CT and MRI
INTERPRETATION
SAMIR EL ANSARY
ICU PROFESSOR
1
A midline Post-contrast Sagittal T1 Weighted MRI
2
3 4 5 6
7
8
9
10
11
12
13
14
1
6
1
5
1
7
18
19
20
21
2
2
2
3
24
Identify anatomical
structures 1 - 24
1
A midline Post-contrast Sagittal T1 Weighted MRI
2
3 4 5 6
7
8
9
10
11
12
13
14
16
15
17
18
19
20
21
2
2
2
3
24
1. Scalp fat
2. Bone
3. Inferior sagittal sinus
4. Corpus callosum
5. Internal cerebral vein
6. Vein of Galen
7. Superior sagittal sinus
8. Parietal lobe
9. Occipital lobe
10. Straight sinus
11. Vermis
12. IV ventricle
13. Cerebellar tonsil
14. Cervical cord
15. Medulla
16. Pons
17. Midbrain
18. Mass intermedia of thalamus
19. Anterior III ventricle
20. Optic chiasm
21. Pituitary gland
22. Sphenoid sinus
23. Nasopharynx
24. Frontal lobe
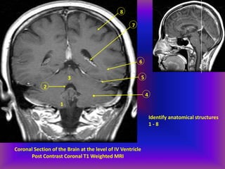
Coronal Section of the Brain at the level of IV Ventricle
Post Contrast Coronal T1 Weighted MRI
8
7
6
5
4
3
2
1
Identify anatomical structures
1 - 8
Coronal Section of the Brain at the level of IV Ventricle
Post Contrast Coronal T1 Weighted MRI
8
7
6
5
4
3
2
1
1. Cerebellar tonsil
2. Cerebellar hemisphere
3. IV ventricle
4. Superior vermis
5. Tentorium
6. Posterior temporal lobe
7. Choroid plexus within lateral
ventricle
8. Posterior frontal lobe
Coronal Section of the Brain at the level of Pituitary gland
Post Contrast Coronal T1 Weighted MRI
1
2
3
4
5
6
78
9
1
0
11
12 Identify anatomical structures
1 - 12
Coronal Section of the Brain at the level of Pituitary gland
Post Contrast Coronal T1 Weighted MRI
1
2
3
4
5
6
78
9
10
11
12
1. Frontal lobe
2. Corpus callosum
3. Frontal horn
4. Caudate nucleus
5. III ventricle
6. Optic nerve
7. Pituitary stalk
8. Pituitary gland
9. Internal carotid artery
10. Cavernous sinus
11. Sphenoid sinus
12. Nasopharynx
Coronal Section of the Brain at the level of the orbits.
Post Contrast Coronal T1 Weighted MRI.
1
2
3
4
5
Identify anatomical structures
1 - 5
Coronal Section of the Brain at the level of the orbits.
Post Contrast Coronal T1 Weighted MRI.
1
2
3
4
5
1. Frontal lobe
2. Orbital Fat
3. Globe
4. Nasal Cavity
5. Maxillary Sinus
Post Contrast Axial MR Image of
the brain
1
2
3
4
5
Post Contrast sagittal T1
Weighted M.R.I.
Section at the level of Foramen
Magnum
Answers
1. Cisterna Magna
2. Cervical Cord
3. Nasopharynx
4. Mandible
5. Maxillary Sinus
Post Contrast Axial MR Image of the
brain
7
6
Post Contrast sagittal T1
Wtd M.R.I.
Section at the level of
medulla
Answers
6. Medulla
7. Sigmoid Sinus
Post Contrast Axial MR Image of the brain
15
8
9
10
11
12
13
14
16
17
Post Contrast sagittal T1 Wtd M.R.I.
Section at the level of Pons
Answers
8. Cerebellar
Hemisphere
9. Vermis
10. IV Ventricle
11. Pons
12. Basilar
Artery
13. Internal Carotid
Artery
14. Cavernous Sinus
15. Middle Cerebellar
Peduncle
16. Internal Auditory
Canal
17. Temporal Lobe
Post Contrast Axial MR Image of the brain
18
19
20
21
22
Post Contrast sagittal T1 Wtd
M.R.I.
Section at the level of Mid
Brain
Answers
18. Aqueduct of Sylvius
19. Midbrain
20. Orbits
21. Posterior Cerebral
Artery
22. Middle Cerebral
Artery
Post Contrast Axial MR Image of the brain
23
24
25
26
27
Post Contrast sagittal T1 Wtd M.R.I.
Section at the level of the
III Ventricle
Answers
23. Occipital Lobe
24. III Ventricle
25. Frontal Lobe
26. Temporal Lobe
27. Sylvian Fissure
Post Contrast Axial MR Image of the brain
28
29
30
31
32
38
33
34
36
35
37
Post Contrast sagittal T1 Wtd M.R.I.
