PRESENTER – DR. SUBHENDU SEKHAR DHAR
 INTRODUCTION
 HISTORICAL MILESTONES
 TYPES OF NEUROIMAGING
 BASIC PRINCIPLES
 NEUROIMAGING IN SOME SPECIFIC PSYCHIATRIC DISORDERS
 CONCLUSION
The factors determining human behavior have fascinated
man from times immemorial.
There has been constant endeavor to localize areas of the
brain responsible for various aspects of behavior & especially
to map out changes responsible for abnormal behavior.
Brain imaging methodologies allow measurement of the
structure, function and chemistry of the living human brain.
It has provided new information about the pathophysiology of
psychiatric disorders.
It can be useful for diagnosing illness, predicting prognosis &
for developing new treatments.
The first chapter of the history of neuroimaging
traces back to the Italian Neuroscientist Angelo
Mosso who invented the ‘Human Circulation
Balance', in 1882 which could non-invasively
measure the redistribution of blood during
emotional and intellectual activity.
In 1918 the American Neurosurgeon Walter Dandy
introduced the technique of Ventriculography. X-ray
images of the ventricular system within the brain
were obtained by injection of filtered air directly into
one or both lateral ventricles of the brain.
In 1927 Egas Moniz, a Portuguese Neurologist
introduced Cerebral Angiography, whereby both
normal and abnormal blood vessels in and around
the brain could be visualized with great precision.
1946 – MR phenomenon explained by Bloch & Purcell
[1952 – Nobel prize]
1950 – 1970 – NMR developed as an analytical tool
1963 – 1st instance of SPECT using Anger Camera – Kuhn & Edwards
1972 – Computerized Tomography [Godfrey Hounsfield, Alan Mcleod
Cormack,1979 – Nobel prize]
1973 – Backprojection MRI – Lauterbur
1983 – Compton Camera for SPECT – Manbir Singh & David Doria
1985 – DTI – Le Bihan D & Breton E
1986 – Gradient Echo Imaging, NMR Microscope
1987 – MR Angiography – Dumoulin
1992 – Functional MRI by Richard R Ernst
1994 – Hyperpolarized 129 Xe imaging
Structural study - provides
noninvasive visualization of the
morphology of the brain
Functional study - provides a
visualization of the spatial
distribution of specific bio-chemical
processes
CT SCAN FMRI
MRI PET
PLAIN SKULL RADIOGRAPHY SPECT
PNEUMO-ENCEPHALOGRAPHY MRS
DTI
BRAIN ELECTRICAL ACTIVITY
MAPPING (BEAM)
CT Scanners take a series
of head X-ray pictures from
all vantage points
360º around a patient's
head
The amount of radiation that
passes through, or is not
absorbed from, each angle
is digitized & entered into a
computer
When viewed in sequence, the
images allow mental
reconstruction of the structure
of the brain
The computer uses matrix algebra
calculations to assign a specific density
to each point within the head & displays
these data as a set of 2-D images
TISSUE APPEARANCE
BONE WHITE
CALCIFIED TISSUE WHITE
CLOTTED BLOOD WHITE
GREY MATTER LIGHT GREY
WHITE MATTER MEDIUM GREY
CSF NEARLY BLACK
WATER NEARLY BLACK
AIR BLACK
Criteria for contrast CT
 Patients with h/o seizure
 Patients with h/o cerebro-vascular accident
 Suspicion of intracranial sols including granulomas, cns tumours,
metastatic lesions.
PLAIN CT
 Diagnostic Accuracy 82%
CONTRAST CT
 iv IODINATED ( ionic/ non-ionic ) Contrast Medium
 Diagnostic Accuracy 92%
 CT offers excellent spatial resolution (<1 mm) and is effective at
distinguishing tissues with markedly different X-ray attenuation
properties (e.g., bone vs. Soft tissue vs. fluid vs. gas).
 CT is an excellent modality for imaging bone.
 CT is the imaging modality of choice for acute trauma or when an
acute bleed or ischemia is suspected.
 CT is not helpful in visualizing subtle white matter lesions due to
CT’s poor ability to distinguish between the X-ray attenuation
properties of different soft tissue densities.
CT uses ionizing radiation and thus is strongly
contraindicated in pregnancy.
Patient anxiety is usually less during a CT scan than during
an MRI scan because the scanning environment is
traditionally more open, quieter, and scanning time is brief.
CT is best for patients with ferro-metallic implants (e.g.,
foreign bodies, some aneurysm clips, pacemakers, etc.) as
MRI is contraindicated in this patient population.
