URINARY SYSTEM
IMAGING
Method
s
Sonogr
aphy
X-
ray(nati
ve,contr
ast)
Angiogr
aphy
MSCT
MRI
Raionuc
lid
Sonography for kidneys
■ 1) kidney anatomy (location, shape, dimensions,
contours)
■ 2) kidney structure (decreased echogenicity - swelling,
increased - sclerotic changes, solid and cystic structures)
■ 3) state of the pelvis and ureters (structures, stones and
hydronephrosis)
■ 4 ) the ureter is not well visible (only the proximal and
distal 1/3 parts can be seen with good devices)
■ 5) the proximal and distal 1/3 parts of the renal artery
and vein can be studied with Doppler
■ 6) renal perfusion - can be studied with color doppler
■ 7) respiratory excursion of the kidneys (increased,
surrounding fibrosis decreases in changes)
■ 8) tissues around the kidney and blood vessels (adrenal
gland, aorta, inferior vena cava), but lymph nodes
enlargement are not visible
■ 9) control of interventional procedures.
Sonography for
baladder
■ A Bladder should be full. There are
transabdominal and endoscopic methods.
Importance - 1) anatomy
■ 2) cystodynamogram (measurement of
urine volume after urination)
■ 3) vesicourteral reflux study
Intravenous urography
■ Preparation:
- Fasting 6-8 h
- Cleaning enema
- Native abdominal imaging in order to check 1) readiness of
the patient 2) calcifications in the kidney 3) pathology of
tissues around the kidney (gas in the large intestine, spine).
- Blood biochemical analysis (creatinine, urea)
- Stages:
5-7 min – renal calyces
10-15 min – urether
25-30 min – bladder
45-60 min - if the obstruction is severe and the
ureter is insufficiently opacified, perform delayed full-length
radiographs
Indications Contraindications
ureteric obstruction: severity, site and cause
e.g. urolithiasis
allergic reactions
tumors kidney failure
anatomical variants such as horseshoe kidney heart failure
renal function liver failure
large left renal
pelvis calculus
with normal
function
Cystography
Indications Contraindications
vesicoureteral reflux hematuria
fistula to other organs inflammation
diverticulum of the urinary bladder
Technique
•insert Foley catheter in bladder,
or use an indwelling Foley or
suprapubic catheter
•introduce water soluble
contrast through the catheter
(such as Isovue-300 or
Cystografin)
small bladder with
bilateral
vesicoureteral
reflux
Voiding cystourethrography (VCUG)
neurogenic bladder
normal bladder
Angiography
1) pathology of renal arteries and veins - thrombosis, aneurysm, stenosis, anomalous location of
drainage, AV-fistula, angioma, arteriovenous malformation, etc.
2) kidney tumors and cysts (their proportion to the blood vessel is visible)
3) before surgery
4) endovascular procedures
Computed tomography of kidneys,
ureters and bladder (CT KUB)
■ is a quick non-invasive technique for diagnosis of urolithiasis.
MRI
Renal cortex has slightly higher signal
than medulla on T1-weighted images.
On T2-weighted images, medulla has
slightly higher signal than renal cortex
Renal imaging in nuclear medicine
static dynamic
Renal agenesis
■ Renal agenesis refers to a congenital
absence of one or both kidneys. If bilateral
(traditionally known as the classic Potter
syndrome) the condition is fatal, whereas
if unilateral, patients can have a normal
life expectancy.
■ Unilateral renal agenesis may have other
associated birth defects (most commonly,
involving the genitourinary system).
■ absent kidney
■ absent ipsilateral renal artery
■ compensatory hypertrophy of the
contralateral (opposite) kidney
Renal hypoplasia
■ Renal hypoplasia can present as
unilateral or bilateral. In cases of
unilateral renal hypoplasia, it is
common to have compensatory
hypertrophy of the contralateral
kidney.
■ Due to the essentially normal renal
parenchyma, these kidneys can still
produce normal urine, however in a
reduced volume. This low volume of
production causes urine stasis and
predisposes to urolithiasis and
urinary tract infections.
Renal dystopia
also known as renal ectopia, is
a congenital renal anomaly
characterized by the abnormal
location of one or both of
the kidneys.