Section at the level of Thalamus
Answers
28. Superior Sagittal Sinus
29. Occipital Lobe
30. Choroid Plexus within
the occipital horn
31. Internal Cerebral Vein
32. Frontal Horn
33. Thalamus
34. Temporal
Lobe
35. Internal
Capsule
36. Putamen
37. Caudate
Nucleus
38. Frontal Lobe
Post Contrast Axial MR Image of the brain
39
40
41
Post Contrast sagittal T1 Wtd
M.R.I.
Section at the level of Corpus
Callosum
Answers
39. Splenium of corpus callosum
40. Choroid plexus within the
body of lateral ventricle
41. Genu of corpus callosum
Post Contrast Axial MR
Image of the brain
42
43
44
Post Contrast sagittal T1
Wtd M.R.I.
Section at the level of Body
of Corpus Callosum
Answers
42. Parietal Lobe
43. Body of the Corpus Callosum
44. Frontal Lobe
Post Contrast Axial MR Image of the brain
45
46
Post Contrast sagittal T1 Wtd
M.R.I.
Section above the Corpus
Callosum
Answers
45. Parietal Lobe
46. Frontal Lobe
Brain Imaging: “The Big 10”
• Infarction
• Hemorrhage
• Infection
• Tumor
• Trauma
• Dementia
• MS
• Epilepsy
• Cranial neuropathy
• Orbits / Ophtho dx
Acute Ischemic Stroke Imaging
 Confirm diagnosis
 Triage for therapy (risk / prognosis)
– Rule out hemorrhage
– Assess damage: location, pattern, extent
– Is there salvageable brain (“penumbra”)?
 Follow outcome
– Vessel patency, ultimate infarct size, hemorrhagic
transformation
CT Signs in Early MCA Ischemia
Hyperdense MCA Insular Ribbon Lentiform Nucleus
Pathophysiology of Ischemic Injury:
Duration and Degree of  CBF
Normal neuronal function
Reversible injury
(penumbra)
Infarction
25
20
15
10
5
0
CBF
ml /
100g /
min
Time (hrs)1 2
Pipes  Perfusion  Parenchyma
MRA Perfusion MR Diffusion MR
“Penumbra”
MRI in Stroke Intervention
“The 4 P’s”
MCA Infarct
MCA
PCA Infarct
PCA
ACA Infarct ACA
Brain Imaging: “The Big 10”
• Infarction
• Hemorrhage
• Infection
• Tumor
• Trauma
• Dementia
• MS
• Epilepsy
• Cranial neuropathy
• Orbits / Ophtho dx
Cerebral Hemorrhage
• Trauma
• Ruptured aneurysm
• Hypertensive
• Hemorrhagic transformation of ischemic infarction
(esp. venous)
• Venous infarction
• Tumor
• Vascular malformations
• Angioinvasive infection
• Amyloid angiopathy
Acute intraparenchymal hematoma
Cerebral Hemorrhage
Hemorrhagic melanoma metastases
Cerebral Hemorrhage
Acute subarachnoid hemorrhage
(and intraventricular)
Cerebral Hemorrhage
Subdural vs. Epidural Hematoma
Acute subdural hematoma
Cerebral Hemorrhage
Acute epidural hematoma
Cerebral Hemorrhage
Subdural: Follows inner layer of dura
“Rounds the bend” to follow falx or tentorium
Not affected by sutures of skull
Tendency for crescentic shapes
More mass effect than expected for their size
Typical source of SDH: cortical vein
Epidural: Follows outer layer of dura (periosteum)
Crosses falx or tentorium
Limited by sutures of skull (typically)
Tendency for lentiform shapes
Typical source of EDH:
skull fracture with arterial or sinus laceration
Subdural vs. Epidural Hematoma
*
Mixed acute/chronic subdural hematoma
Cerebral Hemorrhage
ACUTE
CHRONIC
Hematocrit level!
Cerebral Hemorrhage
MRI of Hemorrhage
MR appearance of hematomas depends on image type.
Magnetic properties change over time (Hgb breakdown
products), allowing approximate dating
T1 T2 T2*
Brain Imaging: “The Big 10”
• Infarction
• Hemorrhage
• Infection
• Tumor
• Trauma
• Dementia
• MS
• Epilepsy
• Cranial neuropathy
• Orbits / Ophtho dx
Infection
• Meningitis
• Encephalitis
• Cerebritis and parenchymal abscess
• Empyema (subdural/epidural)
Leptomeningitis:
pia-arachnoid
Meningitis
Pachymeningitis: dura
Most common imaging findings in meningitis: NONE !!
Herpes
Encephalitis
Cerebritis w/ Bacterial Abscess
T1 + Gd T2 Diffusion
Cerebritis w/ Subdural Empyema
T1 + Gd T2 FLAIR Diffusion
Brain Imaging: “The Big 10”
• Infarction
• Hemorrhage
• Infection
• Tumor
• Trauma
• Dementia
• MS
• Epilepsy
• Cranial neuropathy
• Orbits / Ophtho dx
Brain Tumor Imaging
Diagnosis
• Location: Intra- / Extra-axial, Supra- / Infra-
tentorial, Grey / white matter, etc.