 Confusion &/or dementias of unknown cause
 First episode of psychosis
 First episode of major affective disorder after 50 years of age
 Personality changes after 50 years of age
 Psychiatric symptoms following head injury
 To rule out complications due to possible head trauma
 Prolonged catatonia
 Co existence of seizure with psychiatric symptoms
 Movement disorders of unknown etiology
 Focal neurological signs accompanying psychiatric symptoms
Weinberg 1984; Beresford et al 1986
Nuclei of all atoms are
thought to spin about
an axis randomly
oriented in space
Placed in magnetic
Field  axis of all odd-
numbered nuclei
(mainly Hydrogen)
align with the
magnetic field
When exposed to a
pulse of
radiofrequency waves
- Axis of nucleus
deviates away from
the magnetic field
When the pulse
terminates, the axis of
the spinning nucleus
realigns itself with the
magnetic field
During this
realignment, it emits
its own radiofrequency
signal
MRI scanners collect the
emissions of individual,
realigning nuclei & use
computer analysis to generate
a series of 2-D images that
represent the brain
 Magnetic field strengh is the measured intensity of magnetic field
 Magnetic field strength is measured in tesla (t) or gauss (g)
 FDA approved MRI scanner ≤ 3T
 3T= 50,000 earth’s magnetic field
 An MRI image is a slice of a part of human body
 Each slice has a thickness
 Voxels are volume elements
 Several volume elements is present in a slice
 Voxel = 3mm
 Pixel – picture elements of an MRI image
Radiofrequency and magnetic field pulses manipulated to
create different pulse sequences.
Based on the duration of RF pulse & the length of time -
different pulse sequences are obtained. Examples: T1, T2,
FLAIR, DWI, DTI etc.
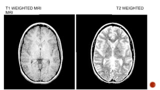
Best for visualizing normal neuroanatomy
Sharp boundaries between grey matter, white matter, and csf
Useful in evaluation of cerebro-pontine angle, cistern &
pituitary fossa
BONE WHITE
WHITE MATTER LIGHT GREY
GREY MATTER MEDIUM GREY
WATER/CSF/AIR BLACK
T1 is the only sequence that
allows contrast enhancement
with GADOLINIUM.
Contrast enhanced structures
on T1 appears white
Less distinct boundaries between white and grey matter
Best for displaying pathology
Useful in demyelination, edema & tumour infiltration
GRAY MATTER MEDIUM GRAY
WHITE MATTER DARK GREY
CSF AND WATER WHITE
 Special type of MRI scan
 T1 image is inverted & added to the t2 image
 Contrast between grey & white matter is
doubled & the normal csf signal is
suppressed.
 SPECIAL INDICATIONS
 To detect sclerosis of hippocampus in
temporal lobe epilepsy.
 To localize the areas of abnormal
metabolism in degenerative neurological
diseases.
MRI can detect the movement of water molecules within
tissues, and forms the basis for diffusion weighted imaging
(DWI) and diffusion tensor imaging (DTI).
DWI is well suited to detecting recent infarction in the brain,
and may be used to rule out such strokes in patients with
new mental status changes (Albers 1998 ).
DTI is of great interest to psychiatric research because it
allows remarkably detailed assessments of white matter
tracts, extending researchers’ ability to test hypotheses
concerning circuit abnormalities (Mori and Zhang 2006 )
DWI in Posterior, Anterior & Middle Cerebral Infarction
 MRI magnets used in clinical practice ranges from 0.3 to 2.0 Tesla
strength.
 Higher field-strength scanners produce image of higher resolution.
INDICATION ADVANTAGES DISADVANTAGES
To rule out organic cause of
psychiatric illness
Does not expose the patient
to ionizing radiations
Avoided in patients wearing
metallic devices
Abrupt change in mental
state
Demyelinating disease can
be assessed reliably
Claustrophobia
New onset memory loss or
dementia
Better study of posterior
fossa structures
Does not pick up bony
abnormalities
Difficult in uncooperative
patients
1. CT is still the modality of choice for patients with suspected acute
bleeds or acute trauma.
2. MRI is superior to CT for the differentiation of white from gray matter
and the identification of white matter lesions.
3. MRI is superior to CT for the detection of posterior fossa and
brainstem pathology.
4. CT is recommended if MRI is contraindicated (i.e., paramagnetic
protheses; inability to tolerate scanner time, noise, or confinement).
5. MRI is recommended if radiation exposure is contraindicated (i.e.,
young children or women of childbearing potential).
PLAIN SKULL RADIOGRAPHY
 Plain films of the skull are of little value in studying psychiatric
disorders, as it gives very little information.
PNEUMO-ENCEPHALOGRAPHY
 PEG is a process in which air is introduced in the ventricular cavities to
visualize any changes.
 Results of PEG in psychiatric patients have been reviewed by
Weinberger and Wyatt.
 Cerebral atrophy found in psychiatric patients.
PRINCIPLE
Basic principle similar to MRI
 Except MRS can detect several odd-numbered nuclei
 MRS permits study of many metabolic processes
Nuclei align themselves in the strong magnetic field.
A radiofrequency pulse causes the nuclei of interest to
absorb & then emit energy.
Readout on MRS is in the form of a spectrum.
Can be converted into a pictorial image of the brain.
NUCLEI USES
H¹ Decreased aspartate (NAA) in dementia & other neurological
conditions
Li 7 Pharmacokinetics of Lithium
C¹³ Study of metabolic pathway
F 19 Pharmacokinetics of certain drugs like SSRIs (Fluoxetine,
Fluoxamine).
Analysis of glucose metabolism
P³¹ Tissue metabolism (compound containing high energy phosphates
like ATP, ADP etc.)
MRS has revealed decreased NAA conc. in temporal lobes
& increased conc. of Inositol in occipital lobes of pts with
Alzheimer dementia.
