Dr. Hamed Ezzat El-Eraky
Nephrology Specialist – MIH
CME Director Of Dakahlia Medical Syndicate
 Without an adequate vascular access, HD efficiency
is reduced, which results in increased morbidity
and mortality
 Dialysis access is most common vascular surgery
procedure
 Access-related problems are responsible for 50% of
the hospitalizations of HD patients
 Patients with advanced CKD disease stage
4 CKD (GFR <30), or based on progression
of renal disease) who have elected
hemodialysis as their choice of renal
replacement therapy should be referred
to an access surgeon in order to evaluate
and plan construction of AV access
 If a prosthetic access is to be constructed,
this should be delayed until just before
the need for dialysis.
‫مع‬ ‫التعامل‬ ‫عند‬‫الفيستيوال‬
‫االيدى‬ ‫غسيل‬‫صحى‬
‫الشخصيه‬ ‫الواقيات‬ ‫ارتداء‬
‫بالستيك‬ ‫ابرون‬ ‫او‬ ‫بكم‬ ‫جاون‬
‫ماسك‬-‫نظيف‬ ‫التكس‬ ‫جوانتى‬
‫تقيم‬ ‫حسب‬ ‫العين‬ ‫واقى‬
‫المخاطر‬
‫خالل‬ ‫من‬ ‫الماكينه‬ ‫على‬ ‫المريض‬ ‫توصيل‬
‫الفستوال‬
‫الماكينه‬ ‫مع‬ ‫التعامل‬ ‫قبل‬ ‫روتينى‬ ‫االيدى‬ ‫غسل‬ ‫يجب‬
‫الج‬ ‫على‬ ‫المريض‬ ‫وجود‬ ‫قبل‬ ‫الماكينه‬ ‫تحضير‬ ‫يجب‬ ‫ال‬‫هاز‬
‫عليه‬ ‫مجهز‬ ‫بجوارة‬ ‫صينيه‬ ‫مريض‬ ‫لكل‬ ‫تحضير‬ ‫يجب‬‫ا‬
‫جراحى‬ ‫بيتادين‬ ‫بها‬ ‫جفنه‬10%‫هيبارين‬ ‫وامبول‬
‫استخدامها‬ ‫اعادة‬ ‫يتم‬ ‫وال‬ ‫دواء‬ ‫لكل‬ ‫خاصة‬ ‫وسرنجه‬
‫يجوز‬ ‫وال‬ ‫مباشرة‬ ‫االعطاء‬ ‫قبل‬ ‫االدويه‬ ‫تحضير‬ ‫يجب‬
‫بفتره‬ ‫قبلها‬ ‫تحضيرها‬
9
‫الفيستو‬ ‫منطقة‬ ‫وفي‬ ‫عامة‬ ‫للجلد‬ ‫اليومية‬ ‫النظافة‬‫ال‬
‫ال‬ ‫حتى‬ ‫الكاوية‬ ‫المواد‬ ‫من‬ ‫الخالي‬ ‫والصابون‬ ‫بالماء‬ ‫خاصة‬
‫وتشققه‬ ‫الجلد‬ ‫جفاف‬ ‫يسبب‬.
‫وذلك‬ ‫مستمرة‬ ‫بصفة‬ ‫تعمل‬ ‫الفيستوال‬ ‫أن‬ ‫من‬ ‫التأكد‬‫عن‬
‫الدم‬ ‫بسريان‬ ‫لتحس‬ ‫عليها‬ ‫األخرى‬ ‫اليد‬ ‫وضع‬ ‫طريق‬
‫وتدفقه‬.
‫شعورك‬ ‫وعند‬ ‫المميز‬ ‫الفيستوال‬ ‫صوت‬ ‫وسماع‬ ‫مالحظة‬
‫الطبيب‬ ‫بإبالغ‬ ‫عليك‬ ‫صوتها‬ ‫في‬ ‫ضعف‬ ‫بأي‬.
‫ر‬ ‫أو‬ ‫حمل‬ ‫في‬ ‫الفيستوال‬ ‫بها‬ ‫التي‬ ‫يدك‬ ‫استخدام‬ ‫عدم‬‫فع‬
‫ثقيلة‬ ‫أشياء‬.