• Single or multiple?
• Tumor or tumor-like alternatives?
• Histology: Type and grade?
Treatment Planning
• Surgery, radiation, chemo tx
• Functional MRI for eloquent brain mapping
• 3D scans to guide surgery, radiation
Follow-up
• Stable vs. recurrence / progression
• Complications
T1 + Gd T2
Intra- or Extra-axial?
Intra- or Extra-axial?
Tumor vs. Other Masses
Arachnoid Cyst
Abscess
Hematoma
“Tumefactive” MS
GBM
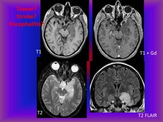
Tumor vs. Stroke
Cytotoxic Edema Vasogenic Edema
Cellular swelling
Gray-white margin lost
Leaky capillaries
Gray matter is spared
T1 T1 + Gd
T2 T2 FLAIR
Tumor?
Stroke?
Encephalitis?
3D Imaging for XRT
or Surgical Guidance
Brain Imaging: “The Big 10”
• Infarction
• Hemorrhage
• Infection
• Tumor
• Trauma
• Dementia
• MS
• Epilepsy
• Cranial neuropathy
• Orbits / Ophtho dx
Fractures: CT not MRI !
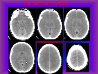
Traumatic Brain Swelling
Cerebellopontine
angle
PontineCerebellomedullary
(Cisterna Magna)
Know your basal cisterns!
Traumatic Brain Swelling
Know your basal cisterns!
Quadrigeminal
Interpeduncular
Suprasellar
Ambient
Effacement of basal cisterns
Traumatic brain swelling with
downward herniation
Traumatic Brain Swelling
Traumatic brain swelling
Extra-axial Hemorrhage
Subdural Epidural Subarachnoid
Intra-axial Hemorrhage
Hemorrhagic contusions
Intra-axial Hemorrhage
Hemorrhagic contusions
Mechanism
Direct contact with skull
Shear-strain deformation
Lesion locations
Commonly located along inferior, lateral, and anterior
frontal and temporal lobes
Often above bony prominences (petrous pyramid,
sphenoid wing, orbital roof)
Intra-axial Hemorrhage
Hemorrhagic contusions
Appearance of cortical contusions
Overlying cortex, by definition, always involved (vs. DAI)
“Salt and pepper” appearance due to intermixed hemorrhage
and edema
Non-hemorrhagic contusions often not initially seen on CT scans
Lesions often more visible days after injury as edema and
hemorrhage increase
Acute lesions much more conspicuous on T2 or T2-FLAIR MRI
Diffuse Axonal (Shear) Injury (DAI)
Intra-axial Hemorrhage
Diffuse Axonal (Shear) Injury (DAI)
T2: Reveals non-hemorrhagic lesions occult on CT
Diffuse Axonal (Shear) Injury (DAI)
T2: Increased sensitivity to hemorrhage
Diffuse Axonal (Shear) Injury (DAI)
• Tissues w/ differing elastic properties shear against each other,
tearing axons
• Caused by rapid deceleration/rotation of head
• Locations:
• Cerebral hemispheres near gray-white junction
• Basal ganglia
• Corpus callosum, especially splenium
• Dorsal brainstem
• High morbitity & mortality – common cause of post-traumatic
vegetative state
• Initial CT often normal despite poor GCS
• Lesions often non-hemorrhagic and seen only on MRI
Brain Imaging: “The Big 10”
• Infarction
• Hemorrhage
• Infection
• Tumor
• Trauma
• Dementia
• MS
• Epilepsy
• Cranial neuropathy
• Orbits / Ophtho dx
Dementia
• Primary role of imaging is to
exclude treatable causes, e.g.:
–Hydrocephalus
–Subdural hematoma
–Neoplasm
Dementia
Irreversible dementias (imaging non-
specific):
• Alzheimer’s disease
• Multi-infarct dementia
• Dementias associated with
Parkinson’s disease and similar
disorders
• AIDS dementia complex
Alzheimer’s: Temporal-Parietal Lobe Atrophy (Late)
Brain Imaging: “The Big 10”
• Infarction
• Hemorrhage
• Infection
• Tumor
• Trauma
• Dementia
• MS
• Epilepsy
• Cranial neuropathy
• Orbits / Ophtho dx
Multiple Sclerosis (MS) Imaging
• MRI is the imaging study of choice
• Help establish “dissemination of lesions in time
and space”
• Estimate disease burden
• Identify acute (inflammatory) vs. chronic lesions
(enhancement = active inflammation)
MS
Tumefactive MS
Brain Imaging: “The Big 10”
• Infarction
• Hemorrhage
• Infection
• Tumor
• Trauma
• Dementia
• MS
• Epilepsy
• Cranial neuropathy
• Orbits / Ophtho dx
Seizure Imaging
• MRI is the imaging study of choice
• Identify and localize offending lesion
• New onset vs. chronic epilepsy
• Younger vs. older patients
• Search may be guided by EEG / clinical sx
• Preoperative planning
e.g. language lateralization before temporal
lobectomy
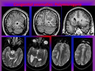
Congenital anomalies: Polymicrogyria
Congenital anomalies: Schizencephaly
Mesial Temporal Sclerosis
Most common pathology found in
medically refractory epilepsy patients
Rare under age 10 or with new seizures
Pathogenesis unknown
- Post ictal / kindling?