MRS has revealed decreased NAA conc. in temporal &
frontal lobes of pts with Schizophrenia.
It has shown elevated brain Lactate levels during panic
attacks in pts with panic disorder.
PRINCIPLE
 A sub-type of MRI scan
 Uses the new T2 or the blood-oxygen level dependent (BOLD)
sequence.
 Detects levels of oxygenated hb in the blood.
 Maps brain function.
 Detects not the brain activity, but the blood flow.
NEURONAL
ACTIVITY WITHIN
THE BRAIN
LOCAL INCREASE
IN BLOOD FLOW
INCREASES THE
LOCAL HB CONC.
WHICH
REFLECTS THE
FUNC. ACTIVITY
OF BRAIN ON T2
SEQUENCE
ADVANTAGE LIMITATIONS
Possible to study both cerebral anatomy & functional
neurophysiology using a single technique (Bullmore &
Fletcher 2003)
fMRI asseses neuronal activity indirectly by measuring
blood flow (or tissue perfusion), which limits its
resolution.
No radio active exposure Two tasks that activates clusters of neurons 5 mm
apart will yield overlapping signals on fMRI & thus are
indistinguishable by this technique.
Used in criminal psychiatry or federal investigations
as a lie detector
Sensitivity & resolution can be improved by using ultra-
small non toxic iron oxide particles.
fMRI produces maps of resting cerebral blood flow
(Wintermark et al. 2005 ).
Acquisition of sufficient images for study can require
20 minutes to 3 hours, during which the subject’s head
must remain in exactly the same position.
Depression groupHealthy Controls
Schizophrenia groupHealthy Controls
 A type of nuclear imaging that shows how blood flows to tissues & organs.
 INTEGRATES : CT + RADIOACTIVE MATERIAL (TRACER).
 SPECT uses compounds labeled with single photon-emitting isotopes: IODINE-123,
TECHNETIUM-99M AND XENON-133.
INJECT WITH
RADIO-
LABELLED
MATERIAL
GAMMA RAYS
EMITTED
DETECTED
BY SCANNER
TRANSLATED
INTO 2-D
IMAGE
THESE IMAGES ADDED
TOGETHER TO GET A 3-D
IMAGE
 Estimate regional cerebral blood flow
 TC99 is most commonly used for deeper structures of brain.
 XE133 for superficial structures of brain (RCBF technique)
 Muscarinic cholinergic system using I123
 Dopaminergic system
 Radiolabelled receptor binding agents I123, IBZM (iodobenzamide)
for D2 receptors
 Adrenergic system
 Early diagnosis of Alzheimer's disease
 Regional brain function: perfusion
 Dopamine D2 receptor availability
 Dopamine transporter function
 M1 muscarinic receptors
 Nicotinic receptors
g-ray
detector
+
-
Radioactive
nucleus
• A radioactive isotope is injected &
decays, emitting a β + particle.
• Within a short distance, the β +
particle bumps into an electron & the
two annihilate, producing a pair of g -
rays.
• By detecting & reconstructing where
the g - rays come from, we can
measure the location & concentration
of radio-isotope.
Most Commonly Used Isotopes
• F 18
• N 13
• O 15
To estimate regional cerebral blood flow
To estimate regional cerebral glucose metabolism (regional
cerebral metabolic rate for glucose - rCMRglu)
For receptor imaging
To study normal brain development
SPECT PET
Single photon Positron
99mTc , XE133 or I 123 13 N, 15 O or 18F
Short half life Longer half life
Less sensitive Highly sensitive (100 times more than SPECT)
SPECT is limited to one study per day Multiple PET scans may sometimes be done
within a day
Low spatial resolution Superior spatial resolution
Cheaper and easily available than PET Costly, not easily available
NORMAL SCHIZOPHRENIA
 The use of clinical neuroimaging by psychiatrists has traditionally been
limited to structural studies (CT, MRI) to detect neurological lesions or
diseases that may produce psychiatric symptoms.
 For Dementia the clinical imaging applications provide solid affirmative
diagnostic evidence.
 When using the various currently available neuroimaging modalities a
number of factors must be considered including the indications, risks,
costs, advantages, and limitations.
 There have been numerous studies, dating back to 1978, assessing the
utility of CT imaging in psychiatric populations.
 Across these studies, which represent a diverse population totaling
1346 patients, 29.5% of patients exhibited diffuse cortical atrophy while
12% of patients exhibited focal abnormalities (Renshaw and Rauch
1999 ).
 When MRI became available in the 1980s, changes in the
neuroimaging literature reflected a shift away from CT and toward the
use of MRI in psychiatric populations.
 The largest study of the use of MRI in psychiatric populations was
conducted at McLean Hospital over a 5-year period and included all
6200 patients who received an MRI during that time (Rauch and
Renshaw 1995).
 The study found that 99 patients (1.6%) had unexpected and potentially
treatable findings including hemorrhage, temporal lobe cysts, tumors,
vascular malformations, and hydrocephalus.
 Multiple sclerosis was newly diagnosed in 0.8% of the subjects, a rate
that is approximately 13 times higher than the prevalence of multiple
sclerosis in the general population (Lyoo et al. 1996).
