased fluidOne consideration when prescribing increased fluid
intake is that patients may develop increased urinaryintake is that patients may develop increased urinary
frequency which could be disruptive, particularly withfrequency which could be disruptive, particularly with
nocturia.nocturia.
4141
MeDicationsMeDications
 Medication will be indicated, If dietary therapy does notMedication will be indicated, If dietary therapy does not
adequately modify a patient’s risk profile (i.e., normalizationadequately modify a patient’s risk profile (i.e., normalization
of 24 h urine results).of 24 h urine results).
 ThiazidesThiazides such as chlorthalidone and hydrochlorothiazidesuch as chlorthalidone and hydrochlorothiazide
reduce urine calcium excretion.reduce urine calcium excretion.
 Urine alkalinizationUrine alkalinization may also be helpful for uric acidmay also be helpful for uric acid
stones by increasing the solubility of uric acid, but therestones by increasing the solubility of uric acid, but there
should be adequate urine flow around the stone.should be adequate urine flow around the stone.
 AllopurinolAllopurinol “xanthine oxidase enzyme inhibitor”,“xanthine oxidase enzyme inhibitor”,
preventing the formation of uric acid and decreasing urinepreventing the formation of uric acid and decreasing urine
uric acid excretion.uric acid excretion.
4242
specificspecific
recoMMenDationsrecoMMenDations
BaseD on stoneBaseD on stone
coMpositioncoMposition
calciuM oxalate anDcalciuM oxalate anD
calciuMcalciuM
phosphate stonesphosphate stones
 Calcium stones tend to form in low urine volume states,Calcium stones tend to form in low urine volume states,
especially in people on high salt diets or vitamin D orespecially in people on high salt diets or vitamin D or
calcium supplements.calcium supplements.
 The resultant hypercalciuria increases the supersaturationThe resultant hypercalciuria increases the supersaturation
of calcium oxalate and calcium phosphate.of calcium oxalate and calcium phosphate.
 Conditions associated with urinary stasis, such asConditions associated with urinary stasis, such as
ureteropelvic junction obstruction, horseshoe kidney andureteropelvic junction obstruction, horseshoe kidney and
polycystic kidney disease increase the risk of calciumpolycystic kidney disease increase the risk of calcium
stone precipitation.stone precipitation.
 Unlike calcium oxalate stones, calcium phosphate stonesUnlike calcium oxalate stones, calcium phosphate stones
tend to form intend to form in alkaline urinealkaline urine (pH > 6.3) as is seen with(pH > 6.3) as is seen with
distal RTA.distal RTA.
4343
calciuM oxalate anDcalciuM oxalate anD
calciuMcalciuM
phosphate stonesphosphate stones
 Primary hyperparathyroidism increases urinary calciumPrimary hyperparathyroidism increases urinary calcium
and phosphate excretion, predisposing to calciumand phosphate excretion, predisposing to calcium
phosphate stones.phosphate stones.
 A low calcium dietA low calcium diet has not been shown to preventhas not been shown to prevent
recurrent calcium stones. Calcium binds oxalate in therecurrent calcium stones. Calcium binds oxalate in the
gastrointestinal tract; decreasing calcium intakegastrointestinal tract; decreasing calcium intake
increases oxalate absorption and leads to hyperoxaluria,increases oxalate absorption and leads to hyperoxaluria,
which may increase calcium oxalate stones.which may increase calcium oxalate stones.
 A low sodium dietA low sodium diet limits urinary calcium excretionlimits urinary calcium excretion
 A low protein dietA low protein diet increases urinary citrate excretionincreases urinary citrate excretion
and decreases calcium excretion.and decreases calcium excretion.
4444
calciuM oxalate anDcalciuM oxalate anD
calciuMcalciuM
phosphate stonesphosphate stones
 Goal oxalate intake should be < 100 mg daily andGoal oxalate intake should be < 100 mg daily and
avoid taking > 100 mg of ascorbic acid as well.avoid taking > 100 mg of ascorbic acid as well.
 Oxalate-rich foodsOxalate-rich foods should be eaten in moderation,should be eaten in moderation,
including spinach, rhubarb, wheat bran, beets,including spinach, rhubarb, wheat bran, beets,
chocolate, and nuts.chocolate, and nuts.
 CitrateCitrate inhibits crystallization of calcium oxalateinhibits crystallization of calcium oxalate
crystallization. Potassium citrate (20–60 mg/kg/daycrystallization. Potassium citrate (20–60 mg/kg/day
divided in three to four doses) can also be used todivided in three to four doses) can also be used to
decrease calcium absorption and calciuria.decrease calcium absorption and calciuria.
4545
hypercalciuriahypercalciuria
 Patients withPatients with hypercalciuria tend to develop calciumhypercalciuria tend to develop calcium
oxalateoxalate and calcium phosphate stones, the latter moreand calcium phosphate stones, the latter more
notably in patients with alkaline urine.notably in patients with alkaline urine.
 Causes:Causes: Idiopathic, primary hyperparathyroidism,Idiopathic, primary hyperparathyroidism,
granulomatous diseases, vitamin D excess, corticosteroidgranulomatous diseases, vitamin D excess, corticosteroid
treatment, distal RTA, hyperthyroidism, andtreatment, distal RTA, hyperthyroidism, and
malignancy(e.g., multiple myeloma).malignancy(e.g., multiple myeloma).
 Idiopathic hypercalciuriaIdiopathic hypercalciuria can be further classified intocan be further classified into
three different types:three different types:
absorptive, resorptive, and renal leakabsorptive, resorptive, and renal leak..
4646
hypercalciuriahypercalciuria
A- Absorptive hypercalciuriaA- Absorptive hypercalciuria is thought to be due tois thought to be due to
increased gastrointestinal absorptionincreased gastrointestinal absorption of ingestedof ingested
calcium.calcium.
 These patients will tend to have slightly decreased PTH,These patients will tend to have slightly decreased PTH,
slightly elevated 1,25-dihydroxyvitamin D levels, elevatedslightly elevated 1,25-dihydroxyvitamin D levels, elevated
serum calcium, and slightly low serum phosphorus.serum calcium, and slightly low serum phosphorus.
 The pathophysiologyThe pathophysiology is thought to be eitheris thought to be either
overproduction of vitamin D or increased sensitivity tooverproduction of vitamin D or increased sensitivity to
vitamin D action.vitamin D action.
 These patients tend to be poorly responsive to anyThese patients tend to be poorly responsive to any
dietary modifications in calcium.dietary modifications in calcium.
4747
hypercalciuriahypercalciuria
B- Resorptive hypercalciuriaB- Resorptive hypercalciuria occurs with increasedoccurs with increased
bone resorption and turnover (typically:bone resorption and turnover (typically:
hyperparathyroidism), leading to increased urinaryhyperparathyroidism), leading to increased urinary
calcium excretion.calcium excretion.
C- Renal leak hypercalciuriaC- Renal leak hypercalciuria is due to a primaryis due to a primary
defect in renal tubular transportdefect in renal tubular transport causingcausing
inappropriate urinary calcium losses and secondaryinappropriate urinary calcium losses and secondary
gastrointestinal calcium reabsorption and calciumgastrointestinal calcium reabsorption and calcium
mobilization from the bone. These patients have mildmobilization from the bone. These patients have mild
hypocalcemia and 2ry hyperparathyroidism.hypocalcemia and 2ry hyperparathyroidism.
4848
hypercalciuriahypercalciuria
 Patients may requirePatients may require hydrochlorothiazidehydrochlorothiazide 50 mg50 mg
daily to achieve significant decreases in calciumdaily to achieve significant decreases in calcium
excretion; the prescribing physician shouldexcretion; the prescribing physician should
document decreased urinary calcium excretion withdocument decreased urinary calcium excretion with
24 h urine collections.24 h urine collections.
 Patients onPatients on thiazidesthiazides should be monitored forshould be monitored for
hypokalemiahypokalemia sincesince hypokalemiahypokalemia can decreasecan decrease
urinary citrate excretion and increase the risk forurinary citrate excretion and increase the risk for
calcium stones.calcium stones.
 Hypokalemic patients should be supplemented withHypokalemic patients should be supplemented with
potassium citratepotassium citrate or startor start potassium sparingpotassium sparing
diureticsdiuretics such as amiloride or spironolactone.such as amiloride or spironolactone.
4949
hypercalciuriahypercalciuria
 Patients with hypercalciuria should limit dietary calcium to <Patients with hypercalciuria should limit dietary calcium to <
2 g/day. The calcium should be obtained from dietary2 g/day. The calcium should be obtained from dietary
sources.sources.
 Calcium restriction in patients with hypercalciuria can resultCalcium restriction in patients with hypercalciuria can result
in decreasing bone mineral density and increased rate ofin decreasing bone mineral density and increased rate of
fractures in this patient group and should be avoided.fractures in this patient group and should be avoided.
 Thiazide diuretics can decrease urinary calcium excretion byThiazide diuretics can decrease urinary calcium excretion by
> 50%. The mechanism of decreased urinary calcium> 50%. The mechanism of decreased urinary calcium
excretion with thiazides is thought to be increased absorptionexcretion with thiazides is thought to be increased absorption
of calcium in the proximal tubule due to volume contraction.of calcium in the proximal tubule due to volume contraction.
 Diets high in sodium or carbohydrates increase urinaryDiets high in sodium or carbohydrates increase urinary
calcium excretion. Thereforecalcium excretion. Therefore low sodium and lowlow sodium and low
carbohydratecarbohydrate diets are recommended.diets are recommended.
5050
Distal rtaDistal rta
 Patients that have distal RTA will usually present withPatients that have distal RTA will usually present with
nephrolithiasis due tonephrolithiasis due to excessive urinary calciumexcessive urinary calcium
excretion, decreased urinary citrate excretion andexcretion, decreased urinary citrate excretion and
persistently alkaline urine.persistently alkaline urine.
 They have aThey have a chronic metabolic acidosischronic metabolic acidosis which resultswhich results
inin loss of bone calciumloss of bone calcium leading to hypercalciuria.leading to hypercalciuria.
 In addition, the acidosis also contributes toIn addition, the acidosis also contributes to
hypocitraturiahypocitraturia, which is an independent risk factor that, which is an independent risk factor that
increases risk for stone recurrence.increases risk for stone recurrence.
 Finally, theFinally, the chronic alkaline urinechronic alkaline urine promotes calciumpromotes calcium
phosphate precipitation.phosphate precipitation.
5151
hypocitraturiahypocitraturia
 CitrateCitrate slows the growth of calcium crystals byslows the growth of calcium crystals by
chelating urinary calcium, preventingchelating urinary calcium, preventing
supersaturation and stone formation.supersaturation and stone formation.
 HypocitraturiaHypocitraturia can be idiopathic or associatedcan be idiopathic or associated
with medical conditions, including distal RTA,with medical conditions, including distal RTA,
hypokalemia, glycogen storage disease type I, andhypokalemia, glycogen storage disease type I, and
a high protein/low carbohydrate diet.a high protein/low carbohydrate diet.
 Carbonic anhydrase inhibitorsCarbonic anhydrase inhibitors (acetazolamide)(acetazolamide)
alter urinary pH and decrease urinary citratealter urinary pH and decrease urinary citrate
excretion in the urine.excretion in the urine.
5252
hypocitraturiahypocitraturia
 Tubular reabsorption of citrate is increased inTubular reabsorption of citrate is increased in
acidemiaacidemia. Intracellular acidosis enhances proximal. Intracellular acidosis enhances proximal
tubular transport of citrate by the brush bordertubular transport of citrate by the brush border
membrane.membrane.
 In patients with hypocitraturia, increase urinary citrateIn patients with hypocitraturia, increase urinary citrate
by using potassium citrate or potassium bicarbonate.by using potassium citrate or potassium bicarbonate.
Try to avoid sodium-based medications to avoid theTry to avoid sodium-based medications to avoid the
calciuric effect of sodium.calciuric effect of sodium.