Pathology:
Hippocampal atrophy / gliosis
Mesial
Temporal
Sclerosis
FLAIR
T1
T2
• Atrophy
• Loss gray-white
•↑T2 / FLAIR
Brain Imaging: “The Big 10”
• Infarction
• Hemorrhage
• Infection
• Tumor
• Trauma
• Dementia
• MS
• Epilepsy
• Cranial neuropathy
• Orbits / Ophtho dx
Cranial Nerve Imaging
FIESTA
CN-5
CN-8
CN-7
Vestibular Schwannoma
Intracochlear Schwannoma
30 y/o F
with 6wk
h/o blurred
vision
Craniopharyngioma
CT vs. MRI
Wide doughnutOpening
10-20 minutesLength
Adjust windowTechnique
AialPlane
BrightBone
Long, narrow
30-60 min
T1, T2, Pd
3-D
Dark
Magnetic fldX-ray beamObtained
MRICT
Advantages to CT
• Costs less than MRI
• Better access
• Shows up acute bleed
• A good quick screen
• Good visualization of bony structures
and calcified lesions
Disadvantages to CT
• Resolution
• Beam-hardening artifact
• Limited views of the posterior fossa and
poor visualization of white-matter
disease
Advantages to MRI
• Good resolution—excellent view of brain
structure
• 3 dimensions
• Good gray-white differentiation
• Adjust settings based on characteristics of
the lesion
• Good view of the posterior fossa
Advantages to MRI
• No radiation exposure
• Gadolinium contrast is relatively nontoxic
• Capacity for quantitative imaging, 3-D
reconstruction, angiography, spectroscopy
Disadvantages of MRI
• Cost
• Some patients ineligible because
of pacemakers, other metal
• Claustrophobia
• Long exam
• Access
What Is Bright
on CT?
• Blood
• Contrast
• Bone
• Calcium
• Metal
What Is Dark
on CT?
•Air
•CSF/H20
Artifacts
• Beam
hardening
• Bone
• Foreign body
• Motion
Uses for SPECT and PET
• Acute stroke
• Identify a seizure focus-increased
flow during sz and decreased
interictal flow
• Dementia-frontal pattern in FTLD,
temporo-parietal pattern in AD
• Ligand imaging in PD, others
Landmarks
• Axial views
– Fourth ventricle
– Petrous bone and sphenoid ridge
– Aqueduct
– Third ventricle
– Lateral ventricles
– Frontal horns
– Calcifications in the choroid plexus, pineal,
basal ganglia and falx
– Caudate, putamen and globus pallidus
Landmarks (Cont.)
– Internal capsule—anterior and posterior limbs
– Thalami
– Sylvian fissures
• Sagittal views
– Severity of cortical atrophy
– Corpus callosum and cingulate gyrus
• Pituitary
– Coronal views
– Hippocampus and amygdala
Normal
Hippo-
Campus
Atrophic
Hippo-
campus
in AD
62 year old
woman with
rapid
progression of
memory loss
Introduction to Scan Interpretation
• Is the scan
– Contrast or noncontrast?
– Good quality?
• Describe the abnormality
– Size—small, punctuate, medium, large
– Shape—round, well circumscribed, ovoid,
irregular, patchy
Introduction to Scan Interpretation
(Cont.)
• Signal intensity
– High signal,
hyperdense
– Low signal, hypodense
– Isointense, isodense
– Mixed signal
• Location
Vascular Dementia
Three types of vascular dementia
Multiple large
Vessel infarctions
Bilateral strategic
thalamic infarcts
Binswanger’s
Disease
Normal Pressure Hydrocephalus: NPH
• Cognitive Impairment
• Gait Disturbance
• Bladder Control
• May Have:
Behavior Problems
Parkinsonism
MRI findings
• Ventricular enlargement disproportionate to the
amount of atrophy
• Bowing of the corpus callosum
• Smooth rimming of high signal around the ventricles
due to transependymal flow of CSF
NPH: pre-op NPH: post-op-130
mm H2O
Types of fMRI
• BOLD-fMRI which measures regional differences in
oxygenated blood
• Diffusion-weighted fMRI which measures random
movement of water molecules. Diffusion tensor
imaging (DTI) measures diffusion of water in different
directions and is a good test for studying white
matter tracts.