 Psychiatric patients with newly diagnosed multiple sclerosis in the study
had been diagnosed with refractory affective illness.
 A number of studies have found an increased incidence of white matter
lesions, more easily detected with MRI than CT, in psychiatric
populations.
 Subsequent studies also revealed that as many as 30% of healthy
control subjects over age 60 have white matter abnormalities of no
apparent clinical significance.
 Subsequent evidence was presented which suggested that subcortical
and white matter lesions are more prevalent in patients with late life
onset depression and psychosis (Becker et al. 1995 ).
 Criteria for appropriate structural brain imaging (Dougherty and Rauch
2001):
1. Patients with acute changes in mental status (including changes in
affect, behavior, or personality) plus at least one of three additional
criteria:
 Age greater than 50 years
 Abnormal neurological exam (especially focal abnormalities)
 History of signifi cant head trauma
2. New onset psychosis.
3. New onset delirium or dementia of unknown cause.
4. Possibly for treatment refractory patients.
5. Possibly prior to an initial course of electroconvulsive therapy
 Adherence to the criteria listed above yield positive findings in 10–45%
of cases.
 However, only 1–5% will produce findings that lead to specific medical
intervention.
 Lastly, if structural neuroimaging is indicated, one should use MRI
unless the problem is an acute trauma or an acute bleed is suspected.
 Functional neuroimaging modalities include PET, SPECT, and
functional MRI, and are now used in clinical situations as aids for the
diagnosis of psychiatric conditions.
 Most applications of functional neuroimaging in psychiatry occur in the
field of research.
 Clinical role for functional neuroimaging in dementia, traumatic brain
injury (TBI), seizures, and possibly other conditions are evolving and
showing promise.
 As characteristic functional neuroimaging profi les emerge for various forms of
dementia, the role of PET, SPECT, and MRI in the evaluation of dementia is
expanding.
 Alzheimer’s disease is
associated with characteristic
hypoperfusion and reduced
glucose metabolism in bilateral
temporo-parietal regions.
 Some studies have indicated that SPECT and PET neuroimaging can
offer better than 90% sensitivity and specificity in distinguishing
Alzheimer’s disease from other kinds of dementia (Silverman et al.
2001 , Bonte et al. 2001)
 Other dementias such as frontotemporal dementias (e.g., Pick’s
disease) and multi-infarct dementia may also be diagnosed by
combining clinical evidence with functional imaging findings.
 In frontotemporal dementia Structural imaging reveals severe sharply
localised atrophy – bilaterally symmetric “KNIFE-BLADE ATROPHY”
Functional imaging reveals Fronto-temporal hypometabolism.
 EEG measures cortical surface electrical activity but is less efficacious if the
seizure focus is deeper in the brain.
 PET and SPECT images typically demonstrate ictal hypermetabolism and
interictal hypometabolism (Krausz et al. 1996 , Theodore and Gaillard
2000).
 This allows for the detection of seizure foci during the predominant interictal
period.
PET imaging showing right temporo-parietal interictal hypometabolism (a) that during seizure
demonstrates hypermetabolism (b). Note the mildly increased metabolism in bilateral thalamus and
basal ganglia with widespread hypometabolism diffusely in the ictal PET.
 Psychiatrists often examine and treat patients with psychiatric
symptoms who have suffered a potentially etiologic head injury.
 In the 80% of cases that are classified as mild TBI based upon loss of
consciousness < 30 min, Glascow Coma Scores of 13–15, and
posttraumatic amnesia < 24 hr, the causal relationship between the
head trauma and subsequent psychiatric problems may be less
obvious.
 In such cases, functional imaging may offer more useful information
than that provided by a structural imaging study alone.
 Injured brain tissue, after the acute stage, may show metabolic
depression and reduced perfusion on FDG PET and SPECT,
respectively, although research findings have been thus far inconsistent
(Belanger et al. 2007).
 In terms of structural imaging, DTI show greater diagnostic sensitivity
than the more typically ordered T1- or T2-weighted sequences.
 Expert testimony concerning neuroimaging evidence and TBI has now
become a fairly common phenomenon in forensic psychiatric practice.
 Figure: Positron emission tomography after concussion. PET scan after concussion (mild head injury,
left ), compared with severe head injury ( middle ) and normal, uninjured brain ( right ). Red ( light
shading ) indicates high brain metabolism, which is a sign of high brain activity, whereas blue ( dark
shading ) indicates low brain metabolism or low activity. Note that concussion and severe head-injury
patients both displayed low levels of brain metabolism.
 Neuroimaging technology has evolved considerably during the last few
decades.
 Functional imaging more useful than structural in psychiatry.
 Neuroimaging in psychiatry is presently used mainly to rule out
neurological causes, and in evalulation of dementia.
 There are still substantial limitations on the amount of information that
neuroimaging provides in the clinical setting.
 The continued evolution of neuroimaging technology offers great
promise for the future.
REFERENCES
 Kaplan and Sadock's Comprehensive Textbook of Psychiatry, 9th Edition
 Psychiatry, Third Edition, Allan Tasman
 Diagnostic Imaging Brain, Osborn
 http://med.stanford.edu/neuroimaging/research.html
 https://www.researchgate.net/Positron-emission-tomography-after-concussion-
PET-scan-after-concussion-mild
 www.google.com (images)
THAN
K
YOU

Brain imaging in psychiatry

  • 1.