 Potassium citrate should be 10–20 mEq two to threePotassium citrate should be 10–20 mEq two to three
times daily. Of note, orange juice and lemonade cantimes daily. Of note, orange juice and lemonade can
also increase urinary citrate excretion.also increase urinary citrate excretion.
5353
hyperoxaluriahyperoxaluria
 The differential diagnosisThe differential diagnosis includes high dietary oxalate,includes high dietary oxalate,
malabsorptive states, and hyperoxalosis (primary ormalabsorptive states, and hyperoxalosis (primary or
enteric).enteric).
 Patients who eat a high protein diet, oxalate rich dietPatients who eat a high protein diet, oxalate rich diet
(found in nuts, soybean, spinach), or large amounts of(found in nuts, soybean, spinach), or large amounts of
ascorbic acid can also have hyperoxaluria because ofascorbic acid can also have hyperoxaluria because of
increased oxalate production.increased oxalate production.
 Patients who are on a low calcium diet can also havePatients who are on a low calcium diet can also have
increased oxalate absorption and hyperoxaluria as a result.increased oxalate absorption and hyperoxaluria as a result.
 Preventive measuresPreventive measures focus on a low fat and low oxalatefocus on a low fat and low oxalate
diet, increasing calcium intake with meals to bind oxalatediet, increasing calcium intake with meals to bind oxalate
and prevent absorption from the gut, increased fluid intake,and prevent absorption from the gut, increased fluid intake,
and avoiding a high protein and/or ascorbic acid-rich diet.and avoiding a high protein and/or ascorbic acid-rich diet.
5454
hyperoxaluriahyperoxaluria
 Patients with malabsorptive states can have increasedPatients with malabsorptive states can have increased
enteric absorption of oxalate and present with hyperoxaluriaenteric absorption of oxalate and present with hyperoxaluria
and calcium oxalate stones.and calcium oxalate stones.
 Normally,Normally, 90%90% of dietary oxalate binds dietary calcium inof dietary oxalate binds dietary calcium in
the small intestine and passes into the stool as calciumthe small intestine and passes into the stool as calcium
oxalate.oxalate. 10%10% of dietary oxalate is absorbed in the colon andof dietary oxalate is absorbed in the colon and
excreted in the urine.excreted in the urine.
 Patients that have enteric malabsorption have increased gutPatients that have enteric malabsorption have increased gut
absorption of oxalate due to the excess enteric fat bindingabsorption of oxalate due to the excess enteric fat binding
dietary calcium and allowing free oxalate to be absorbed.dietary calcium and allowing free oxalate to be absorbed.
 Chronic diarrhea, small bowel resection, ileostomy andChronic diarrhea, small bowel resection, ileostomy and
inflammatory bowel disease have been associated withinflammatory bowel disease have been associated with
enteric hyperoxaluria.enteric hyperoxaluria.
5555
hyperoxaluriahyperoxaluria
 Primary hyperoxaluria,Primary hyperoxaluria, a recessive hereditary disordera recessive hereditary disorder
of oxalate metabolism, should be suspected in patientsof oxalate metabolism, should be suspected in patients
who have early onset formation of calcium oxalate stones,who have early onset formation of calcium oxalate stones,
nephrocalcinosis, and chronic kidney disease innephrocalcinosis, and chronic kidney disease in
childhoodchildhood..
 PyridoxinePyridoxine can be used as a possible treatment as itcan be used as a possible treatment as it
lowers oxalate production and excretion in some patients.lowers oxalate production and excretion in some patients.
 Prolonged thiazideProlonged thiazide use ( > 1 year) decreases urinaryuse ( > 1 year) decreases urinary
oxalate excretion.oxalate excretion.
 Definitive treatment is liver transplantationDefinitive treatment is liver transplantation whichwhich
transfers a functional liver-specific alanine:transfers a functional liver-specific alanine: glyoxylateglyoxylate
aminotransferase enzyme.aminotransferase enzyme.
5656
5757
5858
hyperuricosuriahyperuricosuria
 Hyperuricosuria can be associated withHyperuricosuria can be associated with calciumcalcium
oxalate stones and uric acid stonesoxalate stones and uric acid stones..
 Patients that develop calcium oxalate stones havePatients that develop calcium oxalate stones have
elevated urinary uric acid levels, which promote stoneelevated urinary uric acid levels, which promote stone
formation by reducing the solubility of calcium oxalateformation by reducing the solubility of calcium oxalate
and increasing supersaturation of calcium oxalate in theand increasing supersaturation of calcium oxalate in the
urine.urine.
 Patients with hyperuricosuria and idiopathic calciumPatients with hyperuricosuria and idiopathic calcium
oxalate nephrolithiasis should be started on allopurinoloxalate nephrolithiasis should be started on allopurinol
(100 mg daily which can be titrated to a maximum dose(100 mg daily which can be titrated to a maximum dose
of 300 mg daily) to decrease stone recurrence.of 300 mg daily) to decrease stone recurrence.
5959
Uric Acid StoneSUric Acid StoneS
 Comprising 10–15% of kidney stones, uric acidComprising 10–15% of kidney stones, uric acid
stones form in the setting ofstones form in the setting of hyperuricosuria andhyperuricosuria and
decreased solubility at low urine pHdecreased solubility at low urine pH..
 Uric acid nephrolithiasis is associated with obesity,Uric acid nephrolithiasis is associated with obesity,
metabolic syndrome, gout, chronic diarrhea, highmetabolic syndrome, gout, chronic diarrhea, high
protein diets, myeloproliferative disorders andprotein diets, myeloproliferative disorders and
hereditary inborn metabolism disorders such ashereditary inborn metabolism disorders such as
Lesch-Nyhan syndrome.Lesch-Nyhan syndrome.
 Patients with chronic diarrhea have lower urine pHPatients with chronic diarrhea have lower urine pH
because of the loss of alkali via stool and increasedbecause of the loss of alkali via stool and increased
urinary H+ secretion.urinary H+ secretion.
6060
Uric Acid StoneSUric Acid StoneS
 Uric acid stones are radiolucent on plain films, but canUric acid stones are radiolucent on plain films, but can
be visualized on CT.be visualized on CT.
 Prevention and treatmentPrevention and treatment involves:involves:
-- AlkalinizationAlkalinization of the urine to pH 6–6.5 to increase uricof the urine to pH 6–6.5 to increase uric
acid solubility. Alkalinization consists of oral potassiumacid solubility. Alkalinization consists of oral potassium
citrate 10 – 20 mEq two to three times daily.citrate 10 – 20 mEq two to three times daily.
-- Adequate hydrationAdequate hydration to reduce supersaturation.to reduce supersaturation.
-- A low animal proteinA low animal protein diet is recommended to reducediet is recommended to reduce
acid production.acid production.
-- Dietary sodiumDietary sodium should be restricted to reduce urinaryshould be restricted to reduce urinary
uric acid excretion.uric acid excretion.
6161
Uric Acid StoneSUric Acid StoneS
 Allopurinol should be used in hyperuricosuria or whenAllopurinol should be used in hyperuricosuria or when
urine alkalinization is difficult or not well tolerated.urine alkalinization is difficult or not well tolerated.
 Before initiating therapy for recurrent stones, the urinaryBefore initiating therapy for recurrent stones, the urinary
pH and citrate levels for these patients needs to bepH and citrate levels for these patients needs to be
evaluated and if urinary citrate levels do not rise butevaluated and if urinary citrate levels do not rise but
urinary pH tends to rise, the degree of supersaturationurinary pH tends to rise, the degree of supersaturation
worsens and patients can then develop calciumworsens and patients can then develop calcium
phosphate stones and alkaline therapy is unlikely to bephosphate stones and alkaline therapy is unlikely to be
beneficial in this patient group.beneficial in this patient group.
 However it is still recommended that these patientsHowever it is still recommended that these patients
should adhere toshould adhere to increasing fluid intakeincreasing fluid intake to increaseto increase
urinary output and should adhere tourinary output and should adhere to a low-salt anda low-salt and
low-protein diet with normal calcium intakelow-protein diet with normal calcium intake..
6262
6363
StrUvite StoneSStrUvite StoneS
 Magnesium ammonium phosphateMagnesium ammonium phosphate (struvite) stones(struvite) stones
make up 10–15% of stones.make up 10–15% of stones.
 More common in women and patients withMore common in women and patients with chronicchronic
urinary obstructionurinary obstruction, struvite stones are usually, struvite stones are usually
associated withassociated with urinary tract infectionsurinary tract infections with urease-with urease-
producing organisms such as Proteus , Klebsiella ,producing organisms such as Proteus , Klebsiella ,
Providencia , Pseudomonas , enterococci,Providencia , Pseudomonas , enterococci,
Haemophilus , and Ureaplasma urealyticumHaemophilus , and Ureaplasma urealyticum..
 The initial event in the pathogenesis of struvite stonesThe initial event in the pathogenesis of struvite stones
may in fact be a calcium oxalate nidus infected with amay in fact be a calcium oxalate nidus infected with a
urea-splitting organism.urea-splitting organism.
6464
StrUvite StoneSStrUvite StoneS
 UreaseUrease hydrolyzes urea to ammonia and COhydrolyzes urea to ammonia and CO22
,,
resulting in a urine pH > 7. Ammonia combines withresulting in a urine pH > 7. Ammonia combines with
water to form ammonium, resulting in an increasedwater to form ammonium, resulting in an increased
amount of ammonium in alkaline urine. Struviteamount of ammonium in alkaline urine. Struvite
precipitates with calcium carbonate to form large stonesprecipitates with calcium carbonate to form large stones
andand staghorn calculistaghorn calculi that can fill the renal pelvis.that can fill the renal pelvis.
 Struvite stones can progress rapidly over weeks toStruvite stones can progress rapidly over weeks to
months. Untreated, struvite stones can cause acute andmonths. Untreated, struvite stones can cause acute and
chronic kidney disease and end stage renal disease.chronic kidney disease and end stage renal disease.
 TheThe coffin-lidcoffin-lid appearance of magnesium ammoniumappearance of magnesium ammonium
phosphate crystals on urine microscopy confirms thephosphate crystals on urine microscopy confirms the
diagnosis.diagnosis.
6565
StrUvite StoneSStrUvite StoneS
 Treatment involves antibiotics and concomitant stoneTreatment involves antibiotics and concomitant stone
removal to eradicate the infection and to remove the nidus.removal to eradicate the infection and to remove the nidus.
 Medical therapy alone is rarely successful. According toMedical therapy alone is rarely successful. According to
the American Urological Association Nephrolithiasisthe American Urological Association Nephrolithiasis
Clinical Guidelines Panel, struvite stones should beClinical Guidelines Panel, struvite stones should be
removed via percutaneous nephrolithotomy and thenremoved via percutaneous nephrolithotomy and then
patients should remain on suppressive low dose antibioticspatients should remain on suppressive low dose antibiotics
with sulfamethoxazole/trimethoprim or nitrofurantoin for 6with sulfamethoxazole/trimethoprim or nitrofurantoin for 6
months. Open nephrolithotomy is rarely indicated in themonths. Open nephrolithotomy is rarely indicated in the
modern era.modern era.
 Selected patients may require shockwave lithotripsy,Selected patients may require shockwave lithotripsy,
combination therapy with percutaneous nephrolithotomycombination therapy with percutaneous nephrolithotomy
and lithotripsy, or nephrostomy tube placement.and lithotripsy, or nephrostomy tube placement.
6666
StrUvite StoneSStrUvite StoneS
 A multidisciplinary approachA multidisciplinary approach with nephrology, awith nephrology, a
urology, and interventional radiology may be indicated.urology, and interventional radiology may be indicated.
 Following successful stone removal, monitoring withFollowing successful stone removal, monitoring with
periodic CT for recurrent disease is indicated, especiallyperiodic CT for recurrent disease is indicated, especially
if an underlying urological condition predisposing toif an underlying urological condition predisposing to
recurrent urinary tract infections has not been resolved.recurrent urinary tract infections has not been resolved.