• MRI spectroscopy which can measure certain
cerebral metabolites non-invasively
DTI reconstruction of the corpus callosum
3D reconstruction
with functional
overlay
fMRI:Visual
stimulation
MR Spectroscopy
MR spectroscopy of N
acetyl aspartate
(NAA) showing
decline of NAA over
time in patients with
Alzheimer’s disease
(lower line)
compared to age-
matched controls.
GOOD LUCK
SAMIR EL ANSARY
ICU PROFESSOR
AIN SHAMS
CAIRO

Ctandmriinterpretation 150127105431-conversion-gate01

  • 1.
    CT and MRI INTERPRETATION SAMIREL ANSARY ICU PROFESSOR
  • 2.
    1 A midline Post-contrastSagittal T1 Weighted MRI 2 3 4 5 6 7 8 9 10 11 12 13 14 1 6 1 5 1 7 18 19 20 21 2 2 2 3 24 Identify anatomical structures 1 - 24
  • 3.
    1 A midline Post-contrastSagittal T1 Weighted MRI 2 3 4 5 6 7 8 9 10 11 12 13 14 16 15 17 18 19 20 21 2 2 2 3 24 1. Scalp fat 2. Bone 3. Inferior sagittal sinus 4. Corpus callosum 5. Internal cerebral vein 6. Vein of Galen 7. Superior sagittal sinus 8. Parietal lobe 9. Occipital lobe 10. Straight sinus 11. Vermis 12. IV ventricle 13. Cerebellar tonsil 14. Cervical cord 15. Medulla 16. Pons 17. Midbrain 18. Mass intermedia of thalamus 19. Anterior III ventricle 20. Optic chiasm 21. Pituitary gland 22. Sphenoid sinus 23. Nasopharynx 24. Frontal lobe
  • 4.
    Coronal Section ofthe Brain at the level of IV Ventricle Post Contrast Coronal T1 Weighted MRI 8 7 6 5 4 3 2 1 Identify anatomical structures 1 - 8
  • 5.
    Coronal Section ofthe Brain at the level of IV Ventricle Post Contrast Coronal T1 Weighted MRI 8 7 6 5 4 3 2 1 1. Cerebellar tonsil 2. Cerebellar hemisphere 3. IV ventricle 4. Superior vermis 5. Tentorium 6. Posterior temporal lobe 7. Choroid plexus within lateral ventricle 8. Posterior frontal lobe
  • 6.
    Coronal Section ofthe Brain at the level of Pituitary gland Post Contrast Coronal T1 Weighted MRI 1 2 3 4 5 6 78 9 1 0 11 12 Identify anatomical structures 1 - 12
  • 7.
    Coronal Section ofthe Brain at the level of Pituitary gland Post Contrast Coronal T1 Weighted MRI 1 2 3 4 5 6 78 9 10 11 12 1. Frontal lobe 2. Corpus callosum 3. Frontal horn 4. Caudate nucleus 5. III ventricle 6. Optic nerve 7. Pituitary stalk 8. Pituitary gland 9. Internal carotid artery 10. Cavernous sinus 11. Sphenoid sinus 12. Nasopharynx
  • 8.
    Coronal Section ofthe Brain at the level of the orbits. Post Contrast Coronal T1 Weighted MRI. 1 2 3 4 5 Identify anatomical structures 1 - 5
  • 9.
    Coronal Section ofthe Brain at the level of the orbits. Post Contrast Coronal T1 Weighted MRI. 1 2 3 4 5 1. Frontal lobe 2. Orbital Fat 3. Globe 4. Nasal Cavity 5. Maxillary Sinus
  • 10.
    Post Contrast AxialMR Image of the brain 1 2 3 4 5 Post Contrast sagittal T1 Weighted M.R.I. Section at the level of Foramen Magnum Answers 1. Cisterna Magna 2. Cervical Cord 3. Nasopharynx 4. Mandible 5. Maxillary Sinus
  • 11.
    Post Contrast AxialMR Image of the brain 7 6 Post Contrast sagittal T1 Wtd M.R.I. Section at the level of medulla Answers 6. Medulla 7. Sigmoid Sinus
  • 12.
    Post Contrast AxialMR Image of the brain 15 8 9 10 11 12 13 14 16 17 Post Contrast sagittal T1 Wtd M.R.I. Section at the level of Pons Answers 8. Cerebellar Hemisphere 9. Vermis 10. IV Ventricle 11. Pons 12. Basilar Artery 13. Internal Carotid Artery 14. Cavernous Sinus 15. Middle Cerebellar Peduncle 16. Internal Auditory Canal 17. Temporal Lobe
  • 13.
    Post Contrast AxialMR Image of the brain 18 19 20 21 22 Post Contrast sagittal T1 Wtd M.R.I. Section at the level of Mid Brain Answers 18. Aqueduct of Sylvius 19. Midbrain 20. Orbits 21. Posterior Cerebral Artery 22. Middle Cerebral Artery
  • 14.