‫الشديدة‬ ‫البرودة‬ ‫أو‬ ‫للحرارة‬ ‫الفيستوال‬ ‫تعرض‬ ‫عدم‬.
‫بها‬ ‫التي‬ ‫للزراع‬ ‫يوميا‬ ‫خفيفة‬ ‫تمرينات‬ ‫عمل‬ ‫أهمية‬
‫التمرينات‬ ‫وهذه‬ ‫الطبيب‬ ‫إرشادات‬ ‫بإتباع‬ ‫الفيستوال‬
‫والنمو‬ ‫التفتح‬ ‫علي‬ ‫األوردة‬ ‫مساعدة‬ ‫منها‬ ‫الغرض‬.
‫الي‬ ‫علي‬ ‫متكأ‬ ‫النوم‬ ‫مثل‬ ‫الفيستوال‬ ‫علي‬ ‫الضغط‬ ‫عدم‬‫د‬
‫الفيستوال‬ ‫بها‬ ‫التي‬.
‫إعطاء‬ ‫أو‬ ‫دم‬ ‫عينة‬ ‫أخذ‬ ‫أو‬ ‫الضغط‬ ‫بقياس‬ ‫السماح‬ ‫عدم‬
‫الفيستوال‬ ‫بها‬ ‫التي‬ ‫اليد‬ ‫في‬ ‫محاليل‬.
‫فوق‬ ‫ضيقة‬ ‫مالبس‬ ‫لبس‬ ‫عدم‬‫الفيستوال‬‫الشربات‬ ‫مثل‬.
‫من‬ ‫أي‬ ‫وجود‬ ‫عند‬ ‫فورا‬ ‫الطبيب‬ ‫إبالغ‬ ‫علي‬ ‫الحرص‬ ‫أهمية‬
‫األعراض‬ ‫تلك‬:
‫الفيستوال‬ ‫مكان‬ ‫حول‬ ‫التهاب‬ ‫أو‬ ‫احمرار‬
‫العملية‬ ‫مكان‬ ‫من‬ ‫نزيف‬
‫مكان‬ ‫في‬ ‫وسريانه‬ ‫الدم‬ ‫بتدفق‬ ‫اإلحساس‬ ‫عدم‬
‫الفيستوال‬
‫الفيس‬ ‫بها‬ ‫التي‬ ‫لليد‬ ‫باألطراف‬ ‫تنميل‬ ‫أو‬ ‫برودة‬‫توال‬0
 Short-term catheters should be used for acute dialysis and
for a limited duration in hospitalized patients.
 Non cuffed femoral catheters should be used in bed-bound
patients only.
 Long-term catheters should be used in conjunction with a
plan for permanent access. Catheters capable of rapid flow
rates are preferred.
 Catheter choice should be based on local experience, goals
for use, and cost.
 Long-term catheters should not be placed on the same side
as a maturing AV access, if possible (RT sided for RT handed).
 Able to deliver high flow (>400 ml/min)
reliably
 Easy to insert and remove
 Comfortable and acceptable by patient
 Durable
 Free of infection
 Does not cause venous thrombosis or stenosis
 Free of fibrin sheath
 Inexpensive
 Universally applicable
 Multiple access sites
 No maturation time can be used
immediately
 No direct hemodynamic effects on the
circulation
 Allows time for maturation of native AVF
 Thrombotic complications simple to
correct
 The shortest long term patency rates of all
permanent access procedures
 Lower blood flow rates obligating longer
dialysis times
 External device
 Morbidity
 Insertion complications
 Thrombosis
 Infection
 > 3 months -morbidity excessive
 Risk of central vein stenosis or occlusion
 •Limits chronic access options
 These catheters are suitable for
immediate use and should not be
inserted before needed .
 The subclavian insertion site should not
be used in a patient who may need
permanent vascular access .
‫الدموية‬ ‫بالقسطرة‬ ‫العناية‬
‫جراحيا‬ ‫االيدي‬ ‫غسيل‬
‫ارتداء‬‫الجاون‬‫والقفازات‬‫قبل‬ ‫المعقمة‬‫االجراء‬.