 Patients should also be monitored for calcium stones asPatients should also be monitored for calcium stones as
the initial step in the pathogenesis of recurrent struvitethe initial step in the pathogenesis of recurrent struvite
stones.stones.
 Any risk factors for calcium stones should be addressed.Any risk factors for calcium stones should be addressed.
6767
StrUvite StoneSStrUvite StoneS
 If stone removal is not possible, then medical therapyIf stone removal is not possible, then medical therapy
includes antibiotics and a urease inhibitor.includes antibiotics and a urease inhibitor.
 Selected on the basis of urine culture sensitivity results,Selected on the basis of urine culture sensitivity results,
antibiotics may not eradicate the infection and sterilizeantibiotics may not eradicate the infection and sterilize
the stone, but may slow stone progression.the stone, but may slow stone progression.
 Acetohydroxamic acidAcetohydroxamic acid, a urease inhibitor, has been, a urease inhibitor, has been
used to slow or prevent stone growth.used to slow or prevent stone growth.
 However, many patients have intolerable side effects,However, many patients have intolerable side effects,
with up to 60% experiencing headache, nausea,with up to 60% experiencing headache, nausea,
vomiting, tremor, and rash.vomiting, tremor, and rash.
 Acetohydroxamic acidAcetohydroxamic acid is contraindicated in patientsis contraindicated in patients
with moderate to severe chronic kidney disease.with moderate to severe chronic kidney disease.
6868
6969
cyStine StoneScyStine StoneS
 Cystine stonesCystine stones are rare, comprising < 1% of stones, butare rare, comprising < 1% of stones, but
are more common in pediatric patients.are more common in pediatric patients.
 Patients have anPatients have an autosomal recessive disorderautosomal recessive disorder thatthat
causes impaired reabsorption of dibasic amino acidscauses impaired reabsorption of dibasic amino acids
including cystine, ornithine, arginine, and lysine in theincluding cystine, ornithine, arginine, and lysine in the
small intestine and renal proximal tubule, resulting insmall intestine and renal proximal tubule, resulting in
increased urinary excretion.increased urinary excretion.
 Cystine is insoluble in the urine, producing radiopaqueCystine is insoluble in the urine, producing radiopaque
Stones The median age at onset is 12 years, althoughStones The median age at onset is 12 years, although
some will present in infancy.some will present in infancy.
 Large staghorn calculi of cystineLarge staghorn calculi of cystine can form. Patientscan form. Patients
may have decreased kidney function and diffusemay have decreased kidney function and diffuse
interstitial fibrosis and plugging of collecting ducts withinterstitial fibrosis and plugging of collecting ducts with
cystine crystals on kidney biopsy.cystine crystals on kidney biopsy.
7070
cyStine StoneScyStine StoneS
 The diagnosis is made by family history of nephrolithiasisThe diagnosis is made by family history of nephrolithiasis
disease,disease, hexagonalhexagonal cystine crystals on urine microscopy,cystine crystals on urine microscopy,
stone analysis, and a positive cyanide - nitroprussidestone analysis, and a positive cyanide - nitroprusside
screening test for urine cystine (which indicates ascreening test for urine cystine (which indicates a
concentration > 75 mg/L; normal is < 30 mg/L).concentration > 75 mg/L; normal is < 30 mg/L).
 Cystine stones are less radiopaque than calcium stonesCystine stones are less radiopaque than calcium stones
on plain films. Less common than struvite stones as theon plain films. Less common than struvite stones as the
cause of staghorn calculi, cystine stones should because of staghorn calculi, cystine stones should be
considered in pediatric patient with large branched stone.considered in pediatric patient with large branched stone.
 Prevention focuses on hydration (urine volume of at leastPrevention focuses on hydration (urine volume of at least
3–3.5 L/day) and urine alkalinization to pH >7.0 to3–3.5 L/day) and urine alkalinization to pH >7.0 to
enhance solubility. Potassium citrate or potassiumenhance solubility. Potassium citrate or potassium
bicarbonate at 3–4 mEq/kg daily may be necessary forbicarbonate at 3–4 mEq/kg daily may be necessary for
adequate alkalinization,adequate alkalinization,
7171
cyStine StoneScyStine StoneS
 Low protein and low salt dietsLow protein and low salt diets decrease urinary cystinedecrease urinary cystine
excretion. Protein is a source of methionine, the precursor toexcretion. Protein is a source of methionine, the precursor to
cystine.cystine.
 Cysteine - binding medication:Cysteine - binding medication: cystine is a dimer ofcystine is a dimer of
cysteine molecules linked by disulfide bond. Cysteine -cysteine molecules linked by disulfide bond. Cysteine -
binding drugs have sulfhydryl groups that form mixedbinding drugs have sulfhydryl groups that form mixed
disulfides with cysteine that are more soluble than cystine.disulfides with cysteine that are more soluble than cystine.
 Two regimens includeTwo regimens include d - penicillamined - penicillamine 1–2 g daily in 3-41–2 g daily in 3-4
divided doses anddivided doses and tiopronintiopronin at 400–1,200 mg daily in 3-4at 400–1,200 mg daily in 3-4
divided doses. Both medications have side effects includingdivided doses. Both medications have side effects including
abdominal pain, dygeusia, leukopenia, fever, proteinuria, andabdominal pain, dygeusia, leukopenia, fever, proteinuria, and
rarely nephritic syndrome.rarely nephritic syndrome.
 Patients on d - penicillamine should take vitamin BPatients on d - penicillamine should take vitamin B66 50 mg50 mg
daily.daily.
7272
7373
nephrolithiASiSnephrolithiASiS
relAted torelAted to
MedicAtionSMedicAtionS
 Drug-induced renal calculi comprise 1–2% of all stones.Drug-induced renal calculi comprise 1–2% of all stones.
 Medications can cause stone formation via twoMedications can cause stone formation via two
mechanisms:mechanisms:
-- FirstFirst, drugs can induce metabolic abnormalities that, drugs can induce metabolic abnormalities that
promote stone formation (e.g., loop diuretics, carbonicpromote stone formation (e.g., loop diuretics, carbonic
anhydrase inhibitors, laxatives).anhydrase inhibitors, laxatives).
-- SecondSecond, poorly soluble medications with high urinary, poorly soluble medications with high urinary
excretion can crystallize in urine, directly forming stonesexcretion can crystallize in urine, directly forming stones
or a nidus for subsequent stone formation (e.g.,or a nidus for subsequent stone formation (e.g.,
ciprofloxacin, sulfa drugs, triamterene, indinavir,ciprofloxacin, sulfa drugs, triamterene, indinavir,
ephedrine, and magnesium trisilicate.ephedrine, and magnesium trisilicate.
7474
nephrolithiASiSnephrolithiASiS
relAted torelAted to
MedicAtionSMedicAtionS
 Risk factors for developing drug-induced nephrolithiasis:Risk factors for developing drug-induced nephrolithiasis:
A- Personal or family history of kidney stonesA- Personal or family history of kidney stones,,
preexisting stone, urinary stasis (e.g., from benignpreexisting stone, urinary stasis (e.g., from benign
prostatic hypertrophy or a urinary tract abnormality),prostatic hypertrophy or a urinary tract abnormality),
underlying hypercalciuria/ hypocitraturia, abnormal urineunderlying hypercalciuria/ hypocitraturia, abnormal urine
pH (high or low), urinary tract infections, low urine output,pH (high or low), urinary tract infections, low urine output,
and warm climates.and warm climates.
B- Some drug-specific risk factorsB- Some drug-specific risk factors include high dailyinclude high daily
dosing of medication, long-term treatment with thedosing of medication, long-term treatment with the
offending medication, high urinary excretion and / or lowoffending medication, high urinary excretion and / or low
solubility of the drug and / or its metabolites, short half-lifesolubility of the drug and / or its metabolites, short half-life
of the drug, and the size and morphology of drug crystals.of the drug, and the size and morphology of drug crystals.
7575
7676
conclUSionconclUSion
 Nephrolithiasis is a prevalent, frequently recurrent, andNephrolithiasis is a prevalent, frequently recurrent, and
occasionally morbid condition associated with increasedoccasionally morbid condition associated with increased
risk of bone disease, chronic kidney disease, andrisk of bone disease, chronic kidney disease, and
hypertension.hypertension.
 Many physicians including family practitioners, internists,Many physicians including family practitioners, internists,
nephrologists, urologists, emergency room physicians,nephrologists, urologists, emergency room physicians,
and interventional radiologists will see stone patients inand interventional radiologists will see stone patients in
their routine practice.their routine practice.
 Many underlying disorders have been associated withMany underlying disorders have been associated with
stone formation; recognizing these disorders is importantstone formation; recognizing these disorders is important
in stone prophylaxis.in stone prophylaxis.
7777
thAnk yoU forthAnk yoU for
yoUr AttentionyoUr Attention

Nephrolithiasis

  • 1.
    Nephrolithiasis Tarek M. ElTantawy Nephrology Consultant MD, MSc Nephrology – Ain Shams UniversityD, MSc Nephrology – Ain Shams University Egyptian Nephrology Fellowship Trainer – MNGHEgyptian Nephrology Fellowship Trainer – MNGH Secretary-General of the Dakhlia Nephrology GroupSecretary-General of the Dakhlia Nephrology Group HQM – CambridgeHQM – Cambridge
  • 2.
    iNtroductioN  Nephrolithiasis isa common, often recurrent, and occasionally morbid condition.  The prevalence of kidney stones increases with age such that 11% of men and 5.6% of women in the USA will have had a symptomatic kidney stone by age 70.  The first episode of renal colic related to nephrolithiasis is most likely to occur between the ages of 20 and 30 years for women and 30–60 years for men. 22
  • 3.
    iNtroductioNiNtroductioN  Urological interventionis required inUrological intervention is required in approximately 20% of episodes of nephrolithiasis.approximately 20% of episodes of nephrolithiasis.  Recurrence rates are as high as 50% within 5Recurrence rates are as high as 50% within 5 years and 80% within 20 years.years and 80% within 20 years.  Many health care providers will encounterMany health care providers will encounter nephrolithiasis in their clinical practice, includingnephrolithiasis in their clinical practice, including primary care physicians, nephrologists,primary care physicians, nephrologists, urologists, interventional radiologists, andurologists, interventional radiologists, and emergency department physicians.emergency department physicians. 33
  • 4.
    types of stoNestypesof stoNes Major stone types frequency in adults 1 Calcium oxalate 40-60% 2 Calcium phosphate 10-20% 3 Uric acid 10-15% 4 Magnesium ammonium phosphate (struvite( 10-15% 5 Cystine 1%< 6 Other: indinavir, triamterene, xanthine 1%< 44
  • 5.
    pathophysiologypathophysiology  Calcium stonesCalciumstones are thought to start in the medullaryare thought to start in the medullary interstitium asinterstitium as calcium phosphatecalcium phosphate stones that erodestones that erode through the renal papilla.through the renal papilla.  Calcium oxalateCalcium oxalate is then deposited around the calciumis then deposited around the calcium phosphate nidus.phosphate nidus.  Urinary citrateUrinary citrate inhibits calcium stones formation byinhibits calcium stones formation by chelating calcium, decreasing the free calcium availablechelating calcium, decreasing the free calcium available for crystal formation with oxalate and phosphate.for crystal formation with oxalate and phosphate.  Primary hyperparathyroidism and idiopathic hypercalciuriaPrimary hyperparathyroidism and idiopathic hypercalciuria increase urinary calcium and the risk of calcium oxalateincrease urinary calcium and the risk of calcium oxalate and calcium phosphate stones.and calcium phosphate stones. 55
  • 6.