    Post Contrast AxialMR Image of the brain 23 24 25 26 27 Post Contrast sagittal T1 Wtd M.R.I. Section at the level of the III Ventricle Answers 23. Occipital Lobe 24. III Ventricle 25. Frontal Lobe 26. Temporal Lobe 27. Sylvian Fissure
  • 15.
    Post Contrast AxialMR Image of the brain 28 29 30 31 32 38 33 34 36 35 37 Post Contrast sagittal T1 Wtd M.R.I. Section at the level of Thalamus Answers 28. Superior Sagittal Sinus 29. Occipital Lobe 30. Choroid Plexus within the occipital horn 31. Internal Cerebral Vein 32. Frontal Horn 33. Thalamus 34. Temporal Lobe 35. Internal Capsule 36. Putamen 37. Caudate Nucleus 38. Frontal Lobe
  • 16.
    Post Contrast AxialMR Image of the brain 39 40 41 Post Contrast sagittal T1 Wtd M.R.I. Section at the level of Corpus Callosum Answers 39. Splenium of corpus callosum 40. Choroid plexus within the body of lateral ventricle 41. Genu of corpus callosum
  • 17.
    Post Contrast AxialMR Image of the brain 42 43 44 Post Contrast sagittal T1 Wtd M.R.I. Section at the level of Body of Corpus Callosum Answers 42. Parietal Lobe 43. Body of the Corpus Callosum 44. Frontal Lobe
  • 18.
    Post Contrast AxialMR Image of the brain 45 46 Post Contrast sagittal T1 Wtd M.R.I. Section above the Corpus Callosum Answers 45. Parietal Lobe 46. Frontal Lobe
  • 19.
    Brain Imaging: “TheBig 10” • Infarction • Hemorrhage • Infection • Tumor • Trauma • Dementia • MS • Epilepsy • Cranial neuropathy • Orbits / Ophtho dx
  • 20.
    Acute Ischemic StrokeImaging  Confirm diagnosis  Triage for therapy (risk / prognosis) – Rule out hemorrhage – Assess damage: location, pattern, extent – Is there salvageable brain (“penumbra”)?  Follow outcome – Vessel patency, ultimate infarct size, hemorrhagic transformation
  • 21.
    CT Signs inEarly MCA Ischemia Hyperdense MCA Insular Ribbon Lentiform Nucleus
  • 22.
    Pathophysiology of IschemicInjury: Duration and Degree of  CBF Normal neuronal function Reversible injury (penumbra) Infarction 25 20 15 10 5 0 CBF ml / 100g / min Time (hrs)1 2
  • 23.
    Pipes  Perfusion Parenchyma MRA Perfusion MR Diffusion MR “Penumbra” MRI in Stroke Intervention “The 4 P’s”
  • 24.
  • 25.
  • 26.
  • 27.
    Brain Imaging: “TheBig 10” • Infarction • Hemorrhage • Infection • Tumor • Trauma • Dementia • MS • Epilepsy • Cranial neuropathy • Orbits / Ophtho dx
  • 28.
    Cerebral Hemorrhage • Trauma •Ruptured aneurysm • Hypertensive • Hemorrhagic transformation of ischemic infarction (esp. venous) • Venous infarction • Tumor • Vascular malformations • Angioinvasive infection • Amyloid angiopathy
  • 29.
  • 30.
  • 31.
    Acute subarachnoid hemorrhage (andintraventricular) Cerebral Hemorrhage
  • 32.
  • 33.
  • 34.
  • 35.
    Subdural: Follows innerlayer of dura “Rounds the bend” to follow falx or tentorium Not affected by sutures of skull Tendency for crescentic shapes More mass effect than expected for their size Typical source of SDH: cortical vein Epidural: Follows outer layer of dura (periosteum) Crosses falx or tentorium Limited by sutures of skull (typically) Tendency for lentiform shapes Typical source of EDH: skull fracture with arterial or sinus laceration Subdural vs. Epidural Hematoma *
  • 36.
    Mixed acute/chronic subduralhematoma Cerebral Hemorrhage ACUTE CHRONIC
  • 37.
  • 38.
    MRI of Hemorrhage MRappearance of hematomas depends on image type. Magnetic properties change over time (Hgb breakdown products), allowing approximate dating T1 T2 T2*
  • 39.
    Brain Imaging: “TheBig 10” • Infarction • Hemorrhage • Infection • Tumor • Trauma • Dementia • MS • Epilepsy • Cranial neuropathy • Orbits / Ophtho dx
  • 40.
    Infection • Meningitis • Encephalitis •Cerebritis and parenchymal abscess • Empyema (subdural/epidural)
  • 41.
  • 42.
  • 43.
    Cerebritis w/ BacterialAbscess T1 + Gd T2 Diffusion
  • 44.