They can occur in several forms:
■ cross fused renal ectopia
■ ectopic thoracic kidney
■ pelvic kidney
Nephroptosis
■ also known as floating/wandering kidney or ren mobilis, refers to the descent of
the kidney more than 5 cm or two vertebral bodies when the patient moves from a
supine to upright position during IVU.
Difference between Dystopia and
Nephroptosis?
■ Dystopian kidney ureter narrows (excretory urography and retrograde pyelography)
■ Location of the renal artery increases (angiography, MR-angiography, sonography?).
Abnormal renal rotation
■ also known as renal malrotation, refers to an anatomical variation in the position of the kidneys,
in particular to anomalous orientation of the renal hilum. It may occur unilaterally or bilaterally. It
is almost always an asymptomatic incidental finding.
Duplex kidney
Horseshoe
kidneys
Ultrasound
■ uncomplicated renal cyst
– well-marginated anechoic lesion with thin
walls
– a few thin septa may be present (5% of cysts)
– posterior acoustic enhancement may be
present, although this finding is non-specific
and also may not be seen with smaller cysts
– a small amount of intracystic
hemorrhage/debris may be present and may
require further evaluation (5% of cysts)
■ complicated cyst
– cystic lesions with thickened or irregular walls
or septa are suspicious for renal cell
carcinoma and warrant further work up
– vascularity of the septa on color or spectral
Doppler is suspicious for renal cell carcinoma
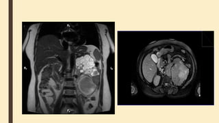
MRI
Simple cyst characteristics are similar
to ultrasound and CT:
■ T1: hypointense (hemorrhagic
debris may mildly increase signal)
■ T1 C+ (Gd): no postcontrast
enhancement
■ T2: strongly hyperintense
(hemorrhagic debris may mildly
decrease signal) and separate
from the collecting system
■ DWI: increased signal, but no
restricted diffusion
Polycystic Kidney Disease
Multilocular cystic renal neoplasm of
low malignant potential (MCRNLMP)
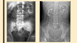
Medullary sponge kidney
■ is a sporadic condition where the medullary and papillary portions
of the collecting ducts are dysplastic and dilated and in most cases
develop medullary nephrocalcinosis
■ Radiographic features
■ Medullary nephrocalcinosis occurs in the majority of cases (~80%).
It may be unilateral or bilateral and affect a single or multiple
pyramids.
■ Plain radiograph / CT
■ Clusters of pyramidal medullary calcification are characteristic. On
IVP, the pyelogram may give a characteristic bouquet of flowers
appearance or paintbrush appearance.
■ Ultrasound
■ Ultrasound of the kidneys of patients with medullary sponge
kidneys typically demonstrates echogenic medullary pyramids. This
appearance is found whether or not medullary nephrocalcinosis is
also present.
■
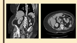
Renal/kidney stone disease
Cortical and medullary nephrocalcinosis
Acute pyelonephritis
■ Ultrasound is insensitive
to the changes of acute
pyelonephritis, with most
patients having 'normal'
scans.
■ Abnormalities are
identified in only ~25%
of cases
■ abnormal echogenicity of
the renal parenchyma
■ CT is a sensitive modality for evaluation of the renal tract, able to assess for renal
calculi, gas, perfusion defects, collections and obstruction.
Chronic pyelonephritis
■ General Radiographic
features
■ renal scarring
■ renal atrophy
■ renal cortical thinning
■ compensatory hypertrophy
of residual normal tissue
(which may mimic a mass
lesion)
■ thickening and dilatation of
the calyceal system
■ overall renal asymmetry
Chronic kidney disease
Renal abscess
■ Radiographic features
■ Ultrasound
■ A renal abscess typically appears as
a well-defined hypoechoic area
within the cortex or the
corticomedullary parenchyma. It
demonstrates internal echoes
within, and an associated diffusely
hypoechoic kidney due to acute
pyelonephritis may be seen.
CT
■ An abscess appears as a well-
defined low attenuation mass
with a thick, irregular wall or
pseudo capsule, which can be
better visualized on contrast
enhanced scans. Gas within a low
attenuation/cystic mass strongly
suggests abscess formation.