    pathophysiologypathophysiology  Crohn’s diseaseCrohn’sdisease and other diseases ofand other diseases of malabsorptionmalabsorption increase fecal fat which binds luminal calcium, increasingincrease fecal fat which binds luminal calcium, increasing the delivery of oxalate to the colon since calcium bindthe delivery of oxalate to the colon since calcium bind oxalate and prevents its absorption.oxalate and prevents its absorption.  An intact colon is needed to absorb the extra oxalate,An intact colon is needed to absorb the extra oxalate, producing enteric hyperoxaluria and predisposing toproducing enteric hyperoxaluria and predisposing to calcium oxalate stones.calcium oxalate stones.  Distal (orDistal (or type 2) renal tubular acidosistype 2) renal tubular acidosis resultsresults increased citrate absorption (as a potential source ofincreased citrate absorption (as a potential source of bicarbonate) andbicarbonate) and decreaseddecreased urinary citrate to bind calcium.urinary citrate to bind calcium. Metabolic acidosisMetabolic acidosis from diarrhea and gastrointestinalfrom diarrhea and gastrointestinal bicarbonate losses will have a similar effect.bicarbonate losses will have a similar effect. 66
  • 7.
    pathophysiologypathophysiology  Uric acidstonesUric acid stones form in acidic urine (pH < 5.5).form in acidic urine (pH < 5.5). Dietary purine intake and endogenous uric acidDietary purine intake and endogenous uric acid production from purine turnover will increase urinary uricproduction from purine turnover will increase urinary uric acid.acid.  Cystine stonesCystine stones form in patients with cystinuria, anform in patients with cystinuria, an autosomal recessive condition.autosomal recessive condition.  Struvite stonesStruvite stones form as a result of urinary tractform as a result of urinary tract infections with urea splitting bacteria, such asinfections with urea splitting bacteria, such as Proteus ,Proteus , KlebsiellaKlebsiella thatthat produce the enzyme urease.produce the enzyme urease. The increased urine pH increases the risk of struviteThe increased urine pH increases the risk of struvite stones.stones. 77
  • 8.
    risk factorsrisk factors Genetics:Genetics: - Prevalence and incidence rates are highest for- Prevalence and incidence rates are highest for whites, followed by Hispanics, blacks, and Asians.whites, followed by Hispanics, blacks, and Asians. - There is a male to female predominance of 3:1.- There is a male to female predominance of 3:1. ApproximatelyApproximately - 50% of stone patients have first-degree relatives- 50% of stone patients have first-degree relatives with stones.with stones. - Stones in both members of a twin pair occur twice- Stones in both members of a twin pair occur twice as frequently in monozygotic twins than dizygoticas frequently in monozygotic twins than dizygotic twins.twins. 88
  • 9.
     Medical: - Stonesare associated with weight gain, obesity, diabetes, gout, and the metabolic syndrome. - Diabetes increases the risk for calcium and uric acid stones. - Urinary tract anomalies can result in stasis, slow urine flow, and stones in general, and more specifically urinary tract infections and struvite stones. - Bowel pathology from inflammatory bowel disease and short gut syndrome may cause enteric hyperoxaluria and calcium oxalate stones. risk factorsrisk factors 99
  • 10.
    risk factorsrisk factors Medical:Medical: - Ileostomy, bariatric surgery, sarcoidosis, gout,- Ileostomy, bariatric surgery, sarcoidosis, gout, RTA, primary hyperparathyroidism, idiopathicRTA, primary hyperparathyroidism, idiopathic hypercalciuria, myeloma, immobilization,hypercalciuria, myeloma, immobilization, untreated hyperthyroidism, and urinary stasisuntreated hyperthyroidism, and urinary stasis can all increase the risk for calcium stones,can all increase the risk for calcium stones, either calcium oxalate or calcium phosphateeither calcium oxalate or calcium phosphate 1010
  • 11.
    risk factorsrisk factors Dietary factors:Dietary factors: -- Decreased riskDecreased risk associated withassociated with increasedincreased dietarydietary calcium (but not supplemental calcium), fluid, andcalcium (but not supplemental calcium), fluid, and potassium.potassium. - High risk dietary factors include animal protein,- High risk dietary factors include animal protein, sodium, sucrose, and fructose.sodium, sucrose, and fructose. - Increased dietary sodium, oxalate, and animal- Increased dietary sodium, oxalate, and animal protein may alter urine composition in favor of stoneprotein may alter urine composition in favor of stone formation.formation. 1111
  • 12.
    risk factorsrisk factors Low urine volume:Low urine volume: Increases the urine concentration of calciumIncreases the urine concentration of calcium salts and oxalate. Patients in hot climates andsalts and oxalate. Patients in hot climates and others with increased insensible losses fromothers with increased insensible losses from sweating may have decreased urine volumessweating may have decreased urine volumes and increased stone risk.and increased stone risk.  Anatomic abnormalities:Anatomic abnormalities: Such as ureteropelvic junction obstruction,Such as ureteropelvic junction obstruction, horseshoe kidney, and polycystic kidney canhorseshoe kidney, and polycystic kidney can cause urinary stasis, promoting stone formation.cause urinary stasis, promoting stone formation. 1212
  • 13.
    cliNicalcliNical preseNtatioNpreseNtatioN  Nephrolithiasis presentswith renal colic, a paroxysmalNephrolithiasis presents with renal colic, a paroxysmal pain that begins as the stone enters the ureter.pain that begins as the stone enters the ureter.  The onset of pain is typically sudden.The onset of pain is typically sudden.  The location of the pain will vary depending on theThe location of the pain will vary depending on the location of the stone within the ureter:location of the stone within the ureter: -- Proximal ureteral stonesProximal ureteral stones may cause flank pain ormay cause flank pain or upper abdominal pain.upper abdominal pain. -- Distal stonesDistal stones may cause groin, pelvic,may cause groin, pelvic, testicular, or labial pain.testicular, or labial pain. -- Ureterovesical junctionUreterovesical junction lodged stoneslodged stones may cause suprapubic pain, urinary urgency, andmay cause suprapubic pain, urinary urgency, and frequency.frequency. 1313
  • 14.
    cliNicalcliNical preseNtatioNpreseNtatioN  Nausea andvomiting are often present, butNausea and vomiting are often present, but fever is not unless there is a superimposedfever is not unless there is a superimposed urinary tract infection or pyelonephritis.urinary tract infection or pyelonephritis.  Patients with stones often have microscopic orPatients with stones often have microscopic or gross hematuria.gross hematuria.  Other less common presentations includeOther less common presentations include painless hematuria or persistent urinary tractpainless hematuria or persistent urinary tract infections.infections. 1414
  • 15.
    differeNtialdiffereNtial diagNosisdiagNosis • PyelonephritisPyelonephritis •• RenalinfarctRenal infarct •• Renal papillary necrosisRenal papillary necrosis with a sloughed papillawith a sloughed papilla causing obstructioncausing obstruction •• Renal cell carcinomaRenal cell carcinoma (e.g., renal colic from(e.g., renal colic from blood clots in the ureter)blood clots in the ureter) •• Ureteral obstruction fromUreteral obstruction from non-stone pathology,non-stone pathology, e.g., a sloughed papilla ore.g., a sloughed papilla or thrombusthrombus • Ureteral strictureUreteral stricture •• Pelvic inflammatoryPelvic inflammatory disease, ovarian torsion,disease, ovarian torsion, ectopic pregnancyectopic pregnancy •• Prostatitis, prostateProstatitis, prostate cancer, testicular torsioncancer, testicular torsion •• Cholecystitis, e.g., a rightCholecystitis, e.g., a right sided stone at thesided stone at the ureteropelvic junctionureteropelvic junction •• Appendicitis, e.g., a rightAppendicitis, e.g., a right ureteral stone crossingureteral stone crossing the pelvic brimthe pelvic brim 1515
  • 16.
    differeNtialdiffereNtial diagNosisdiagNosis •• Cystitis, e.g.,a stone atCystitis, e.g., a stone at the ureterovesicalthe ureterovesical Junction.Junction. • PeritonitisPeritonitis •• Intestinal obstructionIntestinal obstruction •• Duodenal ulcerDuodenal ulcer •• Abdominal aorticAbdominal aortic aneurysmaneurysm •• Musculoskeletal painMusculoskeletal pain •• Herpes zosterHerpes zoster 1616
  • 17.
    diagNosisdiagNosis The physical examinationThephysical examination is nonspecific, but mayis nonspecific, but may exclude other pathology.exclude other pathology.  The patient is typically in pain and uncomfortable.The patient is typically in pain and uncomfortable.  There may be ipsilateral costovertebral angle tenderness.There may be ipsilateral costovertebral angle tenderness.  With superimposed infection as such as pyelonephritis,With superimposed infection as such as pyelonephritis, there may be signs of sepsis including fever, tachycardia,there may be signs of sepsis including fever, tachycardia, and hypotension.and hypotension.  Pelvic examination may be necessary in female patientsPelvic examination may be necessary in female patients to rule out obstetrical or gynecological pathology, whileto rule out obstetrical or gynecological pathology, while rectal examination may reveal prostate pathology in men.rectal examination may reveal prostate pathology in men. 1717
  • 18.
    diagNosisdiagNosis  Urinalysis withmicroscopy (and urine culture if evidenceUrinalysis with microscopy (and urine culture if evidence of infection).of infection).  Serum electrolytes, BUN, creatinine, and calcium.Serum electrolytes, BUN, creatinine, and calcium.  Complete blood count in cases of suspected infection.Complete blood count in cases of suspected infection.  Abdominal imaging (most commonly spiral abdominalAbdominal imaging (most commonly spiral abdominal CT without contrast) it is critical in the care of patientsCT without contrast) it is critical in the care of patients with nephrolithiasis.with nephrolithiasis.  Stone analysis (if a specimen can be obtained).Stone analysis (if a specimen can be obtained).  Tests to rule out alternate diagnoses: amylase/ lipaseTests to rule out alternate diagnoses: amylase/ lipase (pancreatitis), urine pregnancy test (pregnancy(pancreatitis), urine pregnancy test (pregnancy complications), liver function tests (biliary disease).complications), liver function tests (biliary disease). 1818
  • 19.
    diagNosisdiagNosis  Complicated casessuch as recurrent nephrolithiasis,Complicated cases such as recurrent nephrolithiasis, solitary kidney, transplant kidney, heavy stone burdensolitary kidney, transplant kidney, heavy stone burden (e.g., staghorn calculus), chronic kidney disease,(e.g., staghorn calculus), chronic kidney disease, obstruction, and superimposed infection warrant a moreobstruction, and superimposed infection warrant a more thorough evaluationthorough evaluation  Patients who present with their first episode of renalPatients who present with their first episode of renal colic, but have multiple stones should be considered tocolic, but have multiple stones should be considered to have recurrent disease.have recurrent disease. 1919
  • 20.
  • 21.
    Urine analysisUrine analysis Urine that is positive for hemoglobin on dipstick analysisUrine that is positive for hemoglobin on dipstick analysis and erythrocytes on microscopic examination supportsand erythrocytes on microscopic examination supports the diagnosis of kidney stones. However, the lack ofthe diagnosis of kidney stones. However, the lack of hematuria does not definitively rule out nephrolithiasis.hematuria does not definitively rule out nephrolithiasis.  Leukocytes in the urine suggest a urinary tract infection.Leukocytes in the urine suggest a urinary tract infection. If pyuria is present, a urine culture should also beIf pyuria is present, a urine culture should also be obtained.obtained. Nephrolithiasis with associatedNephrolithiasis with associated pyelonephritis is an indication for urgentpyelonephritis is an indication for urgent urological evaluation and possible intervention.urological evaluation and possible intervention. 2121
  • 22.
    Urine analysis andUrineanalysis and sediment examinationsediment examination  Microscopic evaluation of urine for crystals may revealMicroscopic evaluation of urine for crystals may reveal the composition of the stone,the composition of the stone, although the absence ofalthough the absence of crystals does not rule out nephrolithiasiscrystals does not rule out nephrolithiasis..  Examination may yield crystals of calcium oxalate,Examination may yield crystals of calcium oxalate, calcium phosphate, uric acid, cystine, magnesiumcalcium phosphate, uric acid, cystine, magnesium ammonium phosphate (struvite), or drug crystals.ammonium phosphate (struvite), or drug crystals. 2222
  • 23.
  • 24.