    Cerebritis w/ SubduralEmpyema T1 + Gd T2 FLAIR Diffusion
  • 45.
    Brain Imaging: “TheBig 10” • Infarction • Hemorrhage • Infection • Tumor • Trauma • Dementia • MS • Epilepsy • Cranial neuropathy • Orbits / Ophtho dx
  • 46.
    Brain Tumor Imaging Diagnosis •Location: Intra- / Extra-axial, Supra- / Infra- tentorial, Grey / white matter, etc. • Single or multiple? • Tumor or tumor-like alternatives? • Histology: Type and grade? Treatment Planning • Surgery, radiation, chemo tx • Functional MRI for eloquent brain mapping • 3D scans to guide surgery, radiation Follow-up • Stable vs. recurrence / progression • Complications
  • 47.
    T1 + GdT2 Intra- or Extra-axial?
  • 48.
  • 49.
    Tumor vs. OtherMasses Arachnoid Cyst Abscess Hematoma “Tumefactive” MS GBM
  • 50.
    Tumor vs. Stroke CytotoxicEdema Vasogenic Edema Cellular swelling Gray-white margin lost Leaky capillaries Gray matter is spared
  • 51.
    T1 T1 +Gd T2 T2 FLAIR Tumor? Stroke? Encephalitis?
  • 52.
    3D Imaging forXRT or Surgical Guidance
  • 53.
    Brain Imaging: “TheBig 10” • Infarction • Hemorrhage • Infection • Tumor • Trauma • Dementia • MS • Epilepsy • Cranial neuropathy • Orbits / Ophtho dx
  • 54.
  • 55.
  • 56.
    Traumatic Brain Swelling Knowyour basal cisterns! Quadrigeminal Interpeduncular Suprasellar Ambient
  • 57.
    Effacement of basalcisterns Traumatic brain swelling with downward herniation Traumatic Brain Swelling
  • 58.
  • 59.
  • 60.
  • 61.
    Intra-axial Hemorrhage Hemorrhagic contusions Mechanism Directcontact with skull Shear-strain deformation Lesion locations Commonly located along inferior, lateral, and anterior frontal and temporal lobes Often above bony prominences (petrous pyramid, sphenoid wing, orbital roof)
  • 62.
    Intra-axial Hemorrhage Hemorrhagic contusions Appearanceof cortical contusions Overlying cortex, by definition, always involved (vs. DAI) “Salt and pepper” appearance due to intermixed hemorrhage and edema Non-hemorrhagic contusions often not initially seen on CT scans Lesions often more visible days after injury as edema and hemorrhage increase Acute lesions much more conspicuous on T2 or T2-FLAIR MRI
  • 63.
    Diffuse Axonal (Shear)Injury (DAI) Intra-axial Hemorrhage
  • 64.
    Diffuse Axonal (Shear)Injury (DAI) T2: Reveals non-hemorrhagic lesions occult on CT
  • 65.
    Diffuse Axonal (Shear)Injury (DAI) T2: Increased sensitivity to hemorrhage
  • 66.
    Diffuse Axonal (Shear)Injury (DAI) • Tissues w/ differing elastic properties shear against each other, tearing axons • Caused by rapid deceleration/rotation of head • Locations: • Cerebral hemispheres near gray-white junction • Basal ganglia • Corpus callosum, especially splenium • Dorsal brainstem • High morbitity & mortality – common cause of post-traumatic vegetative state • Initial CT often normal despite poor GCS • Lesions often non-hemorrhagic and seen only on MRI
  • 67.
    Brain Imaging: “TheBig 10” • Infarction • Hemorrhage • Infection • Tumor • Trauma • Dementia • MS • Epilepsy • Cranial neuropathy • Orbits / Ophtho dx
  • 68.
    Dementia • Primary roleof imaging is to exclude treatable causes, e.g.: –Hydrocephalus –Subdural hematoma –Neoplasm
  • 69.
    Dementia Irreversible dementias (imagingnon- specific): • Alzheimer’s disease • Multi-infarct dementia • Dementias associated with Parkinson’s disease and similar disorders • AIDS dementia complex
  • 70.
  • 71.
    Brain Imaging: “TheBig 10” • Infarction • Hemorrhage • Infection • Tumor • Trauma • Dementia • MS • Epilepsy • Cranial neuropathy • Orbits / Ophtho dx
  • 72.
    Multiple Sclerosis (MS)Imaging • MRI is the imaging study of choice • Help establish “dissemination of lesions in time and space” • Estimate disease burden • Identify acute (inflammatory) vs. chronic lesions (enhancement = active inflammation)
  • 73.
  • 74.
  • 75.
    Brain Imaging: “TheBig 10” • Infarction • Hemorrhage • Infection • Tumor • Trauma • Dementia • MS • Epilepsy • Cranial neuropathy • Orbits / Ophtho dx
  • 76.