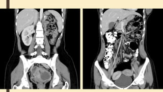
Renal cell carcinomas
Urinary system ANATOMY PHYSIOLOGY PRESERSNTATION
Urinary system ANATOMY PHYSIOLOGY PRESERSNTATION

Urinary system ANATOMY PHYSIOLOGY PRESERSNTATION

  • 1.
  • 2.
  • 3.
    Sonography for kidneys ■1) kidney anatomy (location, shape, dimensions, contours) ■ 2) kidney structure (decreased echogenicity - swelling, increased - sclerotic changes, solid and cystic structures) ■ 3) state of the pelvis and ureters (structures, stones and hydronephrosis) ■ 4 ) the ureter is not well visible (only the proximal and distal 1/3 parts can be seen with good devices) ■ 5) the proximal and distal 1/3 parts of the renal artery and vein can be studied with Doppler ■ 6) renal perfusion - can be studied with color doppler ■ 7) respiratory excursion of the kidneys (increased, surrounding fibrosis decreases in changes) ■ 8) tissues around the kidney and blood vessels (adrenal gland, aorta, inferior vena cava), but lymph nodes enlargement are not visible ■ 9) control of interventional procedures.
  • 4.
    Sonography for baladder ■ ABladder should be full. There are transabdominal and endoscopic methods. Importance - 1) anatomy ■ 2) cystodynamogram (measurement of urine volume after urination) ■ 3) vesicourteral reflux study
  • 5.
    Intravenous urography ■ Preparation: -Fasting 6-8 h - Cleaning enema - Native abdominal imaging in order to check 1) readiness of the patient 2) calcifications in the kidney 3) pathology of tissues around the kidney (gas in the large intestine, spine). - Blood biochemical analysis (creatinine, urea) - Stages: 5-7 min – renal calyces 10-15 min – urether 25-30 min – bladder 45-60 min - if the obstruction is severe and the ureter is insufficiently opacified, perform delayed full-length radiographs
  • 6.
    Indications Contraindications ureteric obstruction:severity, site and cause e.g. urolithiasis allergic reactions tumors kidney failure anatomical variants such as horseshoe kidney heart failure renal function liver failure large left renal pelvis calculus with normal function
  • 7.
    Cystography Indications Contraindications vesicoureteral refluxhematuria fistula to other organs inflammation diverticulum of the urinary bladder Technique •insert Foley catheter in bladder, or use an indwelling Foley or suprapubic catheter •introduce water soluble contrast through the catheter (such as Isovue-300 or Cystografin) small bladder with bilateral vesicoureteral reflux
  • 8.
  • 9.
    Angiography 1) pathology ofrenal arteries and veins - thrombosis, aneurysm, stenosis, anomalous location of drainage, AV-fistula, angioma, arteriovenous malformation, etc. 2) kidney tumors and cysts (their proportion to the blood vessel is visible) 3) before surgery 4) endovascular procedures
  • 10.
    Computed tomography ofkidneys, ureters and bladder (CT KUB) ■ is a quick non-invasive technique for diagnosis of urolithiasis.
  • 11.
    MRI Renal cortex hasslightly higher signal than medulla on T1-weighted images. On T2-weighted images, medulla has slightly higher signal than renal cortex
  • 12.
    Renal imaging innuclear medicine static dynamic
  • 13.
    Renal agenesis ■ Renalagenesis refers to a congenital absence of one or both kidneys. If bilateral (traditionally known as the classic Potter syndrome) the condition is fatal, whereas if unilateral, patients can have a normal life expectancy. ■ Unilateral renal agenesis may have other associated birth defects (most commonly, involving the genitourinary system). ■ absent kidney ■ absent ipsilateral renal artery ■ compensatory hypertrophy of the contralateral (opposite) kidney
  • 16.
    Renal hypoplasia ■ Renalhypoplasia can present as unilateral or bilateral. In cases of unilateral renal hypoplasia, it is common to have compensatory hypertrophy of the contralateral kidney. ■ Due to the essentially normal renal parenchyma, these kidneys can still produce normal urine, however in a reduced volume. This low volume of production causes urine stasis and predisposes to urolithiasis and urinary tract infections.
  • 18.