    Urine analysisUrine analysis UrinarypH may also be helpful in determining the causeUrinary pH may also be helpful in determining the cause of nephrolithiasisof nephrolithiasis::  Alkaline urine (pH > 7.5) or pyuria can be caused byAlkaline urine (pH > 7.5) or pyuria can be caused by urinary tract infections with urea-splitting organisms; theurinary tract infections with urea-splitting organisms; the alkaline urine promotes struvite stones.alkaline urine promotes struvite stones.  Acidic urine (pH < 5.5) is associated with uric acid stones.Acidic urine (pH < 5.5) is associated with uric acid stones.  An inappropriately high urine pH in the setting ofAn inappropriately high urine pH in the setting of metabolic acidosis may suggest RTA, which is a potentialmetabolic acidosis may suggest RTA, which is a potential cause of kidney stones.cause of kidney stones. 2424
  • 25.
    stone analysisstone analysis The patient should be given a urine strainer withThe patient should be given a urine strainer with the instructions to strain all urine until the stonethe instructions to strain all urine until the stone has passed.has passed.  A 4 × 4 gauze pad placed over a cup can beA 4 × 4 gauze pad placed over a cup can be used to collect stone specimens if a urineused to collect stone specimens if a urine strainer is not available.strainer is not available.  Collected fragments or stones can be sent forCollected fragments or stones can be sent for chemical analysis.chemical analysis. 2525
  • 26.
    electrolytes, BUnelectrolytes, BUn andcreatinineand creatinine  An acutely elevated creatinine in the setting ofAn acutely elevated creatinine in the setting of nephrolithiasis could be a sign of urinarynephrolithiasis could be a sign of urinary obstruction and warrants urgent urologicalobstruction and warrants urgent urological consultation.consultation.  A low serum bicarbonate could suggest RTA, which canA low serum bicarbonate could suggest RTA, which can cause nephrolithiasis. Distal RTA is the type mostcause nephrolithiasis. Distal RTA is the type most commonly associated with nephrolithiasis.commonly associated with nephrolithiasis.  hypokalemia and an inappropriately high urinary pHhypokalemia and an inappropriately high urinary pH would also be suggestive of distal RTA.would also be suggestive of distal RTA.  Nausea and vomiting may produce a metabolic alkalosisNausea and vomiting may produce a metabolic alkalosis from volume contraction.from volume contraction. 2626
  • 27.
    serUm calciUmserUm calciUm Hypercalcemia may precipitate stone formation.Hypercalcemia may precipitate stone formation.  If the serum calcium is elevated, a parathyroid hormoneIf the serum calcium is elevated, a parathyroid hormone level and serum phosphorus should be obtained tolevel and serum phosphorus should be obtained to detect disorders such as primary hyperparathyroidism.detect disorders such as primary hyperparathyroidism.  The serum calcium is often only modestly elevated or atThe serum calcium is often only modestly elevated or at the high end of the normal range in primarythe high end of the normal range in primary hyperparathyroidism; the threshold for checking a serumhyperparathyroidism; the threshold for checking a serum PTH should be relatively low.PTH should be relatively low.  Other etiologies of hypercalcemia include malignancy,Other etiologies of hypercalcemia include malignancy, vitamin D intoxication, and granulomatous diseasesvitamin D intoxication, and granulomatous diseases (e.g., sarcoidosis and tuberculosis).(e.g., sarcoidosis and tuberculosis). 2727
  • 28.
    imagingimaging modalitiesmodalities  Spiral computedtomography (CT) of the abdomen withoutSpiral computed tomography (CT) of the abdomen without intravenous contrast is the imaging modality of choice forintravenous contrast is the imaging modality of choice for confirming nephrolithiasis.confirming nephrolithiasis.  CT can detect stones as small as 1 mm in diameter.CT can detect stones as small as 1 mm in diameter.  The sensitivity and specificity of noncontrast spiral CT areThe sensitivity and specificity of noncontrast spiral CT are 98% and 100%, respectively, for the diagnosis of stones.98% and 100%, respectively, for the diagnosis of stones.  CT can detect radiolucent stones such as uric acid andCT can detect radiolucent stones such as uric acid and indinavir stones.indinavir stones.  CT provides information regarding location, size, numberCT provides information regarding location, size, number of stones, and any structural abnormalities predisposingof stones, and any structural abnormalities predisposing to stone formation.to stone formation. 2828
  • 29.
    imagingimaging modalitiesmodalities  Intravenous pyelography(IVP) should be rarely used inIntravenous pyelography (IVP) should be rarely used in the evaluation of nephrolithiasis since it requires contrastthe evaluation of nephrolithiasis since it requires contrast administration and may miss small stones.administration and may miss small stones.  IVP also takes more time to perform than CT.IVP also takes more time to perform than CT.  Some medical centers do not routinely perform IVP in theSome medical centers do not routinely perform IVP in the era of CT.era of CT.  IVP remains the gold standard for the diagnosis forIVP remains the gold standard for the diagnosis for medullary sponge kidneymedullary sponge kidney, a condition which may cause, a condition which may cause calcium oxalate and calcium phosphate stones andcalcium oxalate and calcium phosphate stones and nephrocalcinosisnephrocalcinosis..  Spiral CT and CT urography can be used in lieu of IVP forSpiral CT and CT urography can be used in lieu of IVP for the diagnosis of medullary sponge kidney.the diagnosis of medullary sponge kidney. 2929
  • 30.
    imagingimaging modalitiesmodalities  Ultrasound isinferior to CT for visualization of stones,Ultrasound is inferior to CT for visualization of stones, compared to spiral CT as the gold standard .compared to spiral CT as the gold standard .  Ultrasound can only image the kidney and proximalUltrasound can only image the kidney and proximal ureter and may miss distal stones.ureter and may miss distal stones.  Although a suboptimal imaging modality forAlthough a suboptimal imaging modality for nephrolithiasis, ultrasound does not use radiation andnephrolithiasis, ultrasound does not use radiation and should be used in cases where radiation isshould be used in cases where radiation is contraindicated, such as pregnant patients.contraindicated, such as pregnant patients. 3030
  • 31.
    imaging modalitiesimaging modalities Abdominal X-ray of the kidneys, ureters, and bladderAbdominal X-ray of the kidneys, ureters, and bladder (KUB) is inadequate since it may miss radiolucent stones(KUB) is inadequate since it may miss radiolucent stones and stones less than 5 mm in diameter.and stones less than 5 mm in diameter.  Calcium stones are radiopaque, while cystine andCalcium stones are radiopaque, while cystine and struvite stones are often, but not consistently,struvite stones are often, but not consistently, radiopaque.radiopaque.  Uric acid stones are radiolucent unless they contain aUric acid stones are radiolucent unless they contain a calcium component.calcium component.  KUB also does not provide information about obstructionKUB also does not provide information about obstruction and hydronephrosis and yields limited information aboutand hydronephrosis and yields limited information about surrounding anatomy.surrounding anatomy. 3131
  • 32.
  • 33.
    nephrocalcinosisnephrocalcinosis  Nephrocalcinosis refersto the deposition of calciumNephrocalcinosis refers to the deposition of calcium oxalate and calcium phosphate in the renal parenchyma,oxalate and calcium phosphate in the renal parenchyma, while oxalosis refers specifically to calcium oxalatewhile oxalosis refers specifically to calcium oxalate deposition.deposition.  Nephrocalcinosis may be acute or chronic and associatedNephrocalcinosis may be acute or chronic and associated with normal or reduced kidney function.with normal or reduced kidney function.  Often noted incidentally on radiological imaging, includingOften noted incidentally on radiological imaging, including plain films, CT, or ultrasound, nephrocalcinosis may beplain films, CT, or ultrasound, nephrocalcinosis may be diagnosed during the evaluation of nephrolithiasis.diagnosed during the evaluation of nephrolithiasis.  Although associated with some of the nephrolithiasis riskAlthough associated with some of the nephrolithiasis risk factors, nephrocalcinosis may occur withoutfactors, nephrocalcinosis may occur without nephrolithiasis, and vice versa.nephrolithiasis, and vice versa. 3333
  • 34.
    nephrocalcinosisnephrocalcinosis  Risk factorsfor nephrocalcinosis include:Risk factors for nephrocalcinosis include: - Hypercalciuria with hypercalcemia (primary- Hypercalciuria with hypercalcemia (primary hyperparathyroidism, vitamin D therapy, sarcoidosis),hyperparathyroidism, vitamin D therapy, sarcoidosis), hypercalciuria without hypercalcemia (distal / type I RTA,hypercalciuria without hypercalcemia (distal / type I RTA, medullary sponge kidney, loop diuretics, neonatalmedullary sponge kidney, loop diuretics, neonatal nephrocalcinosis, congenital tubulopathies, and chronicnephrocalcinosis, congenital tubulopathies, and chronic hypokalemia).hypokalemia). - Hyperphosphaturia- Hyperphosphaturia (e.g., tumor lysis syndrome, oral(e.g., tumor lysis syndrome, oral sodiumsodium phosphate bowel preparations).phosphate bowel preparations). - Hyperoxaluria (i.e., primary, secondary, and enteric).- Hyperoxaluria (i.e., primary, secondary, and enteric). 3434
  • 35.
    nephrocalcinosisnephrocalcinosis Treatment of nephrocalcinosisinvolves:Treatment of nephrocalcinosis involves:  Treating the underlying cause, but maintenance ofTreating the underlying cause, but maintenance of adequate urine output (>2 L/day) may benefit all patientsadequate urine output (>2 L/day) may benefit all patients with nephrocalcinosis.with nephrocalcinosis.  Hypercalciuric patients may benefit from oral potassiumHypercalciuric patients may benefit from oral potassium citrate to increase solubility of calcium oxalate andcitrate to increase solubility of calcium oxalate and dietary restriction of animal protein (<0.7 g/kg/day) anddietary restriction of animal protein (<0.7 g/kg/day) and sodium (<2.3 g/day) along with liberalized potassiumsodium (<2.3 g/day) along with liberalized potassium intake.intake.  Calcium deposition is typically irreversible, even if theCalcium deposition is typically irreversible, even if the underlying cause is corrected.underlying cause is corrected. 3535
  • 36.
    acUte medicalacUte medical managementmanagement In general, stones >10 mm typically do not passIn general, stones >10 mm typically do not pass spontaneously, while stones < 5 mm will. Intermediatespontaneously, while stones < 5 mm will. Intermediate stones between 5 and 10 mm have variable outcomes.stones between 5 and 10 mm have variable outcomes.  Distal ureter stones are more likely to pass than proximalDistal ureter stones are more likely to pass than proximal stones.stones.  Patients with ureteral stones <10 mm in diameter in thePatients with ureteral stones <10 mm in diameter in the absence of fever, infection, kidney injury, or otherabsence of fever, infection, kidney injury, or other complications are candidates for conservativecomplications are candidates for conservative management with analgesia and hydration.management with analgesia and hydration. 3636
  • 37.
    acUte medicalacUte medical managementmanagement Nonsteroidal anti-infl ammatory drugsNonsteroidal anti-infl ammatory drugs (NSAIDs) and(NSAIDs) and opiates are the two most commonly used classes ofopiates are the two most commonly used classes of analgesics used for renal colic.analgesics used for renal colic.  NSAIDs have been shown to be at least as effectiveNSAIDs have been shown to be at least as effective as opiates in controlling pain. Intravenous ketorolac isas opiates in controlling pain. Intravenous ketorolac is commonly used in the emergency department settingcommonly used in the emergency department setting for effective analgesia with less sedation than opiates.for effective analgesia with less sedation than opiates.  The choice between NSAIDs and opiates largelyThe choice between NSAIDs and opiates largely depends on the side effect profile of the medicationdepends on the side effect profile of the medication and the patient’s comorbidities.and the patient’s comorbidities. 3737
  • 38.