    PRESENTER – DR.SUBHENDU SEKHAR DHAR
  • 2.
     INTRODUCTION  HISTORICALMILESTONES  TYPES OF NEUROIMAGING  BASIC PRINCIPLES  NEUROIMAGING IN SOME SPECIFIC PSYCHIATRIC DISORDERS  CONCLUSION
  • 3.
    The factors determininghuman behavior have fascinated man from times immemorial. There has been constant endeavor to localize areas of the brain responsible for various aspects of behavior & especially to map out changes responsible for abnormal behavior.
  • 4.
    Brain imaging methodologiesallow measurement of the structure, function and chemistry of the living human brain. It has provided new information about the pathophysiology of psychiatric disorders. It can be useful for diagnosing illness, predicting prognosis & for developing new treatments.
  • 5.
    The first chapterof the history of neuroimaging traces back to the Italian Neuroscientist Angelo Mosso who invented the ‘Human Circulation Balance', in 1882 which could non-invasively measure the redistribution of blood during emotional and intellectual activity.
  • 6.
    In 1918 theAmerican Neurosurgeon Walter Dandy introduced the technique of Ventriculography. X-ray images of the ventricular system within the brain were obtained by injection of filtered air directly into one or both lateral ventricles of the brain. In 1927 Egas Moniz, a Portuguese Neurologist introduced Cerebral Angiography, whereby both normal and abnormal blood vessels in and around the brain could be visualized with great precision.
  • 7.
    1946 – MRphenomenon explained by Bloch & Purcell [1952 – Nobel prize] 1950 – 1970 – NMR developed as an analytical tool 1963 – 1st instance of SPECT using Anger Camera – Kuhn & Edwards 1972 – Computerized Tomography [Godfrey Hounsfield, Alan Mcleod Cormack,1979 – Nobel prize] 1973 – Backprojection MRI – Lauterbur 1983 – Compton Camera for SPECT – Manbir Singh & David Doria 1985 – DTI – Le Bihan D & Breton E 1986 – Gradient Echo Imaging, NMR Microscope 1987 – MR Angiography – Dumoulin 1992 – Functional MRI by Richard R Ernst 1994 – Hyperpolarized 129 Xe imaging
  • 8.
    Structural study -provides noninvasive visualization of the morphology of the brain Functional study - provides a visualization of the spatial distribution of specific bio-chemical processes CT SCAN FMRI MRI PET PLAIN SKULL RADIOGRAPHY SPECT PNEUMO-ENCEPHALOGRAPHY MRS DTI BRAIN ELECTRICAL ACTIVITY MAPPING (BEAM)
  • 10.
    CT Scanners takea series of head X-ray pictures from all vantage points 360º around a patient's head The amount of radiation that passes through, or is not absorbed from, each angle is digitized & entered into a computer When viewed in sequence, the images allow mental reconstruction of the structure of the brain The computer uses matrix algebra calculations to assign a specific density to each point within the head & displays these data as a set of 2-D images
  • 11.
    TISSUE APPEARANCE BONE WHITE CALCIFIEDTISSUE WHITE CLOTTED BLOOD WHITE GREY MATTER LIGHT GREY WHITE MATTER MEDIUM GREY CSF NEARLY BLACK WATER NEARLY BLACK AIR BLACK
  • 13.
    Criteria for contrastCT  Patients with h/o seizure  Patients with h/o cerebro-vascular accident  Suspicion of intracranial sols including granulomas, cns tumours, metastatic lesions. PLAIN CT  Diagnostic Accuracy 82% CONTRAST CT  iv IODINATED ( ionic/ non-ionic ) Contrast Medium  Diagnostic Accuracy 92%
  • 15.
     CT offersexcellent spatial resolution (<1 mm) and is effective at distinguishing tissues with markedly different X-ray attenuation properties (e.g., bone vs. Soft tissue vs. fluid vs. gas).  CT is an excellent modality for imaging bone.  CT is the imaging modality of choice for acute trauma or when an acute bleed or ischemia is suspected.  CT is not helpful in visualizing subtle white matter lesions due to CT’s poor ability to distinguish between the X-ray attenuation properties of different soft tissue densities.
  • 16.
    CT uses ionizingradiation and thus is strongly contraindicated in pregnancy. Patient anxiety is usually less during a CT scan than during an MRI scan because the scanning environment is traditionally more open, quieter, and scanning time is brief. CT is best for patients with ferro-metallic implants (e.g., foreign bodies, some aneurysm clips, pacemakers, etc.) as MRI is contraindicated in this patient population.
  • 17.
     Confusion &/ordementias of unknown cause  First episode of psychosis  First episode of major affective disorder after 50 years of age  Personality changes after 50 years of age  Psychiatric symptoms following head injury  To rule out complications due to possible head trauma  Prolonged catatonia  Co existence of seizure with psychiatric symptoms  Movement disorders of unknown etiology  Focal neurological signs accompanying psychiatric symptoms Weinberg 1984; Beresford et al 1986
  • 19.