‫بالك‬ ‫مشبع‬ ‫معقم‬ ‫شاش‬ ‫استخدام‬ ‫القسطرة‬ ‫دخول‬ ‫موضع‬ ‫تطهير‬‫حول‬
‫التالمس‬ ‫زمن‬ ‫مراعات‬ ‫مع‬.
‫مع‬ ‫بشاش‬ ‫المركزية‬ ‫الوريد‬ ‫القسطرة‬ ‫دخول‬ ‫موضع‬ ‫تغطية‬ ‫يتم‬‫ثم‬ ‫قم‬
‫الطبى‬ ‫الالصق‬ ‫وضع‬.
‫بش‬ ‫فتحها‬ ‫قبل‬ ‫المركزية‬ ‫القسطرة‬ ‫فتحات‬ ‫جميع‬ ‫تطهير‬ ‫يتم‬‫معقم‬ ‫اش‬
‫وصالت‬ ‫نزع‬ ‫قبل‬ ‫وكذلك‬ ‫كحولى‬ ‫بمحلول‬ ‫مشبع‬‫عند‬ ‫الغسيل‬
‫الجلسة‬ ‫من‬ ‫االنتهاء‬
‫الور‬ ‫القسطرة‬ ‫مع‬ ‫التعامل‬ ‫فى‬ ‫للتلوث‬ ‫المانع‬ ‫االسلوب‬ ‫اتباع‬‫عند‬ ‫يدية‬
‫بالماكينة‬ ‫المريض‬ ‫بتوصيل‬ ‫القيام‬
•‫القسطرة‬ ‫بمكان‬ ‫يعتني‬ ‫كيف‬ ‫المريض‬ ‫تعليم‬ ‫يجب‬
.
 2nd left internal jugular
-Higher incidence of flow problems
-Higher risk of stenosis
 3rd inferior vena cava
-Femoral –best alternative
-Translumbar
 Subclavian
-High risk of stenosis
-Acceptable only if no further arm access
planned
 Chest x-ray is mandatory after subclavian
and internal jugular insertion prior to
catheter use to confirm catheter tip position
 Femoral catheters should be at least 19-cm
long to minimize recirculation.
 Noncuffed femoral catheters should not be
left in place longer than 5 days and should be
left in place only in bed-bound patients.
 Place in right internal jugular
 Use ultrasound for cannulation
 Use fluroscopy for placement
 Place tip well within atrium
In general, in patients with a body
surface area of 1.5 to 2.0 m2
-A 12-15 cm catheter should be
selected for the jugular vein in the low
right position and
-A 15-19 cm catheter for the left
jugular vein.
-A 14 to 17 cm catheter should be
used for the right subclavian vein and
A17 to 22 cm catheter for the left
subclavian vein.
 Subclavian catheters are more comfortable for
the patient and provide reliable blood flow if
placed in the right atrial cavity( SVC ostum)
 It was shown that in the US 46% of all temporary
catheters used in patients starting hemodialysis
treatment were inserted into the subclavian
vein.(may be lower infection)
(against DOQI guidelines)
Recirculation:
With the use of catheters, recirculation
is dependent upon two factors:
 the location of the catheter tip
 the status of the patient's central
circulation.
 Early – malposition
 Late - thrombosis
 Local infection
- Exit site infection
- Tunnel infection
 Systemic infection
- Catheter related bacteremia( CRB )
 Frequent – 20 to 30%
- Septic arthritis
- Endocarditis
- Epidural abscess
- Death – 6 to 18%
 Nonfunctional non cuffed catheters can be
exchanged over a guide wire as long as the
exit site and tunnel are not infected.
 Exit site, tunnel tract, or systemic
infections should prompt the removal of non
cuffed catheters.
 The Problem is that
we forget that these
catheters are in the
heart exactly like our
patients who think
that these catheter
are in the neck or
chest .
 After decades of success in dialysis research
and treatment, prompt availability of a well-
functioning vascular access for dialysis
remains a disturbing problem.
(Ravani P et al. Am J Kidney Dis 2002; 40:1264-76)
Vascular access 2019

Vascular access 2019

  • 1.
    Dr. Hamed EzzatEl-Eraky Nephrology Specialist – MIH CME Director Of Dakahlia Medical Syndicate
  • 3.