    Renal dystopia also knownas renal ectopia, is a congenital renal anomaly characterized by the abnormal location of one or both of the kidneys. They can occur in several forms: ■ cross fused renal ectopia ■ ectopic thoracic kidney ■ pelvic kidney
  • 20.
    Nephroptosis ■ also knownas floating/wandering kidney or ren mobilis, refers to the descent of the kidney more than 5 cm or two vertebral bodies when the patient moves from a supine to upright position during IVU.
  • 21.
    Difference between Dystopiaand Nephroptosis? ■ Dystopian kidney ureter narrows (excretory urography and retrograde pyelography) ■ Location of the renal artery increases (angiography, MR-angiography, sonography?).
  • 22.
    Abnormal renal rotation ■also known as renal malrotation, refers to an anatomical variation in the position of the kidneys, in particular to anomalous orientation of the renal hilum. It may occur unilaterally or bilaterally. It is almost always an asymptomatic incidental finding.
  • 23.
  • 24.
  • 26.
    Ultrasound ■ uncomplicated renalcyst – well-marginated anechoic lesion with thin walls – a few thin septa may be present (5% of cysts) – posterior acoustic enhancement may be present, although this finding is non-specific and also may not be seen with smaller cysts – a small amount of intracystic hemorrhage/debris may be present and may require further evaluation (5% of cysts) ■ complicated cyst – cystic lesions with thickened or irregular walls or septa are suspicious for renal cell carcinoma and warrant further work up – vascularity of the septa on color or spectral Doppler is suspicious for renal cell carcinoma
  • 28.
    MRI Simple cyst characteristicsare similar to ultrasound and CT: ■ T1: hypointense (hemorrhagic debris may mildly increase signal) ■ T1 C+ (Gd): no postcontrast enhancement ■ T2: strongly hyperintense (hemorrhagic debris may mildly decrease signal) and separate from the collecting system ■ DWI: increased signal, but no restricted diffusion
  • 29.
  • 30.
    Multilocular cystic renalneoplasm of low malignant potential (MCRNLMP)
  • 31.
    Medullary sponge kidney ■is a sporadic condition where the medullary and papillary portions of the collecting ducts are dysplastic and dilated and in most cases develop medullary nephrocalcinosis ■ Radiographic features ■ Medullary nephrocalcinosis occurs in the majority of cases (~80%). It may be unilateral or bilateral and affect a single or multiple pyramids. ■ Plain radiograph / CT ■ Clusters of pyramidal medullary calcification are characteristic. On IVP, the pyelogram may give a characteristic bouquet of flowers appearance or paintbrush appearance. ■ Ultrasound ■ Ultrasound of the kidneys of patients with medullary sponge kidneys typically demonstrates echogenic medullary pyramids. This appearance is found whether or not medullary nephrocalcinosis is also present. ■
  • 33.
  • 35.
    Cortical and medullarynephrocalcinosis
  • 37.
    Acute pyelonephritis ■ Ultrasoundis insensitive to the changes of acute pyelonephritis, with most patients having 'normal' scans. ■ Abnormalities are identified in only ~25% of cases ■ abnormal echogenicity of the renal parenchyma
  • 38.
    ■ CT isa sensitive modality for evaluation of the renal tract, able to assess for renal calculi, gas, perfusion defects, collections and obstruction.
  • 39.
    Chronic pyelonephritis ■ GeneralRadiographic features ■ renal scarring ■ renal atrophy ■ renal cortical thinning ■ compensatory hypertrophy of residual normal tissue (which may mimic a mass lesion) ■ thickening and dilatation of the calyceal system ■ overall renal asymmetry
  • 40.
  • 41.
    Renal abscess ■ Radiographicfeatures ■ Ultrasound ■ A renal abscess typically appears as a well-defined hypoechoic area within the cortex or the corticomedullary parenchyma. It demonstrates internal echoes within, and an associated diffusely hypoechoic kidney due to acute pyelonephritis may be seen.
  • 42.
    CT ■ An abscessappears as a well- defined low attenuation mass with a thick, irregular wall or pseudo capsule, which can be better visualized on contrast enhanced scans. Gas within a low attenuation/cystic mass strongly suggests abscess formation.
  • 43.