    Nuclei of allatoms are thought to spin about an axis randomly oriented in space Placed in magnetic Field  axis of all odd- numbered nuclei (mainly Hydrogen) align with the magnetic field When exposed to a pulse of radiofrequency waves - Axis of nucleus deviates away from the magnetic field When the pulse terminates, the axis of the spinning nucleus realigns itself with the magnetic field During this realignment, it emits its own radiofrequency signal MRI scanners collect the emissions of individual, realigning nuclei & use computer analysis to generate a series of 2-D images that represent the brain
  • 20.
     Magnetic fieldstrengh is the measured intensity of magnetic field  Magnetic field strength is measured in tesla (t) or gauss (g)  FDA approved MRI scanner ≤ 3T  3T= 50,000 earth’s magnetic field  An MRI image is a slice of a part of human body  Each slice has a thickness  Voxels are volume elements  Several volume elements is present in a slice  Voxel = 3mm  Pixel – picture elements of an MRI image
  • 21.
    Radiofrequency and magneticfield pulses manipulated to create different pulse sequences. Based on the duration of RF pulse & the length of time - different pulse sequences are obtained. Examples: T1, T2, FLAIR, DWI, DTI etc.
  • 22.
    Best for visualizingnormal neuroanatomy Sharp boundaries between grey matter, white matter, and csf Useful in evaluation of cerebro-pontine angle, cistern & pituitary fossa BONE WHITE WHITE MATTER LIGHT GREY GREY MATTER MEDIUM GREY WATER/CSF/AIR BLACK
  • 23.
    T1 is theonly sequence that allows contrast enhancement with GADOLINIUM. Contrast enhanced structures on T1 appears white
  • 24.
    Less distinct boundariesbetween white and grey matter Best for displaying pathology Useful in demyelination, edema & tumour infiltration GRAY MATTER MEDIUM GRAY WHITE MATTER DARK GREY CSF AND WATER WHITE
  • 26.
     Special typeof MRI scan  T1 image is inverted & added to the t2 image  Contrast between grey & white matter is doubled & the normal csf signal is suppressed.  SPECIAL INDICATIONS  To detect sclerosis of hippocampus in temporal lobe epilepsy.  To localize the areas of abnormal metabolism in degenerative neurological diseases.
  • 27.
    MRI can detectthe movement of water molecules within tissues, and forms the basis for diffusion weighted imaging (DWI) and diffusion tensor imaging (DTI). DWI is well suited to detecting recent infarction in the brain, and may be used to rule out such strokes in patients with new mental status changes (Albers 1998 ). DTI is of great interest to psychiatric research because it allows remarkably detailed assessments of white matter tracts, extending researchers’ ability to test hypotheses concerning circuit abnormalities (Mori and Zhang 2006 )
  • 28.
    DWI in Posterior,Anterior & Middle Cerebral Infarction
  • 30.
     MRI magnetsused in clinical practice ranges from 0.3 to 2.0 Tesla strength.  Higher field-strength scanners produce image of higher resolution. INDICATION ADVANTAGES DISADVANTAGES To rule out organic cause of psychiatric illness Does not expose the patient to ionizing radiations Avoided in patients wearing metallic devices Abrupt change in mental state Demyelinating disease can be assessed reliably Claustrophobia New onset memory loss or dementia Better study of posterior fossa structures Does not pick up bony abnormalities Difficult in uncooperative patients
  • 31.
    1. CT isstill the modality of choice for patients with suspected acute bleeds or acute trauma. 2. MRI is superior to CT for the differentiation of white from gray matter and the identification of white matter lesions. 3. MRI is superior to CT for the detection of posterior fossa and brainstem pathology. 4. CT is recommended if MRI is contraindicated (i.e., paramagnetic protheses; inability to tolerate scanner time, noise, or confinement). 5. MRI is recommended if radiation exposure is contraindicated (i.e., young children or women of childbearing potential).
  • 32.
    PLAIN SKULL RADIOGRAPHY Plain films of the skull are of little value in studying psychiatric disorders, as it gives very little information. PNEUMO-ENCEPHALOGRAPHY  PEG is a process in which air is introduced in the ventricular cavities to visualize any changes.  Results of PEG in psychiatric patients have been reviewed by Weinberger and Wyatt.  Cerebral atrophy found in psychiatric patients.
  • 38.
    PRINCIPLE Basic principle similarto MRI  Except MRS can detect several odd-numbered nuclei  MRS permits study of many metabolic processes Nuclei align themselves in the strong magnetic field. A radiofrequency pulse causes the nuclei of interest to absorb & then emit energy. Readout on MRS is in the form of a spectrum. Can be converted into a pictorial image of the brain.
  • 39.
    NUCLEI USES H¹ Decreasedaspartate (NAA) in dementia & other neurological conditions Li 7 Pharmacokinetics of Lithium C¹³ Study of metabolic pathway F 19 Pharmacokinetics of certain drugs like SSRIs (Fluoxetine, Fluoxamine). Analysis of glucose metabolism P³¹ Tissue metabolism (compound containing high energy phosphates like ATP, ADP etc.)
  • 40.