    acUte medicalacUte medical managementmanagement Hydration can correct hypovolemia associated withHydration can correct hypovolemia associated with nausea and vomiting from nephrolithiasis.nausea and vomiting from nephrolithiasis.  Forced intravenous hydration does not reduce painForced intravenous hydration does not reduce pain medication requirements or facilitate stone passagemedication requirements or facilitate stone passage compared to regular IV hydration.compared to regular IV hydration.  Increased oral fluid intake is recommended to increaseIncreased oral fluid intake is recommended to increase urine flow and hasten stone passage.urine flow and hasten stone passage.  Patients are usually instructed to drink at least 2–3 L ofPatients are usually instructed to drink at least 2–3 L of fluid per day to maintain a urine output of at least 2.5 Lfluid per day to maintain a urine output of at least 2.5 L per day.per day.  Increased urine output will decrease the soluteIncreased urine output will decrease the solute supersaturation that lead to stone formation and growth.supersaturation that lead to stone formation and growth. 3838
  • 39.
    expUlsive medicalexpUlsive medical therapytherapy Alpha 1 - adrenergic blockers and calcium channelAlpha 1 - adrenergic blockers and calcium channel blockers have been used to relax the ureter and increaseblockers have been used to relax the ureter and increase hydrostatic pressure proximal to the stone, resulting inhydrostatic pressure proximal to the stone, resulting in stone passage. They reduce time to stone passage, painstone passage. They reduce time to stone passage, pain episodes, pain scores, and analgesic requirements.episodes, pain scores, and analgesic requirements.  Both medications are generally well tolerated and mayBoth medications are generally well tolerated and may be considered for patients with smaller stones < 5 mmbe considered for patients with smaller stones < 5 mm and/ or stones located in the distal ureter.and/ or stones located in the distal ureter.  Tamsulosin may cause less hypotension and lightTamsulosin may cause less hypotension and light headedness than nifedipine. The usual doses areheadedness than nifedipine. The usual doses are tamsulosin 0.4 mg daily and extended-release nifedipinetamsulosin 0.4 mg daily and extended-release nifedipine 30 mg daily.30 mg daily. 3939
  • 40.
    acUte medicalacUte medical managementmanagement Complicated cases including larger stones (> 5 mm),Complicated cases including larger stones (> 5 mm), proximal stones, superimposed infection, pyelonephritis,proximal stones, superimposed infection, pyelonephritis, obstruction (either unilateral with a solitary kidney orobstruction (either unilateral with a solitary kidney or bilateral), acute kidney injury, and significant comorbiditiesbilateral), acute kidney injury, and significant comorbidities may requiremay require hospitalizationhospitalization..  Patients with larger stones requiring IV analgesics mayPatients with larger stones requiring IV analgesics may requirerequire hospitalizationhospitalization for pain control.for pain control.  Consultation byConsultation by urologyurology oror interventional radiologyinterventional radiology for stone removal or definitive drainage should befor stone removal or definitive drainage should be considered.considered.  NephrologyNephrology consultation may be necessary for risk factorconsultation may be necessary for risk factor identification, risk reduction for recurrent nephrolithiasis,identification, risk reduction for recurrent nephrolithiasis, and any concomitant acute and/or chronic kidney disease.and any concomitant acute and/or chronic kidney disease. 4040
  • 41.
    DietaryDietary MoDificationMoDification Specific dietaryrecommendations depend on theSpecific dietary recommendations depend on the patient’s risk factors, type of stone, and results of a 24 hpatient’s risk factors, type of stone, and results of a 24 h urine collection.urine collection.  Increased fluid intake is useful in decreasing the urinaryIncreased fluid intake is useful in decreasing the urinary concentration of solutes should reduce supersaturationconcentration of solutes should reduce supersaturation and stone formation and/or growth.and stone formation and/or growth.  Patients should drink 2–3 L of water per day, titratingPatients should drink 2–3 L of water per day, titrating oral fluid intake to keep urine output greater than 2.5 Loral fluid intake to keep urine output greater than 2.5 L per day.per day.  One consideration when prescribing increased fluidOne consideration when prescribing increased fluid intake is that patients may develop increased urinaryintake is that patients may develop increased urinary frequency which could be disruptive, particularly withfrequency which could be disruptive, particularly with nocturia.nocturia. 4141
  • 42.
    MeDicationsMeDications  Medication willbe indicated, If dietary therapy does notMedication will be indicated, If dietary therapy does not adequately modify a patient’s risk profile (i.e., normalizationadequately modify a patient’s risk profile (i.e., normalization of 24 h urine results).of 24 h urine results).  ThiazidesThiazides such as chlorthalidone and hydrochlorothiazidesuch as chlorthalidone and hydrochlorothiazide reduce urine calcium excretion.reduce urine calcium excretion.  Urine alkalinizationUrine alkalinization may also be helpful for uric acidmay also be helpful for uric acid stones by increasing the solubility of uric acid, but therestones by increasing the solubility of uric acid, but there should be adequate urine flow around the stone.should be adequate urine flow around the stone.  AllopurinolAllopurinol “xanthine oxidase enzyme inhibitor”,“xanthine oxidase enzyme inhibitor”, preventing the formation of uric acid and decreasing urinepreventing the formation of uric acid and decreasing urine uric acid excretion.uric acid excretion. 4242
  • 43.
  • 44.
    calciuM oxalate anDcalciuMoxalate anD calciuMcalciuM phosphate stonesphosphate stones  Calcium stones tend to form in low urine volume states,Calcium stones tend to form in low urine volume states, especially in people on high salt diets or vitamin D orespecially in people on high salt diets or vitamin D or calcium supplements.calcium supplements.  The resultant hypercalciuria increases the supersaturationThe resultant hypercalciuria increases the supersaturation of calcium oxalate and calcium phosphate.of calcium oxalate and calcium phosphate.  Conditions associated with urinary stasis, such asConditions associated with urinary stasis, such as ureteropelvic junction obstruction, horseshoe kidney andureteropelvic junction obstruction, horseshoe kidney and polycystic kidney disease increase the risk of calciumpolycystic kidney disease increase the risk of calcium stone precipitation.stone precipitation.  Unlike calcium oxalate stones, calcium phosphate stonesUnlike calcium oxalate stones, calcium phosphate stones tend to form intend to form in alkaline urinealkaline urine (pH > 6.3) as is seen with(pH > 6.3) as is seen with distal RTA.distal RTA. 4343
  • 45.
    calciuM oxalate anDcalciuMoxalate anD calciuMcalciuM phosphate stonesphosphate stones  Primary hyperparathyroidism increases urinary calciumPrimary hyperparathyroidism increases urinary calcium and phosphate excretion, predisposing to calciumand phosphate excretion, predisposing to calcium phosphate stones.phosphate stones.  A low calcium dietA low calcium diet has not been shown to preventhas not been shown to prevent recurrent calcium stones. Calcium binds oxalate in therecurrent calcium stones. Calcium binds oxalate in the gastrointestinal tract; decreasing calcium intakegastrointestinal tract; decreasing calcium intake increases oxalate absorption and leads to hyperoxaluria,increases oxalate absorption and leads to hyperoxaluria, which may increase calcium oxalate stones.which may increase calcium oxalate stones.  A low sodium dietA low sodium diet limits urinary calcium excretionlimits urinary calcium excretion  A low protein dietA low protein diet increases urinary citrate excretionincreases urinary citrate excretion and decreases calcium excretion.and decreases calcium excretion. 4444
  • 46.
    calciuM oxalate anDcalciuMoxalate anD calciuMcalciuM phosphate stonesphosphate stones  Goal oxalate intake should be < 100 mg daily andGoal oxalate intake should be < 100 mg daily and avoid taking > 100 mg of ascorbic acid as well.avoid taking > 100 mg of ascorbic acid as well.  Oxalate-rich foodsOxalate-rich foods should be eaten in moderation,should be eaten in moderation, including spinach, rhubarb, wheat bran, beets,including spinach, rhubarb, wheat bran, beets, chocolate, and nuts.chocolate, and nuts.  CitrateCitrate inhibits crystallization of calcium oxalateinhibits crystallization of calcium oxalate crystallization. Potassium citrate (20–60 mg/kg/daycrystallization. Potassium citrate (20–60 mg/kg/day divided in three to four doses) can also be used todivided in three to four doses) can also be used to decrease calcium absorption and calciuria.decrease calcium absorption and calciuria. 4545
  • 47.
    hypercalciuriahypercalciuria  Patients withPatientswith hypercalciuria tend to develop calciumhypercalciuria tend to develop calcium oxalateoxalate and calcium phosphate stones, the latter moreand calcium phosphate stones, the latter more notably in patients with alkaline urine.notably in patients with alkaline urine.  Causes:Causes: Idiopathic, primary hyperparathyroidism,Idiopathic, primary hyperparathyroidism, granulomatous diseases, vitamin D excess, corticosteroidgranulomatous diseases, vitamin D excess, corticosteroid treatment, distal RTA, hyperthyroidism, andtreatment, distal RTA, hyperthyroidism, and malignancy(e.g., multiple myeloma).malignancy(e.g., multiple myeloma).  Idiopathic hypercalciuriaIdiopathic hypercalciuria can be further classified intocan be further classified into three different types:three different types: absorptive, resorptive, and renal leakabsorptive, resorptive, and renal leak.. 4646
  • 48.
    hypercalciuriahypercalciuria A- Absorptive hypercalciuriaA-Absorptive hypercalciuria is thought to be due tois thought to be due to increased gastrointestinal absorptionincreased gastrointestinal absorption of ingestedof ingested calcium.calcium.  These patients will tend to have slightly decreased PTH,These patients will tend to have slightly decreased PTH, slightly elevated 1,25-dihydroxyvitamin D levels, elevatedslightly elevated 1,25-dihydroxyvitamin D levels, elevated serum calcium, and slightly low serum phosphorus.serum calcium, and slightly low serum phosphorus.  The pathophysiologyThe pathophysiology is thought to be eitheris thought to be either overproduction of vitamin D or increased sensitivity tooverproduction of vitamin D or increased sensitivity to vitamin D action.vitamin D action.  These patients tend to be poorly responsive to anyThese patients tend to be poorly responsive to any dietary modifications in calcium.dietary modifications in calcium. 4747
  • 49.
    hypercalciuriahypercalciuria B- Resorptive hypercalciuriaB-Resorptive hypercalciuria occurs with increasedoccurs with increased bone resorption and turnover (typically:bone resorption and turnover (typically: hyperparathyroidism), leading to increased urinaryhyperparathyroidism), leading to increased urinary calcium excretion.calcium excretion. C- Renal leak hypercalciuriaC- Renal leak hypercalciuria is due to a primaryis due to a primary defect in renal tubular transportdefect in renal tubular transport causingcausing inappropriate urinary calcium losses and secondaryinappropriate urinary calcium losses and secondary gastrointestinal calcium reabsorption and calciumgastrointestinal calcium reabsorption and calcium mobilization from the bone. These patients have mildmobilization from the bone. These patients have mild hypocalcemia and 2ry hyperparathyroidism.hypocalcemia and 2ry hyperparathyroidism. 4848
  • 50.
    hypercalciuriahypercalciuria  Patients mayrequirePatients may require hydrochlorothiazidehydrochlorothiazide 50 mg50 mg daily to achieve significant decreases in calciumdaily to achieve significant decreases in calcium excretion; the prescribing physician shouldexcretion; the prescribing physician should document decreased urinary calcium excretion withdocument decreased urinary calcium excretion with 24 h urine collections.24 h urine collections.  Patients onPatients on thiazidesthiazides should be monitored forshould be monitored for hypokalemiahypokalemia sincesince hypokalemiahypokalemia can decreasecan decrease urinary citrate excretion and increase the risk forurinary citrate excretion and increase the risk for calcium stones.calcium stones.  Hypokalemic patients should be supplemented withHypokalemic patients should be supplemented with potassium citratepotassium citrate or startor start potassium sparingpotassium sparing diureticsdiuretics such as amiloride or spironolactone.such as amiloride or spironolactone. 4949
  • 51.
    hypercalciuriahypercalciuria  Patients withhypercalciuria should limit dietary calcium to <Patients with hypercalciuria should limit dietary calcium to < 2 g/day. The calcium should be obtained from dietary2 g/day. The calcium should be obtained from dietary sources.sources.  Calcium restriction in patients with hypercalciuria can resultCalcium restriction in patients with hypercalciuria can result in decreasing bone mineral density and increased rate ofin decreasing bone mineral density and increased rate of fractures in this patient group and should be avoided.fractures in this patient group and should be avoided.  Thiazide diuretics can decrease urinary calcium excretion byThiazide diuretics can decrease urinary calcium excretion by > 50%. The mechanism of decreased urinary calcium> 50%. The mechanism of decreased urinary calcium excretion with thiazides is thought to be increased absorptionexcretion with thiazides is thought to be increased absorption of calcium in the proximal tubule due to volume contraction.of calcium in the proximal tubule due to volume contraction.  Diets high in sodium or carbohydrates increase urinaryDiets high in sodium or carbohydrates increase urinary calcium excretion. Thereforecalcium excretion. Therefore low sodium and lowlow sodium and low carbohydratecarbohydrate diets are recommended.diets are recommended. 5050
  • 52.