     Without anadequate vascular access, HD efficiency is reduced, which results in increased morbidity and mortality  Dialysis access is most common vascular surgery procedure  Access-related problems are responsible for 50% of the hospitalizations of HD patients
  • 4.
     Patients withadvanced CKD disease stage 4 CKD (GFR <30), or based on progression of renal disease) who have elected hemodialysis as their choice of renal replacement therapy should be referred to an access surgeon in order to evaluate and plan construction of AV access  If a prosthetic access is to be constructed, this should be delayed until just before the need for dialysis.
  • 7.
    ‫مع‬ ‫التعامل‬ ‫عند‬‫الفيستيوال‬ ‫االيدى‬‫غسيل‬‫صحى‬ ‫الشخصيه‬ ‫الواقيات‬ ‫ارتداء‬ ‫بالستيك‬ ‫ابرون‬ ‫او‬ ‫بكم‬ ‫جاون‬ ‫ماسك‬-‫نظيف‬ ‫التكس‬ ‫جوانتى‬ ‫تقيم‬ ‫حسب‬ ‫العين‬ ‫واقى‬ ‫المخاطر‬
  • 8.
    ‫خالل‬ ‫من‬ ‫الماكينه‬‫على‬ ‫المريض‬ ‫توصيل‬ ‫الفستوال‬ ‫الماكينه‬ ‫مع‬ ‫التعامل‬ ‫قبل‬ ‫روتينى‬ ‫االيدى‬ ‫غسل‬ ‫يجب‬ ‫الج‬ ‫على‬ ‫المريض‬ ‫وجود‬ ‫قبل‬ ‫الماكينه‬ ‫تحضير‬ ‫يجب‬ ‫ال‬‫هاز‬ ‫عليه‬ ‫مجهز‬ ‫بجوارة‬ ‫صينيه‬ ‫مريض‬ ‫لكل‬ ‫تحضير‬ ‫يجب‬‫ا‬ ‫جراحى‬ ‫بيتادين‬ ‫بها‬ ‫جفنه‬10%‫هيبارين‬ ‫وامبول‬ ‫استخدامها‬ ‫اعادة‬ ‫يتم‬ ‫وال‬ ‫دواء‬ ‫لكل‬ ‫خاصة‬ ‫وسرنجه‬ ‫يجوز‬ ‫وال‬ ‫مباشرة‬ ‫االعطاء‬ ‫قبل‬ ‫االدويه‬ ‫تحضير‬ ‫يجب‬ ‫بفتره‬ ‫قبلها‬ ‫تحضيرها‬
  • 9.
  • 11.
    ‫الفيستو‬ ‫منطقة‬ ‫وفي‬‫عامة‬ ‫للجلد‬ ‫اليومية‬ ‫النظافة‬‫ال‬ ‫ال‬ ‫حتى‬ ‫الكاوية‬ ‫المواد‬ ‫من‬ ‫الخالي‬ ‫والصابون‬ ‫بالماء‬ ‫خاصة‬ ‫وتشققه‬ ‫الجلد‬ ‫جفاف‬ ‫يسبب‬. ‫وذلك‬ ‫مستمرة‬ ‫بصفة‬ ‫تعمل‬ ‫الفيستوال‬ ‫أن‬ ‫من‬ ‫التأكد‬‫عن‬ ‫الدم‬ ‫بسريان‬ ‫لتحس‬ ‫عليها‬ ‫األخرى‬ ‫اليد‬ ‫وضع‬ ‫طريق‬ ‫وتدفقه‬. ‫شعورك‬ ‫وعند‬ ‫المميز‬ ‫الفيستوال‬ ‫صوت‬ ‫وسماع‬ ‫مالحظة‬ ‫الطبيب‬ ‫بإبالغ‬ ‫عليك‬ ‫صوتها‬ ‫في‬ ‫ضعف‬ ‫بأي‬. ‫ر‬ ‫أو‬ ‫حمل‬ ‫في‬ ‫الفيستوال‬ ‫بها‬ ‫التي‬ ‫يدك‬ ‫استخدام‬ ‫عدم‬‫فع‬ ‫ثقيلة‬ ‫أشياء‬. ‫الشديدة‬ ‫البرودة‬ ‫أو‬ ‫للحرارة‬ ‫الفيستوال‬ ‫تعرض‬ ‫عدم‬. ‫بها‬ ‫التي‬ ‫للزراع‬ ‫يوميا‬ ‫خفيفة‬ ‫تمرينات‬ ‫عمل‬ ‫أهمية‬ ‫التمرينات‬ ‫وهذه‬ ‫الطبيب‬ ‫إرشادات‬ ‫بإتباع‬ ‫الفيستوال‬ ‫والنمو‬ ‫التفتح‬ ‫علي‬ ‫األوردة‬ ‫مساعدة‬ ‫منها‬ ‫الغرض‬.