    MRS has revealeddecreased NAA conc. in temporal lobes & increased conc. of Inositol in occipital lobes of pts with Alzheimer dementia. MRS has revealed decreased NAA conc. in temporal & frontal lobes of pts with Schizophrenia. It has shown elevated brain Lactate levels during panic attacks in pts with panic disorder.
  • 42.
    PRINCIPLE  A sub-typeof MRI scan  Uses the new T2 or the blood-oxygen level dependent (BOLD) sequence.  Detects levels of oxygenated hb in the blood.  Maps brain function.  Detects not the brain activity, but the blood flow. NEURONAL ACTIVITY WITHIN THE BRAIN LOCAL INCREASE IN BLOOD FLOW INCREASES THE LOCAL HB CONC. WHICH REFLECTS THE FUNC. ACTIVITY OF BRAIN ON T2 SEQUENCE
  • 43.
    ADVANTAGE LIMITATIONS Possible tostudy both cerebral anatomy & functional neurophysiology using a single technique (Bullmore & Fletcher 2003) fMRI asseses neuronal activity indirectly by measuring blood flow (or tissue perfusion), which limits its resolution. No radio active exposure Two tasks that activates clusters of neurons 5 mm apart will yield overlapping signals on fMRI & thus are indistinguishable by this technique. Used in criminal psychiatry or federal investigations as a lie detector Sensitivity & resolution can be improved by using ultra- small non toxic iron oxide particles. fMRI produces maps of resting cerebral blood flow (Wintermark et al. 2005 ). Acquisition of sufficient images for study can require 20 minutes to 3 hours, during which the subject’s head must remain in exactly the same position.
  • 44.
  • 45.
  • 47.
     A typeof nuclear imaging that shows how blood flows to tissues & organs.  INTEGRATES : CT + RADIOACTIVE MATERIAL (TRACER).  SPECT uses compounds labeled with single photon-emitting isotopes: IODINE-123, TECHNETIUM-99M AND XENON-133. INJECT WITH RADIO- LABELLED MATERIAL GAMMA RAYS EMITTED DETECTED BY SCANNER TRANSLATED INTO 2-D IMAGE THESE IMAGES ADDED TOGETHER TO GET A 3-D IMAGE
  • 48.
     Estimate regionalcerebral blood flow  TC99 is most commonly used for deeper structures of brain.  XE133 for superficial structures of brain (RCBF technique)  Muscarinic cholinergic system using I123  Dopaminergic system  Radiolabelled receptor binding agents I123, IBZM (iodobenzamide) for D2 receptors  Adrenergic system  Early diagnosis of Alzheimer's disease
  • 49.
     Regional brainfunction: perfusion  Dopamine D2 receptor availability  Dopamine transporter function  M1 muscarinic receptors  Nicotinic receptors
  • 50.
    g-ray detector + - Radioactive nucleus • A radioactiveisotope is injected & decays, emitting a β + particle. • Within a short distance, the β + particle bumps into an electron & the two annihilate, producing a pair of g - rays. • By detecting & reconstructing where the g - rays come from, we can measure the location & concentration of radio-isotope. Most Commonly Used Isotopes • F 18 • N 13 • O 15
  • 51.
    To estimate regionalcerebral blood flow To estimate regional cerebral glucose metabolism (regional cerebral metabolic rate for glucose - rCMRglu) For receptor imaging To study normal brain development
  • 52.
    SPECT PET Single photonPositron 99mTc , XE133 or I 123 13 N, 15 O or 18F Short half life Longer half life Less sensitive Highly sensitive (100 times more than SPECT) SPECT is limited to one study per day Multiple PET scans may sometimes be done within a day Low spatial resolution Superior spatial resolution Cheaper and easily available than PET Costly, not easily available
  • 53.
  • 57.
     The useof clinical neuroimaging by psychiatrists has traditionally been limited to structural studies (CT, MRI) to detect neurological lesions or diseases that may produce psychiatric symptoms.  For Dementia the clinical imaging applications provide solid affirmative diagnostic evidence.  When using the various currently available neuroimaging modalities a number of factors must be considered including the indications, risks, costs, advantages, and limitations.
  • 58.
     There havebeen numerous studies, dating back to 1978, assessing the utility of CT imaging in psychiatric populations.  Across these studies, which represent a diverse population totaling 1346 patients, 29.5% of patients exhibited diffuse cortical atrophy while 12% of patients exhibited focal abnormalities (Renshaw and Rauch 1999 ).  When MRI became available in the 1980s, changes in the neuroimaging literature reflected a shift away from CT and toward the use of MRI in psychiatric populations.
  • 59.
     The largeststudy of the use of MRI in psychiatric populations was conducted at McLean Hospital over a 5-year period and included all 6200 patients who received an MRI during that time (Rauch and Renshaw 1995).  The study found that 99 patients (1.6%) had unexpected and potentially treatable findings including hemorrhage, temporal lobe cysts, tumors, vascular malformations, and hydrocephalus.  Multiple sclerosis was newly diagnosed in 0.8% of the subjects, a rate that is approximately 13 times higher than the prevalence of multiple sclerosis in the general population (Lyoo et al. 1996).
  • 60.