    Seizure Imaging • MRIis the imaging study of choice • Identify and localize offending lesion • New onset vs. chronic epilepsy • Younger vs. older patients • Search may be guided by EEG / clinical sx • Preoperative planning e.g. language lateralization before temporal lobectomy
  • 77.
  • 78.
  • 79.
    Mesial Temporal Sclerosis Mostcommon pathology found in medically refractory epilepsy patients Rare under age 10 or with new seizures Pathogenesis unknown - Post ictal / kindling? Pathology: Hippocampal atrophy / gliosis
  • 80.
  • 81.
    Brain Imaging: “TheBig 10” • Infarction • Hemorrhage • Infection • Tumor • Trauma • Dementia • MS • Epilepsy • Cranial neuropathy • Orbits / Ophtho dx
  • 82.
  • 83.
  • 84.
  • 85.
    30 y/o F with6wk h/o blurred vision Craniopharyngioma
  • 86.
    CT vs. MRI WidedoughnutOpening 10-20 minutesLength Adjust windowTechnique AialPlane BrightBone Long, narrow 30-60 min T1, T2, Pd 3-D Dark Magnetic fldX-ray beamObtained MRICT
  • 87.
    Advantages to CT •Costs less than MRI • Better access • Shows up acute bleed • A good quick screen • Good visualization of bony structures and calcified lesions
  • 88.
    Disadvantages to CT •Resolution • Beam-hardening artifact • Limited views of the posterior fossa and poor visualization of white-matter disease
  • 90.
    Advantages to MRI •Good resolution—excellent view of brain structure • 3 dimensions • Good gray-white differentiation • Adjust settings based on characteristics of the lesion • Good view of the posterior fossa
  • 91.
    Advantages to MRI •No radiation exposure • Gadolinium contrast is relatively nontoxic • Capacity for quantitative imaging, 3-D reconstruction, angiography, spectroscopy
  • 92.
    Disadvantages of MRI •Cost • Some patients ineligible because of pacemakers, other metal • Claustrophobia • Long exam • Access
  • 93.
    What Is Bright onCT? • Blood • Contrast • Bone • Calcium • Metal What Is Dark on CT? •Air •CSF/H20
  • 94.
  • 98.
    Uses for SPECTand PET • Acute stroke • Identify a seizure focus-increased flow during sz and decreased interictal flow • Dementia-frontal pattern in FTLD, temporo-parietal pattern in AD • Ligand imaging in PD, others
  • 104.
    Landmarks • Axial views –Fourth ventricle – Petrous bone and sphenoid ridge – Aqueduct – Third ventricle – Lateral ventricles – Frontal horns – Calcifications in the choroid plexus, pineal, basal ganglia and falx – Caudate, putamen and globus pallidus
  • 105.
    Landmarks (Cont.) – Internalcapsule—anterior and posterior limbs – Thalami – Sylvian fissures • Sagittal views – Severity of cortical atrophy – Corpus callosum and cingulate gyrus • Pituitary – Coronal views – Hippocampus and amygdala
  • 109.
  • 110.
    Atrophic Hippo- campus in AD 62 yearold woman with rapid progression of memory loss
  • 111.
    Introduction to ScanInterpretation • Is the scan – Contrast or noncontrast? – Good quality? • Describe the abnormality – Size—small, punctuate, medium, large – Shape—round, well circumscribed, ovoid, irregular, patchy
  • 112.
    Introduction to ScanInterpretation (Cont.) • Signal intensity – High signal, hyperdense – Low signal, hypodense – Isointense, isodense – Mixed signal • Location
  • 113.
    Vascular Dementia Three typesof vascular dementia Multiple large Vessel infarctions Bilateral strategic thalamic infarcts Binswanger’s Disease
  • 114.
    Normal Pressure Hydrocephalus:NPH • Cognitive Impairment • Gait Disturbance • Bladder Control • May Have: Behavior Problems Parkinsonism
  • 115.
    MRI findings • Ventricularenlargement disproportionate to the amount of atrophy • Bowing of the corpus callosum • Smooth rimming of high signal around the ventricles due to transependymal flow of CSF
  • 116.
    NPH: pre-op NPH:post-op-130 mm H2O
  • 117.
    Types of fMRI •BOLD-fMRI which measures regional differences in oxygenated blood • Diffusion-weighted fMRI which measures random movement of water molecules. Diffusion tensor imaging (DTI) measures diffusion of water in different directions and is a good test for studying white matter tracts. • MRI spectroscopy which can measure certain cerebral metabolites non-invasively
  • 119.
    DTI reconstruction ofthe corpus callosum
  • 120.
  • 121.
    MR Spectroscopy MR spectroscopyof N acetyl aspartate (NAA) showing decline of NAA over time in patients with Alzheimer’s disease (lower line) compared to age- matched controls.
  • 122.
    GOOD LUCK SAMIR ELANSARY ICU PROFESSOR AIN SHAMS CAIRO