  • 12.
    ‫الي‬ ‫علي‬ ‫متكأ‬‫النوم‬ ‫مثل‬ ‫الفيستوال‬ ‫علي‬ ‫الضغط‬ ‫عدم‬‫د‬ ‫الفيستوال‬ ‫بها‬ ‫التي‬. ‫إعطاء‬ ‫أو‬ ‫دم‬ ‫عينة‬ ‫أخذ‬ ‫أو‬ ‫الضغط‬ ‫بقياس‬ ‫السماح‬ ‫عدم‬ ‫الفيستوال‬ ‫بها‬ ‫التي‬ ‫اليد‬ ‫في‬ ‫محاليل‬. ‫فوق‬ ‫ضيقة‬ ‫مالبس‬ ‫لبس‬ ‫عدم‬‫الفيستوال‬‫الشربات‬ ‫مثل‬. ‫من‬ ‫أي‬ ‫وجود‬ ‫عند‬ ‫فورا‬ ‫الطبيب‬ ‫إبالغ‬ ‫علي‬ ‫الحرص‬ ‫أهمية‬ ‫األعراض‬ ‫تلك‬: ‫الفيستوال‬ ‫مكان‬ ‫حول‬ ‫التهاب‬ ‫أو‬ ‫احمرار‬ ‫العملية‬ ‫مكان‬ ‫من‬ ‫نزيف‬ ‫مكان‬ ‫في‬ ‫وسريانه‬ ‫الدم‬ ‫بتدفق‬ ‫اإلحساس‬ ‫عدم‬ ‫الفيستوال‬ ‫الفيس‬ ‫بها‬ ‫التي‬ ‫لليد‬ ‫باألطراف‬ ‫تنميل‬ ‫أو‬ ‫برودة‬‫توال‬0
  • 32.
     Short-term cathetersshould be used for acute dialysis and for a limited duration in hospitalized patients.  Non cuffed femoral catheters should be used in bed-bound patients only.  Long-term catheters should be used in conjunction with a plan for permanent access. Catheters capable of rapid flow rates are preferred.  Catheter choice should be based on local experience, goals for use, and cost.  Long-term catheters should not be placed on the same side as a maturing AV access, if possible (RT sided for RT handed).
  • 33.
     Able todeliver high flow (>400 ml/min) reliably  Easy to insert and remove  Comfortable and acceptable by patient  Durable  Free of infection  Does not cause venous thrombosis or stenosis  Free of fibrin sheath  Inexpensive
  • 34.
     Universally applicable Multiple access sites  No maturation time can be used immediately  No direct hemodynamic effects on the circulation  Allows time for maturation of native AVF  Thrombotic complications simple to correct
  • 35.
     The shortestlong term patency rates of all permanent access procedures  Lower blood flow rates obligating longer dialysis times  External device  Morbidity  Insertion complications  Thrombosis  Infection  > 3 months -morbidity excessive  Risk of central vein stenosis or occlusion  •Limits chronic access options
  • 36.
     These cathetersare suitable for immediate use and should not be inserted before needed .  The subclavian insertion site should not be used in a patient who may need permanent vascular access .
  • 37.