     Psychiatric patientswith newly diagnosed multiple sclerosis in the study had been diagnosed with refractory affective illness.  A number of studies have found an increased incidence of white matter lesions, more easily detected with MRI than CT, in psychiatric populations.  Subsequent studies also revealed that as many as 30% of healthy control subjects over age 60 have white matter abnormalities of no apparent clinical significance.
  • 61.
     Subsequent evidencewas presented which suggested that subcortical and white matter lesions are more prevalent in patients with late life onset depression and psychosis (Becker et al. 1995 ).
  • 62.
     Criteria forappropriate structural brain imaging (Dougherty and Rauch 2001): 1. Patients with acute changes in mental status (including changes in affect, behavior, or personality) plus at least one of three additional criteria:  Age greater than 50 years  Abnormal neurological exam (especially focal abnormalities)  History of signifi cant head trauma 2. New onset psychosis. 3. New onset delirium or dementia of unknown cause. 4. Possibly for treatment refractory patients. 5. Possibly prior to an initial course of electroconvulsive therapy
  • 63.
     Adherence tothe criteria listed above yield positive findings in 10–45% of cases.  However, only 1–5% will produce findings that lead to specific medical intervention.  Lastly, if structural neuroimaging is indicated, one should use MRI unless the problem is an acute trauma or an acute bleed is suspected.
  • 64.
     Functional neuroimagingmodalities include PET, SPECT, and functional MRI, and are now used in clinical situations as aids for the diagnosis of psychiatric conditions.  Most applications of functional neuroimaging in psychiatry occur in the field of research.  Clinical role for functional neuroimaging in dementia, traumatic brain injury (TBI), seizures, and possibly other conditions are evolving and showing promise.
  • 65.
     As characteristicfunctional neuroimaging profi les emerge for various forms of dementia, the role of PET, SPECT, and MRI in the evaluation of dementia is expanding.  Alzheimer’s disease is associated with characteristic hypoperfusion and reduced glucose metabolism in bilateral temporo-parietal regions.
  • 66.
     Some studieshave indicated that SPECT and PET neuroimaging can offer better than 90% sensitivity and specificity in distinguishing Alzheimer’s disease from other kinds of dementia (Silverman et al. 2001 , Bonte et al. 2001)  Other dementias such as frontotemporal dementias (e.g., Pick’s disease) and multi-infarct dementia may also be diagnosed by combining clinical evidence with functional imaging findings.  In frontotemporal dementia Structural imaging reveals severe sharply localised atrophy – bilaterally symmetric “KNIFE-BLADE ATROPHY” Functional imaging reveals Fronto-temporal hypometabolism.
  • 70.
     EEG measurescortical surface electrical activity but is less efficacious if the seizure focus is deeper in the brain.  PET and SPECT images typically demonstrate ictal hypermetabolism and interictal hypometabolism (Krausz et al. 1996 , Theodore and Gaillard 2000).  This allows for the detection of seizure foci during the predominant interictal period.
  • 71.
    PET imaging showingright temporo-parietal interictal hypometabolism (a) that during seizure demonstrates hypermetabolism (b). Note the mildly increased metabolism in bilateral thalamus and basal ganglia with widespread hypometabolism diffusely in the ictal PET.
  • 72.
     Psychiatrists oftenexamine and treat patients with psychiatric symptoms who have suffered a potentially etiologic head injury.  In the 80% of cases that are classified as mild TBI based upon loss of consciousness < 30 min, Glascow Coma Scores of 13–15, and posttraumatic amnesia < 24 hr, the causal relationship between the head trauma and subsequent psychiatric problems may be less obvious.  In such cases, functional imaging may offer more useful information than that provided by a structural imaging study alone.
  • 73.
     Injured braintissue, after the acute stage, may show metabolic depression and reduced perfusion on FDG PET and SPECT, respectively, although research findings have been thus far inconsistent (Belanger et al. 2007).  In terms of structural imaging, DTI show greater diagnostic sensitivity than the more typically ordered T1- or T2-weighted sequences.  Expert testimony concerning neuroimaging evidence and TBI has now become a fairly common phenomenon in forensic psychiatric practice.
  • 74.
     Figure: Positronemission tomography after concussion. PET scan after concussion (mild head injury, left ), compared with severe head injury ( middle ) and normal, uninjured brain ( right ). Red ( light shading ) indicates high brain metabolism, which is a sign of high brain activity, whereas blue ( dark shading ) indicates low brain metabolism or low activity. Note that concussion and severe head-injury patients both displayed low levels of brain metabolism.
  • 75.
     Neuroimaging technologyhas evolved considerably during the last few decades.  Functional imaging more useful than structural in psychiatry.  Neuroimaging in psychiatry is presently used mainly to rule out neurological causes, and in evalulation of dementia.  There are still substantial limitations on the amount of information that neuroimaging provides in the clinical setting.  The continued evolution of neuroimaging technology offers great promise for the future.
  • 76.
    REFERENCES  Kaplan andSadock's Comprehensive Textbook of Psychiatry, 9th Edition  Psychiatry, Third Edition, Allan Tasman  Diagnostic Imaging Brain, Osborn  http://med.stanford.edu/neuroimaging/research.html  https://www.researchgate.net/Positron-emission-tomography-after-concussion- PET-scan-after-concussion-mild  www.google.com (images)
  • 77.