    Distal rtaDistal rta Patients that have distal RTA will usually present withPatients that have distal RTA will usually present with nephrolithiasis due tonephrolithiasis due to excessive urinary calciumexcessive urinary calcium excretion, decreased urinary citrate excretion andexcretion, decreased urinary citrate excretion and persistently alkaline urine.persistently alkaline urine.  They have aThey have a chronic metabolic acidosischronic metabolic acidosis which resultswhich results inin loss of bone calciumloss of bone calcium leading to hypercalciuria.leading to hypercalciuria.  In addition, the acidosis also contributes toIn addition, the acidosis also contributes to hypocitraturiahypocitraturia, which is an independent risk factor that, which is an independent risk factor that increases risk for stone recurrence.increases risk for stone recurrence.  Finally, theFinally, the chronic alkaline urinechronic alkaline urine promotes calciumpromotes calcium phosphate precipitation.phosphate precipitation. 5151
  • 53.
    hypocitraturiahypocitraturia  CitrateCitrate slowsthe growth of calcium crystals byslows the growth of calcium crystals by chelating urinary calcium, preventingchelating urinary calcium, preventing supersaturation and stone formation.supersaturation and stone formation.  HypocitraturiaHypocitraturia can be idiopathic or associatedcan be idiopathic or associated with medical conditions, including distal RTA,with medical conditions, including distal RTA, hypokalemia, glycogen storage disease type I, andhypokalemia, glycogen storage disease type I, and a high protein/low carbohydrate diet.a high protein/low carbohydrate diet.  Carbonic anhydrase inhibitorsCarbonic anhydrase inhibitors (acetazolamide)(acetazolamide) alter urinary pH and decrease urinary citratealter urinary pH and decrease urinary citrate excretion in the urine.excretion in the urine. 5252
  • 54.
    hypocitraturiahypocitraturia  Tubular reabsorptionof citrate is increased inTubular reabsorption of citrate is increased in acidemiaacidemia. Intracellular acidosis enhances proximal. Intracellular acidosis enhances proximal tubular transport of citrate by the brush bordertubular transport of citrate by the brush border membrane.membrane.  In patients with hypocitraturia, increase urinary citrateIn patients with hypocitraturia, increase urinary citrate by using potassium citrate or potassium bicarbonate.by using potassium citrate or potassium bicarbonate. Try to avoid sodium-based medications to avoid theTry to avoid sodium-based medications to avoid the calciuric effect of sodium.calciuric effect of sodium.  Potassium citrate should be 10–20 mEq two to threePotassium citrate should be 10–20 mEq two to three times daily. Of note, orange juice and lemonade cantimes daily. Of note, orange juice and lemonade can also increase urinary citrate excretion.also increase urinary citrate excretion. 5353
  • 55.
    hyperoxaluriahyperoxaluria  The differentialdiagnosisThe differential diagnosis includes high dietary oxalate,includes high dietary oxalate, malabsorptive states, and hyperoxalosis (primary ormalabsorptive states, and hyperoxalosis (primary or enteric).enteric).  Patients who eat a high protein diet, oxalate rich dietPatients who eat a high protein diet, oxalate rich diet (found in nuts, soybean, spinach), or large amounts of(found in nuts, soybean, spinach), or large amounts of ascorbic acid can also have hyperoxaluria because ofascorbic acid can also have hyperoxaluria because of increased oxalate production.increased oxalate production.  Patients who are on a low calcium diet can also havePatients who are on a low calcium diet can also have increased oxalate absorption and hyperoxaluria as a result.increased oxalate absorption and hyperoxaluria as a result.  Preventive measuresPreventive measures focus on a low fat and low oxalatefocus on a low fat and low oxalate diet, increasing calcium intake with meals to bind oxalatediet, increasing calcium intake with meals to bind oxalate and prevent absorption from the gut, increased fluid intake,and prevent absorption from the gut, increased fluid intake, and avoiding a high protein and/or ascorbic acid-rich diet.and avoiding a high protein and/or ascorbic acid-rich diet. 5454
  • 56.
    hyperoxaluriahyperoxaluria  Patients withmalabsorptive states can have increasedPatients with malabsorptive states can have increased enteric absorption of oxalate and present with hyperoxaluriaenteric absorption of oxalate and present with hyperoxaluria and calcium oxalate stones.and calcium oxalate stones.  Normally,Normally, 90%90% of dietary oxalate binds dietary calcium inof dietary oxalate binds dietary calcium in the small intestine and passes into the stool as calciumthe small intestine and passes into the stool as calcium oxalate.oxalate. 10%10% of dietary oxalate is absorbed in the colon andof dietary oxalate is absorbed in the colon and excreted in the urine.excreted in the urine.  Patients that have enteric malabsorption have increased gutPatients that have enteric malabsorption have increased gut absorption of oxalate due to the excess enteric fat bindingabsorption of oxalate due to the excess enteric fat binding dietary calcium and allowing free oxalate to be absorbed.dietary calcium and allowing free oxalate to be absorbed.  Chronic diarrhea, small bowel resection, ileostomy andChronic diarrhea, small bowel resection, ileostomy and inflammatory bowel disease have been associated withinflammatory bowel disease have been associated with enteric hyperoxaluria.enteric hyperoxaluria. 5555
  • 57.
    hyperoxaluriahyperoxaluria  Primary hyperoxaluria,Primaryhyperoxaluria, a recessive hereditary disordera recessive hereditary disorder of oxalate metabolism, should be suspected in patientsof oxalate metabolism, should be suspected in patients who have early onset formation of calcium oxalate stones,who have early onset formation of calcium oxalate stones, nephrocalcinosis, and chronic kidney disease innephrocalcinosis, and chronic kidney disease in childhoodchildhood..  PyridoxinePyridoxine can be used as a possible treatment as itcan be used as a possible treatment as it lowers oxalate production and excretion in some patients.lowers oxalate production and excretion in some patients.  Prolonged thiazideProlonged thiazide use ( > 1 year) decreases urinaryuse ( > 1 year) decreases urinary oxalate excretion.oxalate excretion.  Definitive treatment is liver transplantationDefinitive treatment is liver transplantation whichwhich transfers a functional liver-specific alanine:transfers a functional liver-specific alanine: glyoxylateglyoxylate aminotransferase enzyme.aminotransferase enzyme. 5656
  • 58.
  • 59.
  • 60.
    hyperuricosuriahyperuricosuria  Hyperuricosuria canbe associated withHyperuricosuria can be associated with calciumcalcium oxalate stones and uric acid stonesoxalate stones and uric acid stones..  Patients that develop calcium oxalate stones havePatients that develop calcium oxalate stones have elevated urinary uric acid levels, which promote stoneelevated urinary uric acid levels, which promote stone formation by reducing the solubility of calcium oxalateformation by reducing the solubility of calcium oxalate and increasing supersaturation of calcium oxalate in theand increasing supersaturation of calcium oxalate in the urine.urine.  Patients with hyperuricosuria and idiopathic calciumPatients with hyperuricosuria and idiopathic calcium oxalate nephrolithiasis should be started on allopurinoloxalate nephrolithiasis should be started on allopurinol (100 mg daily which can be titrated to a maximum dose(100 mg daily which can be titrated to a maximum dose of 300 mg daily) to decrease stone recurrence.of 300 mg daily) to decrease stone recurrence. 5959
  • 61.
    Uric Acid StoneSUricAcid StoneS  Comprising 10–15% of kidney stones, uric acidComprising 10–15% of kidney stones, uric acid stones form in the setting ofstones form in the setting of hyperuricosuria andhyperuricosuria and decreased solubility at low urine pHdecreased solubility at low urine pH..  Uric acid nephrolithiasis is associated with obesity,Uric acid nephrolithiasis is associated with obesity, metabolic syndrome, gout, chronic diarrhea, highmetabolic syndrome, gout, chronic diarrhea, high protein diets, myeloproliferative disorders andprotein diets, myeloproliferative disorders and hereditary inborn metabolism disorders such ashereditary inborn metabolism disorders such as Lesch-Nyhan syndrome.Lesch-Nyhan syndrome.  Patients with chronic diarrhea have lower urine pHPatients with chronic diarrhea have lower urine pH because of the loss of alkali via stool and increasedbecause of the loss of alkali via stool and increased urinary H+ secretion.urinary H+ secretion. 6060
  • 62.
    Uric Acid StoneSUricAcid StoneS  Uric acid stones are radiolucent on plain films, but canUric acid stones are radiolucent on plain films, but can be visualized on CT.be visualized on CT.  Prevention and treatmentPrevention and treatment involves:involves: -- AlkalinizationAlkalinization of the urine to pH 6–6.5 to increase uricof the urine to pH 6–6.5 to increase uric acid solubility. Alkalinization consists of oral potassiumacid solubility. Alkalinization consists of oral potassium citrate 10 – 20 mEq two to three times daily.citrate 10 – 20 mEq two to three times daily. -- Adequate hydrationAdequate hydration to reduce supersaturation.to reduce supersaturation. -- A low animal proteinA low animal protein diet is recommended to reducediet is recommended to reduce acid production.acid production. -- Dietary sodiumDietary sodium should be restricted to reduce urinaryshould be restricted to reduce urinary uric acid excretion.uric acid excretion. 6161
  • 63.
    Uric Acid StoneSUricAcid StoneS  Allopurinol should be used in hyperuricosuria or whenAllopurinol should be used in hyperuricosuria or when urine alkalinization is difficult or not well tolerated.urine alkalinization is difficult or not well tolerated.  Before initiating therapy for recurrent stones, the urinaryBefore initiating therapy for recurrent stones, the urinary pH and citrate levels for these patients needs to bepH and citrate levels for these patients needs to be evaluated and if urinary citrate levels do not rise butevaluated and if urinary citrate levels do not rise but urinary pH tends to rise, the degree of supersaturationurinary pH tends to rise, the degree of supersaturation worsens and patients can then develop calciumworsens and patients can then develop calcium phosphate stones and alkaline therapy is unlikely to bephosphate stones and alkaline therapy is unlikely to be beneficial in this patient group.beneficial in this patient group.  However it is still recommended that these patientsHowever it is still recommended that these patients should adhere toshould adhere to increasing fluid intakeincreasing fluid intake to increaseto increase urinary output and should adhere tourinary output and should adhere to a low-salt anda low-salt and low-protein diet with normal calcium intakelow-protein diet with normal calcium intake.. 6262
  • 64.
  • 65.
    StrUvite StoneSStrUvite StoneS Magnesium ammonium phosphateMagnesium ammonium phosphate (struvite) stones(struvite) stones make up 10–15% of stones.make up 10–15% of stones.  More common in women and patients withMore common in women and patients with chronicchronic urinary obstructionurinary obstruction, struvite stones are usually, struvite stones are usually associated withassociated with urinary tract infectionsurinary tract infections with urease-with urease- producing organisms such as Proteus , Klebsiella ,producing organisms such as Proteus , Klebsiella , Providencia , Pseudomonas , enterococci,Providencia , Pseudomonas , enterococci, Haemophilus , and Ureaplasma urealyticumHaemophilus , and Ureaplasma urealyticum..  The initial event in the pathogenesis of struvite stonesThe initial event in the pathogenesis of struvite stones may in fact be a calcium oxalate nidus infected with amay in fact be a calcium oxalate nidus infected with a urea-splitting organism.urea-splitting organism. 6464
  • 66.