    ‫الدموية‬ ‫بالقسطرة‬ ‫العناية‬ ‫جراحيا‬‫االيدي‬ ‫غسيل‬ ‫ارتداء‬‫الجاون‬‫والقفازات‬‫قبل‬ ‫المعقمة‬‫االجراء‬. ‫بالك‬ ‫مشبع‬ ‫معقم‬ ‫شاش‬ ‫استخدام‬ ‫القسطرة‬ ‫دخول‬ ‫موضع‬ ‫تطهير‬‫حول‬ ‫التالمس‬ ‫زمن‬ ‫مراعات‬ ‫مع‬. ‫مع‬ ‫بشاش‬ ‫المركزية‬ ‫الوريد‬ ‫القسطرة‬ ‫دخول‬ ‫موضع‬ ‫تغطية‬ ‫يتم‬‫ثم‬ ‫قم‬ ‫الطبى‬ ‫الالصق‬ ‫وضع‬. ‫بش‬ ‫فتحها‬ ‫قبل‬ ‫المركزية‬ ‫القسطرة‬ ‫فتحات‬ ‫جميع‬ ‫تطهير‬ ‫يتم‬‫معقم‬ ‫اش‬ ‫وصالت‬ ‫نزع‬ ‫قبل‬ ‫وكذلك‬ ‫كحولى‬ ‫بمحلول‬ ‫مشبع‬‫عند‬ ‫الغسيل‬ ‫الجلسة‬ ‫من‬ ‫االنتهاء‬ ‫الور‬ ‫القسطرة‬ ‫مع‬ ‫التعامل‬ ‫فى‬ ‫للتلوث‬ ‫المانع‬ ‫االسلوب‬ ‫اتباع‬‫عند‬ ‫يدية‬ ‫بالماكينة‬ ‫المريض‬ ‫بتوصيل‬ ‫القيام‬ •‫القسطرة‬ ‫بمكان‬ ‫يعتني‬ ‫كيف‬ ‫المريض‬ ‫تعليم‬ ‫يجب‬ .
  • 51.
     2nd leftinternal jugular -Higher incidence of flow problems -Higher risk of stenosis  3rd inferior vena cava -Femoral –best alternative -Translumbar  Subclavian -High risk of stenosis -Acceptable only if no further arm access planned
  • 52.
     Chest x-rayis mandatory after subclavian and internal jugular insertion prior to catheter use to confirm catheter tip position  Femoral catheters should be at least 19-cm long to minimize recirculation.  Noncuffed femoral catheters should not be left in place longer than 5 days and should be left in place only in bed-bound patients.
  • 60.
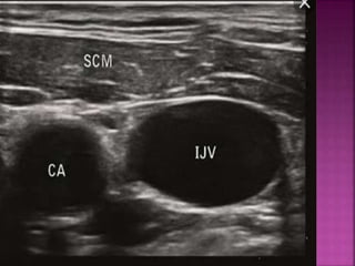
     Place inright internal jugular  Use ultrasound for cannulation  Use fluroscopy for placement  Place tip well within atrium
  • 61.
    In general, inpatients with a body surface area of 1.5 to 2.0 m2 -A 12-15 cm catheter should be selected for the jugular vein in the low right position and -A 15-19 cm catheter for the left jugular vein. -A 14 to 17 cm catheter should be used for the right subclavian vein and A17 to 22 cm catheter for the left subclavian vein.
  • 62.
     Subclavian cathetersare more comfortable for the patient and provide reliable blood flow if placed in the right atrial cavity( SVC ostum)  It was shown that in the US 46% of all temporary catheters used in patients starting hemodialysis treatment were inserted into the subclavian vein.(may be lower infection) (against DOQI guidelines)
  • 64.
    Recirculation: With the useof catheters, recirculation is dependent upon two factors:  the location of the catheter tip  the status of the patient's central circulation.
  • 66.
     Early –malposition  Late - thrombosis
  • 68.
     Local infection -Exit site infection - Tunnel infection  Systemic infection - Catheter related bacteremia( CRB )
  • 69.
     Frequent –20 to 30% - Septic arthritis - Endocarditis - Epidural abscess - Death – 6 to 18%
  • 75.
     Nonfunctional noncuffed catheters can be exchanged over a guide wire as long as the exit site and tunnel are not infected.  Exit site, tunnel tract, or systemic infections should prompt the removal of non cuffed catheters.
  • 76.
     The Problemis that we forget that these catheters are in the heart exactly like our patients who think that these catheter are in the neck or chest .
  • 77.
     After decadesof success in dialysis research and treatment, prompt availability of a well- functioning vascular access for dialysis remains a disturbing problem. (Ravani P et al. Am J Kidney Dis 2002; 40:1264-76)