    StrUvite StoneSStrUvite StoneS UreaseUrease hydrolyzes urea to ammonia and COhydrolyzes urea to ammonia and CO22 ,, resulting in a urine pH > 7. Ammonia combines withresulting in a urine pH > 7. Ammonia combines with water to form ammonium, resulting in an increasedwater to form ammonium, resulting in an increased amount of ammonium in alkaline urine. Struviteamount of ammonium in alkaline urine. Struvite precipitates with calcium carbonate to form large stonesprecipitates with calcium carbonate to form large stones andand staghorn calculistaghorn calculi that can fill the renal pelvis.that can fill the renal pelvis.  Struvite stones can progress rapidly over weeks toStruvite stones can progress rapidly over weeks to months. Untreated, struvite stones can cause acute andmonths. Untreated, struvite stones can cause acute and chronic kidney disease and end stage renal disease.chronic kidney disease and end stage renal disease.  TheThe coffin-lidcoffin-lid appearance of magnesium ammoniumappearance of magnesium ammonium phosphate crystals on urine microscopy confirms thephosphate crystals on urine microscopy confirms the diagnosis.diagnosis. 6565
  • 67.
    StrUvite StoneSStrUvite StoneS Treatment involves antibiotics and concomitant stoneTreatment involves antibiotics and concomitant stone removal to eradicate the infection and to remove the nidus.removal to eradicate the infection and to remove the nidus.  Medical therapy alone is rarely successful. According toMedical therapy alone is rarely successful. According to the American Urological Association Nephrolithiasisthe American Urological Association Nephrolithiasis Clinical Guidelines Panel, struvite stones should beClinical Guidelines Panel, struvite stones should be removed via percutaneous nephrolithotomy and thenremoved via percutaneous nephrolithotomy and then patients should remain on suppressive low dose antibioticspatients should remain on suppressive low dose antibiotics with sulfamethoxazole/trimethoprim or nitrofurantoin for 6with sulfamethoxazole/trimethoprim or nitrofurantoin for 6 months. Open nephrolithotomy is rarely indicated in themonths. Open nephrolithotomy is rarely indicated in the modern era.modern era.  Selected patients may require shockwave lithotripsy,Selected patients may require shockwave lithotripsy, combination therapy with percutaneous nephrolithotomycombination therapy with percutaneous nephrolithotomy and lithotripsy, or nephrostomy tube placement.and lithotripsy, or nephrostomy tube placement. 6666
  • 68.
    StrUvite StoneSStrUvite StoneS A multidisciplinary approachA multidisciplinary approach with nephrology, awith nephrology, a urology, and interventional radiology may be indicated.urology, and interventional radiology may be indicated.  Following successful stone removal, monitoring withFollowing successful stone removal, monitoring with periodic CT for recurrent disease is indicated, especiallyperiodic CT for recurrent disease is indicated, especially if an underlying urological condition predisposing toif an underlying urological condition predisposing to recurrent urinary tract infections has not been resolved.recurrent urinary tract infections has not been resolved.  Patients should also be monitored for calcium stones asPatients should also be monitored for calcium stones as the initial step in the pathogenesis of recurrent struvitethe initial step in the pathogenesis of recurrent struvite stones.stones.  Any risk factors for calcium stones should be addressed.Any risk factors for calcium stones should be addressed. 6767
  • 69.
    StrUvite StoneSStrUvite StoneS If stone removal is not possible, then medical therapyIf stone removal is not possible, then medical therapy includes antibiotics and a urease inhibitor.includes antibiotics and a urease inhibitor.  Selected on the basis of urine culture sensitivity results,Selected on the basis of urine culture sensitivity results, antibiotics may not eradicate the infection and sterilizeantibiotics may not eradicate the infection and sterilize the stone, but may slow stone progression.the stone, but may slow stone progression.  Acetohydroxamic acidAcetohydroxamic acid, a urease inhibitor, has been, a urease inhibitor, has been used to slow or prevent stone growth.used to slow or prevent stone growth.  However, many patients have intolerable side effects,However, many patients have intolerable side effects, with up to 60% experiencing headache, nausea,with up to 60% experiencing headache, nausea, vomiting, tremor, and rash.vomiting, tremor, and rash.  Acetohydroxamic acidAcetohydroxamic acid is contraindicated in patientsis contraindicated in patients with moderate to severe chronic kidney disease.with moderate to severe chronic kidney disease. 6868
  • 70.
  • 71.
    cyStine StoneScyStine StoneS Cystine stonesCystine stones are rare, comprising < 1% of stones, butare rare, comprising < 1% of stones, but are more common in pediatric patients.are more common in pediatric patients.  Patients have anPatients have an autosomal recessive disorderautosomal recessive disorder thatthat causes impaired reabsorption of dibasic amino acidscauses impaired reabsorption of dibasic amino acids including cystine, ornithine, arginine, and lysine in theincluding cystine, ornithine, arginine, and lysine in the small intestine and renal proximal tubule, resulting insmall intestine and renal proximal tubule, resulting in increased urinary excretion.increased urinary excretion.  Cystine is insoluble in the urine, producing radiopaqueCystine is insoluble in the urine, producing radiopaque Stones The median age at onset is 12 years, althoughStones The median age at onset is 12 years, although some will present in infancy.some will present in infancy.  Large staghorn calculi of cystineLarge staghorn calculi of cystine can form. Patientscan form. Patients may have decreased kidney function and diffusemay have decreased kidney function and diffuse interstitial fibrosis and plugging of collecting ducts withinterstitial fibrosis and plugging of collecting ducts with cystine crystals on kidney biopsy.cystine crystals on kidney biopsy. 7070
  • 72.
    cyStine StoneScyStine StoneS The diagnosis is made by family history of nephrolithiasisThe diagnosis is made by family history of nephrolithiasis disease,disease, hexagonalhexagonal cystine crystals on urine microscopy,cystine crystals on urine microscopy, stone analysis, and a positive cyanide - nitroprussidestone analysis, and a positive cyanide - nitroprusside screening test for urine cystine (which indicates ascreening test for urine cystine (which indicates a concentration > 75 mg/L; normal is < 30 mg/L).concentration > 75 mg/L; normal is < 30 mg/L).  Cystine stones are less radiopaque than calcium stonesCystine stones are less radiopaque than calcium stones on plain films. Less common than struvite stones as theon plain films. Less common than struvite stones as the cause of staghorn calculi, cystine stones should because of staghorn calculi, cystine stones should be considered in pediatric patient with large branched stone.considered in pediatric patient with large branched stone.  Prevention focuses on hydration (urine volume of at leastPrevention focuses on hydration (urine volume of at least 3–3.5 L/day) and urine alkalinization to pH >7.0 to3–3.5 L/day) and urine alkalinization to pH >7.0 to enhance solubility. Potassium citrate or potassiumenhance solubility. Potassium citrate or potassium bicarbonate at 3–4 mEq/kg daily may be necessary forbicarbonate at 3–4 mEq/kg daily may be necessary for adequate alkalinization,adequate alkalinization, 7171
  • 73.
    cyStine StoneScyStine StoneS Low protein and low salt dietsLow protein and low salt diets decrease urinary cystinedecrease urinary cystine excretion. Protein is a source of methionine, the precursor toexcretion. Protein is a source of methionine, the precursor to cystine.cystine.  Cysteine - binding medication:Cysteine - binding medication: cystine is a dimer ofcystine is a dimer of cysteine molecules linked by disulfide bond. Cysteine -cysteine molecules linked by disulfide bond. Cysteine - binding drugs have sulfhydryl groups that form mixedbinding drugs have sulfhydryl groups that form mixed disulfides with cysteine that are more soluble than cystine.disulfides with cysteine that are more soluble than cystine.  Two regimens includeTwo regimens include d - penicillamined - penicillamine 1–2 g daily in 3-41–2 g daily in 3-4 divided doses anddivided doses and tiopronintiopronin at 400–1,200 mg daily in 3-4at 400–1,200 mg daily in 3-4 divided doses. Both medications have side effects includingdivided doses. Both medications have side effects including abdominal pain, dygeusia, leukopenia, fever, proteinuria, andabdominal pain, dygeusia, leukopenia, fever, proteinuria, and rarely nephritic syndrome.rarely nephritic syndrome.  Patients on d - penicillamine should take vitamin BPatients on d - penicillamine should take vitamin B66 50 mg50 mg daily.daily. 7272
  • 74.
  • 75.
    nephrolithiASiSnephrolithiASiS relAted torelAted to MedicAtionSMedicAtionS Drug-induced renal calculi comprise 1–2% of all stones.Drug-induced renal calculi comprise 1–2% of all stones.  Medications can cause stone formation via twoMedications can cause stone formation via two mechanisms:mechanisms: -- FirstFirst, drugs can induce metabolic abnormalities that, drugs can induce metabolic abnormalities that promote stone formation (e.g., loop diuretics, carbonicpromote stone formation (e.g., loop diuretics, carbonic anhydrase inhibitors, laxatives).anhydrase inhibitors, laxatives). -- SecondSecond, poorly soluble medications with high urinary, poorly soluble medications with high urinary excretion can crystallize in urine, directly forming stonesexcretion can crystallize in urine, directly forming stones or a nidus for subsequent stone formation (e.g.,or a nidus for subsequent stone formation (e.g., ciprofloxacin, sulfa drugs, triamterene, indinavir,ciprofloxacin, sulfa drugs, triamterene, indinavir, ephedrine, and magnesium trisilicate.ephedrine, and magnesium trisilicate. 7474
  • 76.
    nephrolithiASiSnephrolithiASiS relAted torelAted to MedicAtionSMedicAtionS Risk factors for developing drug-induced nephrolithiasis:Risk factors for developing drug-induced nephrolithiasis: A- Personal or family history of kidney stonesA- Personal or family history of kidney stones,, preexisting stone, urinary stasis (e.g., from benignpreexisting stone, urinary stasis (e.g., from benign prostatic hypertrophy or a urinary tract abnormality),prostatic hypertrophy or a urinary tract abnormality), underlying hypercalciuria/ hypocitraturia, abnormal urineunderlying hypercalciuria/ hypocitraturia, abnormal urine pH (high or low), urinary tract infections, low urine output,pH (high or low), urinary tract infections, low urine output, and warm climates.and warm climates. B- Some drug-specific risk factorsB- Some drug-specific risk factors include high dailyinclude high daily dosing of medication, long-term treatment with thedosing of medication, long-term treatment with the offending medication, high urinary excretion and / or lowoffending medication, high urinary excretion and / or low solubility of the drug and / or its metabolites, short half-lifesolubility of the drug and / or its metabolites, short half-life of the drug, and the size and morphology of drug crystals.of the drug, and the size and morphology of drug crystals. 7575
  • 77.
  • 78.
    conclUSionconclUSion  Nephrolithiasis isa prevalent, frequently recurrent, andNephrolithiasis is a prevalent, frequently recurrent, and occasionally morbid condition associated with increasedoccasionally morbid condition associated with increased risk of bone disease, chronic kidney disease, andrisk of bone disease, chronic kidney disease, and hypertension.hypertension.  Many physicians including family practitioners, internists,Many physicians including family practitioners, internists, nephrologists, urologists, emergency room physicians,nephrologists, urologists, emergency room physicians, and interventional radiologists will see stone patients inand interventional radiologists will see stone patients in their routine practice.their routine practice.  Many underlying disorders have been associated withMany underlying disorders have been associated with stone formation; recognizing these disorders is importantstone formation; recognizing these disorders is important in stone prophylaxis.in stone prophylaxis. 7777
  • 79.
    thAnk yoU forthAnkyoU for yoUr AttentionyoUr Attention